The Diverse Potential of Gluten from Different Durum Wheat Varieties in Triggering Celiac Disease: A Multilevel In Vitro, Ex Vivo and In Vivo Approach
Abstract
1. Introduction
2. Materials and Methods
2.1. In Vitro Study
2.1.1. Material
2.1.2. In Vitro Gastrointestinal Digestion
2.2. In Vivo Study
2.3. Ex Vivo Study
2.4. Statistical Analysis
3. Results
3.1. In Vitro Results
3.2. In Vivo Results
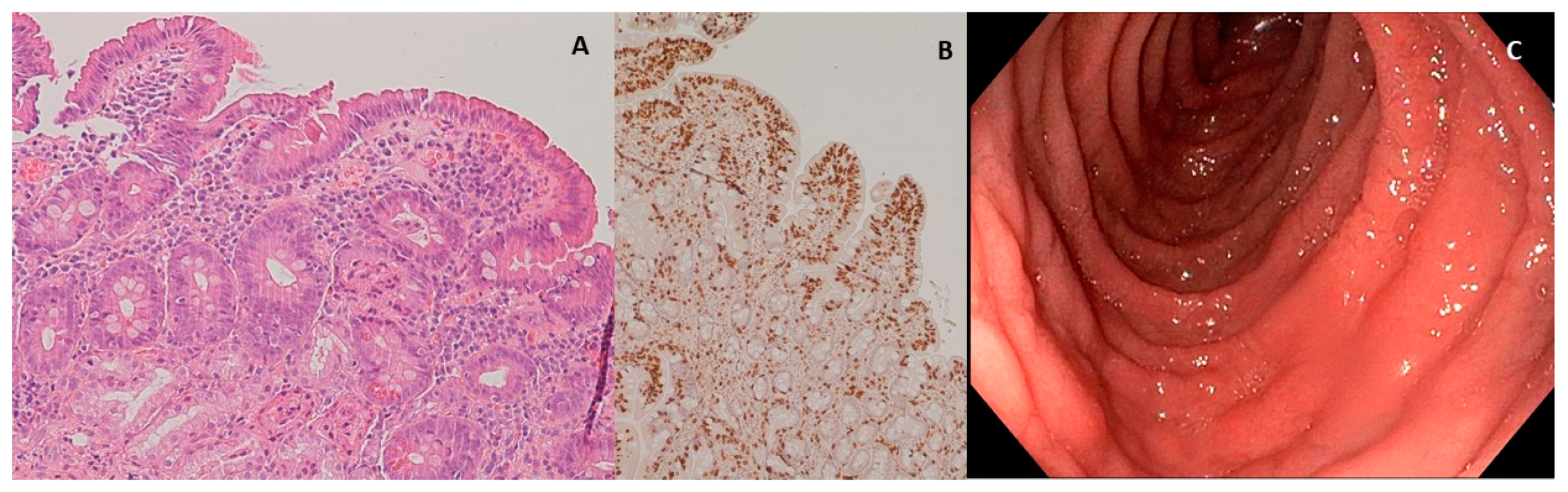
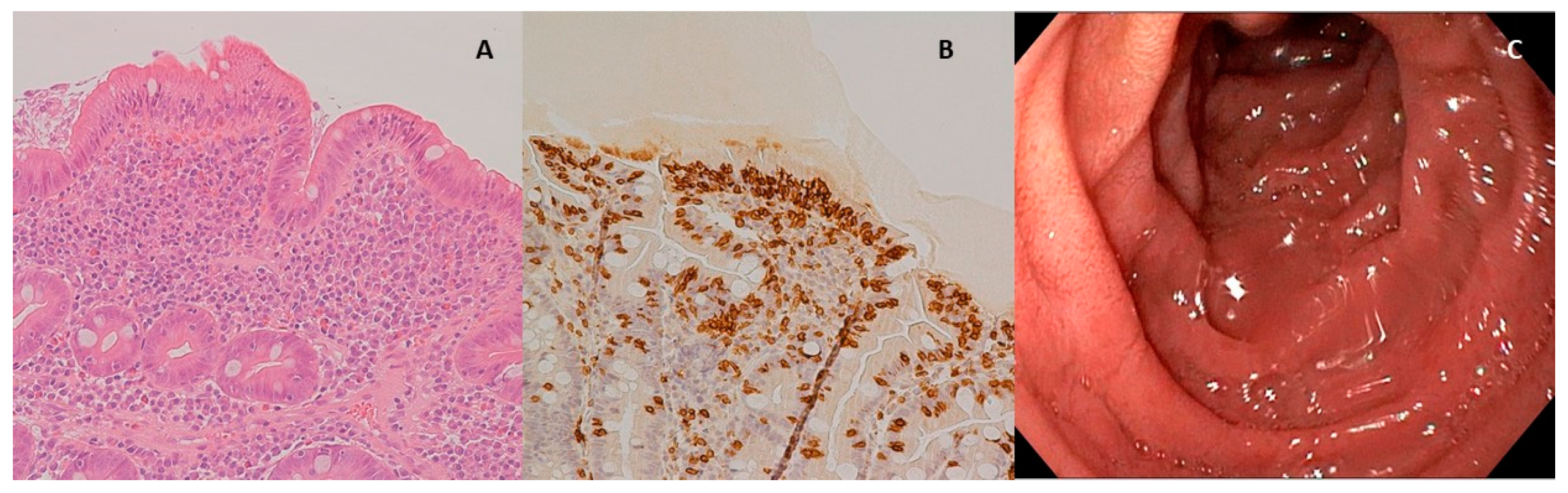
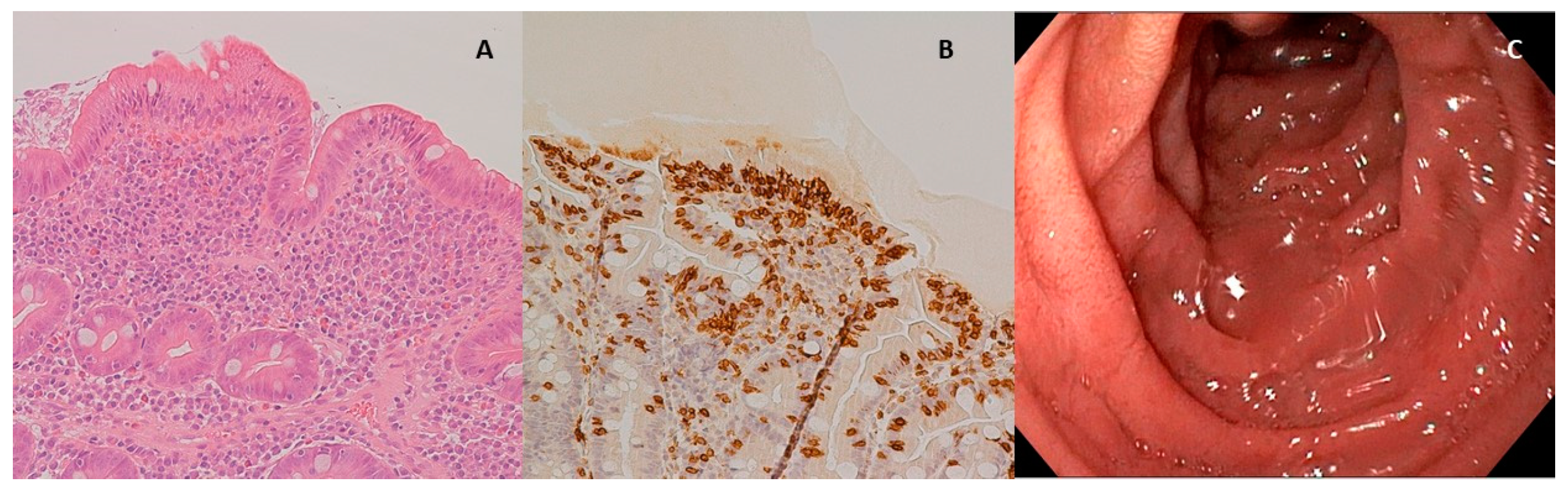
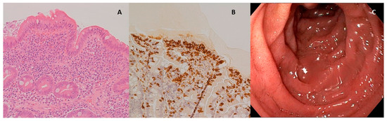
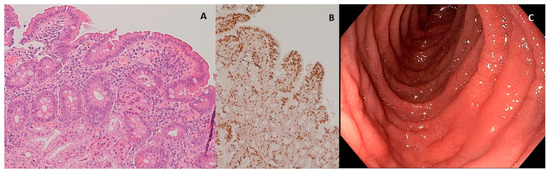
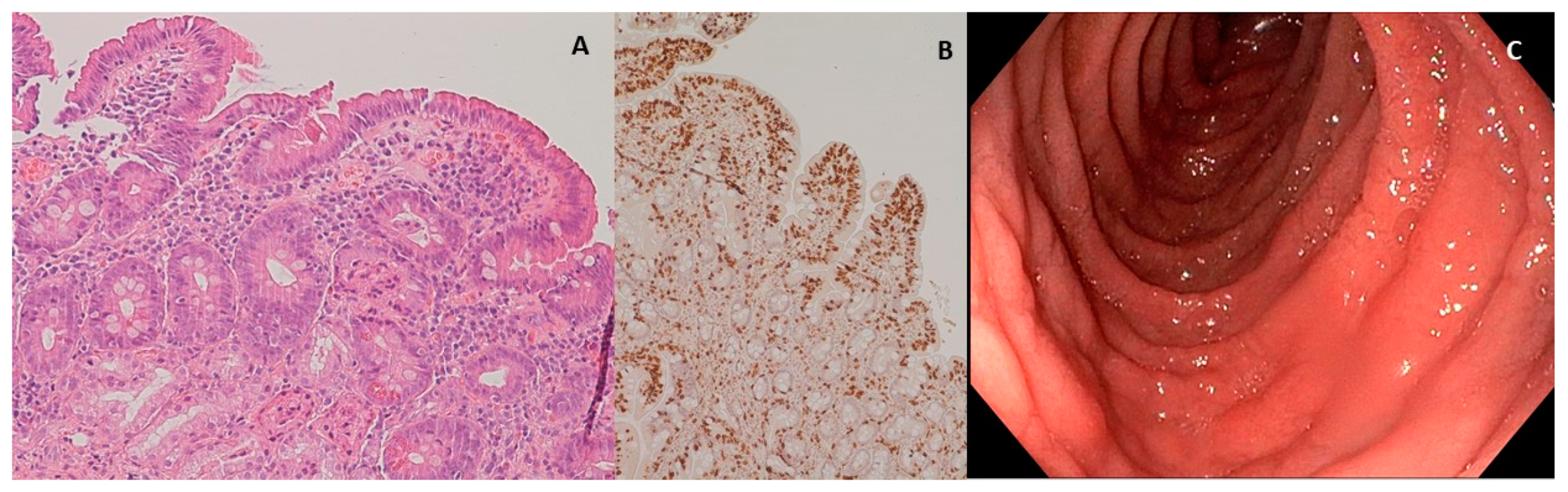
3.3. Ex Vivo Results
4. Discussion
5. Conclusions
Supplementary Materials
Author Contributions
Funding
Acknowledgments
Conflicts of Interest
References
- Ludvigsson, J.F.; Leffler, D.A.; Bai, J.C.; Biagi, F.; Fasano, A.; Green, P.H.R.; Hadjivassiliou, M.; Kaukinen, K.; Kelly, C.P.; Leonard, J.N.; et al. The Oslo definitions for coeliac disease and related terms. Gut 2013, 62, 43–52. [Google Scholar] [CrossRef] [PubMed]
- Mustalahti, K.; Catassi, C.; Reunanen, A.; Fabiani, E.; Heier, M.; McMillan, S.; Murray, L.; Metzger, M.-H.; Gasparin, M.; Bravi, E.; et al. The prevalence of celiac disease in Europe: Results of a centralized, international mass screening project. Ann. Med. 2010, 42, 587–595. [Google Scholar] [CrossRef] [PubMed]
- Kochhar, R.; Sachdev, S.; Kochhar, R.; Aggarwal, A.; Sharma, V.; Prasad, K.K.; Singh, G.; Nain, C.K.; Singh, K.; Marwaha, N. Prevalence of coeliac disease in healthy blood donors: A study from north India. Dig. Liver Dis. 2012, 44, 530–532. [Google Scholar] [CrossRef] [PubMed]
- Catassi, C.; Gatti, S.; Fasano, A. The new epidemiology of celiac disease. J. Pediatr. Gastroenterol. Nutr. 2014, 59 (Suppl. 1), S7–S9. [Google Scholar] [CrossRef] [PubMed]
