Birch Pollen Related Pear Allergy: A Single-Blind Oral Challenge TRIAL with 2 Pear Cultivars
Abstract
1. Introduction
2. Materials and Methods
2.1. Patients
2.2. Pears
2.3. Skin Test
2.4. Specific Serum IgE
2.5. Single Blind Oral Challenges
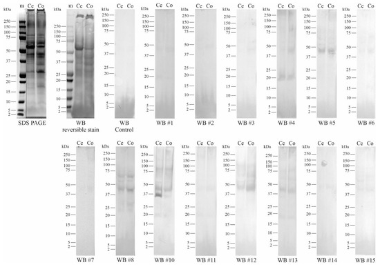
2.6. IgE-Immunoblotting/SDS Page/Electrophorese
2.7. Statistics
3. Results
3.1. Patients
3.2. SPT/PTP
3.3. sIgE
3.4. Pear Challenge
3.5. Immunoblotting
4. Discussion
5. Conclusions
Supplementary Materials
Author Contributions
Funding
Institutional Review Board Statement
Informed Consent Statement
Data Availability Statement
Acknowledgments
Conflicts of Interest
References
- Biedermann, T.; Winther, L.; Till, S.J.; Panzner, P.; Knulst, A.; Valovirta, E. Birch pollen allergy in Europe. Allergy 2019, 74, 1237–1248. [Google Scholar] [CrossRef]
- Canis, M.; Gröger, M.; Becker, S.; Klemens, C.; Kramer, M.F. Recombinant marker allergens in diagnosis of patients with allergic rhinoconjunctivitis to tree and grass pollens. Am. J. Rhinol. Allergy 2011, 25, 36–39. [Google Scholar] [CrossRef]
- Ciprandi, G.; Comite, P.; Mussap, M.; De Amici, M.; Quaglini, S.; Barocci, F.; Marseglia, G.L.; Scala, E. Profiles of Birch Sensitization (Bet v 1, Bet v 2, and Bet v 4) and Oral Allergy Syndrome Across Italy. J Investig. Allergol. Clin. Immunol. 2016, 26, 244–248. [Google Scholar] [CrossRef]
- Geroldinger-Simic, M.; Zelniker, T.; Aberer, W.; Ebner, C.; Egger, C.; Greiderer, A.; Prem, N.; Lidholm, J.; Ballmer-Weber, B.K.; Vieths, S.; et al. Birch pollen-related food allergy: Clinical aspects and the role of allergen-specific IgE and IgG4 antibodies. J. Allergy Clin. Immunol. 2011, 127, 616–622. [Google Scholar] [CrossRef] [PubMed]
- Katelaris, C.H. Food allergy and oral allergy or pollen-food syndrome. Curr. Opin. Allergy Clin. Immunol. 2010, 10, 246–251. [Google Scholar] [CrossRef]
- Valenta, R.; Niederberger, V. Recombinant allergens for immunotherapy. J. Allergy Clin. Immunol. 2007, 119, 826–830. [Google Scholar] [CrossRef] [PubMed]
- Werfel, T.; Asero, R.; Ballmer-Weber, B.K.; Beyer, K.; Enrique, E.; Knulst, A.C.; Mari, A.; Muraro, A.; Ollert, M.; Poulsen, L.K.; et al. Position paper of the EAACI: Food allergy due to immunological cross-reactions with common inhalant allergens. Allergy 2015, 70, 1079–1090. [Google Scholar] [CrossRef] [PubMed]
- Mari, A.; Ballmer-Weber, B.K.; Vieths, S. The oral allergy syndrome: Improved diagnostic and treatment methods. Curr. Opin. Allergy Clin. Immunol. 2005, 5, 267–273. [Google Scholar] [CrossRef] [PubMed]
- Burney, P.G.; Potts, J.; Kummeling, I.; Mills, E.N.; Clausen, M.; Dubakiene, R.; Barreales, L.; Fernandez-Perez, C.; Fernandez-Rivas, M.; Le, T.M.; et al. The prevalence and distribution of food sensitization in European adults. Allergy 2014, 69, 365–371. [Google Scholar] [CrossRef]
- Zuidmeer, L.; Goldhahn, K.; Rona, R.J.; Gislason, D.; Madsen, C.; Summers, C.; Sodergren, E.; Dahlstrom, J.; Lindner, T.; Sigurdardottir, S.T.; et al. The prevalence of plant food allergies: A systematic review. J. Allergy Clin. Immunol. 2008, 121, 1210–1218. [Google Scholar] [CrossRef] [PubMed]
- Zuberbier, T.; Edenharter, G.; Worm, M.; Ehlers, I.; Reimann, S.; Hantke, T.; Roehr, C.C.; Bergmann, K.E.; Niggemann, B. Prevalence of adverse reactions to food in Germany-a population study. Allergy 2004, 59, 338–345. [Google Scholar] [CrossRef]
- Rodriguez, J.; Crespo, J.F.; Lopez-Rubio, A.; De La Cruz-Bertolo, J.; Ferrando-Vivas, P.; Vives, R.; Daroca, P. Clinical cross-reactivity among foods of the Rosaceae family. J. Allergy Clin. Immunol. 2000, 106, 183–189. [Google Scholar] [CrossRef] [PubMed]
- Meest Geconsumeerde Fruitsoorten. Resultaten van VCP 2012–2014. Rijksinst. voor Volksgezond. 2018. Available online: https://www.rivm.nl/sites/default/files/2018-11/2018-01%20memo%20fruit%20top%20tien.pdf (accessed on 10 October 2020).
