Induced Expression of the Acinetobacter sp. Oxa Gene in Lactobacillus acidophilus and Its Increased ZEN Degradation Stability by Immobilization
Abstract
1. Introduction
2. Results
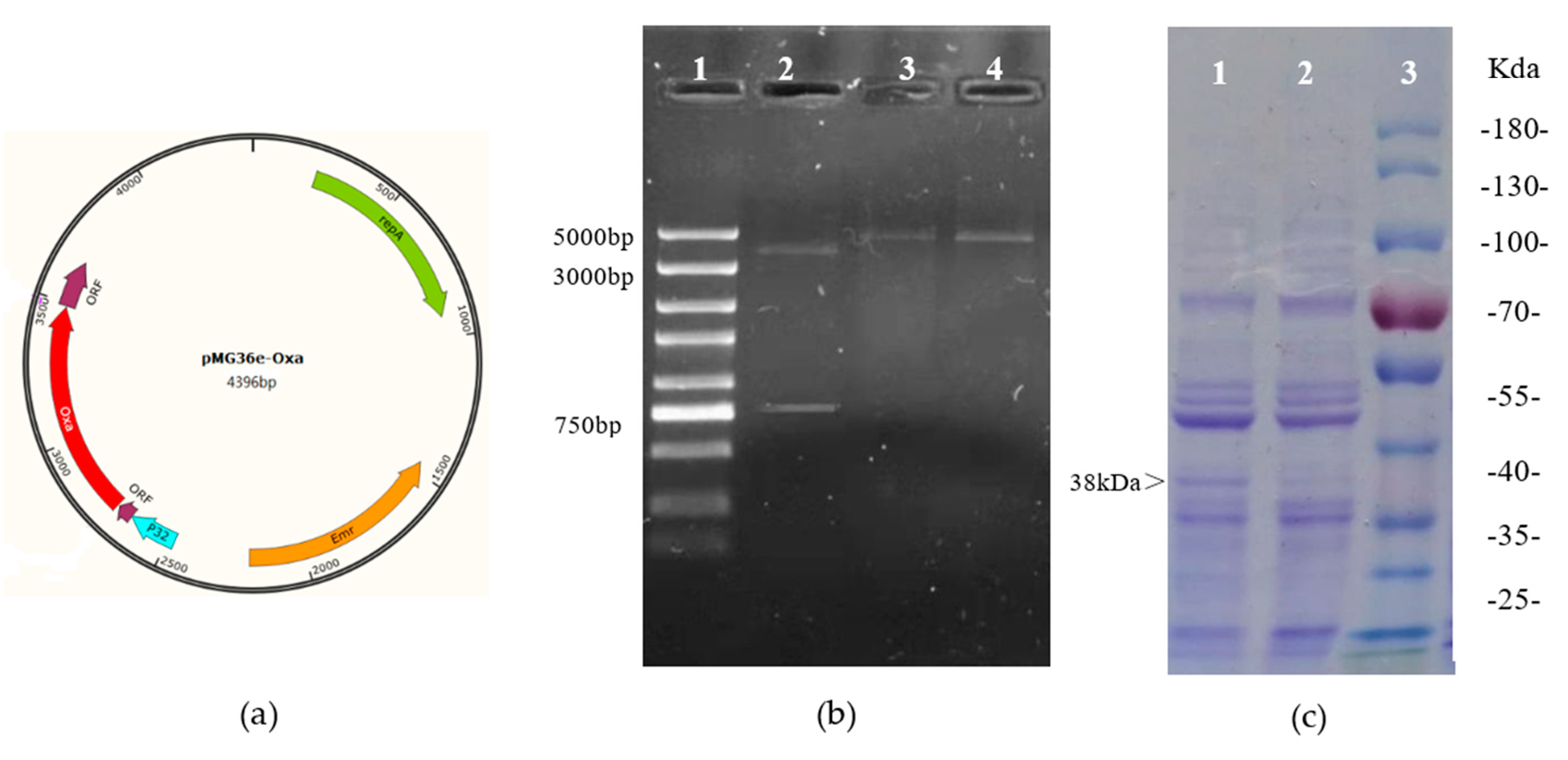
2.1. Expression of Oxa by L. acidophilus ATCC4356
2.2. ZEN-Degrading Activity of L. acidophilus pMG-Oxa
2.3. Gastrointestinal Adaptability and Bacteriostatic Properties of L. acidophilus pMG-Oxa
2.4. Effect of Temperature and pH on the Degradation of ZEN by Immobilized Oxa
2.5. Stability of Immobilized Oxa
3. Discussion
4. Conclusions
5. Materials and Methods
5.1. Chemicals and Reagents
5.2. Strain, Plasmid, and Culture Conditions
5.3. Heterologous Expression of the Oxa Gene in L. acidophilus ATCC4356
5.4. ZEN Degrading Activity of L. acidophilus ATCC4356/pMG-Oxa
5.5. Gastrointestinal Adaptability and Bacteriostatic Properties of L. acidophilus pMG-Oxa
5.6. Immobilization of Oxa
5.7. Biochemical Properties of Immobilized Oxa
5.8. In Vitro Simulated Digestion Experiments of Immobilized Enzymes
5.9. Statistical Analysis
Author Contributions
Funding
Institutional Review Board Statement
Informed Consent Statement
Data Availability Statement
Conflicts of Interest
References
- Urry, W.H.; Wehrmeister, H.H.; Hodge, E.B.; Hidy, P.H. The structure of zearalenone. Tetrahedron. Lett. 1966, 7, 3109–3114. [Google Scholar] [CrossRef]
- Placinta, C.M.; D’mello, J.P.F.; Macdonald, A.M.C. A review of worldwide contamination of cereal grains and animal feed with Fusarium mycotoxins. Anim. Feed. Sci. Technol. 1999, 78, 21–37. [Google Scholar] [CrossRef]
- Zinedine, A.; Soriano, J.M.; Moltó, J.C.; Mañes, J. Review on the toxicity, occurrence, metabolism, detoxification, regulations and intake of zearalenone: An oestrogenic mycotoxin. Food Chem. Toxicol. 2007, 45, 1–18. [Google Scholar] [CrossRef] [PubMed]
- Mahato, D.K.; Devi, S.; Pandhi, S.; Sharma, B.; Maurya, K.K.; Mishra, S.; Dhawan, K.; Selvakumar, R.; Kamle, M.; Mishra, A.K.; et al. Occurrence, impact on agriculture, human health, and management strategies of zearalenone in food and feed: A review. Toxins 2021, 13, 92. [Google Scholar] [CrossRef]
- Yang, K.; Li, K.; Pan, L.; Luo, X.; Xing, J.; Wang, J.; Wang, L.; Wang, R.; Zhai, Y.; Chen, Z. Effect of ozone and electron beam irradiation on degradation of zearalenone and ochratoxin A. Toxins 2020, 12, 138. [Google Scholar] [CrossRef] [PubMed]
- Wang, N.; Wu, W.; Pan, J.; Long, M. Detoxification strategies for zearalenone using microorganisms: A review. Microorganism 2019, 7, 208. [Google Scholar] [CrossRef]
- Zhao, L.; Jin, H.; Lan, J.; Zhang, R.; Ren, H.; Zhang, X.; Yu, G. Detoxification of zearalenone by three strains of Lactobacillus plantarum from fermented food in vitro. Food Control 2015, 54, 158–164. [Google Scholar] [CrossRef]
