Neuroprotective Potential of Allium sativum against Monosodium Glutamate-Induced Excitotoxicity: Impact on Short-Term Memory, Gliosis, and Oxidative Stress
Abstract
1. Introduction
2. Materials and Methods
2.1. Preparation of Allium sativum Powder
2.2. Gas Chromatography–Mass Spectrometry (GC-MS) Analysis of Allium sativum Powder
2.3. Experimental Design
2.4. Behavioral Tests
2.4.1. Assessment of Motor Function
2.4.2. Assessment of Short-Term Spatial Memory
Novel Object Discrimination
Modified T-Maze
2.5. Measurement of Brain Tissues Malondialdehyde Concentration and Superoxide Dismutase Activity
2.6. Histological Examination
2.7. Immunohistochemical Investigations
2.8. Statistical Analysis
3. Results
3.1. The Phytochemical Components of Allium sativum Powder
3.2. Allium sativum Improved Motor Functions of Rats Administrated MSG
3.3. Allium sativum Modulated the Effect of MSG on Short-Term Spatial Memory of Rats
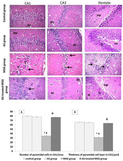
3.4. Allium sativum Modified MSG-Induced Alterations in Brain Tissue Architecture of Rats
3.5. Allium sativum Reduced MSG-Induced GFAP and Calretinin Protein Expression While Increasing Ki-67 Protein Expression in Brain Tissue of Rats
4. Discussion
5. Conclusions
Supplementary Materials
Author Contributions
Funding
Acknowledgments
Conflicts of Interest
References
- Bhattacharya, T.; Bhakta, A.; Ghosh, S.K. Long term effect of monosodium glutamate in liver of albino mice after neo-natal exposure. Nepal. Med. Coll. J. 2011, 13, 11–16. [Google Scholar] [PubMed]
- Garattini, S. Glutamic acid, twenty years later. J. Nutr. 2000, 130, 901S–909S. [Google Scholar] [CrossRef] [PubMed]
- Freeman, M. Reconsidering the effects of monosodium glutamate: A literature review. J. Am. Acad. Nurse Pr. 2006, 18, 482–486. [Google Scholar] [CrossRef] [PubMed]
- Dief, A.E.; Kamha, E.S.; Baraka, A.M.; Elshorbagy, A.K. Monosodium glutamate neurotoxicity increases beta amyloid in the rat hippocampus: A potential role for cyclic AMP protein kinase. NeuroToxicology 2014, 42, 76–82. [Google Scholar] [CrossRef]
- Onyema, O.O.; Farombi, E.O.; Emerole, G.O.; Ukoha, A.I.; Onyeze, G.O. Effect of vitamin E on monosodium glutamate induced hepatotoxicity and oxidative stress in rats. Indian J. Biochem. Biophys. 2006, 43, 20–24. [Google Scholar]
- Shivasharan, B.D.; Nagakannan, P.; Thippeswamy, B.S.; Veerapur, V.P. Protective effect of Calendula officinalis L. flowers against monosodium glutamate induced oxidative stress and excitotoxic brain damage in rats. Indian J. Clin. Biochem. 2013, 28, 292–298. [Google Scholar] [CrossRef]
- Farombi, E.O.; Onyema, O.O. Onyema, Monosodium glutamate-induced oxidative damage and genotoxicity in the rat: Modulatory role of vitamin C, vitamin E and quercetin. Hum. Exp. Toxicol. 2006, 25, 251–259. [Google Scholar] [CrossRef]
- Kumar, L.P.; Panneerselvam, N. Panneerselvam, Cytogenetic studies of food preservative in Allium cepa root meristem cells. Med. Biol. 2007, 14, 60–63. [Google Scholar]
- Pavlovic, V.; Sarac, M. The role of ascorbic acid and monosodium glutamate in thymocyte apoptosis. Bratisl. Lek. List. 2010, 111, 357–360. [Google Scholar]
- Olney, J.W. Brain lesions, obesity, and other disturbances in mice treated with monosodium glutamate. Science 1969, 164, 719–721. [Google Scholar] [CrossRef]
- Lipton, S.A.; Rosenberg, P.A. Excitatory amino acids as a final common pathway for neurologic disorders. New Engl. J. Med. 1994, 330, 613–622. [Google Scholar] [PubMed]
