Identification of New Allergens in Macadamia Nut and Cross-Reactivity with Other Tree Nuts in a Spanish Cohort
Highlights
- Oleosin, pectin acetylesterase, and aspartyl protease were identified as novel allergens in macadamia nuts
- Macadamia oleosin showed cross-reactivity with hazelnut, which could be a biomarker for macadamia–hazelnut cross-reactivity.
- Sensitization patterns in Spain differ from those in Australia and Japan, likely due to environmental and dietary factors.
- These findings may improve diagnosis and treatment strategies of tree nut allergies in Europe.
Abstract
1. Introduction
2. Materials and Methods
2.1. Preparation and Quantification of Macadamia Nut Protein Extract
2.2. Electrophoretic Procedures for Protein Characterization
2.3. Sera Samples from Allergic Patients
2.4. Immunological Assays with Patients’ Sera
2.5. Protein Identification by LC-MS/MS
3. Results
3.1. Patient Clinical Characterization
3.2. Immunodetection of IgE-Reactive Proteins in Macadamia Nut, Hazelnut, and Walnut Extracts by Western Blot
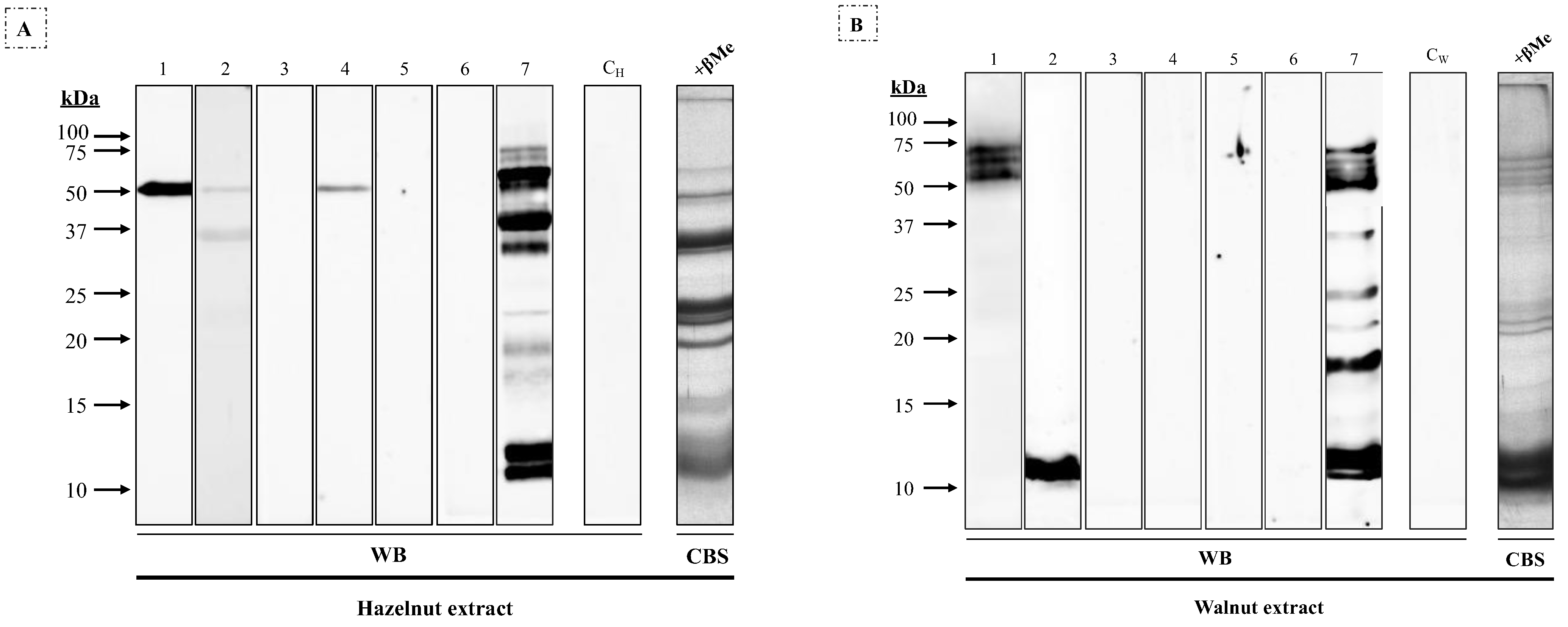
3.3. Evaluation of Cross-Reactivity between Macadamia Nut and Hazelnut and Walnut Extracts by Western Blot
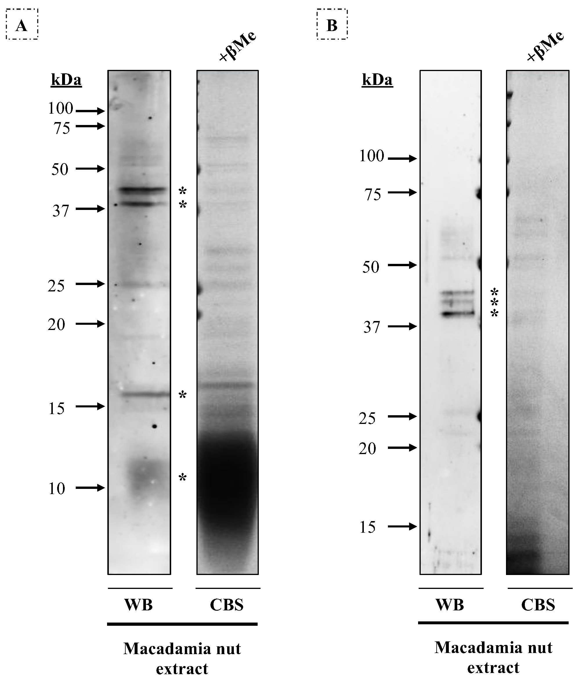
3.4. Identification of IgE-Binding Proteins
4. Discussion
5. Conclusions
Author Contributions
Funding
Institutional Review Board Statement
Informed Consent Statement
Data Availability Statement
Conflicts of Interest
References
- Pallares, D.E. Allergy to macadamia nut. Ann. Allergy Asthma Immunol. 2000, 85, 385–386. [Google Scholar] [CrossRef] [PubMed]
- Griel, A.E.; Cao, Y.; Bagshaw, D.D.; Cifelli, A.M.; Holub, B.; Kris-Etherton, P.M. A macadamia nut-rich diet reduces total and LDL-cholesterol in mildly hypercholesterolemic men and women. J. Nutr. 2008, 138, 761–767. [Google Scholar] [CrossRef]
- Shuai, X.; Dai, T.; Chen, M.; Liang, R.; Du, L.; Chen, J.; Liu, C. Comparative Study of Chemical Compositions and Antioxidant Capacities of Oils Obtained from 15 Macadamia (Macadamia integrifolia) Cultivars in China. Foods 2021, 10, 1031. [Google Scholar] [CrossRef]
