Temporal Measures in Cardiac Structure and Function During the Development of Obesity Induced by Different Types of Western Diet in a Rat Model
Abstract
1. Introduction
2. Material and Methods
2.1. Animals
2.2. Experimental Design
2.3. Diet Composition
2.4. Nutritional Profile of the Animals
2.5. Systolic Blood Pressure Evaluation
2.6. Echocardiographic Study
2.7. Cardiac Morphological Profile
2.8. Statistical Analysis
3. Results
3.1. Nutritional Profile of the Animals
3.2. Systolic Blood Pressure Evaluation
3.3. Cardiac Structural and Functional Assessment
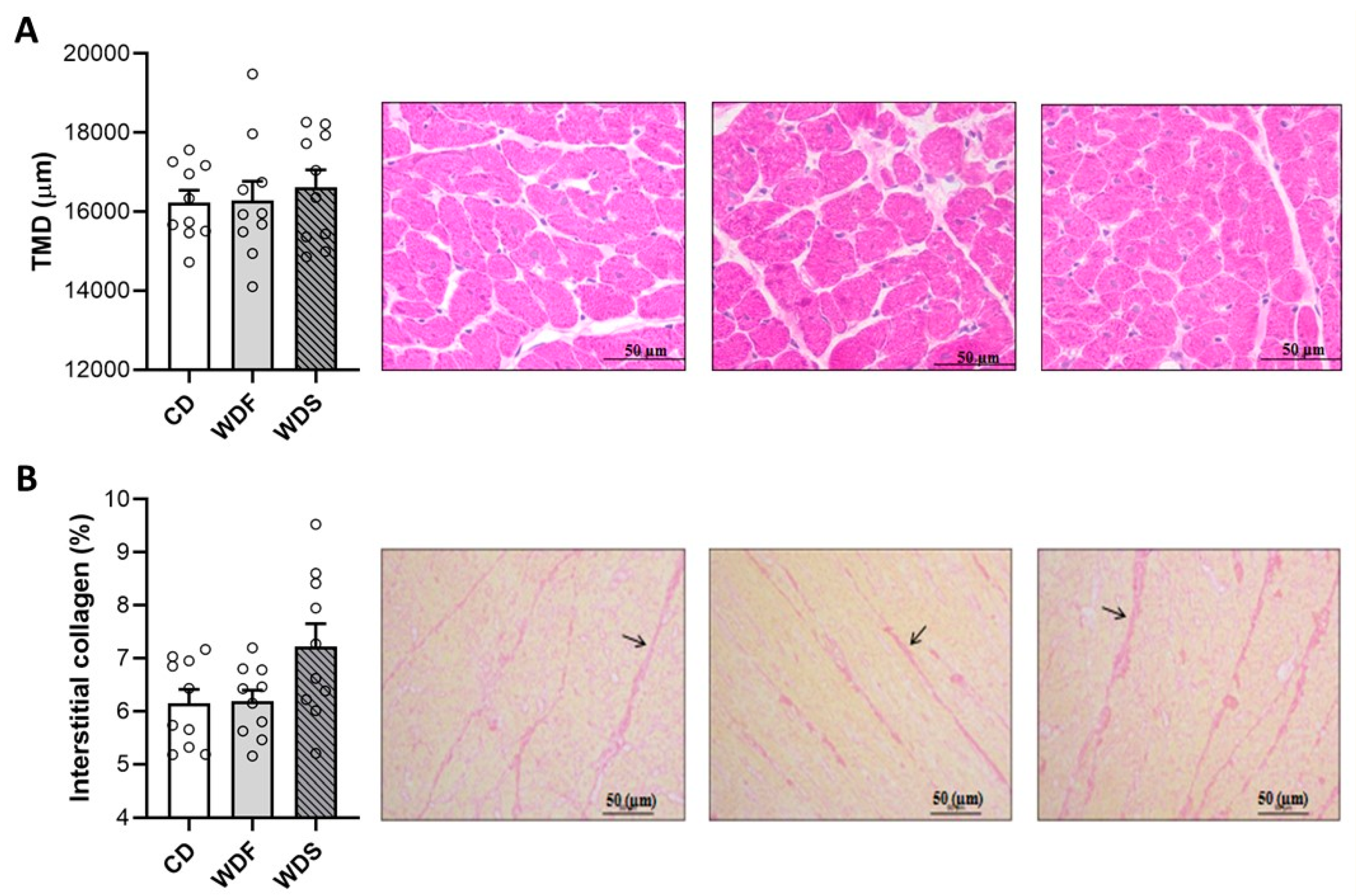
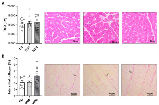
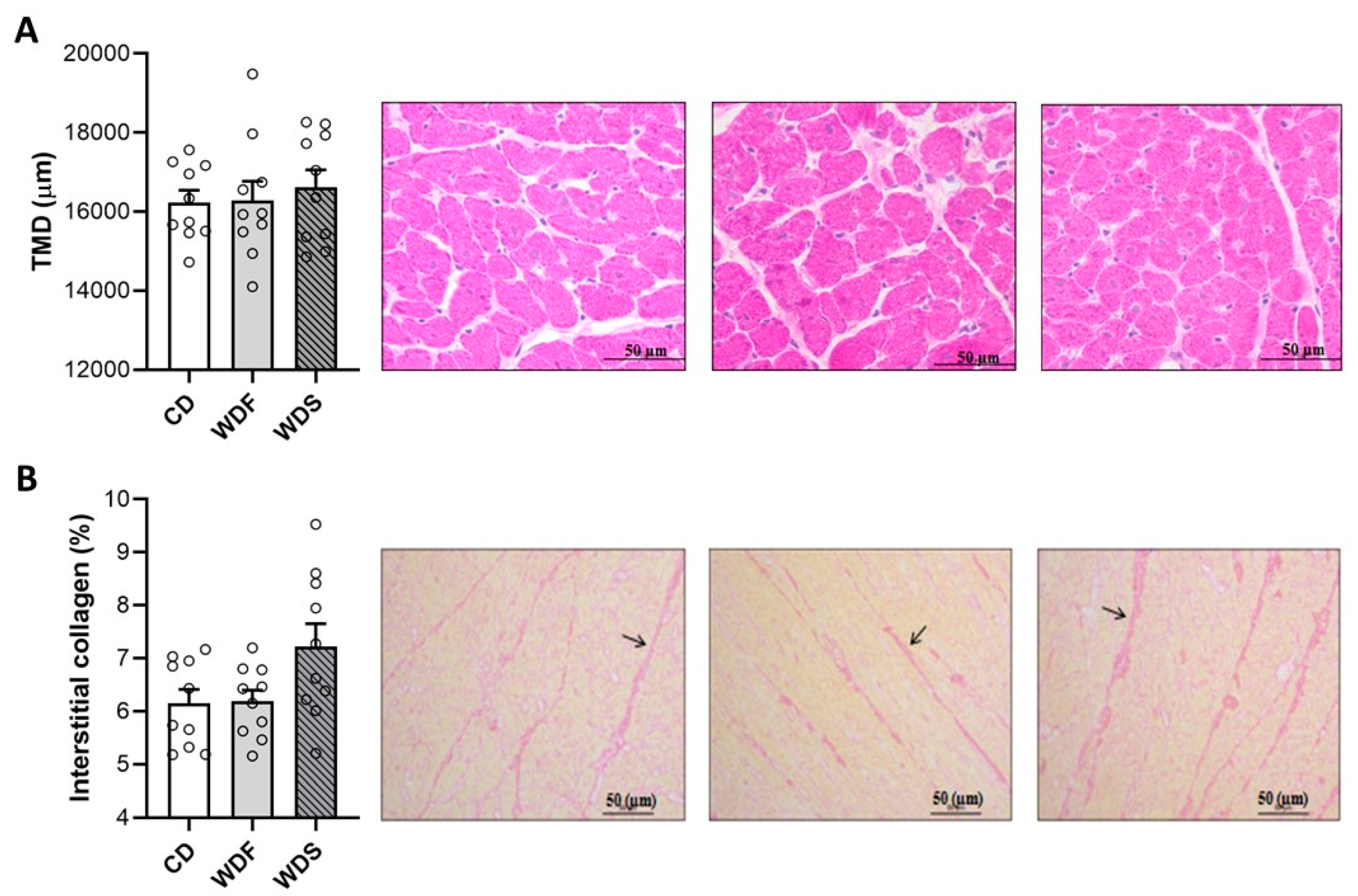
3.4. Cardiac Morphological Evaluation
4. Discussion
Author Contributions
Funding
Acknowledgments
Conflicts of Interest
References
- NCD Risk Factor Collaboration. Trends in adult body-mass index in 200 countries from 1975 to 2014: A pooled analysis of 1698 population-based measurement studies with 19·2 million participants. Lancet 2016, 387, 1377–1396. [Google Scholar] [CrossRef]
- World Health Organization. Fact Sheets: Obesity and Overweight. Available online: http://www.who.int/news-room/fact-sheets/detail/obesity-and-overweight (accessed on 29 October 2019).
- Swinburn, B.A.; Sacks, G.; Hall, K.D.; McPherson, K.; Finegood, D.T.; Moodie, M.L.; Gortmaker, S.L. The global obesity pandemic: Shaped by global drivers and local environments. Lancet 2011, 378, 804–814. [Google Scholar] [CrossRef]
- Varlamov, O. Western-style diet, sex steroids and metabolism. Biochim. Biophys. Acta Mol. Basis Dis. 2017, 1863, 1147–1155. [Google Scholar] [CrossRef] [PubMed]
- Upadhyay, J.; Farr, O.; Perakakis, N.; Ghaly, W.; Mantzoros, C. Obesity as a Disease. Med. Clin. N. Am. 2018, 102, 13–33. [Google Scholar] [CrossRef] [PubMed]
- Alpert, M.A.; Karthikeyan, K.; Abdullah, O.; Ghadban, R. Obesity and Cardiac Remodeling in Adults: Mechanisms and Clinical Implications. Prog. Cardiovasc. Dis. 2018, 61, 114–123. [Google Scholar] [CrossRef]
