Red Bull Energy Drink Impact on Salivary Glands in Wistar Rats: Can Blueberry Extract Reverse the Damage?
Abstract
1. Introduction
2. Materials and Methods
2.1. Chemicals
2.2. Animals
2.3. Experimental Design
2.4. Assessment of Oxidative Stress Biomarkers
2.5. Assessment of Inflammatory Markers
2.6. Histological Examination
2.7. Immunohistochemistry of Alpha-Smooth Actin (α-SMA)
2.8. Data Analysis
3. Results
3.1. Assessment of Oxidative Stress Biomarkers
3.2. Assessment of Inflammatory Markers
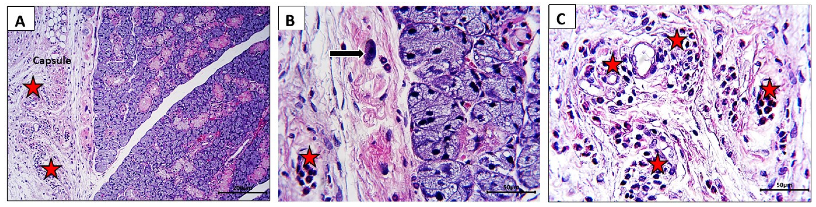
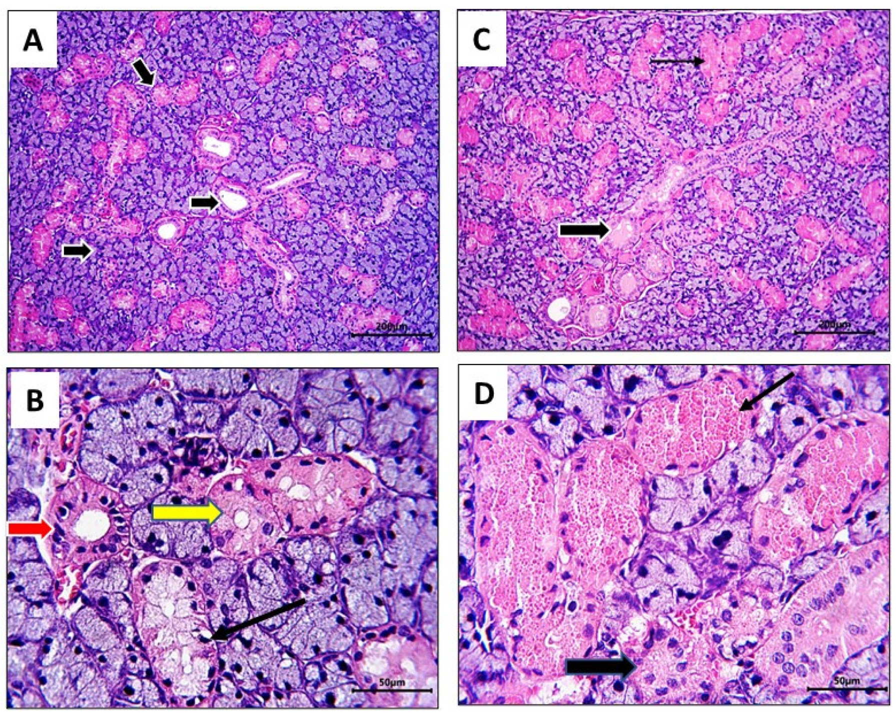
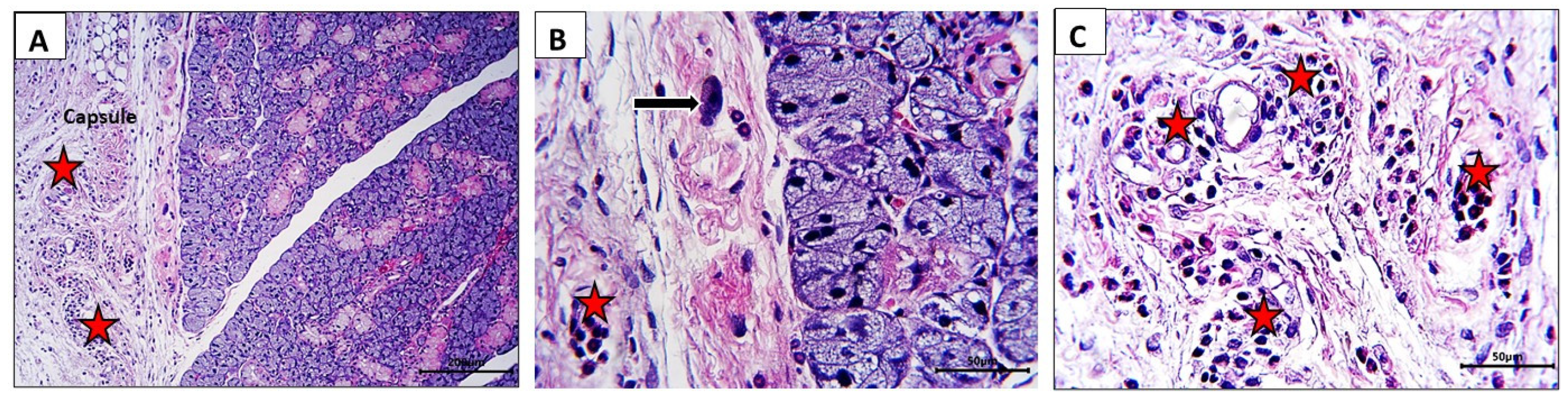
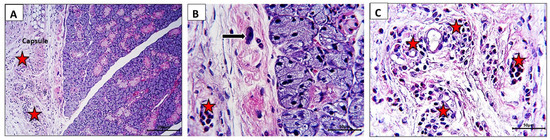
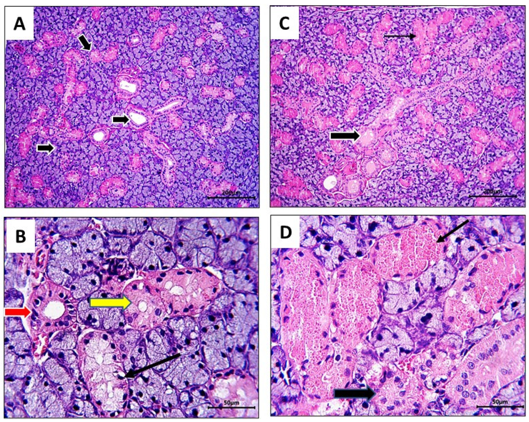
3.3. Histological Findings
3.4. Immunohistochemistry of Alpha-Smooth Actin (α-SMA)
4. Discussion
5. Conclusions
Author Contributions
Funding
Institutional Review Board Statement
Informed Consent Statement
Data Availability Statement
Conflicts of Interest
References
- Weber, W.J.; Hopp, D.C. National Center for Complementary and Integrative Health Perspectives on Clinical Research Involving Natural Products. Drug Metab. Dispos. Biol. Fate Chem. 2020, 48, 963–965. [Google Scholar] [CrossRef]
- Edrees, A.E.; Altalhi, T.M.; Al-Halabi, S.K.; Alshehri, H.A.; Altalhi, H.H.; Althagafi, A.M.; Koursan, S.M. Energy drink consumption among medical students of Taif University. J. Fam. Med. Prim. Care 2022, 11, 3950–3955. [Google Scholar] [CrossRef]
- Aranda, M.; Morlock, G. Simultaneous determination of riboflavin, pyridoxine, nicotinamide, caffeine and taurine in energy drinks by planar chromatography-multiple detection with confirmation by electrospray ionization mass spectrometry. J. Chromatogr. A 2006, 1131, 253–260. [Google Scholar] [CrossRef]
- Basrai, M.; Schweinlin, A.; Menzel, J.; Mielke, H.; Weikert, C.; Dusemund, B.; Putze, K.; Watzl, B.; Lampen, A.; Bischoff, S.C. Energy Drinks Induce Acute Cardiovascular and Metabolic Changes Pointing to Potential Risks for Young Adults: A Randomized Controlled Trial. J. Nutr. 2019, 149, 441–450. [Google Scholar] [CrossRef] [PubMed]
- Oberhoffer, F.S.; Li, P.; Jakob, A.; Dalla-Pozza, R.; Haas, N.A.; Mandilaras, G. Energy Drinks: Effects on Blood Pressure and Heart Rate in Children and Teenagers. A Randomized Trial. Front. Cardiovasc. Med. 2022, 9, 862041. [Google Scholar] [CrossRef] [PubMed]
- Tomanic, M.; Paunovic, K.; Lackovic, M.; Djurdjevic, K.; Nestorovic, M.; Jakovljevic, A.; Markovic, M. Energy Drinks and Sleep among Adolescents. Nutrients 2022, 14, 3813. [Google Scholar] [CrossRef] [PubMed]
