New Mutants of Epsilon Toxin from Clostridium perfringens with an Altered Receptor-Binding Site and Cell-Type Specificity
Abstract
1. Introduction
2. Results
2.1. Design and Production of the Mutants
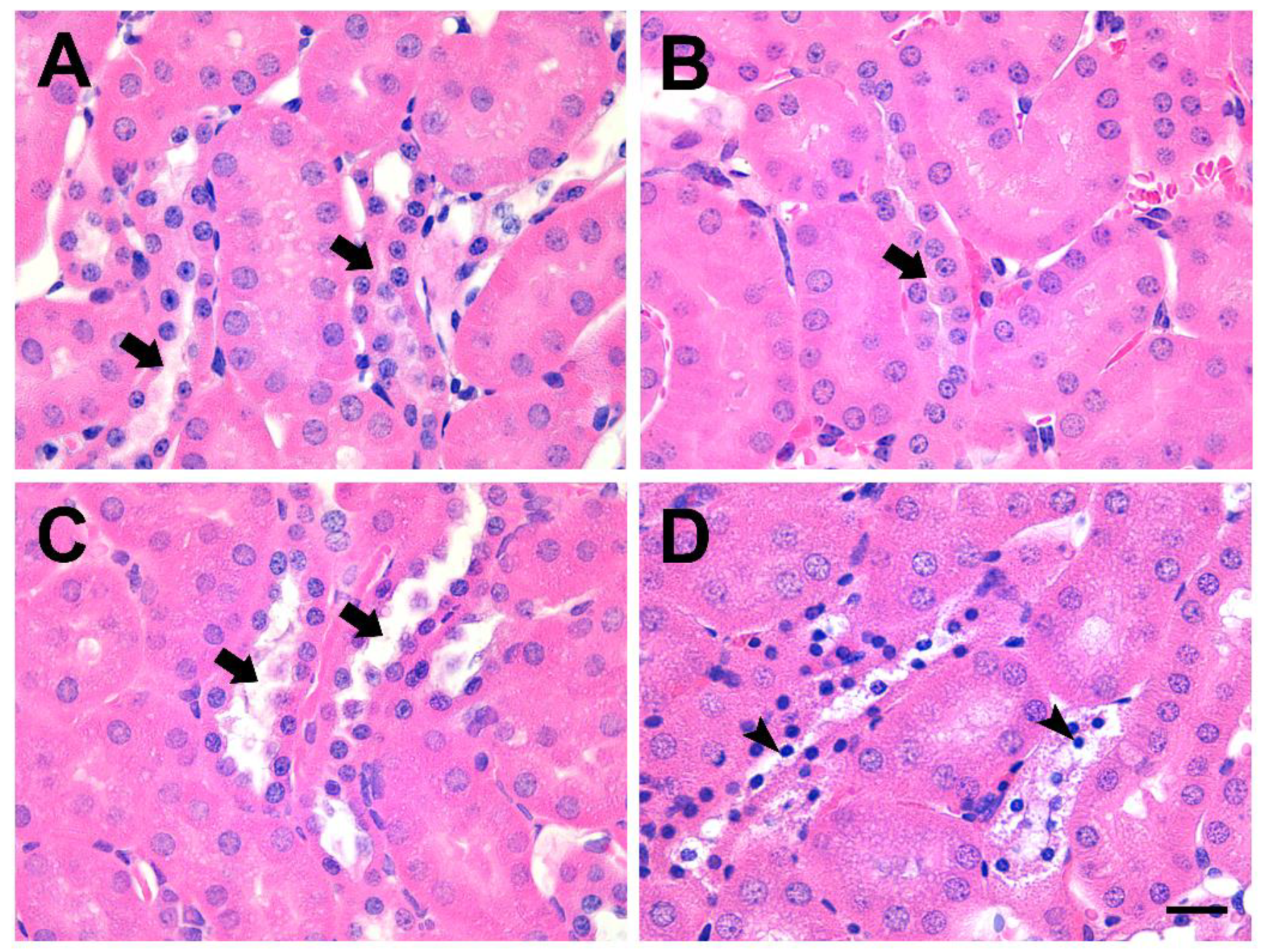
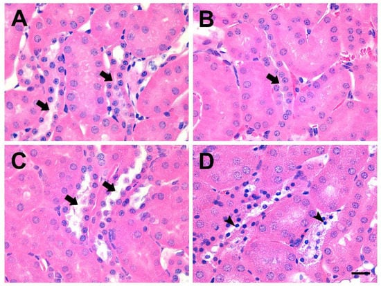
2.2. In Vivo Studies
In Vivo Studies: Histological Analysis of Mice Injected with GFP-Etx Mutants
2.3. In Vitro Studies
2.3.1. In Vitro Studies in MDCK Cells
Study of the Cytotoxicity of GFP-Etx Mutants and ATP Depletion in MDCK Cells
Binding and Oligomerization of GFP-Etx Mutants in MDCK Cells
2.3.2. Binding of GFP-Etx Mutants in the Kidneys
3. Discussion
4. Conclusions
5. Materials and Methods
5.1. Cloning, Expression, and Purification of pEtx and pEtx Mutants with or without GFP and Their Respective Active Forms
5.2. Production of pEtx-H106P-DyLight488 and pEtx-ΔS188-F196-DyLight550
5.3. Cell Lines
5.4. Animals
5.5. In Vitro Binding of GFP-Etx Mutants to MDCK Cells and Tissues
5.6. Cytotoxicity Assays in MDCK Cells
5.7. Luciferin-Luciferase ATP Detection Assays in MDCK Cells
5.8. Oligomer Complex Formation in MDCK Cells
5.9. Immunohistochemical Analysis of Mouse Samples
5.10. Treatment with Pronase E, Detergents, N-glycosidase F, and Sodium Hydroxide (NaOH)
5.11. Statistics
5.12. Molecular Graphics
Supplementary Materials
Author Contributions
Funding
Institutional Review Board Statement
Informed Consent Statement
Data Availability Statement
Acknowledgments
Conflicts of Interest
References
- Bokori-Brown, M.; Kokkinidou, M.; Savva, C.; da Costa, S.; Naylor, C.; Cole, A.; Moss, D.; Basak, A.; Titball, R. Clostridium perfringens epsilon toxin H149A mutant as a platform for receptor binding studies. Protein Sci. 2013, 22, 650–659. [Google Scholar] [CrossRef] [PubMed]
- Rood, J.; Cole, S. Molecular-genetics and pathogenesis of Clostridium perfringens. Microbiol. Rev. 1991, 55, 621–648. [Google Scholar] [CrossRef] [PubMed]
- Payne, D.; Oyston, P. The Clostridium Perfringens Epsilon Toxin; Rood, J.I., Ed.; Academic Press: San Diego, CA, USA, 1997. [Google Scholar]
- Minami, J.; Katayama, S.; Matsushita, O.; Matsushita, C.; Okabe, A. Lambda-toxin of Clostridium perfringens activates the precursor of epsilon-toxin by releasing its N- and C-terminal peptides. Microbiol. Immunol. 1997, 41, 527–535. [Google Scholar] [CrossRef] [PubMed]
- Popoff, M.R. Epsilon toxin: A fascinating pore-forming toxin. FEBS J. 2011, 278, 4602–4615. [Google Scholar] [CrossRef]
