Biological and Immunological Characterization of a Functional L-HN Derivative of Botulinum Neurotoxin Serotype F
Abstract
1. Introduction
2. Results
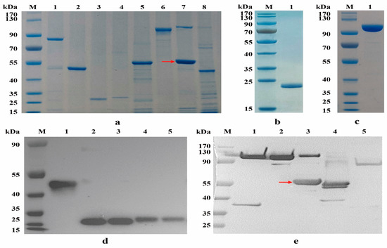
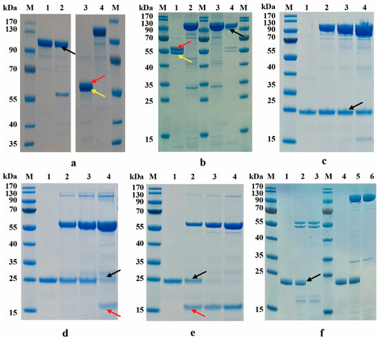
2.1. Preparation and Identification of Recombinant Proteins
2.2. Biological Activity of FL-HN In Vitro
2.3. Enzymatic Activity of FL-HN in Neuro-2a Cells
2.4. Specific Neurotoxicity of Recombinant FL-HN
2.5. Immunoprotective Efficacy of Each Functional Molecule as a Subunit Vaccine against BoNT/F
2.6. Immunoprotective Efficacy of Different Combination Vaccines Containing Two Functional Molecules
2.7. Determination of Humoral Immune Response after Immunization with Recombinant Proteins as Subunit Vaccines
2.8. Immune Protection Efficacy of FL-HN with Different Molecular Forms as Subunit Vaccines
2.9. Dose-Dependent Immunoprotective Efficacy of Recombinant Subunit Vaccines
3. Discussion
4. Conclusions
5. Materials and Methods
5.1. Animals and Ethics Statement
5.2. Identification and Production of Recombinant Proteins
5.3. Specific Neurotoxicity Test of Recombinant FL-HN
5.4. Enzyme Activity Detection of FL-HN In Vitro
5.5. Enzymatic Activity of the FL-HN in Neuro-2a Cells
5.6. Inhibition Assay of FL-HN-DC Activity via Anti-FL-HN Serum Antibodies
5.7. Immunization of Mice and Challenge with BoNT/F
5.8. Determination of Neutralizing Antibody Titers in Mouse Serum
5.9. Determination of the Humoral Immune Response after Immunization with Functional Molecule Antigens
5.10. Data Analysis
Supplementary Materials
Author Contributions
Funding
Institutional Review Board Statement
Informed Consent Statement
Data Availability Statement
Conflicts of Interest
References
- Pirazzini, M.; Rossetto, O.; Eleopra, R.; Montecucco, C. Botulinum neurotoxins: Biology, pharmacology, and toxicology. Pharmacol. Rev. 2017, 69, 200–235. [Google Scholar] [CrossRef]
- Choudhury, S.; Baker, M.R.; Chatterjee, S.; Kumar, H. Botulinum toxin: An update on pharmacology and newer products in development. Toxins 2021, 13, 58. [Google Scholar] [CrossRef] [PubMed]
- Rossetto, O.; Montecucco, C. Tables of toxicity of botulinum and tetanus neurotoxins. Toxins 2019, 11, 686. [Google Scholar] [CrossRef] [PubMed]
- Rasetti-Escargueil, C.; Popoff, M.R. Antibodies and vaccines against botulinum toxins: Available measures and novel approaches. Toxins 2019, 11, 528. [Google Scholar] [CrossRef]
- Ben David, A.; Barnea, A.; Diamant, E.; Dor, E.; Schwartz, A.; Torgeman, A.; Zichel, R. Small molecule receptor binding inhibitors with in vivo efficacy against botulinum neurotoxin serotypes a and e. Int. J. Mol. Sci. 2021, 22, 8577. [Google Scholar] [CrossRef] [PubMed]
