Low Aerobic Capacity Accelerates Lipid Accumulation and Metabolic Abnormalities Caused by High-Fat Diet-Induced Obesity in Postpartum Mice
Abstract
1. Introduction
2. Materials and Methods
2.1. Materials
2.2. Animals and Experimental Design
2.3. Exercise Endurance Performance Test
2.4. Oral Glucose Tolerance Test (OGTT)
2.5. Tissue Sample Preparation and Histopathology
2.6. Hepatic Lipid Profile and Glycogen Assay
2.7. Measurement of Biochemical Parameters
2.8. Statistical Analysis
3. Results
3.1. Animal Characteristics and Phenotype
3.2. Tissue Weight and Morphological Examination
3.3. Exercise Endurance Performance Test with HAEC and LAEC Postpartum Mice
3.4. OGTT Glucose Level of HAEC and LAEC Postpartum Mice
3.5. Glycogen of HAEC and LAEC Postpartum Mice
3.6. Hepatic TG and TC Levels of HAEC and LAEC Postpartum Mice
3.7. Blood Lipid Index of HAEC and LAEC Postpartum Mice
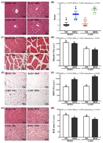
3.8. Tissue Histology of HAEC and LAEC Postpartum Mice
4. Discussion
5. Conclusions
Author Contributions
Funding
Institutional Review Board Statement
Informed Consent Statement
Data Availability Statement
Acknowledgments
Conflicts of Interest
References
- Chauhan, G.; Tadi, P. Physiology, Postpartum Changes. In StatPearls [Internet]; StatPearls Publishing: Treasure Island, FL, USA, 2020. [Google Scholar]
- Romano, M.; Cacciatore, A.; Giordano, R.; La Rosa, B. Postpartum period: Three distinct but continuous phases. J. Prenat. Med. 2010, 4, 22–25. [Google Scholar] [PubMed]
- Cohen, A.K.; Chaffee, B.W.; Rehkopf, D.H.; Coyle, J.R.; Abrams, B. Excessive gestational weight gain over multiple pregnancies and the prevalence of obesity at age 40. Int. J. Obes. 2014, 38, 714–718. [Google Scholar] [CrossRef] [PubMed]
- Mannan, M.; Doi, S.A.; Mamun, A.A. Association between weight gain during pregnancy and postpartum weight retention and obesity: A bias-adjusted meta-analysis. Nutr. Rev. 2013, 71, 343–352. [Google Scholar] [CrossRef] [PubMed]
- Linné, Y.; Dye, L.; Barkeling, B.; Rössner, S. Long-term weight development in women: A 15-year follow-up of the effects of pregnancy. Obes. Res. 2004, 12, 1166–1178. [Google Scholar] [CrossRef]
- Makama, M.; Skouteris, H.; Moran, L.J.; Lim, S. Reducing Postpartum Weight Retention: A Review of the Implementation Challenges of Postpartum Lifestyle Interventions. J. Clin. Med. 2021, 10, 1891. [Google Scholar] [CrossRef] [PubMed]
- Rooney, B.L.; Schauberger, C.W.; Mathiason, M.A. Impact of perinatal weight change on long-term obesity and obesity-related illnesses. Obstet. Gynecol. 2005, 106, 1349–1356. [Google Scholar] [CrossRef]
- Bray, M.S. Genomics, genes, and environmental interaction: The role of exercise. J. Appl. Physiol. 2000, 88, 788–792. [Google Scholar] [CrossRef]
- Luan, X.; Tian, X.; Zhang, H.; Huang, R.; Li, N.; Chen, P.; Wang, R. Exercise as a prescription for patients with various diseases. J. Sport Health Sci. 2019, 8, 422–441. [Google Scholar] [CrossRef]