- Goldstein, J.; Morris, W.E.; Loidl, C.F.; Tironi-Farinati, C.; Tironi-Farinatti, C.; McClane, B.A.; Uzal, F.A.; Fernandez Miyakawa, M.E. Clostridium perfringens epsilon toxin increases the small intestinal permeability in mice and rats. PLoS ONE 2009, 4, e7065. [Google Scholar] [CrossRef]
- Adamson, R.H.; Ly, J.C.; Fernandez-Miyakawa, M.; Ochi, S.; Sakurai, J.; Uzal, F.; Curry, F.E. Clostridium perfringens epsilon-toxin increases permeability of single perfused microvessels of rat mesentery. Infect. Immun. 2005, 73, 4879–4887. [Google Scholar] [CrossRef][Green Version]
- Uzal, F.A.; Songer, J.G. Diagnosis of Clostridium perfringens intestinal infections in sheep and goats. J. Vet. Diagn. Investig. 2008, 20, 253–265. [Google Scholar] [CrossRef]
- Nagahama, M.; Sakurai, J. Distribution of labeled Clostridium perfringens epsilon toxin in mice. Toxicon 1991, 29, 211–217. [Google Scholar] [CrossRef]
- Soler-Jover, A.; Dorca, J.; Popoff, M.R.; Gibert, M.; Saura, J.; Tusell, J.M.; Serratosa, J.; Blasi, J.; Martín-Satué, M. Distribution of Clostridium perfringens epsilon toxin in the brains of acutely intoxicated mice and its effect upon glial cells. Toxicon 2007, 50, 530–540. [Google Scholar] [CrossRef]
- Adler, D.; Linden, J.; Shetty, S.; Ma, Y.; Bokori-Brown, M.; Titball, R.; Vartanian, T. Clostridium perfringens Epsilon Toxin Compromises the Blood-Brain Barrier in a Humanized Zebrafish Model. Iscience 2019, 15, 39–54. [Google Scholar] [CrossRef]
- Dorca-Arevalo, J.; Pauillac, S.; Diaz-Hidalgo, L.; Martin-Satue, M.; Popoff, M.R.; Blasi, J. Correlation between In Vitro Cytotoxicity and In Vivo Lethal Activity in Mice of Epsilon Toxin Mutants from Clostridium perfringens. PLoS ONE 2014, 9, e102417. [Google Scholar] [CrossRef] [PubMed]
- Dorca-Arévalo, J.; Soler-Jover, A.; Gibert, M.; Popoff, M.R.; Martín-Satué, M.; Blasi, J. Binding of epsilon-toxin from Clostridium perfringens in the nervous system. Vet. Microbiol. 2008, 131, 14–25. [Google Scholar] [CrossRef] [PubMed]
- Rumah, K.R.; Linden, J.; Fischetti, V.A.; Vartanian, T. Isolation of Clostridium perfringens type B in an individual at first clinical presentation of multiple sclerosis provides clues for environmental triggers of the disease. PLoS ONE 2013, 8, e76359. [Google Scholar] [CrossRef] [PubMed]
