Protaetia brevitarsis Extract Attenuates RANKL-Induced Osteoclastogenesis by Inhibiting the JNK/NF-κB/PLCγ2 Signaling Pathway
Abstract
1. Introduction
2. Materials and Methods
2.1. Samples and Reagents
2.2. Animals
2.3. Isolation and Differentiation of BMMs
2.4. Cell Viability Assay
2.5. Tartrate-Resistant Acid Phosphatase (TRAP) Staining and Activity
2.6. Pit Assay
2.7. RNA Extraction and Quantitative Real-Time PCR (qRT-PCR) Assay
2.8. Western Blot Analysis
2.9. Statistical Analysis
3. Results
3.1. Effects of PBE on BMM Viability
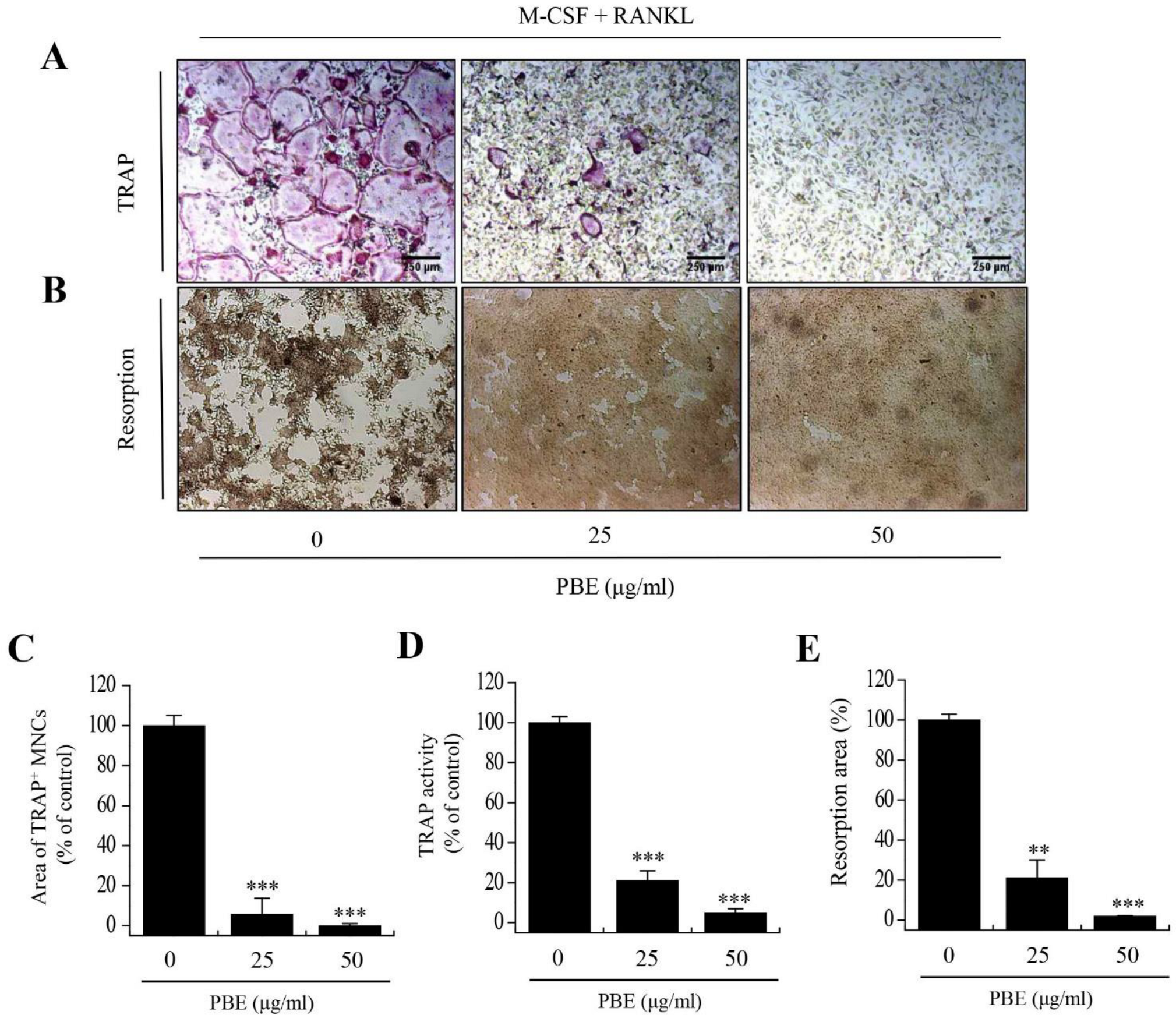
3.2. PBE Suppressed RANKL-Induced Osteoclast Differentiation and Bone Resorption
3.3. PBE Down-Regulated the Expression of Osteoclastogenesis-Related Genes
3.4. PBE Inhibits MAPK and NF-κB Activation in BMMs
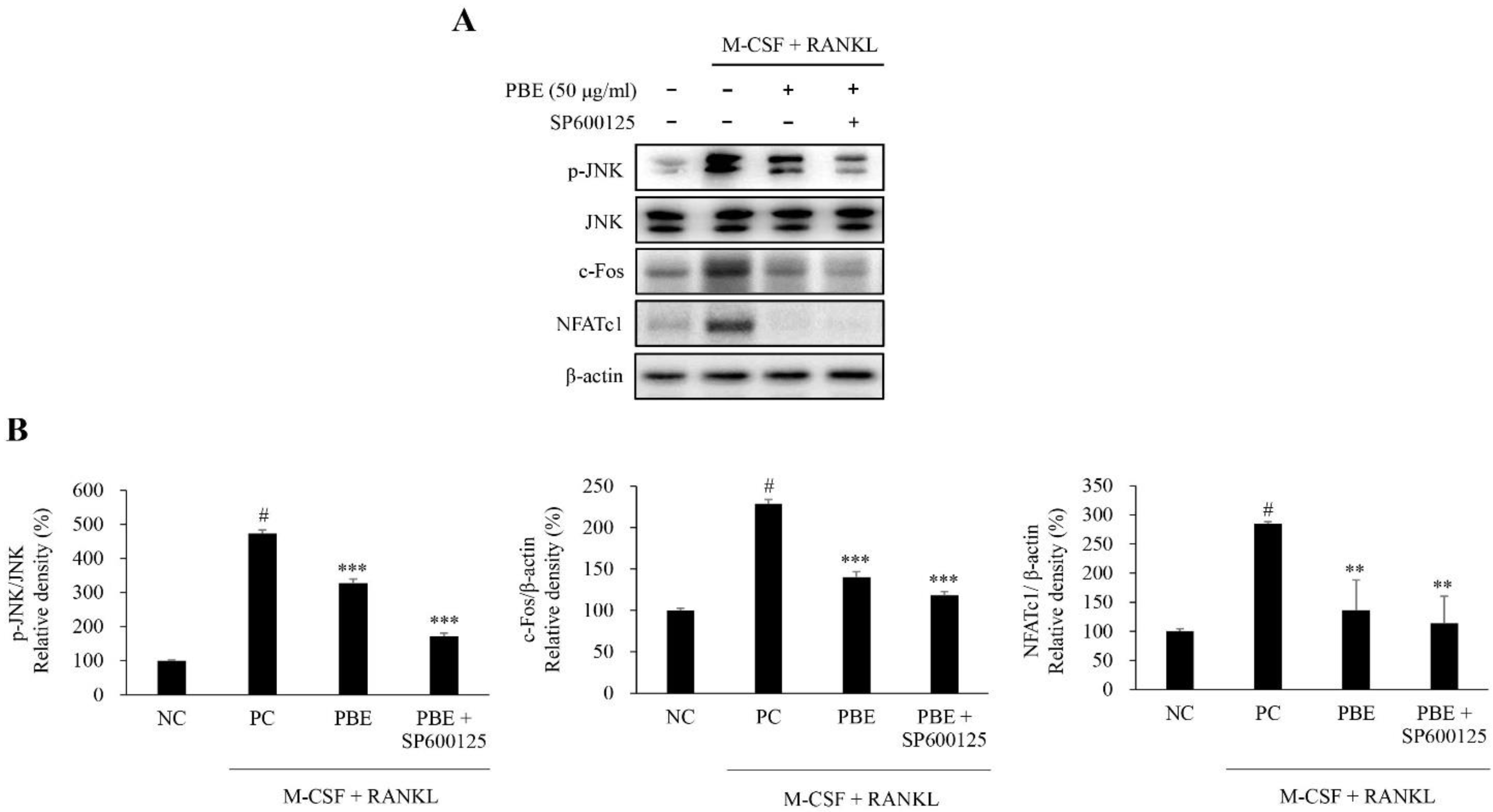
3.5. PBE Regulates NFATc1 and c-Fos Expression by Inhibiting the JNK/NF-κB/PLCγ2 Signaling Pathway
4. Discussion
5. Conclusions
Supplementary Materials
Author Contributions
Funding
Institutional Review Board Statement
Informed Consent Statement
Data Availability Statement
Conflicts of Interest
References
- Boyle, W.J.; Simonet, W.S.; Lacey, D.L. Osteoclast differentiation and activation. Nature 2003, 423, 337–342. [Google Scholar] [CrossRef] [PubMed]
- Chen, X.; Wang, Z.; Duan, N.; Zhu, G.; Schwarz, E.M.; Xie, C. Osteoblast-osteoclast interactions. Connect. Tissue Res. 2018, 59, 99–107. [Google Scholar] [CrossRef] [PubMed]
- Akiyama, T.; Dass, C.R.; Choong, P.F. Novel therapeutic strategy for osteosarcoma targeting osteoclast differentiation, bone-resorbing activity, and apoptosis pathway. Mol. Cancer Ther. 2008, 7, 3461–3469. [Google Scholar] [CrossRef] [PubMed]
- Teitelbaum, S.L. Bone resorption by osteoclasts. Science 2000, 289, 1504–1508. [Google Scholar] [CrossRef]
- Rodan, G.A.; Martin, T.J. Therapeutic approaches to bone diseases. Science 2000, 289, 1508–1514. [Google Scholar] [CrossRef]
- Ono, T.; Nakashima, T. Recent advances in osteoclast biology. Histochem. Cell Biol. 2018, 149, 325–341. [Google Scholar] [CrossRef]
