Parenteral Exposure of Mice to Ricin Toxin Induces Fatal Hypoglycemia by Cytokine-Mediated Suppression of Hepatic Glucose-6-Phosphatase Expression
Abstract
1. Introduction
2. Results
2.1. Glycemic Response to Parenteral Injection of Ricin
2.2. Tissue Distribution and Persistence of Ricin
2.3. Effects of Ricin Administration on Parameters of Immunity and Inflammation
2.4. Systemic Metabolic Responses to Ricin Administration
2.5. Pancreatic Histology and Function
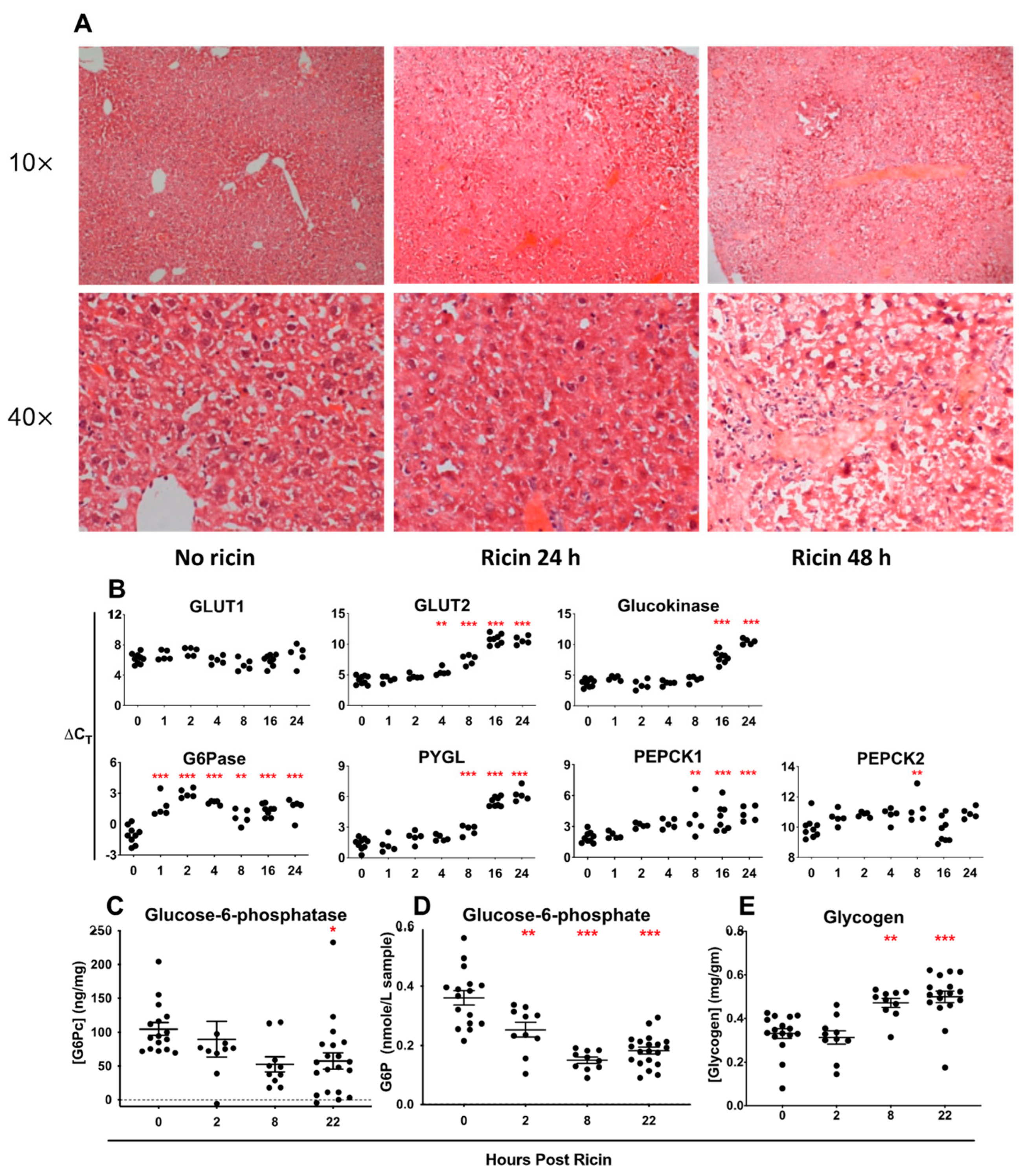
2.6. Liver Histology and Function
3. Discussion
4. Materials and Methods
4.1. Mice
4.2. Abs, Reagents, and Test Kits
4.3. Blood Glucose
4.4. Measurement of Ricin in Tissues
4.5. Flow Cytometry
4.6. Multiplex Analyses
4.7. Glucose Tolerance Test (GTT)
4.8. Immunoblotting
4.9. STZ-Induced Diabetes
4.10. Microscopic Analyses
4.11. Isolation of Islets from Intact Pancreas
4.12. Reverse Transcriptase, Quantitative PCR (RT-PCR)
4.13. Statistics
Author Contributions
Funding
Institutional Review Board Statement
Informed Consent Statement
Data Availability Statement
Acknowledgments
Conflicts of Interest
References
- van Deurs, B.; Tønnessen, T.I.; Petersen, O.W.; Sandvig, K.; Olsnes, S. Routing of internalized ricin and ricin conjugates to the Golgi complex. J. Cell Biol. 1986, 102, 37–47. [Google Scholar] [CrossRef] [PubMed]
- Lord, M.J.; Jolliffe, N.A.; Marsden, C.J.; Pateman, C.S.; Smith, D.C.; Spooner, R.A.; Watson, P.D.; Roberts, L.M. Ricin. Mechanisms of cytotoxicity. Toxicol. Rev. 2003, 22, 53–64. [Google Scholar] [CrossRef] [PubMed]
- Sandvig, K.; Skotland, T.; van Deurs, B.; Klokk, T.I. Retrograde transport of protein toxins through the Golgi apparatus. Histochem. Cell Biol. 2013, 140, 317–326. [Google Scholar] [CrossRef] [PubMed]
- Spooner, R.A.; Lord, J.M. Ricin Trafficking in Cells. Toxins 2015, 7, 49–65. [Google Scholar] [CrossRef]
- Sowa-Rogozińska, N.; Sominka, H.; Nowakowska-Gołacka, J.; Sandvig, K.; Słomińska-Wojewódzka, M. Intracellular Transport and Cytotoxicity of the Protein Toxin Ricin. Toxins 2019, 11, 350. [Google Scholar] [CrossRef]
- Grela, P.; Szajwaj, M.; Horbowicz-Drożdżal, P.; Tchórzewski, M. How Ricin Damages the Ribosome. Toxins 2019, 11, 241. [Google Scholar] [CrossRef]
- Sandvig, K.; Kavaliauskiene, S.; Skotland, T. The Protein Toxins Ricin and Shiga Toxin as Tools to Explore Cellular Mechanisms of Internalization and Intracellular Transport. Toxins 2021, 13, 377. [Google Scholar] [CrossRef]