- Linden, J.R.; Ma, Y.; Zhao, B.; Harris, J.M.; Rumah, K.R.; Schaeren-Wiemers, N.; Vartanian, T. Clostridium perfringens Epsilon Toxin Causes Selective Death of Mature Oligodendrocytes and Central Nervous System Demyelination. mBio 2015, 6, e02513. [Google Scholar] [CrossRef]
- Wioland, L.; Dupont, J.; Doussau, F.; Gaillard, S.; Heid, F.; Isope, P.; Pauillac, S.; Popoff, M.; Bossu, J.; Poulain, B. Epsilon toxin from Clostridium perfringens acts on oligodendrocytes without forming pores, and causes demyelination. Cell. Microbiol. 2015, 17, 369–388. [Google Scholar] [CrossRef]
- Ivie, S.; McClain, M. Identification of Amino Acids Important for Binding of Clostridium perfringens Epsilon Toxin to Host Cells and to HAVCR1. Biochemistry 2012, 51, 7588–7595. [Google Scholar] [CrossRef]
- Fennessey, C.M.; Sheng, J.; Rubin, D.H.; McClain, M.S. Oligomerization of Clostridium perfringens epsilon toxin is dependent upon caveolins 1 and 2. PLoS ONE 2012, 7, e46866. [Google Scholar] [CrossRef]
- Rumah, K.; Ma, Y.; Linden, J.; Oo, M.; Anrather, J.; Schaeren-Wiemers, N.; Alonso, M.; Fischetti, V.; McClain, M.; Vartanian, T. The Myelin and Lymphocyte Protein MAL Is Required for Binding and Activity of Clostridium perfringens epsilon-Toxin. PLoS Pathog. 2015, 11, e1004896. [Google Scholar] [CrossRef]
- Blanch, M.; Dorca-Arevalo, J.; Not, A.; Cases, M.; de Aranda, I.; Martinez-Yelamos, A.; Martinez-Yelamos, S.; Solsona, C.; Blasi, J. The Cytotoxicity of Epsilon Toxin from Clostridium perfringens on Lymphocytes Is Mediated by MAL Protein Expression. Mol. Cell. Biol. 2018, 38, e00086-18. [Google Scholar] [CrossRef]
- Linden, J.; Flores, C.; Schmidt, E.; Uzal, F.; Michel, A.; Valenzuela, M.; Dobrow, S.; Vartanian, T. Clostridium perfringens epsilon toxin induces blood brain barrier permeability via caveolae-dependent transcytosis and requires expression of MAL. PLoS Pathog. 2019, 15, e1008014. [Google Scholar] [CrossRef]
- Petit, L.; Gibert, M.; Gillet, D.; Laurent-Winter, C.; Boquet, P.; Popoff, M.R. Clostridium perfringens epsilon-toxin acts on MDCK cells by forming a large membrane complex. J. Bacteriol. 1997, 179, 6480–6487. [Google Scholar] [CrossRef] [PubMed]
- Dorca-Arévalo, J.; Martín-Satué, M.; Blasi, J. Characterization of the high affinity binding of epsilon toxin from Clostridium perfringens to the renal system. Vet. Microbiol. 2012, 157, 179–189. [Google Scholar] [CrossRef] [PubMed]
