Intramuscular Botulinum Neurotoxin Serotypes E and A Elicit Distinct Effects on SNAP25 Protein Fragments, Muscular Histology, Spread and Neuronal Transport: An Integrated Histology-Based Study in the Rat
Abstract
1. Introduction
2. Results
2.1. Duration of Action and Local Spread of BoNT/E and BoNT/A
2.2. Quantification of SNAP25 Cleavage and Fragments in Muscles
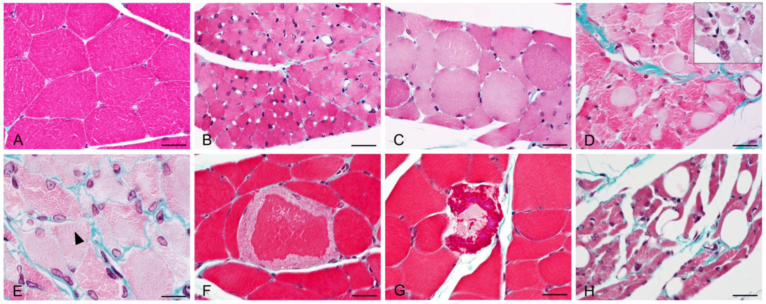
2.3. Quantification of Myofiber Atrophy and Histopathological Changes in Muscles
2.4. Quantification of SNAP25 Cleavage in the Lumbar Spinal Cord
3. Discussion
3.1. Study Dose Selection
3.2. Duration of Action, SNAP25 Cleavage and Muscle Atrophy
3.3. Spread and Neuronal Transport
4. Conclusions
5. Materials and Methods
5.1. Animals
5.2. BoNT Administration
5.3. Digit Abduction Score (DAS) Evaluation
5.4. Immunohistochemistry (IHC) and Histopathology
5.5. Myofiber Atrophy Quantification
5.6. Statistical Analysis
Author Contributions
Funding
Institutional Review Board Statement
Informed Consent Statement
Data Availability Statement
Acknowledgments
Conflicts of Interest
References
- Rossetto, O.; Pirazzini, M.; Montecucco, C. Botulinum Neurotoxins: Genetic, Structural and Mechanistic Insights. Nat. Rev. Microbiol. 2014, 12, 535–549. [Google Scholar] [CrossRef] [PubMed]
- Zhang, S.; Masuyer, G.; Zhang, J.; Shen, Y.; Lundin, D.; Henriksson, L.; Miyashita, S.-I.; Martínez-Carranza, M.; Dong, M.; Stenmark, P. Identification and Characterization of a Novel Botulinum Neurotoxin. Nat. Commun. 2017, 8, 14130. [Google Scholar] [CrossRef] [PubMed]
- Rummel, A. The Long Journey of Botulinum Neurotoxins into the Synapse. Toxicon 2015, 107, 9–24. [Google Scholar] [CrossRef] [PubMed]
- Pirazzini, M.; Rossetto, O.; Eleopra, R.; Montecucco, C. Botulinum Neurotoxins: Biology, Pharmacology, and Toxicology. Pharmacol. Rev. 2017, 69, 200–235. [Google Scholar] [CrossRef] [PubMed]
- Fonfria, E.; Maignel, J.; Lezmi, S.; Martin, V.; Splevins, A.; Shubber, S.; Kalinichev, M.; Foster, K.; Picaut, P.; Krupp, J. The Expanding Therapeutic Utility of Botulinum Neurotoxins. Toxins 2018, 10, 208. [Google Scholar] [CrossRef] [PubMed]
- Eleopra, R.; Rinaldo, S.; Montecucco, C.; Rossetto, O.; Devigili, G. Clinical Duration of Action of Different Botulinum Toxin Types in Humans. Toxicon 2020, 179, 84–91. [Google Scholar] [CrossRef] [PubMed]
- Nestor, M.; Cohen, J.L.; Landau, M.; Hilton, S.; Nikolis, A.; Haq, S.; Viel, M.; Andriopoulos, B.; Prygova, I.; Foster, K.; et al. Onset and Duration of AbobotulinumtoxinA for Aesthetic Use in the Upper Face: A Systematic Literature Review. J. Clin. Aesthet. Dermatol. 2020, 13, E56–E83. [Google Scholar]
- Eleopra, R.; Tugnoli, V.; Rossetto, O.; De Grandis, D.; Montecucco, C. Different Time Courses of Recovery after Poisoning with Botulinum Neurotoxin Serotypes A and E in Humans. Neurosci. Lett. 1998, 256, 135–138. [Google Scholar] [CrossRef] [PubMed]
