A Novel Combination of Wheat Peptides and Fucoidan Attenuates Ethanol-Induced Gastric Mucosal Damage through Anti-Oxidant, Anti-Inflammatory, and Pro-Survival Mechanisms
Abstract
:1. Introduction
2. Materials and Methods
2.1. Materials and WPF Preparation
2.2. Cell Culture
2.3. Animals
2.4. Ethanol-Induced Gastric Mucosal Damage Model
2.5. Macroscopic Analysis
2.6. Histopathologic Evaluation
2.7. Immunohistochemistry
2.8. Biochemical Analysis
2.9. Western Blot
2.10. Statistical Analysis
3. Results
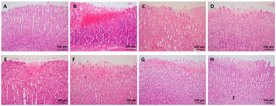
3.1. WPF Attenuated Ethanol-Induced Gastric Mucosal Damage
3.2. Anti-Oxidant Effect of WPF
3.3. Anti-Inflammatory Effect of WPF
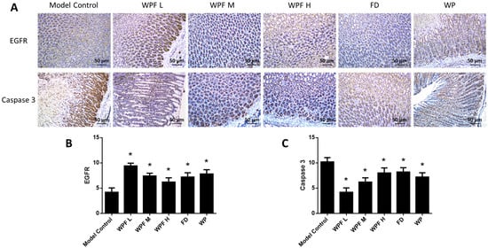
3.4. Pro-Survival Effect of WPF
3.5. WPF-Induced Activation of EGFR-ERK Pathway
4. Discussion
5. Conclusions
Acknowledgments
Author Contributions
Conflicts of Interest
References
- Allen, A.; Flemström, G.; Garner, A.; Kivilaakso, E. Gastroduodenal mucosal protection. Physiol. Rev. 1993, 73, 823–857. [Google Scholar] [PubMed]
- Flemstrom, G.; Garner, A. Gastroduodenal hco3(-) transport: Characteristics and proposed role in acidity regulation and mucosal protection. Am. J. Physiol. 1982, 242, 183–193. [Google Scholar]
- Guslandi, M. Effects of ethanol on the gastric mucosa. Dig. Dis. 1987, 5, 21–32. [Google Scholar] [CrossRef] [PubMed]
- Szabo, S.; Trier, J.S.; Brown, A.; Schnoor, J. Early vascular injury and increased vascular permeability in gastric mucosal injury caused by ethanol in the rat. Gastroenterology 1985, 88, 228–236. [Google Scholar] [CrossRef]
- Bilici, D.; Süleyman, H.; Banoğlu, Z.N. Melatonin prevents ethanol-induced gastric mucosal damage possibly due to its antioxidant effect. Dig. Dis. Sci. 2002, 47, 856–861. [Google Scholar] [CrossRef] [PubMed]
- Capasso, R.; Pinto, L.; Vuotto, M.L.; Di, C.G. Preventive effect of eugenol on paf and ethanol-induced gastric mucosal damage. Fitoterapia 2000, 71, S131–S137. [Google Scholar] [CrossRef]
- Finlayson, A.J. The compositions of some peptides produced by an enzymic hydrolysis of wheat gliadin. Can. J. Biochem. 1964, 42, 1133–1140. [Google Scholar] [CrossRef] [PubMed]
- Prentice, N.; Burger, W.C.; Moeller, M. Partial purification and characterization of peptide hydrolases from germinated wheat. Phytochemistry 1968, 7, 1899–1905. [Google Scholar] [CrossRef]
- Cavazos, A.; Mejia, E.G.D. Identification of bioactive peptides from cereal storage proteins and their potential role in prevention of chronic diseases. Compr. Rev. Food Sci. Food Saf. 2013, 12, 364–380. [Google Scholar] [CrossRef]
- Hong, Y.; Pan, X.; Song, Z.; Wang, S.; Yang, L.; Sun, G. Protective effect of wheat peptides against indomethacin-induced oxidative stress in iec-6 cells. Nutrients 2014, 6, 564–574. [Google Scholar]
- Zhang, Q.X.; Ling, Y.F.; Sun, Z.; Zhang, L.; Yu, H.X.; Kamau, S.M.; Lu, R.R. Protective effect of whey protein hydrolysates against hydrogen peroxide-induced oxidative stress on pc12 cells. Biotechnol. Lett. 2012, 34, 2001–2006. [Google Scholar] [CrossRef] [PubMed]
