Nutritional Status Impairment Due to Neoadjuvant Chemotherapy Predicts Post-Radical Cystectomy Complications
Abstract
:1. Introduction
2. Materials and Methods
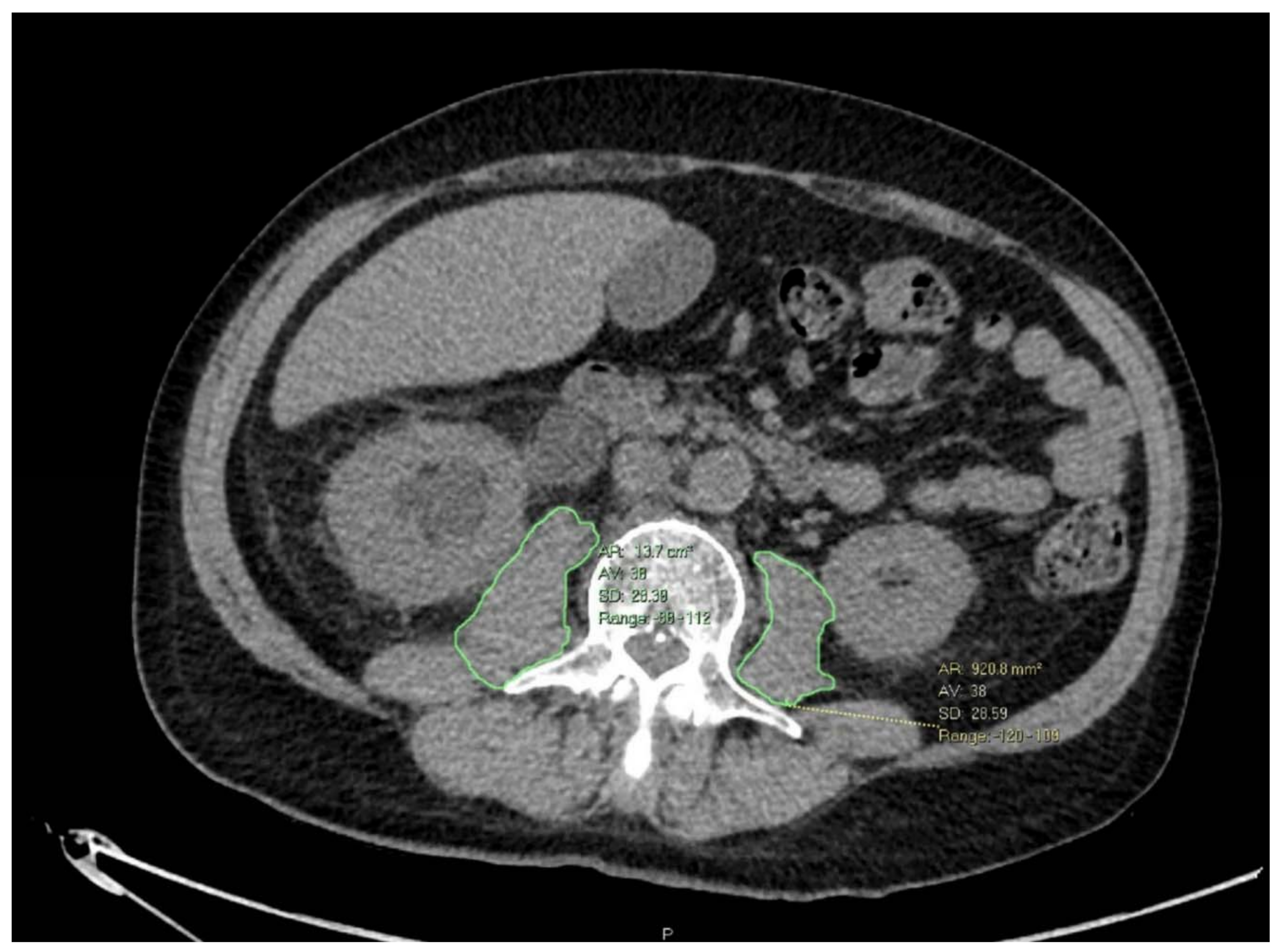
2.1. Extracted Variables
2.2. Outcomes
2.3. Statistical Analysis
3. Results
4. Discussion
5. Conclusions
Supplementary Materials
Author Contributions
Funding
Institutional Review Board Statement
Informed Consent Statement
Data Availability Statement
Conflicts of Interest
References
- Siegel, R.L.; Miller, K.D.; Fuchs, H.E.; Jemal, A. Cancer Statistics, 2021. CA Cancer J. Clin. 2021, 71, 7–33. [Google Scholar] [CrossRef] [PubMed]
- Witjes, J.A.; Compérat, E.; Cowan, N.C.; De Santis, M.; Gakis, G.; James, N.; Lebrét, T.; Sherif, A.; van der Heijden, A.G.; Ribal, M.J. Muscle-invasive and metastatic bladder cancer. Eur. Urol. Guidel. 2015, 71, 462–475. [Google Scholar]
- Vale, C. Neoadjuvant Chemotherapy in Invasive Bladder Cancer: Update of a Systematic Review and Meta-Analysis of Individual Patient Data: Advanced Bladder Cancer (ABC) Meta-analysis Collaboration. Eur. Urol. 2005, 48, 202–206. [Google Scholar] [CrossRef] [PubMed]
- Caillet, P.; Liuu, E.; Simon, A.R.; Bonnefoy, M.; Guerin, O.; Berrut, G.; Lesourd, B.; Jeandel, C.; Ferry, M.; Rolland, Y.; et al. Association between cachexia, chemotherapy and outcomes in older cancer patients: A systematic review. Clin. Nutr. 2017, 36, 1473–1482. [Google Scholar] [CrossRef]
- Donaldson, S.S.; Lenon, R.A. Alterations of nutritional status.Impact of chemotherapy and radiation therapy. Cancer 1979, 43, 2036–2052. [Google Scholar] [CrossRef]
- Gudny Geirsdottir, O.; Thorsdottir, I. Nutritional status of cancer patients in chemotherapy; dietary intake, nitrogen balance and screening. Food Nutr. Res. 2008, 52, 1856. [Google Scholar] [CrossRef]
- Holmes, S. Food avoidance in patients undergoing cancer chemotherapy. Support. Care Cancer 1993, 1, 326–330. [Google Scholar] [CrossRef]
- Ryan, A.M.; Power, D.G.; Daly, L.; Cushen, S.J.; Bhuachalla Ēadaoin, N.; Prado, C.M. Cancer-associated malnutrition, cachexia and sarcopenia: The skeleton in the hospital closet 40 years later. Proc. Nutr. Soc. 2016, 75, 199–211. [Google Scholar] [CrossRef] [Green Version]
- Comeau, T.B.; Epstein, J.B.; Migas, C. Taste and smell dysfunction in patients receiving chemotherapy: A review of current knowledge. Support. Care Cancer 2001, 9, 575–580. [Google Scholar] [CrossRef]
