Microcalorimetric Investigations of Reversible Staphylococcal Enterotoxin Unfolding
Abstract
1. Introduction
2. Results
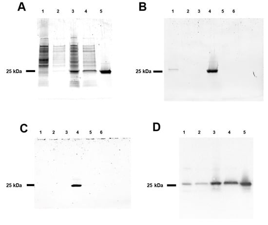
2.1. Staphylococcal Enterotoxin H
2.2. Evaluation of SE Unfolding Using Differential Scanning Calorimetry
2.2.1. SEA
2.2.2. SEB
2.2.3. SEH
2.2.4. Consecutive Partial DSC Heating Cycles to Evaluate SE Refolding
2.2.5. Effects of pH on SEB Refolding and Thermodynamic Properties
2.2.6. Effects of Buffer Type and Concentration on SEB Refolding and Thermodynamic Properties
2.2.7. Effects of pH on the Resistance of Staphylococcal Enterotoxin Biological Activity to Thermal Inactivation
3. Discussion
3.1. Involvement of SE Proteins in SFP and Their Significance for Food Safety
3.2. Resistance of SE Biological Activity to Thermal Inactivation
3.3. Structural Features of SE Proteins
3.4. Analysis of Protein Unfolding Using DSC
3.5. Effects of pH and Ionic Strength on SE Unfolding
4. Conclusions
5. Materials and Methods
5.1. Toxins
5.2. Differential Scanning Calorimetry
5.3. Heat Treatments of Staphylococcal Enterotoxins in Sample Buffers or in Reconstituted Nonfat Dry Milk
5.4. Enterotoxin Activity Assays
5.5. Human Interferon-γ ELISA
5.6. Data Analysis
5.7. Safety
Supplementary Materials
Author Contributions
Funding
Institutional Review Board Statement
Informed Consent Statement
Data Availability Statement
Acknowledgments
Conflicts of Interest
References
- Benkerroum, N. Staphylococcal enterotoxins and enterotoxin-like toxins with special reference to dairy products: An overview. Crit. Rev. Food Sci. Nutr. 2018, 58, 1943–1970. [Google Scholar] [CrossRef] [PubMed]
- Krakauer, T. Staphylococcal Superantigens: Pyrogenic Toxins Induce Toxic Shock. Toxins 2019, 11, 178. [Google Scholar] [CrossRef] [PubMed]
- Fisher, E.L.; Otto, M.; Cheung, G.Y.C. Basis of Virulence in Enterotoxin-Mediated Staphylococcal Food Poisoning. Front. Microbiol. 2018, 9, 436. [Google Scholar] [CrossRef] [PubMed]
- Etter, D.; Schelin, J.; Schuppler, M.; Johler, S. Staphylococcal Enterotoxin C-An Update on SEC Variants, Their Structure and Properties, and Their Role in Foodborne Intoxications. Toxins 2020, 12, 584. [Google Scholar] [CrossRef] [PubMed]
- Huvenne, W.; Hellings, P.W.; Bachert, C. Role of staphylococcal superantigens in airway disease. Int. Arch. Allergy Immunol. 2013, 161, 304–314. [Google Scholar] [CrossRef]
- Umeda, K.; Nakamura, H.; Yamamoto, K.; Nishina, N.; Yasufuku, K.; Hirai, Y.; Hirayama, T.; Goto, K.; Hase, A.; Ogasawara, J. Molecular and epidemiological characterization of staphylococcal foodborne outbreak of Staphylococcus aureus harboring seg, sei, sem, sen, seo, and selu genes without production of classical enterotoxins. Int. J. Food Microbiol. 2017, 256, 30–35. [Google Scholar] [CrossRef]
- Merda, D.; Felten, A.; Vingadassalon, N.; Denayer, S.; Titouche, Y.; Decastelli, L.; Hickey, B.; Kourtis, C.; Daskalov, H.; Mistou, M.Y.; et al. NAuRA: Genomic Tool to Identify Staphylococcal Enterotoxins in Staphylococcus aureus Strains Responsible for FoodBorne Outbreaks. Front. Microbiol. 2020, 11, 1483. [Google Scholar] [CrossRef]
- Jorgensen, H.J.; Mathisen, T.; Lovseth, A.; Omoe, K.; Qvale, K.S.; Loncarevic, S. An outbreak of staphylococcal food poisoning caused by enterotoxin H in mashed potato made with raw milk. FEMS Microbiol. Lett. 2005, 252, 267–272. [Google Scholar] [CrossRef]
- Bencardino, D.; Amagliani, G.; Brandi, G. Carriage of Staphylococcus aureus among food handlers: An ongoing challenge in public health. Food Control 2021, 130, 108362. [Google Scholar] [CrossRef]
- Argudin, M.A.; Mendoza, M.C.; Rodicio, M.R. Food poisoning and Staphylococcus aureus enterotoxins. Toxins 2010, 2, 1751–1773. [Google Scholar] [CrossRef]
- Abril, A.G.; Villa, T.G.; Barros-Velazquez, J.; Canas, B.; Sanchez-Perez, A.; Calo-Mata, P.; Carrera, M. Staphylococcus aureus Exotoxins and Their Detection in the Dairy Industry and Mastitis. Toxins 2020, 12, 537. [Google Scholar] [CrossRef] [PubMed]
- Asao, T.; Kumeda, Y.; Kawai, T.; Shibata, T.; Oda, H.; Haruki, K.; Nakazawa, H.; Kozaki, S. An extensive outbreak of staphylococcal food poisoning due to low-fat milk in Japan: Estimation of enterotoxin A in the incriminated milk and powdered skim milk. Epidemiol. Infect. 2003, 130, 33–40. [Google Scholar] [CrossRef] [PubMed]