- Mallick, H. Understanding safety of glutamate in food and brain. Indian J. Physiol. Pharmacol. 2007, 51, 216. [Google Scholar] [PubMed]
- Fujikawa, D.G. Prolonged seizures and cellular injury: Understanding the connection. Epilepsy Behav. 2005, 7, 3–11. [Google Scholar] [CrossRef] [PubMed]
- Mattson, M.P. Glutamate and neurotrophic factors in neuronal plasticity and disease. Ann. New York Acad. Sci. 2008, 1144, 97. [Google Scholar] [CrossRef]
- López-Pérez, S.J.; Ureña-Guerrero, M.E.; Morales-Villagrán, A. Morales-Villagrán, Monosodium glutamate neonatal treatment as a seizure and excitotoxic model. Brain Res. 2010, 1317, 246–256. [Google Scholar] [CrossRef]
- Schipper, H.M. Brain iron deposition and the free radical-mitochondrial theory of ageing. Ageing Res. Rev. 2004, 3, 265–301. [Google Scholar] [CrossRef]
- Dringen, R. Metabolism and functions of glutathione in brain. Prog. Neurobiol. 2000, 62, 649–671. [Google Scholar] [CrossRef]
- Rao, S.D.; Yin, H.Z.; Weiss, J.H. Disruption of glial glutamate transport by reactive oxygen species produced in motor neurons. J. Neurosci. 2003, 23, 2627–2633. [Google Scholar] [CrossRef] [PubMed]
- Amin, S.N.; Younan, S.M.; Youssef, M.F.; A Rashed, L.; Mohamady, I. A histological and functional study on hippocampal formation of normal and diabetic rats. F1000Research 2013, 2, 151. [Google Scholar] [CrossRef]
- Liedtke, W.; Edelmann, W.; Bieri, P.L.; Chiu, F.-C.; Cowan, N.J.; Kucherlapati, R.; Raine, C.S. GFAP is necessary for the integrity of CNS white matter architecture and long-term maintenance of myelination. Neuron 1996, 17, 607–615. [Google Scholar] [CrossRef]
- Pekny, M.; Levéen, P.; Pekna, M.; Eliasson, C.; Berthold, C.; Westermark, B.; Betsholtz, C. Mice lacking glial fibrillary acidic protein display astrocytes devoid of intermediate filaments but develop and reproduce normally. EMBO J. 1995, 14, 1590–1598. [Google Scholar] [CrossRef] [PubMed]
- Sofroniew, M.V.; Vinters, H.V. Astrocytes: Biology and pathology. Acta Neuropathol. 2009, 119, 7–35. [Google Scholar] [CrossRef] [PubMed]
- Liedtke, W.; Edelmann, W.; Chiu, F.C.; Kucherlapati, R.; Raine, C.S. Experimental autoimmune ncephalomyelitis in mice lacking lial fibrillary acidic protein is characterized by a more severe clinical course and an infiltrative central nervous system lesion. Am. J. Pathol. 1998, 152, 251–259. [Google Scholar] [PubMed]
- Darlington, C.L. Astrocytes as targets for neuroprotective drugs. Curr. Opin. Investig. Drugs 2005, 6, 700–703. [Google Scholar] [PubMed]
- Rycerz, K.; Krawczyk, A.; Jaworska-Adamu, J.; Krawczyk-Marc, I. Effects of monosodium glutamate treatment on calretinin-immunoreactive neurons in hippocampus of postnatal rats. Folia Histochem. Cytobiol. 2014, 52, 281–288. [Google Scholar] [CrossRef] [PubMed]
- Owoeye, O.; Salami, O. Monosodium glutamate toxicity: Sida acuta leaf extract ameliorated brain histological alterations, biochemical and haematological changes in wistar rats. Afr. J. Biomed. Res. 2017, 20, 173–182. [Google Scholar]
- Amagase, H.; Petesch, B.L.; Matsuura, H.; Kasuga, S.; Itakura, Y. Intake of garlic and its bioactive components. J. Nutr. 2001, 131, 955S–962S. [Google Scholar] [CrossRef]
- El-Ashmawy, N.E.; Khedr, E.G.; El-Bahrawy, H.A.; Selim, H.M. Gastroprotective effect of garlic in indomethacin induced gastric ulcer in rats. Nutrition 2016, 32, 849–854. [Google Scholar] [CrossRef]
