Anti-Obesity Effects of Formulated Biscuits Supplemented with Date’s Fiber; Agro-Waste Products Used as a Potent Functional Food
Abstract
1. Introduction
2. Materials and Methods
2.1. Chemicals
2.2. Methods
2.2.1. Biscuit Samples Preparation
2.2.2. The Study Design
2.2.3. Body Weight Gain Calculation (BWG)
2.2.4. Sample Preparation for Biochemical Analysis
2.2.5. Blood Biochemical Analysis
2.2.6. Histopathology Analysis
2.2.7. Statistical Analysis
3. Results
3.1. Body Weight Levels
3.2. Blood Glucose Levels
3.3. Lipid Profile Levels
3.4. Kidney and Liver Functions
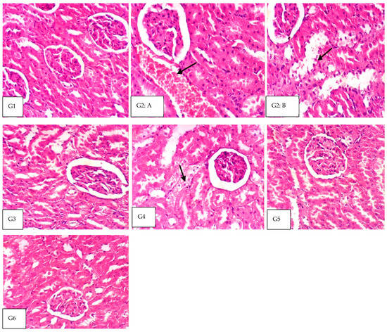
3.5. Histopathology Analysis
4. Discussion
5. Conclusions
Supplementary Materials
Author Contributions
Funding
Institutional Review Board Statement
Informed Consent Statement
Data Availability Statement
Acknowledgments
Conflicts of Interest
References
- Ahmed, J.; Al-Jasass, F.M.; Siddiq, M. Date Fruit Composition and Nutrition. In Dates; John Wiley & Sons, Ltd.: Hoboken, NJ, USA, 2013; pp. 261–283. [Google Scholar]
- Ali, A.; Abdu, S.; Alansari, S. Biosafty of Ajwa Date Against Biotoxicity of Ochratoxin (A) on Proximal Tubules of Male Rat. Kidney Res. J. 2011, 1, 1–12. [Google Scholar] [CrossRef][Green Version]
- Saleh, E.A.; Tawfik, M.S.; Abu-Tarboush, H.M. Phenolic Contents and Antioxidant Activity of Various Date Palm (Phoenix dactylifera L.) Fruits from Saudi Arabia. Food Nutr. Sci. 2011, 2011, 16364. [Google Scholar]
- Juhaimi, F.A.; Ghafoor, K.; Özcan, M.M. Physical and Chemical Properties, Antioxidant Activity, Total Phenol and Mineral Profile of Seeds of Seven Different Date Fruit (Phoenix dactylifera L.) Varieties. Int. J. Food Sci. Nutr. 2012, 63, 84–89. [Google Scholar] [CrossRef] [PubMed]
- Mirghani, H.O. Dates Fruits Effects on Blood Glucose Among Patients with Diabetes Mellitus: A Review and Meta-Analysis. Pak. J. Med. Sci. 2021, 37, 1230. [Google Scholar] [CrossRef] [PubMed]
- Al-Farsi, M.; Alasalvar, C.; Al-Abid, M.; Al-Shoaily, K.; Al-Amry, M.; Al-Rawahy, F. Compositional and Functional Characteristics of Dates, Syrups, and Their By-products. Food Chem. 2007, 104, 943–947. [Google Scholar] [CrossRef]
- Biglari, F.; AlKarkhi, A.F.; Easa, A.M. Antioxidant Activity and Phenolic Content af Various Date Palm (Phoenix dactylifera) Fruits from Iran. Food Chem. 2008, 107, 1636–1641. [Google Scholar] [CrossRef]
- Sidhu, J.S. Production and Processing of Date Fruits; John Wiley & Sons, Ltd.: Hoboken, NJ, USA, 2012; pp. 629–651. [Google Scholar]
- Bensaci, C.; Ghiaba, Z.; Dakmouche, M.; Belfar, A.; Belguidoum, M.; Bentebba, F.Z.; Saidi, M.; Hadjadj, M. In Vitro Evaluation of Antioxidant Potential of Date Palm Collected in Algeria using Electrochemical and Spectrophotometrical Techniques. Korean Chem. Eng. Res. 2021, 59, 153–158. [Google Scholar]