- Tashiro, M.; Yamada, S.; Sonohara, F.; Takami, H.; Suenaga, M.; Hayashi, M.; Niwa, Y.; Tanaka, C.; Kobayashi, D.; Nakayama, G.; et al. Clinical Impact of Neoadjuvant Therapy on Nutritional Status in Pancreatic Cancer. Ann. Surg. Oncol. 2018, 25, 3365–3371. [Google Scholar] [CrossRef]
- Deng, G.; Qu, J.; Zhai, S.; Shi, Y.; Wang, X. Effect of neoadjuvant chemotherapy on nutritional status of locally advanced gastric cancer. Zhonghua Wei Chang. Wai Ke Za Zhi Chin. J. Gastrointest. Surg. 2018, 21, 331–335. [Google Scholar]
- Glaser, G.; Hartman, L.; Cliby, W.; Torres, M.; Tabbaa, Z.; Kalli, K.; Weaver, A.; Jatoi, A.; Mariani, A. Impact of neoadjuvant chemotherapy (NACT) on nutritional status and treatment-related morbidity in medically unfit women with advanced ovarian cancer (AOC). Gynecol. Oncol. 2012, 125, S192–S193. [Google Scholar] [CrossRef]
- Satkunasivam, R.; Tallman, C.T.; Taylor, J.M.; Miles, B.J.; Klaassen, Z.; Wallis, C.J. Robot-assisted Radical Cystectomy Versus Open Radical Cystectomy: A Meta-analysis of Oncologic, Perioperative, and Complication-related outcomes. Eur. Urol. Oncol. 2019, 2, 443–447. [Google Scholar] [CrossRef]
- Allaire, J.; Ben-Zvi, T.; Lamarche, B.; Robitaille, K.; Fradet, Y.; Lacombe, L.; Fradet, V. Preoperative nutritional factors and outcomes after radical cystectomy: A narrative review. Can. Urol. Assoc. J. 2017, 11, 419. [Google Scholar] [CrossRef] [PubMed] [Green Version]
- Allaire, J.; Léger, C.; Ben-Zvi, T.; Nguilé-Makao, M.; Fradet, Y.; Lacombe, L.; Fradet, V. Prospective Evaluation of Nutritional Factors to Predict the Risk of Complications for Patients Undergoing Radical Cystectomy: A Cohort Study. Nutr. Cancer 2017, 69, 1–9. [Google Scholar] [CrossRef] [PubMed]
- Johnson, D.C.; Riggs, S.B.; Nielsen, M.E.; Matthews, J.E.; Woods, M.E.; Wallen, E.M.; Pruthi, R.S.; Smith, A.B. Nutritional predictors of complications following radical cystectomy. World J. Urol. 2015, 33, 1129–1137. [Google Scholar] [CrossRef] [PubMed] [Green Version]
- Sathianathen, N.J.; Kwaan, M.; Lawrentschuk, N.; Weight, C.J.; Kim, S.P.; Murphy, D.G.; Moon, D.A.; Konety, B.R. Adverse impact of malnutrition markers on major abdominopelvic cancer surgery. ANZ J. Surg. 2019, 89, 509–514. [Google Scholar] [CrossRef]