- Szajwaj, M.; Wawiorka, L.; Molestak, E.; Michalec-Wawiorka, B.; Molon, M.; Wojda, I.; Tchorzewski, M. The influence of ricin-mediated rRNA depurination on the translational machinery in vivo—New insight into ricin toxicity. Biochim. Biophys. Acta Mol. Cell Res. 2019, 1866, 118554. [Google Scholar] [CrossRef]
- Grela, P.; Li, X.P.; Horbowicz, P.; Dzwierzynska, M.; Tchorzewski, M.; Tumer, N.E. Human ribosomal P1-P2 heterodimer represents an optimal docking site for ricin A chain with a prominent role for P1 C-terminus. Sci. Rep. 2017, 7, 5608. [Google Scholar] [CrossRef]
- Bradberry, S.M.; Dickers, K.J.; Rice, P.; Griffiths, G.D.; Vale, J.A. Ricin poisoning. Toxicol. Rev. 2003, 22, 65–70. [Google Scholar] [CrossRef]
- Audi, J.; Belson, M.; Patel, M.; Schier, J.; Osterloh, J. Ricin poisoning: A comprehensive review. J. Am. Med. Assoc. 2005, 294, 2342–2351. [Google Scholar] [CrossRef] [PubMed]
- Schep, L.J.; Temple, W.A.; Butt, G.A.; Beasley, M.D. Ricin as a weapon of mass terror—Separating fact from fiction. Environ. Int. 2009, 35, 1267–1271. [Google Scholar] [CrossRef]
- Griffiths, G.D. Understanding ricin from a defensive viewpoint. Toxins 2011, 3, 1373–1392. [Google Scholar] [CrossRef] [PubMed]
- Pincus, S.H.; Smallshaw, J.E.; Song, K.; Berry, J.; Vitetta, E.S. Passive and active vaccination strategies to prevent ricin poisoning. Toxins 2011, 3, 1163–1184. [Google Scholar] [CrossRef] [PubMed]
- Anderson, P.D. Bioterrorism: Toxins as weapons. J. Pharm. Pract. 2012, 25, 121–129. [Google Scholar] [CrossRef]
- Pincus, S.H.; Bhaskaran, M.; Brey, R.N.; Didier, P.J.; Doyle-Meyers, L.A.; Roy, C.J. Clinical and Pathological Findings Associated with Aerosol Exposure of Macaques to Ricin Toxin. Toxins 2015, 7, 2121–2133. [Google Scholar] [CrossRef] [PubMed]
- Bhaskaran, M.; Didier, P.J.; Sivasubramani, S.K.; Doyle, L.A.; Holley, J.; Roy, C.J. Pathology of Lethal and Sublethal Doses of Aerosolized Ricin in Rhesus Macaques. Toxicol. Pathol. 2014, 42, 573–581. [Google Scholar] [CrossRef]
- Maddaloni, M.; Cooke, C.; Wilkinson, R.; Stout, A.V.; Eng, L.; Pincus, S.H. Immunological characteristics associated with protective efficacy of antibodies to ricin. J. Immunol. 2004, 172, 6221–6228. [Google Scholar] [CrossRef]