- Hong, Y.; Pan, X.C.; Wang, S.K.; Yang, L.G.; Sun, G.J. Protective effect of wheat peptides against small intestinal damage induced by non-steroidal anti-inlfammatory drugs in rats. J. Integr. Agric. 2014, 13, 2019–2027. [Google Scholar]
- Li, B.; Lu, F.; Wei, X.; Zhao, R. Fucoidan: Structure and bioactivity. Molecules 2008, 13, 1671. [Google Scholar] [CrossRef] [PubMed]
- Chizhov, A.O.; Dell, A.; Morris, H.R.; Haslam, S.M.; Mcdowell, R.A.; Shashkov, A.S.; Nifant’Ev, N.E.; Khatuntseva, E.A.; Usov, A.I. A study of fucoidan from the brown seaweed chorda filum. Carbohydr. Res. 1999, 320, 108–119. [Google Scholar] [CrossRef]
- Matsumoto, S.; Nagaoka, M.; Hara, T.; Kimuratakagi, I.; Mistuyama, K.; Ueyama, S. Fucoidan derived from cladosiphon okamuranus tokida ameliorates murine chronic colitis through the down-regulation of interleukin-6 production on colonic epithelial cells. Clin. Exp. Immunol. 2004, 136, 432–439. [Google Scholar] [CrossRef] [PubMed]
- Raghavendran, H.R.; Srinivasan, P.; Rekha, S. Immunomodulatory activity of fucoidan against aspirin-induced gastric mucosal damage in rats. Int. Immunopharmacol. 2011, 11, 157–163. [Google Scholar] [CrossRef] [PubMed]
- La Casa, C.; Villegas, I.; de la Lastra, C.A.; Motilva, V.; Martín Calero, M.J. Evidence for protective and antioxidant properties of rutin, a natural flavone, against ethanol induced gastric lesions. J. Ethnopharmacol. 2000, 71, 45–53. [Google Scholar] [CrossRef] [PubMed]
- CFDA. Technical Standards for Testing and Assessment of Health Food; People’s Medical Publishing House: Beijing, China, 2003. [Google Scholar]
- Klein, M.; Vignaud, J.M.; Hennequin, V.; Toussaint, B.; Bresler, L.; Plénat, F.; Leclère, J.; Duprez, A.; Weryha, G. Increased expression of the vascular endothelial growth factor is a pejorative prognosis marker in papillary thyroid carcinoma. J. Clin. Endocrinol. Metab. 2001, 86, 656–658. [Google Scholar] [CrossRef] [PubMed]
- Chen, J.X.; Deng, N.; Chen, X.; Chen, L.W.; Qiu, S.P.; Li, X.F.; Li, J.P. A novel molecular grading model: Combination of ki67 and vegf in predicting tumor recurrence and progression in non-invasive urothelial bladder cancer. Asian Pac. J. Cancer Prev. 2012, 13, 2229–2234. [Google Scholar] [CrossRef] [PubMed]
- Ferri, F.F. Ferri’s Clinical Advisor 2015; Elsevier: New York, NY, USA, 2015. [Google Scholar]
- Chan, F.K.; Leung, W.K. Peptic-ulcer disease. Lancet 2002, 360, 933–941. [Google Scholar] [CrossRef]
- Mcclain, C.J.; Dryden, G.W.; Krueger, K. Complementary and Alternative Medicine in Gastroenterology; Blackwell Publishing Ltd.: Oxford, UK, 2009; pp. 2844–2859. [Google Scholar]
- Cao, X.Y.; Liu, J.L.; Liu, C.J.; Wang, X.; Guo, W.W. Toxicity study and safety assessment of wheat bran peptide. Food Sci. 2008, 8, 138. [Google Scholar]
- Li, N.; Zhang, Q.; Song, J. Toxicological evaluation of fucoidan extracted from laminaria japonica in wistar rats. Food Chem. Toxicol. 2005, 43, 421–426. [Google Scholar] [CrossRef] [PubMed]