- Chang, X.; Liu, H.; Sun, J.; Wang, J.; Zhao, C.; Zhang, W.; Zhang, J.; Sun, C. Zearalenone removal from corn oil by an enzymatic strategy. Toxins 2020, 12, 117. [Google Scholar] [CrossRef]
- Agriopoulou, S.; Stamatelopoulou, E.; Varzakas, T. Advances in occurrence, importance, and mycotoxin control strategies: Prevention and detoxification in foods. Foods 2020, 9, 137. [Google Scholar] [CrossRef]
- Yang, S.B.; Zheng, H.C.; Xu, J.Y.; Zhao, X.Y.; Shu, W.J.; Li, X.M.; Song, H.; Ma, Y.H. New biotransformation mode of zearalenone identified in Bacillus subtilis Y816 revealing a novel ZEN conjugate. J. Agric. Food Chem. 2021, 69, 7409–7419. [Google Scholar] [CrossRef]
- Michlmayr, H.; Varga, E.; Lupi, F.; Malachova, A.; Hametner, C.; Berthiller, F.; Adam, G. Synthesis of mono- and di-glucosides of zearalenone and α-/β-zearalenol by recombinant barley glucosyltransferase HvUGT14077. Toxins 2017, 9, 58. [Google Scholar] [CrossRef] [PubMed]
- Chen, Y. Study on Key Enzymes of Biodegradation of Mycotoxin Zearalenone(Master of Engineering); South China University of Technology: Guangzhou, China, 2014. [Google Scholar]
- Liu, S.L. Study on the Secretion of A4-Oxa Enzyme and Degradation of Zearalenone by Pichia Pastoris(Master of Engineering); South China University of Technology: Guangzhou, China, 2017. [Google Scholar]
- Peng, X. Expression, Purification and Characters of Zearalenone Degrading Enzyme Oxa(Master of Engineering); South China University of Technology: Guangzhou, China, 2019. [Google Scholar]
- Hueza, I.M.; Raspantini, P.C.F.; Raspantini, L.E.R.; Latorre, A.O.; Górniak, S.L. Zearalenone, an estrogenic mycotoxin, is an immunotoxic compound. Toxins 2014, 6, 1080–1095. [Google Scholar] [CrossRef]
- Zöllner, P.; Jodlbauer, J.; Kleinova, M.; Kahlbacher, H.; Kuhn, T.; Hochsteiner, W.; Lindner, W. Concentration levels of zearalenone and its metabolites in urine, muscle tissue, and liver samples of pigs fed with mycotoxin-contaminated oats. J. Agric. Food Chem. 2002, 50, 2494–2501. [Google Scholar] [CrossRef] [PubMed]
- Binder, S.B.; Schwartz Zimmermann, H.E.; Varga, E.; Bichl, G.; Michlmayr, H.; Adam, G.; Berthiller, F. Metabolism of zearalenone and its major modified forms in pigs. Toxins 2017, 9, 56. [Google Scholar] [CrossRef] [PubMed]
- Fontana, L.; Bermudez-Brito, M.; Plaza-Diaz, J.; Muñoz-Quezada, S.; Gil, A. Sources, isolation, characterisation and evaluation of probiotics. Br. J. Nutr. 2013, 109, 35–50. [Google Scholar] [CrossRef]
- Alonso, V.R.; Guarner, F. Linking the gut microbiota to human health. Br J Nutr. 2013, 109, 21–26. [Google Scholar] [CrossRef]
