Exogenous Nucleotides Ameliorate Ageing-Related Intestinal Inflammation in Senescence-Accelerated Mouse Prone-8 (SAMP8) Mice
Abstract
1. Introduction
2. Materials and Methods
2.1. Test Substances
2.2. Animals and Treatment
2.3. Histomorphology Observation of the Intestine
2.4. ELISA Analysis
2.5. Western Blot Analysis
2.6. Statistical Analysis
3. Results
3.1. Exogenous NTs Affected Body Weight in Ageing SAMP8 Mice
3.2. Exogenous NTs Improved the Morphology Structure and Function of the Colon
3.3. Exogenous NTs Ameliorated Intestinal Immunity and Secretion of Inflammatory Factors in Ageing SAMP8 Mice
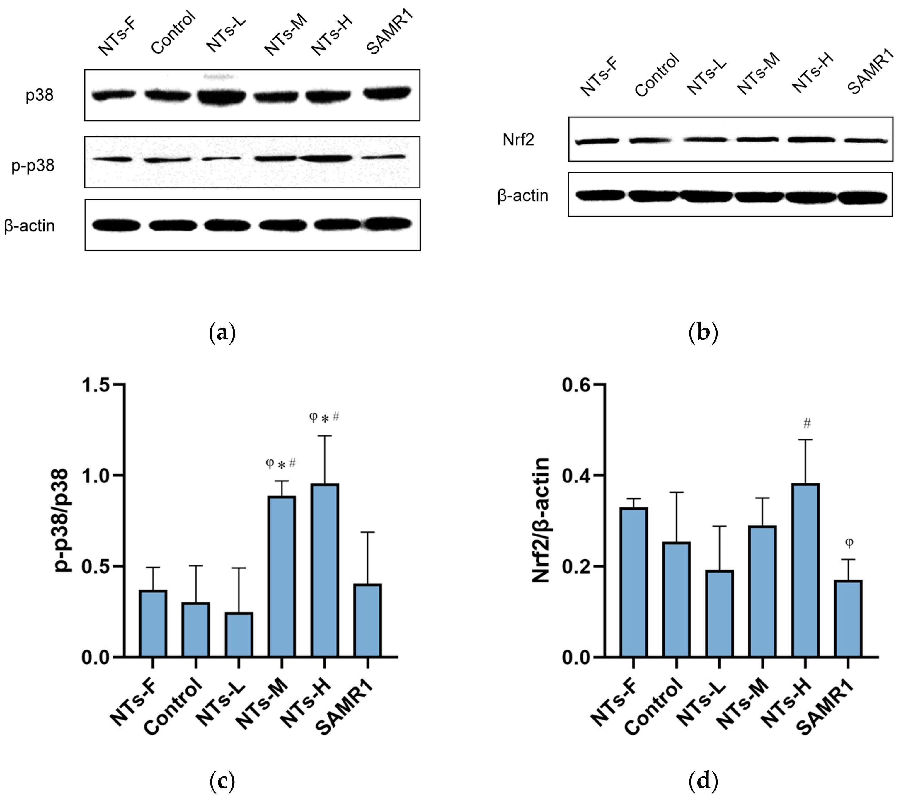
3.4. Exogenous NTs Might Increase Nrf2 Expression and Activate the p38 Signalling Pathway
4. Discussion
5. Conclusions
Author Contributions
Funding
Institutional Review Board Statement
Informed Consent Statement
Data Availability Statement
Acknowledgments
Conflicts of Interest
References
- Hou, Q.; Huang, J.; Zhao, L.; Pan, X.; Liao, C.; Jiang, Q.; Lei, J.; Guo, F.; Cui, J.; Guo, Y.; et al. Dietary Genistein Increases Microbiota-Derived Short Chain Fatty Acid Levels, Modulates Homeostasis of the Aging Gut, and Extends Healthspan and Lifespan. Pharmacol. Res. 2023, 188, 106676. [Google Scholar] [CrossRef] [PubMed]
- Arnold, J.W.; Roach, J.; Fabela, S.; Moorfield, E.; Ding, S.; Blue, E.; Dagher, S.; Magness, S.; Tamayo, R.; Bruno-Barcena, J.M.; et al. The Pleiotropic Effects of Prebiotic Galacto-Oligosaccharides on the Aging Gut. Microbiome 2021, 9, 31. [Google Scholar] [CrossRef] [PubMed]
- Paradis, T.; Begue, H.; Basmaciyan, L.; Dalle, F.; Bon, F. Tight Junctions as a Key for Pathogens Invasion in Intestinal Epithelial Cells. Int. J. Mol. Sci. 2021, 22, 2506. [Google Scholar] [CrossRef] [PubMed]
- Thevaranjan, N.; Puchta, A.; Schulz, C.; Naidoo, A.; Szamosi, J.C.; Verschoor, C.P.; Loukov, D.; Schenck, L.P.; Jury, J.; Foley, K.P.; et al. Age-Associated Microbial Dysbiosis Promotes Intestinal Permeability, Systemic Inflammation, and Macrophage Dysfunction. Cell Host Microbe 2017, 21, 455–466.e4. [Google Scholar] [CrossRef]
- Tran, L.; Meerveld, B.G.-V. In a Non-Human Primate Model, Aging Disrupts the Neural Control of Intestinal Smooth Muscle Contractility in a Region-Specific Manner. Neurogastroenterol. Motil. 2014, 26, 410–418. [Google Scholar] [CrossRef]
- Englander, E.W. Gene Expression Changes Reveal Patterns of Aging in the Rat Digestive Tract. Ageing Res. Rev. 2005, 4, 564–578. [Google Scholar] [CrossRef]