- Pan, X.; Yin, H.; Gu, R.; Xu, Y.; Cai, M.; Sun, G. Effect of wheat peptide on the nitrogen metabolism and gastrointestinal mucosal structure of rats. Food Sci. 2013, 34, 264–269. [Google Scholar]
- Yang, X.; Wang, Y.; Wang, F.; Xia, H.; Pan, X.; Zhu, H.; Gu, R.; Ma, Y.; Tang, H.; Wang, S.; et al. Effect of hydrolyzed wheat protein peptide on ethanol-induced acute gastric mucosal damage in rats. Food Sci. 2016, 37, 178–182. [Google Scholar]
- Del, R.D.; Stewart, A.J.; Pellegrini, N. A review of recent studies on malondialdehyde as toxic molecule and biological marker of oxidative stress. Nutr. Metab. Cardiovas. Dis. 2005, 15, 316–328. [Google Scholar] [CrossRef] [PubMed]
- Nielsen, F.; Bo, B.M.; Nielsen, J.B.; Andersen, H.R.; Grandjean, P. Plasma malondialdehyde as biomarker for oxidative stress: Reference interval and effects of life-style factors. Clin. Chem. 1997, 43, 1209–1214. [Google Scholar] [PubMed]
- Bowler, C.; And, M.V.M.; Inze, D. Superoxide dismutase and stress tolerance. Annu. Rev. Plant. Biol. 1992, 43, 83–116. [Google Scholar] [CrossRef]
- Rouhollahi, E.; Moghadamtousi, S.Z.; Hamdi, O.A.; Fadaeinasab, M.; Hajrezaie, M.; Awang, K.; Looi, C.Y.; Abdulla, M.A.; Mohamed, Z. Evaluation of acute toxicity and gastroprotective activity of curcuma purpurascens bi. Rhizome against ethanol-induced gastric mucosal injury in rats. BMC Complement. Altern. Med. 2014, 14, 1–10. [Google Scholar] [CrossRef] [PubMed]
- Alvarez-Suarez, J.M.; Dragana, D.; Slavica, R.; Radonjić, N.V.; Petronijević, N.D.; Francesca, G.; Paola, A.; González-Paramás, A.M.; Celestino, S.B.; Sara, T. Strawberry polyphenols attenuate ethanol-induced gastric lesions in rats by activation of antioxidant enzymes and attenuation of mda increase. PLoS ONE 2011, 6, e25878. [Google Scholar] [CrossRef] [PubMed]
- Park, S.; Hahm, K.B.; Oh, T.Y.; Jin, J.H.; Choue, R. Preventive effect of the flavonoid, wogonin, against ethanol-induced gastric mucosal damage in rats. Dig. Dis. Sci. 2004, 49, 384–394. [Google Scholar] [CrossRef] [PubMed]
- Sang, W.P.; Oh, T.Y.; Yong, S.K.; Sim, H.; Sang, J.P.; Jang, E.J.; Park, J.S.; Baik, H.W.; Hahm, K.B. Artemisia asiatica extracts protect against ethanol-induced injury in gastric mucosa of rats. J. Gastroenterol. Hepatol. 2008, 23, 976–984. [Google Scholar]
- Chang, X.; Luo, F.; Jiang, W.; Zhu, L.; Jin, G.; He, H.; Wei, T.; Gong, S.; Yan, T. Protective activity of salidroside against ethanol-induced gastric ulcer via the mapk/nf-κb pathway in vivo in vivo and in vitro in vitro. Int. Immunopharmacol. 2015, 28, 604–615. [Google Scholar] [CrossRef] [PubMed]
- Rosam, A.C.; Wallace, J.L.; Whittle, B.J.R. Potent ulcerogenic actions of platelet-activating factor on the stomach. Nature 1986, 319, 54–56. [Google Scholar] [CrossRef] [PubMed]
- Jeanneton, O.; Delvaux, M.; Langlois, Y.; Bars, P.L.; Bars, J.L.; Delisle, M.B.; Frexinos, J.; Bueno, L. Correlation of desensitisation of platelet activating factor (paf) receptors with intensity of inflammation and intestinal paf content during experimental ileitis in guinea pig. Gut 1998, 43, 356–364. [Google Scholar] [CrossRef] [PubMed]