- Vlieg-Boerstra, B.J.; van de Weg, W.E.; van der Heide, S.; Dubois, A.E. Where to prick the apple for skin testing? Allergy 2013, 68, 1196–1198. [Google Scholar] [CrossRef] [PubMed]
- van der Valk, J.P.; Gerth van Wijk, R.; Hoorn, E.; Groenendijk, L.; Groenendijk, I.M.; de Jong, N.W. Measurement and interpretation of skin prick test results. Clin. Transl. Allergy 2015, 6, 1–5. [Google Scholar] [CrossRef]
- Dreborg, S. Allergen standardisation and skin test: EAACI position paper. Allergy 1993, 48, 49–82. [Google Scholar] [CrossRef]
- Dreborg, S. Skin testing. The safety of skin tests and the information obtained from using different methods and concentrations of allergen. Allergy 1993, 48, 473–475. [Google Scholar] [CrossRef]
- Sampson, H.A.; Gerth van Wijk, R.; Bindslev-Jensen, C.; Sicherer, S.; Teuber, S.S.; Burks, A.W.; Dubois, A.E.; Beyer, K.; Eigenmann, P.A.; Spergel, J.M.; et al. Standardizing double-blind, placebo-controlled oral food challenges: American Academy of Allergy, Asthma & Immunology-European Academy of Allergy and Clinical Immunology PRACTALL consensus report. J. Allergy Clin. Immunol. 2012, 130, 1260–1274. [Google Scholar]
- Vieths, S.; Schöning, B.; Petersen, A. Characterization of the 18-kDa apple allergen by two-dimensional immunoblotting and microsequencing. Int. Arch. Allergy Immunol. 1994, 104, 399–404. [Google Scholar] [CrossRef]
- Suleria, H.A.R.; Barrow, C.J.; Dunshea, F.R. Screening and Characterization of Phenolic Compounds and Their Antioxidant Capacity in Different Fruit Peels. Foods 2020, 9, 1206. [Google Scholar] [CrossRef] [PubMed]
- Bastiaan-Net, S.; Reitsma, M.; Cordewener, J.H.G.; van der Valk, J.P.M.; America, T.; Dubois, A.E.J.; Gerth van Wijk, R.; Savelkoul, H.F.J.; de Jong, N.W.; Wichers, H.J. IgE Cross-Reactivity of Cashew Nut Allergens. Int. Arch. Allergy Immunol. 2019, 178, 19–32. [Google Scholar] [CrossRef] [PubMed]
- Makowski, D.; Ben-Shachar, M.S.; Chen, S.H.A.; Lüdecke, D. Indices of Effect Existence and Significance in the Bayesian Framework. Front. Psychol. 2019, 10, 2767. [Google Scholar] [CrossRef]
- Beyer, S.; Franke, A.; Simon, J.C.; Treudler, R. Measurement of health-related quality of life in adult patients with birch pollen-associated food allergy. J. Dtsch. Dermatol. Ges. 2016, 14, 397–404. [Google Scholar] [CrossRef]
- Reiland, H.; Slavin, J. Systematic Review of Pears and Health. Nutr. Today 2015, 50, 301–305. [Google Scholar] [CrossRef]
- van Erp, F.C.; Knulst, A.C.; Meijer, Y.; Gabriele, C.; van der Ent, C.K. Standardized food challenges are subject to variability in interpretation of clinical symptoms. Clin. Transl. Allergy 2014, 4, 1–6. [Google Scholar] [CrossRef]
- Vlieg-Boerstra, B.J.; van der Heide, S.; Bijleveld, C.M.; Kukler, J.; Duiverman, E.J.; Dubois, A.E. Placebo reactions in double-blind, placebo-controlled food challenges in children. Allergy 2007, 62, 905–912. [Google Scholar] [CrossRef] [PubMed]