- Dorca-Arevalo, J.; Blanch, M.; Pradas, M.; Blasi, J. Epsilon toxin from Clostridium perfringens induces cytotoxicity in FRT thyroid epithelial cells. Anaerobe 2018, 53, 43–49. [Google Scholar] [CrossRef] [PubMed]
- Dorca-Arevalo, J.; Dorca, E.; Torrejon-Escribano, B.; Blanch, M.; Martin-Satue, M.; Blasi, J. Lung endothelial cells are sensitive to epsilon toxin from Clostridium perfringens. Vet. Res. 2020, 51, 27. [Google Scholar] [CrossRef]
- Petit, L.; Gibert, M.; Gourch, A.; Bens, M.; Vandewalle, A.; Popoff, M.R. Clostridium perfringens epsilon toxin rapidly decreases membrane barrier permeability of polarized MDCK cells. Cell. Microbiol. 2003, 5, 155–164. [Google Scholar] [CrossRef]
- Cole, A.; Gibert, M.; Popoff, M.; Moss, D.; Titball, R.; Basak, A. Clostridium perfringens epsilon-toxin shows structural similarity to the pore-forming toxin aerolysin. Nat. Struct. Mol. Biol. 2004, 11, 797–798. [Google Scholar] [CrossRef]
- Savva, C.; Clark, A.; Naylor, C.; Popoff, M.; Moss, D.; Basak, A.; Titball, R.; Bokori-Brown, M. The pore structure of Clostridium perfringens epsilon toxin. Nat. Commun. 2019, 10, 2641. [Google Scholar] [CrossRef]
- Alves, G.; de Avila, R.; Chavez-Olortegui, C.; Lobato, F. Clostridium perfringens epsilon toxin: The third most potent bacterial toxin known. Anaerobe 2014, 30, 102–107. [Google Scholar] [CrossRef]
- Pelish, T.; McClain, M. Dominant-negative Inhibitors of the Clostridium perfringens epsilon-Toxin. J. Biol. Chem. 2009, 284, 29446–29453. [Google Scholar] [CrossRef]
- Oyston, P.; Payne, D.; Havard, H.; Williamson, E.; Titball, R. Production of a non-toxic site-directed mutant of Clostridium perfringens epsilon-toxin which induces protective immunity in mice. Microbiology 1998, 144, 333–341. [Google Scholar] [CrossRef]
- Morcrette, H.; Bokori-Brown, M.; Ong, S.; Bennett, L.; Wren, B.; Lewis, N.; Titball, R. Clostridium perfringens epsilon toxin vaccine candidate lacking toxicity to cells expressing myelin and lymphocyte protein. NPJ Vaccines 2019, 4, 32. [Google Scholar] [CrossRef] [PubMed]
- Tamai, E.; Ishida, T.; Miyata, S.; Matsushita, O.; Suda, H.; Kobayashi, S.; Sonobe, H.; Okabe, A. Accumulation of Clostridium perfringens epsilon-toxin in the mouse kidney and its possible biological significance. Infect. Immun. 2003, 71, 5371–5375. [Google Scholar] [CrossRef] [PubMed]