- Manolagas, S.C. Role of cytokines in bone resorption. Bone 1995, 17, 63S–67S. [Google Scholar] [CrossRef]
- Han, Y.; You, X.; Xing, W.; Zhang, Z.; Zou, W. Paracrine and endocrine actions of bone-the functions of secretory proteins from osteoblasts, osteocytes, and osteoclasts. Bone Res. 2018, 6, 16. [Google Scholar] [CrossRef]
- Hedvičáková, V.; Žižková, R.; Buzgo, M.; Rampichová, M.; Filová, E. The Effect of Alendronate on Osteoclastogenesis in Different Combinations of M-CSF and RANKL Growth Factors. Biomolecules 2021, 11, 438. [Google Scholar] [CrossRef]
- Trouvin, A.P.; Goëb, V. Receptor activator of nuclear factor-κB ligand and osteoprotegerin: Maintaining the balance to prevent bone loss. Clin. Interv. Aging 2010, 5, 345–354. [Google Scholar] [CrossRef]
- Boyce, B.F.; Xiu, Y.; Li, J.; Xing, L.; Yao, Z. NF-κB-Mediated Regulation of Osteoclastogenesis. Endocrinol. Metab. 2015, 30, 35–44. [Google Scholar] [CrossRef]
- Cappariello, A.; Maurizi, A.; Veeriah, V.; Teti, A. The Great Beauty of the osteoclast. Arch. Biochem. Biophys. 2014, 558, 70–78. [Google Scholar] [CrossRef] [PubMed]
- Yamashita, T.; Yao, Z.; Li, F.; Zhang, Q.; Badell, I.R.; Schwarz, E.M.; Takeshita, S.; Wagner, E.F.; Noda, M.; Matsuo, K.; et al. NF-kappaB p50 and p52 regulate receptor activator of NF-kappaB ligand (RANKL) and tumor necrosis factor-induced osteoclast precursor differentiation by activating c-Fos and NFATc1. J. Biol. Chem. 2007, 282, 18245–18253. [Google Scholar] [CrossRef]
- Aguilar-Toalá, J.E.; Cruz-Monterrosa, R.G.; Liceaga, A.M. Beyond Human Nutrition of Edible Insects: Health Benefits and Safety Aspects. Insects 2022, 13, 1007. [Google Scholar] [CrossRef] [PubMed]
- Hirose, Y.; Ohta, E.; Kawai, Y.; Ohta, S. Dorsamin-A’s, glycerolipids carrying a dehydrophenylalanine ester moiety from the seed-eating larvae of the bruchid beetle Bruchidius dorsalis. J. Nat. Prod. 2013, 76, 554–558. [Google Scholar] [CrossRef]
- Shi, Y.N.; Tu, Z.C.; Wang, X.L.; Yan, Y.M.; Fang, P.; Zuo, Z.L.; Hou, B.; Yang, T.H.; Cheng, Y.X. Bioactive compounds from the insect Aspongopus chinensis. Bioorganic Med. Chem. Lett. 2014, 24, 5164–5169. [Google Scholar] [CrossRef]