- Liu, A.; Zheng, Y.; Liu, L.; Chen, S.; He, L.; Ao, X.; Yang, Y.; Liu, S. Decontamination of aflatoxins by lactic acid bacteria. Curr. Microbiol. 2020, 77, 3821–3830. [Google Scholar] [CrossRef]
- Zoghi, A.; Khosravi-Darani, K.; Sohrabvandi, S. Surface binding of toxins and heavy metals by probiotics. Mini Rev. Med. Chem. 2014, 14, 84–98. [Google Scholar] [CrossRef]
- Nichea, M.; Palacios, S.; Chiacchiera, S.; Sulyok, M.; Krska, R.; Chulze, S.; Ramirez, M. Presence of multiple mycotoxins and other fungal metabolites in native grasses from a wetland ecosystem in Argentina intended for grazing cattle. Toxins 2015, 7, 3309–3329. [Google Scholar] [CrossRef]
- Che, S.W.; Hsu, J.T.; Chou, Y.A.; Wan, H.T. The application of digestive tract lactic acid bacteria with high esterase activity for zearalenone detoxification. J. Sci. Food Agric. 2018, 98, 3870–3879. [Google Scholar]
- Zoghi, A.; Khosravi-Darani, K.; Hekmatdoost, A. Effects of pretreatments on patulin removal from apple juices using Lactobacilli: Binding stability in simulated gastrointestinal condition and modeling. Probiotics Antimicrob. Proteins 2021, 13, 135–145. [Google Scholar] [CrossRef] [PubMed]
- Khoury, A.E.; Atoui, A.; Yaghi, J. Analysis of aflatoxin M1 in milk and yogurt and AFM1 reduction by lactic acid bacteria used in Lebanese industry. Food Control 2011, 22, 1695–1699. [Google Scholar] [CrossRef]
- Sarlak, Z.; Rouhi, M.; Mohammadi, R.; Khaksar, R.; Mortazavian, A.M.; Sohrabvandi, S.; Garavand, F. Probiotic biological strategies to decontaminate aflatoxin M-1 in a traditional Iranian fermented milk drink (Doogh). Food Control 2017, 71, 152–159. [Google Scholar] [CrossRef]
- Adunphatcharaphon, S.; Petchkongkaew, A.; Visessanguan, W. In vitro mechanism assessment of zearalenone removal by plant-derived Lactobacillus plantarum BCC 47723. Toxins 2021, 13, 286. [Google Scholar] [CrossRef] [PubMed]
- Yang, W.C.; Hsu, T.C.; Cheng, K.C.; Liu, J.R. Expression of the Clonostachys rosea lactonohydrolase gene by Lactobacillus reuteri to increase its zearalenone-removing ability. Microb. Cell Fact. 2017, 16, 69. [Google Scholar] [CrossRef]
- Kong, F.; Singh, R.P. Disintegration of solid foods in human stomach. J. Food Sci. 2008, 73, 67–80. [Google Scholar] [CrossRef]
- Hood, S.K.; Zottola, E.A. Effect of low pH on the ability of Lactobacillus acidophilus to survive and adhere to human intestinal cells. J. Food Sci. 1988, 53, 1514–1516. [Google Scholar] [CrossRef]
- Lankaputhra, W.E.V.; Shah, N.P. Survival of Lactobacillus acidophilus and Bifidobacterium spp. in the presence of acid and bile salts. Cult. Dairy Prod. J. 1995, 30, 2–7. [Google Scholar]
- Rius, N.; Sole, M.; Francis, A.; Loren, J.G. Buffering capacity and membrane H+ conductance of lactic acid bacteria. FEMS Microbiol. Lett. 1994, 120, 291–296. [Google Scholar] [CrossRef]