- Soler-Jover, A.; Blasi, J.; Gómez de Aranda, I.; Navarro, P.; Gibert, M.; Popoff, M.R.; Martín-Satué, M. Effect of epsilon toxin-GFP on MDCK cells and renal tubules in vivo. J. Histochem. Cytochem. 2004, 52, 931–942. [Google Scholar] [CrossRef] [PubMed]
- Engel, U.; Breborowicz, D.; Bøg-Hansen, T.; Francis, D. Lectin staining of renal tubules in normal kidney. APMIS 1997, 105, 31–34. [Google Scholar] [CrossRef]
- Yabuki, A.; Suzuki, S.; Matsumoto, M.; Nishinakagawa, H. Lectin-histochemical and -cytochemical study of periodic acid Schiff-positive lysosome granules as a histological feature of the female mouse kidney. Histol. Histopathol. 2002, 17, 1017–1024. [Google Scholar] [CrossRef]
- Elger, M.; Werner, A.; Herter, P.; Kohl, B.; Kinne, R.K.; Hentschel, H. Na-P(i) cotransport sites in proximal tubule and collecting tubule of winter flounder (Pleuronectes americanus). Am. J. Physiol. 1998, 274, F374–F383. [Google Scholar] [CrossRef]
- Jemal, D.; Shifa, M.; Kebede, B. Review on Pulpy Kidney Disease. J. Vet. Sci. Technol. 2016, 7, 361. [Google Scholar] [CrossRef]
- Koppelman, M.; Dufau, M. Prolactin receptors in luteinized rat ovaries—unmasking of specific binding-sites with detergent treatment. Endocrinology 1982, 111, 1350–1357. [Google Scholar] [CrossRef]
- Mello, R.; Brown, M.; Goldstein, J.; Anderson, R. LDL receptors in coated vesicles isolated from bovine adrenal-cortex—Binding-sites unmasked by detergent treatment. Cell 1980, 20, 829–837. [Google Scholar] [CrossRef]
- Pilch, P.; Shia, M.; Benson, R.; Fine, R. Coated vesicles participate in the receptor-mediated endocytosis of insulin. J. Cell Biol. 1983, 96, 133–138. [Google Scholar] [CrossRef]
- Hunter, S.; Clarke, I.; Kelly, D.; Titball, R. Cloning and nucleotide sequencing of the Clostridium-perfringens epsilon-toxin gene and its expression in escherichia-coli. Infect. Immun. 1992, 60, 102–110. [Google Scholar] [CrossRef] [PubMed]
- Egea, G.; Goldstein, I.; Roth, J. Light and electron-microscopic detection of (3-gal-beta-1,4 glcnac-beta-1) sequences in asparagine-linked oligosaccharides with the datura-stramonium lectin. Histochemistry 1989, 92, 515–522. [Google Scholar] [CrossRef] [PubMed]
- Laitinen, L.; Virtanen, I.; Saxen, L. Changes in the glycosylation pattern during embryonic development of mouse kidney as revealed with lectin conjugates. J. Histochem. Cytochem. 1987, 35, 55–65. [Google Scholar] [CrossRef] [PubMed]
- Fukuda, M. Beta-elimination for release of O-GalNAc-linked oligosaccharides from glycoproteins and glycopeptides. Curr. Protoc. Mol. Biol. 2001, 31, 17.15.4–17.15.9. [Google Scholar] [CrossRef]