- Lee, W.; Lee, J.; Kulkarni, R.; Kim, M.A.; Hwang, J.S.; Na, M.; Bae, J.S. Antithrombotic and antiplatelet activities of small-molecule alkaloids from Scolopendra subspinipes mutilans. Sci. Rep. 2016, 6, 21956. [Google Scholar] [CrossRef]
- Van Itterbeeck, J.; van Huis, A. Environmental manipulation for edible insect procurement: A historical perspective. J. Ethnobiol. Ethnomedicine 2012, 8, 3. [Google Scholar] [CrossRef]
- Yeo, H.; Youn, K.; Kim, M.; Yun, E.Y.; Hwang, J.S.; Jeong, W.S.; Jun, M. Fatty Acid Composition and Volatile Constituents of Protaetia brevitarsis larvae. Prev. Nutr. Food Sci. 2013, 18, 150–156. [Google Scholar] [CrossRef]
- Park, Y.M.; Noh, E.M.; Lee, H.Y.; Shin, D.Y.; Lee, Y.H.; Kang, Y.G.; Na, E.J.; Kim, J.H.; Yang, H.J.; Kim, M.J.; et al. Anti-diabetic effects of Protaetia brevitarsis in pancreatic islets and a murine diabetic model. Eur. Rev. Med. Pharmacol. Sci. 2021, 25, 7508–7515. [Google Scholar] [CrossRef]
- Yoo, Y.C.; Shin, B.H.; Hong, J.H.; Lee, J.; Chee, H.Y.; Song, K.S.; Lee, K.B. Isolation of fatty acids with anticancer activity from Protaetia brevitarsis larva. Arch. Pharm. Res. 2007, 30, 361–365. [Google Scholar] [CrossRef]
- Kang, M.; Kang, C.; Lee, H.; Kim, E.; Kim, J.; Kwon, O.; Lee, H.; Kang, H.; Kim, C.; Jang, H. Effects of fermented aloe vera mixed diet on larval growth of Protaetia brevitarsis seulensis (Kolbe) (Coleopteran: Cetoniidae) and protective effects of its extract against CCl4-induced hepatotoxicity in SpragueDawley rats. Entomol. Res. 2012, 42, 111–121. [Google Scholar] [CrossRef]
- Nam, H.H.; Kang, S.; Seo, Y.S.; Lee, J.; Moon, B.C.; Lee, H.J.; Lee, J.H.; Kim, B.; Lee, S.; Kim, J.S. Protective effects of an aqueous extract of Protaetia brevitarsis seulensis larvae against radiation-induced testicular injury in mice. Food Sci. Nutr. 2022, 10, 3969–3978. [Google Scholar] [CrossRef] [PubMed]
- Choi, R.Y.; Kim, I.W.; Ji, M.; Paik, M.J.; Ban, E.J.; Lee, J.H.; Hwang, J.S.; Kweon, H.; Seo, M. Protaetia brevitarsis seulensis larvae ethanol extract inhibits RANKL-stimulated osteoclastogenesis and ameliorates bone loss in ovariectomized mice. Biomed. Pharmacother. 2023, 165, 115112. [Google Scholar] [CrossRef] [PubMed]