- Psutka, S.; Carrasco, A.; Schmit, G.D.; Moynagh, M.R.; Boorjian, S.A.; Frank, I.; Stewart, S.B.; Thapa, P.; Ms, R.F.T.; Cheville, J.C.; et al. Sarcopenia in patients with bladder cancer undergoing radical cystectomy: Impact on cancer-specific and all-cause mortality. Cancer 2014, 120, 2910–2918. [Google Scholar] [CrossRef]
- Smith, A.B.; Deal, A.M.; Yu, H.; Boyd, B.; Matthews, J.; Wallen, E.M.; Pruthi, R.S.; Woods, M.E.; Muss, H.; Nielsen, M.E. Sarcopenia as a Predictor of Complications and Survival Following Radical Cystectomy. J. Urol. 2014, 191, 1714–1720. [Google Scholar] [CrossRef]
- Haifler, M.; Ventura, Y.; Malsha, K.; Shpitzer, S.; Zisman, A.; Baniel, J.; Amiel, G.; Hoffman, A.; Golan, S. Neoadjuvant chemotherapy-induced sarcopenia to predict perioperative complications following radical cystectomy for bladder cancer. J. Clin. Oncol. 2020, 38, 478-478. [Google Scholar] [CrossRef]
- Chowdhury, M.Z.I.; Turin, T.C. Variable selection strategies and its importance in clinical prediction modelling. Fam. Med. Community Health 2020, 8, e000262. [Google Scholar] [CrossRef] [PubMed] [Green Version]
- Cohen, J. Statistical power analysis. Curr. Dir. Psychol. Sci. 1992, 1, 98–101. [Google Scholar] [CrossRef]
- Champely, S.; Ekstrom, C.; Dalgaard, P.; Gill, J. pwr: Basic functions for power analysis. R Package 2015, 1, 665. [Google Scholar]
- Arora, K.; Hanson, K.T.; Habermann, E.B.; Tollefson, M.K.; Psutka, S.P. Early Complications and Mortality following Radical Cystectomy: Associations with Malnutrition and Obesity. Bladder Cancer 2018, 4, 377–388. [Google Scholar] [CrossRef] [PubMed] [Green Version]
- Garg, T.; Chen, L.Y.; Kim, P.H.; Zhao, P.T.; Herr, H.W.; Donat, S. Preoperative serum albumin is associated with mortality and complications after radical cystectomy. BJU Int. 2014, 113, 918–923. [Google Scholar] [CrossRef] [PubMed]
- Gregg, J.R.; Cookson, M.S.; Phillips, S.; Salem, S.; Chang, S.S.; Clark, P.E.; Davis, R.; Stimson, C.J.; Aghazadeh, M.; Smith, J.A.; et al. Effect of preoperative nutritional deficiency on mortality after radical cystectomy for bladder cancer. J. Urol. 2011, 185, 90–96. [Google Scholar] [CrossRef] [Green Version]
- Naumann, P.; Habermehl, D.; Welzel, T.; Debus, J.; Combs, S. Outcome after neoadjuvant chemoradiation and correlation with nutritional status in patients with locally advanced pancreatic cancer. Strahlenther. Und Onkol. 2013, 189, 745–752. [Google Scholar] [CrossRef]