- Pons, L.; Vilain, C.; Volteau, M.; Picaut, P. Safety and Pharmacodynamics of a Novel Recombinant Botulinum Toxin E (rBoNT-E): Results of a Phase 1 Study in Healthy Male Subjects Compared with abobotulinumtoxinA (Dysport®). J. Neurol. Sci. 2019, 407, 116516. [Google Scholar] [CrossRef]
- Fernández-Salas, E.; Steward, L.E.; Ho, H.; Garay, P.E.; Sun, S.W.; Gilmore, M.A.; Ordas, J.V.; Wang, J.; Francis, J.; Aoki, K.R. Plasma Membrane Localization Signals in the Light Chain of Botulinum Neurotoxin. Proc. Natl. Acad. Sci. USA 2004, 101, 3208–3213. [Google Scholar] [CrossRef]
- Shoemaker, C.B.; Oyler, G.A. Persistence of Botulinum Neurotoxin Inactivation of Nerve Function. Curr. Top. Microbiol. Immunol. 2013, 364, 179–196. [Google Scholar] [CrossRef] [PubMed]
- Tsai, Y.C.; Kotiya, A.; Kiris, E.; Yang, M.; Bavari, S.; Tessarollo, L.; Oyler, G.A.; Weissman, A.M. Deubiquitinating Enzyme VCIP135 Dictates the Duration of Botulinum Neurotoxin Type A Intoxication. Proc. Natl. Acad. Sci. USA 2017, 114, E5158–E5166. [Google Scholar] [CrossRef] [PubMed]
- Restani, L.; Giribaldi, F.; Manich, M.; Bercsenyi, K.; Menendez, G.; Rossetto, O.; Caleo, M.; Schiavo, G. Botulinum Neurotoxins A and E Undergo Retrograde Axonal Transport in Primary Motor Neurons. PLoS Pathog. 2012, 8, e1003087. [Google Scholar] [CrossRef] [PubMed]
- Torii, Y.; Goto, Y.; Takahashi, M.; Ishida, S.; Harakawa, T.; Sakamoto, T.; Kaji, R.; Kozaki, S.; Ginnaga, A. Quantitative Determination of Biological Activity of Botulinum Toxins Utilizing Compound Muscle Action Potentials (CMAP), and Comparison of Neuromuscular Transmission Blockage and Muscle Flaccidity among Toxins. Toxicon 2010, 55, 407–414. [Google Scholar] [CrossRef] [PubMed]
- Meunier, F.A.; Lisk, G.; Sesardic, D.; Dolly, J.O. Dynamics of Motor Nerve Terminal Remodeling Unveiled Using SNARE-Cleaving Botulinum Toxins: The Extent and Duration Are Dictated by the Sites of SNAP-25 Truncation. Mol. Cell Neurosci. 2003, 22, 454–466. [Google Scholar] [CrossRef] [PubMed]
- Cornet, S.; Périer, C.; Kalinichev, M. Optimization of the Rat Digit Abduction Score (DAS) Assay: Evaluation of Botulinum Neurotoxin Activity in the Gastrocnemius Lateralis, Peronei, and Extensor Digitorum Longus. Toxicon X 2020, 6, 100029. [Google Scholar] [CrossRef]
- Jaspers, R.T.; Brunner, R.; Baan, G.C.; Huijing, P.A. Acute Effects of Intramuscular Aponeurotomy and Tenotomy on Multitendoned Rat EDL: Indications for Local Adaptation of Intramuscular Connective Tissue. Anat. Rec. 2002, 266, 123–135. [Google Scholar] [CrossRef] [PubMed]
- Périer, C.; Martin, V.; Cornet, S.; Favre-Guilmard, C.; Rocher, M.-N.; Bindler, J.; Wagner, S.; Andriambeloson, E.; Rudkin, B.; Marty, R.; et al. Recombinant Botulinum Neurotoxin Serotype A1 in Vivo Characterization. Pharmacol. Res. Perspect. 2021, 9, e00857. [Google Scholar] [CrossRef]
- Nassif, A.D.; Boggio, R.F.; Espicalsky, S.; Faria, G.E.L. High Precision Use of Botulinum Toxin Type A (BONT-A) in Aesthetics Based on Muscle Atrophy, Is Muscular Architecture Reprogramming a Possibility? A Systematic Review of Literature on Muscle Atrophy after BoNT-A Injections. Toxins 2022, 14, 81. [Google Scholar] [CrossRef]