- Martinez, T.M.; Meyer, R.K.; Duca, F.A. Therapeutic Potential of Various Plant-Based Fibers to Improve Energy Homeostasis via the Gut Microbiota. Nutrients 2021, 13, 3470. [Google Scholar] [CrossRef]
- Craig, W.J.; Mangels, A.R.; Fresán, U.; Marsh, K.; Miles, F.L.; Saunders, A.V.; Haddad, E.H.; Heskey, C.E.; Johnston, P.; Larson-Meyer, E. The Safe and Effective Use of Plant-Based Diets with Guidelines for Health Professionals. Nutrients 2021, 13, 4144. [Google Scholar] [CrossRef]
- Khalil, N.A.; Elbeltagy, A.; Aljutaily, T.; Ali, A.A.; Gadallah, M.G.E. Organoleptic, Antioxidant Activity and Microbial Aspects of Functional Biscuit Formulated with Date Fruit Fibers Grown in Qassim Region. Food Sci. Technol. 2022; in press. [Google Scholar]
- Blundell, J.E.; Lawton, C.L.; Halford, J.C. Serotonin, Eating Behavior, and Fat Intake. Obes. Res. 1995, 3, 471S–476S. [Google Scholar] [CrossRef]
- Foltin, R.W.; Kelly, T.H. Effect of Amphetamine on Human Macronutrient Intake. Physiol. Behav. 1995, 58, 899–907. [Google Scholar] [CrossRef] [PubMed]
- Leibowitz, S.F. Brain Peptides and Obesity: Pharmacologic Treatment. Obes. Res. 1995, 3, 573S–589S. [Google Scholar] [CrossRef] [PubMed]
- Bozzetto, L.; Costabile, G.; Della Pepa, G.; Ciciola, P.; Vetrani, C.; Vitale, M.; Rivellese, A.A.; Annuzzi, G. Dietary Fibre as a Unifying Remedy for the Whole Spectrum of Obesity-Associated Cardiovascular Risk. Nutrients 2018, 10, 943. [Google Scholar] [CrossRef] [PubMed]
- Arumugham, T.; AlYammahi, J.; Rambabu, K.; Hassan, S.W.; Banat, F. Supercritical CO2 Pretreatment of Date Fruit Biomass for Enhanced Recovery of Fruit Sugars. Sustain. Energy Technol. Assess. 2022, 52, 102231. [Google Scholar] [CrossRef]
- Khalil, N.A. Malnutrition of Micronutrients and Brain Disorders. In Role of Micronutrients in Brain Health; Springer: Singapore, 2022; pp. 167–182. [Google Scholar]
- Reeves, P.G.; Nielsen, F.H.; Fahey Jr, G.C. AIN-93 Purified Diets for Laboratory Rodents: Final Report of the American Institute of Nutrition ad Hoc Writing Committee on the Reformulation of the Ain-76a Rodent Diet. J. Nutr. 1993, 123, 1939–1951. [Google Scholar] [CrossRef]
- Khalil, N.A.; Eltahan, N.R.; Elaktash, H.M.; Aly, S.; Sarbini, S.R. Prospective Evaluation of Probiotic and Prebiotic Supplementation on Diabetic Health Associated with Gut Microbiota. Food Biosci. 2021, 42, 101149. [Google Scholar] [CrossRef]
- Li, G.; Li, S.; Liu, H.; Zhang, L.; Gao, J.; Zhang, S.; Zou, Y.; Xia, X.; Ren, X. Isinglass Polysaccharides Regulate Intestinal-Barrier Function and Alleviate Obesity in High-Fat Diet Mice through the HO-1/Nrf2 Pathway and Intestinal Microbiome Environment. Nutrients 2022, 14, 3928. [Google Scholar] [CrossRef]
- Chapman, D.G.; Castillo, R.; Campbell, J.A. Evaluation of Protein in Foods. I. A Method for The Determination of Protein Efficiency Ratios. Can. J. Biochem. Physiol. 1959, 37, 679–686. [Google Scholar] [CrossRef]