- Bouchard, C.; An, P.; Rice, T.; Skinner, J.S.; Wilmore, J.H.; Gagnon, J.; Pérusse, L.; Leon, A.S.; Rao, D.C. Familial aggregation of VO(2max) response to exercise training: Results from the HERITAGE Family Study. J. Appl. Physiol. 1999, 87, 1003–1008. [Google Scholar] [CrossRef]
- Morris, E.M.; Meers, G.M.E.; Ruegsegger, G.N.; Wankhade, U.D.; Robinson, T.; Koch, L.G.; Britton, S.L.; Rector, R.S.; Shankar, K.; Thyfault, J.P. Intrinsic High Aerobic Capacity in Male Rats Protects Against Diet-Induced Insulin Resistance. Endocrinology 2019, 160, 1179–1192. [Google Scholar] [CrossRef]
- Koch, L.G.; Britton, S.L.; Wisloff, U. A rat model system to study complex disease risks, fitness, aging, and longevity. Trends Cardiovasc. Med. 2005, 22, 29–34. [Google Scholar] [CrossRef] [PubMed]
- Koch, L.G.; Britton, S.L. Divergent selection for aerobic capacity in rats as a model for complex disease. Integr. Comp. Biol. 2005, 45, 405–415. [Google Scholar] [CrossRef] [PubMed]
- Matthew Morris, E.; Meers, G.M.; Koch, L.G.; Britton, S.L.; MacLean, P.S.; Thyfault, J.P. Increased aerobic capacity reduces susceptibility to acute high-fat diet-induced weight gain. Obesity 2016, 24, 1929–1937. [Google Scholar] [CrossRef] [PubMed]
- Booth, F.W.; Gordon, S.E.; Carlson, C.J.; Hamilton, M.T. Waging war on modern chronic diseases: Primary prevention through exercise biology. J. Appl. Physiol. 2000, 88, 774–787. [Google Scholar] [CrossRef]
- Hawley, J.A.; Spargo, F.J. It’s all in the genes, so pick your parents wisely. J. Appl. Physiol. 2006, 100, 1751–1752. [Google Scholar] [CrossRef]
- Wisløff, U.; Najjar, S.M.; Ellingsen, Ø.; Haram, P.M.; Swoap, S.; Al-Share, Q.; Britton, S.L. Cardiovascular risk factors emerge after artificial selection for low aerobic capacity. Science 2005, 307, 418–420. [Google Scholar] [CrossRef]
- Huang, W.C.; Hsu, Y.J.; Wei, L.; Chen, Y.J.; Huang, C.C. Association of physical performance and biochemical profile of mice with intrinsic endurance swimming. Int. J. Med. Sci. 2016, 13, 892. [Google Scholar] [CrossRef]
- LeBrasseur, N.K.; Schelhorn, T.M.; Bernardo, B.L.; Cosgrove, P.G.; Loria, P.M.; Brow, T.A. Myostatin inhibition enhances the effects of exercise on performance and metabolic outcomes in aged mice. J. Gerontol. A Biol. Sci. Med. Sci. 2009, 64, 940–948. [Google Scholar] [CrossRef]
- Hsu, Y.J.; Chiu, C.C.; Lee, M.C.; Huang, W.C. Combination of Treadmill Aerobic Exercise with Bifidobacterium longum OLP-01 Supplementation for Treatment of High-Fat Diet-Induced Obese Murine Model. Obes. Facts 2021, 14, 306–319. [Google Scholar] [CrossRef]
- Kan, N.W.; Lee, M.C.; Tung, Y.T.; Chiu, C.C.; Huang, C.C.; Huang, W.C. The Synergistic Effects of Resveratrol combined with Resistant Training on Exercise Performance and Physiological Adaption. Nutrients 2018, 10, 1360. [Google Scholar] [CrossRef]
- Allison, D.B.; Paultre, F.; Maggio, C.; Mezzitis, N.; Pi-Sunyer, F.X. The use of areas under curves in diabetes research. Diabetes Care 1995, 18, 245–250. [Google Scholar] [CrossRef] [PubMed]
- Le Floch, J.P.; Escuyer, P.; Baudin, E.; Baudon, D.; Perlemuter, L. Blood glucose area under the curve. Methodological aspects. Diabetes Care 1990, 13, 172–175. [Google Scholar] [CrossRef] [PubMed]