- Maiuri, L.; Ciacci, C.; Ricciardelli, I.; Vacca, L.; Raia, V.; Auricchio, S.; Picard, J.; Osman, M.; Quaratino, S.; Londei, M. Association between innate response to gliadin and activation of pathogenic T cells in coeliac disease. Lancet 2003, 362, 30–37. [Google Scholar] [CrossRef]
- Sciurti, M.; Fornaroli, F.; Gaiani, F.; Bonaguri, C.; Leandro, G.; Di Mario, F.; De’Angelis, G.L. Genetic susceptibilty and celiac disease: What role do HLA haplotypes play? Acta Biomed. 2018, 89, 17–21. [Google Scholar]
- Stepniak, D.; Koning, F. Celiac Disease—Sandwiched between Innate and Adaptive Immunity. Hum. Immunol. 2006, 67, 460–468. [Google Scholar] [CrossRef]
- Shewry, P.R.; Halford, N.G.; Belton, P.S.; Tatham, A.S. The structure and properties of gluten: An elastic protein from wheat grain. Philos. Trans. R. Soc. Lond B Biol. Sci. 2002, 357, 133–142. [Google Scholar] [CrossRef]
- Balakireva, A.V.; Zamyatnin, A.A. Properties of Gluten Intolerance: Gluten Structure, Evolution, Pathogenicity and Detoxification Capabilities. Nutrients 2016, 8, 644. [Google Scholar] [CrossRef]
- Barilli, A.; Gaiani, F.; Prandi, B.; Cirlini, M.; Ingoglia, F.; Visigalli, R.; Rotoli, B.M.; De’Angelis, N.; Sforza, S.; De’Angelis, G.L.; et al. Gluten peptides drive healthy and celiac monocytes toward an M2-like polarization. J. Nutr. Biochem. 2018, 54, 11–17. [Google Scholar] [CrossRef]
- Engström, N.; Saenz-Méndez, P.; Scheers, J.; Scheers, N. Towards Celiac-safe foods: Decreasing the affinity of transglutaminase 2 for gliadin by addition of ascorbyl palmitate and ZnCl2 as detoxifiers. Sci. Rep. 2017, 7, 77. [Google Scholar] [CrossRef] [PubMed]
- Vensel, W.H.; Dupont, F.M.; Sloane, S.; Altenbach, S.B. Effect of cleavage enzyme, search algorithm and decoy database on mass spectrometric identification of wheat gluten proteins. Phytochemistry 2011, 72, 1154–1161. [Google Scholar] [CrossRef] [PubMed]
- Colgrave, M.L.; Byrne, K.; Howitt, C.A. Food for thought: Selecting the right enzyme for the digestion of gluten. Food Chem. 2017, 234, 389–397. [Google Scholar] [CrossRef] [PubMed]