- Abel, E.D.; Litwin, S.E.; Sweeney, G. Cardiac remodeling in obesity. Physiol. Rev. 2008, 88, 389–419. [Google Scholar] [CrossRef]
- Nilsson, C.; Raun, K.; Yan, F.; Larsen, M.O.; Tang-Christensen, M. Laboratory animals as surrogate models of human obesity. Acta Pharmacol. Sin. 2012, 33, 173–181. [Google Scholar] [CrossRef]
- Bortolin, R.C.; Vargas, A.R.; Gasparotto, J.; Chaves, P.R.; Schnorr, C.E.; Martinello, K.B.; Silveira, A.K.; Rabelo, T.K.; Gelain, D.P.; Moreira, J.C.F. A new animal diet based on human Western diet is a robust diet-induced obesity model: Comparison to high-fat and cafeteria diets in term of metabolic and gut microbiota disruption. Int. J. Obes. 2018, 42, 525–534. [Google Scholar] [CrossRef]
- Reuter, T.Y. Diet-induced models for obesity and type 2 diabetes. Drug Discov. Today Dis. Model. 2007, 4, 3–8. [Google Scholar] [CrossRef]
- Gonçalves, N.; Silva, A.F.; Rodrigues, P.G.; Correia, E.; Moura, C.; Eloy, C.; Roncon-Albuquerque, R., Jr.; Falcão-Pires, I.; Leite-Moreira, A.F. Early cardiac changes induced by a hypercaloric Western-type diet in “subclinical” obesity. Am. J. Physiol. Heart Circ. Physiol. 2016, 310, H655–H666. [Google Scholar] [CrossRef]
- Wilson, C.R.; Tran, M.K.; Salazar, K.L.; Young, M.E.; Taegtmeyer, H. Western diet, but not high fat diet, causes derangements of fatty acid metabolism and contractile dysfunction in the heart of Wistar rats. Biochem. J. 2007, 406, 457–467. [Google Scholar] [CrossRef] [PubMed]
- Carbone, S.; Mauro, A.G.; Mezzaroma, E.; Kraskauskas, D.; Marchetti, C.; Buzzetti, R.; Van Tassell, B.W.; Abbate, A.; Toldo, S. A high-sugar and high-fat diet impairs cardiac systolic and diastolic function in mice. Int. J. Cardiol. 2015, 198, 66–69. [Google Scholar] [CrossRef] [PubMed]
- Panchal, S.K.; Poudyal, H.; Waanders, J.; Brown, L. Coffee extract attenuates changes in cardiovascular and hepatic structure and function without decreasing obesity in high-carbohydrate, high-fat diet-fed male rats. J. Nutr. 2012, 142, 690–697. [Google Scholar] [CrossRef] [PubMed]