- Kerouanton, A.; Hennekinne, J.A.; Letertre, C.; Petit, L.; Chesneau, O.; Brisabois, A.; De Buyser, M.L. Characterization of Staphylococcus aureus strains associated with food poisoning outbreaks in France. Int. J. Food Microbiol. 2007, 115, 369–375. [Google Scholar] [CrossRef]
- Ciupescu, L.M.; Auvray, F.; Nicorescu, I.M.; Meheut, T.; Ciupescu, V.; Lardeux, A.L.; Tanasuica, R.; Hennekinne, J.A. Characterization of Staphylococcus aureus strains and evidence for the involvement of non-classical enterotoxin genes in food poisoning outbreaks. FEMS Microbiol. Lett. 2018, 365, fny139. [Google Scholar] [CrossRef] [PubMed]
- Evenson, M.L.; Hinds, M.W.; Bernstein, R.S.; Bergdoll, M.S. Estimation of human dose of staphylococcal enterotoxin A from a large outbreak of staphylococcal food poisoning involving chocolate milk. Int. J. Food Microbiol. 1988, 7, 311–316. [Google Scholar] [CrossRef]
- Fung, D.Y.; Steinberg, D.H.; Miller, R.D.; Kurantnick, M.J.; Murphy, T.F. Thermal inactivation of staphylococcal enterotoxins B and C. Appl. Microbiol. 1973, 26, 938–942. [Google Scholar] [CrossRef]
- Schwabe, M.; Notermans, S.; Boot, R.; Tatini, S.R.; Kramer, J. Inactivation of staphylococcal enterotoxins by heat and reactivation by high pH treatment. Int. J. Food Microbiol. 1990, 10, 33–42. [Google Scholar] [CrossRef]
- Spink, C.H. Differential scanning calorimetry. Methods Cell Biol. 2008, 84, 115–141. [Google Scholar] [CrossRef]
- Hinz, H.J.; Schwarz, F.P. Measurement and analysis of results obtained on biological substances with differential scanning calorimetry. Pure Appl. Chem. 2001, 73, 745–759. [Google Scholar] [CrossRef]
- Vargas-Uribe, M.; Rodnin, M.V.; Ojemalm, K.; Holgado, A.; Kyrychenko, A.; Nilsson, I.; Posokhov, Y.O.; Makhatadze, G.; von Heijne, G.; Ladokhin, A.S. Thermodynamics of Membrane Insertion and Refolding of the Diphtheria Toxin T-Domain. J. Membr. Biol. 2015, 248, 383–394. [Google Scholar] [CrossRef]
- Mariutti, R.B.; Souza, T.A.; Ullah, A.; Caruso, I.P.; de Moraes, F.R.; Zanphorlin, L.M.; Tartaglia, N.R.; Seyffert, N.; Azevedo, V.A.; Le Loir, Y.; et al. Crystal structure of Staphylococcus aureus exfoliative toxin D-like protein: Structural basis for the high specificity of exfoliative toxins. Biochem. Biophys. Res. Commun. 2015, 467, 171–177. [Google Scholar] [CrossRef]
- Pina, D.G.; Gomez, J.; Villar, E.; Johannes, L.; Shnyrov, V.L. Thermodynamic analysis of the structural stability of the shiga toxin B-subunit. Biochemistry 2003, 42, 9498–9506. [Google Scholar] [CrossRef] [PubMed]
- Krupakar, J.; Swaminathan, C.P.; Das, P.K.; Surolia, A.; Podder, S.K. Calorimetric studies on the stability of the ribosome-inactivating protein abrin II: Effects of pH and ligand binding. Biochem. J. 1999, 338, 273–279. [Google Scholar] [CrossRef] [PubMed]
- Zhang, Z.; Triplett, O.A.; Nguyen, K.T.; Melchior, W.B., Jr.; Taylor, K.; Jackson, L.S.; Tolleson, W.H. Thermal inactivation reaction rates for ricin are influenced by pH and carbohydrates. Food Chem. Toxicol. 2013, 58, 116–123. [Google Scholar] [CrossRef]
- Yanaka, S.; Kudou, M.; Tanaka, Y.; Sasaki, T.; Takemoto, S.; Sakata, A.; Hattori, Y.; Koshi, T.; Futaki, S.; Tsumoto, K.; et al. Contribution of the flexible loop region to the function of staphylococcal enterotoxin B. Protein Eng. Des. Sel. (PEDS) 2010, 23, 415–421. [Google Scholar] [CrossRef][Green Version]
- Ren, K.Y.; Bannan, J.D.; Pancholi, V.; Cheung, A.L.; Robbins, J.C.; Fischetti, V.A.; Zabriskie, J.B. Characterization and biological properties of a new staphylococcal exotoxin. J. Exp. Med. 1994, 180, 1675–1683. [Google Scholar] [CrossRef]
- Nilsson, H.; Bjork, P.; Dohlsten, M.; Antonsson, P. Staphylococcal enterotoxin H displays unique MHC class II-binding properties. J. Immunol. 1999, 163, 6686–6693. [Google Scholar] [PubMed]
- Rudenko, N.V.; Karatovskaya, A.P.; Noskov, A.N.; Shepelyakovskaya, A.O.; Shchannikova, M.P.; Loskutova, I.V.; Artyemieva, O.A.; Nikanova, D.A.; Gladyr, E.A.; Brovko, F.A. Immunochemical assay with monoclonal antibodies for detection of staphylococcal enterotoxin H. J. Food Drug Anal. 2018, 26, 741–750. [Google Scholar] [CrossRef] [PubMed]
- Food Surveys Research Group (USDA). What’s in the Foods You Eat Search Tool, 2017–2018; USDA Agricultural Research Service: Beltsville, MD, USA, 2017.