- Grasser, E.K.; Dulloo, A.G.; Montani, J.P. Cardiovascular and cerebrovascular effects in response to red bull consumption combined with mental stress. Am. J. Cardiol. 2015, 115, 183–189. [Google Scholar] [CrossRef]
- Munteanu, C.; Rosioru, C.; Tarba, C.; Lang, C. Long-term consumption of energy drinks induces biochemical and ultrastructural alterations in the heart muscle. Anatol. J. Cardiol. 2018, 19, 326–333. [Google Scholar] [CrossRef]
- Salih, N.A.; Abdul-Sadaand, I.H.; Abdulrahman, N.R. Histopathological effect of energy drinks (red bull) on brain, liver, kidney, and heart in rabbits. Med. J. Babylon 2018, 15, 16–20. [Google Scholar] [CrossRef]
- Vargiu, R.; Broccia, F.; Lobina, C.; Lecca, D.; Capra, A.; Bassareo, P.P.; Bassareo, V. Chronic Red Bull consumption during adolescence: Effect on mesocortical and mesolimbic dopamine transmission and cardiovascular system in adult rats. Pharmaceuticals 2021, 14, 609. [Google Scholar] [CrossRef]
- Ahmed, A.M. Expression of transcription factor NF-KAPPA B/P65 and cyclooxygenase-2 (COX-2) in testicular damage induced by Red Bull energy drink in rat. Int. J. Adv. Appl. Sci. 2016, 3, 49–56. [Google Scholar] [CrossRef]
- Al Anazi, W.L.; Elsherif, G.M.; El Firt, E.Y. The effect of energy drinks on teeth hypersensitivity. Egypt. Dent. J. 2017, 63, 615–624. [Google Scholar] [CrossRef]
- Pitchika, V.; Standl, M.; Harris, C.; Thiering, E.; Hickel, R.; Heinrich, J.; Kühnisch, J. Association of sugar-sweetened drinks with caries in 10- and 15-year-olds. BMC Oral Health 2020, 20, 81. [Google Scholar] [CrossRef] [PubMed]
- Moreira, A.R.O.; Batista, R.F.L.; Ladeira, L.L.C.; Thomaz, E.; Alves, C.M.C.; Saraiva, M.C.; Silva, A.A.M.; Brondani, M.A.; Ribeiro, C.C.C. Higher sugar intake is associated with periodontal disease in adolescents. Clin. Oral Investig. 2021, 25, 983–991. [Google Scholar] [CrossRef] [PubMed]
- Ramadan, G.; Al-Kahtani, M.A.; El-Sayed, W.M. Anti-inflammatory and anti-oxidant properties of Curcuma longa (turmeric) versus Zingiber officinale (ginger) rhizomes in rat adjuvant-induced arthritis. Inflammation 2011, 34, 291–301. [Google Scholar] [CrossRef] [PubMed]
- El-Bayoumy, K.; Sinha, R.; Pinto, J.T.; Rivlin, R.S. Cancer chemoprevention by garlic and garlic-containing sulfur and selenium compounds. J. Nutr. 2006, 136, 864s–869s. [Google Scholar] [CrossRef] [PubMed]
- Bai, X.; Zhou, L.; Zhou, L.; Cang, S.; Liu, Y.; Liu, R.; Liu, J.; Feng, X.; Fan, R. The Research Progress of Extraction, Purification and Analysis Methods of Phenolic Compounds from Blueberry: A Comprehensive Review. Molecules 2023, 28, 3610. [Google Scholar] [CrossRef] [PubMed]
