Ageratum conyzoides Extract Ameliorates Testosterone-Induced Benign Prostatic Hyperplasia via Inhibiting Proliferation, Inflammation of Prostates, and Induction of Apoptosis in Rats
Abstract
1. Introduction
2. Materials and Methods
2.1. Preparation of ACE (AGEprost®) and Phytochemical Analysis
2.2. Animals
2.3. TP Induced Rat BPH Model
2.4. Quantification of Androgen-Related Factors in Plasma and Prostate Tissue
2.5. Histopathological Examination
2.6. Terminal Deoxynucleotidyl Transferase Fluorescein-dUTP Nick End-Labeling (TUNEL) Staining
2.7. Immunoblotting
2.8. Statistical Analysis
3. Results
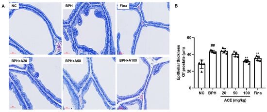
3.1. Effect of ACE (AGEprost®) on Prostate Development in TP-Induced BPH Rats
3.2. Effect of ACE (AGEprost®) on Androgens and BPH-Related Protein Expression in TP-Induced BPH Rats
3.3. Effect of ACE (AGEprost®) on Cell Proliferation in TP-Induced BPH Rats
3.4. Effects of ACE (AGEprost®) on COX-2/PGE2/Aromatase Cascade in TP-Induced BPH Rats
3.5. Effects of ACE (AGEprost®) on Apoptosis in TP-Induced BPH Rats
4. Discussion
5. Conclusions
Supplementary Materials
Author Contributions
Funding
Institutional Review Board Statement
Informed Consent Statement
Data Availability Statement
Conflicts of Interest
References
- Juckett, D.A. What determines age-related disease: Do we know all the right questions? Age 2009, 32, 155–160. [Google Scholar] [CrossRef] [PubMed][Green Version]
- Hermann, M.; Untergasser, G.; Rumpold, H.; Berger, P. Aging of the male reproductive system. Exp. Gerontol. 2000, 35, 1267–1279. [Google Scholar] [CrossRef]
- Lepor, N. The pathophysiology of lower urinary tract symptoms in the ageing male population. Br. J. Urol. 1998, 81, 29–33. [Google Scholar] [CrossRef]
- Lloyd, G.L.; Marks, J.M.; Ricke, W.A. Benign Prostatic Hyperplasia and Lower Urinary Tract Symptoms: What Is the Role and Significance of Inflammation? Curr. Urol. Rep. 2019, 20, 1–8. [Google Scholar] [CrossRef] [PubMed]
- Rastrelli, G.; Vignozzi, L.; Corona, G.; Maggi, M. Testosterone and Benign Prostatic Hyperplasia. Sex. Med. Rev. 2019, 7, 259–271. [Google Scholar] [CrossRef]
- Kyprianou, N. Doxazosin and Terazosin Suppress Prostate Growth by Inducing Apoptosis: Clinical Significance. J. Urol. 2003, 169, 1520–1525. [Google Scholar] [CrossRef] [PubMed]
- Devlin, C.M.; Simms, M.S.; Maitland, N.J. Benign prostatic hyperplasia—What do we know? BJU Int. 2020, 127, 389–399. [Google Scholar] [CrossRef]
- Van Der Sluis, T.M.; Vis, A.N.; Van Moorselaar, R.J.A.; Bui, H.N.; Blankenstein, M.A.; Meuleman, E.J.H.; Heijboer, A.C. Intraprostatic testosterone and dihydrotestosterone. Part I: Concentrations and methods of determination in men with benign prostatic hyperplasia and prostate cancer. BJU Int. 2011, 109, 176–182. [Google Scholar] [CrossRef]
- Sciarra, A.; Mariotti, G.; Salciccia, S.; Gomez, A.A.; Monti, S.; Toscano, V.; Di Silverio, F. Prostate growth and inflammation. J. Steroid Biochem. Mol. Biol. 2008, 108, 254–260. [Google Scholar] [CrossRef]
- Gallego, G.A.; Prado, S.D.; Fonseca, P.J.; Campelo, R.G.; Espinosa, J.C.; Aparicio, L.M.A. Cyclooxygenase-2 (COX-2): A molecular target in prostate cancer. Clin. Transl. Oncol. 2007, 9, 694–702. [Google Scholar] [CrossRef]