- Pincus, S.; Das, A.; Song, K.; Maresh, G.; Corti, M.; Berry, J. Role of Fc in Antibody-Mediated Protection from Ricin Toxin. Toxins 2014, 6, 1512–1525. [Google Scholar] [CrossRef]
- Song, K.; Mize, R.R.; Marrero, L.; Corti, M.; Kirk, J.M.; Pincus, S.H. Antibody to Ricin A Chain Hinders Intracellular Routing of Toxin and Protects Cells Even after Toxin Has Been Internalized. PLoS ONE 2013, 8, e62417. [Google Scholar] [CrossRef]
- Pincus, S.H.; Eng, L.; Cooke, C.L.; Maddaloni, M. Identification of hypoglycemia in mice as a surrogate marker of ricin toxicosis. Comp. Med. 2002, 52, 530–533. [Google Scholar]
- Falach, R.; Goldvaser, M.; Halpern, P.; Rosner, A.; Sapoznikov, A.; Gal, Y.; Goren, O.; Sabo, T.; Kronman, C.; Katalan, S. Pathophysiological profile of awake and anesthetized pigs following systemic exposure to the highly lethal ricin toxin. Clin. Toxicol. 2022, 60, 76–82. [Google Scholar] [CrossRef] [PubMed]
- Dvir, A.; Dagan, Z.; Mizrachi, A.; Eisenkraft, A. Lessons from a suicide attempt by intra-abdominal ricin injection. Am. J. Disaster Med. 2021, 16, 75–80. [Google Scholar] [CrossRef] [PubMed]
- Roche, J.; Stone, M.; Gross, L.; Lindner, M.; Seaner, R.; Pincus, S.; Obrig, T. Post-exposure targeting of specific epitopes on ricin toxin abrogates toxin-induced hypoglycemia, hepatic injury, and lethality in a mouse model. Lab. Investig. 2008, 88, 1178–1191. [Google Scholar] [CrossRef] [PubMed]
- Neal, L.M.; O’Hara, J.; Brey, R.N.; Mantis, N.J. A Monoclonal Immunoglobulin G Antibody Directed against an Immunodominant Linear Epitope on the Ricin A Chain Confers Systemic and Mucosal Immunity to Ricin. Infect. Immun. 2010, 78, 552–561. [Google Scholar] [CrossRef]
- Flexner, S. The histological changes produced by ricin and abrin intoxications. J. Exp. Med. 1897, 2, 197–216. [Google Scholar] [CrossRef]
- Korcheva, V.; Wong, J.; Corless, C.; Iordanov, M.; Magun, B. Administration of ricin induces a severe inflammatory response via nonredundant stimulation of ERK, JNK, and P38 MAPK and provides a mouse model of hemolytic uremic syndrome. The Am. J. Pathol. 2005, 166, 323–339. [Google Scholar] [CrossRef]
- Wong, J.; Korcheva, V.; Jacoby, D.B.; Magun, B. Intrapulmonary delivery of ricin at high dosage triggers a systemic inflammatory response and glomerular damage. Am. J. Pathol. 2007, 170, 1497–1510. [Google Scholar] [CrossRef] [PubMed]