- Ganguly, K.; Jeong, M.S.; Dutta, S.D.; Patel, D.K.; Cho, S.J.; Lim, K.T. Protaetia brevitarsis seulensis Derived Protein Isolate with Enhanced Osteomodulatory and Antioxidative Property. Molecules 2020, 25, 6056. [Google Scholar] [CrossRef]
- Jang, H.Y.; Lee, H.S.; Noh, E.M.; Kim, J.M.; You, Y.O.; Lee, G.; Koo, J.H.; Lim, H.; Ko, S.; Kim, J.S.; et al. Aqueous extract of Chrysanthemum morifolium Ramat. inhibits RANKL-induced osteoclast differentiation by suppressing the c-fos/NFATc1 pathway. Arch. Oral Biol. 2021, 122, 105029. [Google Scholar] [CrossRef]
- Livak, K.J.; Schmittgen, T.D. Analysis of relative gene expression data using real-time quantitative PCR and the 2(-Delta Delta C(T)) Method. Methods 2001, 25, 402–408. [Google Scholar] [CrossRef]
- Hanley, D.A.; McClung, M.R.; Davison, K.S.; Dian, L.; Harris, S.T.; Miller, P.D.; Lewiecki, E.M.; Kendler, D.L.; Writing Group for the Western Osteoporosis Alliance. Western Osteoporosis Alliance Clinical Practice Series: Evaluating the Balance of Benefits and Risks of Long-Term Osteoporosis Therapies. Am. J. Med. 2017, 130, 862.e1–862.e7. [Google Scholar] [CrossRef]
- Barasch, A.; Cunha-Cruz, J.; Curro, F.A.; Hujoel, P.; Sung, A.H.; Vena, D.; Voinea-Griffin, A.E.; Beadnell, S.; Craig, R.G.; DeRouen, T.; et al. Risk factors for osteonecrosis of the jaws: A case-control study from the CONDOR Dental PBRN. Tex. Dent. J. 2013, 130, 299–307. [Google Scholar] [CrossRef]
- Grodstein, F.; Stampfer, M.J.; Goldhaber, S.Z.; Manson, J.E.; Colditz, G.A.; Speizer, F.E.; Willett, W.C.; Hennekens, C.H. Prospective study of exogenous hormones and risk of pulmonary embolism in women. Lancet 1996, 348, 983–987. [Google Scholar] [CrossRef]
- Narod, S.A. Hormone replacement therapy and the risk of breast cancer. Nat. Rev. Clin. Oncol. 2011, 8, 669–676. [Google Scholar] [CrossRef] [PubMed]
- Fontana, A.; Spolaore, B.; Polverino de Laureto, P. The biological activities of protein/oleic acid complexes reside in the fatty acid. Biochim. Biophys. Acta 2013, 1834, 1125–1143. [Google Scholar] [CrossRef] [PubMed]
