Chemical Characterization and In Vivo Toxicological Safety Evaluation of Emu Oil
Abstract
1. Introduction
2. Materials and Methods
2.1. Materials and Reagents
2.2. Extraction of Emu Oil by Super Critical Fluid Extraction
2.3. Fatty Acid Composition of Emu Oil
2.4. Physicochemical Properties of Emu Oil
2.5. Antioxidant Activities
2.5.1. DPPH Scavenging Activity
2.5.2. ABTS Scavenging Activity
2.6. In Vitro and In Vivo Toxicological Assessment of Emu Oil
2.6.1. Bacterial Reverse Mutation Study (Ames Test)
2.6.2. Extracorporeal Mammalian Chromosome Aberration Test
2.6.3. Animals
2.6.4. Micronucleus Test (MN)
2.6.5. Acute Oral Toxicity Study
2.7. Statistical Analysis
3. Results
3.1. Physicochemical Properties of Emu Oil
3.2. Fatty Acid Profile of Emu Oil
3.3. Antioxidant Activity
3.4. In Vitro and In Vivo Toxicological Evaluation of Emu Oil
3.4.1. Bacterial Reverse
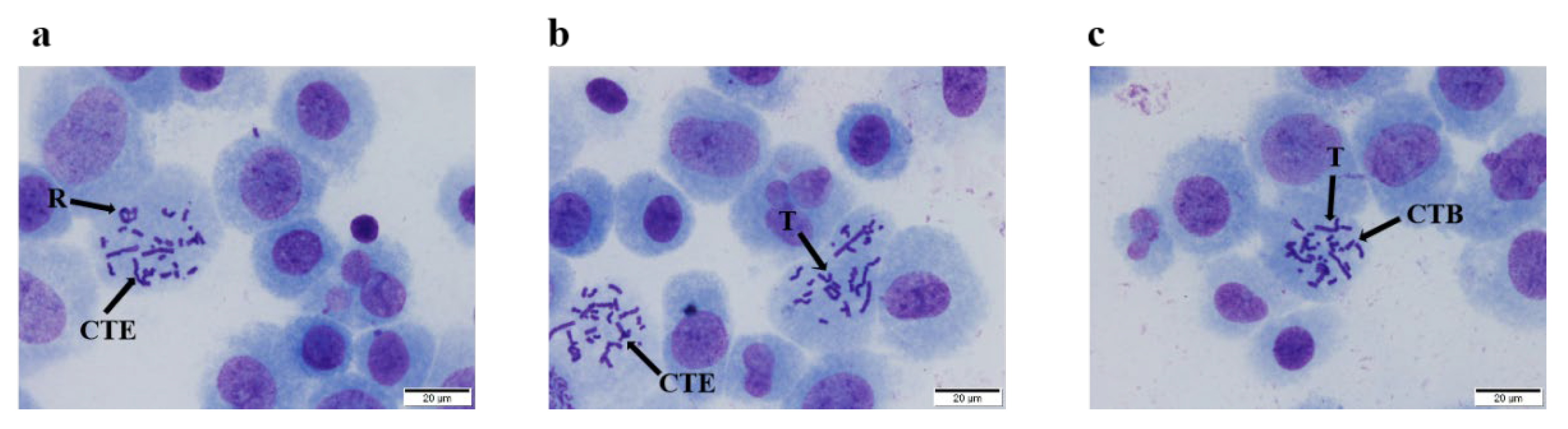
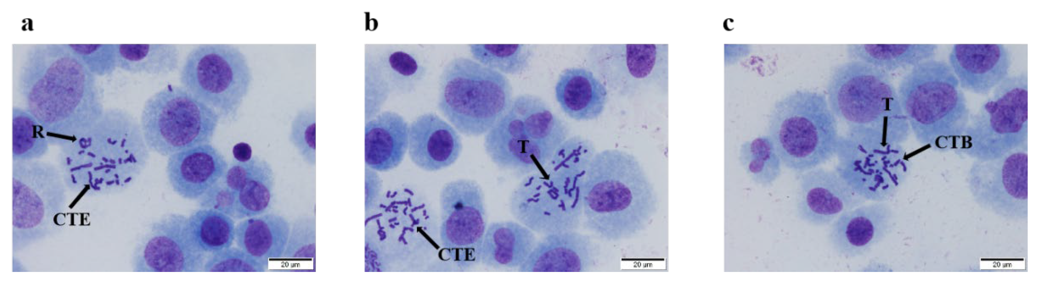
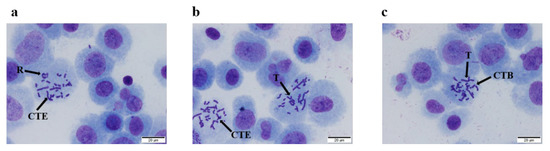
3.4.2. In Vitro Mammalian Chromosome Aberration Assay
3.4.3. Micronucleus Test
3.4.4. Acute Oral Toxicity
4. Discussion
Author Contributions
Funding
Institutional Review Board Statement
Informed Consent Statement
Acknowledgments
Conflicts of Interest
References
- Zhang, Z.; Xie, X.; Lee, W.J.; Zhao, G.; Li, C.; Wang, Y. The Effects of Interesterification on the Physicochemical Properties of Pangasius Bocourti Oil and Its Fractions. Food Chem. 2022, 371, 131177. [Google Scholar] [CrossRef] [PubMed]
- Kawamura, J.; Kushimoto, K.; Ishihara, S.; Kano, J. Development of a New Model for Representing Elastoplastic Deformation and Fracture Behaviors of Solid Fats. Adv. Powder Technol. 2021, 32, 963–973. [Google Scholar] [CrossRef]
- Koshiishi, Y.; Wada, K. A Simplified Protocol for Molecular Sexing in the Emu (Dromaius Novaehollandiae). Poult. Sci. 2018, 97, 1117–1119. [Google Scholar] [CrossRef] [PubMed]
- Glatz, P.C.; Miao, Z.H. Husbandry of Ratites and Potential Welfare Issues: A Review. Aust. J. Exp. Agric. 2008, 48, 1257–1265. [Google Scholar] [CrossRef]
- Bucław, M.; Majewska, D.; Szczerbińska, D.; Ligocki, M. The Influence of Age and Gender on Emu (Dromaius Novaehollandiae L.) Fat. Sci. Rep. 2020, 10, 11082. [Google Scholar] [CrossRef]
- Siger, A.; Dwiecki, K.; Borzyszkowski, W.; Turski, M.; Rudzińska, M.; Nogala-Kałucka, M. Physicochemical Characteristics of the Cold-Pressed Oil Obtained from Seeds of Fagus Sylvatica L. Food Chem. 2017, 225, 239–245. [Google Scholar] [CrossRef]