- Hennekinne, J.A.; De Buyser, M.L.; Dragacci, S. Staphylococcus aureus and its food poisoning toxins: Characterization and outbreak investigation. FEMS Microbiol. Rev. 2012, 36, 815–836. [Google Scholar] [CrossRef]
- Bastos, C.P.; Bassani, M.T.; Mata, M.M.; Lopes, G.V.; da Silva, W.P. Prevalence and expression of staphylococcal enterotoxin genes in Staphylococcus aureus isolated from food poisoning outbreaks. Can. J. Microbiol. 2017, 63, 834–840. [Google Scholar] [CrossRef]
- Wakabayashi, Y.; Umeda, K.; Yonogi, S.; Nakamura, H.; Yamamoto, K.; Kumeda, Y.; Kawatsu, K. Staphylococcal food poisoning caused by Staphylococcus argenteus harboring staphylococcal enterotoxin genes. Int. J. Food Microbiol. 2018, 265, 23–29. [Google Scholar] [CrossRef] [PubMed]
- Scallan, E.; Hoekstra, R.M.; Angulo, F.J.; Tauxe, R.V.; Widdowson, M.A.; Roy, S.L.; Jones, J.L.; Griffin, P.M. Foodborne illness acquired in the United States—major pathogens. Emerg. Infect. Dis 2011, 17, 7–15. [Google Scholar] [CrossRef] [PubMed]
- Umeda, K.; Ono, H.K.; Wada, T.; Motooka, D.; Nakamura, S.; Nakamura, H.; Hu, D.L. High production of egc2-related staphylococcal enterotoxins caused a food poisoning outbreak. Int. J. Food Microbiol. 2021, 357, 109366. [Google Scholar] [CrossRef] [PubMed]
- Levine, W.C.; Bennett, R.W.; Choi, Y.; Henning, K.J.; Rager, J.R.; Hendricks, K.A.; Hopkins, D.P.; Gunn, R.A.; Griffin, P.M. Staphylococcal food poisoning caused by imported canned mushrooms. J. Infect. Dis. 1996, 173, 1263–1267. [Google Scholar] [CrossRef]
- Ikeda, T.; Tamate, N.; Yamaguchi, K.; Makino, S. Mass outbreak of food poisoning disease caused by small amounts of staphylococcal enterotoxins A and H. Appl. Environ. Microbiol. 2005, 71, 2793–2795. [Google Scholar] [CrossRef] [PubMed]
- Rasooly, R.; Do, P.M.; Friedman, M. Inhibition of biological activity of staphylococcal enterotoxin A (SEA) by apple juice and apple polyphenols. J. Agric. Food Chem. 2010, 58, 5421–5426. [Google Scholar] [CrossRef]
- Anderson, J.E.; Beelman, R.R.; Doores, S. Persistence of Serological and Biological Activities of Staphylococcal Enterotoxin A in Canned Mushrooms. J. Food Prot. 1996, 59, 1292–1299. [Google Scholar] [CrossRef]
- Hu, D.L.; Nakane, A. Mechanisms of staphylococcal enterotoxin-induced emesis. Eur. J. Pharmacol. 2014, 722, 95–107. [Google Scholar] [CrossRef]
- Denny, C.B.; Tan, P.L.; Bohrer, C.W. Heat Inactivation of Staphylococcal enterotoxin A. J. Food Sci. 1966, 31, 762–767. [Google Scholar] [CrossRef]
- Bennett, R.W. The biomolecular temperament of staphyloccal-enterotoxin in thermally processed foods. J. AOAC Int. 1992, 75, 6–12. [Google Scholar] [CrossRef]
- Jamlang, E.M.; Bartlett, M.L.; Snyder, H.E. Effect of pH, protein concentration, and ionic strength on heat inactivation of staphylococcal enterotoxin B 1. Appl. Microbiol. 1971, 22, 1034–1040. [Google Scholar] [CrossRef] [PubMed]
- Humber, J.Y.; Denny, C.B.; Bohrer, C.W. Influence of pH on the heat inactivation of staphylococcal enterotoxin A as determined by monkey feeding and serological assay. Appl. Microbiol. 1975, 30, 755–758. [Google Scholar] [CrossRef] [PubMed]