- Rojas, E.; Herrera, L.A.; Poirier, L.A.; Ostrosky-Wegman, P. Are Metals Dietary Carcinogens? Mutat. Res. Genet. Toxicol. Environ. Mutagen. 1999, 443, 157–181. [Google Scholar] [CrossRef]
- Allain, C.C.; Poon, L.S.; Chan, C.S.; Richmond, W.; Fu, P.C. Enzymatic Determination of Total Serum Cholesterol. Clin. Chem. 1974, 20, 470–475. [Google Scholar] [CrossRef]
- Burstein, M.; Scholnick, H.; Morfin, R. Rapid Method for the Isolation of Lipoproteins From Human Serum by Precipitation with Polyanions. J. Lipid Res. 1970, 11, 583–595. [Google Scholar] [CrossRef] [PubMed]
- Fossati, P.; Prencipe, L. Serum Triglycerides Determined Colorimetrically with an Enzyme That Produces Hydrogen Peroxide. Clin. Chem. 1982, 28, 2077–2080. [Google Scholar] [CrossRef]
- Lee, R.; Niemann, D. Nutritional Assessment, 2nd ed.; McGraw Hill: Mosby, MI, USA, 1996. [Google Scholar]
- Bergmeyer, H.; Scheibe, P.; Wahlefeld, A. Optimization of Methods for Aspartate Aminotransferase and Alanine Aminotransferase. Clin. Chem. 1978, 24, 58–73. [Google Scholar] [CrossRef] [PubMed]
- Jendrassik, L. Vereinfachte Photometrische Methoden zur Bestimmung des Blutbilirubins. Biochem. Z. 1938, 297, 81–89. [Google Scholar]
- Bancroft, J.; Stevens, A. Theory and Practice of Histological Techniques, 3rd ed.; Churchill Livingstone: Edinburgh, NY, USA, 1990. [Google Scholar]
- SAS. Guide, S.U. Statistics, System for Windows, Version 4.10; release 8.01 TS level 01M0; SAS Inst. Inc.: Cary, NC, USA, 1996. [Google Scholar]
- Snedecor, G.W.; Cochran, W.G. Statistical Methods; Iowa State University Press: Ames, IA, USA, 1980. [Google Scholar]
- Atkinson Jr, R.L.; Butterfield, G.; Dietz, W.; Fernstrom, J.; Frank, A.; Hansen, B.; Moore, B. Weight Management: State of the Science and Opportunities for Military Programs; The National Academies Press: Washington, DC, USA, 2003. [Google Scholar] [CrossRef]
- Rakhra, V.; Galappaththy, S.L.; Bulchandani, S.; Cabandugama, P.K.J.M. Obesity and the western diet: How we got here. Mo. Med. 2020, 117, 536. [Google Scholar]
- Waddell, I.S.; Orfila, C. Dietary Fiber in the Prevention of Obesity and Obesity-Related Chronic Diseases: From Epidemiological Evidence to Potential Molecular Mechanisms. Crit. Rev. Food Sci. Nutr. 2022, 26, 1–16. [Google Scholar] [CrossRef] [PubMed]
- Jovanovski, E.; Mazhar, N.; Komishon, A.; Khayyat, R.; Li, D.; Blanco Mejia, S.; Khan, T.; Jenkins, A.L.; Smircic-Duvnjak, L.; Sievenpiper, J.L.; et al. Effect of Viscous Fiber Supplementation on Obesity Indicators in Individuals Consuming Calorie-Restricted Diets: A Systematic Review and Meta-Analysis of Randomized Controlled Trials. Eur. J. Nutr. 2021, 60, 101–112. [Google Scholar] [CrossRef]
- Gressier, M.; Frost, G. Minor Changes in Fibre Intake in The Uk Population Between 2008/2009 And 2016/2017. Eur. J. Clin. Nutr. 2022, 76, 322–327. [Google Scholar] [CrossRef]