- Lesjak, M.; Beara, I.; Simin, N.; Pintać, D.; Majkić, T.; Bekvalac, K.; Orčić, D.; Mimica-Dukić, N. Antioxidant and Anti-Inflammatory Activities of Quercetin and Its Derivatives. J. Funct. Foods 2018, 40, 68–75. [Google Scholar] [CrossRef]
- Ceci, L.N.; Mattar, S.B.; Carelli, A.A. Chemical Quality and Oxidative Stability of Extra Virgin Olive Oils from San Juan Province (Argentina). Food Res. Int. 2017, 100, 764–770. [Google Scholar] [CrossRef]
- Yoganathan, S.; Nicolosi, R.; Wilson, T.; Handelman, G.; Scollin, P.; Tao, R.; Binford, P.; Orthoefer, F. Antagonism of Croton Oil Inflammation by Topical Emu Oil in CD-1 Mice. Lipids 2003, 38, 603–607. [Google Scholar] [CrossRef]
- Abimosleh, S.M.; Lindsay, R.J.; Butler, R.N.; Cummins, A.G.; Howarth, G.S. Emu Oil Increases Colonic Crypt Depth in a Rat Model of Ulcerative Colitis. Dig. Dis. Sci. 2012, 57, 887–896. [Google Scholar] [CrossRef]
- Nadhanan, R.R.; Abimosleh, S.M.; Su, Y.W.; Scherer, M.A.; Howarth, G.S.; Xian, C.J. Dietary Emu Oil Supplementation Suppresses 5-Fluorouracil Chemotherapy-Induced Inflammation, Osteoclast Formation, and Bone Loss. Am. J. Physiol. Endocrinol. Metab. 2012, 302, 1440–1449. [Google Scholar] [CrossRef] [PubMed]
- Guo, T.; Wan, C.; Huang, F.; Wei, C. Evaluation of Quality Properties and Antioxidant Activities of Tiger Nut (Cyperus Esculentus L.) Oil Produced by Mechanical Expression or/with Critical Fluid Extraction. LWT Food Sci. Technol. 2021, 141, 110915. [Google Scholar] [CrossRef]
- Ribeiro, P.P.; da Silva Chaves, K.S.; de Veras, B.O.; de Oliveira, J.R.; de Menezes Lima, V.L.; de Assis, C.R.; da Silva, M.V.; de Sousa Júnior, F.C.; de Assis, C.F.; de Araújo Padilha, C.E.; et al. Chemical and Biological Activities of Faveleira (Cnidoscolus Quercifolius Pohl) Seed Oil for Potential Health Applications. Food Chem. 2021, 337, 127771. [Google Scholar] [CrossRef]
- Berner, D. AOCS’ 4th Edition of Methods. J. Am. Oil Chem. Soc. 1989, 66, 1749. [Google Scholar] [CrossRef]
- Caligiani, A.; Bonzanini, F.; Palla, G.; Cirlini, M.; Bruni, R. Characterization of a Potential Nutraceutical Ingredient: Pomegranate (Punica Granatum L.) Seed Oil Unsaponifiable Fraction. Plant Foods Hum. Nutr. 2010, 65, 277–283. [Google Scholar] [CrossRef]