- Kvietys, P.R.; Twohig, B.; Danzell, J.; Specian, R.D. Ethanol-induced injury to the rat gastric mucosa. Role of neutrophils and xanthine oxidase-derived radicals. Gastroenterology 1990, 98, 909–920. [Google Scholar] [CrossRef]
- Erkasap, S.; Erkasap, N.; Aral, E.; Koken, T.; Kahraman, A.; Aydin, Y.; Yilmaz, S.; Ates, E. Mast cell stabilizator and antioxidant effects of epidermal growth factor (egf) on gastric mucosal injury induced by ethanol in rats. Chin. J. Physiol. 2005, 48, 1–6. [Google Scholar] [PubMed]
- Konturek, P.K.; Brzozowski, T.; Konturek, S.J.; Dembiński, A. Role of epidermal growth factor, prostaglandin, and sulfhydryls in stress-induced gastric lesions. Gastroenterology 1990, 99, 1607–1615. [Google Scholar] [CrossRef]
- Konturek, S.J.; Brzozowski, T.; Piastucki, I.; Dembinski, A.; Radecki, T.; Dembinska-Kiec, A.; Zmuda, A.; Gregory, H. Role of mucosal prostaglandins and DNA synthesis in gastric cytoprotection by luminal epidermal growth factor. Gut 1981, 22, 927–932. [Google Scholar] [CrossRef] [PubMed]
- Konturek, P.C.; Brzozowski, T.; Duda, A.; Kwiecien, S.; Löber, S.; Dembinski, A.; Hahn, E.G.; Konturek, S.J. Epidermal growth factor and prostaglandin e 2 accelerate mucosal recovery from stress-induced gastric lesions via inhibition of apoptosis. J. Physiol. Paris 2001, 95, 361–367. [Google Scholar] [CrossRef]
- Hui, W.M.; Chen, B.W.; Kung, A.W.; Cho, C.H.; Luk, C.T.; Lam, S.K. Effect of epidermal growth factor on gastric blood flow in rats: Possible role in mucosal protection. Gastroenterology 1993, 104, 1605–1610. [Google Scholar] [CrossRef]
- Konturek, S.J.; Brzozowski, T.; Majka, J.; Dembinski, A.; Slomiany, A.; Slomiany, B.L. Transforming growth factor alpha and epidermal growth factor in protection and healing of gastric mucosal injury. Scand. J. Gastroenterol. 1992, 27, 649–655. [Google Scholar] [CrossRef] [PubMed]
- Golbabapour, S.; Hajrezaie, M.; Hassandarvish, P.; Abdul, M.N.; Hadi, A.H.; Nordin, N.; Abdulla, M.A. Acute toxicity and gastroprotective role of M. pruriens in ethanol-induced gastric mucosal injuries in rats. Biomed. Res. 2013, 2013, 974185. [Google Scholar]
- Suo, H.; Feng, X.; Zhu, K.; Wang, C.; Zhao, X.; Kan, J. Shuidouchi (fermented soybean) fermented in different vessels attenuates hcl/ethanol-induced gastric mucosal injury. Molecules 2015, 20, 19748–19763. [Google Scholar] [CrossRef] [PubMed]
- Werner, S.; Grose, R. Regulation of wound healing by growth factors and cytokines. Physiol. Rev. 2003, 83, 835–870. [Google Scholar] [PubMed]
- Hao, Z.K.; Liu, X.S.; Endoscopy, D.O. Expression of epidermal growth factor and epidermal growth factor receptor in gastric mucosal erosion. World Chin. J. Digestol. 2013. [Google Scholar] [CrossRef]
- Majumdar, A.P.; Fligiel, S.E.; Jaszewski, R.; Tureaud, J.; Dutta, S.; Chelluderai, B. Inhibition of gastric mucosal regeneration by tyrphostin: Evaluation of the role of epidermal growth factor receptor tyrosine kinase. J. Lab. Clin. Med. 1996, 128, 173–180. [Google Scholar] [CrossRef]