- Mostafa, H.S. Assessment of the Caffeine-Containing Beverages Available in the Local Markets, and Development of A Real Energy Drink Based on the Date Fruit. Food Sci. Technol. 2021, 42, 1–6. [Google Scholar] [CrossRef]
- Safdar, M.N.; Baig, U.Y.; Riaz, M.M.; Mumtaz, A.; Jabbar, S.; E-Zehra, D.; Ur-Rehman, N.; Ahmad, Z.; Malik, H.; Yousaf, S. Extraction of Polyphenols from Different Herbs for the Development of Functional Date Bars. Food Sci. Technol. 2021, 42, 1–8. [Google Scholar] [CrossRef]
- Raben, A.; Christensen, N.J.; Madsen, J.; Holst, J.J.; Astrup, A. Decreased Postprandial Thermogenesisand Fat Oxidation But Increased Fullness after A High-Fiber Meal Compared with A Low-Fiber Meal. Am. J. Clin. Nutr. 1994, 59, 1386–1394. [Google Scholar] [CrossRef] [PubMed]
- Bano, Y.; Rakha, A.; Khan, M.I.; Asgher, M. Chemical Composition and Antioxidant Activity of Date (Phoenix dactylifera L.) Varieties at Various Maturity Stages. Food Sci. Technol. 2022, 42, 1–11. [Google Scholar] [CrossRef]
- Ta, N.T.; Ngo, H.T.T.; Nguyen, P.M.; Truong, T.T.; Nguyen, G.H.; Dinh, H.T.D.; Nguyen, L.T.; Le, H.T.; Nguyen, K.C.; Yamamoto, S. Effectiveness of Textured Soybean Protein on Blood Biochemistry in Vietnamese Type 2 Diabetes Mellitus Patients. J. Nutr. Sci. Vitaminol. 2022, 68, 32–38. [Google Scholar] [PubMed]
- Jenkins, D.J.; Kendall, C.W.; Axelsen, M.; Augustin, L.S.; Vuksan, V. Viscous and Nonviscous Fibres, Nonabsorbable and Low Glycaemic Index Carbohydrates, Blood Lipids and Coronary Heart Disease. Curr. Opin. Lipidol. 2000, 11, 49–56. [Google Scholar]
- Bruce, B.; Spiller, G.A.; Klevay, L.M.; Gallagher, S.K. A diet High in Whole and Unrefined Foods Favorably Alters Lipids, Antioxidant Defenses, and Colon Function. J. Am. Coll. Nutr. 2000, 19, 61–67. [Google Scholar]
- Muataz-E, M.; Rehab-M, B.; Osama-M, O.; Mohamed-D, M.; Amr-M, A.; Salah-Omer, B.; Amal-M, S. Función Preventiva de la Administración de Goma Arábiga en la Enfermedad Renal Diabética Inducida por STZ en Ratas; Antioxidante Renal y Evidencia Histopatológica. J. Morphol. 2020, 38, 1003–1009. [Google Scholar]
- Dhananjayan, I.; Kathiroli, S.; Subramani, S.; Veerasamy, V. Ameliorating Effect of Betanin, A Natural Chromoalkaloid by Modulating Hepatic Carbohydrate Metabolic Enzyme Activities and Glycogen Content In Streptozotocin–Nicotinamide Induced Experimental Rats. Biomed. Pharmacother. 2017, 88, 1069–1079. [Google Scholar] [CrossRef]
- García-Carro, C.; Vergara, A.; Bermejo, S.; Azancot, M.A.; Sellarés, J.; Soler, M.J. A Nephrologist Perspective on Obesity: From Kidney Injury to Clinical Management. Front. Med. 2021, 8, 655871. [Google Scholar]
- Xu, T.; Sheng, Z.; Yao, L. Obesity-Related Glomerulopathy: Pathogenesis, Pathologic, Clinical Characteristics and Treatment. Front. Med. 2017, 11, 340–348. [Google Scholar]
