Changes in Bone Metabolism and Antioxidant Defense Systems in Menopause-Induced Rats Fed Bran Extract from Dark Purple Rice (Oryza sativa L. Cv. Superjami)
Abstract
:1. Introduction
2. Materials and Methods
2.1. Rice Bran Samples and Chemicals
2.2. Preparation of the Bran Extract and Phytochemical Profiles
2.3. Animal Experiment Design
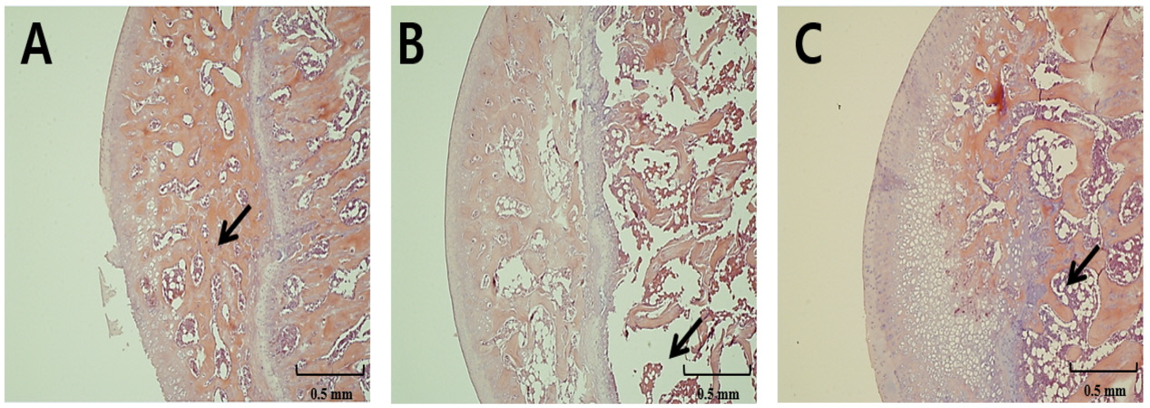
2.4. Light Microscopy of Right Femur
2.5. Analysis of Biochemical Markers of Bone Metabolism
2.6. Determination of Lipid Peroxidation
2.7. Measurement of Hepatic and Erythrocyte Antioxidant Enzyme Activities
2.8. Statistical Analysis
3. Results
3.1. Change in Body Weight
3.2. Biochemical Markers of Bone Metabolism
3.3. Light Micrographs of Right Femur
3.4. Lipid Peroxidation
3.5. Activities of Antioxidant Enzymes
4. Discussion
5. Conclusions
Author Contributions
Funding
Institutional Review Board Statement
Informed Consent Statement
Data Availability Statement
Acknowledgments
Conflicts of Interest
References
- Gold, E.B. The timing of the age at which natural menopause occurs. Obstet. Gynecol. Clin. N. Am. 2011, 38, 425–440. [Google Scholar] [CrossRef] [PubMed] [Green Version]
- Carr, M.C. The emergence of the metabolic syndrome with menopause. J. Clin. Endocrinol. Metab. 2003, 88, 2404–2411. [Google Scholar] [CrossRef]
- Ji, M.X.; Yu, Q. Primary osteoporosis in postmenopausal women. Chronic Dis. Transl. Med. 2015, 1, 9–13. [Google Scholar] [PubMed] [Green Version]
- Sanchez-Rodriguez, M.A.; Zacarias-Flores, M.; Arronte-Rosales, A.; Correa-Muñoz, E.; Mendoza Nuñez, V.M. Menopause as risk factor for oxidative stress. Menopause 2012, 19, 361–367. [Google Scholar] [CrossRef] [PubMed]
- Sandhu, S.K.; Hampson, G. The pathogenesis, diagnosis, investigation and management of osteoporosis. J. Clin. Pathol. 2011, 64, 1042–1050. [Google Scholar] [CrossRef] [Green Version]
- Thompson, D.D.; Simmon, C.M.; Pirie, C.M.; Ke, H.Z. FDA guidelines and animal model for osteoporosis. Bone 1995, 17, S125–S133. [Google Scholar] [CrossRef]
- Altindag, O.; Erel, O.; Soran, N.; Celik, H.; Selek, S. Total oxidative/anti-oxidative status and relation to bone mineral density in osteoporosis. Rheumatol. Int. 2008, 28, 317–321. [Google Scholar] [CrossRef] [PubMed]
- Doshi, S.B.; Agarwal, A. The role of oxidative stress in menopause. J. Mid-Life Health 2013, 4, 140–146. [Google Scholar]
- Sendur, O.F.; Turan, Y.; Tastaban, E.; Serter, M. Antioxidant status in patients with osteoporosis: A controlled study. Jt. Bone Spine 2009, 76, 514–518. [Google Scholar] [CrossRef]
- De Franca, N.A.; Camargo, M.B.; Lazaretti-Castro, M.; Martini, L.A. Antioxidant intake and bone status in a cross-sectional study of Brazilian women with osteoporosis. Nutr. Health 2013, 22, 133–142. [Google Scholar] [CrossRef]
- Muhammad, N.; Luke, D.A.; Shuid, A.N.; Mohamed, N.; Soelaiman, I.N. Tocotrienol supplementation in postmenopausal osteoporosis: Evidence from a laboratory study. Clinics 2013, 68, 1338–1343. [Google Scholar] [CrossRef]