- Karoud, W.; Ghlissi, Z.; Krichen, F.; Kallel, R.; Bougatef, H.; Zarai, Z.; Boudawara, T.; Sahnoun, Z.; Sila, A.; Bougatef, A. Oil from Hake (Merluccius Merluccius L.): Characterization, Antioxidant Activity, Wound Healing and Anti-Inflammatory Effects. J. Tissue Viability 2020, 29, 138–147. [Google Scholar] [CrossRef]
- Sellami, M.; Ben Rebah, F.; Gargouri, Y.; Miled, N. Lipid Composition and Antioxidant Activity of Liver Oils from Ray Species Living in Tunisian Coasts. Arab. J. Chem. 2018, 11, 233–239. [Google Scholar] [CrossRef]
- Lee, J.M.; Chung, H.; Chang, P.S.; Lee, J.H. Development of a Method Predicting the Oxidative Stability of Edible Oils Using 2,2-Diphenyl-1-Picrylhydrazyl (DPPH). Food Chem. 2007, 103, 662–669. [Google Scholar] [CrossRef]
- Oliveira de Veras, B.; Melo de Oliveira, M.B.; Vanusa da Silva, M.; Catarina de Souza Lopes, A. Chemical Composition and Evaluation of the Antinociceptive, Antioxidant and Antimicrobial Effects of Essential Oil from Hymenaea Cangaceira (Pinto, Mansano & Azevedo) Native to Brazil: A Natural Medicine. J. Ethnopharmacol. 2020, 247, 112265. [Google Scholar] [CrossRef]
- Jeong, M.H.; Yang, K.; Lee, C.G.; Jeong, D.H.; Park, Y.S.; Choi, Y.J.; Kim, J.S.; Oh, S.J.; Jeong, S.K.; Jo, W.S. In Vitro Genotoxicity Assessment of a Novel Resveratrol Analogue, HS-1793. Toxicol. Res. 2014, 30, 211–220. [Google Scholar] [CrossRef][Green Version]
- Kasamatsu, T.; Ogura, R.; Ikeda, N.; Morita, O.; Saigo, K.; Watabe, H.; Saito, Y.; Suzuki, H. Genotoxicity Studies on Dietary Diacylglycerol (DAG) Oil. Food Chem. Toxicol. 2005, 43, 253–260. [Google Scholar] [CrossRef] [PubMed]
- Hwang, E.S.; Kim, G.H. Safety Evaluation of Zanthoxylum Piperitum-Derived Essential Oil by Assessing Micronucleus Abnormalities, Mutagenicity, and Chromosomal Aberration. Food Res. Int. 2012, 47, 267–271. [Google Scholar] [CrossRef]
- Arunachalam, K.; Balogun, S.O.; De Oliveira Martins, D.T. Chemical Characterization, Toxicology and Mechanism of Gastric Antiulcer Action of Essential Oil from Gallesia Integrifolia (Spreng.) Harms in the in Vitro and in Vivo Experimental Models. Biomed. Pharmacother. 2017, 94, 292–306. [Google Scholar] [CrossRef] [PubMed]
- Zhang, J.; Chen, J.; Yang, J.; Gong, S.; Zheng, J.; Xu, G. Effects of Lard and Vegetable Oils Supplementation Quality and Concentration on Laying Performance, Egg Quality and Liver Antioxidant Genes Expression in Hy-Line Brown. Animals 2021, 11, 769. [Google Scholar] [CrossRef] [PubMed]