- Sutherland, M.F.; O’Hehir, R.E.; Czarny, D.; Suphioglu, C. Macadamia nut anaphylaxis: Demonstration of specific IgE reactivity and partial cross-reactivity with hazelnut. J. Allergy Clin. Immunol. 1999, 104, 889–890. [Google Scholar] [CrossRef]
- Herbst, R.A.; Wahl, R.; Frosch, P.J. Specific IgE reactivity and identification of potential allergens in macadamia allergy. J. Eur. Acad. Dermatol. Venereol. 2010, 24, 1361–1363. [Google Scholar] [CrossRef] [PubMed]
- Kabasser, S.; Pratap, K.; Kamath, S.; Taki, A.C.; Dang, T.; Koplin, J.; Perrett, K.; Hummel, K.; Radauer, C.; Breiteneder, H.; et al. Identification of vicilin, legumin and antimicrobial peptide 2a as macadamia nut allergens. Food Chem. 2022, 370, 131028. [Google Scholar] [CrossRef] [PubMed]
- Ando, T.; Kitaura, J.; Maruyama, N.; Narita, M.; Miura, K.; Takasato, Y.; Nogami, K.; Nagao, M.; Okumura, K.; Ogawa, H.; et al. Sensitization to macadamia 7S globulin amino-terminus with clinical relevance in Japanese children with macadamia nut allergy. Allergol. Int. 2023, 72, 351–353. [Google Scholar] [CrossRef]
- McWilliam, V.L.; Perrett, K.P.; Dang, T.; Peters, R.L. Prevalence and natural history of tree nut allergy. Ann. Allergy Asthma Immunol. 2020, 124, 466–472. [Google Scholar] [CrossRef] [PubMed]
- Yoshida, K.; Shirane, S.; Kinoshita, K.; Morikawa, E.; Matsushita, S.; Toda, M.; Nakajima-Adachi, H.; Akasawa, A.; Narita, M. Macadamia nut allergy in children: Clinical features and cross-reactivity with walnut and hazelnut. Pediatr. Allergy Immunol. 2021, 32, 1111–1114. [Google Scholar] [CrossRef]
- Kiewiet, M.B.G.; Lupinek, C.; Vrtala, S.; Wieser, S.; Baar, A.; Kiss, R.; Kull, I.; Melen, E.; Wickman, M.; Porta, D.; et al. A molecular sensitization map of European children reveals exposome- and climate-dependent sensitization profiles. Allergy 2023, 78, 2007–2018. [Google Scholar] [CrossRef] [PubMed]
- Bartra, J.; Garcia-Moral, A.; Enrique, E. Geographical differences in food allergy. Bundesgesundheitsblatt Gesundheitsforschung Gesundheitsschutz 2016, 59, 755–763. [Google Scholar] [CrossRef] [PubMed]