- Vlieg-Boerstra, B.J.; van de Weg, W.E.; van der Heide, S.; Skypala, I.; Bures, P.; Ballmer-Weber, B.K.; Hoffmann-Sommergruber, K.; Zauli, D.; Ricci, G.; Dubois, A.E. Additional indications for the low allergenic properties of the apple cultivars Santana and Elise. Plant Foods Hum. Nutr. 2013, 68, 391–395. [Google Scholar] [CrossRef] [PubMed]
- Vlieg-Boerstra, B.J.; van de Weg, W.E.; van der Heide, S.; Kerkhof, M.; Arens, P.; Heijerman-Peppelman, G.; Dubois, A.E. Identification of low allergenic apple cultivars using skin prick tests and oral food challenges. Allergy 2011, 66, 491–498. [Google Scholar] [CrossRef] [PubMed]
- Turner, P.J.; Dawson, T.C.; Skypala, I.J.; Fox, A.T. Management of pollen food and oral allergy syndrome by health care professionals in the United Kingdom. Ann. Allergy Asthma Immunol. 2015, 114, 427–428. [Google Scholar] [CrossRef]
- Le, T.M.; van Hoffen, E.; Lebens, A.F.; Bruijnzeel-Koomen, C.A.; Knulst, A.C. Anaphylactic versus mild reactions to hazelnut and apple in a birch-endemic area: Different sensitization profiles? Int. Arch. Allergy Immunol. 2013, 160, 56–62. [Google Scholar] [CrossRef] [PubMed]
- Skypala, I.J. Can patients with oral allergy syndrome be at risk of anaphylaxis? Curr. Opin. Allergy Clin. Immunol 2020, 20, 459–464. [Google Scholar] [CrossRef] [PubMed]
- Russell, W.R. Phenolic acid content of fruits commonly consumed and locally produced in Scotland. Food Chem. 2009, 115, 100–104. [Google Scholar] [CrossRef]
- Miles, S. Attitudes towards low-allergen food in food allergic consumers. Nutr. Food Sci. 2004, 35, 220–228. [Google Scholar] [CrossRef]
- Kootstra, H.S.; Vlieg-Boerstra, B.J.; Dubois, A.E. Assessment of the reduced allergenic properties of the Santana apple. Ann. Allergy Asthma Immunol. 2007, 99, 522–525. [Google Scholar] [CrossRef]

| n | % | ||
|---|---|---|---|
| Numbers included | 15 | ||
| Patients | Female | 12 | 80% |
| Mean age/range | 37 | 18–65 | |
| Inhalant allergy | HDM | 11 | 73% |
| GP | 11 | 73% | |
| BP | 15 | 100% | |
| Food allergy | >1 allergen | 1 | 7% |
| >2 allergens | 1 | 7% | |
| >3 allergens | 13 | 87% | |
| Current Pear consumption | No | 11 | 73% |
| Yes (processed) | 4 | 27% | |
| History of Symptoms | Itchy mouth | 14 | 93% |
| Skin | 0 | 0% | |
| Wheeze | 3 | 20% | |
| Anti-allergic medication use | 12 | 80% | |
| SPT | PTP | SPT | PTP | SPT | sIgE | sIgE | Single Blind Oral Challenge | ||||
|---|---|---|---|---|---|---|---|---|---|---|---|
| Cepuna | Conference | Bp | Pear | Bp | Cepuna | Conference | |||||
| nrs | HEP | HEP | HEP | HEP | KU/L | KU/L | KU/L | pos/neg | dose* | pos/neg | dose* |
| 1 | neg | 0.90 | neg | 0.25 | 0.61 | 0.6 | 19.2 | pos | 3 | pos | 1 |
| 2 | neg | 0.40 | neg | 0.28 | 1.32 | 2.1 | 12.4 | pos | 1 | pos | 1 |
| 3 | 0.58 | 2.57 | 0.83 | 1.17 | 5.06 | 0.4 | 16.2 | pos | 1 | pos | 5 |
| 4 | 0.50 | 1.21 | neg | 2.37 | 2.42 | 16.7 | 102.5 | pos | 1 | pos | 1 |
| 5 | neg | 0.51 | neg | 0.88 | 0.16 | 0.8 | 29.6 | neg | neg | pos | 1 |
| 6 | neg | 0.30 | neg | 0.38 | 1.02 | neg | 11.3 | neg | neg | pos | 2 |
| 7 | 0.25 | 1.09 | 0.46 | 0.77 | 1.52 | 0.7 | 15.6 | pos | 1 | pos | 2 |
| 8 | neg | 0.71 | neg | 0.24 | neg | neg | 8.8 | pos | 4 | pos | 3 |