- Mata, T.M.; Mendes, A.M.; Caetano, N.S.; Martins, A.A. Properties and Sustainability of Biodiesel from Animal Fats and Fish Oil. Chem. Eng. Trans. 2014, 38, 175–180. [Google Scholar] [CrossRef]
- Adewale, P.; Dumont, M.J.; Ngadi, M. Rheological, Thermal, and Physicochemical Characterization of Animal Fat Wastes for Use in Biodiesel Production. Energy Technol. 2014, 2, 634–642. [Google Scholar] [CrossRef]
- Park, Y.H.; Cho, M.J.; Kim, H.J. Comparison of Physicochemical Characteristics of Horse Fat, Lard, and Beef-Tallow. Korean J. Food Sci. Technol. 2019, 51, 1–6. [Google Scholar] [CrossRef]
- Firestone, D. Physical and Chemical Characteristics of Oils, Fats, and Waxes, 3rd ed.; AOCS Press: Urbana, IL, USA, 2013; pp. 1–291. [Google Scholar]
- Marangoni, F.; Agostoni, C.; Borghi, C.; Catapano, A.L.; Cena, H.; Ghiselli, A.; La Vecchia, C.; Lercker, G.; Manzato, E.; Pirillo, A.; et al. Dietary Linoleic Acid and Human Health: Focus on Cardiovascular and Cardiometabolic Effects. Atherosclerosis 2020, 292, 90–98. [Google Scholar] [CrossRef]
- Yan, S.; Li, X.; Zhang, L.; Zeng, Y.; Liu, S.; Liu, X.; Zhou, H.; Wen, L.; Wang, J. Moderate Quantity of Lard Mixed with Sunflower Oil Attenuate Lipid Accumulation in Mice. Oil Crop Sci. 2020, 5, 205–212. [Google Scholar] [CrossRef]
- Desta, M.; Molla, A.; Yusuf, Z. Characterization of Physico-Chemical Properties and Antioxidant Activity of Oil from Seed, Leaf and Stem of Purslane (Portulaca Oleracea L.). Biotechnol. Rep. 2020, 27, e00512. [Google Scholar] [CrossRef]
- Nyam, K.L.; Tan, C.P.; Lai, O.M.; Long, K.; Che Man, Y.B. Physicochemical Properties and Bioactive Compounds of Selected Seed Oils. LWT Food Sci. Technol. 2009, 42, 1396–1403. [Google Scholar] [CrossRef]
- Annamalai, J.; Dushyant, C.K.; Gudipati, V. Oxidative Stability of Microencapsulated Fish Oil during Refrigerated Storage. J. Food Process. Preserv. 2015, 39, 1944–1955. [Google Scholar] [CrossRef]
- Gbogouri, G.A.; Linder, M.; Fanni, J.; Parmentier, M. Analysis of Lipids Extracted from Salmon (Salmo Salar L.) Heads by Commercial Proteolytic Enzymes. Eur. J. Lipid Sci. Technol. 2006, 108, 766–775. [Google Scholar] [CrossRef]
- Olagunju, A.I.; Adelakun, O.S.; Olawoyin, M.S. The Effect of Rice Bran Extract on the Quality Indices, Physicochemical Properties and Oxidative Stability of Soybean Oil Blended with Various Oils. Meas. Food 2022, 6, 100032. [Google Scholar] [CrossRef]