- Tatini, S.R. Thermal-Stability of Enterotoxins in Food. J. Milk Food Technol. 1976, 39, 432–438. [Google Scholar] [CrossRef]
- Akhtar, M.; Park, C.E.; Rayman, K. Effect of urea treatment on recovery of staphylococcal enterotoxin A from heat-processed foods. Appl. Environ. Microbiol. 1996, 62, 3274–3276. [Google Scholar] [CrossRef] [PubMed]
- Reichert, C.A.; Fung, D.Y.C. Thermal inactivation and subsequent reactivation of staphylococcal-enterotoxin b in selected liquid foods. J. Milk Food Technol. 1976, 39, 516–520. [Google Scholar] [CrossRef]
- Read, R.B.; Bradshaw, J.G.; Dickerson, R.W. Thermal inactivation of Staphylococcal enterotoxin B in raw milk. J. Dairy Sci. 1965, 48, 770. [Google Scholar]
- Read, R.B., Jr.; Bradshaw, J.G. Staphylococcal enterotoxin B thermal inactivation in milk. J. Dairy Sci. 1966, 49, 202–203. [Google Scholar] [CrossRef]
- Denny, C.B.; Humber, J.Y.; Bohrer, C.W. Effect of toxin concentration on the heat inactivation of staphylococcal enterotoxin A in beef bouillon and in phosphate buffer. Appl. Microbiol. 1971, 21, 1064–1066. [Google Scholar] [CrossRef] [PubMed]
- Tibana, A.; Rayman, K.; Akhtar, M.; Szabo, R. Thermal-Stability of Staphylococcal Enterotoxins a, B and C in a Buffered System. J. Food Prot. 1987, 50, 239–242. [Google Scholar] [CrossRef]
- Murzin, A.G. OB(oligonucleotide/oligosaccharide binding)-fold: Common structural and functional solution for non-homologous sequences. EMBO J. 1993, 12, 861–867. [Google Scholar] [CrossRef] [PubMed]
- Burroughs, A.M.; Balaji, S.; Iyer, L.M.; Aravind, L. Small but versatile: The extraordinary functional and structural diversity of the beta-grasp fold. Biol. Direct. 2007, 2, 18. [Google Scholar] [CrossRef] [PubMed]
- Spaulding, A.R.; Salgado-Pabon, W.; Kohler, P.L.; Horswill, A.R.; Leung, D.Y.; Schlievert, P.M. Staphylococcal and streptococcal superantigen exotoxins. Clin. Microbiol. Rev. 2013, 26, 422–447. [Google Scholar] [CrossRef] [PubMed]
- McElhaney, R.N. The use of differential scanning calorimetry and differential thermal analysis in studies of model and biological membranes. Chem. Phys. Lipids 1982, 30, 229–259. [Google Scholar] [CrossRef]
- Losada-Perez, P.; Mertens, N.; de Medio-Vasconcelos, B.; Slenders, E.; Leys, J.; Peeters, M.; van Grinsven, B.; Gruber, J.; Glorieux, C.; Pfeiffer, H.; et al. Phase Transitions of Binary Lipid Mixtures: A Combined Study by Adiabatic Scanning Calorimetry and Quartz Crystal Microbalance with Dissipation Monitoring. Adv. Condens. Matter Phys. 2015, 2015, 479318. [Google Scholar] [CrossRef]
- Medved, I.; Jurci, M.; Trnik, A. Determination of phase change temperature of materials from adiabatic scanning calorimetry data. J. Therm. Anal. Calorim. 2022, 1–12. [Google Scholar] [CrossRef]
- Roberts, D.; Keeling, R.; Tracka, M.; van der Walle, C.F.; Uddin, S.; Warwicker, J.; Curtis, R. Specific ion and buffer effects on protein-protein interactions of a monoclonal antibody. Mol. Pharm. 2015, 12, 179–193. [Google Scholar] [CrossRef] [PubMed]
- Collins, K.D. Charge density-dependent strength of hydration and biological structure. Biophys. J. 1997, 72, 65–76. [Google Scholar] [CrossRef]