- Nishimoto, K.; Tanaka, K.; Murakami, T.; Nakashita, H.; Sakamoto, H.; Oguri, S. Datura stramonium agglutinin: Cloning, molecular characterization and recombinant production in Arabidopsis thaliana. Glycobiology 2015, 25, 157–169. [Google Scholar] [CrossRef]
- Poiroux, G.; Barre, A.; van Damme, E.; Benoist, H.; Rouge, P. Plant Lectins Targeting O-Glycans at the Cell Surface as Tools for Cancer Diagnosis, Prognosis and Therapy. Int. J. Mol. Sci. 2017, 18, 1232. [Google Scholar] [CrossRef]










| Primers | Sequences |
|---|---|
| Forward pEtxΔV108-F135 | 5′ACTGATACAGTAACTGCAACTACTACTCATACTGCAAATACAAATACAAA3′ |
| Reverse pEtxΔV108-F135 | 5′TTTGTATTTGTATTTGCAGTATGAGTAGTAGTTGCAGTTACTGTATCAGT3′ |
| Forward pEtxΔS188-F196 | 5′GTAAAGTTAGTAGGACAAGTAAGTGGAAGTTTATCGGATACAGTAAAT3′ |
| Reverse pEtxΔS188-F196 | 5′ATTTACTGTATCCGATAAACTTCCACTTACTTGTCCTACTAACTTTAC3′ |
| Reverse Active wild-type Etx | 5′TTTATTCCTGGTGCCTTAATAGAAA3′ |
Publisher’s Note: MDPI stays neutral with regard to jurisdictional claims in published maps and institutional affiliations. |
© 2022 by the authors. Licensee MDPI, Basel, Switzerland. This article is an open access article distributed under the terms and conditions of the Creative Commons Attribution (CC BY) license (https://creativecommons.org/licenses/by/4.0/).
Share and Cite
Dorca-Arévalo, J.; Gómez de Aranda, I.; Blasi, J. New Mutants of Epsilon Toxin from Clostridium perfringens with an Altered Receptor-Binding Site and Cell-Type Specificity. Toxins 2022, 14, 288. https://doi.org/10.3390/toxins14040288
Dorca-Arévalo J, Gómez de Aranda I, Blasi J. New Mutants of Epsilon Toxin from Clostridium perfringens with an Altered Receptor-Binding Site and Cell-Type Specificity. Toxins. 2022; 14(4):288. https://doi.org/10.3390/toxins14040288
Chicago/Turabian StyleDorca-Arévalo, Jonatan, Inmaculada Gómez de Aranda, and Juan Blasi. 2022. "New Mutants of Epsilon Toxin from Clostridium perfringens with an Altered Receptor-Binding Site and Cell-Type Specificity" Toxins 14, no. 4: 288. https://doi.org/10.3390/toxins14040288
APA StyleDorca-Arévalo, J., Gómez de Aranda, I., & Blasi, J. (2022). New Mutants of Epsilon Toxin from Clostridium perfringens with an Altered Receptor-Binding Site and Cell-Type Specificity. Toxins, 14(4), 288. https://doi.org/10.3390/toxins14040288