- Oehler, B.; Périer, C.; Martin, V.; Fisher, A.; Lezmi, S.; Kalinichev, M.; McMahon, S.B. Evaluation of Recombinant Botulinum Neurotoxin Type A1 Efficacy in Peripheral Inflammatory Pain in Mice. Front. Mol. Neurosci. 2022, 15, 909835. [Google Scholar] [CrossRef]
- Carré, D.; Martin, V.; Kouidri, Y.; Morin, R.; Norlund, M.; Gomes, A.; Lagarde, J.-M.; Lezmi, S. The Distribution of Neuromuscular Junctions Depends on Muscle Pennation, When Botulinum Neurotoxin Receptors and SNAREs Expression Are Uniform in the Rat. Toxicon 2022, 212, 34–41. [Google Scholar] [CrossRef] [PubMed]
- Šoštarić, P.; Vukić, B.; Tomašić, L.; Matak, I. Lasting Peripheral and Central Effects of Botulinum Toxin Type A on Experimental Muscle Hypertonia in Rats. Int. J. Mol. Sci. 2022, 23, 11626. [Google Scholar] [CrossRef] [PubMed]
- O’Sullivan, G.A.; Mohammed, N.; Foran, P.G.; Lawrence, G.W.; Oliver Dolly, J. Rescue of Exocytosis in Botulinum Toxin A-Poisoned Chromaffin Cells by Expression of Cleavage-Resistant SNAP-25. Identification of the Minimal Essential C-Terminal Residues. J. Biol. Chem. 1999, 274, 36897–36904. [Google Scholar] [CrossRef] [PubMed]
- Adler, M.; Keller, J.E.; Sheridan, R.E.; Deshpande, S.S. Persistence of Botulinum Neurotoxin A Demonstrated by Sequential Administration of Serotypes A and E in Rat EDL Muscle. Toxicon 2001, 39, 233–243. [Google Scholar] [CrossRef] [PubMed]
- Nestor, M.S.; Kleinfelder, R.E.; Pickett, A. The Use of Botulinum Neurotoxin Type A in Aesthetics: Key Clinical Postulates. Dermatol. Surg. 2017, 43 (Suppl. 3), S344–S362. [Google Scholar] [CrossRef] [PubMed]
- Carli, L.; Montecucco, C.; Rossetto, O. Assay of Diffusion of Different Botulinum Neurotoxin Type a Formulations Injected in the Mouse Leg. Muscle Nerve 2009, 40, 374–380. [Google Scholar] [CrossRef] [PubMed]
- Torii, Y.; Goto, Y.; Nakahira, S.; Kozaki, S.; Kaji, R.; Ginnaga, A. Comparison of Systemic Toxicity between Botulinum Toxin Subtypes A1 and A2 in Mice and Rats. Basic Clin. Pharmacol. Toxicol. 2015, 116, 524–528. [Google Scholar] [CrossRef] [PubMed]
- Cai, B.B.; Francis, J.; Brin, M.F.; Broide, R.S. Botulinum Neurotoxin Type A-Cleaved SNAP25 Is Confined to Primary Motor Neurons and Localized on the Plasma Membrane Following Intramuscular Toxin Injection. Neuroscience 2017, 352, 155–169. [Google Scholar] [CrossRef] [PubMed]
- Ateş, F.; Yucesoy, C.A. Botulinum Toxin Type-A Affects Mechanics of Non-Injected Antagonistic Rat Muscles. J. Mech. Behav. Biomed. Mater. 2018, 84, 208–216. [Google Scholar] [CrossRef]
- Kouyoumdjian, J.A.; Graça, C.R.; Oliveira, F.N. Jitter Evaluation in Distant and Adjacent Muscles after Botulinum Neurotoxin Type A Injection in 78 Cases. Toxins 2020, 12, 549. [Google Scholar] [CrossRef]
- Lim, E.C.-H.; Seet, R.C.S. Botulinum Toxin: Description of Injection Techniques and Examination of Controversies Surrounding Toxin Diffusion. Acta Neurol. Scand. 2008, 117, 73–84. [Google Scholar] [CrossRef] [PubMed]
