The Peptide Venom Composition of the Fierce Stinging Ant Tetraponera aethiops (Formicidae: Pseudomyrmecinae)
Abstract
1. Introduction
2. Results
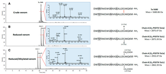
2.1. Mass Spectrometry of Tetraponera Aethiops Venom
2.2. Venom Gland Transcriptome and Predictive Precursor Sequences
2.3. Molecular Features of Pseudomyrmecitoxins
3. Discussion
4. Conclusions
5. Materials and Methods
5.1. Collection of the Ants and Preparation of the Venom Samples
5.2. Mass Spectrometry Analysis
5.3. Disulfide Bond Reduction and Alkylation
5.4. De novo Orbitrap Mass Spectrometry-Based Sequencing
5.5. Direct Sequencing of Venom Gland RNA
5.6. Bioinformatic Tools
5.6.1. Contigs Quantification
5.6.2. Precursor Identification and Mature Sequences
5.6.3. Annotation of Most Expressed Contigs
Supplementary Materials
Author Contributions
Funding
Acknowledgments
Conflicts of Interest
References
- Casewell, N.R.; Wüster, W.; Vonk, F.J.; Harrison, R.A.; Fry, B.G. Complex cocktails: The evolutionary novelty of venoms. Trends Ecol. Evol. 2013, 28, 219–229. [Google Scholar] [CrossRef]
- Daly, N.L.; Wilson, D. Structural diversity of arthropod venom toxins. Toxicon 2018, 152, 46–56. [Google Scholar] [CrossRef]
- Walker, A.A.; Robinson, S.D.; Yeates, D.K.; Jin, J.; Baumann, K.; Dobson, J.; Fry, B.G.; King, G.F. Entomo-venomics: The evolution, biology and biochemistry of insect venoms. Toxicon 2018, 154, 15–27. [Google Scholar] [CrossRef]
- Blank, S.; Seismann, H.; Bockisch, B.; Braren, I.; Cifuentes, L.; McIntyre, M.; Ruhl, D.; Ring, J.; Bredehorst, R.; Ollert, M.W.; et al. Identification, recombinant expression, and characterization of the 100 kDa high molecular weight hymenoptera venom allergens Api m 5 and Ves v 3. J. Immunol. 2010, 184, 5403–5413. [Google Scholar] [CrossRef]
- Hoffman, D.R. Ant venoms. Curr. Opin. Allergy Clin. Immunol. 2010, 10, 342–346. [Google Scholar] [CrossRef]
- Wanandy, T.; Wilson, R.; Gell, D.; Rose, H.E.; Gueven, N.; Davies, N.W.; Brown, S.G.A.; Wiese, M.D. Towards complete identification of allergens in Jack Jumper (Myrmecia pilosula) ant venom and their clinical relevance: An immunoproteomic approach. Clin. Exp. Allergy 2018, 48, 1222–1234. [Google Scholar] [CrossRef]
- Nelder, M.P.; Paysen, E.S.; Zungoli, P.A.; Benson, E.P. Emergence of the introduced ant Pachycondyla chinensis (Formicidae: Ponerinae) as a public health threat in the southeastern United States. J. Med. Entomol. 2006, 43, 1094–1098. [Google Scholar] [CrossRef]
- Srisong, H.; Sukprasert, S.; Klaynongsruang, S.; Daduang, J.; Daduang, S. Identification, expression and characterization of the recombinant Sol g 4.1 protein from the venom of the tropical fire ant Solenopsis geminata. J. Venom. Anim. Toxins Incl. Trop. Dis. 2018, 24, 23. [Google Scholar] [CrossRef]