- Yoder, J.M.; Aslam, R.U.; Mantis, N.J. Evidence for widespread epithelial damage and coincident production of monocyte chemotactic protein 1 in a murine model of intestinal ricin intoxication. Infect. Immun. 2007, 75, 1745–1750. [Google Scholar] [CrossRef]
- Lindauer, M.L.; Wong, J.; Iwakura, Y.; Magun, B.E. Pulmonary inflammation triggered by ricin toxin requires macrophages and IL-1 signaling. J. Immunol. 2009, 183, 1419–1426. [Google Scholar] [CrossRef]
- David, J.; Wilkinson, L.J.; Griffiths, G.D. Inflammatory gene expression in response to sub-lethal ricin exposure in Balb/c mice. Toxicology 2009, 264, 119–130. [Google Scholar] [CrossRef]
- Roy, C.J.; Van Slyke, G.; Ehrbar, D.; Bornholdt, Z.A.; Brennan, M.B.; Campbell, L.; Chen, M.; Kim, D.; Mlakar, N.; Whaley, K.J.; et al. Passive immunization with an extended half-life monoclonal antibody protects Rhesus macaques against aerosolized ricin toxin. NPJ Vaccines 2020, 5, 13. [Google Scholar] [CrossRef]
- Chajek-Shaul, T.; Barash, V.; Weidenfeld, J.; Friedman, G.; Ziv, E.; Shohami, E.; Shiloni, E. Lethal hypoglycemia and hypothermia induced by administration of low doses of tumor necrosis factor to adrenalectomized rats. Metab. Clin. Exp. 1990, 39, 242–250. [Google Scholar] [CrossRef]
- Metzger, S.; Begleibter, N.; Barash, V.; Drize, O.; Peretz, T.; Shiloni, E.; Chajek-Shaul, T. Tumor necrosis factor inhibits the transcriptional rate of glucose-6-phosphatase in vivo and in vitro. Metab. Clin. Exp. 1997, 46, 579–583. [Google Scholar] [CrossRef]
- Grempler, R.; Kienitz, A.; Werner, T.; Meyer, M.; Barthel, A.; Ailett, F.; Sutherland, C.; Walther, R.; Schmoll, D. Tumour necrosis factor alpha decreases glucose-6-phosphatase gene expression by activation of nuclear factor κB. Biochem. J. 2004, 382, 471–479. [Google Scholar] [CrossRef]
- Chan, Y.-M.; Balza, R.; High, F.A. Case 3-2018: A 5-Month-Old Boy with Hypoglycemia. N. Engl. J. Med. 2018, 378, 381–389. [Google Scholar] [CrossRef] [PubMed]
- Bali, D.S.; El-Gharbawy, A.; Austin, S.; Pendyal, S.; Kishnani, P. Glycogen Storage Disease Type I. In GeneReviews; Adam, M.P., Ardinger, H.H., Pagon, R.A., Wallace, S., Eds.; University of Washington: Seattle, WA, USA, 1993–2021. Available online: https://www.ncbi.nlm.nih.gov/books/NBK1312/ (accessed on 13 November 2022).