- Borodic, G.E.; Joseph, M.; Fay, L.; Cozzolino, D.; Ferrante, R.J. Botulinum A Toxin for the Treatment of Spasmodic Torticollis: Dysphagia and Regional Toxin Spread. Head Neck 1990, 12, 392–399. [Google Scholar] [CrossRef] [PubMed]
- Shaari, C.M.; George, E.; Wu, B.L.; Biller, H.F.; Sanders, I. Quantifying the Spread of Botulinum Toxin through Muscle Fascia. Laryngoscope 1991, 101, 960–964. [Google Scholar] [CrossRef] [PubMed]
- Koizumi, H.; Goto, S.; Okita, S.; Morigaki, R.; Akaike, N.; Torii, Y.; Harakawa, T.; Ginnaga, A.; Kaji, R. Spinal Central Effects of Peripherally Applied Botulinum Neurotoxin A in Comparison between Its Subtypes A1 and A2. Front. Neurol. 2014, 5, 98. [Google Scholar] [CrossRef] [PubMed]
- Gentile, D.; Floresta, G.; Patamia, V.; Chiaramonte, R.; Mauro, G.L.; Rescifina, A.; Vecchio, M. An Integrated Pharmacophore/Docking/3D-QSAR Approach to Screening a Large Library of Products in Search of Future Botulinum Neurotoxin A Inhibitors. Int. J. Mol. Sci. 2020, 21, 9470. [Google Scholar] [CrossRef] [PubMed]
- Brodsky, M.A.; Swope, D.M.; Grimes, D. Diffusion of Botulinum Toxins. Tremor Other Hyperkinet. Mov. 2012, 2, tre-02-85-417-1. [Google Scholar] [CrossRef] [PubMed]
- Ramirez-Castaneda, J.; Jankovic, J.; Comella, C.; Dashtipour, K.; Fernandez, H.H.; Mari, Z. Diffusion, Spread, and Migration of Botulinum Toxin. Mov. Disord. 2013, 28, 1775–1783. [Google Scholar] [CrossRef] [PubMed]
- Hexsel, D.; Brum, C.; Porto, M.D.; Soirefmann, M.; Siega, C.; Schilling-Souza, J.; Rodrigues, T.C. Full-Face Injections of Variable Total Doses of Abobotulinum Toxin Type A: A Randomized, Phase IV Clinical Trial of Safety and Efficacy. J. Drugs Dermatol. 2013, 12, 1356–1362. [Google Scholar] [PubMed]
- Peyronnet, B.; Roumiguié, M.; Castel-Lacanal, E.; Guillotreau, J.; Marque, P.; Rischmann, P.; Gamé, X. Efficacy and Safety of the First and Repeated Intradetrusor Injections of Abobotulinum Toxin A 750 U for Treating Neurological Detrusor Overactivity. World J. Urol. 2016, 34, 755–761. [Google Scholar] [CrossRef]
- Santamato, A.; Ranieri, M.; Solfrizzi, V.; Lozupone, M.; Vecchio, M.; Daniele, A.; Greco, A.; Seripa, D.; Logroscino, G.; Panza, F. High Doses of incobotulinumtoxinA for the Treatment of Post-Stroke Spasticity: Are They Safe and Effective? Expert Opin. Drug Metab. Toxicol. 2016, 12, 843–846. [Google Scholar] [CrossRef][Green Version]
- Restani, L.; Antonucci, F.; Gianfranceschi, L.; Rossi, C.; Rossetto, O.; Caleo, M. Evidence for Anterograde Transport and Transcytosis of Botulinum Neurotoxin A (BoNT/A). J. Neurosci. 2011, 31, 15650–15659. [Google Scholar] [CrossRef] [PubMed]
- Antonucci, F.; Rossi, C.; Gianfranceschi, L.; Rossetto, O.; Caleo, M. Long-Distance Retrograde Effects of Botulinum Neurotoxin A. J. Neurosci. 2008, 28, 3689–3696. [Google Scholar] [CrossRef] [PubMed]