- Tesfaye, A.; Mengesha, W. Traditional Uses, Phytochemistry and Pharmacological Properties of Garlic (Allium Sativum) and its Biological Active Compounds. Int. J. Sci. Res. Eng. Technol. 2015, 1, 142–148. [Google Scholar]
- Wichai, T.; Pannangrong, W.; Welbat, J.; Chaichun, A.; Sripanidkulchai, K.; Sripanidkulchai, B. Effects of aged garlic extract on spatial memory and oxidative damage in the brain of amyloid-ß induced rats. Songklanakarin J. Sci. Technol. 2019, 41, 311–318. [Google Scholar]
- Albus, U. Guide for the Care and Use of Laboratory Animals, 8th ed.; SAGE Publications Sage UK: London, UK, 2012. [Google Scholar]
- Hammami, I.; El May, M. Impact of garlic feeding (A llium sativum) on male fertility. Andrologia 2013, 45, 217–224. [Google Scholar] [CrossRef] [PubMed]
- Dixit, S.G.; Rani, P.; Anand, A.; Khatri, K.; Chauhan, R.; Bharihoke, V. To study the effect of monosodium glutamate on histomorphometry of cortex of kidney in adult albino rats. Ren. Fail. 2013, 36, 266–270. [Google Scholar] [CrossRef] [PubMed]
- Matheus, F.C.; Rial, D.; Real, J.I.; Lemos, C.; Ben, J.; Guaita, G.O.; Pita, I.; Sequeira, A.C.; Pereira, F.C.; Walz, R.; et al. Decreased synaptic plasticity in the medial prefrontal cortex underlies short-term memory deficits in 6-OHDA-lesioned rats. Behav. Brain Res. 2016, 301, 43–54. [Google Scholar] [CrossRef] [PubMed]
- Pires, V.A.; Pamplona, F.; Pandolfo, P.; Prediger, R.D.; Takahashi, R.N. Chronic caffeine treatment during prepubertal period confers long-term cognitive benefits in adult spontaneously hypertensive rats (SHR), an animal model of attention deficit hyperactivity disorder (ADHD). Behav. Brain Res. 2010, 215, 39–44. [Google Scholar] [CrossRef] [PubMed]
- Soares, E.; Prediger, R.D.; Nunes, S.; De Castro, A.A.; Viana, S.; Lemos, C.; De Souza, C.; Agostinho, P.; Cunha, R.A.; Carvalho, E.; et al. Spatial memory impairments in a prediabetic rat model. Neuroscience 2013, 250, 565–577. [Google Scholar] [CrossRef] [PubMed]
- Draper, H.; Squires, E.; Mahmoodi, H.; Wu, J.; Agarwal, S.; Hadley, M. A comparative evaluation of thiobarbituric acid methods for the determination of malondialdehyde in biological materials. Free. Radic. Boil. Med. 1993, 15, 353–363. [Google Scholar] [CrossRef]
- Nishikimi, M.; Rao, N.A.; Yagi, K. The occurrence of superoxide anion in the reaction of reduced phenazine methosulfate and molecular oxygen. Biochem. Biophys. Res. Commun. 1972, 46, 849–854. [Google Scholar] [CrossRef]
- Bancroft, J.D.; Gamble, M. Theory and Practice of Histological Techniques; Elsevier: Amsterdam, The Netherlands, 2008. [Google Scholar]
- Kiernan, J.A. Histological and histochemical methods: Theory and Practice. Shock 1999, 12, 479. [Google Scholar]
- Schneider, C.A.; Rasband, W.S.; Eliceiri, K.W. NIH Image to ImageJ: 25 years of image analysis. Nat. Methods 2012, 9, 671. [Google Scholar] [CrossRef]
- Singh, K.; Pushpa, A. Alteration in some antioxidant enzymes in cardiac tissue upon monosodium glutamate [MSG] administration to adult male mice. Indian J. Clin. Biochem. 2005, 20, 43–46. [Google Scholar] [CrossRef]
- Cabrera, G.G.; Ureña-Guerrero, M.E.; Rivera-Cervantes, M.C.; Feria-Velasco, A.I.; Beas-Zarate, C. Excitotoxicity triggered by neonatal monosodium glutamate treatment and blood–brain barrier function. Arch. Med Res. 2014, 45, 653–659. [Google Scholar] [CrossRef] [PubMed]