- Zou, W.; Sissons, M.; Gidley, M.J.; Gilbert, R.G.; Warren, F.J. Combined techniques for characterising pasta structure reveals how the gluten network slows enzymic digestion rate. Food Chem. 2015, 188, 559–568. [Google Scholar] [CrossRef]
- Minekus, M.; Alminger, M.; Alvito, P.; Ballance, S.; Bohn, T.; Bourlieu, C.; Carriere, F.; Boutrou, R.; Corredig, M.; Dupont, D.; et al. A standardised static in vitro digestion method suitable for food—an international consensus. Food Funct. 2014, 5, 1113–1124. [Google Scholar] [CrossRef]
- Koerner, T.B.; Abbott, M.; Godefroy, S.B.; Popping, B.; Yeung, J.M.; Diaz-Amigo, C.; Roberts, J.; Taylor, S.L.; Baumert, J.L.; Ulberth, F.; et al. Validation procedures for quantitative gluten ELISA methods: AOAC allergen community guidance and best practices. J. AOAC Int. 2013, 96, 1033–1040. [Google Scholar] [CrossRef]
- Martinez-Esteso, M.J.; Norgaard, J.; Brohee, M.; Haraszi, R.; Maquet, A.; O’Connor, G. Defining the wheat gluten peptide fingerprint via a discovery and targeted proteomics approach. J. Proteom. 2016, 147, 156–168. [Google Scholar] [CrossRef]
- Gianfrani, C.; Maglio, M.; Aufiero, V.R.; Camarca, A.; Vocca, I.; Iaquinto, G.; Giardullo, N.; Pogna, N.; Troncone, R.; Auricchio, S.; et al. Immunogenicity of monococcum wheat in celiac patients. Am. J. Clin. Nutr. 2012, 96, 1339–1345. [Google Scholar] [CrossRef]
- Abadie, V.; Jabri, B. IL-15: A central regulator of celiac disease immunopathology. Immunol. Rev. 2014, 260, 221–234. [Google Scholar] [CrossRef]
- Prandi, B.; Mantovani, P.; Galaverna, G.; Sforza, S. Genetic and environmental factors affecting pathogenicity of wheat as related to celiac disease. J. Cereal Sci. 2014, 59, 62–69. [Google Scholar] [CrossRef]
- Husby, S.; Koletzko, S.; Korponay-Szabo, I.R.; Mearin, M.L.; Phillips, A.; Shamir, R.; Troncone, R.; Giersiepen, K.; Branski, D.; Catassi, C.; et al. European Society for Pediatric Gastroenterology, Hepatology, and Nutrition guidelines for the diagnosis of coeliac disease. J. Pediatr. Gastroenterol. Nutr. 2012, 54, 136–160. [Google Scholar] [CrossRef] [PubMed]