- Zhang, X.; Lerman, L.O. Obesity and Renovascular Disease. Am. J. Physiol. Renal Physiol. 2015, 309, F273–F279. [Google Scholar] [CrossRef]
- Câmara, N.O.S.; Iseki, K.; Kramer, H.; Liu, Z.-H.; Sharma, K. Kidney Disease and Obesity: Epidemiology, Mechanisms and Treatment. Nat. Rev. Nephrol. 2017, 13, 181–190. [Google Scholar] [CrossRef] [PubMed]
- Lakicevic, N.; Paoli, A.; Roklicer, R.; Trivic, T.; Korovljev, D.; Ostojic, S.M.; Proia, P.; Bianco, A.; Drid, P. Effects of Rapid Weight Loss on Kidney Function in Combat Sport Athletes. Medicina 2021, 57, 551. [Google Scholar] [CrossRef] [PubMed]
- Mrabet, A.; Hammadi, H.; Rodríguez-Gutiérrez, G.; Jiménez-Araujo, A.; Sindic, M. Date Palm Fruits as a Potential Source of Functional Dietary Fiber: A Review. Food Sci. Technol. Res. 2019, 25, 1–10. [Google Scholar] [CrossRef]

| Animal Groups | NBD for 7 Days | HFD for 4 Weeks | Different Diets |
|---|---|---|---|
| Non-obese rats (C − ve; G1) | Yes | No | NBD |
| Obese on a normal diet (C + ve; G2) | Yes | Yes | NBD |
| Obese rats on Orlistat; G3 | Yes | Yes | NBD + Orlistat |
| Obese rats on diet 1; G4 | Yes | Yes | NBD + 10% biscuit (5% DF) |
| Obese rats on diet 2; G5 | Yes | Yes | NBD + 10% biscuit (10% DF) |
| Obese rats on diet 3; G6 | Yes | Yes | NBD + 10% biscuit (15% DF) |
| Animal Groups | Initial BW (gm) | Final BW (gm) | Differences (Final-Initial) BW (gm) | p-Value |
|---|---|---|---|---|
| Non-obese rats (C − ve; G1) | 136.33 ± 2.72 b | 134.67 ± 2.60 d | −1.67 | 0.000 |
| Obese on normal diet (C + ve; G2) | 221.00 ± 1.00 a | 237.00 ± 2.52 a | 16.00 | |
| Obese rats on Orlistat; G3 | 220.00 ± 1.53 a | 131.00 ± 0.58 d | −89.00 | |
| Obese rats on diet 1; G4 | 219.00 ± 0.57 a | 251.00 ± 1.02 b | −32.00 | |
| Obese rats on diet 2; G5 | 219.33 ± 1.20 a | 232.67 ± 0.88 d | −13.34 | |
| Obese rats on diet 3; G6 | 218.67 ± 0.67 a | 144.33 ± 2.85 c | −74.34 |
| Animal Groups | Initial Glucose Levels (mg/dL) | Final Glucose Levels (mg/dL) | Differences (Final- Initial; mg/dL) | % Relative Change (G2; C + ve) |
|---|---|---|---|---|
| Non-obese rats (C − ve; G1) | 107.00 ± 1.03 d | 106.67 ± 0.89 c | −0.33 | −58.76 |
| Obese normal diet (C + ve; G2) | 255.33 ± 1.67 a | 258.67 ± 0.69 a | 3.33 | 0.00 |
| Obese rats on Orlistat; G3 | 249.67 ± 4.71 ab | 104.67 ± 0.76 c | −145.00 | −59.54 |
| Obese rats on diet 1; G4 | 240.67 ± 3.72 c | 137.33 ± 0.66 b | −103.33 | −46.91 |
| Obese rats on diet 2; G5 | 244.33 ± 1.75 bc | 110.33 ± 2.40 c | −134.00 | −57.35 |
| Obese rats on diet 3; G6 | 245.67 ± 3.21 bc | 109.00 ± 0.37 c | −135.33 | −57.86 |
| Animal Groups | Lipid Profile Levels (mg/dL) | ||||
|---|---|---|---|---|---|
| TCHO | TrGs | v-LDL | LDL | HDL | |
| Non-obese rats (C − ve; G1) | 153.77 ± 1.81 b | 124.17 ± 2.01 c | 30.75 ± 0.36 b | 92.41 ± 4.29 b | 36.53 ± 3.03 c |