- Hobbs, R.J.; Thomas, C.A.; Halliwell, J.; Gwenin, C.D. Rapid detection of botulinum neurotoxins—A review. Toxins 2019, 11, 418. [Google Scholar] [CrossRef]
- Smith, T.J.; Hill, K.K.; Raphael, B.H. Historical and current perspectives on clostridium botulinum diversity. Res. Microbiol. 2015, 166, 290–302. [Google Scholar] [CrossRef]
- Peck, M.W.; Smith, T.J.; Anniballi, F.; Austin, J.W.; Bano, L.; Bradshaw, M.; Cuervo, P.; Cheng, L.W.; Derman, Y.; Dorner, B.G.; et al. Historical perspectives and guidelines for botulinum neurotoxin subtype nomenclature. Toxins 2017, 9, 38. [Google Scholar] [CrossRef] [PubMed]
- Tehran, D.A.; Pirazzini, M. Novel botulinum neurotoxins: Exploring underneath the iceberg tip. Toxins 2018, 10, 190. [Google Scholar] [CrossRef]
- Dong, M.; Stenmark, P. The structure and classification of botulinum toxins. In Botulinum Toxin Therapy; Handbook of Experimental Pharmacology Book Series; Springer: Cham, Switzerland, 2021; Volume 263, pp. 11–33. [Google Scholar]
- Dong, M.; Masuyer, G.; Stenmark, P. Botulinum and tetanus neurotoxins. Annu. Rev. Biochem. 2019, 88, 811–837. [Google Scholar] [CrossRef]
- Rossetto, O.; Pirazzini, M.; Montecucco, C. Botulinum neurotoxins: Genetic, structural and mechanistic insights. Nat. Rev. Microbiol. 2014, 12, 535–549. [Google Scholar] [CrossRef]
- Luvisetto, S. Botulinum neurotoxins in central nervous system: An overview from animal models to human therapy. Toxins 2021, 13, 751. [Google Scholar] [CrossRef] [PubMed]
- Poulain, B.; Lemichez, E.; Popoff, M.R. Neuronal selectivity of botulinum neurotoxins. Toxicon 2020, 178, 20–32. [Google Scholar] [CrossRef]
- Cai, S.; Kumar, R.; Singh, B.R. Clostridial neurotoxins: Structure, function and implications to other bacterial toxins. Microorganisms 2021, 9, 2206. [Google Scholar] [CrossRef] [PubMed]
- Fonfria, E.; Elliott, M.; Beard, M.; Chaddock, J.A.; Krupp, J. Engineering botulinum toxins to improve and expand targeting and snare cleavage activity. Toxins 2018, 10, 278. [Google Scholar] [CrossRef] [PubMed]
- Agarwal, R.; Schmidt, J.J.; Stafford, R.G.; Swaminathan, S. Mode of vamp substrate recognition and inhibition of clostridium botulinum neurotoxin f. Nat. Struct. Mol. Biol. 2009, 16, 789–794. [Google Scholar] [CrossRef]
- Chen, S.; Wan, H.Y. Molecular mechanisms of substrate recognition and specificity of botulinum neurotoxin serotype f. Biochem. J. 2011, 433, 277–284. [Google Scholar] [CrossRef]
- Kumar, R.; Dhaliwal, H.P.; Kukreja, R.V.; Singh, B.R. The botulinum toxin as a therapeutic agent: Molecular structure and mechanism of action in motor and sensory systems. Semin. Neurol. 2016, 36, 10–19. [Google Scholar] [CrossRef]