- Oberhuber, G. Histopathology of celiac disease. Biomed. Pharmacother. 2000, 54, 368–372. [Google Scholar] [CrossRef]
- Hollon, J.; Puppa, E.L.; Greenwald, B.; Goldberg, E.; Guerrerio, A.; Fasano, A. Effect of gliadin on permeability of intestinal biopsy explants from celiac disease patients and patients with non-celiac gluten sensitivity. Nutrients 2015, 7, 1565–1576. [Google Scholar] [CrossRef] [PubMed]
- Gianfrani, C.; Auricchio, S.; Troncone, R. Adaptive and innate immune responses in celiac disease. Immunol. Lett. 2005, 99, 141–145. [Google Scholar] [CrossRef] [PubMed]
- Schuppan, D.; Junker, Y.; Barisani, D. Celiac disease: From pathogenesis to novel therapies. Gastroenterology 2009, 137, 1912–1933. [Google Scholar] [CrossRef] [PubMed]
- Arentz-Hansen, H.; McAdam, S.N.; Molberg, O.; Fleckenstein, B.; Lundin, K.E.; Jorgensen, T.J.; Jung, G.; Roepstorff, P.; Sollid, L.M. Celiac lesion T cells recognize epitopes that cluster in regions of gliadins rich in proline residues. Gastroenterology 2002, 123, 803–809. [Google Scholar] [CrossRef]
- Sollid, L.M.; Qiao, S.W.; Anderson, R.P.; Gianfrani, C.; Koning, F. Nomenclature and listing of celiac disease relevant gluten T-cell epitopes restricted by HLA-DQ molecules. Immunogenetics 2012, 64, 455–460. [Google Scholar] [CrossRef]
- Taranto, F.; D’Agostino, N.; Rodriguez, M.; Pavan, S.; Minervini, A.P.; Pecchioni, N.; Papa, R.; De Vita, P. Whole Genome Scan Reveals Molecular Signatures of Divergence and Selection Related to Important Traits in Durum Wheat Germplasm. Front. Genet. 2020, 11, 217. [Google Scholar] [CrossRef]
- Boukid, F.; Prandi, B.; Faccini, A.; Sforza, S. A Complete Mass Spectrometry (MS)-Based Peptidomic Description of Gluten Peptides Generated During In Vitro Gastrointestinal Digestion of Durum Wheat: Implication for Celiac Disease. J. Am. Soc. Mass Spectrom. 2019, 30, 1481–1490. [Google Scholar] [CrossRef]