- Frasor, J.; Weaver, A.E.; Pradhan, M.; Mehta, K. Synergistic Up-Regulation of Prostaglandin E Synthase Expression in Breast Cancer Cells by 17β-Estradiol and Proinflammatory Cytokines. Endocrinology 2008, 149, 6272–6279. [Google Scholar] [CrossRef] [PubMed]
- Miao, L.; Shi, J.; Wang, C.-Y.; Zhu, Y.; Du, X.; Jiao, H.; Mo, Z.; Klocker, H.; Lee, C.; Zhang, J. Estrogen Receptor-Related Receptor α Mediates Up-Regulation of Aromatase Expression by Prostaglandin E2 in Prostate Stromal Cells. Mol. Endocrinol. 2010, 24, 1175–1186. [Google Scholar] [CrossRef][Green Version]
- Rossanese, M.; Crestani, A.; Inferrera, A.; Giannarini, G.; Bartoletti, R.; Tubaro, A.; Ficarra, V. Medical treatment for benign prostatic hyperplasia: Where do we stand? Urologia 2019, 86, 115–121. [Google Scholar] [CrossRef] [PubMed]
- Mitsunari, K.; Miyata, Y.; Matsuo, T.; Mukae, Y.; Otsubo, A.; Harada, J.; Kondo, T.; Matsuda, T.; Ohba, K.; Sakai, H. Pharmacological Effects and Potential Clinical Usefulness of Polyphenols in Benign Prostatic Hyperplasia. Molecules 2021, 26, 450. [Google Scholar] [CrossRef]
- Okunade, A.L. Ageratum conyzoides L. (Asteraceae). Fitoterapia 2002, 73, 1–16. [Google Scholar] [CrossRef]
- Yadav, N.; Ganie, S.A.; Singh, B.; Chhillar, A.K.; Yadav, S.S. Phytochemical constituents and ethnopharmacological properties of Ageratum conyzoides L. Phytother. Res. 2019, 33, 2163–2178. [Google Scholar] [CrossRef] [PubMed]
- Detering, M.; Steels, E.; Koyyalamudi, S.R.; Allifranchini, E.; Bocchietto, E.; Vitetta, L. Ageratum conyzoides L. inhibits 5-alpha-reductase gene expression in human prostate cells and reduces symptoms of benign prostatic hypertrophy in otherwise healthy men in a double blind randomized placebo controlled clinical study. BioFactors 2017, 43, 789–800. [Google Scholar] [CrossRef]
- Jomba, T.; Bharali, M.K. Relative Influence of Ageratum conyzoides L. Plant Extracts on Testosterone Induced Benign Prostatic Hyperplasia in Mice. Pharmacogn. Res. 2022, 15, 75–83. [Google Scholar] [CrossRef]
- Ko, J.-W.; Park, S.-W.; Shin, N.-R.; Kim, W.-I.; Kim, J.-C.; Shin, I.-S.; Shin, D.-H. Inhibitory effects of Pycnogenol®, a pine bark extract, in a rat model of testosterone propionate-induced benign prostatic hyperplasia. Lab. Anim. Res. 2018, 34, 111. [Google Scholar] [CrossRef]
- Hidayat, R.; Wulandari, N.P. Anatomy and Physiology of Animal Model Rats in Biomedical Research. Biomed. J. Indones. 2021, 7, 265–269. [Google Scholar] [CrossRef]
- Egan, K.B. The Epidemiology of Benign Prostatic Hyperplasia Associated with Lower Urinary Tract Symptoms. Urol. Clin. N. Am. 2016, 43, 289–297. [Google Scholar] [CrossRef] [PubMed]
- Stewart, K.L.; Lephart, E.D. Overview of BPH: Symptom Relief with Dietary Polyphenols, Vitamins and Phytochemicals by Nutraceutical Supplements with Implications to the Prostate Microbiome. Int. J. Mol. Sci. 2023, 24, 5486. [Google Scholar] [CrossRef] [PubMed]
- Deslypere, J.-P.; Young, M.; Wilson, J.D.; McPhaul, M.J. Testosterone and 5α-dihydrotestosterone interact differently with the androgen receptor to enhance transcription of the MMTV-CAT reporter gene. Mol. Cell Endocrinol. 1992, 88, 15–22. [Google Scholar] [CrossRef] [PubMed]
- Welén, K.; Damber, J.-E. Androgens, aging, and prostate health. Rev. Endocr. Metab. Disord. 2022, 23, 1221–1231. [Google Scholar] [CrossRef] [PubMed]