- Wanandy, T.; Honda-Okubo, Y.; Davies, N.W.; Rose, H.E.; Heddle, R.J.; Brown, S.G.A.; Woodman, R.; Petrovsky, N.; Wiese, M.D. Pharmaceutical and preclinical evaluation of Advax adjuvant as a dose-sparing strategy for ant venom immunotherapy. J. Pharm. Biomed. Anal. 2019, 172, 1–8. [Google Scholar] [CrossRef]
- Cologna, C.T.; dos S. Cardoso, J.; Jourdan, E.; Degueldre, M.; Upert, G.; Gilles, N.; Uetanabaro, A.P.T.; Costa Neto, E.M.; Thonart, P.; de Pauw, E.; et al. Peptidomic comparison and characterization of the major components of the venom of the giant ant Dinoponera quadriceps collected in four different areas of Brazil. J. Proteomics 2013, 94, 413–422. [Google Scholar] [CrossRef]
- Cologna, C.T.; Rodrigues, R.S.; Santos, J.; de Pauw, E.; Arantes, E.C.; Quinton, L. Peptidomic investigation of Neoponera villosa venom by high-resolution mass spectrometry: Seasonal and nesting habitat variations. J. Venom. Anim. Toxins Incl. Trop. Dis. 2018, 24, 6. [Google Scholar] [CrossRef]
- Fox, E.G.P.; Russ Solis, D.; Delazari dos Santos, L.; Aparecido dos Santos Pinto, J.R.; Ribeiro da Silva Menegasso, A.; Cardoso Maciel Costa Silva, R.; Sergio Palma, M.; Correa Bueno, O.; de Alcântara Machado, E. A simple, rapid method for the extraction of whole fire ant venom (Insecta: Formicidae: Solenopsis). Toxicon 2013, 65, 5–8. [Google Scholar]
- Aili, S.R.; Touchard, A.; Petitclerc, F.; Dejean, A.; Orivel, J.; Padula, M.P.; Escoubas, P.; Nicholson, G.M. Combined peptidomic and proteomic analysis of electrically stimulated and manually dissected venom from the south american bullet ant Paraponera clavata. J. Proteome Res. 2017, 16, 1339–1351. [Google Scholar] [CrossRef]
- Pan, J.; Hink, W.F. Isolation and characterization of myrmexins, six isoforms of venom proteins with anti-inflammatory activity from the tropical ant, Pseudomyrmex triplarinus. Toxicon 2000, 38, 1403–1413. [Google Scholar] [CrossRef]
- Touchard, A.; Labrière, N.; Roux, O.; Petitclerc, F.; Orivel, J.; Escoubas, P.; Koh, J.M.S.; Nicholson, G.M.; Dejean, A. Venom toxicity and composition in three Pseudomyrmex ant species having different nesting modes. Toxicon 2014, 88, 67–76. [Google Scholar] [CrossRef]
- Rico-Gray, V.; Oliveira, P.S. The Ecology and Evolution of Ant-Plant Interactions; University of Chicago Press: Chicago, IL, USA, 2007. [Google Scholar]
- Yumoto, T.; Maruhashi, T. Pruning behavior and intercolony competition of Tetraponera (Pachysima) aethiops (Pseudomyrmecinae, Hymenoptera) in Barteria fistulosa in a tropical forest, Democratic Republic of Congo. Ecol. Res. 1999, 14, 393–404. [Google Scholar] [CrossRef]
- Blatrix, R.; Djiéto-Lordon, C.; Mondolot, L.; la Fisca, P.; Voglmayr, H.; Mckey, D. Plant-ants use symbiotic fungi as a food source: New insight into the nutritional ecology of ant-plant interactions. Proc. R. Soc. B Biol. Sci. 2012, 279, 3940–3947. [Google Scholar] [CrossRef]
- Lee, D.W. Nature’s Fabric: Leaves in Science and Culture; The University of Chicago Press: Chicago, IL, USA, 2017. [Google Scholar]