- Lawrence, G.W.; Ovsepian, S.V.; Wang, J.; Aoki, K.R.; Dolly, J.O. Extravesicular Intraneuronal Migration of Internalized Botulinum Neurotoxins without Detectable Inhibition of Distal Neurotransmission. Biochem. J. 2012, 441, 443–452. [Google Scholar] [CrossRef] [PubMed]
- Wang, T.; Martin, S.; Papadopulos, A.; Harper, C.B.; Mavlyutov, T.A.; Niranjan, D.; Glass, N.R.; Cooper-White, J.J.; Sibarita, J.-B.; Choquet, D.; et al. Control of Autophagosome Axonal Retrograde Flux by Presynaptic Activity Unveiled Using Botulinum Neurotoxin Type a. J. Neurosci. 2015, 35, 6179–6194. [Google Scholar] [CrossRef] [PubMed]
- Cornet, S.; Carré, D.; Limana, L.; Castel, D.; Meilin, S.; Horne, R.; Pons, L.; Evans, S.; Lezmi, S.; Kalinichev, M. Intraoperative abobotulinumtoxinA Alleviates Pain after Surgery and Improves General Wellness in a Translational Animal Model. Sci. Rep. 2022, 12, 21555. [Google Scholar] [CrossRef] [PubMed]
- Nemanić, D.; Mustapić, M.; Matak, I.; Bach-Rojecky, L. Botulinum Toxin Type a Antinociceptive Activity in Trigeminal Regions Involves Central Transcytosis. Eur. J. Pharmacol. 2024, 963, 176279. [Google Scholar] [CrossRef] [PubMed]
- Aymard, C.; Giboin, L.-S.; Lackmy-Vallée, A.; Marchand-Pauvert, V. Spinal Plasticity in Stroke Patients after Botulinum Neurotoxin A Injection in Ankle Plantar Flexors. Physiol. Rep. 2013, 1, e00173. [Google Scholar] [CrossRef]
- Marchand-Pauvert, V.; Aymard, C.; Giboin, L.-S.; Dominici, F.; Rossi, A.; Mazzocchio, R. Beyond Muscular Effects: Depression of Spinal Recurrent Inhibition after Botulinum Neurotoxin A. J. Physiol. 2013, 591, 1017–1029. [Google Scholar] [CrossRef] [PubMed]
- Šoštarić, P.; Matić, M.; Nemanić, D.; Lučev Vasić, Ž.; Cifrek, M.; Pirazzini, M.; Matak, I. Beyond Neuromuscular Activity: Botulinum Toxin Type A Exerts Direct Central Action on Spinal Control of Movement. Eur. J. Pharmacol. 2024, 962, 176242. [Google Scholar] [CrossRef]
- Bomba-Warczak, E.; Vevea, J.D.; Brittain, J.M.; Figueroa-Bernier, A.; Tepp, W.H.; Johnson, E.A.; Yeh, F.L.; Chapman, E.R. Interneuronal Transfer and Distal Action of Tetanus Toxin and Botulinum Neurotoxins A and D in Central Neurons. Cell Rep. 2016, 16, 1974–1987. [Google Scholar] [CrossRef]
- Caleo, M.; Spinelli, M.; Colosimo, F.; Matak, I.; Rossetto, O.; Lackovic, Z.; Restani, L. Transynaptic Action of Botulinum Neurotoxin Type A at Central Cholinergic Boutons. J. Neurosci. 2018, 38, 10329–10337. [Google Scholar] [CrossRef] [PubMed]
- Schümann, F.; Schmitt, O.; Wree, A.; Hawlitschka, A. Distribution of Cleaved SNAP-25 in the Rat Brain, Following Unilateral Injection of Botulinum Neurotoxin-A into the Striatum. Int. J. Mol. Sci. 2023, 24, 1685. [Google Scholar] [CrossRef] [PubMed]
- Fonfria, E.; Elliott, M.; Beard, M.; Chaddock, J.A.; Krupp, J. Engineering Botulinum Toxins to Improve and Expand Targeting and SNARE Cleavage Activity. Toxins 2018, 10, 278. [Google Scholar] [CrossRef] [PubMed]
- Rasetti-Escargueil, C.; Popoff, M.R. Engineering Botulinum Neurotoxins for Enhanced Therapeutic Applications and Vaccine Development. Toxins 2020, 13, 1. [Google Scholar] [CrossRef] [PubMed]