- Verboven, M.; Deluyker, D.; Ferferieva, V.; Lambrichts, I.; Hansen, D.; Eijnde, B.O.; Bito, V. Western diet given to healthy rats mimics the human phenotype of diabetic cardiomyopathy. J. Nutr. Biochem. 2018, 61, 140–146. [Google Scholar] [CrossRef] [PubMed]
- Akki, A.; Seymour, A.-M.L. Western diet impairs metabolic remodelling and contractile efficiency in cardiac hypertrophy. Cardiovasc. Res. 2009, 81, 610–617. [Google Scholar] [CrossRef]
- National Research Council. Guide for the Care and Use of Laboratory Animals, 8th ed.; National Academies Press: Washington, DC, USA, 2011. [Google Scholar]
- Vileigas, D.F.; Harman, V.M.; Freire, P.P.; Marciano, C.L.C.; Sant’Ana, P.G.; de Souza, S.L.B.; Mota, G.A.F.; da Silva, V.L.; Campos, D.H.S.; Padovani, C.R.; et al. Landscape of heart proteome changes in a diet-induced obesity model. Sci. Rep. 2019, 9, 18050. [Google Scholar] [CrossRef]
- Vileigas, D.F.; de Deus, A.F.; da Silva, D.C.T.; de Tomasi, L.C.; de Campos, D.H.S.; Adorni, C.S.; de Oliveira, S.M.; Sant’Ana, P.G.; Okoshi, K.; Padovani, C.R.; et al. Saturated high-fat diet-induced obesity increases adenylate cyclase of myocardial β-adrenergic system and does not compromise cardiac function. Physiol. Rep. 2016, 4, e12914. [Google Scholar] [CrossRef]
- Song, J.-X.; Ren, H.; Gao, Y.-F.; Lee, C.-Y.; Li, S.-F.; Zhang, F. Dietary Capsaicin Improves Glucose Homeostasis and Alters the Gut Microbiota in Obese Diabetic ob/ob Mice. Front. Physiol. 2017, 8, 602. [Google Scholar] [CrossRef]
- Deus, A.F.; Vileigas, D.F.; Silva, D.C.T.; Tomasi, L.C.; Campos, D.H.S.; Okoshi, K.; Padovani, C.R.; Cicogna, A.C. Cardiac function and intracellular Ca2+ handling proteins are not impaired by high-saturated-fat diet-induced obesity. Braz. J. Med. Biol. Res. 2019, 52, e8085. [Google Scholar] [CrossRef]
- Rosa, C.M.; Gimenes, R.; Campos, D.H.S.; Guirado, G.N.; Gimenes, C.; Fernandes, A.A.H. Apocynin influence on oxidative stress and cardiac remodeling of spontaneously hypertensive rats with diabetes mellitus. Cardiovasc. Diabetol. 2016, 15, 126. [Google Scholar] [CrossRef]