- Li, Y.; Chen, Y.; Jiang, L.; Zhang, J.; Tong, X.; Chen, D.; Le, W. Intestinal Inflammation and Parkinson’s Disease. Aging Dis. 2021, 12, 2052–2068. [Google Scholar] [CrossRef]
- Ticinesi, A.; Lauretani, F.; Milani, C.; Nouvenne, A.; Tana, C.; Del Rio, D.; Maggio, M.; Ventura, M.; Meschi, T. Aging Gut Microbiota at the Cross-Road between Nutrition, Physical Frailty, and Sarcopenia: Is There a Gut-Muscle Axis? Nutrients 2017, 9, 1303. [Google Scholar] [CrossRef]
- Fang, X.; Yue, M.; Wei, J.; Wang, Y.; Hong, D.; Wang, B.; Zhou, X.; Chen, T. Evaluation of the Anti-Aging Effects of a Probiotic Combination Isolated from Centenarians in a Samp8 Mouse Model. Front. Immunol. 2021, 12, 792746. [Google Scholar] [CrossRef]
- Furman, D.; Campisi, J.; Verdin, E.; Carrera-Bastos, P.; Targ, S.; Franceschi, C.; Ferrucci, L.; Gilroy, D.W.; Fasano, A.; Miller, G.W.; et al. Chronic Inflammation in the Etiology of Disease across the Life Span. Nat. Med. 2019, 25, 1822–1832. [Google Scholar] [CrossRef]
- Zhao, Y.; Simon, M.; Seluanov, A.; Gorbunova, V. DNA Damage and Repair in Age-Related Inflammation. Nat. Rev. Immunol. 2023, 23, 75–89. [Google Scholar] [CrossRef] [PubMed]
- Franceschi, C.; Bonafe, M.; Valensin, S.; Olivieri, F.; De Luca, M.; Ottaviani, E.; De Benedictis, G. Inflamm-Aging. An Evolutionary Perspective on Immunosenescence. Ann. N. Y. Acad. Sci. 2000, 908, 244–254. [Google Scholar] [CrossRef] [PubMed]
- Irimia, D.; Wang, X. Inflammation-on-a-Chip: Probing the Immune System Ex Vivo. Trends Biotechnol. 2018, 36, 923–937. [Google Scholar] [CrossRef] [PubMed]
- Sanchez-Pozo, A.; Gil, A. Nucleotides as Semiessential Nutritional Components. Br. J. Nutr. 2002, 87, S135–S137. [Google Scholar] [CrossRef] [PubMed]
- Yamauchi, K.; Hales, N.W.; Robinson, S.M.; Niehoff, M.L.; Ramesh, V.; Pellis, N.R.; Kulkarni, A.D. Dietary Nucleotides Prevent Decrease in Cellular Immunity in Ground-Based Microgravity Analog. J. Appl. Physiol. 2002, 93, 161–166. [Google Scholar] [CrossRef] [PubMed]
- Cai, X.; Bao, L.; Wang, N.; Xu, M.; Mao, R.; Li, Y. Dietary Nucleotides Supplementation and Liver Injury in Alcohol-Treated Rats: A Metabolomics Investigation. Molecules 2016, 21, 435. [Google Scholar] [CrossRef] [PubMed]
- Singhal, A.; Kennedy, K.; Lanigan, J.; Clough, H.; Jenkins, W.; Elias-Jones, A.; Stephenson, T.; Dudek, P.; Lucas, A. Dietary Nucleotides and Early Growth in Formula-Fed Infants: A Randomized Controlled Trial. Pediatrics 2010, 126, e946–e953. [Google Scholar] [CrossRef]
- Lopez-Navarro, A.T.; Ortega, M.A.; Peragon, J.; Bueno, J.D.; Gil, A.; Sanchez-Pozo, A. Deprivation of Dietary Nucleotides Decreases Protein Synthesis in the Liver and Small Intestine in Rats. Gastroenterology 1996, 110, 1760–1769. [Google Scholar] [CrossRef]