- Gardner, A.P.; Barbieri, J.T. Light chain diversity among the botulinum neurotoxins. Toxins 2018, 10, 268. [Google Scholar] [CrossRef]
- Webb, R.; Wright, P.M.; Brown, J.L.; Skerry, J.C.; Guernieri, R.L.; Smith, T.J.; Stawicki, C.; Smith, L.A. Potency and stability of a trivalent, catalytically inactive vaccine against botulinum neurotoxin serotypes c, e and f (tricef). Toxicon 2020, 176, 67–76. [Google Scholar] [CrossRef] [PubMed]
- Webb, R.P.; Smith, L.A. What next for botulism vaccine development? Expert Rev. Vaccines 2013, 12, 481–492. [Google Scholar] [CrossRef]
- Poulain, B.; Popoff, M.R. Why are botulinum neurotoxin-producing bacteria so diverse and botulinum neurotoxins so toxic? Toxins 2019, 11, 34. [Google Scholar] [CrossRef]
- Liu, Z.; Zhang, C.; Li, Y.; Song, C.; Sun, Y.; Wei, Y.; Xu, Z.; Yang, A.; Xu, Z.; Yang, K.; et al. High sensitivity elisa for detection of botulinum neurotoxin serotype f. Hybridoma 2012, 31, 233–239. [Google Scholar] [CrossRef] [PubMed]
- Khouri, J.M.; Motter, R.N.; Arnon, S.S. Safety and immunogenicity of investigational recombinant botulinum vaccine, rbv a/b, in volunteers with pre-existing botulinum toxoid immunity. Vaccine 2018, 36, 2041–2048. [Google Scholar] [CrossRef] [PubMed]
- Sundeen, G.; Barbieri, J.T. Vaccines against botulism. Toxins 2017, 9, 268. [Google Scholar] [CrossRef] [PubMed]
- Lou, J.; Marks, J.D. Botulinum neurotoxins (bonts)—Antibody and vaccine. Toxins 2018, 10, 495. [Google Scholar] [CrossRef] [PubMed]
- Baldwin, M.R.; Tepp, W.H.; Pier, C.L.; Bradshaw, M.; Ho, M.; Wilson, B.A.; Fritz, R.B.; Johnson, E.A.; Barbieri, J.T. Characterization of the antibody response to the receptor binding domain of botulinum neurotoxin serotypes a and e. Infect. Immun. 2005, 73, 6998–7005. [Google Scholar] [CrossRef]
- Baldwin, M.R.; Tepp, W.H.; Przedpelski, A.; Pier, C.L.; Bradshaw, M.; Johnson, E.A.; Barbieri, J.T. Subunit vaccine against the seven serotypes of botulism. Infect. Immun. 2008, 76, 1314–1318. [Google Scholar] [CrossRef]
- Liu, F.J.; Shi, D.Y.; Mao, Y.Y.; Xiong, X.H.; Lu, J.S.; Pang, X.B.; Dong, X.J.; Yang, Z.X.; Yu, Y.Z. Immunological characterisation and immunoprotective efficacy of functional domain antigens of botulinum neurotoxin serotype A. Vaccine 2020, 38, 2978–2983. [Google Scholar] [CrossRef]
- Shi, D.Y.; Chen, B.Y.; Mao, Y.Y.; Zhou, G.; Lu, J.S.; Yu, Y.Z.; Zhou, X.W.; Sun, Z.W. Development and evaluation of candidate subunit vaccine against botulinum neurotoxin serotype b. Hum. Vaccin. Immunother. 2019, 15, 755–760. [Google Scholar] [CrossRef]