- van Schaftingen, E.; Gerin, I. The glucose-6-phosphatase system. Biochem. J. 2002, 362, 513–532. [Google Scholar] [CrossRef]
- Roy, C.J.; Song, K.; Sivasubramani, S.K.; Gardner, D.J.; Pincus, S.H. Animal models of ricin toxicosis. Curr. Top. Microbiol. Immunol. 2012, 357, 243–257. [Google Scholar] [CrossRef]
- Saxton, R.A.; Tsutsumi, N.; Su, L.L.; Abhiraman, G.C.; Mohan, K.; Henneberg, L.T.; Aduri, N.G.; Gati, C.; Garcia, K.C. Structure-based decoupling of the pro- and anti-inflammatory functions of interleukin-10. Science 2021, 371, 1222. [Google Scholar] [CrossRef] [PubMed]
- Cohen, J. The immunopathogenesis of sepsis. Nature 2002, 420, 885–891. [Google Scholar] [CrossRef]
- Chaudhry, H.; Zhou, J.; Zhong, Y.; Ali, M.M.; McGuire, F.; Nagarkatti, P.S.; Nagarkatti, M. Role of cytokines as a double-edged sword in sepsis. In Vivo 2013, 27, 669–684. [Google Scholar] [PubMed]
- Armstrong, L.; Millar, A.B. Relative production of tumour necrosis factor alpha and interleukin 10 in adult respiratory distress syndrome. Thorax 1997, 52, 442–446. [Google Scholar] [CrossRef] [PubMed]
- Rossini, A.A.; Like, A.A.; Chick, W.L.; Appel, M.C.; Cahill, G.F. Studies of streptozotocin-induced insulitis and diabetes. Proc. Nat. Acad. Sci. USA 1977, 74, 2485–2489. [Google Scholar] [CrossRef] [PubMed]
- Like, A.A.; Rossini, A.A. Streptozotocin-induced pancreatic insulitis: New model of diabetes mellitus. Science 1976, 193, 415–417. [Google Scholar] [CrossRef] [PubMed]
- Kassem, S.; Heyman, M.; Glaser, B.; Bhandari, S.; Motaghedi, R.; Maclaren, N.K.; García-Gimeno, M.A.; Sanz, P.; Rahier, J.; Rodríguez-Bada, P.; et al. Large islets, beta-cell proliferation, and a glucokinase mutation. N. Engl. J. Med. 2010, 362, 1348–1350. [Google Scholar] [CrossRef]
- Santer, R.; Schneppenheim, R.; Dombrowski, A.; Götze, H.; Steinmann, B.; Schaub, J. Mutations in GLUT2, the gene for the liver-type glucose transporter, in patients with Fanconi-Bickel syndrome. Nat. Genet. 1997, 17, 324–326. [Google Scholar] [CrossRef]
- Kempa, J.; O’Shea-Stone, G.; Moss, C.; Peters, T.; Marcotte, T.; Tripet, B.; Eilers, B.; Bothner, B.; Copié, V.; Pincus, S.H. Distinct Metabolic States are Observed in Hypoglycemia Induced by Ricin Toxin or by Fasting. Toxins 2022, 14, 815. [Google Scholar] [CrossRef]
- Lei, K.J.; Chen, H.; Pan, C.J.; Ward, J.M.; Mosinger, B.; Lee, E.J.; Westphal, H.; Mansfield, B.C.; Chou, J.Y. Glucose-6-phosphatase dependent substrate transport in the glycogen storage disease type-1a mouse. Nat. Genet. 1996, 13, 203–209. [Google Scholar] [CrossRef]