- Ponikova, S.; Antosova, A.; Demjen, E.; Sedlakova, D.; Marek, J.; Varhac, R.; Gazova, Z.; Sedlak, E. Lysozyme stability and amyloid fibrillization dependence on Hofmeister anions in acidic pH. J. Biol. Inorg. Chem. 2015, 20, 921–933. [Google Scholar] [CrossRef] [PubMed]
- Stavropoulos, P.; Thanassoulas, A.; Nounesis, G. The effect of cations on reversibility and thermodynamic stability during thermal denaturation of lysozyme. J. Chem. Thermodyn. 2018, 118, 331–337. [Google Scholar] [CrossRef]
- Schad, E.M.; Zaitseva, I.; Zaitsev, V.N.; Dohlsten, M.; Kalland, T.; Schlievert, P.M.; Ohlendorf, D.H.; Svensson, L.A. Crystal structure of the superantigen staphylococcal enterotoxin type A. EMBO J. 1995, 14, 3292–3301. [Google Scholar] [CrossRef] [PubMed]
- Sundstrom, M.; Hallen, D.; Svensson, A.; Schad, E.; Dohlsten, M.; Abrahmsen, L. The Co-crystal structure of staphylococcal enterotoxin type A with Zn2+ at 2.7 A resolution. Implications for major histocompatibility complex class II binding. J. Biol. Chem. 1996, 271, 32212–32216. [Google Scholar] [CrossRef] [PubMed]
- Hakansson, M.; Petersson, K.; Nilsson, H.; Forsberg, G.; Bjork, P.; Antonsson, P.; Svensson, L.A. The crystal structure of staphylococcal enterotoxin H: Implications for binding properties to MHC class II and TcR molecules. J. Mol. Biol. 2000, 302, 527–537. [Google Scholar] [CrossRef] [PubMed]
- Petersson, K.; Hakansson, M.; Nilsson, H.; Forsberg, G.; Svensson, L.A.; Liljas, A.; Walse, B. Crystal structure of a superantigen bound to MHC class II displays zinc and peptide dependence. EMBO J. 2001, 20, 3306–3312. [Google Scholar] [CrossRef] [PubMed]
- Cavallin, A.; Arozenius, H.; Kristensson, K.; Antonsson, P.; Otzen, D.E.; Bjork, P.; Forsberg, G. The spectral and thermodynamic properties of staphylococcal enterotoxin A, E, and variants suggest that structural modifications are important to control their function. J. Biol. Chem. 2000, 275, 1665–1672. [Google Scholar] [CrossRef][Green Version]
- Regenthal, P.; Hansen, J.S.; Andre, I.; Lindkvist-Petersson, K. Thermal stability and structural changes in bacterial toxins responsible for food poisoning. PLoS ONE 2017, 12, e0172445. [Google Scholar] [CrossRef]
- Meechan, P.J.; Potts, J. Biosafety in Microbiological and Biomedical Laboratories, 6th ed.; US National Institues of Health, Centers for Disease Control and Prevention: Bethesda, MD, USA, 2020.
- US National Institutes of Health (NIH). NIH Guidelines for Research Involving Recombinant or Synthetic Nucleic Acid Molecules (NIH Guidelines); US National Institutes of Health (NIH): Bethesda, MD, USA, 2019. Available online: https://osp.od.nih.gov/wp-content/uploads/NIH_Guidelines.pdf (accessed on 29 January 2021).
- HHS Select Agents and Toxins. Revised. 42 CFR Part 73, 2012.
- Gao, Y.; Cao, Z.; Yang, X.; Abdelmegeed, M.A.; Sun, J.; Chen, S.; Beger, R.D.; Davis, K.; Salminen, W.F.; Song, B.J.; et al. Proteomic analysis of acetaminophen-induced hepatotoxicity and identification of heme oxygenase 1 as a potential plasma biomarker of liver injury. Proteom. Clin. Appl. 2017, 11, 1600123. [Google Scholar] [CrossRef] [PubMed]
- Goldberg, R.N.; Kishore, N.; Lennen, R.M. Thermodynamic Quantities for the Ionization Reactions of Buffers. J. Phys. Chem. Ref. Data 2002, 31, 231–370. [Google Scholar] [CrossRef]