- Goh, Y.J.; Klaenhammer, T.R. Functional roles of aggregation-promoting-like factor in stress tolerance and adherence of Lactobacillus acidophilus NCFM. Appl. Environ. Microbiol. 2010, 76, 5005–5012. [Google Scholar] [CrossRef]
- Ma, L.; Li, F.; Zhang, X.; Feng, X. Biochemical characterization of a recombinant Lactobacillus acidophilus strain expressing exogenous FomA protein. Arch. Oral Biol. 2018, 92, 25–31. [Google Scholar] [CrossRef]
- Heredia, N.; Garcia, S. Animals as sources of food-borne pathogens: A review. Anim. Nutr. 2018, 4, 250–255. [Google Scholar] [CrossRef]
- Valdez, J.C.; Rachid, M.; Gobbato, N.; Perdigón, G. Lactic acid bacteria induce apoptosis inhibition in Salmonella typhimurium infected macrophages. Food Agric Immunol. 2001, 13, 189–197. [Google Scholar] [CrossRef]
- Vilela, S.F.G.; Barbosa, J.O.; Rossoni, R.D.; Santos, J.D.; Prata, M.C.A.; Anbinder, A.L.; Jorge, A.O.C.; Junqueira, J.C. Lactobacillus acidophilus ATCC 4356 inhibits biofilm formation by Candida albicans and attenuates the experimental candidiasis in Galleriamellonella. Virulence 2015, 6, 29–39. [Google Scholar] [CrossRef] [PubMed]
- Rashid, R.; Anwar, Z.; Zafar, M. Chitosan-alginate immobilized lipase based catalytic constructs: Development, characterization and potential applications. Int. J. Biol. Macromol. 2018, 119, 992–1001. [Google Scholar] [CrossRef] [PubMed]
- António, J.R.; Catarina, S.; Domingos, F.; Francisco, V. Chitosan-reinforced alginate microspheres obtained through the emulsification/internal gelation technique. Eur. J. Pharm. Sci. 2005, 25, 31–40. [Google Scholar]
- George, M.; Abraham, T.E. Polyionic hydrocolloids for the intestinal delivery of protein drugs: Alginate and chitosan—A review. J. Control. Release 2006, 114, 1–14. [Google Scholar] [CrossRef]
- Haskard, C.; Binnion, C.; Ahokas, J. Factors afecting the sequestration of afatoxin by Lactobacillus rhamnosus strain GG. Chem. Biol. Interact. 1999, 128, 39–49. [Google Scholar] [CrossRef]
- Oliveira, M.L.; Monedero, V.; Miiyaji, E.N.; Leite, L.C.C.; Ho, P.L.; Pérez-Martínez, G. Expression of Streptocoeeus pneumoniae antigens, PsaA(pneumococcal surface antigen A)and Psp A(pneumococcal surface protein A) by Lactobacillus casei. FEMS Microbiol. Lett. 2003, 227, 25–31. [Google Scholar] [CrossRef]
- Zhao, Y.L.; Jiang, L.F.; Liu, T.; Wang, M.; Cao, W.B.; Bao, Y.Z.; Qin, J.H. Construction and immunogenicity of the recombinant Lactobacillus acidophilus pMG36e-E0-LA-5 of bovine viral diarrhea virus. J. Virol. Methods 2015, 225, 70–75. [Google Scholar] [CrossRef] [PubMed]