- Lewis, E.D.; Ren, Z.; DeFuria, J.; Obin, M.S.; Meydani, S.N.; Wu, D. Dietary supplementation with blueberry partially restores T-cell-mediated function in high-fat-diet-induced obese mice. Br. J. Nutr. 2018, 119, 1393–1399. [Google Scholar] [CrossRef] [PubMed]
- Larrosa, M.; González-Sarrías, A.; Yáñez-Gascón, M.J.; Selma, M.V.; Azorín-Ortuño, M.; Toti, S.; Tomás-Barberán, F.; Dolara, P.; Espín, J.C. Anti-inflammatory properties of a pomegranate extract and its metabolite urolithin-A in a colitis rat model and the effect of colon inflammation on phenolic metabolism. J. Nutr. Biochem. 2010, 21, 717–725. [Google Scholar] [CrossRef]
- Al-Eryani, F.S.; Kelany, A.M.; Amin, H.A.; Shazly, H.F. Histological and physiological studies on the effects of some energy drinks on male rats. Int. J. Pharm. Res. Allied Sci. 2018, 7, 165–176. [Google Scholar]
- Abdollahi, M.; Ranjbar, A.; Shadnia, S.; Nikfar, S.; Rezaie, A. Pesticides and oxidative stress: A review. Med. Sci. Monit. Int. Med. J. Exp. Clin. Res. 2004, 10, Ra141–Ra147. [Google Scholar]
- Sharma, D.; Sangha, G.K. Triazophos induced oxidative stress and histomorphological changes in liver and kidney of female albino rats. Pestic. Biochem. Physiol. 2014, 110, 71–80. [Google Scholar] [CrossRef] [PubMed]
- Dias, T.R.; Alves, M.G.; Bernardino, R.L.; Martins, A.D.; Moreira, A.C.; Silva, J.; Barros, A.; Sousa, M.; Silva, B.M.; Oliveira, P.F. Dose-dependent effects of caffeine in human Sertoli cells metabolism and oxidative profile: Relevance for male fertility. Toxicology 2015, 328, 12–20. [Google Scholar] [CrossRef] [PubMed]
- Ekaluo, U.; Uno, U.; Edu, N.; Ekpo, P.; Etta, S. Effect of Trevo dietary supplement on caffeine induced oxidative stress in albino rat models. Pharm. Chem. J. 2016, 3, 92–97. [Google Scholar]
- Obochi, G.; Amali, O.; Ochalefu, D. Effect of melatonin and caffeine interaction on caffeine induced oxidative stress and sleep disorders. Niger. J. Physiol. Sci. 2010, 25, 17–24. [Google Scholar]
- Williamson, G.; Clifford, M.N. Colonic metabolites of berry polyphenols: The missing link to biological activity? Br. J. Nutr. 2010, 104 (Suppl. S3), S48–S66. [Google Scholar] [CrossRef]
- Neto, C.C. Cranberry and blueberry: Evidence for protective effects against cancer and vascular diseases. Mol. Nutr. Food Res. 2007, 51, 652–664. [Google Scholar] [CrossRef]
- Debom, G.; Gazal, M.; Soares, M.S.; do Couto, C.A.; Mattos, B.; Lencina, C.; Kaster, M.P.; Ghisleni, G.C.; Tavares, R.; Braganhol, E.; et al. Preventive effects of blueberry extract on behavioral and biochemical dysfunctions in rats submitted to a model of manic behavior induced by ketamine. Brain Res. Bull. 2016, 127, 260–269. [Google Scholar] [CrossRef]