- Wilson, J.D. The Critical Role of Androgens in Prostate Development. Endocrinol. Metab. Clin. N. Am. 2011, 40, 577–590. [Google Scholar] [CrossRef] [PubMed]
- Normington, K.; Russell, D.W. Tissue distribution and kinetic characteristics of rat steroid 5 alpha-reductase isozymes. Evidence for distinct physiological functions. J. Biol. Chem. 1992, 267, 19548–19554. [Google Scholar] [CrossRef] [PubMed]
- Kim, Y.S.; Alarcon, S.V.; Lee, S.; Lee, M.; Giaccone, G.; Neckers, L.; Trepel, J.B. Update on Hsp90 Inhibitors in Clinical Trial. Curr. Top. Med. Chem. 2009, 9, 1479–1492. [Google Scholar] [CrossRef] [PubMed]
- Wolf, I.M.; Heitzer, M.D.; Grubisha, M.; DeFranco, D.B. Coactivators and nuclear receptor transactivation. J. Cell Biochem. 2008, 104, 1580–1586. [Google Scholar] [CrossRef] [PubMed]
- Shafi, A.A.; Yen, A.E.; Weigel, N.L. Androgen receptors in hormone-dependent and castration-resistant prostate cancer. Pharmacol. Ther. 2013, 140, 223–238. [Google Scholar] [CrossRef]
- Xu, Z.; Ji, R.; Zha, X.; Zhao, H.; Zhou, S. The aqueous extracts of Ageratum conyzoides inhibit inflammation by suppressing NLRP3 inflammasome activation. J. Ethnopharmacol. 2023, 309, 116353. [Google Scholar] [CrossRef]
- Faqueti, L.G.; Brieudes, V.; Halabalaki, M.; Skaltsounis, A.L.; Nascimento, L.F.; Barros, W.M.; Santos, A.R.S.; Biavatti, M.W. Antinociceptive and anti-inflammatory activities of standardized extract of polymethoxyflavones from Ageratum conyzoides. J. Ethnopharmacol. 2016, 194, 369–377. [Google Scholar] [CrossRef] [PubMed]
- Jin, R.; Strand, D.W.; Forbes, C.M.; Case, T.; Cates, J.M.M.; Liu, Q.; Ramirez-Solano, M.; Milne, G.L.; Sanchez, S.; Wang, Z.Y.; et al. The prostaglandin pathway is activated in patients who fail medical therapy for benign prostatic hyperplasia with lower urinary tract symptoms. Prostate 2021, 81, 944–955. [Google Scholar] [CrossRef] [PubMed]
- Mizoguchi, S.; Wolf-Johnson, A.S.; Ni, J.; Mori, K.; Suzuki, T.; Takaoka, E.; Mimata, H.; DeFranco, D.B.; Wang, Z.; Birder, L.A.; et al. The role of prostaglandin and E series prostaglandin receptor type 4 receptors in the development of bladder overactivity in a rat model of chemically induced prostatic inflammation. BJU Int. 2019, 124, 883–891. [Google Scholar] [CrossRef] [PubMed]
- Wu, Q.; Zhou, Y.; Chen, L.; Shi, J.; Wang, C.-Y.; Miao, L.; Klocker, H.; Park, I.; Lee, C.; Zhang, J. Benign prostatic hyperplasia (BPH) epithelial cell line BPH-1 induces aromatase expression in prostatic stromal cells via prostaglandin E2. J. Endocrinol. 2007, 195, 89–94. [Google Scholar] [CrossRef] [PubMed]
- Ho, C.K.M.; Habib, F.K. Estrogen and androgen signaling in the pathogenesis of BPH. Nat. Rev. Urol. 2011, 8, 29–41. [Google Scholar] [CrossRef] [PubMed]
- Kotta, J.C.; Lestari, A.B.S.; Candrasari, D.S.; Hariono, M. Medicinal Effect, In Silico Bioactivity Prediction, and Pharmaceutical Formulation of Ageratum conyzoides L.: A Review. Scientifica 2020, 2020, 6420909. [Google Scholar] [CrossRef] [PubMed]
- Novara, G.; Galfano, A.; Berto, R.B.; Ficarra, V.; Navarrete, R.V.; Artibani, W. Inflammation, Apoptosis, and BPH: What is the Evidence? Eur. Urol. Suppl. 2006, 5, 401–409. [Google Scholar] [CrossRef]
