Fumonisin Production by Fusarium verticillioides in Maize Genotypes Cultivated in Different Environments
Abstract
1. Introduction
2. Results and Discussion
2.1. Analysis of Variance
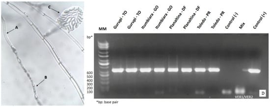
2.2. Identification of Isolates
2.3. Production of Fumonisins Depending on the Location and Inoculation Methods
2.4. Influence of Genotypes on Grain Weight, Disease Severity and Fumonisin Concentrations
3. Conclusions
4. Materials and Methods
4.1. Experimental and Treatment Locations
4.2. Isolation of the Pathogen, Koch’s Postulates and Molecular Identification
4.3. Evaluation Infection Level of F. verticillioides
4.4. Statistical Analyses
Supplementary Materials
Author Contributions
Funding
Acknowledgments
Conflicts of Interest
References
- Companhia National Supply Company (CONAB). Follow-up of the Brazilian Grain Harvest 2016/2017. Available online: https://www.conab.gov.br/info-agro/safras/graos/boletim-da-safra-de-graos?start=20 (accessed on 20 February 2018).
- Doohan, F.M.; Brennan, J.; Cooke, B.M. Influence of climatic factors on Fusarium species pathogenic to cereals. Eur. J. Plant Pathol. 2003, 109, 755–768. [Google Scholar]
- Casa, R.T.; Reis, E.M. Doenças na cultura do milho. In Milho: Estratégias de Manejo e Alta Produtividade; Fancelli, A.L., Dourado Neto, D., Eds.; Escola Superior da Agricultura “Luiz de Queiroz”: Piracicaba, Brazil, 2003; pp. 1–18. [Google Scholar]
- Stumpf, R.; dos Santos, J.; Gomes, L.B.; Silva, C.N.; Tessmann, D.J.; Ferreira, F.D.; Machinski Junior, M.; Del Ponte, E.M. Fusarium species and fumonisins associated with maize kernels produced in Rio Grande do Sul State for the 2008/09 and 2009/10 growing seasons.Braz. J. Microbiol. 2013, 44, 89–95. [Google Scholar] [CrossRef] [PubMed]
- World Health Organization. Evaluation of Certain Mycotoxins in Food. FIFTY-Sixth Report of the Joint FAO/WHO Expert Committee on Food Additives; World Health Organization: Geneva, Switzerland, 2002. [Google Scholar]
- Mallmann, C.A.; Dilkin, P. Mycotoxins and Mitoxicose in Pigs, 1st ed.; Editora Palotti: Santa Maria, Brazil, 2007. [Google Scholar]
- Mikušová, P.; Ritieni, A.; Santini, A.; Juhasová, G.; Šrobárová, A. Contamination by moulds of Slovakia Grape Berries in Slovakia. Food Addit. Contam. 2010, 27, 738–747. [Google Scholar]
- Yoshizawa, T.; Yamashita, A.; Chokethaworn, N. Occurrence of fumonisins and aflatoxins in corn from Thailand. Food Addit. Contam. 1996, 13, 163–168. [Google Scholar] [CrossRef]
- Mikušová, P.; Šrobárová, A.; Sulyok, M.; Santini, A. Fusarium fungi and associated metabolites presence on grapes from Slovakia. Mycotoxin Res. 2013, 29, 97–102. [Google Scholar] [CrossRef]
- Domijan, A.M. Fumonisin B1: A neurotoxic mycotoxin/fumonizin B1: Neurotoksični mikotoksin. Arch. Ind. Hyg. Toxicol. 2012, 63, 531–544. [Google Scholar] [CrossRef] [PubMed]