- Gutierres, J.M.; Carvalho, F.B.; Schetinger, M.R.; Agostinho, P.; Marisco, P.C.; Vieira, J.M.; Rosa, M.M.; Bohnert, C.; Rubin, M.A.; Morsch, V.M.; et al. Neuroprotective effect of anthocyanins on acetylcholinesterase activity and attenuation of scopolamine-induced amnesia in rats. Int. J. Dev. Neurosci. 2014, 33, 88–97. [Google Scholar] [CrossRef]
- Çoban, J.; Betül-Kalaz, E.; Küçükgergin, C.; Aydin, A.F.; Doğan-Ekici, I.; Doğru-Abbasoğlu, S.; Uysal, M. Blueberry treatment attenuates D-galactose-induced oxidative stress and tissue damage in rat liver. Geriatr. Gerontol. Int. 2014, 14, 490–497. [Google Scholar] [CrossRef]
- Wang, Y.P.; Cheng, M.L.; Zhang, B.F.; Mu, M.; Wu, J. Effects of blueberry on hepatic fibrosis and transcription factor Nrf2 in rats. World J. Gastroenterol. 2010, 16, 2657–2663. [Google Scholar] [CrossRef] [PubMed]
- Felgus-Lavefve, L.; Howard, L.; Adams, S.H.; Baum, J.I. The Effects of Blueberry Phytochemicals on Cell Models of Inflammation and Oxidative Stress. Adv. Nutr. 2022, 13, 1279–1309. [Google Scholar] [CrossRef] [PubMed]
- Li, J.; Ruzhi, D.; Hua, X.; Zhang, L.; Lu, F.; Coursey, T.G.; Pflugfelder, S.C.; Li, D.Q. Blueberry Component Pterostilbene Protects Corneal Epithelial Cells from Inflammation via Anti-oxidative Pathway. Sci. Rep. 2016, 6, 19408. [Google Scholar] [CrossRef] [PubMed]
- Johnson, M.H.; de Mejia, E.G.; Fan, J.; Lila, M.A.; Yousef, G.G. Anthocyanins and proanthocyanidins from blueberry-blackberry fermented beverages inhibit markers of inflammation in macrophages and carbohydrate-utilizing enzymes in vitro. Mol. Nutr. Food Res. 2013, 57, 1182–1197. [Google Scholar] [CrossRef] [PubMed]
- Yang, S.; Wang, C.; Li, X.; Wu, C.; Liu, C.; Xue, Z.; Kou, X. Investigation on the biological activity of anthocyanins and polyphenols in blueberry. J. Food Sci. 2021, 86, 614–627. [Google Scholar] [CrossRef]
- Dıblan, S.; Özkan, M. Effects of various clarification treatments on anthocyanins, color, phenolics and antioxidant activity of red grape juice. Food Chem. 2021, 352, 129321. [Google Scholar] [CrossRef]
- Kähkönen, M.P.; Heinonen, M. Antioxidant activity of anthocyanins and their aglycons. J. Agric. Food Chem. 2003, 51, 628–633. [Google Scholar] [CrossRef]
- Li, X.; Liu, H.; Lv, L.; Yan, H.; Yuan, Y. Antioxidant activity of blueberry anthocyanin extracts and their protective effects against acrylamide-induced toxicity in HepG2 cells. Int. J. Food Sci. Technol. 2018, 53, 147–155. [Google Scholar] [CrossRef]