| Obese normal diet (C + ve; G2) | 238.37 ± 0.38 a | 199.07 ± 1.24 a | 47.67 ± 0.08 a | 135.99 ± 1.05 a | 62.57 ± 0.47 a |
| Obese rats on Orlistat; G3 | 146.60 ± 0.78 c | 123.90 ± 0.80 c | 29.32 ± 0.16 c | 84.32 ± 0.17 c | 37.50 ± 0.87 c |
| Obese rats on diet 1; G4 | 157.33 ± 1.45 b | 149.43 ± 0.29 b | 31.47 ± 0.29 b | 80.58 ± 1.39 c | 46.87 ± 1.07 b |
| Obese rats on diet 2; G5 | 148.23 ± 0.81 c | 145.30 ± 2.49 b | 29.64 ± 0.16 c | 81.67 ± 0.46 c | 37.50 ± 0.62 c |
| Obese rats on diet 3; G6 | 157.17 ± 1.63 b | 146.67 ± 1.34 b | 31.43 ± 0.33 b | 87.87 ± 3.72 bc | 39.97 ± 2.26 c |
| Animal Groups | Kidney (mg/dL) | Liver Functions (mg/dL) | ||
|---|---|---|---|---|
| Urea | Creatinine | AST | ALT | |
| Non-obese rats (C − ve; G1) | 24.00 ± 2.08 c | 0.50 ± 0.01 d | 42.41 ± 1.62 d | 66.31 ± 0.41 e |
| Obese normal diet (C + ve; G2) | 42.33 ± 1.45 a | 1.24 ± 0.01 a | 120.80 ± 2.60 a | 104.60 ± 1.63 a |
| Obese rats on Orlistat; G3 | 26.80 ± 0.70 c | 0.52 ± 0.02 d | 45.73 ± 1.42 d | 64.73 ± 2.92 de |
| Obese rats on diet 1; G4 | 37.00 ± 1.53 b | 0.94 ± 0.03 b | 87.87 ± 1.37 b | 80.51 ± 3.25 b |
| Obese rats on diet 2; G5 | 32.67 ± 1.20 b | 0.78 ± 0.02 c | 52.30 ± 0.61 c | 72.65 ± 2.07 d |
| Obese rats on diet 3; G6 | 32.33 ± 1.86 b | 0.67 ± 0.09 c | 65.83 ± 2.02 c | 74.03 ± 1.38 c |
Publisher’s Note: MDPI stays neutral with regard to jurisdictional claims in published maps and institutional affiliations. |
© 2022 by the authors. Licensee MDPI, Basel, Switzerland. This article is an open access article distributed under the terms and conditions of the Creative Commons Attribution (CC BY) license (https://creativecommons.org/licenses/by/4.0/).
Share and Cite
Aljutaily, T.; Elbeltagy, A.; Ali, A.A.; Gadallah, M.G.E.; Khalil, N.A. Anti-Obesity Effects of Formulated Biscuits Supplemented with Date’s Fiber; Agro-Waste Products Used as a Potent Functional Food. Nutrients 2022, 14, 5315. https://doi.org/10.3390/nu14245315
Aljutaily T, Elbeltagy A, Ali AA, Gadallah MGE, Khalil NA. Anti-Obesity Effects of Formulated Biscuits Supplemented with Date’s Fiber; Agro-Waste Products Used as a Potent Functional Food. Nutrients. 2022; 14(24):5315. https://doi.org/10.3390/nu14245315
Chicago/Turabian StyleAljutaily, Thamer, Alaa Elbeltagy, Asmahan A. Ali, Mohamed G. E. Gadallah, and Nazeha A. Khalil. 2022. "Anti-Obesity Effects of Formulated Biscuits Supplemented with Date’s Fiber; Agro-Waste Products Used as a Potent Functional Food" Nutrients 14, no. 24: 5315. https://doi.org/10.3390/nu14245315
APA StyleAljutaily, T., Elbeltagy, A., Ali, A. A., Gadallah, M. G. E., & Khalil, N. A. (2022). Anti-Obesity Effects of Formulated Biscuits Supplemented with Date’s Fiber; Agro-Waste Products Used as a Potent Functional Food. Nutrients, 14(24), 5315. https://doi.org/10.3390/nu14245315