| Isoform | pH | Zinc (µM) | Heating Cycle | a ΔHcal (kJ/mol) | b ΔHvH (kJ/mol) | c ΔScal (kJ/mol K) | d Tm (°C) | e Percent Refolding | |
|---|---|---|---|---|---|---|---|---|---|
| SEA | 4.5 | 0.0 | 1 | 419 ± 15 | 370 ± 2 | 1.1 ± 0.1 | 1.3 ± 0.1 | 59.9 ± 0.2 | 13 ± 4 |
| 2 | 55 ± 18 | 460 ± 80 | 0.1 ± 0.1 | 0.17 ± 0.05 | 60.4 ± 1.9 | ||||
| 10.0 | 1 | 400 ± 20 | 340 ± 10 | 1.2 ± 0.1 | 1.2 ± 0.1 | 60.7 ± 0.2 | 21 ± 2 | ||
| 2 | 85 ± 6 | 330 ± 11 | 0.3 ± 0.1 | 0.3 ± 0.1 | 61.5 ± 0.8 | ||||
| 6.8 | 0.0 | 1 | 520 ± 13 | 390 ± 20 | 1.3 ± 0.1 | 1.5 ± 0.1 | 65.8 ± 0.8 | none | |
| 2 | n.d. | n.d. | n.d. | n.d. | n.d. | ||||
| 10.0 | 1 | 590 ± 40 | 460 ± 90 | 1.3 ± 0.2 | 1.7 ± 0.1 | 66.3 ± 0.1 | none | ||
| 2 | n.d. | n.d. | n.d. | n.d. | n.d. | ||||
| SEB | 4.5 | 0.0 | 1 | 690 ± 60 | 410 ± 10 | 1.7 ± 0.2 | 2.0 ± 0.2 | 73.5 ± 0.5 | 56 ± 4 |
| 2 | 390 ± 10 | 370 ± 10 | 1.0 ± 0.1 | 1.1 ± 0.1 | 71.8 ± 0.7 | ||||
| 6.8 | 0.0 | 1 | 570 ± 70 | 430 ± 10 | 1.3 ± 0.2 | 1.7 ± 0.2 | 70.8 ± 0.2 | none | |
| 2 | n.d. | n.d. | n.d. | n.d. | n.d. | ||||
| SEH | 4.5 | 0.0 | 1 | 310 ± 80 | 430 ± 80 | 0.7 ± 0.2 | 0.9 ± 0.2 | 73.8 ± 0.2 | none |
| 2 | n.d. | n.d. | n.d. | n.d. | n.d. | ||||
| 10.0 | 1 | 400 ± 40 | 490 ± 30 | 0.8 ± 0.1 | 1.2 ± 0.3 | 73.6 ± 0.5 | none | ||
| 2 | n.d. | n.d. | n.d. | n.d. | n.d. | ||||
| 6.8 | 0.0 | 1 | 280 ± 20 | 400 ± 20 | 0.7 ± 0.1 | 0.9 ± 0.1 | 62.1 ± 0.3 | 56 ± 2 | |
| 2 | 160 ± 20 | 350 ± 50 | 0.5 ± 0.1 | 0.5 ± 0.1 | 62.2 ± 0.4 | ||||
| 10.0 | 1 | 520 ± 40 | 480 ± 80 | 1.1 ± 0.1 | 1.6 ± 0.1 | 61.9 ± 0.1 | 70 ± 5 | ||
| 2 | 370 ± 20 | 290 ± 10 | 1.3 ± 0.1 | 1.1 ± 0.1 | 60.6 ± 1.3 |
| pH | Heating Cycle | ΔHcal (kJ/mol) | ΔHvH (kJ/mol) | ΔScal (kJ/mol K) | Tm (°C) | a ΔTm (°C) | Percent Refolding | |
|---|---|---|---|---|---|---|---|---|
| 3.50 | 1 | 850 ± 70 | 530 ± 30 | 1.6 ± 0.2 | 2.5 ± 0.2 | 71.1 ± 0.2 | 4.7 ± 0.3 | 59 ± 7 |
| 2 | 500 ± 50 | 330 ± 30 | 1.5 ± 0.2 | 1.5 ± 0.1 | 66.3 ± 0.3 | |||
| 3.75 | 1 | 660 ± 80 | 500 ± 20 | 1.3 ± 0.1 | 1.9 ± 0.2 | 72.7 ± 0.3 | 4.1 ± 0.3 | 66 ± 2 |
| 2 | 430 ± 40 | 360 ± 10 | 1.2 ± 0.1 | 1.3 ± 0.1 | 68.6 ± 0.2 | |||
| 4.00 | 1 | 660 ± 270 | 460 ± 20 | 1.4 ± 0.6 | 1.9 ± 0.8 | 73.3 ± 0.5 | 2.8 ± 0.5 | 72 ± 10 |
| 2 | 460 ± 140 | 360 ± 10 | 1.3 ± 0.3 | 1.3 ± 0.4 | 70.5 ± 0.3 | |||
| 4.25 | 1 | 910 ± 140 | 450 ± 10 | 2.0 ± 0.3 | 2.6 ± 0.4 | 73.7 ± 0.1 | 2.5 ± 0.4 | 63 ± 6 |
| 2 | 580 ± 130 | 380 ± 10 | 1.5 ± 0.3 | 1.7 ± 0.4 | 71.1 ± 0.5 | |||
| 4.50 | 1 | 690 ± 60 | 410 ± 10 | 1.7 ± 0.2 | 2.0 ± 0.2 | 73.5 ± 0.5 | 1.7 ± 0.8 | 56 ± 4 |
| 2 | 390 ± 10 | 370 ± 10 | 1.0 ± 0.1 | 1.1 ± 0.1 | 71.8 ± 0.7 | |||
| 4.75 | 1 | 600 ± 100 | 440 ± 10 | 1.4 ± 0.2 | 1.7 ± 0.3 | 74.0 ± 0.8 | 1.5 ± 1.0 | 47 ± 10 |
| 2 | 280 ± 70 | 400 ± 20 | 0.7 ± 0.2 | 0.8 ± 0.2 | 72.5 ± 0.6 | |||
| 5.00 | 1 | 490 ± 90 | 450 ± 20 | 1.1 ± 0.2 | 1.4 ± 0.3 | 73.5 ± 0.2 | 0.6 ± 0.7 | 14 ± 5 |
| 2 | 70 ±30 | 410 ± 50 | 0.2 ± 0.1 | 0.2 ± 0.1 | 72.9 ± 0.7 | |||
| 5.50 | 1 | 540 ± 40 | 420 ± 20 | 1.3 ± 0.2 | 1.6 ± 0.1 | 72.5 ± 0.8 | none | none |
| 2 | n.d. | n.d. | n.d. | n.d. | n.d. |
| a Buffer | pH | Heating Cycle | ΔHcal (kJ/mol) | ΔHvH (kJ/mol) | ΔScal (kJ/mol K) | Tm (°C) | ΔTm (°C) | Percent Refolding | |