- Shi, D.Y.; Liu, F.J.; Mao, Y.Y.; Cui, R.T.; Lu, J.S.; Yu, Y.Z.; Dong, X.J.; Yang, Z.X.; Sun, Z.W.; Pang, X.B. Development and evaluation of candidate subunit vaccine and novel antitoxin against botulinum neurotoxin serotype e. Hum. Vaccin. Immunother. 2020, 16, 100–108. [Google Scholar] [CrossRef]
- Yu, Y.Z.; Li, N.; Wang, R.L.; Zhu, H.Q.; Wang, S.; Yu, W.Y.; Sun, Z.W. Evaluation of a recombinant hc of clostridium botulinum neurotoxin serotype f as an effective subunit vaccine. Clin. Vaccine. Immunol. 2008, 15, 1819–1823. [Google Scholar] [CrossRef]
- Shi, D.Y.; Liu, F.J.; Li, Z.Y.; Mao, Y.Y.; Lu, J.S.; Wang, R.; Pang, X.B.; Yu, Y.Z.; Yang, Z.X. Development and evaluation of a tetravalent botulinum vaccine. Hum. Vaccin. Immunother. 2022, 18, 2048621. [Google Scholar] [CrossRef] [PubMed]
- Ayyar, B.V.; Tajhya, R.B.; Beeton, C.; Atassi, M.Z. Antigenic sites on the hn domain of botulinum neurotoxin a stimulate protective antibody responses against active toxin. Sci. Rep. 2015, 5, 15776. [Google Scholar] [CrossRef] [PubMed]
- Chauhan, R.; Chauhan, V.; Rao, M.K.; Chaudhary, D.; Bhagyawant, S.; Dhaked, R.K. High level expression and immunochemical characterization of botulinum neurotoxin type f light chain. Protein Expr. Purif. 2018, 146, 51–60. [Google Scholar] [CrossRef]
- Li, Z.; Lu, J.S.; Liu, S.; Wang, R.; Xu, Q.; Yu, Y.Z.; Yang, Z.X. Recombinant l-hn fusion antigen derived from the l and hn domains of botulinum neurotoxin b stimulates a protective antibody response against active neurotoxin. Neurotox. Res. 2021, 39, 1044–1053. [Google Scholar] [CrossRef] [PubMed]
- Li, Z.; Lu, J.; Tan, X.; Wang, R.; Xu, Q.; Yu, Y.; Yang, Z. Functional el-hn fragment as a potent candidate vaccine for the prevention of botulinum neurotoxin serotype e. Toxins 2022, 14, 135. [Google Scholar] [CrossRef]
- Parrera, G.S.; Astacio, H.; Tunga, P.; Anderson, D.M.; Hall, C.L.; Richardson, J.S. Use of botulism antitoxin heptavalent (a, b, c, d, e, f, g)-(equine) (bat((r))) in clinical study subjects and patients: A 15-year systematic safety review. Toxins 2021, 14, 19. [Google Scholar] [CrossRef] [PubMed]
- Lonati, D.; Schicchi, A.; Crevani, M.; Buscaglia, E.; Scaravaggi, G.; Maida, F.; Cirronis, M.; Petrolini, V.M.; Locatelli, C.A. Foodborne botulism: Clinical diagnosis and medical treatment. Toxins 2020, 12, 509. [Google Scholar] [CrossRef]
- Centers for Disease Control and Prevention (CDC). Notice of cdc’s discontinuation of investigational pentavalent (abcde) botulinum toxoid vaccine for workers at risk for occupational exposure to botulinum toxins. MMWR Morb. Mortal. Wkly. Rep. 2011, 60, 1454–1455. [Google Scholar]
- Aoki, K.R.; Smith, L.A.; Atassi, M.Z. Mode of action of botulinum neurotoxins: Current vaccination strategies and molecular immune recognition. Crit. Rev. Immunol. 2010, 30, 167–187. [Google Scholar] [CrossRef]