- Ross, P.F.; Rice, L.G.; Osweiler, G.D.; Nelson, P.E.; Richard, J.L.; Wilson, T.M. A review and update of animal toxicoses associated with fumonisin-contaminated feeds and production of fumonisins by Fusarium isolates. Mycopathologia 1992, 117, 109–114. [Google Scholar] [CrossRef] [PubMed]
- Desjardins, A.E.; Plattner, R.D.; Lu, M.; Claflin, L.E. Distribution of fumonisins in maize ears infected with strains of Fusarium moniliforme that differ in fumonisin production. Plant Dis. 1998, 82, 953–958. [Google Scholar] [CrossRef] [PubMed]
- Desjardins, A.E. Fusarium Mycotoxins: Chemistry, Genetics and Biology; The American Phytopathology Society: Saint Paul, MN, USA, 2006; p. 268. [Google Scholar]
- Chu, F.S.; Li, G.Y. Simultaneous occurrence of fumonisin B1 and other mycotoxins in moldy corn collected from the people’s Republic of China in regions with high incidences of esophageal cancer. Appl. Environ. Microbiol. 1994, 60, 847–852. [Google Scholar] [PubMed]
- Munkvold, G.P.; Desjardins, A.E. Fumonisins in maize: Can we reduce their occurrence? Plant Dis. 1997, 81, 556–565. [Google Scholar] [CrossRef] [PubMed]
- Rheeder, J.P.; Marasas, W.F.O.; Thiel, P.G.; Sydenham, E.W.; Shephard, G.S.; Van Schalwyk, D.J. Fusarium moniliforme and fumonisins in corn in relation to human esophageal cancer in Transkei. Phytopathology 1992, 82, 353–357. [Google Scholar] [CrossRef]
- Alizadeh, A.M.; Roshandel, G.; Roudbarmohammadi, S.; Roudbary, M.; Sohanaki, H.; Ghiasian, S.A.; Taherkhani, A.; Semnani, S.; Aghasi, M. Fumonisin B1 contamination of cereals and risk of esophageal cancer in a high risk area in Northeastern Iran. Asian Pac. J. Cancer Prev. 2012, 13, 2625–2628. [Google Scholar] [CrossRef] [PubMed]
- Solfrizzo, M.; Chulze, S.N.; Mallmann, C.; Visconti, A.; De Girolamo, A.; Rojo, F.; Torres, A. Comparison of urinary sphingolipids in human populations with high and low maize consumption as a possible biomarker of fumonisin dietary exposure. Food Addit. Contam. 2004, 21, 1090–1095. [Google Scholar] [CrossRef]
- International Agency for Research on Cancer (IARC). Some traditional herbal medicines, some mycotoxins, naphthalene and styrene. Monogr. Eval. Carcinog. Risks Hum. 2002, 82, 171–274. [Google Scholar]
- Butrón, A.; Santiago, R.; Mansilla, P.; Pintos-Varela, C.; Ordás, A.; Malvar, R.A. Maize (Zea mays L.) genetic factors for preventing fumonisin contamination. J. Agric. Food Chem. 2006, 54, 6113–6117. [Google Scholar]
- National Health Surveillance Agency (ANVISA). Official Journal of the Union, Federative Republic of Brazil, Brasília-DF. Nº 46–09/03/11–Seção 1–p.66. Resolution nº 7, 2011, pp. 66. Available online: https://www.jusbrasil.com.br/diarios/25204244/pg-66-secao-1-diario-oficial-da-uniao-dou-de-09-03-2011 (accessed on 11 March 2018).
- Council for Agricultural Science. Mycotoxins: Risks in Plant, Animal, and Human Systems; Task Force Report; Council for Agricultural: Ames, IA, USA, 2003; p. 191. [Google Scholar]