- Taranto, F.; D’Agostino, N.; Catellani, M.; Laviano, L.; Ronga, D.; Milc, J.; Prandi, B.; Boukid, F.; Sforza, S.; Graziano, S. Characterization of Celiac Disease-Related Epitopes and Gluten Fractions, and Identification of Associated Loci in Durum Wheat. Agronomy 2020, 10, 1231. [Google Scholar] [CrossRef]
- Lucendo, A.J.; Molina-Infante, J.; Arias, A.; von Arnim, U.; Bredenoord, A.J.; Bussmann, C.; Dias, J.A.; Bove, M.; Gonzalez-Cervera, J.; Larsson, H.; et al. Guidelines on eosinophilic esophagitis: Evidence-based statements and recommendations for diagnosis and management in children and adults. United Eur. Gastroenterol. J. 2017, 5, 335–358. [Google Scholar] [CrossRef] [PubMed]
- Bracken, S.C.; Kilmartin, C.; Wieser, H.; Jackson, J.; Feighery, C. Barley and rye prolamins induce an mRNA interferon-gamma response in coeliac mucosa. Aliment. Pharmacol. Ther. 2006, 23, 1307–1314. [Google Scholar] [CrossRef] [PubMed]
- Carroccio, A.; Di Prima, L.; Noto, D.; Fayer, F.; Ambrosiano, G.; Villanacci, V.; Lammers, K.; Lafiandra, D.; De Ambrogio, E.; Di Fede, G.; et al. Searching for wheat plants with low toxicity in celiac disease: Between direct toxicity and immunologic activation. Dig. Liver Dis. 2011, 43, 34–39. [Google Scholar] [CrossRef] [PubMed]
- Prandi, B.; Faccini, A.; Tedeschi, T.; Cammerata, A.; Sgrulletta, D.; D’Egidio, M.G.; Galaverna, G.; Sforza, S. Qualitative and quantitative determination of peptides related to celiac disease in mixtures derived from different methods of simulated gastrointestinal digestion of wheat products. Anal. Bioanal. Chem. 2014, 406, 4765–4775. [Google Scholar] [CrossRef] [PubMed]
- Ludvigsson, J.F.; Ciacci, C.; Green, P.H.; Kaukinen, K.; Korponay-Szabo, I.R.; Kurppa, K.; Murray, J.A.; Lundin, K.E.A.; Maki, M.J.; Popp, A.; et al. Outcome measures in coeliac disease trials: The Tampere recommendations. Gut 2018, 67, 1410–1424. [Google Scholar] [CrossRef]