- Correa-De-Araujo, R.; Harris-Love, M.O.; Miljkovic, I.; Fragala, M.S.; Anthony, B.W.; Manini, T.M. The Need for Standardized Assessment of Muscle Quality in Skeletal Muscle Function Deficit and Other Aging-Related Muscle Dysfunctions: A Symposium Report. Front. Physiol. 2017, 8, 87. [Google Scholar] [CrossRef] [PubMed]




| Characteristic 1 | |
|---|---|
| Gender [n] | |
| Female | 25 (27%) |
| Male | 66 (73%) |
| Age [year] | 67 (60, 74) |
| CCI | 6 (4, 9) |
| ASA | 2 (1, 3) |
| Smoking [n] | 50 (55%) |
| NAC regimen [n] | |
| GC | 49 (54%) |
| MVAC/ddMVAC | 25 (27%) |
| Other | 17 (19%) |
| RC type [n] | |
| Open | 61 (67%) |
| RARC | 30 (33%) |
| Complication type [n] | |
| All Complications | 63 (69%) |
| Ileus | 42 (46%) |
| Readmissions | 30 (33%) |
| Infection | 36 (40%) |
| Other Complications | 36 (40%) |
| Pre NAC SMI [cm2/m2] | 6.96 (5.73, 8.33) |
| Post-NAC SMI [cm2/m2] | 6.17 (4.97, 7.40) |
| SMI change [cm2/m2] | −0.71 (−1.58, −0.06) |
| Pre NAC BMI [kg/m2] | 28.0 (25.2, 32.0) |
| Post-NAC BMI [kg/m2] | 26.9 (23.3, 31.4) |
| BMI change [kg/m2] | −1.0 (−2.7, 1.0) |
| Characteristic | Any Complication | p-Value 2,3 | Ileus | p-Value 2,3 | ||
|---|---|---|---|---|---|---|
| No, n = 28 1 | Yes, n = 63 1 | No, n = 49 1 | Yes, n = 42 1 | |||
| Gender [n] | 0.7 | >0.9 | ||||
| Female | 9 (32%) | 16 (25%) | 14 (29%) | 11 (26%) | ||
| Male | 19 (68%) | 47 (75%) | 35 (71%) | 31 (74%) | ||
| Age [year] | 68 (61, 77) | 67 (60, 74) | 0.6 | 68 (60, 76) | 66 (60, 73) | 0.5 |
| CCI | 6 (4, 51) | 6 (4, 8) | 0.6 | 5 (4, 43) | 6 (4, 8) | >0.9 |
| ASA | 2 (1, 3) | 2 (1, 3) | 0.9 | 2 (1, 3) | 2 (1, 2) | 0.058 |
| Smoking [n] | 19 (68%) | 31 (49%) | 0.3 | 30 (61%) | 20 (48%) | 0.3 |
| NAC regimen [n] | 0.045 | 0.006 | ||||
| GC | 21 (49%) | 28 (51%) | 35 (71%) | 14 (29%) | ||
| MVAC/ddMVAC | 3 (12%) | 22 (88%) | 8 (32%) | 17 (68%) | ||
| Other | 4 (23%) | 13 (77%) | 6 (35%) | 11 (65%) | ||
| RC type [n] | 0.4 | 0.6 | ||||
| Open | 16 (57%) | 45 (71%) | 31 (63%) | 30 (71%) | ||
| RARC | 12 (43%) | 18 (29%) | 18 (37%) | 12 (29%) | ||
| Pre NAC SMI [cm2/m2] | 6.64 (5.59, 7.35) | 7.23 (5.95, 8.66) | 0.045 | 6.79 (5.61, 7.50) | 7.70 (6.46, 8.96) | 0.031 |