- Ren, Y.Y.; Overmyer, K.A.; Qi, N.R.; Treutelaar, M.K.; Heckenkamp, L.; Kalahar, M.; Koch, L.G.; Britton, S.L.; Burant, C.F.; Li, J.Z. Genetic analysis of a rat model of aerobic capacity and metabolic fitness. PLoS ONE 2013, 8, e77588. [Google Scholar]
- Ritchie, R.H.; Leo, C.H.; Qin, C.; Stephenson, E.J.; Bowden, M.A.; Buxton, K.D.; Lessard, S.J.; Rivas, D.A.; Koch, L.G.; Britton, S.L.; et al. Low intrinsic exercise capacity in rats predisposes to age-dependent cardiac remodeling independent of macrovascular function. Am. J. Physiol. Heart Circ. Physiol. 2013, 304, H729–H739. [Google Scholar] [CrossRef]
- Lutfi, M.F. The physiological basis and clinical significance of lung volume measurements. Multidiscip. Respir. Med. 2017, 12, 3. [Google Scholar] [CrossRef]
- Park, Y.M.; Kanaley, J.A.; Zidon, T.M.; Welly, R.J.; Scroggins, R.J.; Britton, S.L.; Koch, L.G.; Thyfault, J.P.; Booth, F.W.; Padilla, J.; et al. Ovariectomized high fit rats are protected against diet-induced insulin resistance. Med. Sci. Sports Exerc. 2016, 48, 1259. [Google Scholar] [CrossRef]
- Qiao, L.; Wattez, J.S.; Lee, S.; Nguyen, A.; Schaack, J.; Hay, W.W., Jr.; Shao, J. Adiponectin Deficiency Impairs Maternal Metabolic Adaptation to Pregnancy in Mice. Diabetes 2017, 66, 1126–1135. [Google Scholar] [CrossRef]
- Jang, I.; Hwang, D.; Lee, J.; Chae, K.; Kim, Y.; Kang, T.; Kim, C.; Shin, D.; Hwang, J.; Huh, Y.; et al. Physiological difference between dietary obesity-susceptible and obesity-resistant Sprague Dawley rats in response to moderate high fat diet. Exp. Anim. 2003, 52, 99–107. [Google Scholar] [CrossRef]
- Levin, B.E.; Triscari, J.; Hogan, S.; Sullivan, A.C. Resistance to diet-induced obesity: Food intake, pancreatic sympathetic tone, and insulin. Am. J. Physiol. 1987, 252 Pt 2, R471–R478. [Google Scholar] [CrossRef]
- Volcko, K.L.; Carroll, Q.E.; Brakey, D.J.; Daniels, D. High-fat diet alters fluid intake without reducing sensitivity to glucagon-like peptide-1 receptor agonist effects. Physiol. Behav. 2020, 221, 112910. [Google Scholar] [CrossRef]
- Gai, Z. Genome-wide profiling to analyze the effects of high fat diet induced obesity on renal gene expression in mouse with reduced renal mass. Genom. Data 2014, 2, 42–43. [Google Scholar] [CrossRef] [PubMed]
- Altunkaynak, M.E.; Ozbek, E.; Altunkaynak, B.Z.; Can, I.; Unal, D.; Unal, B. The effects of high-fat diet on the renal structure and morphometric parametric of kidneys in rats. J. Anat. 2008, 212, 845–852. [Google Scholar] [CrossRef]
- Huang, K.; Huang, Y.; Frankel, J.; Addis, C.; Jaswani, L.; Wehner, P.S.; Mangiarua, E.I.; McCumbee, W.D. The short-term consumption of a moderately high-fat diet alters nitric oxide bioavailability in lean female Zucker rats. Can. J. Physiol. Pharmacol. 2011, 89, 245–257. [Google Scholar] [CrossRef] [PubMed]
- Flatt, J.P.; Ravussin, E.; Acheson, K.J.; Jequier, E. Effects of dietary fat on postprandial substrate oxidation and on carbohydrate and fat balances. J. Clin. Investig. 1985, 76, 1019–1024. [Google Scholar] [CrossRef] [PubMed]