- Gu, L.B.; Pang, H.L.; Lu, K.K.; Liu, H.M.; Wang, X.; De Qin, G.Y. Process Optimization and Characterization of Fragrant Oil from Red Pepper (Capsicum Annuum L.) Seed Extracted by Subcritical Butane Extraction. J. Sci. Food Agric. 2017, 97, 1894–1903. [Google Scholar] [CrossRef]
- De Medeiros, E.J.; de Souza, A.G.; de Cordeiro, M.; Tribuzy, A.M.; de Medeiros, A.N.; de Souza, D.L.; Madruga, M.S. Thermal and Quality Evaluation of Vegetable Oils Used in Ruminant Feed. J. Therm. Anal. Calorim. 2013, 112, 1515–1521. [Google Scholar] [CrossRef]
- Jayadas, N.H.; Nair, K.P. Coconut Oil as Base Oil for Industrial Lubricants-Evaluation and Modification of Thermal, Oxidative and Low Temperature Properties. Tribol. Int. 2006, 39, 873–878. [Google Scholar] [CrossRef]
- Pastor, R.; Bouzas, C.; Tur, J.A. Beneficial Effects of Dietary Supplementation with Olive Oil, Oleic Acid, or Hydroxytyrosol in Metabolic Syndrome: Systematic Review and Meta-Analysis. Free Radic. Biol. Med. 2021, 172, 372–385. [Google Scholar] [CrossRef]
- Jeengar, M.K.; Shrivastava, S.; Mouli Veeravalli, S.C.; Naidu, V.G.M.; Sistla, R. Amelioration of FCA Induced Arthritis on Topical Application of Curcumin in Combination with Emu Oil. Nutrition 2016, 32, 955–964. [Google Scholar] [CrossRef]
- Luan, Z.J.; Li, P.P.; Li, D.; Meng, X.P.; Sun, J. Optimization of Supercritical-CO2 Extraction of Iris Lactea Seed Oil: Component Analysis and Antioxidant Activity of the Oil. Ind. Crops Prod. 2020, 152, 112553. [Google Scholar] [CrossRef]
- Behl, T.; Rana, T.; Alotaibi, G.H.; Shamsuzzaman, M.; Naqvi, M.; Sehgal, A.; Singh, S.; Sharma, N.; Almoshari, Y.; Abdellatif, A.A.H.; et al. Polyphenols Inhibiting MAPK Signalling Pathway Mediated Oxidative Stress and Inflammation in Depression. Biomed. Pharmacother. 2022, 146, 112545. [Google Scholar] [CrossRef] [PubMed]
- Pratt, D.A.; Tallman, K.A.; Porter, N.A. Free Radical Oxidation of Polyunsaturated Lipids: New Mechanistic Insights and the Development of Peroxyl Radical Clocks. Acc. Chem. Res. 2011, 44, 458–467. [Google Scholar] [CrossRef] [PubMed]
- Benzidia, B.; Barbouchi, M.; Hammouch, H.; Belahbib, N.; Zouarhi, M.; Erramli, H.; Ait Daoud, N.; Badrane, N.; Hajjaji, N. Chemical Composition and Antioxidant Activity of Tannins Extract from Green Rind of Aloe Vera (L.) Burm. F. J. King Saud Univ.-Sci. 2019, 31, 1175–1181. [Google Scholar] [CrossRef]