- Lang, R.M.; Bierig, M.; Devereux, R.B.; Flachskampf, F.A.; Foster, E.; Pellikka, P.A.; Picard, M.H.; Roman, M.J.; Seward, J.; Shanewise, J.S.; et al. Recommendations for chamber quantification: A report from the American Society of Echocardiography’s Guidelines and Standards Committee and the Chamber Quantification Writing Group, developed in conjunction with the European Association of Echocardiograph. J. Am. Soc. Echocardiogr. 2005, 18, 1440–1463. [Google Scholar] [CrossRef] [PubMed]
- Rogers, P.; Webb, G.P. Estimation of body fat in normal and obese mice. Br. J. Nutr. 1980, 43, 83–86. [Google Scholar] [CrossRef] [PubMed]
- Casas-Agustench, P.; López-Uriarte, P.; Bulló, M.; Ros, E.; Gómez-Flores, A.; Salas-Salvadó, J. Acute effects of three high-fat meals with different fat saturations on energy expenditure, substrate oxidation and satiety. Clin. Nutr. 2009, 28, 39–45. [Google Scholar] [CrossRef] [PubMed]
- Krishnan, S.; Cooper, J.A. Effect of dietary fatty acid composition on substrate utilization and body weight maintenance in humans. Eur. J. Nutr. 2014, 53, 691–710. [Google Scholar] [CrossRef] [PubMed]
- Jéquier, E. Pathways to obesity. Int. J. Obes. Relat. Metab. Disord. 2002, 26 (Suppl. S2), S12. [Google Scholar] [CrossRef]
- Neves, F.A.; Cortez, E.; Bernardo, A.F.; Mattos, A.B.M.; Vieira, A.K.; Malafaia, T.O. Heart energy metabolism impairment in Western-diet induced obese mice. J. Nutr. Biochem. 2014, 25, 50–57. [Google Scholar] [CrossRef] [PubMed]
- Kurukulasuriya, L.R.; Stas, S.; Lastra, G.; Manrique, C.; Sowers, J.R. Hypertension in obesity. Endocrinol. Metab. Clin. N. Am. 2008, 37, 647–662. [Google Scholar] [CrossRef]
- Seravalle, G.; Grassi, G. Obesity and hypertension. Pharmacol. Res. 2017, 122, 1–7. [Google Scholar] [CrossRef]
- Dorresteijn, J.A.N.; Visseren, F.L.J.; Spiering, W. Mechanisms linking obesity to hypertension. Obes. Rev. 2012, 13, 17–26. [Google Scholar] [CrossRef]
- Schütten, M.T.J.; Houben, A.J.H.M.; de Leeuw, P.W.; Stehouwer, C.D.A. The Link between Adipose Tissue Renin-Angiotensin-Aldosterone System Signaling and Obesity-Associated Hypertension. Physiology 2017, 32, 197–209. [Google Scholar] [CrossRef]