- Calder, P.C. Functional Roles of Fatty Acids and Their Effects on Human Health. JPEN J. Parenter. Enter. Nutr. 2015, 39, 18S–32S. [Google Scholar] [CrossRef] [PubMed]
- Cardoso, G.B.; Chacon, E.; Chacon, P.G.; Bordeaux-Rego, P.; Duarte, A.S.; Saad, S.T.O.; Zavaglia, C.A.; Cunha, M.R. Fatty acid is a potential agent for bone tissue induction: In vitro and in vivo approach. Exp. Biol. Med. 2017, 242, 1765–1771. [Google Scholar] [CrossRef] [PubMed]
- Fonolla-Joya, J.; Reyes-García, R.; García-Martín, A.; López-Huertas, E.; Muñoz-Torres, M. Daily Intake of Milk Enriched with n-3 Fatty Acids, Oleic Acid, and Calcium Improves Metabolic and Bone Biomarkers in Postmenopausal Women. J. Am. Coll. Nutr. 2016, 35, 529–536. [Google Scholar] [CrossRef]
- Sims, N.A.; Walsh, N.C. Intercellular cross-talk among bone cells: New factors and pathways. Curr. Osteoporos. Rep. 2012, 10, 109–117. [Google Scholar] [CrossRef]
- Arai, F.; Miyamoto, T.; Ohneda, O.; Inada, T.; Sudo, T.; Brasel, K.; Miyata, T.; Anderson, D.M.; Suda, T. Commitment and differentiation of osteoclast precursor cells by the sequential expression of c-Fms and receptor activator of nuclear factor kappaB (RANK) receptors. J. Exp. Med. 1999, 190, 1741–1754. [Google Scholar] [CrossRef]
- Suda, T.; Takahashi, N.; Udagawa, N.; Jimi, E.; Gillespie, M.T.; Martin, T.J. Modulation of osteoclast differentiation and function by the new members of the tumor necrosis factor receptor and ligand families. Endocr. Rev. 1999, 20, 345–357. [Google Scholar] [CrossRef]
- Park, J.H.; Lee, N.K.; Lee, S.Y. Current Understanding of RANK Signaling in Osteoclast Differentiation and Maturation. Mol. Cells 2017, 40, 706–713. [Google Scholar] [CrossRef]
- Kim, K.; Lee, S.H.; Ha Kim, J.; Choi, Y.; Kim, N. NFATc1 induces osteoclast fusion via up-regulation of Atp6v0d2 and the dendritic cell-specific transmembrane protein (DC-STAMP). Mol. Endocrinol. 2008, 22, 176–185. [Google Scholar] [CrossRef]
- Lee, K.; Seo, I.; Choi, M.H.; Jeong, D. Roles of Mitogen-Activated Protein Kinases in Osteoclast Biology. Int. J. Mol. Sci. 2018, 19, 3004. [Google Scholar] [CrossRef] [PubMed]