- Pandey, K.B.; Rizvi, S.I. Plant polyphenols as dietary antioxidants in human health and disease. Oxid. Med. Cell. Longev. 2009, 2, 270–278. [Google Scholar] [CrossRef] [Green Version]
- Kwon, S.W.; Chu, S.H.; Han, S.J.; Ryu, S.N. A new rice variety ‘Superjami’ with high content of cyanidin 3-glucoside. Korean J. Breed. Sci. 2011, 43, 196–200. [Google Scholar]
- Bae, H.J.; Rico, C.W.; Ryu, S.N.; Kang, M.Y. Hypolipidemic, hypoglycemic and antioxidantive effects of a new pigmented rice cultivar “Superjami” in high fat-fed mice. J. Korean Soc. Appl. Biol. Chem. 2014, 57, 685–691. [Google Scholar] [CrossRef]
- Laokuldilok, T.; Shoemaker, C.F.; Jongkaewwattana, S.; Tulyathan, V. Antioxidants and antioxidant activity of several pigmented rice brans. J. Agric. Food Chem. 2011, 59, 193–199. [Google Scholar] [CrossRef] [PubMed]
- Nam, S.H.; Choi, S.P.; Kang, M.Y.; Kozukue, N.; Friedman, M. Antioxidative, antimutagenic, and anticarcinogenic activities of rice bran extracts in chemical and cell assays. J. Agric. Food Chem. 2005, 53, 816–822. [Google Scholar] [CrossRef]
- Chung, S.I.; Lo, L.M.P.; Kang, M.Y. Effect of Germination on the Antioxidant Capacity of Pigmented Rice (Oryza sativa L. cv. Superjami and Superhongmi). Food Sci. Technol. 2016, 22, 387–394. [Google Scholar] [CrossRef] [Green Version]
- Nam, S.J.; Chung, S.I.; Ryu, S.N.; Kang, M.Y. Effect of Bran Extract from Pigmented Rice Superjami on the Lipid and Glucose Metabolisms in a Postmenopause-Like Model of Ovariectomized Rats. Cereal Chem. 2017, 94, 424–429. [Google Scholar] [CrossRef]
- Chung, S.I.; Ham, T.H.; Kang, M.Y. Effect of Germinated Pigmented Rice “Superjami” on the Glucose Level, Antioxidant Defense System, and Bone Metabolism in Menopausal Rat Model. Nutrients 2019, 11, 2184. [Google Scholar] [CrossRef] [PubMed] [Green Version]
- Han, S.J.; Ryu, S.N.; Park, S.Z.; Kim, H.Y. Analysis of Cyandin 3-glucoside in blackish purple rice. Kor. J. Crop Sci. 2004, 49, 97–101. [Google Scholar]
- Konwachara, T.; Ahromrit, A. Effect of cooking on functional properties of germinated black glutinous rice (KKU-ULR012). Songklanakarin. J. Sci. Technol. 2014, 36, 283–290. [Google Scholar]
- Su, T.; Kozo, N.; Hiroshi, K. Analysis of phenolic compounds in white rice, brown rice, and germinated brown rice. J. Agric. Food Chem. 2004, 52, 4808–4813. [Google Scholar]
- Aguilar-Garcia, C.; Gavin, G.; Baragaño-Mosqueda, M.; Hevia, P.; Gavino, V.C. Correlation of tocopherol, tocotrienol, γ-oryzanol and total polyphenol content in rice bran with different antioxidant capacity assays. Food Chem. 2007, 102, 1228–1232. [Google Scholar] [CrossRef]
- Reeves, P.G.; Nielsen, F.H.; Fahey, G.C., Jr. AIN-93 purified diets for laboratory rodents: Final report of the American Institute of Nutrition ad hoc writing committee on the reformulation of the AIN-76A rodent diet. J. Nutr. 1993, 123, 1939–1951. [Google Scholar] [CrossRef] [PubMed]