- Ragoubi, C.; Quintieri, L.; Greco, D.; Mehrez, A.; Maatouk, I.; D’Ascanio, V.; Landoulsi, A.; Avantaggiato, G. Mycotoxin removal by Lactobacillus spp. and their application in animal liquid feed. Toxins 2021, 13, 185. [Google Scholar] [CrossRef]
- Leong, A.; Liu, Z.; Almshawit, H.; Zisu, B.; Pillidge, C.; Rochfort, S.; Gill, H. Oligosaccharides in goats’ milk-based infant formula and their prebiotic and anti-infection properties. Br. J. Nutr. 2019, 122, 441–449. [Google Scholar] [CrossRef] [PubMed]
- Tulumoğlu, Ş.; Kariptaş, E.; Erdem, B. Lactobacillus spp. isolated from prebiotic-derived raw goat milk: Probiotic characteristics, cholesterol assimilation and folate production. Biotechnol. Lett. 2023, 45, 47–56. [Google Scholar] [CrossRef] [PubMed]
- Kr’ol, A.; Pomastowski, P.; Rafi’nska, K.; Railean-Plugaru, V.; Walczak, J.; Buszewski, B. Microbiology neutralization of zearalenone using Lactococcus lactis and Bifidobacterium sp. Anal. Bioanal. Chem. 2018, 410, 943–952. [Google Scholar] [CrossRef] [PubMed]
- El-Nezami, H.; Polychronaki, N.; Salminen, S.; Mykkänen, H. Binding rather than metabolism may explain the interaction of two food-grade Lactobacillus strains with zearalenone and its derivative ά-zearalenol. Appl. Environ. Microbiol. 2002, 68, 3545. [Google Scholar] [CrossRef]
- Long, M.; Li, P.; Zhang, W.K.; Li, X.B.; Zhang, Y.; Wang, Z.; Liu, G.W. Removal of zearalenone by strains of Lactobacillus sp. isolated from rumen in vitro. J. Anim. Vet. Adv. 2012, 11, 2417–2422. [Google Scholar]
- García-Fruitós, E. Lactic acid bacteria: A promising alternative for recombinant protein production. Microb. Cell Fact. 2012, 11, 157. [Google Scholar] [CrossRef]
- Peltonen, K.; El-Nezami, H.; Haskard, C.; Ahokas, J.; Salminen, S. Afatoxin B1 binding by dairy strains of lactic acid bacteria and Bifdobacteria. J. Dairy Sci. 2001, 84, 2152–2156. [Google Scholar] [CrossRef]
- Vega, M.F.; Dieguez, S.N.; Riccio, B. Zearalenone adsorption capacity of lactic acid bacteria isolated from pigs. Braz. J. Microbiol. 2017, 48, 715–723. [Google Scholar] [CrossRef]
- Takahashi-Ando, N.; Ohsato, S.; Shibata, T.; Hamamoto, H.; Yamaguchi, I.; Kimura, M. Metabolism of zearalenone by genetically modified organisms expressing the detoxification gene from Clonostachys rosea. Appl. Environ. Micro. Biol. 2004, 70, 3239–3245. [Google Scholar] [CrossRef]
- Ngah, W.S.; Fatinathan, S. Adsorption of Cu(II) ions in aqueous solution using chitosan beads, chitosan-GLA beads and chitosan-alginate beads. Chem. Eng. J. 2008, 143, 62–72. [Google Scholar] [CrossRef]
- Hwang, E.T.; Gu, M.B. Enzyme stabilization by nano/microsized hybrid materials. Eng. Life Sci. 2013, 13, 1. [Google Scholar] [CrossRef]