- Matschinsky, F.M.; Wilson, D.F. The Central Role of Glucokinase in Glucose Homeostasis: A Perspective 50 Years After Demonstrating the Presence of the Enzyme in Islets of Langerhans. Front. Physiol. 2019, 10, 148. [Google Scholar] [CrossRef]
- Leturque, A.; Brot-Laroche, E.; Le Gall, M.; Stolarczyk, E.; Tobin, V. The role of GLUT2 in dietary sugar handling. J. Physiol. Biochem. 2005, 61, 529–537. [Google Scholar] [CrossRef]
- Fajgenbaum, D.C.; June, C.H. Cytokine Storm. N. Engl. J. Med. 2020, 383, 2255–2273. [Google Scholar] [CrossRef]
- Rehman, K.; Akash, M.S.H. Mechanisms of inflammatory responses and development of insulin resistance: How are they interlinked? J. Biomed. Sci. 2016, 23, 87. [Google Scholar] [CrossRef]
- Shoelson, S.E.; Lee, J.; Goldfine, A.B. Inflammation and insulin resistance. J. Clin. Investig. 2018, 116, 1793–1801. [Google Scholar] [CrossRef]
- Zhang, J.; Gao, Z.; Yin, J.; Quon, M.J.; Ye, J. S6K directly phosphorylates IRS-1 on Ser-270 to promote insulin resistance in response to TNF-(alpha) signaling through IKK2. J. Biol. Chem. 2008, 283, 35375–35382. [Google Scholar] [CrossRef]
- Mooney, B.; Torres-Velez, F.J.; Doering, J.; Ehrbar, D.J.; Mantis, N.J. Sensitivity of Kupffer cells and liver sinusoidal endothelial cells to ricin toxin and ricin toxin-Ab complexes. J. Leuk. Biol. 2019, 106, 1161–1176. [Google Scholar] [CrossRef]
- Su, L.; Li, N.; Tang, H.; Lou, Z.; Chong, X.; Zhang, C.; Su, J.; Dong, X. Kupffer cell-derived TNF-α promotes hepatocytes to produce CXCL1 and mobilize neutrophils in response to necrotic cells. Cell Death Dis. 2018, 9, 323. [Google Scholar] [CrossRef] [PubMed]
- Newton, K.; Dixit, V.M.; Kayagaki, N. Dying cells fan the flames of inflammation. Science 2021, 374, 1076–1080. [Google Scholar] [CrossRef] [PubMed]
- Weis, S.; Carlos, A.R.; Moita, M.R.; Singh, S.; Blankenhaus, B.; Cardoso, S.; Larsen, R.; Rebelo, S.; Schäuble, S.; Del Barrio, L.; et al. Metabolic Adaptation Establishes Disease Tolerance to Sepsis. Cell 2017, 169, 1263–1275. [Google Scholar] [CrossRef]
- Kittah, N.E.; Vella, A. Management of Endocrine Disease: Pathogenesis and management of hypoglycemia. Eur. J. Endocrinol. 2017, 177, R37–R47. [Google Scholar] [CrossRef]
- Seok, J.; Warren, H.S.; Cuenca, A.G.; Mindrinos, M.N.; Baker, H.V.; Xu, W.; Richards, D.R.; McDonald-Smith, G.P.; Gao, H.; Hennessy, L.; et al. Genomic responses in mouse models poorly mimic human inflammatory diseases. Proc. Nat. Acad. Sci. USA 2013, 110, 3507–3512. [Google Scholar] [CrossRef]