- Ogawa, K.; Oyagi, A.; Tanaka, J.; Kobayashi, S.; Hara, H. The protective effect and action mechanism of Vaccinium myrtillus L. on gastric ulcer in mice. Phytother. Res. 2011, 25, 1160–1165. [Google Scholar] [CrossRef]
- Jennings, A.; Welch, A.A.; Spector, T.; Macgregor, A.; Cassidy, A. Intakes of anthocyanins and flavones are associated with biomarkers of insulin resistance and inflammation in women. J. Nutr. 2014, 144, 202–208. [Google Scholar] [CrossRef]
- Zhu, Y.; Xia, M.; Yang, Y.; Liu, F.; Li, Z.; Hao, Y.; Mi, M.; Jin, T.; Ling, W. Purified anthocyanin supplementation improves endothelial function via NO-cGMP activation in hypercholesterolemic individuals. Clin. Chem. 2011, 57, 1524–1533. [Google Scholar] [CrossRef] [PubMed]
- Mykkänen, O.T.; Huotari, A.; Herzig, K.H.; Dunlop, T.W.; Mykkänen, H.; Kirjavainen, P.V. Wild blueberries (Vaccinium myrtillus) alleviate inflammation and hypertension associated with developing obesity in mice fed with a high-fat diet. PLoS ONE 2014, 9, e114790. [Google Scholar] [CrossRef]
- Brewer, G.J.; Torricelli, J.R.; Lindsey, A.L.; Kunz, E.Z.; Neuman, A.; Fisher, D.R.; Joseph, J.A. Age-related toxicity of amyloid-beta associated with increased pERK and pCREB in primary hippocampal neurons: Reversal by blueberry extract. J. Nutr. Biochem. 2010, 21, 991–998. [Google Scholar] [CrossRef] [PubMed]
- Lee, S.; Keirsey, K.I.; Kirkland, R.; Grunewald, Z.I.; Fischer, J.G.; de La Serre, C.B. Blueberry Supplementation Influences the Gut Microbiota, Inflammation, and Insulin Resistance in High-Fat-Diet-Fed Rats. J. Nutr. 2018, 148, 209–219. [Google Scholar] [CrossRef]
- Rodriguez-Mateos, A.; Rendeiro, C.; Bergillos-Meca, T.; Tabatabaee, S.; George, T.W.; Heiss, C.; Spencer, J.P. Intake and time dependence of blueberry flavonoid-induced improvements in vascular function: A randomized, controlled, double-blind, crossover intervention study with mechanistic insights into biological activity. Am. J. Clin. Nutr. 2013, 98, 1179–1191. [Google Scholar] [CrossRef]
- Hoggard, N.; Cruickshank, M.; Moar, K.M.; Bestwick, C.; Holst, J.J.; Russell, W.; Horgan, G. A single supplement of a standardised bilberry (Vaccinium myrtillus L.) extract (36% wet weight anthocyanins) modifies glycaemic response in individuals with type 2 diabetes controlled by diet and lifestyle. J. Nutr. Sci. 2013, 2, e22. [Google Scholar] [CrossRef] [PubMed]
- Whyte, A.R.; Williams, C.M. Effects of a single dose of a flavonoid-rich blueberry drink on memory in 8 to 10 y old children. Nutrition 2015, 31, 531–534. [Google Scholar] [CrossRef]