- Lee, Y.S.; Kim, Y.H. Evaluation of Anticancer Activity and Toxicity of Tocotrienol Extracted from Rice Bran. Korean J. Crop Sci. 2006, 51, 1–6. [Google Scholar]
- Chung, H.S.; Shin, J.C. Study on Active Compounds and Biological Activity of Rice Bran. Korean J. Crop Sci. 2009, 54, 5–10. [Google Scholar]
- Peled, E.; Davis, M.; Axelman, E.; Norman, D.; Nadir, Y. Heparanese role in the treatment of avascular necrosis of femur head. Thromb. Res. 2013, 131, 94–98. [Google Scholar] [CrossRef]
- Ohkawa, H.; Ohishi, N.; Yagi, K. Assay for lipid peroxides in animal tissues by thiobarbituric acid reaction. Anal. Biochem. 1979, 95, 351–358. [Google Scholar] [CrossRef]
- Marklund, S.; Marklund, G. Involvement of the superoxide anion radical in the autoxidation of pyrogallol and convenient assay for superoxide dismutase. Eur. J. Biochem. 1974, 47, 469–474. [Google Scholar] [CrossRef]
- Paglia, E.D.; Valentine, W.N. Studies on quantitative and qualitative characterization of erythrocyte glutathione peroxidase. J. Lab. Clin. Med. 1967, 70, 158–169. [Google Scholar]
- Aebi, H. Catalase. In Method of Enzymatic Analysis; Bergmeyer, H.U., Ed.; Academic Press: New York, NY, USA, 1974; Volume 2, pp. 673–684. [Google Scholar]
- Mize, C.E.; Langdon, R.G. Hepatic glutathione reductase, purification and general kinetic properties. J. Biol. Chem. 1952, 237, 1589–1595. [Google Scholar] [CrossRef]
- Mackness, M.I.; Arrol, S.; Durrington, P.N. Paraoxonase prevents accumulation of lipoperoxides in low-density lipoprotein. FEBS Lett. 1991, 286, 152–154. [Google Scholar] [CrossRef] [Green Version]
- Wegorzewska, I.N.; Walters, K.; Weiser, M.J.; Cruthirds, D.F.; Ewell, E.; Larco, D.O.; Handa, R.J.; Wu, T.J. Postovariectomy weight gain in female rats is reversed by estrogen receptor alpha agonist, propylpyrazoletriol. Am. J. Obstet. Gynecol. 2008, 199, e1–e67. [Google Scholar] [CrossRef]
- Muthusami, S.; Ramachandran, I.; Muthusamy, B.; Vasudevan, G.; Prabhu, V.; Subramaniam, V.; Jagadeesan, A.; Narasimhan, S. Ovariectomy induces oxidative stress and impairs bone antioxidant system in adult rats. Clin. Chim. Acta 2005, 360, 81–86. [Google Scholar] [CrossRef] [PubMed]
- Ferretti, M.; Bertoni, L.; Cavani, F.; Zavatti, M.; Resca, E.; Carnevale, G.; Benelli, A.; Zanoli, P.; Palumbo, C. Influence of ferutinin on bone metabolism in ovariectomized rats. II. Role in recovering osteoporosis. J. Anat. 2010, 217, 48–56. [Google Scholar] [CrossRef]
- Kim, T.H.; Jung, J.W.; Ha, B.G.; Hong, J.M.; Park, E.K.; Kim, H.J.; Kim, S.Y. The effects of luteolin on osteoclast differentiation, function in vitro and ovariectomy-induced bone loss. J. Nutr. Biochem. 2011, 22, 8–15. [Google Scholar] [CrossRef]
- Yoon, K.H.; Cho, D.C.; Yu, S.H.; Kim, K.T.; Jeon, Y.; Sung, J.K. The change of bone metabolism in ovariectomized rats: Analyses of microCT scan and biochemical markers of bone turnover. J. Korean Neurosurg. Soc. 2012, 51, 323–327. [Google Scholar] [CrossRef] [PubMed]