- Spolidoro, G.C.I.; Lisik, D.; Nyassi, S.; Ioannidou, A.; Ali, M.M.; Amera, Y.T.; Rovner, G.; Khaleva, E.; Venter, C.; van Ree, R.; et al. Prevalence of tree nut allergy in Europe: A systematic review and meta-analysis. Allergy 2024, 79, 302–323. [Google Scholar] [CrossRef] [PubMed]
- Santos, A.F.; Riggioni, C.; Agache, I.; Akdis, C.A.; Akdis, M.; Alvarez-Perea, A.; Alvaro-Lozano, M.; Ballmer-Weber, B.; Barni, S.; Beyer, K.; et al. EAACI guidelines on the diagnosis of IgE-mediated food allergy. Allergy 2023, 78, 3057–3076. [Google Scholar] [CrossRef] [PubMed]
- Majsiak, E.; Choina, M.; Miskiewicz, K.; Doniec, Z.; Kurzawa, R. Oleosins: A Short Allergy Review. Adv. Exp. Med. Biol. 2021, 1324, 51–55. [Google Scholar] [CrossRef]
- Cirrincione, S.; Aiuto, B.; Gosso, E.; Schiavone, C.; Portesi, C.; Rossi, A.M.; Monti, G.; Cavallarin, L.; Lamberti, C.; Giuffrida, G.M. Proteomic study of walnut oleosome and first evidence on oleosin sensitization in allergic patients. J. Food Compos. Anal. 2023, 121, 105386. [Google Scholar] [CrossRef]
- Wu, H.C.; Bulgakov, V.P.; Jinn, T.L. Pectin Methylesterases: Cell Wall Remodeling Proteins Are Required for Plant Response to Heat Stress. Front. Plant Sci. 2018, 9, 1612. [Google Scholar] [CrossRef] [PubMed]
- Munoz-Garcia, E.; Luengo-Sanchez, O.; Haroun-Diaz, E.; Maroto, A.S.; Palacin, A.; Diaz-Perales, A.; de las Heras Gozalo, M.; Labrador-Horrillo, M.; Vivanco, F.; Cuesta-Herranz, J.; et al. Identification of thaumatin-like protein and aspartyl protease as new major allergens in lettuce (Lactuca sativa). Mol. Nutr. Food Res. 2013, 57, 2245–2252. [Google Scholar] [CrossRef] [PubMed]




| Number of Patient | Age | Sex | Atopy | Prick-by-Prick Macadamia Nut | IgE to Macadamia (kU/L) | Allergy Reaction | IgE to Walnut (kU/L) | IgE to Hazelnut (kU/L) | Allergy to Other Nuts |
|---|---|---|---|---|---|---|---|---|---|
| 1 | 31 | F | Yes | 5 × 4 | 0.11 | OAS | 0 | 0 | No |
| 2 | 9 | F | No | 9 × 3 | 3.37 | OAS + rhynoconjunctivitis | 0.58 | 0.08 | W, H |
| 3 | 47 | M | Yes | 7 × 6 | 0.85 | Syst. | 0 | 0 | No |
| 4 | 35 | F | Yes | 8 × 7 | 0.49 | Syst. | 0 | 0 | No |
| 5 | 58 | M | No | 7 × 2 | 0.07 | Syst. | 0 | 0 | No |
| 6 | 41 | M | No | 6 × 4 | 0.81 | Syst. | NA | 0 | No |
| 7 | 13 | F | Yes | 10 × 8 | 5.71 | OAS | 70.5 | 24.4 | W, H, P, C |