- Wang, J.; Alexander, J.T.; Zheng, P.; Yu, H.J.; Dourmashkin, J.; Leibowitz, S.F. Behavioral and endocrine traits of obesity-prone and obesity-resistant rats on macronutrient diets. Am. J. Physiol. 1998, 274, E1057–E1066. [Google Scholar] [CrossRef] [PubMed]
- Eshima, H.; Tamura, Y.; Kakehi, S.; Kurebayashi, N.; Murayama, T.; Nakamura, K.; Kakigi, R.; Okada, T.; Sakurai, T.; Kawamori, R.; et al. Long-term, but not short-term high-fat diet induces fiber composition changes and impaired contractile force in mouse fast-twitch skeletal muscle. Physiol. Rep. 2017, 5, e13250. [Google Scholar] [CrossRef]
- Messa, G.A.M.; Piasecki, M.; Hurst, J.; Hill, C.; Tallis, J.; Degens, H. The impact of a high-fat diet in mice is dependent on duration and age, and differs between muscles. J. Exp. Biol. 2020, 223 Pt 6, jeb217117. [Google Scholar] [CrossRef]
- Spargo, F.J.; McGee, S.L.; Dzamko, N.; Watt, M.J.; Kemp, B.E.; Britton, S.L.; Koch, L.G.; Hargreaves, M.; Hawley, J.A. Dysregulation of muscle lipid metabolism in rats selectively bred for low aerobic running capacity. Am. J. Physiol. Endocrinol. Metab. 2007, 292, E1631–E1636. [Google Scholar] [CrossRef][Green Version]
- Morris, E.M.; Meers, G.M.; Koch, L.G.; Britton, S.L.; Fletcher, J.A.; Fu, X.; Shankar, K.; Burgess, S.C.; Ibdah, J.A.; Rector, R.S.; et al. Aerobic capacity and hepatic mitochondrial lipid oxidation alters susceptibility for chronic high-fat diet-induced hepatic steatosis. Am. J. Physiol. Endocrinol. Metab. 2016, 311, E749–E760. [Google Scholar] [CrossRef]
- Muoio, D.M. Intramuscular triacylglycerol and insulin resistance: Guilty as charged or wrongly accused? Biochim. Biophys. Acta 2010, 1801, 281–288. [Google Scholar] [CrossRef]
- Thyfault, J.P.; Rector, R.S.; Uptergrove, G.M.; Borengasser, S.J.; Morris, E.M.; Wei, Y.; Laye, M.J.; Burant, C.F.; Qi, N.R.; Ridenhour, S.E.; et al. Rats selectively bred for low aerobic capacity have reduced hepatic mitochondrial oxidative capacity and susceptibility to hepatic steatosis and injury. J. Physiol. 2009, 587 Pt 8, 1805–1816. [Google Scholar] [CrossRef] [PubMed]
- Thyfault, J.P.; Morris, E.M. Intrinsic (Genetic) Aerobic Fitness Impacts Susceptibility for Metabolic Disease. Exerc. Sport Sci. Rev. 2017, 45, 7–15. [Google Scholar] [CrossRef] [PubMed]
- Kelley, D.E.; Goodpaster, B.H.; Storlien, L. Muscle triglyceride and insulin resistance. Annu. Rev. Nutr. 2002, 22, 325–346. [Google Scholar] [CrossRef]
- Noland, R.C.; Thyfault, J.P.; Henes, S.T.; Whitfield, B.R.; Woodlief, T.L.; Evans, J.R.; Lust, J.A.; Britton, S.L.; Koch, L.G.; Dudek, R.W.; et al. Artificial selection for high-capacity endurance running is protective against high-fat diet-induced insulin resistance. Am. J. Physiol. Endocrinol. Metab. 2007, 293, E31–E41. [Google Scholar] [CrossRef] [PubMed]
- Muoio, D.M.; Newgard, C.B. Obesity-related derangements in metabolic regulation. Annu. Rev. Nutr. 2006, 75, 367–401. [Google Scholar] [CrossRef]
- Randle, P.J. Regulatory interactions between lipids and carbohydrates: The glucose fatty acid cycle after 35 years. Diabetes Metab. Res. Rev. 1998, 14, 263–283. [Google Scholar] [CrossRef]