- Hassaan, P.S.; Dief, A.E.; Zeitoun, T.M.; Baraka, A.M.; Deacon, R.M.J.; Elshorbagy, A. Cortical tau burden and behavioural dysfunctions in mice exposed to monosodium glutamate in early life. PLoS ONE 2019, 14, e0220720. [Google Scholar] [CrossRef] [PubMed]
- Sanabria, E.; Pereira, M.; Dolnikoff, M.; Andrade, I.; Ferreira, A.; Cavalheiro, E.A.; Fernandes, M.J.D.S. Deficit in hippocampal long-term potentiation in monosodium glutamate-treated rats. Brain Res. Bull. 2002, 59, 47–51. [Google Scholar] [CrossRef]
- Colín-González, A.L.; Ali, S.F.; Túnez, I.; Santamaría, A. On the antioxidant, neuroprotective and anti-inflammatory properties of S-allyl cysteine: An update. Neurochem. Int. 2015, 89, 83–91. [Google Scholar] [CrossRef] [PubMed]
- Lau, A.; Tymianski, M. Glutamate receptors, neurotoxicity and neurodegeneration. Pflüg. Arch.-Eur. J. Physiol. 2010, 460, 525–542. [Google Scholar] [CrossRef]
- Tang, Q.; Ren, H.; Yan, L.; Quan, X.; Xia, H.; Luo, H. Diallyl trisulfide regulates rat colonic smooth muscle contractions by inhibiting L-type calcium channel currents. J. Pharmacol. Sci. 2018, 137, 299–304. [Google Scholar] [CrossRef]
- Rojas, P.; Serrano-García, N.; Medina-Campos, O.N.; Pedraza-Chaverri, J.; Maldonado, P.D.; Ruiz, E. S-Allylcysteine, a garlic compound, protects against oxidative stress in 1-methyl-4-phenylpyridinium-induced parkinsonism in mice. J. Nutr. Biochem. 2011, 22, 937–944. [Google Scholar] [CrossRef]
- Beer, R.; Franz, G.; Srinivasan, A.; Hayes, R.L.; Pike, B.R.; Newcomb, J.K.; Zhao, X.; Schmutzhard, E.; Poewe, W.; Kampfl, A. Temporal profile and cell subtype distribution of activated caspase-3 following experimental traumatic brain injury. J. Neurochem. 2000, 75, 1264–1273. [Google Scholar] [CrossRef]
- Ghoneim, F.M.; A Khalaf, H.; Elsamanoudy, A.; El-Khair, S.M.A.; Helaly, A.M.N.; Mahmoud, E.-H.M.; Elshafey, S.H. Protective effect of chronic caffeine intake on gene expression of brain derived neurotrophic factor signaling and the immunoreactivity of glial fibrillary acidic protein and Ki-67 in Alzheimer’s disease. Int. J. Clin. Exp. Pathol. 2015, 8, 7710–7728. [Google Scholar]
- Demeule, M.; Brossard, M.; Turcotte, S.; Régina, A.; Jodoin, J.; Beliveau, R. Diallyl disulfide, a chemopreventive agent in garlic, induces multidrug resistance-associated protein 2 expression. Biochem. Biophys. Res. Commun. 2004, 324, 937–945. [Google Scholar] [CrossRef]
- Xu, X.H.; Li, G.L.; Wang, B.A.; Qin, Y.; Bai, S.R.; Rong, J.; Deng, T.; Li, Q. Diallyl trisufide protects against oxygen glucose deprivation-induced apoptosis by scavenging free radicals via the PI3K/Akt-mediated Nrf2/HO-1 signaling pathway in B35 neural cells. Brain Res. 2015, 1614, 38–50. [Google Scholar] [CrossRef] [PubMed]
- Chung, L.Y. The antioxidant properties of garlic compounds: Allyl cysteine, alliin, allicin, and allyl disulfide. J. Med. Food 2006, 9, 205–213. [Google Scholar] [CrossRef] [PubMed]
- Hwang, C.J.; Lee, H.P.; Choi, N.-Y.; Jeong, H.S.; Kim, T.H.; Lee, T.H.; Kim, Y.M.; Moon, D.B.; Park, S.S.; Kim, S.Y.; et al. Inhibitory effect of thiacremonone on MPTP-induced dopaminergic neurodegeneration through inhibition of p38 activation. Oncotarget 2016, 7, 46943–46958. [Google Scholar] [CrossRef]