- Bers, D.M.; Borlaug, B.A. Mechanisms of Cardiac Contraction and Relaxation. In Braunwald’s Heart Disease: A Textbook of Cardiovascular Medicine, 11th ed.; Elsevier: Philadelphia, PA, USA, 2019; pp. 418–441. [Google Scholar]
- Sletten, A.C.; Peterson, L.R.; Schaffer, J.E. Manifestations and mechanisms of myocardial lipotoxicity in obesity. J. Intern. Med. 2018, 284, 478–491. [Google Scholar] [CrossRef] [PubMed]
- Bostick, B.; Aroor, A.R.; Habibi, J.; Durante, W.; Ma, L.; DeMarco, V.G. Daily exercise prevents diastolic dysfunction and oxidative stress in a female mouse model of western diet induced obesity by maintaining cardiac heme oxygenase-1 levels. Metabolism 2017, 66, 14–22. [Google Scholar] [CrossRef] [PubMed]
- Bostick, B.; Habibi, J.; Ma, L.; Aroor, A.; Rehmer, N.; Hayden, M.R.; Sowers, J.R. Dipeptidyl peptidase inhibition prevents diastolic dysfunction and reduces myocardial fibrosis in a Mouse model of Western diet induced obesity. Metabolism 2014, 63, 1000–1011. [Google Scholar] [CrossRef] [PubMed]
- Jeckel, K.M.; Veeramachaneni, D.N.R.; Chicco, A.J.; Chapman, P.L.; Mulligan, C.M.; Hegarty, J.R. Docosahexaenoic acid supplementation does not improve Western diet-induced cardiomyopathy in rats. PLoS ONE 2012, 7, e51994. [Google Scholar] [CrossRef] [PubMed]
- Hecker, P.A.; Mapanga, R.F.; Kimar, C.P.; Ribeiro, R.F.; Brown, B.H.; O’Connell, K.A.; Cox, J.W.; Shekar, K.C.; Asemu, G.; Essop, M.F.; et al. Effects of glucose-6-phosphate dehydrogenase deficiency on the metabolic and cardiac responses to obesogenic or high-fructose diets. Am. J. Physiol. Endocrinol. Metab. 2012, 303, E959–E972. [Google Scholar] [CrossRef]
- Nguyen, S.; Shao, D.; Tomasi, L.C.; Braun, A.; de Mattos, A.B.M.; Choi, Y.S.; Villet, O.; Roe, N.; Halterman, C.R.; Tian, R.; et al. The effects of fatty acid composition on cardiac hypertrophy and function in mouse models of diet-induced obesity. J. Nutr. Biochem. 2017, 46, 137–142. [Google Scholar] [CrossRef]