- Lee, K.; Chung, Y.H.; Ahn, H.; Kim, H.; Rho, J.; Jeong, D. Selective Regulation of MAPK Signaling Mediates RANKL-dependent Osteoclast Differentiation. Int. J. Biol. Sci. 2016, 12, 235–245. [Google Scholar] [CrossRef] [PubMed]
- Kobayashi, N.; Kadono, Y.; Naito, A.; Matsumoto, K.; Yamamoto, T.; Tanaka, S.; Inoue, J. Segregation of TRAF6-mediated signaling pathways clarifies its role in osteoclastogenesis. EMBO J. 2001, 20, 1271–1280. [Google Scholar] [CrossRef] [PubMed]
- Huh, J.E.; Lee, W.I.; Kang, J.W.; Nam, D.; Choi, D.Y.; Park, D.S.; Lee, S.H.; Lee, J.D. Formononetin attenuates osteoclastogenesis via suppressing the RANKL-induced activation of NF-κB, c-Fos, and nuclear factor of activated T-cells cytoplasmic 1 signaling pathway. J. Nat. Prod. 2014, 77, 2423–2431. [Google Scholar] [CrossRef]
- Abu-Amer, Y. NF-κB signaling and bone resorption. Osteoporos. Int. 2013, 24, 2377–2386. [Google Scholar] [CrossRef]
- Dong, M.; Zeng, J.; Yang, C.; Qiu, Y.; Wang, X. Asiatic Acid Attenuates Osteoporotic Bone Loss in Ovariectomized Mice Through Inhibiting NF-kappaB/MAPK/ Protein Kinase B Signaling Pathway. Front. Pharmacol. 2022, 13, 829741. [Google Scholar] [CrossRef]
- Shi, L.; Zhao, S.; Chen, Q.; Wu, Y.; Zhang, J.; Li, N. Crocin inhibits RANKL-induced osteoclastogenesis by regulating JNK and NF-κB signaling pathways. Mol. Med. Rep. 2018, 17, 7947–7951. [Google Scholar] [CrossRef]
- Deng, W.; Huang, Y.; Li, H.; Chen, C.; Lin, Y.; Wang, M.; Huang, H.; Liu, T.; Qin, Q.; Shao, Y.; et al. Dehydromiltirone inhibits osteoclast differentiation in RAW264.7 and bone marrow macrophages by modulating MAPK and NF-κB activity. Front. Pharmacol. 2022, 13, 1015693. [Google Scholar] [CrossRef]
- Xu, J.; Wu, H.F.; Ang, E.S.; Yip, K.; Woloszyn, M.; Zheng, M.H.; Tan, R.X. NF-kappaB modulators in osteolytic bone diseases. Cytokine Growth Factor Rev. 2009, 20, 7–17. [Google Scholar] [CrossRef]