- Afolabi, C.G.; Ojiambo, P.S.; Ekpo, E.J.A.; Menkir, A.; Bandyopadhyay, R. Evaluation of maize inbred lines for resistance to Fusarium ear rot and fumonisin accumulation in grain in Tropical Africa. Plant Dis. 2007, 91, 279–286. [Google Scholar] [CrossRef]
- Sampietro, D.A.; Vattuone, M.A.; Presello, D.A.; Fauguel, C.M.; Catalán, C.A.N. The pericarp and its surface wax layer in maize kernels as resistance factors to fumonisin accumulation by Fusarium Verticillioides. Crop Prot. 2009, 28, 196–200. [Google Scholar] [CrossRef]
- Bittencourt, A.B.F.; Oliveira, C.A.F.; Dilkin, P.; Corrêa, B. Mycotoxin occurrence in corn meal and flour traded in São Paulo, Brazil. Food Control 2005, 16, 117–120. [Google Scholar] [CrossRef]
- Santini, A.; Ferracane, R.; Meca, G.; Ritieni, A. Overview of analytical methods for beauvericin and fusaproliferin in food matrices. Anal. Bioanal. Chem. 2009, 395, 1253–1260. [Google Scholar] [CrossRef]
- Bordin, K.; Rosim, R.E.; Neeff, D.V.; Rottinghaus, G.E.; Oliveira, C.A.F. Assessment of dietary intake of fumonisin B1 in São Paulo, Brazil. Food Chem. 2014, 155, 174–178. [Google Scholar] [CrossRef]
- Zakaria, L.; Ning, C.H. Endophytic Fusarium spp. from Roots of Lawn Grass (Axonopus compressus). Trop. Life Sci. Res. 2013, 24, 85–90. [Google Scholar] [PubMed]
- Sandoval-Denis, M.; Swart, W.J.; Crous, P.W. New Fusarium species from the Kruger National Park, South Africa. MycoKeys 2018, 34, 63–92. [Google Scholar] [CrossRef] [PubMed]
- Hirooka, E.Y.; Yamaguchi, M.M.; Aoyama, S.; Sugiura, Y. The natural occurrence of fumonisins in Brazilian corn kernels. Food Addit. Contam. 1996, 13, 173–183. [Google Scholar] [CrossRef] [PubMed]
- Almeida, A.P.; Fonseca, H.; Fancelli, A.L.; Direito, G.M.; Ortega, E.M.; Corrêa, B. Mycoflora and fumonisin contamination in Brazilian corn from sowing to harvest. J. Agric. Food Chem. 2002, 50, 3877–3882. [Google Scholar] [CrossRef]
- Orsi, R.B.; Corrêa, B.; Possi, C.R.; Schammass, E.A.; Nogueira, J.R.; Dias, S.M.C.; Malozzi, M.A.B. Mycoflora and occurrence of fumonisins in freshly harvested and stored hybrid maize. J. Stored Prod. Res. 2000, 36, 75–87. [Google Scholar] [CrossRef]
- Kleinschmidt, C.E.; Clements, M.J.; Maragos, C.M.; Pataky, J.K.; White, D.G. Evaluation of food-grade dent corn hybrids for severity of Fusarium ear rot and fumonisin accumulation in grain. Plant Dis. 2005, 89, 291–297. [Google Scholar] [CrossRef]
- Sánchez-Rangel, D.; SanJuan-Badillo, A.; Plasencia, J. Fumonisin production by Fusarium verticillioides strains isolated from maize in mexico and development of a polymerase chain reaction to detect potential toxigenic strains in grains. J. Agric. Food Chem. 2005, 53, 8565–8571. [Google Scholar] [CrossRef]
- Saunders, D.S.; Meredith, F.I.; Voss, K.A. Control of Fumonisin: Effects of Processing. Environ. Health Perspect. 2001, 10, 333–336. [Google Scholar]