- Szabo, N.J.; Matulka, R.A.; Marone, P.A.; Bauter, M.R.; Chan, T.; Franklin, S.; Carney, J.R.; McQuaid, S.L.; Rakitsky, W.; Green, R.; et al. Safety Evaluation of Oleic-Rich Triglyceride Oil Produced by a Heterotrophic Microalgal Fermentation Process. Food Chem. Toxicol. 2014, 65, 301–311. [Google Scholar] [CrossRef]
- Matulka, R.A.; Howell, L.A.; Pratyusha Chennupati, B.; Teresa Bock, J. Safety Evaluation of Odd-Chain Fatty Acid Algal Oil. Food Chem. Toxicol. 2021, 156, 112444. [Google Scholar] [CrossRef]
- Rodríguez-Lara, A.; Dolores Mesa, M.; Aragón-Vela, J.; Casuso, R.A.; Vázquez, C.C.; Zúñiga, J.M.; Huertas, J.R. Acute/Subacute and Sub-Chronic Oral Toxicity of a Hidroxytyrosol-Rich Virgin Olive Oil Extract. Nutrients 2019, 11, 2133. [Google Scholar] [CrossRef]



| Emu Oil | Lard | Tallow | |
|---|---|---|---|
| Item | Concentration | ||
| Acid value (mg/g KOH) | 1.24 ± 0.49 | 0.63 a | 1.07 a |
| Free fatty acid content (%) | 0.80 ± 0.07 | 10.03 b | 3.19 b |
| MDA (mg/100 g oil) | 0.02 ± 0.01 | 0.05 c | N/A |
| Peroxide value (meq/kg oil) | 1.50 ± 1.46 | 3.67 d | 0.65 d |
| Iodine value (g/100 g oil) | 72.67 ± 2.08 | 77.90 a | 45.30 a |
| Unsaponified matter (%) | 0.54 ± 0.13 | 12 e | 0–0.5 e |
| Refractive index (40 °C) | 1.46 ± 0.01 | 1.45–1.46 e | 1.45–1.46 e |
| Carotenoid content (mg/kg oil) | 5.92 ± 0.62 | N/A | N/A |
| Total phenolic content (mg GAE/kg oil) | 6.64 ± 0.37 | N/A | N/A |
| Emu Oil | Lard a | Tallow b | |
|---|---|---|---|
| Fatty Acid | % Total Fatty Acids | ||
| Saturated fatty acid | 34.78 ± 1.04 | 52.10 | 48.00 |
| Palmitic acid (C16:0) | 25.67 ± 1.11 | 26.86 | 28.40 |
| Heptadecanoic acid (C18:0) | 9.06 ± 0.04 | N/A | 14.80 |
| Docosanoic acid (C22:0) | 0.05 ± 0.03 | 0.27 | 14.8 |
| Unsaturated fatty acid | 64.28 ± 1.04 | 47.41 | 52.00 |
| Palmitoleic acid (C16:1 cis) | 4.08 ± 1.11 | 1.52 | 4.7 |
| Heptadecenoic acid (C17:1) | 0.06 ± 0.03 | N/A | N/A |
| Oleic acid (C18:1 cis) | 45.76 ± 0.53 | 33.71 | 44.6 |
| Linoleic acid (C18:2 cis) | 14.00 ± 0.21 | 10.90 | 2.7 |
| Linolenic acid (C18:3 cis) | 0.37 ± 0.28 | 0.49 | N/A |
| Treatment (μg/Plate) | TA97a | TA98 | TA100 | TA102 | TA1535 | |||||
|---|---|---|---|---|---|---|---|---|---|---|
| −S9 | +S9 | −S9 | +S9 | −S9 | +S9 | −S9 | +S9 | −S9 | +S9 | |
| Revertants per plate a | ||||||||||
| Main test | ||||||||||
| Vehicle control b | 183 ± 3 | 183 ± 9 | 17 ± 1 | 19 ± 7 | 167 ± 10 | 190 ± 20 | 358 ± 14 | 268 ± 44 | 17 ± 4 | 21 ± 7 |