- Medford, H.M.; Chatham, J.C.; Marsh, S.A. Chronic ingestion of a Western diet increases O-linked-β-N-acetylglucosamine (O-GlcNAc) protein modification in the rat heart. Life Sci. 2012, 90, 883–888. [Google Scholar] [CrossRef]
- Marsh, S.A.; Dell′Italia, L.J.; Chatham, J.C. Interaction of diet and diabetes on cardiovascular function in rats. Am. J. Physiol. Circ. Physiol. 2009, 296, H282–H292. [Google Scholar] [CrossRef]
- Qin, L.; Zhao, Y.; Zhang, B.; Li, Y. Amentoflavone improves cardiovascular dysfunction and metabolic abnormalities in high fructose and fat diet-fed rats. Food Funct. 2018, 9, 243–252. [Google Scholar] [CrossRef]
- Poudyal, H.; Campbell, F.; Brown, L. Olive leaf extract attenuates cardiac, hepatic, and metabolic changes in high carbohydrate-, high fat-fed rats. J. Nutr. 2010, 140, 946–953. [Google Scholar] [CrossRef]
- Ferron, A.; Francisqueti, F.; Minatel, I.; Silva, C.; Bazan, S.; Kitawara, K.; Garcia, J.L.; Corrêa, C.R.; Moreto, F.; Ferreira, A.L.A.; et al. Association between Cardiac Remodeling and Metabolic Alteration in an Experimental Model of Obesity Induced by Western Diet. Nutrients 2018, 10, 1675. [Google Scholar] [CrossRef] [PubMed]
- Iyer, A.; Brown, L. Fermented wheat germ extract (avemar) in the treatment of cardiac remodeling and metabolic symptoms in rats. Evid. Based Complement. Alternat. Med. 2011, 2011, 508957. [Google Scholar] [CrossRef] [PubMed]
- Mirtschink, P.; Jang, C.; Arany, Z.; Krek, W. Fructose metabolism, cardiometabolic risk, and the epidemic of coronary artery disease. Eur. Heart J. 2018, 39, 2497–2505. [Google Scholar] [CrossRef] [PubMed]
- Bouchard-Thomassin, A.-A.; Lachance, D.; Drolet, M.-C.; Couet, J.; Arsenault, M. A high-fructose diet worsens eccentric left ventricular hypertrophy in experimental volume overload. Am. J. Physiol. Heart Circ. Physiol. 2011, 300, H125–H134. [Google Scholar] [CrossRef] [PubMed]
- Liu, L.; Huang, X.; Gao, J.; Guo, Y.; Di, Y.; Sun, S. Improved endogenous epoxyeicosatrienoic acid production mends heart function via increased PGC 1α-mitochondrial functions in metabolic syndrome. J. Pharmacol. Sci. 2018, 138, 138–145. [Google Scholar] [CrossRef]