- Dejean, A.; Djiéto-Lordon, C.; Orivel, J. The plant ant Tetraponera aethiops (Pseudomyrmecinae) protects its host myrmecophyte Barteria fistulosa (Passifloraceae) through aggressiveness and predation. Biol. J. Linn. Soc. 2008, 93, 63–69. [Google Scholar] [CrossRef]
- Johnson, S.R.; Copello, J.A.; Evans, M.S.; Suarez, A.V. A biochemical characterization of the major peptides from the venom of the giant neotropical hunting ant Dinoponera australis. Toxicon 2010, 55, 702–710. [Google Scholar] [CrossRef]
- King, G.F.; Gentz, M.C.; Escoubas, P.; Nicholson, G.M. A rational nomenclature for naming peptide toxins from spiders and other venomous animals. Toxicon 2008, 52, 264–276. [Google Scholar] [CrossRef]
- Touchard, A.; Aili, S.R.; Fox, E.G.P.; Escoubas, P.; Orivel, J.; Nicholson, G.M.; Dejean, A. The biochemical toxin arsenal from ant venoms. Toxins 2016, 8, 30. [Google Scholar] [CrossRef]
- Deutsch, E.W.; Csordas, A.; Sun, Z.; Jarnuczak, A.; Perez-Riverol, Y.; Ternent, T.; Campbell, D.S.; Bernal-Llinares, M.; Okuda, S.; Kawano, S.; et al. The ProteomeXchange consortium in 2017: Supporting the cultural change in proteomics public data deposition. Nucleic Acids Res. 2017, 45, 1100–1106. [Google Scholar] [CrossRef] [PubMed]
- Perez-Riverol, Y.; Csordas, A.; Bai, J.; Bernal-Llinares, M.; Hewapathirana, S.; Kundu, D.J.; Inuganti, A.; Griss, J.; Mayer, G.; Eisenacher, M.; et al. The PRIDE database and related tools and resources in 2019: Improving support for quantification data. Nucleic Acids Res. 2019, 47, D442–D450. [Google Scholar] [CrossRef] [PubMed]
- Kazuma, K.; Masuko, K.; Konno, K.; Inagaki, H. Combined venom gland transcriptomic and venom peptidomic analysis of the predatory ant Odontomachus monticola. Toxins 2017, 9, 323. [Google Scholar] [CrossRef] [PubMed]
- Davies, N.W.; Wiese, M.D.; Brown, S.G.A. Characterisation of major peptides in “jack jumper” ant venom by mass spectrometry. Toxicon 2004, 43, 173–183. [Google Scholar] [CrossRef]
- Robinson, S.D.; Mueller, A.; Clayton, D.; Starobova, H.; Hamilton, B.R.; Payne, R.J.; Vetter, I.; King, G.F.; Undheim, E.A.B. A comprehensive portrait of the venom of the giant red bull ant, Myrmecia gulosa, reveals a hyperdiverse hymenopteran toxin gene family. Sci. Adv. 2018, 4, eaau4640. [Google Scholar] [CrossRef] [PubMed]
- Touchard, A.; Téné, N.; Chan Tchi Song, P.; Lefranc, B.; Leprince, J.; Treilhou, M.; Bonnafé, E. Deciphering the molecular diversity of an ant venom peptidome through a venomics approach. J. Proteome Res. 2018, 17, 3503–3516. [Google Scholar] [CrossRef]
- Kreil, G.; Haiml, L.; Suchanek, G. Stepwise cleavage of the pro part of promelittin by dipeptidylpeptidase IV. Eur. J. Biochem. 1980, 111, 49–58. [Google Scholar] [CrossRef] [PubMed]
- Hurst, D.; Rylett, C.M.; Isaac, R.E.; Shirras, A.D. The drosophila angiotensin-converting enzyme homologue Ance is required for spermiogenesis. Dev. Biol. 2003, 254, 238–247. [Google Scholar] [CrossRef]