- Eller, M.S.; Holland, J.B.; Payne, G.A. Breeding for improved resistance to fumonisin contamination in maize. Toxin Rev. 2008, 27, 371–389. [Google Scholar] [CrossRef]
- Munhoz, A.T.; Carvalho, R.V.d.; Querales, P.J.; Gonçalves, F.P.; Camargo, L.E.A. Relation between resistance of tropical maize lineages to ear rot and the accumulation of fumonisins caused by Fusarium verticillioides. Summa Phytopathol. 2015, 41, 144–148. [Google Scholar] [CrossRef]
- Picot, A.; Barreau, C.; Pinson-Gadais, L.; Caron, D.; Lannou, C.; Richard-Forget, F. Factors of the Fusarium verticillioides-maize environment modulating fumonisin production. Crit. Rev. Microbiol. 2010, 36, 221–231. [Google Scholar] [CrossRef] [PubMed]
- Afolabi, C.G.; Bandyopadhyay, R.; Leslie, J.F.; Ekpo, E.J.A. Effect of sorting on incidence and occurrence of fumonisins and Fusarium verticillioides on maize from Nigeria. J. Food Prot. 2006, 69, 2019–2023. [Google Scholar] [CrossRef] [PubMed]
- Herrera, M.; Moreno, M.P.C.; Esteban, T.J.; Muñoz, G.E.; Marteache, A.H.; Moneva, A.A.A. Fumonisins concentrations in maize as affected by physico-chemical, environmental and agronomical conditions. Maydica 2010, 55, 121–126. [Google Scholar]
- Blandino, M.; Reyneri, A.; Vanara, F.; Pascale, M.; Haidukowski, M.; Saporiti, M. Effect of sowing date and insecticide application against European corn borer (Lepidoptera: Crambidae) on fumonisin contamination in maize kernels. Crop Prot. 2008, 27, 1432–1436. [Google Scholar] [CrossRef]
- Köppen, W.; Geiger, R. Klimate der Erde; Verlag Justus Perthes: Gotha, Germany, 1928. [Google Scholar]
- Tapia, C.; Amaro, J. Género Fusarium. Rev. Chil. Infectol. 2014, 31, 85–86. [Google Scholar] [CrossRef] [PubMed]
- Menezes, V.O.; Pedroso, C.D.; Piveta, G.; Muniz, M.F.B.; Menezes, N.L.; Garcia, D.C.; Ethur, L.Z.; Santos, R.F.S.; Tunes, L.M. Detection of Fusarium spp. influence in the physiological quality of cucumber seeds. Ciência Rural 2011, 41, 193–199. [Google Scholar] [CrossRef]
- Doyle, J.J. Isolation of plant DNA from fresh tissue. Focus 1990, 12, 13–15. [Google Scholar]
- Mulé, G.; Susca, A.; Stea, G.; Moretti, A. A species-specific PCR assay based on the calmodulin partial gene for identification of Fusarium verticillioides, F. proliferatum and F. Subglutinans. Eur. J. Plant Pathol. 2004, 110, 495–502. [Google Scholar] [CrossRef]
- Agroceres. Guia de Sanidade Agroceres, 2nd ed.; Agroceres: São Paulo, Brazil, 1996; pp. 34–36. [Google Scholar]




| Tolerance Limits for Fumonisin B1 | Gurupi-TO | Itumbiara-GO | Planaltina-DF | Toledo-PR | ||||
|---|---|---|---|---|---|---|---|---|
| AI | NI | AI | NI | AI | NI | AI | NI | |
| 1.5 μg g−1 (Cf, Cc, Cm, Flk, Cnj) | 100 | 70 | 60 | 90 | 100 | 50 | 70 | 0 |
| 1 μg g−1 (Ms, Omp) | 100 | 90 | 70 | 90 | 100 | 50 | 80 | 0 |
| Values | Gurupi-TO | Itumbiara-GO | Planaltina-DF | Toledo-PR |
|---|---|---|---|---|
| AI | AI | AI | AI | |
| Fumonisin levels B1 | 24.84 μg g−1 | 6.58 μg g−1 | 4.74 μg g−1 | 3.38 μg g−1 |