- Stull, A.J.; Cash, K.C.; Johnson, W.D.; Champagne, C.M.; Cefalu, W.T. Bioactives in blueberries improve insulin sensitivity in obese, insulin-resistant men and women. J. Nutr. 2010, 140, 1764–1768. [Google Scholar] [CrossRef] [PubMed]
- Krikorian, R.; Shidler, M.D.; Nash, T.A.; Kalt, W.; Vinqvist-Tymchuk, M.R.; Shukitt-Hale, B.; Joseph, J.A. Blueberry supplementation improves memory in older adults. J. Agric. Food Chem. 2010, 58, 3996–4000. [Google Scholar] [CrossRef]
- Whyte, A.R.; Schafer, G.; Williams, C.M. Cognitive effects following acute wild blueberry supplementation in 7- to 10-year-old children. Eur. J. Nutr. 2016, 55, 2151–2162. [Google Scholar] [CrossRef]
- Kalt, W.; McDonald, J.E.; Fillmore, S.A.; Tremblay, F. Blueberry effects on dark vision and recovery after photobleaching: Placebo-controlled crossover studies. J. Agric. Food Chem. 2014, 62, 11180–11189. [Google Scholar] [CrossRef] [PubMed]
- Li, L.; Li, J.; Xu, H.; Zhu, F.; Li, Z.; Lu, H.; Zhang, J.; Yang, Z.; Liu, Y. The Protective Effect of Anthocyanins Extracted from Aronia melanocarpa Berry in Renal Ischemia-Reperfusion Injury in Mice. Mediat. Inflamm. 2021, 2021, 7372893. [Google Scholar] [CrossRef]
- Kassab, A.A.; Tawfik, S.M. Effect of a caffeinated energy drink and its withdrawal on the submandibular salivary gland of adult male albino rats: A histological and immunohistochemical study. Egypt. J. Histol. 2018, 41, 11–26. [Google Scholar] [CrossRef][Green Version]
- Su, X.; Zhang, J.; Wang, H.; Xu, J.; He, J.; Liu, L.; Zhang, T.; Chen, R.; Kang, J. Phenolic Acid Profiling, Antioxidant, and Anti-Inflammatory Activities, and miRNA Regulation in the Polyphenols of 16 Blueberry Samples from China. Molecules 2017, 22, 312. [Google Scholar] [CrossRef] [PubMed]
- Huang, W.Y.; Liu, Y.M.; Wang, J.; Wang, X.N.; Li, C.Y. Anti-inflammatory effect of the blueberry anthocyanins malvidin-3-glucoside and malvidin-3-galactoside in endothelial cells. Molecules 2014, 19, 12827–12841. [Google Scholar] [CrossRef] [PubMed]
- Kim, D.I.; Kim, H.J.; Yun, J.M.; Lee, J.H.; Han, S.J.; Kim, H.E.; Jang, M.J.; An, B.J. Anti-inflammation effect of blueberry (Vaccinium ashei) leaf extract on RAW 264.7 macrophages stimulated by lipopolysaccharide. Food Sci. Preserv. 2018, 25, 107–116. [Google Scholar]
- Nadeem, I.M.; Shanmugaraj, A.; Sakha, S.; Horner, N.S.; Ayeni, O.R.; Khan, M. Energy Drinks and Their Adverse Health Effects: A Systematic Review and Meta-Analysis. Sports Health 2021, 13, 265–277. [Google Scholar] [CrossRef]