| 5000 | 196 ± 13 | 184 ± 18 | 20 ± 13 | 18 ± 2 | 161 ± 22 | 185 ± 46 | 289 ± 18 | 243 ± 27 | 19 ± 3 | 16 ± 3 |
| 1581 | 186 ± 17 | 191 ± 20 | 20 ± 5 | 16 ± 5 | 175 ± 15 | 160 ± 13 | 296 ± 63 | 246 ± 14 | 16 ± 3 | 12 ± 3 |
| 500 | 177 ± 12 | 165 ± 14 | 17 ± 2 | 30 ± 18 | 167 ± 17 | 162 ± 13 | 317 ± 31 | 197 ± 10 | 19 ± 1 | 14 ± 1 |
| 158.1 | 183 ± 6 | 163 ± 16 | 23 ± 4 | 21 ± 7 | 155 ± 28 | 174 ± 19 | 278 ± 76 | 208 ± 20 | 17 ± 6 | 16 ± 3 |
| 50 | 159 ± 28 | 162 ± 26 | 15 ± 4 | 23 ± 5 | 161 ± 19 | 166 ± 27 | 276 ± 39 | 243 ± 22 | 17 ± 2 | 13 ± 2 |
| Positive control c | 1556 ± 156 * | 715 ± 211 * | 947 ± 249 * | 1365 ± 171 * | 1145 ± 123 * | 876 ± 27 * | 3501 ± 649 * | 1318 + 72 * | 75 ± 12 * | 258 ± 39 * |
| Confirmatory test | ||||||||||
| Vehicle control b | 181 ± 10 | 163 ± 18 | 17 ± 3 | 15 ± 4 | 171 ± 29 | 149 ± 44 | 389 ± 51 | 359 ± 26 | 21 ± 6 | 14 ± 4 |
| 5000 | 176 ± 7 | 199 ± 4 | 13 ± 3 | 19 ± 4 | 171 ± 26 | 158 ± 29 | 413 ± 19 | 415 ± 32 | 13 ± 2 | 14 ± 2 |
| 1000 | 153 ± 5 | 173 ± 23 | 20 ± 5 | 12 ± 2 | 178 ± 17 | 151 ± 30 | 383 ± 22 | 375 ± 24 | 14 ± 4 | 16 ± 6 |
| 200 | 166 ± 17 | 173 ± 5 | 19 ± 3 | 16 ± 1 | 145 ± 24 | 175 ± 17 | 389 ± 32 | 302 ± 67 | 10 ± 6 | 14 ± 4 |
| 40 | 158 ± 9 | 176 ± 4 | 18 ± 5 | 15 ± 4 | 177 ± 12 | 157 ± 9 | 377 ± 44 | 282 ± 52 | 13 ± 5 | 16 ± 2 |
| 8 | 154 ± 14 | 170 ± 9 | 17 ± 4 | 18 ± 4 | 199 ± 21 | 142 ± 36 | 395 ± 17 | 317 ± 9 | 8 ± 3 | 14 ± 3 |
| Positive control c | 1237 ± 223 * | 565 ± 53 * | 739 ± 119 * | 1000 ± 66 * | 796 ± 243 * | 947 ± 104 * | 1936 ± 354 * | 1076 ± 76 * | 91 ± 11 * | 104 ± 14 * |
| Exposure Period (h) | Treatment | No. of Metaphases Scored | No. of Metaphases with Different Aberration Types | ||||
|---|---|---|---|---|---|---|---|
| No. of Metaphases with Aberrations | Breaks | Exchanges | Gaps | ||||
| Ring Chromosome | Chromatid Exchanges | ||||||
| 2 (Without S9 mix) | MEM (200 μL) | 100 | 0 | 0 | 0 | 0 | 0 |
| Emu oil (1.25 μL/mL) | 100 | 0 | 0 | 0 | 0 | 0 | |
| Emu oil (2.50 μL/mL) | 100 | 0 | 0 | 0 | 0 | 0 | |
| Emu oil (5.00 μL/mL) | 100 | 0 | 0 | 0 | 0 | 0 | |
| Mitomycin C | 100 | 10 ** | 1 ** | 3 ** | 25 ** | 0 | |
| 2 (With S9 mix) | MEM (200 μL) | 100 | 0 | 0 | 0 | 0 | 0 |
| Emu oil (1.25 μL/mL) | 100 | 0 | 0 | 0 | 0 | 0 | |
| Emu oil (2.50 μL/mL) | 100 | 0 | 0 | 0 | 0 | 0 | |
| Emu oil (5.00 μL/mL) | 100 | 0 | 0 | 0 | 0 | 0 | |