| Temperature | 27.43 °C | 23.1 °C | 22.13 °C | 13.64 °C |
| Gurupi-TO | ||||||||
| Hybrid | SEV | TKW | Fum. FB1 (μg g−1) | Fum. FB2 (μg g−1) | Fum. B1 Tes. (μg g−1) | Fum. B2 Tes. (μg g−1) | ||
| % | SD | (g) | SD | |||||
| DKPDKB240PRO2 | 4.11 ab | 0.04 | 258.56 b | 3.26 | 16.17 | 4.41 | 2.74 | 0.41 |
| P3340YHR | 3.44 a | 0.08 | 258.56 b | 1.93 | 5.62 | 1.16 | 2.76 | 0.86 |
| P3630H | 3.78 a | 0.05 | 295.22 ab | 2.57 | 86.70 | 30.45 | 9.33 | 3.44 |
| 32R48YH | 6.56 c | 0,08 | 319.89 ab | 2.00 | 64.80 | 25.05 | 16.20 | 4.20 |
| MFRDKB310PRO2 | 2.56 a | 0.10 | 338.00 a | 2.28 | 2.69 | 0.65 | 0.40 | 0.13 |
| P3250 | 4.00 a | 0.10 | 296.33 ab | 3.98 | 32.40 | 11.43 | 5.03 | 1.39 |
| DKPDKB390PRO2 | 2.78 a | 0.05 | 258.33 b | 3.27 | 12.99 | 2.89 | 1.29 | 0.45 |
| 30K75Y | 4.11 ab | 0.17 | 283.56 ab | 2.47 | 16.17 | 4.77 | 6.45 | 1.54 |
| P4285H | 3.89 a | 0.09 | 296.56 ab | 2.09 | 9.13 | 3.46 | 1.15 | 0.39 |
| DOW30A37PW | 4.56 ab | 0.13 | 254.56 b | 2.34 | 1.68 | 0.49 | 9.44 | 5.21 |
| Average | 3.98 | 285.96 | 24.84 | 8.48 | 5.48 | 1.80 | ||
| Itumbiara-GO | ||||||||
| Hybrid | SEV | TKW | Fum. FB1 (μg g−1) | Fum. FB2 (μg g−1) | Fum. B1 Tes. (μg g−1) | Fum. B2 Tes. (μg g−1) | ||
| % | SD | (g) | SD | |||||
| DKPDKB240PRO2 | 6.11 b | 0.15 | 159.89 c | 5.53 | 5.66 | 1.30 | 24.84 | 10.44 |
| P3340YHR | 6.22 b | 0.13 | 233.44 ab | 3.31 | 8.04 | 2.80 | 1.79 | 0.35 |
| P3630H | 4.67 b | 0.06 | 246.44 ab | 7.05 | 0.71 | 0.13 | 6.48 | 2.52 |
| 32R48YH | 4.67 ab | 0.06 | 258.67 ab | 4.61 | 0.32 | 0.00 | 0.00 | 0.00 |
| MFRDKB310PRO2 | 4.56 ab | 0.08 | 272.00 a | 4.03 | 8.67 | 2.23 | 3.52 | 1.20 |
| P3250 | 5.33 ab | 0.11 | 217.44 abc | 3.26 | 18.81 | 5.61 | 37.45 | 9.10 |
| DKPDKB390PRO2 | 4.33 a | 0.11 | 230.67 abc | 3.59 | 1.11 | 0.32 | 4.41 | 1.61 |
| 30K75Y | 6.11 b | 0.15 | 192.33 bc | 3.34 | 12.00 | 4.11 | 32.40 | 8.31 |
| P4285H | 2.89 a | 0.04 | 279.89 a | 2.07 | 0.57 | 0.00 | 12.78 | 5.49 |
| DOW30A37PW | 5.44 b | 0.10 | 190.11 bc | 1.24 | 9.93 | 3.32 | 14.16 | 5.55 |
| Average | 5.03 | 228.09 | 6.58 | 1.98 | 13.78 | 4.46 | ||
| Planaltina-DF | ||||||||
| Hybrid | SEV | TKW | Fum. FB1 (μg g−1) | Fum. FB2 (μg g−1) | Fum. B1 Tes. (μg g−1) | Fum. B2 Tes. (μg g−1) | ||
| % | SD | (g) | SD | |||||
| DKPDKB240PRO2 | 3.00 a | 0.19 | 285.00 b | 2.49 | 3.11 | 0.76 | 1.60 | 0.52 |
| P3340YHR | 3.33 ab | 0.18 | 341.89 ab | 5.04 | 3.29 | 0.90 | 2.59 | 0.96 |
| P3630H | 3.22 ab | 0.15 | 312.89 ab | 2.45 | 6.95 | 2.63 | 1.59 | 0.45 |
| 32R48YH | 5.33 b | 0.11 | 381.78 a | 1.88 | 11.07 | 3.45 | 5.58 | 1.95 |
| MFRDKB310PRO2 | 2.78 a | 0.11 | 352.33 ab | 1.52 | 5.79 | 1.67 | 0.33 | 0.13 |
| P3250 | 3.44 ab | 0.24 | 377.44 a | 2.32 | 1.68 | 0.62 | 0.31 | 0.00 |
| DKPDKB390PRO2 | 3.67 ab | 0.15 | 329.56 ab | 2.11 | 1.79 | 0.47 | 0.30 | 0.16 |
| 30K75Y | 4.00 ab | 0.15 | 325.44 ab | 1.87 | 4.60 | 0.99 | 2.53 | 0.70 |
| P4285H | 2.67 a | 0.10 | 368.67 a | 1.27 | 4.00 | 0.80 | 0.65 | 0.40 |