- Liu, C.; Leng, B.; Li, Y.; Jiang, H.; Duan, W.; Guo, Y.; Li, C.; Hong, K. Diallyl trisulfide protects motor neurons from the neurotoxic protein TDP-43 via activating lysosomal degradation and the antioxidant response. Neurochem. Res. 2018, 43, 2304–2312. [Google Scholar] [CrossRef] [PubMed]
- Mostafa, D.; El Azhary, N.M.; Nasra, R.A. The hydrogen sulfide releasing compounds ATB-346 and diallyl trisulfide attenuate streptozotocin-induced cognitive impairment, neuroinflammation, and oxidative stress in rats: Involvement of asymmetric dimethylarginine. Can. J. Physiol. Pharmacol. 2016, 94, 699–708. [Google Scholar] [CrossRef] [PubMed]
- Galal, M.K.; Elleithy, E.M.; Abdrabou, M.I.; Yasin, N.A.; Shaheen, Y.M. Modulation of caspase-3 gene expression and protective effects of garlic and spirulina against CNS neurotoxicity induced by lead exposure in male rats. NeuroToxicology 2019, 72, 15–28. [Google Scholar] [CrossRef]
- Escribano, B.; Aguera-Morales, E.; Aguilar-Luque, M.; Luque, E.; Feijóo, M.; Latorre, M.; Giraldo, A.; Galván-Jurado, A.; Caballero-Villarraso, J.; García-Maceira, F.; et al. Neuroprotective effect of S-allyl cysteine on an experimental model of multiple sclerosis: Antioxidant effects. J. Funct. Foods 2018, 42, 281–288. [Google Scholar] [CrossRef]








| Compounds | RT/min | Area % | MW | Formula |
|---|---|---|---|---|
| Diallyl disulphide (DAD) | 8.22 | 22.29 | 146 | C6H10S2 |
| Carvone | 12.73 | 0.60 | 150 | C10H14O |
| Diallyl trisulfide (DAT) | 14.23 | 38.21 | 178 | C6H10S3 |
| Allyl tetrasulfide (AT) | 20.31 | 1.15 | 210 | C6H10S4 |
| 1-Allyl-3-(2-(allylthio) propyl) trisulfane | 26.48 | 3.46 | 252 | C9H16S4 |
| Control | Allium sativum | MSG | Allium sativum-Treated MSG | |
|---|---|---|---|---|
| MDA (nmole/mg protein) | 1.6 ± 0.57 c | 1.25 ± 0.39 c | 29.5 ± 2.38* a | 8.5 ± 0.78 * ψ b |
| SOD (U/mg protein) | 1.066 ± 0.032a | 1.07 ± 0.026 a | 0.923 ± 0.011* b | 1.007 ± 0.01 ψ b |
© 2020 by the authors. Licensee MDPI, Basel, Switzerland. This article is an open access article distributed under the terms and conditions of the Creative Commons Attribution (CC BY) license (http://creativecommons.org/licenses/by/4.0/).
Share and Cite
Hazzaa, S.M.; Abdelaziz, S.A.M.; Abd Eldaim, M.A.; Abdel-Daim, M.M.; Elgarawany, G.E. Neuroprotective Potential of Allium sativum against Monosodium Glutamate-Induced Excitotoxicity: Impact on Short-Term Memory, Gliosis, and Oxidative Stress. Nutrients 2020, 12, 1028. https://doi.org/10.3390/nu12041028
Hazzaa SM, Abdelaziz SAM, Abd Eldaim MA, Abdel-Daim MM, Elgarawany GE. Neuroprotective Potential of Allium sativum against Monosodium Glutamate-Induced Excitotoxicity: Impact on Short-Term Memory, Gliosis, and Oxidative Stress. Nutrients. 2020; 12(4):1028. https://doi.org/10.3390/nu12041028
Chicago/Turabian StyleHazzaa, Suzan M., Seham Ahmed Mohamed Abdelaziz, Mabrouk A. Abd Eldaim, Mohamed M. Abdel-Daim, and Ghada E. Elgarawany. 2020. "Neuroprotective Potential of Allium sativum against Monosodium Glutamate-Induced Excitotoxicity: Impact on Short-Term Memory, Gliosis, and Oxidative Stress" Nutrients 12, no. 4: 1028. https://doi.org/10.3390/nu12041028
APA StyleHazzaa, S. M., Abdelaziz, S. A. M., Abd Eldaim, M. A., Abdel-Daim, M. M., & Elgarawany, G. E. (2020). Neuroprotective Potential of Allium sativum against Monosodium Glutamate-Induced Excitotoxicity: Impact on Short-Term Memory, Gliosis, and Oxidative Stress. Nutrients, 12(4), 1028. https://doi.org/10.3390/nu12041028