- Takayanagi, H.; Kim, S.; Koga, T.; Nishina, H.; Isshiki, M.; Yoshida, H.; Saiura, A.; Isobe, M.; Yokochi, T.; Inoue, J.; et al. Induction and activation of the transcription factor NFATc1 (NFAT2) integrate RANKL signaling in terminal differentiation of osteoclasts. Dev. Cell 2002, 3, 889–901. [Google Scholar] [CrossRef]
- Asagiri, M.; Takayanagi, H. The molecular understanding of osteoclast differentiation. Bone 2007, 40, 251–264. [Google Scholar] [CrossRef] [PubMed]
- Tanaka, S.; Nakamura, K.; Takahasi, N.; Suda, T. Role of RANKL in physiological and pathological bone resorption and therapeutics targeting the RANKL-RANK signaling system. Immunol. Rev. 2005, 208, 30–49. [Google Scholar] [CrossRef] [PubMed]
- Arai, A.; Mizoguchi, T.; Harada, S.; Kobayashi, Y.; Nakamichi, Y.; Yasuda, H.; Penninger, J.M.; Yamada, K.; Udagawa, N.; Takahashi, N. Fos plays an essential role in the upregulation of RANK expression in osteoclast precursors within the bone microenvironment. J. Cell Sci. 2012, 125, 2910–2917. [Google Scholar] [CrossRef] [PubMed]
- Jeong, D.H.; Kwak, S.C.; Lee, M.S.; Yoon, K.H.; Kim, J.Y.; Lee, C.H. Betulinic Acid Inhibits RANKL-Induced Osteoclastogenesis via Attenuating Akt, NF-κB, and PLCγ2-Ca2+ Signaling and Prevents Inflammatory Bone Loss. J. Nat. Prod. 2020, 83, 1174–1182. [Google Scholar] [CrossRef]
- Li, S.; Miller, C.H.; Giannopoulou, E.; Hu, X.; Ivashkiv, L.B.; Zhao, B. RBP-J imposes a requirement for ITAM-mediated costimulation of osteoclastogenesis. J. Clin. Investig. 2014, 124, 5057–5073. [Google Scholar] [CrossRef]
- Hwang, S.Y.; Putney, J.W., Jr. Calcium signaling in osteoclasts. Biochim. Biophys. Acta 2011, 1813, 979–983. [Google Scholar] [CrossRef]
- Mao, D.; Epple, H.; Uthgenannt, B.; Novack, D.V.; Faccio, R. PLCgamma2 regulates osteoclastogenesis via its interaction with ITAM proteins and GAB2. J. Clin. Investig. 2006, 116, 2869–2879. [Google Scholar] [CrossRef]







| Gene Names | Primer Sequences |
|---|---|
| Mouse ACP5 (TRAP) | forward: 5′-CTGGAGTGCACGATGCCAGCGACA-3′ reverse: 5′-TCCGTGCTCGGCGATGGACCAGA-3′ |
| Oscar | forward: 5′-GGGGTAACGGATCAGCTCCCCAGA-3′ reverse: 5′-CCAAGGAGCCAGAACGTCGAAACT-3′ |
| CTSK | forward: 5′-ACGGAGGCATTGACTCTGAAGATG-3′ reverse: 5′-GTTGTTCTTATTCCGAGCCAAGAG-3′ |