- Rivas, D.A.; Lessard, S.J.; Saito, M.; Friedhuber, A.M.; Koch, L.G.; Britton, S.L.; Yaspelkis, B.B., 3rd; Hawley, J.A. Low intrinsic running capacity is associated with reduced skeletal muscle substrate oxidation and lower mitochondrial content in white skeletal muscle. Am. J. Physiol. Regul. Integr. Comp. Physiol. 2011, 300, R835–R843. [Google Scholar] [CrossRef]
- Groop, L.; Orho-Melander, M. New insights into impaired muscle glycogen synthesis. PLOS Med. 2008, 5, e25. [Google Scholar] [CrossRef]
- Park, S.S.; Seo, Y.K. Excess Accumulation of Lipid Impairs Insulin Sensitivity in Skeletal Muscle. Int. J. Mol. Sci. 2020, 21, 1949. [Google Scholar] [CrossRef]
- Tung, Y.T.; Hsu, Y.J.; Liao, C.C.; Ho, S.T.; Huang, C.C.; Huang, W.C. Physiological and Biochemical Effects of Intrinsically High and Low Exercise Capacities Through Multiomics Approaches. Front. Physiol. 2019, 10, 1201. [Google Scholar] [CrossRef]
- Ji, S.; Li, W.; Bao, L.; Han, P.; Yang, W.; Ma, L.; Meng, F.; Cao, B. PU.1 promotes miR-191 to inhibit adipogenesis in 3T3-L1 preadipocytes. Biochem. Biophys. Res. Commun. 2014, 451, 329–333. [Google Scholar] [CrossRef] [PubMed]
- Van Caenegem, E.; Wierckx, K.; Taes, Y.; Schreiner, T.; Vandewalle, S.; Toye, K.; Lapauw, B.; Kaufman, J.M.; T’Sjoen, G. Body composition, bone turnover, and bone mass in trans men during testosterone treatment: 1-year follow-up data from a prospective case-controlled study (ENIGI). Eur. J. Endocrinol. 2015, 172, 163–171. [Google Scholar] [CrossRef] [PubMed]







| Characteristic | HAEC-ND | HAEC-HFD | LAEC-ND | LAEC-HFD | p Value (Main Effect of) | ||
|---|---|---|---|---|---|---|---|
| AEC | HFD | Interaction (AEC × HFD) | |||||
| Swimming capacity at 6th week of age (min) | 163.67 ± 4.67 a | 164.00 ± 4.62 a | 4.22 ± 0.33 b | 4.32 ± 0.24 b | <0.0001 | 0.7812 | 0.4901 |
| Initial BW (g) | 39.9 ± 1.0 a | 41.4 ± 1.2 a | 44.8 ± 0.8 b | 44.0 ± 0.9 b | <0.0001 | 0.0902 | 0.2177 |
| Final BW (g) | 34.1 ± 0.6 a | 43.0 ± 1.5 b | 40.3 ± 0.7 b | 52.8 ± 3.2 c | 0.0003 | <0.0001 | 0.4122 |
| Water intake (mL/mouse/day) | 9.35 ± 0.14 b | 4.42 ± 0.23 a | 9.10 ± 0.34 b | 4.09 ± 0.08 a | 0.2272 | <0.0001 | 0.8269 |
| Diet intake (g/mouse/day) | 5.47 ± 0.07 c | 3.44 ± 0.08 a | 6.24 ± 0.10 d | 4.01 ± 0.07 b | <0.0001 | <0.0001 | 0.2039 |
| Kcal intake (g/mouse/day) | 18.22 ± 0.24 a | 17.67 ± 0.42 a | 20.92 ± 0.32 b | 20.57 ± 0.34 b | <0.0001 | 0.1260 | 0.6079 |
| Calorie efficiency (%) | −0.42 ± 0.16 a | 0.13 ± 0.27 b | −0.28 ± 0.11 a | 0.52 ± 0.51 c | 0.1016 | <0.0001 | 0.4306 |
| Characteristic | HAEC-ND | HAEC-HFD | LAEC-ND | LAEC-HFD | p Value (Main Effect of) | ||
|---|---|---|---|---|---|---|---|
| AEC | HFD | Interaction (AEC × HFD) | |||||
| Liver (g) | 0.54 ± 0.01 a | 0.68 ± 0.02 bc | 0.64 ± 0.03 ab | 0.78 ± 0.07 c | 0.0251 | 0.0011 | 0.9624 |
| Kidney (g) | 0.49 ± 0.03 ab | 0.42 ± 0.02 a | 0.58 ± 0.03 c | 0.50 ± 0.02 b | 0.0003 | 0.0057 | 0.478 |
| Perirenal fat paid (g) | 0.16 ± 0.03 a | 1.04 ± 0.13 b | 0.22 ± 0.03 a | 1.47 ± 0.30 b | 0.2262 | <0.0001 | 0.2648 |