| DOW30A37PW | 3.67 ab | 0.15 | 313.44 ab | 1.29 | 5.13 | 1.53 | 0.00 | 0.00 |
| Average | 3.51 | 338.84 | 4.74 | 1.38 | 1.55 | 0.53 | ||
| Toledo-PR | ||||||||
| Hybrid | SEV | TKW | Fum. FB1 (μg g−1) | Fum. FB2 (μg g−1) | Fum. B1 Tes. (μg g−1) | Fum. B2 Tes. (μg g−1) | ||
| % | SD | (g) | SD | |||||
| DKPDKB240PRO2 | 2.11 a | 0.09 | 302.67 ab | 2.20 | 1.48 | 0.30 | 0.00 | 0.00 |
| P3340YHR | 3.33 a | 0.15 | 271.33 ab | 5.24 | 0.00 | 0.00 | 0.00 | 0.00 |
| P3630H | 3.00 a | 0.09 | 307.00 ab | 4.16 | 7.57 | 2.27 | 0.00 | 0.00 |
| 32R48YH | 3.56 a | 0.14 | 240.56 b | 4.85 | 0.20 | 0.00 | 0.00 | 0.00 |
| MFRDKB310PRO2 | 3.11 a | 0.13 | 288.56 ab | 6.72 | 2.30 | 0.80 | 0.27 | 0.00 |
| P3250 | 3.78 a | 0.20 | 288.33 ab | 4.12 | 4.01 | 1.09 | 0.00 | 0.00 |
| DKPDKB390PRO2 | 2.44 a | 0.06 | 267.33 ab | 4.34 | 4.45 | 2.12 | 0.27 | 0.00 |
| 30K75Y | 2.56 a | 0.19 | 301.00 ab | 3.43 | 2.39 | 0.47 | 0.00 | 0.00 |
| P4285H | 2.78 a | 0.13 | 321.22 a | 2.83 | 4.56 | 1.34 | 0.00 | 0.00 |
| DOW30A37PW | 2.89 a | 0.14 | 290.89 ab | 3.10 | 6.87 | 2.02 | 0.00 | 0.00 |
| Average | 2.96 | 287.89 | 33.83 | 1.04 | 0.055 | 0.00 | ||
© 2019 by the authors. Licensee MDPI, Basel, Switzerland. This article is an open access article distributed under the terms and conditions of the Creative Commons Attribution (CC BY) license (http://creativecommons.org/licenses/by/4.0/).
Share and Cite
Rosa Junior, O.F.; Dalcin, M.S.; Nascimento, V.L.; Haesbaert, F.M.; Ferreira, T.P.d.S.; Fidelis, R.R.; Sarmento, R.d.A.; Aguiar, R.W.d.S.; Oliveira, E.E.d.; Santos, G.R.d. Fumonisin Production by Fusarium verticillioides in Maize Genotypes Cultivated in Different Environments. Toxins 2019, 11, 215. https://doi.org/10.3390/toxins11040215
Rosa Junior OF, Dalcin MS, Nascimento VL, Haesbaert FM, Ferreira TPdS, Fidelis RR, Sarmento RdA, Aguiar RWdS, Oliveira EEd, Santos GRd. Fumonisin Production by Fusarium verticillioides in Maize Genotypes Cultivated in Different Environments. Toxins. 2019; 11(4):215. https://doi.org/10.3390/toxins11040215
Chicago/Turabian StyleRosa Junior, Oelton Ferreira, Mateus Sunti Dalcin, Vitor L. Nascimento, Fernando Machado Haesbaert, Talita Pereira de Souza Ferreira, Rodrigo Ribeiro Fidelis, Renato de Almeida Sarmento, Raimundo Wagner de Souza Aguiar, Eugenio Eduardo de Oliveira, and Gil Rodrigues dos Santos. 2019. "Fumonisin Production by Fusarium verticillioides in Maize Genotypes Cultivated in Different Environments" Toxins 11, no. 4: 215. https://doi.org/10.3390/toxins11040215
APA StyleRosa Junior, O. F., Dalcin, M. S., Nascimento, V. L., Haesbaert, F. M., Ferreira, T. P. d. S., Fidelis, R. R., Sarmento, R. d. A., Aguiar, R. W. d. S., Oliveira, E. E. d., & Santos, G. R. d. (2019). Fumonisin Production by Fusarium verticillioides in Maize Genotypes Cultivated in Different Environments. Toxins, 11(4), 215. https://doi.org/10.3390/toxins11040215