|---|---|---|---|---|---|---|---|---|---|
| 25 mM NaOAc | 4.50 | 1 | 690 ± 60 | 410 ± 10 | 1.7 ± 0.2 | 2.0 ± 0.2 | 73.5 ± 0.5 | 1.7 ± 0.8 | 56 ± 4 |
| 2 | 390 ± 10 | 370 ± 10 | 1.0 ± 0.1 | 1.1 ± 0.1 | 71.8 ± 0.7 | ||||
| 25 mM NaPi | 6.80 | 1 | 570 ± 70 | 430 ± 10 | 1.3 ± 0.2 | 1.7 ± 0.2 | 70.8 ± 0.2 | n.d. | n.d. |
| 2 | n.d. | n.d. | n.d. | n.d. | n.d. | ||||
| 25 mM NaCit | 4.50 | 1 | 420 ± 5 | 500 ± 30 | 0.8 ± 0.1 | 1.2 ± 0.2 | 72.0 ± 0.1 | n.d. | n.d. |
| 2 | n.d. | n.d. | n.d. | n.d. | n.d. | ||||
| 25 mM NaCit | 6.80 | 1 | 510 ± 60 | 420 ± 30 | 1.2 ± 0.2 | 1.5 ± 0.2 | 69.3 ± 0.7 | n.d. | n.d. |
| 2 | n.d. | n.d. | n.d. | n.d. | n.d. | ||||
| 25 mM NaOAc, 25 mM NaPi | 4.50 | 1 | 560 ± 40 | 530 ± 90 | 1.1 ± 0.1 | 1.6 ± 0.1 | 73.6 ± 0.6 | 2.4 ± 0.8 | 16 ± 2 |
| 2 | 90 ± 10 | 340 ± 80 | 0.3 ± 0.1 | 0.26 ± 0.03 | 71.2 ± 0.6 | ||||
| 25 mM NaOAc, 25 mM NaPi, 50 mM Im | 4.50 | 1 | 540 ± 80 | 490 ± 10 | 1.1 ± 0.2 | 1.6 ± 0.2 | 73.5 ± 0.1 | 1.9 ± 1.5 | 8 ± 2 |
| 2 | 43 ± 8 | 350 ± 60 | 0.1 ± 0.1 | 0.13± 0.02 | 71.6 ± 1.5 | ||||
| 83 mM NaOAc | 4.50 | 1 | 650 ± 11 | 460 ± 10 | 1.4 ± 0.2 | 1.9 ± 0.1 | 73.4 ± 0.4 | 1.9 ± 0.5 | 19 ± 1 |
| 2 | 122 ± 8 | 390 ± 10 | 0.3 ± 0.1 | 0.35 ± 0.02 | 71.5 ± 0.4 |
| Toxins and Sample Treatment | Assay System | Results | Reference |
|---|---|---|---|
| 30 µg/mL SEB in 40 mM barbital buffer, pH 7.2, heated at 96–126.7 °C for 12–103 min. | DIDA, emesis (cats) | SEB z-value in veronal (barbital) buffer 32.4 °C, emetic activity inactivated by 115.6 °C for 32.5 min. | [47] |
| Crude SEA heated at 212–250 °F for 2–100 min. | Emesis (monkeys), emesis (cats) | SEA z-value in culture media 48 °F (emesis in cats), F25049 11 min (emesis in cats), F25040 8 min (emesis in monkeys) | [40] |
| 30 µg/mL SEB in raw milk heated at 210–260 °F | DIDA | Inactivation times 134.2–12.1 min, D-values 68.5–6.2 min, SEB z-value in milk 46.6 °F. | [48] |
| 100 µg/mL SEB in sodium acetate, pH 4.5 or sodium phosphate, pH 6.4 adjusted to 0.02–1.0 ionic strength heated at 70–100 °C for 0–32 min. | SIDA, emesis (dogs) | SEB resistance to heat inactivation was greater at pH 4.5 than at pH 6.8. | [42] |
| 5–60 µg/mL SEA in beef bouillon, pH 6.2 or PBS, pH 7.2 heated at 100–121.1 °C for 0–200 min. | SIDA | SEA z-value in beef bouillon 27.8 °C | [49] |
| 5–400 ng/kg SEA 2% gelatin/saline or 0.3% peptone, pH 7.0 heated at 100 °C for 25.4 min | Emesis (humans) | SEA-induced emesis resisted heat treatment (6/6). Clinical symptoms from heat-treated SEA appeared more severe than for untreated SEA. | [41] |
| 7 µg/mL SEA in Casamino acids (pH 5.3 or 7.8) or 5 µg/mL SEA in beef bouillon (pH 5.3 or 6.2) heated at 212–250 °F for 1–160 min. | SIDA, emesis (monkeys) | Emetic activity of SEA in Casamino acids, pH 5.3 was eliminated by heating 1 min at 212–250 °F but inactivation required 8–50 min at pH 7.8. SEA z-value in beef bouillon 55 °F. | [43] |
| 0.008–5.0 µg/mL SEB in milk and liquid foods heated at 80–100 °C for 0–5 min. Reactivation at 4 °C and 25 °C for 24 h. | SIDA, DIDA, RIA | SEB in milk, pH 6.4 decreased to 9% of original after 5 min at 100 °C. SEB in buttermilk, pH 4.5 decreased to 26% after 5 min at 100 °C. | [46] |