- Bueno, J.; Torres, M.; Almendros, A.; Carmona, R.; Nunez, M.C.; Rios, A.; Gil, A. Effect of Dietary Nucleotides on Small Intestinal Repair after Diarrhoea. Histological and Ultrastructural Changes. Gut 1994, 35, 926–933. [Google Scholar] [CrossRef]
- Singhal, A.; Macfarlane, G.; Macfarlane, S.; Lanigan, J.; Kennedy, K.; Elias-Jones, A.; Stephenson, T.; Dudek, P.; Lucas, A. Dietary Nucleotides and Fecal Microbiota in Formula-Fed Infants: A Randomized Controlled Trial. Am. J. Clin. Nutr. 2008, 87, 1785–1792. [Google Scholar] [CrossRef]
- Ding, T.; Xu, M.; Li, Y. An Overlooked Prebiotic: Beneficial Effect of Dietary Nucleotide Supplementation on Gut Microbiota and Metabolites in Senescence-Accelerated Mouse Prone-8 Mice. Front. Nutr. 2022, 9, 820799. [Google Scholar] [CrossRef] [PubMed]
- Sanderson, I.R.; He, Y. Nucleotide Uptake and Metabolism by Intestinal Epithelial Cells. J. Nutr. 1994, 124 (Suppl. S1), 131S–137S. [Google Scholar] [CrossRef] [PubMed]
- Zhu, N.; Liu, X.; Xu, M.; Li, Y. Dietary Nucleotides Retard Oxidative Stress-Induced Senescence of Human Umbilical Vein Endothelial Cells. Nutrients 2021, 13, 3279. [Google Scholar] [CrossRef]
- Cai, X.; Bao, L.; Wang, N.; Ren, J.; Chen, Q.; Xu, M.; Li, D.; Mao, R.; Li, Y. Dietary Nucleotides Protect against Alcoholic Liver Injury by Attenuating Inflammation and Regulating Gut Microbiota in Rats. Food Funct. 2016, 7, 2898–2908. [Google Scholar] [CrossRef] [PubMed]
- Zhu, N.; Liu, R.; Xu, M.H.; Li, Y. Neuroprotective Actions of Different Exogenous Nucleotides in H2O2-Induced Cell Death in Pc-12 Cells. Molecules 2023, 28, 1226. [Google Scholar] [CrossRef]
- Kurokawa, T.; Ozaki, N.; Ishibashi, S. Difference between Senescence-Accelerated Prone and Resistant Mice in Response to Insulin in the Heart. Mech. Ageing Dev. 1998, 102, 25–32. [Google Scholar] [CrossRef] [PubMed]
- Pellegrini, C.; Daniele, S.; Antonioli, L.; Benvenuti, L.; D’Antongiovanni, V.; Piccarducci, R.; Pietrobono, D.; Citi, V.; Piragine, E.; Flori, L.; et al. Prodromal Intestinal Events in Alzheimer’s Disease (Ad): Colonic Dysmotility and Inflammation Are Associated with Enteric Ad-Related Protein Deposition. Int. J. Mol. Sci. 2020, 21, 3523. [Google Scholar] [CrossRef] [PubMed]
- Chen, L.H.; Wang, M.F.; Chang, C.C.; Huang, S.Y.; Pan, C.H.; Yeh, Y.T.; Huang, C.H.; Chan, C.H.; Huang, H.Y. Lacticaseibacillus Paracasei Ps23 Effectively Modulates Gut Microbiota Composition and Improves Gastrointestinal Function in Aged Samp8 Mice. Nutrients 2021, 13, 1116. [Google Scholar] [CrossRef]