- Kaji, R. A Look at the Future-New BoNTs and Delivery Systems in Development: What It Could Mean in the Clinic. Toxicon 2023, 234, 107264. [Google Scholar] [CrossRef]







| Microscopic Changes | D1 | D3 | D6 | D20 | D27 | D45 | D75 |
|---|---|---|---|---|---|---|---|
| Myofibers, cytoplasmic pallor | - | - | - | 3 | 3 | - | - |
| Myofibers, peripheral cytoplasmic pallor | - | - | - | - | 1 | 1 | 1 |
| Myofibers, central nuclei | - | - | - | 2 | 2 | 2 | 2 |
| Myofibers, degeneration/necrosis | - | - | - | - | 1 | 1 | 1 |
| Myofibers, lipidic vacuoles (fatty change) | - | - | - | - | - | - | 1 |
Disclaimer/Publisher’s Note: The statements, opinions and data contained in all publications are solely those of the individual author(s) and contributor(s) and not of MDPI and/or the editor(s). MDPI and/or the editor(s) disclaim responsibility for any injury to people or property resulting from any ideas, methods, instructions or products referred to in the content. |
© 2024 by the authors. Licensee MDPI, Basel, Switzerland. This article is an open access article distributed under the terms and conditions of the Creative Commons Attribution (CC BY) license (https://creativecommons.org/licenses/by/4.0/).
Share and Cite
Martin, V.; Carre, D.; Bilbault, H.; Oster, S.; Limana, L.; Sebal, F.; Favre-Guilmard, C.; Kalinichev, M.; Leveque, C.; Boulifard, V.; et al. Intramuscular Botulinum Neurotoxin Serotypes E and A Elicit Distinct Effects on SNAP25 Protein Fragments, Muscular Histology, Spread and Neuronal Transport: An Integrated Histology-Based Study in the Rat. Toxins 2024, 16, 225. https://doi.org/10.3390/toxins16050225
Martin V, Carre D, Bilbault H, Oster S, Limana L, Sebal F, Favre-Guilmard C, Kalinichev M, Leveque C, Boulifard V, et al. Intramuscular Botulinum Neurotoxin Serotypes E and A Elicit Distinct Effects on SNAP25 Protein Fragments, Muscular Histology, Spread and Neuronal Transport: An Integrated Histology-Based Study in the Rat. Toxins. 2024; 16(5):225. https://doi.org/10.3390/toxins16050225
Chicago/Turabian StyleMartin, Vincent, Denis Carre, Heloise Bilbault, Sebastien Oster, Lorenzo Limana, Florian Sebal, Christine Favre-Guilmard, Mikhail Kalinichev, Christian Leveque, Virginie Boulifard, and et al. 2024. "Intramuscular Botulinum Neurotoxin Serotypes E and A Elicit Distinct Effects on SNAP25 Protein Fragments, Muscular Histology, Spread and Neuronal Transport: An Integrated Histology-Based Study in the Rat" Toxins 16, no. 5: 225. https://doi.org/10.3390/toxins16050225
APA StyleMartin, V., Carre, D., Bilbault, H., Oster, S., Limana, L., Sebal, F., Favre-Guilmard, C., Kalinichev, M., Leveque, C., Boulifard, V., George, C., & Lezmi, S. (2024). Intramuscular Botulinum Neurotoxin Serotypes E and A Elicit Distinct Effects on SNAP25 Protein Fragments, Muscular Histology, Spread and Neuronal Transport: An Integrated Histology-Based Study in the Rat. Toxins, 16(5), 225. https://doi.org/10.3390/toxins16050225