| Cyclophosphamide | 100 | 10 ** | 0 | 1 ** | 12 ** | 0 | |
| Treatment | Dose | No. of Mice | Rate of PCE a (Mean ± SD%) | Rate of MPCE b (Mean ± SD‰) |
|---|---|---|---|---|
| Male | ||||
| Vehicle control (corn oil) | 0 | 5 | 58.2 ± 5.3 | 0.6 ± 0.2 |
| Emu oil | 5 mL/kg | 5 | 51.6 ± 5.7 | 0.8 ± 0.4 |
| Emu oil | 10 mL/kg | 5 | 58.7 ± 11.9 | 0.9 ± 0.7 |
| Emu oil | 20 mL/kg | 5 | 54.7 ± 7.3 | 1.3 ± 0.8 |
| Positive control (cyclophosphamide) | 40 mg/kg | 5 | 56.7 ± 6.2 | 22.5 ± 11.9 ** |
| Female | ||||
| Vehicle control (corn oil) | 0 | 5 | 49.5 ± 5.1 | 0.5 ± 0.4 |
| Emu oil | 5 mL/kg | 5 | 56.0 ± 3.3 | 0.9 ± 0.7 |
| Emu oil | 10 mL/kg | 5 | 56.9 ± 8.4 | 0.7 ± 0.4 |
| Emu oil | 20 mL/kg | 5 | 53.1 ± 5.3 | 1.6 ± 1.2 |
| Positive control (cyclophosphamide) | 40 mg/kg | 5 | 55.6 ± 4.9 | 21.0 ± 5.5 ** |
| Observation | Male | Female |
|---|---|---|
| Eye color | No effect | No effect |
| Urination | Normal | Normal |
| Rate of respiration | Normal | Normal |
| Change in skin | No effect | No effect |
| Diarrhea | Not present | Not present |
| General physique | Normal | Normal |
| Death | Alive | Alive |
Publisher’s Note: MDPI stays neutral with regard to jurisdictional claims in published maps and institutional affiliations. |
© 2022 by the authors. Licensee MDPI, Basel, Switzerland. This article is an open access article distributed under the terms and conditions of the Creative Commons Attribution (CC BY) license (https://creativecommons.org/licenses/by/4.0/).
Share and Cite
Lan, M.; Li, L.; Luo, S.; Chen, J.; Yi, X.; Zhang, X.; Li, B.; Chen, Z. Chemical Characterization and In Vivo Toxicological Safety Evaluation of Emu Oil. Nutrients 2022, 14, 2238. https://doi.org/10.3390/nu14112238
Lan M, Li L, Luo S, Chen J, Yi X, Zhang X, Li B, Chen Z. Chemical Characterization and In Vivo Toxicological Safety Evaluation of Emu Oil. Nutrients. 2022; 14(11):2238. https://doi.org/10.3390/nu14112238
Chicago/Turabian StyleLan, Meijuan, Lin Li, Shengkai Luo, Juncheng Chen, Xiaofeng Yi, Xia Zhang, Bing Li, and Zhiyi Chen. 2022. "Chemical Characterization and In Vivo Toxicological Safety Evaluation of Emu Oil" Nutrients 14, no. 11: 2238. https://doi.org/10.3390/nu14112238
APA StyleLan, M., Li, L., Luo, S., Chen, J., Yi, X., Zhang, X., Li, B., & Chen, Z. (2022). Chemical Characterization and In Vivo Toxicological Safety Evaluation of Emu Oil. Nutrients, 14(11), 2238. https://doi.org/10.3390/nu14112238