- Miro, L.; Garcia-Just, A.; Amat, C.; Polo, J.; Moreto, M.; Perez-Bosque, A. Dietary Animal Plasma Proteins Improve the Intestinal Immune Response in Senescent Mice. Nutrients 2017, 9, 1346. [Google Scholar] [CrossRef]
- Aihara, E.; Engevik, K.A.; Montrose, M.H. Trefoil Factor Peptides and Gastrointestinal Function. Annu. Rev. Physiol. 2017, 79, 357–380. [Google Scholar] [CrossRef] [PubMed]
- Braga Emidio, N.; Hoffmann, W.; Brierley, S.M.; Muttenthaler, M. Trefoil Factor Family: Unresolved Questions and Clinical Perspectives. Trends Biochem. Sci. 2019, 44, 387–390. [Google Scholar] [CrossRef] [PubMed]
- Harley, C.B.; Futcher, A.B.; Greider, C.W. Telomeres Shorten During Ageing of Human Fibroblasts. Nature 1990, 345, 458–460. [Google Scholar] [CrossRef] [PubMed]
- Ellis, P.S.; Martins, R.R.; Thompson, E.J.; Farhat, A.; Renshaw, S.A.; Henriques, C.M. A Subset of Gut Leukocytes Has Telomerase-Dependent "Hyper-Long" Telomeres and Require Telomerase for Function in Zebrafish. Immun. Ageing 2022, 19, 31. [Google Scholar] [CrossRef] [PubMed]
- Mojiri, A.; Walther, B.K.; Jiang, C.; Matrone, G.; Holgate, R.; Xu, Q.; Morales, E.; Wang, G.; Gu, J.; Wang, R.; et al. Telomerase Therapy Reverses Vascular Senescence and Extends Lifespan in Progeria Mice. Eur. Heart J. 2021, 42, 4352–4369. [Google Scholar] [CrossRef] [PubMed]
- Walker, E.M.; Slisarenko, N.; Gerrets, G.L.; Kissinger, P.J.; Didier, E.S.; Kuroda, M.J.; Veazey, R.S.; Jazwinski, S.M.; Rout, N. Inflammaging Phenotype in Rhesus Macaques Is Associated with a Decline in Epithelial Barrier-Protective Functions and Increased Pro-Inflammatory Function in Cd161-Expressing Cells. Geroscience 2019, 41, 739–757. [Google Scholar] [CrossRef]
- Ahmadi, S.; Wang, S.H.; Nagpal, R.; Wang, B.; Jain, S.; Razazan, A.; Mishra, S.P.; Zhu, X.W.; Wang, Z.; Kavanagh, K.; et al. A Human-Origin Probiotic Cocktail Ameliorates Aging-Related Leaky Gut and Inflammation Via Modulating the Microbiota/Taurine/Tight Junction Axis. JCI Insight 2020, 5, e132055. [Google Scholar] [CrossRef]
- Ma, H.; Liu, M.; Fu, R.; Feng, J.; Ren, H.; Cao, J.; Shi, M. Phase Separation in Innate Immune Response and Inflammation-Related Diseases. Front. Immunol. 2023, 14, 1086192. [Google Scholar] [CrossRef]
- Boraschi, D.; Aguado, M.T.; Dutel, C.; Goronzy, J.; Louis, J.; Grubeck-Loebenstein, B.; Rappuoli, R.; Del Giudice, G. The Gracefully Aging Immune System. Sci. Transl. Med. 2013, 5, 185ps8. [Google Scholar] [CrossRef] [PubMed]