- Aili, S.R.; Touchard, A.; Escoubas, P.; Padula, M.P.; Orivel, J.; Dejean, A.; Nicholson, G.M. Diversity of peptide toxins from stinging ant venoms. Toxicon 2014, 92, 166–178. [Google Scholar] [CrossRef]
- Touchard, A.; Koh, J.M.S.; Aili, S.R.; Dejean, A.; Nicholson, G.M.; Orivel, J.; Escoubas, P. The complexity and structural diversity of ant venom peptidomes is revealed by mass spectrometry profiling. Rapid Commun. Mass Spectrom. 2015, 29, 385–396. [Google Scholar] [CrossRef] [PubMed]
- Orivel, J.; Redeker, V.; Le Caer, J.P.; Krier, F.; Revol-Junelles, A.M.; Longeon, A.; Chaffotte, A.; Dejean, A.; Rossier, J. Ponericins, new antibacterial and insecticidal peptides from the venom of the ant Pachycondyla goeldii. J. Biol. Chem. 2001, 276, 17823–17829. [Google Scholar] [CrossRef] [PubMed]
- Lamiable, A.; Thévenet, P.; Rey, J.; Vavrusa, M.; Derreumaux, P.; Tufféry, P. PEP-FOLD3: Faster de novo structure prediction for linear peptides in solution and in complex. Nucleic Acids Res. 2016, 44, W449–W454. [Google Scholar] [CrossRef]
- Dekan, Z.; Headey, S.J.; Scanlon, M.; Baldo, B.A.; Lee, T.H.; Aguilar, M.I.; Deuis, J.R.; Vetter, I.; Elliott, A.G.; Amado, M.; et al. Δ-Myrtoxin-Mp1a is a helical heterodimer from the venom of the jack jumper ant that has antimicrobial, membrane-disrupting, and nociceptive activities. Angew. Chem. Int. Ed. 2017, 56, 8495–8499. [Google Scholar] [CrossRef]
- Smith, J.J.; Herzig, V.; King, G.F.; Alewood, P.F. The insecticidal potential of venom peptides. Cell. Mol. Life Sci. 2013, 70, 3665–3693. [Google Scholar] [CrossRef] [PubMed]
- Ma, Y.; He, Y.; Zhao, R.; Wu, Y.; Li, W.; Cao, Z. Extreme diversity of scorpion venom peptides and proteins revealed by transcriptomic analysis: Implication for proteome evolution of scorpion venom arsenal. J. Proteomics 2012, 75, 1563–1576. [Google Scholar] [CrossRef]
- Undheim, E.A.B.; Fry, B.G.; King, G.F. Centipede venom: Recent discoveries and current state of knowledge. Toxins 2015, 7, 679–704. [Google Scholar] [CrossRef] [PubMed]
- Olivera, B.M.; Ramilo, C.A.; Abogadie, F.C.; Cruz, L.J.; Woodward, S.R.; Hillyard, D.R.; Rivier, J.; Clark, C.; Corpuz, G.P.; Mena, E.E. Diversity of conus neuropeptides. Science 1990, 249, 257–263. [Google Scholar] [CrossRef]
- Wanandy, T.; Gueven, N.; Davies, N.W.; Brown, S.G.A.; Wiese, M.D. Pilosulins: A review of the structure and mode of action of venom peptides from an Australian ant Myrmecia pilosula. Toxicon 2015, 98, 54–61. [Google Scholar] [CrossRef] [PubMed]
- Borowiec, M.L.; Rabeling, C.; Brady, S.G.; Fisher, B.L.; Schultz, T.R.; Ward, P.S. Compositional heterogeneity and outgroup choice influence the internal phylogeny of the ants. Mol. Phylogenet. Evol. 2019, 134, 111–121. [Google Scholar] [CrossRef] [PubMed]