- Deng, Z.Y.; Wang, F.; Zhou, B.; Li, J.; Li Bin Liang, H.S. Immobilization of pectinases into calcium alginate microspheres for fruit juice application. Food Hydrocoll. 2019, 89, 691–699. [Google Scholar] [CrossRef]
- Montgomery, D.C. Design and Analysis of Experiments, 8th ed.; John Wiley and Sons: New York, NY, USA, 2012. [Google Scholar]







| L. acidophilus ATCC4356 | L. acidophilus pMG-Oxa | |||||
|---|---|---|---|---|---|---|
| 10−1 | 10−2 | 10−3 | 10−1 | 10−2 | 10−3 | |
| E. Coli BNCC192101 | 19.78 ± 1.03 | 22.97 ± 0.84 | 23.36 ± 1.42 | 20.36 ± 3.31 | 24.1 ± 1.84 | 25.67 ± 1.34 |
| Salmonella BNCC108207 | 17.02 ± 1.15 | 21.79 ± 0.93 | 22.91 ± 1.25 | 18.84 ± 1.84 | 23.5 ± 1.17 | 25.04 ± 0.63 |
| S. aureus BNCC186355 | 15.32 ± 1.52 | 16.71 ± 0.72 | 19.37 ± 1.47 | 17.00 ± 1.67 | 17.9 ± 1.42 | 20.17 ± 0.50 |
| Immobilization Conditions | ZEN Degradation Rate (%) |
|---|---|
| Recombinant crude enzyme (147 µg Oxa) | 42.95 ± 0.88 |
| Oxa immobilized by 2.0% sodium alginate, 2.0% chitosan, and 0.25 M CaCl2 | 37.56 ± 0.67 |
| Oxa immobilized by 3.5% sodium alginate, 3.0% chitosan, and 0.2 M CaCl2 | 48.65 ± 0.57 |
Disclaimer/Publisher’s Note: The statements, opinions and data contained in all publications are solely those of the individual author(s) and contributor(s) and not of MDPI and/or the editor(s). MDPI and/or the editor(s) disclaim responsibility for any injury to people or property resulting from any ideas, methods, instructions or products referred to in the content. |
© 2023 by the authors. Licensee MDPI, Basel, Switzerland. This article is an open access article distributed under the terms and conditions of the Creative Commons Attribution (CC BY) license (https://creativecommons.org/licenses/by/4.0/).
Share and Cite
Zhou, Y.; Wang, A.; Yu, Q.; Tang, Y.; Yu, Y. Induced Expression of the Acinetobacter sp. Oxa Gene in Lactobacillus acidophilus and Its Increased ZEN Degradation Stability by Immobilization. Toxins 2023, 15, 387. https://doi.org/10.3390/toxins15060387
Zhou Y, Wang A, Yu Q, Tang Y, Yu Y. Induced Expression of the Acinetobacter sp. Oxa Gene in Lactobacillus acidophilus and Its Increased ZEN Degradation Stability by Immobilization. Toxins. 2023; 15(6):387. https://doi.org/10.3390/toxins15060387
Chicago/Turabian StyleZhou, Yuqun, An Wang, Qingzi Yu, Yuqian Tang, and Yuanshan Yu. 2023. "Induced Expression of the Acinetobacter sp. Oxa Gene in Lactobacillus acidophilus and Its Increased ZEN Degradation Stability by Immobilization" Toxins 15, no. 6: 387. https://doi.org/10.3390/toxins15060387
APA StyleZhou, Y., Wang, A., Yu, Q., Tang, Y., & Yu, Y. (2023). Induced Expression of the Acinetobacter sp. Oxa Gene in Lactobacillus acidophilus and Its Increased ZEN Degradation Stability by Immobilization. Toxins, 15(6), 387. https://doi.org/10.3390/toxins15060387