- Przedpelski, A.; Tepp, W.H.; Zuverink, M.; Johnson, E.A.; Pellet, S.; Barbieri, J.T. Enhancing toxin-based vaccines against botulism. Vaccine 2018, 36, 827–832. [Google Scholar] [CrossRef] [PubMed]
- Shone, C.; Agostini, H.; Clancy, J.; Gu, M.; Yang, H.H.; Chu, Y.; Johnson, V.; Taal, M.; McGlashan, J.; Brehm, J.; et al. Bivalent recombinant vaccine for botulinum neurotoxin types a and b based on a polypeptide comprising their effector and translocation domains that is protective against the predominant a and b subtypes. Infect. Immun. 2009, 77, 2795–2801. [Google Scholar] [CrossRef] [PubMed]
- Masuyer, G.; Beard, M.; Cadd, V.A.; Chaddock, J.A.; Acharya, K.R. Structure and activity of a functional derivative of clostridium botulinum neurotoxin b. J. Struct. Biol. 2011, 174, 52–57. [Google Scholar] [CrossRef] [PubMed]
- Ayyar, B.V.; Aoki, K.R.; Atassi, M.Z. The c-terminal heavy-chain domain of botulinum neurotoxin a is not the only site that binds neurons, as the n-terminal heavy-chain domain also plays a very active role in toxin-cell binding and interactions. Infect. Immun. 2015, 83, 1465–1476. [Google Scholar] [CrossRef] [PubMed]
- Burgin, D.; Perier, C.; Hackett, G.; Elliott, M.; Kwan, D.; Hornby, F.; Mir, I.; Maignel, J.; Liu, S.M.; Beard, M. New modified recombinant botulinum neurotoxin type f with enhanced potency. Toxins 2021, 13, 834. [Google Scholar] [CrossRef]
- Ayyar, B.V.; Atassi, M.Z. Effects of membrane properties on the binding activities of the hn and hc heavy-chain domains of botulinum neurotoxin a. Biochim. Biophys. Acta 2016, 1864, 1678–1685. [Google Scholar] [CrossRef]
- Kohda, T.; Tsukamoto, K.; Torii, Y.; Kozaki, S.; Mukamoto, M. Translocation domain of botulinum neurotoxin a subtype 2 potently induces entry into neuronal cells. Microbiol. Immunol. 2020, 64, 502–511. [Google Scholar] [CrossRef]
- Atassi, M.Z.; Dolimbek, B.Z.; Steward, L.E.; Aoki, K.R. Molecular bases of protective immune responses against botulinum neurotoxin a--how antitoxin antibodies block its action. Crit. Rev. Immunol. 2007, 27, 319–341. [Google Scholar] [CrossRef]
- Fan, Y.; Garcia-Rodriguez, C.; Lou, J.; Wen, W.; Conrad, F.; Zhai, W.; Smith, T.J.; Smith, L.A.; Marks, J.D. A three monoclonal antibody combination potently neutralizes multiple botulinum neurotoxin serotype f subtypes. PLoS ONE 2017, 12, e0174187. [Google Scholar] [CrossRef]
- Garcia-Rodriguez, C.; Geren, I.N.; Lou, J.; Conrad, F.; Forsyth, C.; Wen, W.; Chakraborti, S.; Zao, H.; Manzanarez, G.; Smith, T.J.; et al. Neutralizing human monoclonal antibodies binding multiple serotypes of botulinum neurotoxin. Protein Eng. Des. Sel. 2011, 24, 321–331. [Google Scholar] [CrossRef] [PubMed]