- Tani, N.; Kazuma, K.; Ohtsuka, Y.; Shigeri, Y.; Masuko, K.; Konno, K.; Inagaki, H. Mass spectrometry analysis and biological characterization of the predatory ant Odontomachus monticola venom and venom sac components. Toxins 2019, 11, 50. [Google Scholar] [CrossRef] [PubMed]
- Loughnan, M.; Nicke, A.; Jones, A.; Schroeder, C.I.; Nevin, S.T.; Adams, D.J.; Alewood, P.F.; Lewis, R.J. Identification of a novel class of nicotinic receptor antagonists. J. Biol. Chem. 2006, 281, 24745–24755. [Google Scholar] [CrossRef] [PubMed]
- Santos, A.D.; Imperial, J.S.; Chaudhary, T.; Beavis, R.C.; Chait, B.T.; Hunsperger, J.P.; Olivera, B.M.; Adams, M.E.; Hillyard, D.R. Heterodimeric structure of the spider toxin ω-agatoxin IA revealed by precursor analysis and mass spectrometry. J. Biol. Chem. 1992, 267, 20701–20705. [Google Scholar] [PubMed]
- Zamudio, F.Z.; Arévalo, C.; Conde, R.; Arévalos, C.; Becerril, B.; Martin, B.M.; Valdivia, H.H.; Possani, L.D. The mechanism of inhibition of ryanodine receptor channels by imperatoxin I, a heterodimeric protein from the scorpion Pandinus imperator. J. Biol. Chem. 1997, 272, 11886–11894. [Google Scholar] [CrossRef] [PubMed]
- Schmidt, J.O. Evolutionary responses of solitary and social Hymenoptera to predation by primates and overwhelmingly powerful vertebrate predators. J. Hum. Evol. 2014, 71, 12–19. [Google Scholar] [CrossRef] [PubMed]
- Cabau, C.; Escudié, F.; Djari, A.; Guiguen, Y.; Bobe, J.; Klopp, C. Compacting and correcting Trinity and Oases RNA-Seq de novo assemblies. PeerJ 2017, 5, e2988. [Google Scholar] [CrossRef]
- Li, H.; Durbin, R. Fast and accurate long-read alignment with Burrows-Wheeler transform. Bioinformatics 2010, 26, 589–595. [Google Scholar] [CrossRef]
- Li, H.; Handsaker, B.; Wysoker, A.; Fennell, T.; Ruan, J.; Homer, N.; Marth, G.; Abecasis, G.; Durbin, R. The sequence alignment/map format and SAMtools. Bioinformatics 2009, 25, 2078–2079. [Google Scholar] [CrossRef]
- Hsieh, P.H.; Oyang, Y.J.; Chen, C.Y. Effect of de novo transcriptome assembly on transcript quantification. Sci. Rep. 2019, 9, 8304. [Google Scholar] [CrossRef]
- Chojnacki, S.; Cowley, A.; Lee, J.; Foix, A.; Lopez, R. Programmatic access to bioinformatics tools from EMBL-EBI update: 2017. Nucleic Acids Res. 2017, 45, W550–W553. [Google Scholar] [CrossRef]
- Gouy, M.; Guindon, S.; Gascuel, O. SeaView Version 4: A multiplatform graphical user interface for sequence alignment and phylogenetic tree building. Mol. Biol. Evol. 2010, 27, 221–224. [Google Scholar] [CrossRef] [PubMed]






| Retention Time (min) | Mass (Da) | Relative Abundance (%) | Temporary Name | Peptide Toxin |
|---|---|---|---|---|
| 14.55 | 5773.80 | 0.50 | Ta-5773 | |
| 20.50 | 2996.28 | 0.03 | Ta-2996 | |
| 22.18 | 5458.56 | 0.60 | Ta-5458 | |
| 22.24 | 2663.58 | 0.10 | Ta-2662 | U1-PSDTX-Ta1a |
| 23.00 | 2877.72 | 0.28 | Ta-2875 | U2-PSDTX-Ta1a |
| 23.64 | 5441.80 | 11.98 | Ta-5438 | U2-PSDTX-Ta1b (homodimer) |