| Post-NAC SMI [cm2/m2] | 6.30 (5.53, 7.08) | 6.04 (4.91, 7.64) | >0.9 | 6.14 (5.15, 7.16) | 6.38 (4.81, 7.58) | >0.9 |
| SMI change [cm2/m2] | −0.11 (−0.41, 0.1) | −1.2 (−1.72, −0.34) | <0.001 | −0.27 (−0.99, 0.08) | −1.50 (−2.00, −0.76) | <0.001 |
| Pre NAC BMI [kg/m2] | 27.6 (23.9, 30.7) | 29.0 (25.4, 32.0) | 0.6 | 27.3 (24.0, 30.7) | 29.1 (26.0, 32.9) | 0.11 |
| Post-NAC BMI [kg/m2] | 25.4 (22.8, 29.5) | 27.1 (23.6, 31.9) | 0.4 | 26.1 (22.9, 29.4) | 28.0 (23.9, 32.4) | 0.12 |
| BMI change [kg/m2] | −0.9 (−3.1, 0.7) | −1.0 (−2.5, 1.2) | 0.9 | −0.8 (−2.3, 1.1) | −1.5 (−3.0, 0.7) | 0.6 |
| Characteristic | Infection | p-Value 2,3 | Other Complications | p-Value 2,3 | ||
|---|---|---|---|---|---|---|
| No, n = 55 1 | Yes, n = 36 1 | No, n = 55 1 | Yes, n = 36 1 | |||
| Gender [n] | 0.9 | 0.2 | ||||
| Female | 16 (29%) | 9 (25%) | 19 (35%) | 6 (17%) | ||
| Male | 39 (71%) | 27 (75%) | 36 (65%) | 30 (83%) | ||
| Age [year] | 68 (60, 74) | 66 (60, 73) | 0.9 | 68 (60, 76) | 66 (60, 72) | 0.4 |
| CCI | 6 (4, 26) | 6 (4, 8) | 0.9 | 6 (4, 46) | 6 (4, 6) | 0.2 |
| ASA | 2 (1, 3) | 2 (1, 3) | 0.8 | 2 (1, 3) | 2 (1, 3) | 0.7 |
| Smoking [n] | 36 (65%) | 14 (39%) | 0.086 | 38 (69%) | 12 (33%) | 0.006 |
| NAC regimen [n] | 0.8 | 0.4 | ||||
| GC | 32 (65%) | 17 (35%) | 32 (65%) | 17 (35%) | ||
| MVAC/ddMVAC | 15 (60%) | 10 (40%) | 12 (48%) | 13 (52%) | ||
| Other | 8 (47%) | 9 (53%) | 11 (65%) | 6 (35%) | ||
| RC type [n] | 0.8 | 0.011 | ||||
| Open | 35 (64%) | 26 (72%) | 30 (55%) | 31 (86%) | ||
| RARC | 20 (36%) | 10 (28%) | 25 (45%) | 5 (14%) | ||
| Pre NAC SMI [cm2/m2] | 6.90 (5.58, 8.31) | 7.00 (6.37, 8.45) | 0.6 | 6.80 (5.30, 7.66) | 7.70 (6.60, 8.69) | 0.037 |
| Post-NAC SMI [cm2/m2] | 6.33 (5.15, 7.28) | 5.59 (4.85, 7.51) | 0.8 | 6.14 (4.68, 7.28) | 6.38 (5.04, 7.51) | 0.8 |
| SMI change [cm2/m2] | −0.30 (−1.10, 0.01) | −1.50 (−2.00, −0.91) | <0.001 | −0.30 (−1.05, 0.07) | −1.58 (−2.03, −0.68) | <0.001 |
| Pre NAC BMI [kg/m2] | 28.8 (25.0, 32.0) | 27.9 (25.3, 32.0) | 0.9 | 28.8 (24.6, 32.0) | 27.9 (25.9, 30.6) | 0.8 |
| Post-NAC BMI [kg/m2] | 27.0 (23.2, 31.2) | 26.5 (23.3, 31.4) | >0.9 | 26.8 (23.0, 31.4) | 27.1 (23.9, 31.0) | 0.7 |
| BMI change [kg/m2] | −0.9 (−3.2, 1.2) | −1.7 (−2.3, 0.7) | 0.9 | −1.0 (−2.9, 0.8) | −1.0 (−2.2, 1.2) | 0.8 |
| Characteristic | All Complications | Ileus | Infection | Other Complications | ||||||||