- Zwick, E.; Hackel, P.O.; Prenzel, N.; Ullrich, A. The egf receptor as central transducer of heterologous signalling systems. Trends Pharmacol. Sci. 1999, 20, 408–412. [Google Scholar] [CrossRef]
- Jorissen, R.N.; Walker, F.; Pouliot, N.; Garrett, T.P.; Ward, C.W.; Burgess, A.W. Epidermal growth factor receptor: Mechanisms of activation and signalling. Exp. Cell Res. 2003, 284, 31–53. [Google Scholar] [CrossRef]






| Grade | 1 | 2 | 3 | 4 |
|---|---|---|---|---|
| Spot Erosion | Each spot | |||
| Linear Erosion (Length) | 1–5 mm | 5–10 mm | 10–15 mm | >15 mm |
| Linear Erosion (Width) | 1–2 mm | >2 mm | ||
| Ulcer Index = Spot Erosion + Linear Erosion Length + (Linear Erosion Width) × 2 | ||||
| Grade | 1 | 2 | 3 | 4 | 5 |
|---|---|---|---|---|---|
| Congestion | <20% | 20–40% | 40–60% | 60–80% | ≥80% |
| Hemorrhage | <20% | 20–40% | 40–60% | 60–80% | ≥80% |
| Necrosis | <20% | 20–40% | 40–60% | 60–80% | ≥80% |
| Pathological Index = Congestion + Hemorrhage × 2 + Necrosis × 3 | |||||
| Grade | 0 | 1 | 2 | 3 | 4 |
|---|---|---|---|---|---|
| Percentage of Positive Cells | ≤5% | 6–25% | 26–50% | 51–75% | >75% |
| Intensity of Immunostaining | No | Low | Moderate | Strong | |
| Total Score = Percentage of Positive Cells × Intensity of Immunostaining | |||||
© 2017 by the authors. Licensee MDPI, Basel, Switzerland. This article is an open access article distributed under the terms and conditions of the Creative Commons Attribution (CC BY) license (http://creativecommons.org/licenses/by/4.0/).
Share and Cite
Kan, J.; Hood, M.; Burns, C.; Scholten, J.; Chuang, J.; Tian, F.; Pan, X.; Du, J.; Gui, M. A Novel Combination of Wheat Peptides and Fucoidan Attenuates Ethanol-Induced Gastric Mucosal Damage through Anti-Oxidant, Anti-Inflammatory, and Pro-Survival Mechanisms. Nutrients 2017, 9, 978. https://doi.org/10.3390/nu9090978
Kan J, Hood M, Burns C, Scholten J, Chuang J, Tian F, Pan X, Du J, Gui M. A Novel Combination of Wheat Peptides and Fucoidan Attenuates Ethanol-Induced Gastric Mucosal Damage through Anti-Oxidant, Anti-Inflammatory, and Pro-Survival Mechanisms. Nutrients. 2017; 9(9):978. https://doi.org/10.3390/nu9090978
Chicago/Turabian StyleKan, Juntao, Molly Hood, Charlie Burns, Jeff Scholten, Jennifer Chuang, Feng Tian, Xingchang Pan, Jun Du, and Min Gui. 2017. "A Novel Combination of Wheat Peptides and Fucoidan Attenuates Ethanol-Induced Gastric Mucosal Damage through Anti-Oxidant, Anti-Inflammatory, and Pro-Survival Mechanisms" Nutrients 9, no. 9: 978. https://doi.org/10.3390/nu9090978
APA StyleKan, J., Hood, M., Burns, C., Scholten, J., Chuang, J., Tian, F., Pan, X., Du, J., & Gui, M. (2017). A Novel Combination of Wheat Peptides and Fucoidan Attenuates Ethanol-Induced Gastric Mucosal Damage through Anti-Oxidant, Anti-Inflammatory, and Pro-Survival Mechanisms. Nutrients, 9(9), 978. https://doi.org/10.3390/nu9090978