- Zhang, Y.; Lai, W.P.; Leung, P.C.; Wu, C.F.; Wong, M.S. Short- to mid-term effects of ovariectomy on bone turnover, bone mass and bone strength in rats. Biol. Pharm. Bull. 2007, 30, 898–903. [Google Scholar] [CrossRef] [Green Version]
- Seibel, M.J. Biochemical markers of bone turnover part II: Clinical applications in the management of osteoporosis. Clin. Biochem. Rev. 2006, 27, 123–138. [Google Scholar]
- Reiter, R.J.; Tan, D.; Burkhardt, S. Reactive oxygen and nitrogen species and cellular and organismal decline: Amelioration with melatonin. Mech. Aging Dev. 2002, 123, 1007–1019. [Google Scholar] [CrossRef]
- Mullineaux, P.M.; Creissen, G.P. Glutathione reductase: Regulation and role in oxidative stress. In Oxidative Stress and the Molecular Biology of Antioxidant Defenses; Scandalios, J.G., Ed.; Cold Spring Harbor Laboratory Press: New York, NY, USA, 1997; pp. 667–713. [Google Scholar]
- Ng, C.J.; Shih, D.M.; Hama, S.Y.; Villa, N.; Navab, M.; Reddy, S.T. The paraoxonase gene family and atherosclerosis. Free Radic. Biol. Med. 2005, 38, 153–163. [Google Scholar] [CrossRef] [PubMed]
- Ghasemzadeh, A.; Karbalaii, M.T.; Jaafar, H.Z.E.; Rahmat, A. Phytochemical constituents, antioxidant activity, and antiproliferative properties of black, red, and brown rice bran. Chem. Cent. J. 2018, 12, 17. [Google Scholar] [CrossRef] [PubMed] [Green Version]
- Goufo, P.; Trindade, H. Rice antioxidants: Phenolic acids, flavonoids, anthocyanins, proanthocyanidins, tocopherols, tocotrienols, γ-oryzanol, and phytic acid. Food Sci. Nutr. 2014, 2, 75–104. [Google Scholar] [CrossRef] [PubMed]
- Min, B.; McClung, A.M.; Chen, M.H. Phytochemicals and antioxidant capacities in rice brans of different color. J. Food Sci. 2011, 76, C117–C126. [Google Scholar] [CrossRef]
- Jun, H.I.; Song, G.S.; Yang, E.I.; Youn, Y.; Kim, Y.S. Antioxidant activities and phenolic compounds of pigmented rice bran extracts. J. Food Sci. 2012, 77, C759–C764. [Google Scholar] [CrossRef] [PubMed]
- Zhang, M.W.; Zhang, R.F.; Zhang, F.X.; Liu, R.H. Phenolic profiles and antioxidant activity of black rice bran of different commercially available varieties. J. Agric. Food Chem. 2010, 58, 7580–7587. [Google Scholar] [CrossRef]
- Grassi, F.; Tell, G.; Robbie-Ryan, M.; Gao, Y.; Terauchi, M.; Yang, X.; Romanello, M.; Jones, D.P.; Weitzmann, M.N.; Pacifici, R. Oxidative stress causes bone loss in estrogen-deficient mice through enhanced bone marrow dendritic cell activation. Proc. Natl. Acad. Sci. USA 2007, 104, 15087–15092. [Google Scholar] [CrossRef] [PubMed] [Green Version]
- Sheweita, S.A.; Khoshhal, K.I. Calcium metabolism and oxidative stress in bone fractures: Role of antioxidants. Curr. Drug. Metab. 2007, 8, 519–525. [Google Scholar] [CrossRef] [Green Version]

| Variables | Amount |
|---|---|
| Cyanidin-3-glucoside (mg/g) | 32.14 ± 5.25 |
| γ-Oryzanol (mg/g) | 0.36 ± 0.06 |
| Ferulic acid (mg/g) | 1.14 ± 0.21 |
| Total phenolic compounds (mg GAE/g) | 5.39 ± 0.14 |
| Variables | SHAM | OVX | OVX-S |
|---|---|---|---|
| Initial weight (g) | 292.49 ± 0.19 a | 293.95 ± 2.41 a | 294.45 ± 0.21 a |