| TM7SF4 (DC-STAMP) | forward: 5′-TGGAAGTTCACTTGAAACTACGTG-3′ reverse: 5′-CTCGGTTTCCCGTCAGCCTCTCTC-3′ |
| ATP6V0D2 | forward: 5′-TCAGATCTCTTCAAGGCTGTGCTG-3′ reverse: 5′-GTGCCAAATGAGTTCAGAGTGATG-3′ |
| NFATc1 | forward: 5′-CTCGAAAGACAGCACTGGAGCAT-3′ reverse: 5′-CGGCTGCCTTCCGTCTCATAG-3′; |
| GAPDH | forward: 5′-TGCCAGCCTCGTCCCGTAGAC-3′ reverse: 5′-CCTCACCCCATTTGATGTTAG-3′ |
Disclaimer/Publisher’s Note: The statements, opinions and data contained in all publications are solely those of the individual author(s) and contributor(s) and not of MDPI and/or the editor(s). MDPI and/or the editor(s) disclaim responsibility for any injury to people or property resulting from any ideas, methods, instructions or products referred to in the content. |
© 2023 by the authors. Licensee MDPI, Basel, Switzerland. This article is an open access article distributed under the terms and conditions of the Creative Commons Attribution (CC BY) license (https://creativecommons.org/licenses/by/4.0/).
Share and Cite
Jang, H.-Y.; Kim, J.-M.; Kim, J.-S.; Kim, B.-S.; Lee, Y.-R.; Bae, J.S. Protaetia brevitarsis Extract Attenuates RANKL-Induced Osteoclastogenesis by Inhibiting the JNK/NF-κB/PLCγ2 Signaling Pathway. Nutrients 2023, 15, 3193. https://doi.org/10.3390/nu15143193
Jang H-Y, Kim J-M, Kim J-S, Kim B-S, Lee Y-R, Bae JS. Protaetia brevitarsis Extract Attenuates RANKL-Induced Osteoclastogenesis by Inhibiting the JNK/NF-κB/PLCγ2 Signaling Pathway. Nutrients. 2023; 15(14):3193. https://doi.org/10.3390/nu15143193
Chicago/Turabian StyleJang, Hye-Yeon, Jeong-Mi Kim, Jong-Suk Kim, Byeong-Soo Kim, Young-Rae Lee, and Jun Sang Bae. 2023. "Protaetia brevitarsis Extract Attenuates RANKL-Induced Osteoclastogenesis by Inhibiting the JNK/NF-κB/PLCγ2 Signaling Pathway" Nutrients 15, no. 14: 3193. https://doi.org/10.3390/nu15143193
APA StyleJang, H.-Y., Kim, J.-M., Kim, J.-S., Kim, B.-S., Lee, Y.-R., & Bae, J. S. (2023). Protaetia brevitarsis Extract Attenuates RANKL-Induced Osteoclastogenesis by Inhibiting the JNK/NF-κB/PLCγ2 Signaling Pathway. Nutrients, 15(14), 3193. https://doi.org/10.3390/nu15143193