- Khayyat, L.; Sorour, J.; Al-Rawi, M.; Essawy, A. Histological, ultrastructural and physiological studies on the effect of different kinds of energy drinks on the liver of Swiss albino rat. J. Am. Sci. 2012, 8, 688–697. [Google Scholar]
- Khayyat, L.I.; Essawy, A.E.; Al Rawy, M.M.; Sorour, J.M. Comparative study on the effect of energy drinks on haematopoietic system in Wistar albino rats. J. Environ. Biol. 2014, 35, 883. [Google Scholar]
- Jahedi, M.; Shamsasenjan, K.; Sanaat, Z.; Aliparasti, M.; Almasi, S.; Mohamadian, M.; Nejati, B.; Kamalifar, A.; Movassaghpour, A.A. Aberrant phenotype in Iranian patients with acute myeloid leukemia. Adv. Pharm. Bull. 2014, 4, 43–47. [Google Scholar] [CrossRef]
- Ayuob, N.; ElBeshbeishy, R. Impact of an Energy Drink on the Structure of Stomach and Pancreas of Albino Rat: Can Omega-3 Provide a Protection? PLoS ONE 2016, 11, e0149191. [Google Scholar] [CrossRef]
- Amano, O.; Iseki, S. Expression and localization of cell growth factors in the salivary gland: A review. Kaibogaku Zasshi. J. Anat. 2001, 76, 201–212. [Google Scholar]
- Burke, L.M. Caffeine and sports performance. Appl. Physiol. Nutr. Metab. 2008, 33, 1319–1334. [Google Scholar] [CrossRef]
- Díaz, A.; Treviño, S.; Guevara, J.; Muñoz-Arenas, G.; Brambila, E.; Espinosa, B.; Moreno-Rodríguez, A.; Lopez-Lopez, G.; Peña-Rosas, U.; Venegas, B.; et al. Energy Drink Administration in Combination with Alcohol Causes an Inflammatory Response and Oxidative Stress in the Hippocampus and Temporal Cortex of Rats. Oxid. Med. Cell. Longev. 2016, 2016, 8725354. [Google Scholar] [CrossRef]
- Yuan, Z.; Zhang, J.; Tu, C.; Wang, Z.; Xin, W. The protective effect of blueberry anthocyanins against perfluorooctanoic acid-induced disturbance in planarian (Dugesia japonica). Ecotoxicol. Environ. Saf. 2016, 127, 170–174. [Google Scholar] [CrossRef] [PubMed]
- Zhou, L.; Xie, M.; Yang, F.; Liu, J. Antioxidant activity of high purity blueberry anthocyanins and the effects on human intestinal microbiota. LWT 2020, 117, 108621. [Google Scholar] [CrossRef]
- Al-Shaikh, T.M.; Rajeh, N.A. Ameliorating effect of blueberry consumption on energy drink-induced testicular damage in rats: Histological and immunohistochemical study. J. Basic Appl. Zool. 2023, 84, 9. [Google Scholar] [CrossRef]
- Kang, J.; Thakali, K.M.; Jensen, G.S.; Wu, X. Phenolic acids of the two major blueberry species in the US Market and their antioxidant and anti-inflammatory activities. Plant Foods Hum. Nutr. 2015, 70, 56–62. [Google Scholar] [CrossRef]
- Kim, B.; Lee, S.G.; Park, Y.K.; Ku, C.S.; Pham, T.X.; Wegner, C.J.; Yang, Y.; Koo, S.I.; Chun, O.K.; Lee, J.Y. Blueberry, blackberry, and blackcurrant differentially affect plasma lipids and pro-inflammatory markers in diet-induced obesity mice. Nutr. Res. Pract. 2016, 10, 494–500. [Google Scholar] [CrossRef]