|---|---|---|---|---|---|---|---|---|---|---|---|---|
| OR 1 | 95% CI 1 | p-Value | OR 1 | 95% CI 1 | p-Value | OR 1 | 95% CI 1 | p-Value | OR 1 | 95% CI 1 | p-Value | |
| Gender | 0.5 | 0.8 | 0.7 | 0.056 | ||||||||
| Female | — | — | — | — | — | — | — | — | ||||
| Male | 1.39 | 0.51, 3.66 | 1.13 | 0.45, 2.89 | 1.23 | 0.48, 3.29 | 2.64 | 0.98, 8.01 | ||||
| CCI | 0.99 | 0.98, 1.00 | 0.2 | 1 | 0.99, 1.01 | 0.6 | 1 | 0.99, 1.01 | >0.9 | 0.99 | 0.97, 1.00 | 0.076 |
| ASA | 0.93 | 0.56, 1.52 | 0.8 | 0.58 | 0.35, 0.93 | 0.022 | 0.88 | 0.55, 1.41 | 0.6 | 0.88 | 0.55, 1.41 | 0.6 |
| Smoking | 0.46 | 0.17, 1.14 | 0.1 | 0.58 | 0.25, 1.32 | 0.2 | 0.34 | 0.14, 0.79 | 0.012 | 0.22 | 0.09, 0.54 | <0.001 |
| NAC Regimen | 0.014 | 0.001 | 0.4 | 0.3 | ||||||||
| GC | — | — | — | — | — | — | — | — | ||||
| MVAC/ | 5.5 | 1.63, 25.4 | 5.31 | 1.93, 15.8 | 1.25 | 0.46, 3.39 | 2.04 | 0.77, 5.52 | ||||
| ddMVAC | ||||||||||||
| other | 2.44 | 0.74, 9.63 | 4.58 | 1.46, 15.7 | 2.12 | 0.69, 6.64 | 1.03 | 0.31, 3.21 | ||||
| RC type | 0.2 | 0.4 | 0.4 | 0.001 | ||||||||
| Open | — | — | — | — | — | — | — | — | ||||
| RARC | 0.53 | 0.21, 1.36 | 0.69 | 0.28, 1.66 | 0.67 | 0.26, 1.65 | 0.19 | 0.06, 0.54 | ||||
| Pre NAC SMI | 1.35 | 1.05, 1.76 | 0.045 | 1.39 | 1.11, 1.80 | 0.014 | 1.17 | 0.94, 1.47 | 0.6 | 1.37 | 1.09, 1.78 | 0.016 |
| Pre NAC BMI | 1.04 | 0.95, 1.15 | 0.5 | 1.11 | 1.01, 1.22 | 0.056 | 0.99 | 0.90, 1.09 | >0.9 | 0.99 | 0.91, 1.09 | >0.9 |
| SMI change | 0.26 | 0.12, 0.49 | <0.001 | 0.28 | 0.15, 0.48 | <0.001 | 0.37 | 0.21, 0.61 | <0.001 | 0.29 | 0.15, 0.49 | <0.001 |
| BMI change | 1.01 | 0.90, 1.14 | 0.8 | 0.97 | 0.86, 1.08 | 0.7 | 1 | 0.89, 1.12 | >0.9 | 1.02 | 0.92, 1.15 | 0.7 |
| Characteristic | All Complications | Ileus | Infection | Other Complications | ||||||||
|---|---|---|---|---|---|---|---|---|---|---|---|---|
| OR 1 | 95% CI 1 | p-Value | OR 1 | 95% CI 1 | p-Value | OR 1 | 95% CI 1 | p-Value | OR 1 | 95% CI 1 | p-Value | |
| Gender | 0.7 | |||||||||||
| Female | — | — | ||||||||||
| Male | 1.31 | 0.31, 5.78 | ||||||||||
| CCI | 0.98 | 0.96, 1.00 | 0.3 | 0.99 | 0.97, 1.02 | 0.4 | ||||||
| ASA | 0.69 | 0.34, 1.35 | 0.4 | |||||||||
| Smoking | 0.74 | 0.20, 2.63 | 0.8 | 1.01 | 0.24, 4.41 | >0.9 | 0.72 | 0.26, 2.10 | 0.9 | 0.60 | 0.16, 2.24 | 0.7 |
| NAC regimen | 0.8 | 0.2 | 0.4 | |||||||||