- Garcia-Rodriguez, C.; Razai, A.; Geren, I.N.; Lou, J.; Conrad, F.; Wen, W.H.; Farr-Jones, S.; Smith, T.J.; Brown, J.L.; Skerry, J.C.; et al. A three monoclonal antibody combination potently neutralizes multiple botulinum neurotoxin serotype e subtypes. Toxins 2018, 10, 105. [Google Scholar] [CrossRef]
- Garcia-Rodriguez, C.; Yan, S.; Geren, I.N.; Knopp, K.A.; Dong, J.; Sun, Z.; Lou, J.; Conrad, F.; Wen, W.H.; Farr-Jones, S.; et al. A four-monoclonal antibody combination potently neutralizes multiple botulinum neurotoxin serotypes c and d. Toxins 2021, 13, 641. [Google Scholar] [CrossRef]
- Fan, Y.; Barash, J.R.; Lou, J.; Conrad, F.; Marks, J.D.; Arnon, S.S. Immunological characterization and neutralizing ability of monoclonal antibodies directed against botulinum neurotoxin type h. J. Infect. Dis. 2016, 213, 1606–1614. [Google Scholar] [CrossRef]
- Tremblay, J.M.; Vazquez-Cintron, E.; Lam, K.H.; Mukherjee, J.; Bedenice, D.; Ondeck, C.A.; Conroy, M.T.; Bodt, S.M.L.; Winner, B.M.; Webb, R.P.; et al. Camelid vhh antibodies that neutralize botulinum neurotoxin serotype e intoxication or protease function. Toxins 2020, 12, 611. [Google Scholar] [CrossRef] [PubMed]
- Lam, K.H.; Tremblay, J.M.; Perry, K.; Ichtchenko, K.; Shoemaker, C.B.; Jin, R. Probing the structure and function of the protease domain of botulinum neurotoxins using single-domain antibodies. PLoS Pathog. 2022, 18, e1010169. [Google Scholar] [CrossRef] [PubMed]
- Yu, Y.Z.; Zhang, S.M.; Ma, Y.; Zhu, H.Q.; Wang, W.B.; Du, Y.; Zhou, X.W.; Wang, R.L.; Wang, S.; Yu, W.Y.; et al. Development and evaluation of candidate vaccine and antitoxin against botulinum neurotoxin serotype f. Clin. Immunol. 2010, 137, 271–280. [Google Scholar] [CrossRef]




| Vaccine (Dosage) | Two Immunizations | Three Immunizations | ||||||
|---|---|---|---|---|---|---|---|---|
| Number of Survivors a | NA (IU/mL) c | Number of Survivors a | NA (IU/mL) c | |||||
| 102 b | 103 b | 104 b | 102 b | 103 b | 104 b | |||
| 1 µg FH | 10/10 | 10/10 | 10/10 | 3.0 | 10/10 | 10/10 | 10/10 | 5.0 | 
| 10 µg FH | 10/10 | 10/10 | 10/10 | 12 | 10/10 | 10/10 | 10/10 | 15 | 
| 1 µg FHc | 10/10 | 10/10 | 10/10 | 2.0 | 10/10 | 10/10 | 10/10 | 40 | 
| 10 µg FHc | 10/10 | 10/10 | 10/10 | 8.0 | 10/10 | 10/10 | 10/10 | 80 | 
| 1 µg FHc-C | 2/10 * | ND | ND | <0.1 | 0/10 ** | ND | ND | <0.1 | 
| 10 µg FHc-C | 0/10 ** | ND | ND | <0.1 | 0/10 ** | ND | ND | <0.1 | 
| 1 µg FHc-N | 2/10 * | 0/10 ** | ND | <0.1 | 8/10 | 0/10 ** | ND | <0.1 | 
| 10 µg FHc-N | 8/10 | 0/10 ** | ND | <0.1 | 8/10 | 0/10 ** | ND | <0.1 | 
| 1 µg FL-HN-SC | 10/10 | 10/10 | 10/10 | 10 | 10/10 | 10/10 | 10/10 | 40 | 