- Grover, J.; Chhuneja, P.; Midha, V.; Ghia, J.E.; Deka, D.; Mukhopadhyay, C.S.; Sood, N.; Mahajan, R.; Singh, A.; Verma, R.; et al. Variable Immunogenic Potential of Wheat: Prospective for Selection of Innocuous Varieties for Celiac Disease Patients via in vitro Approach. Front. Immunol. 2019, 10, 84. [Google Scholar] [CrossRef]
- Vandenplas, Y. Prevention and Management of Cow’s Milk Allergy in Non-Exclusively Breastfed Infants. Nutrients 2017, 9, 731. [Google Scholar] [CrossRef]




| Parameter | Total (n = 46) | CD-Sar (n = 11) | CD-GFD (n = 16) | CG (n = 19) |
|---|---|---|---|---|
| Age, years (mean (range)) | (3–69) | 8.27 (3–17) | 12.96 (5–45) | 29.42 (5–69) |
| Sex: M | 18 (39.13%) | 5 (45.45%) | 3 (18.75%) | 10 (52.63%) |
| F | 28 (60.87%) | 6 (54.55%) | 13 (81.25%) | 9 (47.37%) |
| BMI (mean (range)) | (11.16–29.35) | 16.41 (12.5–23.18) | 16.4 (12–21.5) | 19.58 (11.16–29.35) |
| Comorbidities: | ||||
| none | 43 (93.49%) | 11 (100%) | 14 (87.5%) | 18 (94.74%) |
| atopy | 1 (2.17%) | 0 | 1 (6.25%) | 0 |
| autoimmune thyroiditis | 1 (2.17%) | 0 | 1 (6.25%) | 0 |
| hematologic disorders | 1 (2.17%) | 0 | 0 | 1 (5.26%) |
| Ongoing treatments: | ||||
| none | 40 (86.96%) | 11 (100%) | 13 (81.25%) | 16 (84.21%) |
| PPI/ranitidine | 3 (6.52%) | 0 | 1 (6.25%) | 2 (10.53%) |
| prokinetics | 1 (2.17%) | 0 | 0 | 1 (5.26%) |
| levothyroxine | 1 (2.17%) | 0 | 1 (6.25%) | 0 |
| oral contraceptives | 1 (2.17%) | 0 | 1 (6.25%) | 0 |
| Symptoms: | ||||
| none | 9 (19.56%) | 2 (18.18%) | 7 (43.75%) | 0 |
| diarrhea | 6 (13.04%) | 1 (9.09%) | 4 (25%) | 1 (5.26%) |
| abdominal pain | 14 (30.43%) | 5 (45.45%) | 6 (37.5%) | 3 (15.79%) |
| growth delay/weight loss | 7 (15.22%) | 2 (18.18%) | 3 (18.75%) | 2 (10.53%) |
| constipation | 3 (6.52%) | 2 (18.18%) | 1 (6.25%) | 0 |
| reflux symptoms/pyrosis | 9 (19.56%) | 0 | 0 | 9 (47.37%) |
| nausea/dyspepsia | 4 (8.7%) | 0 | 0 | 4 (21.05%) |