- Chen, P.; Chen, F.; Lei, J.; Zhou, B. Gut Microbial Metabolite Urolithin B Attenuates Intestinal Immunity Function in Vivo in Aging Mice and in Vitro in Ht29 Cells by Regulating Oxidative Stress and Inflammatory Signalling. Food Funct. 2021, 12, 11938–11955. [Google Scholar] [CrossRef]
- Kobayashi, E.H.; Suzuki, T.; Funayama, R.; Nagashima, T.; Hayashi, M.; Sekine, H.; Tanaka, N.; Moriguchi, T.; Motohashi, H.; Nakayama, K.; et al. Nrf2 Suppresses Macrophage Inflammatory Response by Blocking Proinflammatory Cytokine Transcription. Nat. Commun. 2016, 7, 11624. [Google Scholar] [CrossRef]
- Ungvari, Z.; Bailey-Downs, L.; Sosnowska, D.; Gautam, T.; Koncz, P.; Losonczy, G.; Ballabh, P.; de Cabo, R.; Sonntag, W.E.; Csiszar, A. Vascular Oxidative Stress in Aging: A Homeostatic Failure Due to Dysregulation of Nrf2-Mediated Antioxidant Response. Am. J. Physiol.-Heart Circ. Physiol. 2011, 301, H363–H372. [Google Scholar] [CrossRef] [PubMed]
- Singh, R.; Chandrashekharappa, S.; Bodduluri, S.R.; Baby, B.V.; Hegde, B.; Kotla, N.G.; Hiwale, A.A.; Saiyed, T.; Patel, P.; Vijay-Kumar, M.; et al. Enhancement of the Gut Barrier Integrity by a Microbial Metabolite through the Nrf2 Pathway. Nat. Commun. 2019, 10, 89. [Google Scholar] [CrossRef] [PubMed]
- Canovas, B.; Nebreda, A.R. Diversity and Versatility of P38 Kinase Signalling in Health and Disease. Nat. Rev. Mol. Cell Biol. 2021, 22, 346–366. [Google Scholar] [CrossRef] [PubMed]
- Youngman, M.J.; Rogers, Z.N.; Kim, D.H. A Decline in P38 Mapk Signaling Underlies Immunosenescence in Caenorhabditis Elegans. PLoS Genet. 2011, 7, e1002082. [Google Scholar] [CrossRef]
- Sun, J.; Kim, J.; Jeong, H.; Kwon, D.; Moon, Y. Xenobiotic-Induced Ribosomal Stress Compromises Dysbiotic Gut Barrier Aging: A One Health Perspective. Redox Biol. 2023, 59, 102565. [Google Scholar] [CrossRef]
- Shin, D.Y.; Lee, W.S.; Lu, J.N.; Kang, M.H.; Ryu, C.H.; Kim, G.Y.; Kang, H.S.; Shin, S.C.; Choi, Y.H. Induction of Apoptosis in Human Colon Cancer Hct-116 Cells by Anthocyanins through Suppression of Akt and Activation of P38-Mapk. Int. J. Oncol. 2009, 35, 1499–1504. [Google Scholar] [CrossRef]
- Han, J.; Sun, P. The Pathways to Tumor Suppression Via Route P38. Trends Biochem. Sci. 2007, 32, 364–371. [Google Scholar] [CrossRef]
- Ortega, M.A.; Gil, A.; Sanchez-Pozo, A. Maturation Status of Small Intestine Epithelium in Rats Deprived of Dietary Nucleotides. Life Sci. 1995, 56, 1623–1630. [Google Scholar] [CrossRef]




| Groups | Fodder | Number of Animals | Survival Animal Numbers |
|---|---|---|---|
| Control | Standard food | 15 | 12 |
| SAMR1 | Standard food | 15 | 12 |