| 10 µg FL-HN-SC | 10/10 | 10/10 | 10/10 | 20 | 10/10 | 10/10 | 10/10 | 60 | 
| 1 µg FL | 2/10 * | ND | ND | 0.1 | 10/10 | 0/10 ** | ND | 0.4 | 
| 10 µg FL | 2/10 * | ND | ND | 0.2 | 10/10 | 0/10 ** | ND | 0.8 | 
| 1 µg FHN | 2/10 * | ND | ND | <0.1 | 6/10 | 1/10 # | ND | ≤0.2 | 
| 10 µg FHN | 2/10 * | ND | ND | <0.1 | 8/10 | 2/10 * | ND | 1.0 | 
| 1 µg FsL-HN | 0/10 ** | ND | ND | <0.1 | 0/10 ** | ND | ND | <0.1 | 
| 10 µg FsL-HN | 0/10 ** | ND | ND | <0.1 | 0/10 ** | ND | ND | ≤0.2 | 
| PBS | 0/10 ** | ND | ND | <0.1 | 0/10 ** | ND | ND | <0.1 | 
| Vaccine (Total Dosage) | Two Immunizations | |||
|---|---|---|---|---|
| Number of Survivors a | NA (IU/ML) c | |||
| 102 b | 103 b | 104 b | ||
| FL+FH (1 µg) | 10/10 | 10/10 | 10/10 | 30 | 
| FL+FH (10 µg) | 10/10 | 10/10 | 10/10 | 40 | 
| FL-HN-SC+FHc (1 µg) | 10/10 | 10/10 | 10/10 | 40 | 
| FL-HN-SC+FHc (10 µg) | 10/10 | 10/10 | 10/10 | 80 | 
| FL+FHN (1 µg) | 10/10 | 10/10 | 10/10 | 2.0 | 
| FL+FHN (10 µg) | 10/10 | 10/10 | 10/10 | 2.0 | 
| 1 µg FL-HN-SC | 10/10 | 10/10 | 10/10 | 10 | 
| 10 µg FL-HN-SC | 10/10 | 10/10 | 10/10 | 20 | 
| FHc+FHN (1 µg) | 10/10 | 10/10 | 10/10 | 60 | 
| FHc+FHN (10 µg) | 10/10 | 10/10 | 10/10 | 80 | 
| 1 µg FH | 10/10 | 10/10 | 10/10 | 3.0 | 
| 10 µg FH | 0/10 ** | ND | ND | 12 | 
| FHc-C+FHc-N (1 µg) | 0/10 ** | 0/10 ** | ND | <0.1 | 
| FHc-C+FHc-N (10 µg) | 0/10 ** | ND | ND | <0.2 | 
| 1 µg FHc | 10/10 | 10/10 | 10/10 | 2.0 | 
| 10 µg FHc | 10/10 | 10/10 | 10/10 | 8.0 | 
| PBS | 0/10 ** | ND | ND | <0.1 | 
| Vaccine (Dosage) | Two Immunizations | Three Immunizations | ||||||
|---|---|---|---|---|---|---|---|---|
| Number of Survivors a | NA (IU/mL) c | Number of Survivors a | NA (IU/mL) c | |||||
| 102 b | 103 b | 104 b | 102 b | 103 b | 104 b | |||
| 4 µg FL-HN-SC | 10/10 | 10/10 | 10/10 | 30 | 10/10 | 10/10 | 10/10 | 80 | 
| 1 µg FL-HN-SC | 10/10 | 10/10 | 10/10 | 15 | 10/10 | 10/10 | 10/10 | 40 | 
| 4 µg FmL-HN-SC | 10/10 | 10/10 | 10/10 | 30 | 10/10 | 10/10 | 10/10 | 40 | 
| 1 µg FmL-HN-SC | 10/10 | 10/10 | 10/10 | 15 | 10/10 | 10/10 | 10/10 | 20 | 
| 4 µg FL-HN-DC | 10/10 | 10/10 | 10/10 | 10 | 10/10 | 10/10 | 10/10 | 40 | 
| 1 µg FL-HN-DC | 10/10 | 10/10 | 10/10 | 4.0 | 10/10 | 10/10 | 10/10 | 10 | 
| 4 µg FmL-HN-DC | 10/10 | 10/10 | 10/10 | 5.0 | 10/10 | 10/10 | 10/10 | 20 | 
| 1 µg FmL-HN-DC | 10/10 | 10/10 | 10/10 | 2.0 | 10/10 | 10/10 | 10/10 | 20 | 
| PBS | 0/10 ** | ND | ND | <0.1 | 0/10 | ND | ND | <0.1 | 
| Vaccine (Dosage) | One Immunizations | Two Immunizations | ||||
|---|---|---|---|---|---|---|
| Number of Survivors a | Number of Survivors a | NA (IU/mL) c | ||||
| 102 b | 103 b | 102 b | 103 b | 104 b | ||
| 4 µg FL-HN-SC | 10/10 | 10/10 | 10/10 | 10/10 | 10/10 | 30 | 