| 9 | neg | neg | 0.14 | 0.34 | 0.61 | NA | NA | pos | 2 | neg | neg |
| 10 | neg | 1.33 | neg | 0.14 | 0.62 | 8.6 | 3 | pos | 1 | pos | 1 |
| 11 | neg | neg | neg | neg | 1.43 | 5.1 | 46.3 | pos | 1 | pos | 1 |
| 12 | 0.38 | 1.32 | 0.37 | 0.89 | 1.18 | neg | 51.5 | neg | neg | pos | 1 |
| 13 | neg | 0.32 | neg | 0.35 | 0.71 | 2.1 | 25 | pos | 5 | pos | 2 |
| 14 | 0.22 | 0.38 | 0.21 | 0.37 | 1.20 | neg | 6.7 | pos | 1 | pos | 1 |
| 15 | 0.24 | 0.53 | 0.20 | 0.69 | 0.94 | 0.6 | neg | pos | 5 | pos | 1 |
| ‘Cepuna’ | ‘Conference’ | |||
|---|---|---|---|---|
| PT nr | Subjective | Objective | Subjective | Objective |
| 1 | IM | IM | SK, LA | |
| 2 | IM, IE | IM, IE | LA | |
| 3 | IM/2, IN | IM | ||
| 4 | IM | WH/2, LA/2 | IM | |
| 5 | ------- | IM | ||
| 6 | ------- | IM/3 | ||
| 7 | IM, IE, IN | IE, IN/2 | WH, LA | |
| 8 | IM/2 | IM | ||
| 9 | IM/2 | -------- | ||
| 10 | IM | LA | IM | LA |
| 11 | IM, IN | IM, IN | SK, LA | |
| 12 | -------- | IM/2, IN | WH | |
| 13 | IM | IM, N | ||
| 14 | IM/2, IN, N | IM, IN, N | LA | |
| 15 | IM | IM/2 | ||
| Allergen Name | Protein Type | kDa Based on AA Sequence | kDa without Signal Peptide |
|---|---|---|---|
| Pyr c 1.0101 | Bet v 1-like | 17,581 | |
| Pyr c 3.0101 | nsLTP | 11,463 | 9125 |
| Pyr c 4.0101 | Profilin | 14,064 | |
| Pyr c 5.0101 | Isoflavone reductase | 33,823 | |
| Mal d 2.0101 | Thaumatin | 25.7 | 23,211 |
Publisher’s Note: MDPI stays neutral with regard to jurisdictional claims in published maps and institutional affiliations. |
© 2021 by the authors. Licensee MDPI, Basel, Switzerland. This article is an open access article distributed under the terms and conditions of the Creative Commons Attribution (CC BY) license (https://creativecommons.org/licenses/by/4.0/).
Share and Cite
de Jong, N.W.; Terlouw, S.; van Boven, F.E.; van Maaren, M.S.; Schreurs, M.W.J.; van den Berg-Somhorst, D.B.P.M.; Esser, D.; Bastiaan-Net, S. Birch Pollen Related Pear Allergy: A Single-Blind Oral Challenge TRIAL with 2 Pear Cultivars. Nutrients 2021, 13, 1355. https://doi.org/10.3390/nu13041355
de Jong NW, Terlouw S, van Boven FE, van Maaren MS, Schreurs MWJ, van den Berg-Somhorst DBPM, Esser D, Bastiaan-Net S. Birch Pollen Related Pear Allergy: A Single-Blind Oral Challenge TRIAL with 2 Pear Cultivars. Nutrients. 2021; 13(4):1355. https://doi.org/10.3390/nu13041355
Chicago/Turabian Stylede Jong, Nicolette W., Severina Terlouw, Frank E. van Boven, M.S. van Maaren, Marco W.J. Schreurs, Dianne B.P.M. van den Berg-Somhorst, Diederik Esser, and Shanna Bastiaan-Net. 2021. "Birch Pollen Related Pear Allergy: A Single-Blind Oral Challenge TRIAL with 2 Pear Cultivars" Nutrients 13, no. 4: 1355. https://doi.org/10.3390/nu13041355
APA Stylede Jong, N. W., Terlouw, S., van Boven, F. E., van Maaren, M. S., Schreurs, M. W. J., van den Berg-Somhorst, D. B. P. M., Esser, D., & Bastiaan-Net, S. (2021). Birch Pollen Related Pear Allergy: A Single-Blind Oral Challenge TRIAL with 2 Pear Cultivars. Nutrients, 13(4), 1355. https://doi.org/10.3390/nu13041355