| 25.23 | 5753.64 | 9.33 | Ta-5750 | U2-PSDTX-Ta1a (homodimer) |
| 25.50 | 4470.96 | 1.96 | Ta-4468 | U3-PSDTX-Ta1a |
| 26.00 | 5683.60 | 7.24 | Ta-5680 | U2-PSDTX-Ta1a/U2-PSDTX-Ta1c |
| 26.75 | 5610.63 | 1.27 | Ta-5608 | U2-PSDTX-Ta1c (homodimer) |
| 50.07 | 3568.28 | 66.41 | Ta-3566 | U4-PSDTX-Ta1a |
| 54.93 | 3615.81 | * | Ta-3615 | U5-PSDTX-Ta1a |
| Toxin Name | Mass (Da) | RPMs | Sequence | Features | Net Charge | Hydrophobic aa (%) | pI |
|---|---|---|---|---|---|---|---|
| U1-PSDTX-Ta1a | 2662.54 | 118,602 | TLTNMSLREILEKLGIKIPPGLNI | Monomer | 1.0 | 41.67 | 8.26 |
| U2-PSDTX-Ta1a | 2875.47 | 148,472 | DWKNTAKEWGKKVGEALLDCAKQKM * | Monomer | 2.9 | 40.00 | 8.99 |
| U2-PSDTX-Ta1a | 5750.94 | 148,472 | DWKNTAKEWGKKVGEALLDCAKQKM * | 1 S-S Homodimer | 5.8 | 40.00 | 9.23 |
| U2-PSDTX-Ta1b | 5438.60 | 144,674 | DWKGGAKDCAKKGAQCVLECVQQKM * | 3 S-S Homodimer | 5.6 | 44.00 | 8.83 |
| U2-PSDTX-Ta1c | 5608.78 | 178,027 | DWTDTAKEWGRKVGGALLDCAKQKM * | 1 S-S Homodimer | 3.8 | 40.00 | 8.70 |
| U2-PSDTX-Ta1c U2-PSDTX-Ta1a | 5680.86 | 178,027 148,472 | DWTDTAKEWGRKVGGALLDCAKQKM * DWKNTAKEWGKKVGEALLDCAKQKM * | Heterodimer | 4.8 | 40.00 | 9.04 |
| U3-PSDTX-Ta1a | 4468.45 | 26,331 | KKKRKWVTKAIKEVGKTIGEALVEEAVSAALSAATEGGEKEE | Monomer | 1.0 | 38.10 | 8.27 |
| U4-PSDTX-Ta1a | 3566.12 | 126,081 | GILGVIARWIWKLIQILAPTAAVEVATRLGLPQ | Monomer | 2.0 | 60.61 | 10.84 |
| U5-PSDTX-Ta1a | 3615.97 | 91,424 | FWGLILQGIWAVVKWAGPIIVDIAADYVIEYV * | Monomer | 1.0 | 71.88 | 4.03 |
© 2019 by the authors. Licensee MDPI, Basel, Switzerland. This article is an open access article distributed under the terms and conditions of the Creative Commons Attribution (CC BY) license (http://creativecommons.org/licenses/by/4.0/).
Share and Cite
Barassé, V.; Touchard, A.; Téné, N.; Tindo, M.; Kenne, M.; Klopp, C.; Dejean, A.; Bonnafé, E.; Treilhou, M. The Peptide Venom Composition of the Fierce Stinging Ant Tetraponera aethiops (Formicidae: Pseudomyrmecinae). Toxins 2019, 11, 732. https://doi.org/10.3390/toxins11120732
Barassé V, Touchard A, Téné N, Tindo M, Kenne M, Klopp C, Dejean A, Bonnafé E, Treilhou M. The Peptide Venom Composition of the Fierce Stinging Ant Tetraponera aethiops (Formicidae: Pseudomyrmecinae). Toxins. 2019; 11(12):732. https://doi.org/10.3390/toxins11120732
Chicago/Turabian StyleBarassé, Valentine, Axel Touchard, Nathan Téné, Maurice Tindo, Martin Kenne, Christophe Klopp, Alain Dejean, Elsa Bonnafé, and Michel Treilhou. 2019. "The Peptide Venom Composition of the Fierce Stinging Ant Tetraponera aethiops (Formicidae: Pseudomyrmecinae)" Toxins 11, no. 12: 732. https://doi.org/10.3390/toxins11120732
APA StyleBarassé, V., Touchard, A., Téné, N., Tindo, M., Kenne, M., Klopp, C., Dejean, A., Bonnafé, E., & Treilhou, M. (2019). The Peptide Venom Composition of the Fierce Stinging Ant Tetraponera aethiops (Formicidae: Pseudomyrmecinae). Toxins, 11(12), 732. https://doi.org/10.3390/toxins11120732