| NTs-F | Purified food, AIN-93M | 15 | 13 |
| NTs-L | Standard food + 0.3 g/kg NTs | 15 | 14 |
| NTs-M | Standard food + 0.6 g/kg NTs | 15 | 13 |
| NTs-H | Standard food + 1.2 g/kg NTs | 15 | 12 |
| Groups | IL-2 (pg/mg) | TNF-α (pg/mL) | MCP-1 (pg/mg) | CXCL-1 (pg/mg) |
|---|---|---|---|---|
| NTs-F | 0.55 ± 0.13 | 290.74 ± 165.54 | 41.65 ± 27.30 | 2.20 ± 2.41 |
| Control | 0.43 ± 0.18 | 279.61 ± 56.87 | 62.38 ± 27.33 | 37.85 ± 29.21 |
| NTs-L | 0.28 ± 0.12 | 357.03 ± 241.62 | 29.72 ± 10.55 * | 18.64 ± 12.19 |
| NTs-M | 0.38 ± 0.20 | 188.47 ± 122.16 | 72.51 ± 41.79 | 18.45 ± 16.23 |
| NTs-H | 0.29 ± 0.33 | 194.19 ± 110.79 | 24.85 ± 7.26 * | 15.62 ± 4.36 φ |
| SAMR1 | 0.48 ± 0.25 | 460.95 ± 191.85 | 42.78 ± 24.91 | 19.25 ± 5.57 φ |
Disclaimer/Publisher’s Note: The statements, opinions and data contained in all publications are solely those of the individual author(s) and contributor(s) and not of MDPI and/or the editor(s). MDPI and/or the editor(s) disclaim responsibility for any injury to people or property resulting from any ideas, methods, instructions or products referred to in the content. |
© 2023 by the authors. Licensee MDPI, Basel, Switzerland. This article is an open access article distributed under the terms and conditions of the Creative Commons Attribution (CC BY) license (https://creativecommons.org/licenses/by/4.0/).
Share and Cite
You, M.; Liu, R.; Wei, C.; Wang, X.; Yu, X.; Li, Z.; Mao, R.; Hu, J.; Zhu, N.; Liu, X.; et al. Exogenous Nucleotides Ameliorate Ageing-Related Intestinal Inflammation in Senescence-Accelerated Mouse Prone-8 (SAMP8) Mice. Nutrients 2023, 15, 2533. https://doi.org/10.3390/nu15112533
You M, Liu R, Wei C, Wang X, Yu X, Li Z, Mao R, Hu J, Zhu N, Liu X, et al. Exogenous Nucleotides Ameliorate Ageing-Related Intestinal Inflammation in Senescence-Accelerated Mouse Prone-8 (SAMP8) Mice. Nutrients. 2023; 15(11):2533. https://doi.org/10.3390/nu15112533
Chicago/Turabian StyleYou, Mei, Rui Liu, Chan Wei, Xiujuan Wang, Xiaochen Yu, Zhen Li, Ruixue Mao, Jiani Hu, Na Zhu, Xinran Liu, and et al. 2023. "Exogenous Nucleotides Ameliorate Ageing-Related Intestinal Inflammation in Senescence-Accelerated Mouse Prone-8 (SAMP8) Mice" Nutrients 15, no. 11: 2533. https://doi.org/10.3390/nu15112533
APA StyleYou, M., Liu, R., Wei, C., Wang, X., Yu, X., Li, Z., Mao, R., Hu, J., Zhu, N., Liu, X., Fan, R., Li, Y., & Xu, M. (2023). Exogenous Nucleotides Ameliorate Ageing-Related Intestinal Inflammation in Senescence-Accelerated Mouse Prone-8 (SAMP8) Mice. Nutrients, 15(11), 2533. https://doi.org/10.3390/nu15112533