- Straten, P.T.; Andersen, M.H. The anti-apoptotic members of the Bcl-2 family are attractive tumor-associated antigens. Oncotarget 2010, 1, 239–245. [Google Scholar] [CrossRef]
- Kyprianou, N.; Tu, H.; Jacobs, S.C. Apoptotic versus proliferative activities in human benign prostatic hyperplasia. Hum. Pathol. 1996, 27, 668–675. [Google Scholar] [CrossRef]






| AST (u/L) | ALT (u/L) | CRE(mg/dL) | ALB(g/dL) | TG(mg/dL) | TCHO (mg/dL) | BUN (mg/dL) | |
|---|---|---|---|---|---|---|---|
| NC | 58.00 ± 13.23 | 102.40 ± 16.34 | 0.32 ± 0.04 | 5.07 ± 0.47 | 96.43 ± 29.55 | 92.11 ± 33.92 | 21.51 ± 3.53 |
| BPH | 88.40 ± 36.31 | 53.60 ± 25.98 | 0.32 ± 0.04 | 5.14 ± 0.24 | 90.20 ± 22.34 | 99.40 ± 15.03 | 26.68 ± 2.74 |
| Fina | 152.20 ± 93.11 | 64.60 ± 24.81 | 0.33 ± 0.07 | 5.40 ± 0.08 | 112.80 ± 11.54 | 116.00 ± 28.42 | 24.78 ± 3.60 |
| BPH + A20 | 96.88 ± 21.03 | 47.75 ± 5.99 | 0.28 ± 0.03 | 4.81 ± 0.36 | 93.75 ± 31.60 | 91.13 ± 15.73 | 19.98 ± 2.06 |
| BPH + A50 | 110.50 ± 21.53 | 50.13 ± 4.05 | 0.34 ± 0.05 | 4.66 ± 1.24 | 86.00 ± 33.05 | 100.50 ± 11.55 | 22.53 ± 2.19 |
| BPH + A100 | 119.38 ± 24.02 | 47.38 ± 7.54 | 0.30 ± 0.04 | 4.71 ± 0.51 | 70.63 ± 41.51 | 96.13 ± 16.57 | 20.73 ± 4.14 |
Disclaimer/Publisher’s Note: The statements, opinions and data contained in all publications are solely those of the individual author(s) and contributor(s) and not of MDPI and/or the editor(s). MDPI and/or the editor(s) disclaim responsibility for any injury to people or property resulting from any ideas, methods, instructions or products referred to in the content. |
© 2024 by the authors. Licensee MDPI, Basel, Switzerland. This article is an open access article distributed under the terms and conditions of the Creative Commons Attribution (CC BY) license (https://creativecommons.org/licenses/by/4.0/).
Share and Cite
Chung, E.-H.; Kim, J.-W.; Kim, J.-H.; Jeong, J.-S.; Lim, J.-H.; Boo, S.-Y.; Ko, J.-W.; Kim, T.-W. Ageratum conyzoides Extract Ameliorates Testosterone-Induced Benign Prostatic Hyperplasia via Inhibiting Proliferation, Inflammation of Prostates, and Induction of Apoptosis in Rats. Nutrients 2024, 16, 2267. https://doi.org/10.3390/nu16142267
Chung E-H, Kim J-W, Kim J-H, Jeong J-S, Lim J-H, Boo S-Y, Ko J-W, Kim T-W. Ageratum conyzoides Extract Ameliorates Testosterone-Induced Benign Prostatic Hyperplasia via Inhibiting Proliferation, Inflammation of Prostates, and Induction of Apoptosis in Rats. Nutrients. 2024; 16(14):2267. https://doi.org/10.3390/nu16142267
Chicago/Turabian StyleChung, Eun-Hye, Jeong-Won Kim, Jin-Hwa Kim, Ji-Soo Jeong, Jong-Hwan Lim, So-Young Boo, Je-Won Ko, and Tae-Won Kim. 2024. "Ageratum conyzoides Extract Ameliorates Testosterone-Induced Benign Prostatic Hyperplasia via Inhibiting Proliferation, Inflammation of Prostates, and Induction of Apoptosis in Rats" Nutrients 16, no. 14: 2267. https://doi.org/10.3390/nu16142267
APA StyleChung, E.-H., Kim, J.-W., Kim, J.-H., Jeong, J.-S., Lim, J.-H., Boo, S.-Y., Ko, J.-W., & Kim, T.-W. (2024). Ageratum conyzoides Extract Ameliorates Testosterone-Induced Benign Prostatic Hyperplasia via Inhibiting Proliferation, Inflammation of Prostates, and Induction of Apoptosis in Rats. Nutrients, 16(14), 2267. https://doi.org/10.3390/nu16142267