| Mesenteric fat (g) | 0.85 ± 0.05 a | 1.58 ± 0.12 b | 1.10 ± 0.06 a | 2.16 ± 0.29 c | 0.02 | <0.0001 | 0.4103 |
| Ovarian fat paid (g) | 0.24 ± 0.03 a | 1.32 ± 0.21 b | 0.32 ± 0.04 a | 2.04 ± 0.40 c | 0.129 | <0.0001 | 0.2059 |
| Muscle (g) | 0.35 ± 0.01 a | 0.40 ± 0.01 b | 0.37 ± 0.01 a | 0.40 ± 0.01 b | 0.5257 | 0.0006 | 0.2945 |
| Heart (g) | 0.21 ± 0.01 a | 0.21 ± 0.01 a | 0.25 ± 0.01 b | 0.24 ± 0.01 ab | 0.0131 | 0.5491 | 0.7435 |
| Lung (g) | 0.27 ± 0.01 a | 0.28 ± 0.01 a | 0.37 ± 0.03 b | 0.40 ± 0.02 b | <0.001 | 0.371 | 0.5826 |
| BAT (g) | 0.08 ± 0.01 a | 0.09 ± 0.01 ab | 0.10 ± 0.01 b | 0.11 ± 0.01 b | 0.0057 | 0.135 | 0.4721 |
| Liver (%) | 1.47 ± 0.02 a | 1.86 ± 0.05 bc | 1.73 ± 0.09 ab | 2.13 ± 0.18 c | 0.0249 | 0.001 | 0.9488 |
| Kidney (%) | 1.35 ± 0.07 ab | 1.15 ± 0.05 a | 1.58 ± 0.08 c | 1.36 ± 0.05 b | 0.0003 | 0.006 | 0.4776 |
| Perirenal fat paid (%) | 0.45 ± 0.09 a | 2.83 ± 0.34 b | 0.61 ± 0.09 a | 4.01 ± 0.81 b | 0.227 | <0.0001 | 0.2654 |
| Mesenteric fat (%) | 2.31 ± 0.13 a | 4.31 ± 0.34 b | 3.00 ± 0.15 a | 5.89 ± 0.80 c | 0.1286 | <0.0001 | 0.2066 |
| Ovarian fat paid (%) | 0.64 ± 0.23 a | 3.60 ± 0.58 b | 0.86 ± 0.10 a | 5.55 ± 1.10 c | 0.1286 | <0.0001 | 0.2066 |
| Muscle (%) | 0.96 ± 0.34 a | 1.10 ± 0.03 b | 1.02 ± 0.01 a | 1.09 ± 0.03 b | 0.5193 | 0.0005 | 0.2984 |
| Heart (%) | 0.58 ± 0.21 ab | 0.57 ± 0.02 a | 0.67 ± 0.03 b | 0.64 ± 0.03 ab | 0.0144 | 0.4989 | 0.7733 |
| Lung (%) | 0.73 ± 0.26 a | 0.76 ± 0.03 a | 1.00 ± 0.09 b | 1.09 ± 0.06 b | <0.001 | 0.3692 | 0.5667 |
| BAT (%) | 0.21 ± 0.07 a | 0.25 ± 0.02 ab | 0.28 ± 0.02 b | 0.29 ± 0.02 b | 0.0144 | 0.1832 | 0.5193 |
Publisher’s Note: MDPI stays neutral with regard to jurisdictional claims in published maps and institutional affiliations. |
© 2022 by the authors. Licensee MDPI, Basel, Switzerland. This article is an open access article distributed under the terms and conditions of the Creative Commons Attribution (CC BY) license (https://creativecommons.org/licenses/by/4.0/).
Share and Cite
Lee, M.-C.; Hsu, Y.-J.; Sung, H.-C.; Wen, Y.-T.; Wei, L.; Huang, C.-C. Low Aerobic Capacity Accelerates Lipid Accumulation and Metabolic Abnormalities Caused by High-Fat Diet-Induced Obesity in Postpartum Mice. Nutrients 2022, 14, 3746. https://doi.org/10.3390/nu14183746
Lee M-C, Hsu Y-J, Sung H-C, Wen Y-T, Wei L, Huang C-C. Low Aerobic Capacity Accelerates Lipid Accumulation and Metabolic Abnormalities Caused by High-Fat Diet-Induced Obesity in Postpartum Mice. Nutrients. 2022; 14(18):3746. https://doi.org/10.3390/nu14183746
Chicago/Turabian StyleLee, Mon-Chien, Yi-Ju Hsu, Hsin-Ching Sung, Ya-Ting Wen, Li Wei, and Chi-Chang Huang. 2022. "Low Aerobic Capacity Accelerates Lipid Accumulation and Metabolic Abnormalities Caused by High-Fat Diet-Induced Obesity in Postpartum Mice" Nutrients 14, no. 18: 3746. https://doi.org/10.3390/nu14183746
APA StyleLee, M.-C., Hsu, Y.-J., Sung, H.-C., Wen, Y.-T., Wei, L., & Huang, C.-C. (2022). Low Aerobic Capacity Accelerates Lipid Accumulation and Metabolic Abnormalities Caused by High-Fat Diet-Induced Obesity in Postpartum Mice. Nutrients, 14(18), 3746. https://doi.org/10.3390/nu14183746