Disclaimer/Publisher’s Note: The statements, opinions and data contained in all publications are solely those of the individual author(s) and contributor(s) and not of MDPI and/or the editor(s). MDPI and/or the editor(s) disclaim responsibility for any injury to people or property resulting from any ideas, methods, instructions or products referred to in the content. |
© 2024 by the authors. Licensee MDPI, Basel, Switzerland. This article is an open access article distributed under the terms and conditions of the Creative Commons Attribution (CC BY) license (https://creativecommons.org/licenses/by/4.0/).
Share and Cite
Gutiérrez-Díaz, G.; Betancor, D.; Parrón-Ballesteros, J.; Gordo, R.G.; Castromil-Benito, E.S.; Haroun, E.; Vázquez de la Torre, M.; Turnay, J.; Villalba, M.; Cuesta-Herranz, J.; et al. Identification of New Allergens in Macadamia Nut and Cross-Reactivity with Other Tree Nuts in a Spanish Cohort. Nutrients 2024, 16, 947. https://doi.org/10.3390/nu16070947
Gutiérrez-Díaz G, Betancor D, Parrón-Ballesteros J, Gordo RG, Castromil-Benito ES, Haroun E, Vázquez de la Torre M, Turnay J, Villalba M, Cuesta-Herranz J, et al. Identification of New Allergens in Macadamia Nut and Cross-Reactivity with Other Tree Nuts in a Spanish Cohort. Nutrients. 2024; 16(7):947. https://doi.org/10.3390/nu16070947
Chicago/Turabian StyleGutiérrez-Díaz, Gloria, Diana Betancor, Jorge Parrón-Ballesteros, Rubén G. Gordo, Estela S. Castromil-Benito, Elisa Haroun, María Vázquez de la Torre, Javier Turnay, Mayte Villalba, Javier Cuesta-Herranz, and et al. 2024. "Identification of New Allergens in Macadamia Nut and Cross-Reactivity with Other Tree Nuts in a Spanish Cohort" Nutrients 16, no. 7: 947. https://doi.org/10.3390/nu16070947
APA StyleGutiérrez-Díaz, G., Betancor, D., Parrón-Ballesteros, J., Gordo, R. G., Castromil-Benito, E. S., Haroun, E., Vázquez de la Torre, M., Turnay, J., Villalba, M., Cuesta-Herranz, J., & Pastor-Vargas, C. (2024). Identification of New Allergens in Macadamia Nut and Cross-Reactivity with Other Tree Nuts in a Spanish Cohort. Nutrients, 16(7), 947. https://doi.org/10.3390/nu16070947