| 1 µg FL-HN-SC | 10/10 | 10/10 | 10/10 | 10/10 | 10/10 | 15 | 
| 250 ng FL-HN-SC | 10/10 | 10/10 * | 10/10 | 10/10 | 10/10 | 12 | 
| 62.5 ng FL-HN-SC | 10/10 | 10/10 ** | 10/10 | 10/10 | 10/10 | 6.0 | 
| 15.6 ng FL-HN-SC | 2/10 | 0/10 | 10/10 | 10/10 | 10/10 | 3.0 | 
| 4 µg FHc | ND | 10/10 | 10/10 | 10/10 | 10/10 | 6.0 | 
| 1 µg FHc | ND | 10/10 | 10/10 | 10/10 | 10/10 | 4.0 | 
| 250 ng FHc | ND | 4/10 | 10/10 | 10/10 | 10/10 | 3.0 | 
| 62.5 ng FHc | ND | 1/10 | 10/10 | 10/10 | 10/10 | 1.0 | 
| 15.6 ng FHc | ND | 0/10 | 10/10 | 10/10 | 10/10 | 0.5 | 
| 4 µg FmL-HN-SC | 10/10 | 10/10 | 10/10 | 10/10 | 10/10 | 30 | 
| 1 µg FmL-HN-SC | 10/10 | 10/10 | 10/10 | 10/10 | 10/10 | 15 | 
| 250 ng FmL-HN-SC | 4/10 | 2/10 | 10/10 | 10/10 | 10/10 | 8.0 | 
| 62.5 ng FmL-HN-SC | 0/10 | 0/10 | 10/10 | 10/10 | 10/10 | 4.0 | 
| 15.6 ng FmL-HN-SC | 0/10 | 0/10 | 10/10 | 10/10 | 10/10 | 2.0 | 
| Disclaimer/Publisher’s Note: The statements, opinions and data contained in all publications are solely those of the individual author(s) and contributor(s) and not of MDPI and/or the editor(s). MDPI and/or the editor(s) disclaim responsibility for any injury to people or property resulting from any ideas, methods, instructions or products referred to in the content. | 
© 2023 by the authors. Licensee MDPI, Basel, Switzerland. This article is an open access article distributed under the terms and conditions of the Creative Commons Attribution (CC BY) license (https://creativecommons.org/licenses/by/4.0/).
Share and Cite
Li, Z.; Li, B.; Lu, J.; Liu, X.; Tan, X.; Wang, R.; Du, P.; Yu, S.; Xu, Q.; Pang, X.; et al. Biological and Immunological Characterization of a Functional L-HN Derivative of Botulinum Neurotoxin Serotype F. Toxins 2023, 15, 200. https://doi.org/10.3390/toxins15030200
Li Z, Li B, Lu J, Liu X, Tan X, Wang R, Du P, Yu S, Xu Q, Pang X, et al. Biological and Immunological Characterization of a Functional L-HN Derivative of Botulinum Neurotoxin Serotype F. Toxins. 2023; 15(3):200. https://doi.org/10.3390/toxins15030200
Chicago/Turabian StyleLi, Zhiying, Bolin Li, Jiansheng Lu, Xuyang Liu, Xiao Tan, Rong Wang, Peng Du, Shuo Yu, Qing Xu, Xiaobin Pang, and et al. 2023. "Biological and Immunological Characterization of a Functional L-HN Derivative of Botulinum Neurotoxin Serotype F" Toxins 15, no. 3: 200. https://doi.org/10.3390/toxins15030200
APA StyleLi, Z., Li, B., Lu, J., Liu, X., Tan, X., Wang, R., Du, P., Yu, S., Xu, Q., Pang, X., Yu, Y., & Yang, Z. (2023). Biological and Immunological Characterization of a Functional L-HN Derivative of Botulinum Neurotoxin Serotype F. Toxins, 15(3), 200. https://doi.org/10.3390/toxins15030200
 
        


 
       