- ACCORD Study Group; Gerstein, H.C.; Miller, M.E.; Genuth, S.; Ismail-Beigi, F.; Buse, J.B.; Goff, D.C.; Probstfield, J.L.; Cushman, W.C.; Ginsberg, H.N.; et al. Long-term effects of intensive glucose lowering on cardiovascular outcomes. N. Engl. J. Med. 2011, 364, 818–828. [Google Scholar] [CrossRef] [PubMed]
- Zoungas, S.; Patel, A.; Chalmers, J.; de Galan, B.E.; Li, Q.; Billot, L.; Woodward, M.; Ninomiya, T.; Neal, B.; MacMahon, S.; et al. Severe hypoglycemia and risks of vascular events and death. N. Engl. J. Med. 2010, 363, 1410–1418. [Google Scholar] [CrossRef] [PubMed]
- Cryer, P.E. Hypoglycemia is the limiting factor in the management of diabetes. Diabetes/Metab. Res. Rev. 1999, 15, 42–46. [Google Scholar] [CrossRef]
- Hsieh, C.S.; Macatonia, S.E.; O’Garra, A.; Murphy, K.M. T cell genetic background determines default T helper phenotype development in vitro. J. Exp. Med. 1995, 181, 713–721. [Google Scholar] [CrossRef] [PubMed]
- Watanabe, H.; Numata, K.; Ito, T.; Takagi, K.; Matsukawa, A. Innate immune response in Th1- and Th2-dominant mouse strains. Shock 2004, 22, 460–466. [Google Scholar] [CrossRef] [PubMed]
- Liu, Y.Q.; Jetton, T.L.; Leahy, J.L. beta-Cell adaptation to insulin resistance. Increased pyruvate carboxylase and malate-pyruvate shuttle activity in islets of nondiabetic Zucker fatty rats. J. Biol. Chem. 2002, 277, 39163–39168. [Google Scholar] [CrossRef]
- Gotoh, M.; Maki, T.; Satomi, S.; Porter, J.; Bonner-Weir, S.; O’Hara, C.J.; Monaco, A.P. Reproducible high yield of rat islets by stationary in vitro digestion following pancreatic ductal or portal venous collagenase injection. Transplantation 1987, 43, 725–730. [Google Scholar] [CrossRef]










| Oligo Name | Sequence | Amplicon |
|---|---|---|
| GAPDH | 5′-AATGGTGAAGGTCGGTGTGAAC-3′ | 100 |
| 5′-GTCGTTGATGGCAACAATCTCC-3′ | ||
| CDK2 | 5′-CAGAAATGATTCCCTCCAGTGC-3′ | 100 |
| 5′-GAACCACGATGAACAGACCAGAG-3′ | ||
| CDK4 | 5′-AAGCGAATCTCTGCCTTCCG-3′ | 109 |
| 5′-AGGGTTTCTCCACCAAGACTGG-3′ | ||
| CyclinE | 5′-TTGACCCACTGGACTCTTCACAC-3′ | 100 |
| 5′-ACAGCAACCTACAACACCCGAG-3′ | ||
| Glucagon | 5′-GAAGACAAACGCCACTCACAGG-3′ | 100 |
| 5′-TGGTGTTCATCAACCACTGCAC-3′ | ||
| Glucokinase | 5′-AAATCCAGGCAAGGACAGGG-3′ | 100 |
| 5′-AGGGGTAGCAGCAGAATAGGTCTC-3′ | ||
| GLUT1 | 5′-ATCCCAGCAGCAAGAAGGTGAC-3′ | 100 |
| 5′-GCGTTGATGACACCAGTGTTATAGC-3′ | ||
| GLUT2 | 5′-AGCAATGTTGGCTGCAAACAG-3′ | 100 |
| 5′-ACTTCGTCCAGCAATGATGAGG-3′ | ||
| GLUT4 | 5′-TGAGAATGACTGAGGGGCAAAAC-3′ | 100 |
| 5′-GGTAACAGGGAAGAGAGGGCTAAAG-3′ | ||
| INSM1 | 5′-CAGGTGATCCTCCTTCAGGT-3′ | 102 |
| 5′-CTCTTTGTGGGTCTCCGAGT-3′ | ||