| Familiarity for CD: | ||||
| yes | 7 (15.22%) | 4 (36.36%) | 3 (18.75%) | 0 |
| no | 39 (84.78%) | 7 (63.64%) | 13 (81.25%) | 19 (100%) |
| tTG IgA (mean (range)) | n/a | 79.68 (13–173) | 85.11 (9.8–275) | n/a |
| DPG-AGA IgG (mean (range)) | n/a | 77.6 (3.3–302) | 38.5 (3.3–82) | n/a |
| Hb (g/dL) (mean (range)) | n/a | 12.17 (7.4–14) | 12.9 (11.5–15) | n/a |
| HLA haplotype: | ||||
| DQB1*02 ho/DQ8- | n/a | 3 (27.3%) | 1 (6.25%) | n/a |
| DQB1*02 he/DQ8+ | 1 (9%) | 0 | ||
| DQB1*02 he/DQ8- | 2 (18.2%) | 6 (37.5%) | ||
| DQB1*02 -/DQ8+ | 3 (27.3%) | 0 | ||
| n/a | 2 (18.2%) | 9 (56.25%) | ||
| Marsh (histology): | ||||
| 0 | 19 (41.31%) | 0 | 0 | 19 (100%) |
| 1 | 3 (6.52%) | 2 (18.18%) | 1 (6.25%) | 0 |
| 3 (a or b or c) | 24 (52.17%) | 9 (81.82%) | 15 (93.75%) | 0 |
| Laboratory Test | CD-Sar (n = 11) | CD-GFD (n = 16) | Δ Sar-GFD |
|---|---|---|---|
| tTG IgA: T0 (mean (range)) | 79.68 (13–173) | 85.11 (9.8–275) | |
| 3 M (mean (range)) | 51.32 (7.1–114) | 10.6 (2.8–24) | p = 0.06 |
| n/a T0 | 0 | 0 | |
| n/a 3 M | 2 (18.2%) | 8 (50%) | |
| DPG-AGA IgG: T0 (mean (range)) | 77.6 (3.3–302) | 38.5 (3.3–82) | |
| 3 M (mean (range)) | 20.8 (1.5–128) | 6.65 (1.5–21) | p = 0.62 |
| n/a T0 | 4 (26.4%) | 8 (50%) | |
| n/a 3 M | 3 (27.3%) | 10 (52.6%) | |
| Hb: T0 (mean (range)) | 12.17 (7.4–14) | 12.9 (11.5–15) | |
| 3 M (mean (range)) | 12.28 (9–14.4) | 13.5 (11.4–15.2) | p = 0.97 |
| n/a T0 (%) | 1 (9.1%) | 3 (%) | |
| n/a 3 M (%) | 3 (27.3%) | 8 (50%) |
| IL-15 Normalized (Mean (Range)) | IFN-γ Normalized (Mean (Range)) | |
|---|---|---|
| Control Group | n = 15 | n = 14 |
| Sar/GF | 0.97 (0.07–3.53) | 0.90 (0.48–1.31) |
| Cap/GF | 1.20 (0.12–2.95) | 1.29 (0.52–4.97) |
| Celiac Group | n = 16 | Sar n = 22-Cap n = 23 |
| Sar/GF | 1.48 (0.36–2.51) | 1.87 (0.19–17.06) |
| Cap/GF | 1.43 (0.64–2.71) | 0.93 (0.12–3.03) |
| Timing | IFN Normalized | IL-15 Normalized | ||
|---|---|---|---|---|
| Sar | Cap | Sar | Cap | |