- Rutledge, G.A.; Fisher, D.R.; Miller, M.G.; Kelly, M.E.; Bielinski, D.F.; Shukitt-Hale, B. The effects of blueberry and strawberry serum metabolites on age-related oxidative and inflammatory signaling in vitro. Food Funct. 2019, 10, 7707–7713. [Google Scholar] [CrossRef]
- Wesnes, K.A.; Brooker, H.; Watson, A.W.; Bal, W.; Okello, E. Effects of the Red Bull energy drink on cognitive function and mood in healthy young volunteers. J. Psychopharmacol. 2017, 31, 211–221. [Google Scholar] [CrossRef] [PubMed]







Disclaimer/Publisher’s Note: The statements, opinions and data contained in all publications are solely those of the individual author(s) and contributor(s) and not of MDPI and/or the editor(s). MDPI and/or the editor(s) disclaim responsibility for any injury to people or property resulting from any ideas, methods, instructions or products referred to in the content. |
© 2024 by the authors. Licensee MDPI, Basel, Switzerland. This article is an open access article distributed under the terms and conditions of the Creative Commons Attribution (CC BY) license (https://creativecommons.org/licenses/by/4.0/).
Share and Cite
Alghamdi, S.A.; Hindi, E.A.; Abuljadayel, L.; Alwafi, H.; Bagher, A.M.; Khunkar, S.; Bakhsh, N.; Ali, S.; Mirza, L.; Alrafiah, A.R.; et al. Red Bull Energy Drink Impact on Salivary Glands in Wistar Rats: Can Blueberry Extract Reverse the Damage? Nutrients 2024, 16, 2958. https://doi.org/10.3390/nu16172958
Alghamdi SA, Hindi EA, Abuljadayel L, Alwafi H, Bagher AM, Khunkar S, Bakhsh N, Ali S, Mirza L, Alrafiah AR, et al. Red Bull Energy Drink Impact on Salivary Glands in Wistar Rats: Can Blueberry Extract Reverse the Damage? Nutrients. 2024; 16(17):2958. https://doi.org/10.3390/nu16172958
Chicago/Turabian StyleAlghamdi, Samar A., Emad A. Hindi, Layla Abuljadayel, Hanadi Alwafi, Amina M. Bagher, Sahar Khunkar, Nadia Bakhsh, Soad Ali, Linda Mirza, Aziza R. Alrafiah, and et al. 2024. "Red Bull Energy Drink Impact on Salivary Glands in Wistar Rats: Can Blueberry Extract Reverse the Damage?" Nutrients 16, no. 17: 2958. https://doi.org/10.3390/nu16172958
APA StyleAlghamdi, S. A., Hindi, E. A., Abuljadayel, L., Alwafi, H., Bagher, A. M., Khunkar, S., Bakhsh, N., Ali, S., Mirza, L., Alrafiah, A. R., & Alsomali, N. I. (2024). Red Bull Energy Drink Impact on Salivary Glands in Wistar Rats: Can Blueberry Extract Reverse the Damage? Nutrients, 16(17), 2958. https://doi.org/10.3390/nu16172958