| 0.1 µg/mL SEA, SEB, or SEC in PBS, pH 7.4 heated at 80, 100, or 120 °C for up to 180 min. | RIA | Heat resistance (descending order): SEC > SEB > SEA. | [50] |
| 5 µg/mL SEA or 1 µg/mL SEB or SEC in milk or food extracts at pH 4.0, 5.5, or 7.0 heated at 80 or 100 °C for 10 min. Reactivation tested with heat and with pH 11 treatment. | ELISA, emesis (monkeys) | Lower recovery of SEA in milk at pH 4.0 and 5.5 than pH 7.0 (29%). Higher recovery of SEB in milk at pH 4.0 than at pH 5.5 or 7.0. Enhanced recovery of SEA and SEB with high pH treatment after heating than with reheating. SEA emetic activity in foods at pH 4.5 or 5.0 restored by high pH after heating. | [17] |
| 0.2–1.0 µg/g SEA in mushrooms or in meat samples heated at 121.1 °C for 0–15 min ± treatment with 6 M urea post-heating | RPLA, ELISA | 0.8–2.4% SEA recovered after heating 5–15 min at 121.1 °C. Urea treatment did not improve recovery. | [45] |
| Primer | Sequence (5′-3′) |
|---|---|
| pF1AT7Flexi-751-SEH-fwd | GCGTGCGATCGCCATGATTAATAAAATTAAAATATTATTTTCGT |
| pF1AT7Flexi-751-SEH-rev | AACTGTTTAAACTTATACTTTTTTCTTAGTATATAGATT |
| pFlexi-F | CGGATGGCCTTTTTGCGTTTCTA |
| pFlexi-R | CTTCCTTTCGGGCTTTGTTAG |
| SEH-F-354 | TGAATGTCTATATGGAGGTACAACA |
| SEH-F-554 | GCGAAATAAGTAAAGGTCTAATTGAA |
| SEH-R-239 | TCATTGCCACTATCACCTTGA |
| SEH-R-639 | ATTTTCTCCTTTTAAATCATAAATGTC |
| SEA | SEB | SEH | |
|---|---|---|---|
| Accession | AAA26681.1 | AAW37877.1 | AAA19777.1 |
| 3D structure | 1SXT | 3SEB | 1EWC |
| Amino acid residues | 233 | 239 | 217 |
| Molecular mass (kDa) | 27.091 | 28.366 | 25.141 |
| Disulfide links | C96–C106 | C93–C113 | C82–C92 |
| Zinc contact residues | H187, H225, A227 | None | N112, H206, D208 |
| Isoelectric point (pI) | 6.76 | 8.91 | 4.89 |
| Molar absorptivity (M−1 cm−1) | 34,540 | 32,690 | 23,730 |
Publisher’s Note: MDPI stays neutral with regard to jurisdictional claims in published maps and institutional affiliations. |
© 2022 by the authors. Licensee MDPI, Basel, Switzerland. This article is an open access article distributed under the terms and conditions of the Creative Commons Attribution (CC BY) license (https://creativecommons.org/licenses/by/4.0/).
Share and Cite
Berry, S.C.; Triplett, O.A.; Yu, L.-R.; Hart, M.E.; Jackson, L.S.; Tolleson, W.H. Microcalorimetric Investigations of Reversible Staphylococcal Enterotoxin Unfolding. Toxins 2022, 14, 554. https://doi.org/10.3390/toxins14080554
Berry SC, Triplett OA, Yu L-R, Hart ME, Jackson LS, Tolleson WH. Microcalorimetric Investigations of Reversible Staphylococcal Enterotoxin Unfolding. Toxins. 2022; 14(8):554. https://doi.org/10.3390/toxins14080554
Chicago/Turabian StyleBerry, Susan C., Odbert A. Triplett, Li-Rong Yu, Mark E. Hart, Lauren S. Jackson, and William H. Tolleson. 2022. "Microcalorimetric Investigations of Reversible Staphylococcal Enterotoxin Unfolding" Toxins 14, no. 8: 554. https://doi.org/10.3390/toxins14080554
APA StyleBerry, S. C., Triplett, O. A., Yu, L.-R., Hart, M. E., Jackson, L. S., & Tolleson, W. H. (2022). Microcalorimetric Investigations of Reversible Staphylococcal Enterotoxin Unfolding. Toxins, 14(8), 554. https://doi.org/10.3390/toxins14080554