| GC | — | — | — | — | — | — | ||||||
| MVAC/ddMVAC | 2.64 | 0.52, 15.9 | 2.97 | 0.65, 14.3 | 0.54 | 0.11, 2.41 | ||||||
| other | 1.63 | 0.31, 10.0 | 5.51 | 0.94, 38.6 | 0.14 | 0.02, 0.98 | ||||||
| RC type | 0.8 | 0.3 | ||||||||||
| Open | — | — | — | — | ||||||||
| RARC | 1.38 | 0.27, 7.64 | 0.28 | 0.03, 1.11 | ||||||||
| Pre NAC SMI | 0.99 | 0.67, 1.51 | >0.9 | 1.13 | 0.81, 1.59 | 0.6 | 1.00 | 1.00, 1.00 | 0.8 | 0.88 | 0.58, 1.34 | 0.7 |
| SMI change | 0.31 | 0.12, 0.72 | 0.039 | 0.34 | 0.13, 0.79 | 0.045 | 0.4 | 0.2, 0.71 | 0.004 | 0.2 | 0.07, 0.49 | 0.001 |
| Pre NAC BMI | 1.18 | 0.99, 1.38 | 0.051 | |||||||||
| BMI change | // | 0.95 | 0.80, 1.13 | 0.9 | ||||||||
Publisher’s Note: MDPI stays neutral with regard to jurisdictional claims in published maps and institutional affiliations. |
© 2021 by the authors. Licensee MDPI, Basel, Switzerland. This article is an open access article distributed under the terms and conditions of the Creative Commons Attribution (CC BY) license (https://creativecommons.org/licenses/by/4.0/).
Share and Cite
Cohen, S.; Gal, J.; Freifeld, Y.; Khoury, S.; Dekel, Y.; Hofman, A.; Malshi, K.; Amiel, G.; Sagi, I.; Leibovici, I.; et al. Nutritional Status Impairment Due to Neoadjuvant Chemotherapy Predicts Post-Radical Cystectomy Complications. Nutrients 2021, 13, 4471. https://doi.org/10.3390/nu13124471
Cohen S, Gal J, Freifeld Y, Khoury S, Dekel Y, Hofman A, Malshi K, Amiel G, Sagi I, Leibovici I, et al. Nutritional Status Impairment Due to Neoadjuvant Chemotherapy Predicts Post-Radical Cystectomy Complications. Nutrients. 2021; 13(12):4471. https://doi.org/10.3390/nu13124471
Chicago/Turabian StyleCohen, Sharon, Jonathan Gal, Yuval Freifeld, Sobhi Khoury, Yoram Dekel, Azik Hofman, Kamil Malshi, Gilad Amiel, Itay Sagi, Ilan Leibovici, and et al. 2021. "Nutritional Status Impairment Due to Neoadjuvant Chemotherapy Predicts Post-Radical Cystectomy Complications" Nutrients 13, no. 12: 4471. https://doi.org/10.3390/nu13124471
APA StyleCohen, S., Gal, J., Freifeld, Y., Khoury, S., Dekel, Y., Hofman, A., Malshi, K., Amiel, G., Sagi, I., Leibovici, I., Golan, S., Baniel, J., Rozenzweig, B., Dotan, Z., & Haifler, M. (2021). Nutritional Status Impairment Due to Neoadjuvant Chemotherapy Predicts Post-Radical Cystectomy Complications. Nutrients, 13(12), 4471. https://doi.org/10.3390/nu13124471