| before | 4.85 | n/a | 0.55 | 0.84 |
| after | 0.53 | 3.03 | 1.05 | 0.74 |
Publisher’s Note: MDPI stays neutral with regard to jurisdictional claims in published maps and institutional affiliations. |
© 2020 by the authors. Licensee MDPI, Basel, Switzerland. This article is an open access article distributed under the terms and conditions of the Creative Commons Attribution (CC BY) license (http://creativecommons.org/licenses/by/4.0/).
Share and Cite
Gaiani, F.; Graziano, S.; Boukid, F.; Prandi, B.; Bottarelli, L.; Barilli, A.; Dossena, A.; Marmiroli, N.; Gullì, M.; de’Angelis, G.L.; et al. The Diverse Potential of Gluten from Different Durum Wheat Varieties in Triggering Celiac Disease: A Multilevel In Vitro, Ex Vivo and In Vivo Approach. Nutrients 2020, 12, 3566. https://doi.org/10.3390/nu12113566
Gaiani F, Graziano S, Boukid F, Prandi B, Bottarelli L, Barilli A, Dossena A, Marmiroli N, Gullì M, de’Angelis GL, et al. The Diverse Potential of Gluten from Different Durum Wheat Varieties in Triggering Celiac Disease: A Multilevel In Vitro, Ex Vivo and In Vivo Approach. Nutrients. 2020; 12(11):3566. https://doi.org/10.3390/nu12113566
Chicago/Turabian StyleGaiani, Federica, Sara Graziano, Fatma Boukid, Barbara Prandi, Lorena Bottarelli, Amelia Barilli, Arnaldo Dossena, Nelson Marmiroli, Mariolina Gullì, Gian Luigi de’Angelis, and et al. 2020. "The Diverse Potential of Gluten from Different Durum Wheat Varieties in Triggering Celiac Disease: A Multilevel In Vitro, Ex Vivo and In Vivo Approach" Nutrients 12, no. 11: 3566. https://doi.org/10.3390/nu12113566
APA StyleGaiani, F., Graziano, S., Boukid, F., Prandi, B., Bottarelli, L., Barilli, A., Dossena, A., Marmiroli, N., Gullì, M., de’Angelis, G. L., & Sforza, S. (2020). The Diverse Potential of Gluten from Different Durum Wheat Varieties in Triggering Celiac Disease: A Multilevel In Vitro, Ex Vivo and In Vivo Approach. Nutrients, 12(11), 3566. https://doi.org/10.3390/nu12113566