| Insulin1 | 5′-CAGCAAGCAGGTCATTGTTTCAAC-3′ | 100 |
| 5′-CAAAAGCCTGGGTGGGTTTG-3′ | ||
| Nkx-2.2 | 5′-CCCCATTCCTTTCCTTAAACCC-3′ | 100 |
| 5′-CCCGCAATTTATGCCACAAAG-3′ | ||
| Nkx-6.1 | 5′-GACTTCGGAGAATGAGGAGGATG-3′ | 100 |
| 5′-CGATTTGTGCTTTTTCAGCAGC-3′ | ||
| Pax4 | 5′-GCACTGGAGAAAGAGTTTCAGCG-3′ | 100 |
| 5′-AAACCCTCACCGTGTCTTCAGG-3′ | ||
| Pax6 | 5′-GAAGCGGAAGCTGCAAAGAAATAG-3′ | 100 |
| 5′-GGCAAACACATCTGGATAATGGG-3′ | ||
| Pdx1 | 5′-GCCCTGAGCTTCTGAAAACTTTG-3′ | 100 |
| 5′-CCCAGGTTGTCTAAATTGGTCCC-3′ | ||
| Rfx6 | 5′-CACCCTGCATCAAGCCTCTATG-3′ | 100 |
| 5′-CACAACTGCCACCAAAGAAGTCTC-3′ | ||
| Glucose 6-phosphatase | 5′-CTGTGGGCATCAATCTCCTCTG-3′ | 121 |
| 5′-TTGCTGTAGTAGTCGGTGTCCAGG-3′ | ||
| Liver Glycogen Phosphorylase (PYGL) | 5′-CGACAATGGCTTCTTTTCTCCC-3′ 5′-ACTTGACATAGGCTTCGTAGTCTGC-3′ | 113 |
Publisher’s Note: MDPI stays neutral with regard to jurisdictional claims in published maps and institutional affiliations. |
© 2022 by the authors. Licensee MDPI, Basel, Switzerland. This article is an open access article distributed under the terms and conditions of the Creative Commons Attribution (CC BY) license (https://creativecommons.org/licenses/by/4.0/).
Share and Cite
Pincus, S.H.; Kyro, A.; Maresh, G.A.; Peters, T.; Kempa, J.; Marcotte, T.K.; Gao, Z.; Ye, J.; Copié, V.; Song, K. Parenteral Exposure of Mice to Ricin Toxin Induces Fatal Hypoglycemia by Cytokine-Mediated Suppression of Hepatic Glucose-6-Phosphatase Expression. Toxins 2022, 14, 820. https://doi.org/10.3390/toxins14120820
Pincus SH, Kyro A, Maresh GA, Peters T, Kempa J, Marcotte TK, Gao Z, Ye J, Copié V, Song K. Parenteral Exposure of Mice to Ricin Toxin Induces Fatal Hypoglycemia by Cytokine-Mediated Suppression of Hepatic Glucose-6-Phosphatase Expression. Toxins. 2022; 14(12):820. https://doi.org/10.3390/toxins14120820
Chicago/Turabian StylePincus, Seth H., Alexi Kyro, Grace A. Maresh, Tami Peters, Jacob Kempa, Tamera K. Marcotte, Zhanguo Gao, Jianping Ye, Valérie Copié, and Kejing Song. 2022. "Parenteral Exposure of Mice to Ricin Toxin Induces Fatal Hypoglycemia by Cytokine-Mediated Suppression of Hepatic Glucose-6-Phosphatase Expression" Toxins 14, no. 12: 820. https://doi.org/10.3390/toxins14120820
APA StylePincus, S. H., Kyro, A., Maresh, G. A., Peters, T., Kempa, J., Marcotte, T. K., Gao, Z., Ye, J., Copié, V., & Song, K. (2022). Parenteral Exposure of Mice to Ricin Toxin Induces Fatal Hypoglycemia by Cytokine-Mediated Suppression of Hepatic Glucose-6-Phosphatase Expression. Toxins, 14(12), 820. https://doi.org/10.3390/toxins14120820