| Final weight (g) | 306.14 ± 1.09 a | 340.67 ± 1.83 c | 328.69 ± 1.18 b |
| Weight gain (g) | 13.88 ± 0.98 a | 44.60 ± 3.12 c | 34.25 ± 0.97 b |
| Feed intake (g/week) | 125.11 ± 1.37 a | 130.39 ± 1.41 a | 150.50 ± 2.83 b |
| FER (%) | 1.38 ± 0.10 a | 4.28 ± 0.30 c | 2.84 ± 0.08 b |
| Variables | SHAM | OVX | OVX-S |
|---|---|---|---|
| ALP (U/L) | 40.01 ± 0.76 a | 64.87 ± 4.01 c | 47.67 ± 4.33 b |
| Calcium (mg/dL) | 11.09 ± 0.11 a | 10.87 ± 0.23 a | 11.01 ± 0.41 a |
| Osteocalcin (ng/mL) | 14.69 ± 1.47 a | 27.25 ± 2.01 b | 14.79 ± 1.80 a |
| CTx (ng/mL) | 5.47 ± 1.07 a | 13.87 ± 2.33 b | 6.01 ± 1.43 a |
| Variables | SHAM | OVX | OVX-S |
|---|---|---|---|
| Plasma TBARS (nmol/mL) | 3.50 ± 0.06 a | 8.45 ± 0.21 c | 4.43 ± 0.10 b |
| Erythrocyte TBARS (nmol/g Hb) | 15.70 ± 0.20 a | 20.70 ± 0.08 b | 15.48 ± 0.42 a |
| Variables | SHAM | OVX | OVX-S |
|---|---|---|---|
| Hepatic antioxidant enzymes (nmol/min/mg protein) | |||
| SOD | 1.20 ± 0.10 c | 0.54 ± 0.02 a | 0.67 ± 0.02 b |
| GPx | 3.69 ± 0.02 c | 2.56 ± 0.01 a | 2.81 ± 0.09 b |
| CAT | 0.77 ± 0.00 c | 0.48 ± 0.02 a | 0.59 ± 0.01 b |
| GR | 14.01 ± 0.59 b | 8.99 ± 0.33 a | 12.99 ± 0.48 b |
| PON | 0.19 ± 0.01 c | 0.04 ± 0.01 a | 0.14 ± 0.00 b |
| Erythrocyte antioxidant enzymes (µmol/min/mg/hemoglobin) | |||
| SOD | 1.64 ± 0.04 c | 0.89± 0.02 a | 1.35 ± 0.05 b |
| GPx | 0.81 ± 0.01 c | 0.32 ± 0.02 a | 0.56 ± 0.14 b |
| CAT | 0.52 ± 0.03 c | 0.24 ± 0.02 a | 0.40 ± 0.02 b |
| GR | 0.60 ± 0.01 c | 0.26 ± 0.01 a | 0.37 ± 0.01 b |
Publisher’s Note: MDPI stays neutral with regard to jurisdictional claims in published maps and institutional affiliations. |
© 2021 by the authors. Licensee MDPI, Basel, Switzerland. This article is an open access article distributed under the terms and conditions of the Creative Commons Attribution (CC BY) license (https://creativecommons.org/licenses/by/4.0/).
Share and Cite
Chung, S.I.; Ryu, S.N.; Kang, M.Y. Changes in Bone Metabolism and Antioxidant Defense Systems in Menopause-Induced Rats Fed Bran Extract from Dark Purple Rice (Oryza sativa L. Cv. Superjami). Nutrients 2021, 13, 2926. https://doi.org/10.3390/nu13092926
Chung SI, Ryu SN, Kang MY. Changes in Bone Metabolism and Antioxidant Defense Systems in Menopause-Induced Rats Fed Bran Extract from Dark Purple Rice (Oryza sativa L. Cv. Superjami). Nutrients. 2021; 13(9):2926. https://doi.org/10.3390/nu13092926
Chicago/Turabian StyleChung, Soo Im, Su Noh Ryu, and Mi Young Kang. 2021. "Changes in Bone Metabolism and Antioxidant Defense Systems in Menopause-Induced Rats Fed Bran Extract from Dark Purple Rice (Oryza sativa L. Cv. Superjami)" Nutrients 13, no. 9: 2926. https://doi.org/10.3390/nu13092926
APA StyleChung, S. I., Ryu, S. N., & Kang, M. Y. (2021). Changes in Bone Metabolism and Antioxidant Defense Systems in Menopause-Induced Rats Fed Bran Extract from Dark Purple Rice (Oryza sativa L. Cv. Superjami). Nutrients, 13(9), 2926. https://doi.org/10.3390/nu13092926