- Lian, Y.-G.; Zhao, H.-Y.; Wang, S.-J.; Xu, Q.-L.; Xia, X.-J. NLRP4 is an essential negative regulator of fructose-induced cardiac injury in vitro and in vivo. Biomed. Pharmacother. 2017, 91, 590–601. [Google Scholar] [CrossRef]
- Wu, X.; Pan, B.; Wang, Y.; Liu, L.; Huang, X.; Tian, J. The protective role of low-concentration alcohol in high-fructose induced adverse cardiovascular events in mice. Biochem. Biophys. Res. Commun. 2018, 495, 1403–1410. [Google Scholar] [CrossRef]
- Farah, D.; Nunes, J.; Sartori, M.; Dias, D.D.; Sirvente, R.; Silva, M.B.; Fiorino, P.; Morris, M.; Llesuy, S.; Farah, V.; et al. Exercise Training Prevents Cardiovascular Derangements Induced by Fructose Overload in Developing Rats. PLoS ONE 2016, 11, e0167291. [Google Scholar] [CrossRef]








| Ingredients (g/kg) | CD | WDF | WDS |
|---|---|---|---|
| Soybean bran | 335 | 344 | 340 |
| Soybean hull | 189 | 117 | 117 |
| Corn bran | 278 | 80 | 80 |
| Dextrin | 147 | 20 | 20 |
| Fructose | -- | 100 | 180 |
| Sucrose | -- | 50 | 80 |
| Soybean oil | 14 | -- | -- |
| Palm oil | -- | 40 | 30 |
| Palm kernel oil | 9 | 80 | 49 |
| Lard | -- | 140 | 75 |
| Salt | 4 | 8 | 8 |
| Vitamin and mineral premix | 25 | 25 | 25 |
| Variables | CD (n = 10) | WDF (n = 10) | WDS (n = 10) |
|---|---|---|---|
| Energy intake, kcal/day | 92.1 ± 2.7 | 85.2 ± 2.2 | 86.8 ± 2.6 |
| Feed efficiency, % | 1.39 ± 0.03 | 1.88 ± 0.05 *** | 1.85 ± 0.07 *** |
| Initial body weight, g | 179 ± 8 | 183 ± 7 | 186 ± 8 |
| Final body weight, g | 544 ± 10 | 643 ± 20 ** | 649 ± 24 ** |
| Total body weight gain, g | 366 ± 6 | 460 ± 17 ** | 463 ± 26 ** |
| Epididymal fat, g | 11.1 ± 0.9 | 19.3 ± 1.9 * | 21.5 ± 2.8 ** |
| Retroperitoneal fat, g | 12.1 (8.8–16.3) | 33.2 (18.9–78.9) ** | 34.7 (6.5–63.1) ** |
| Visceral fat, g | 8.5 ± 0.6 | 17.1 ± 1.8 ** | 15.0 ± 1.9 * |
| WATs, g | 32.2 ± 2.2 | 73.6 ± 9.0 ** | 72.0 ± 9.3 ** |
| Adiposity index, % | 5.9 ± 0.4 | 11.2 ± 1.0 *** | 10.8 ± 1.1 ** |
| Variables | CD (n = 10) | WDF (n = 10) | WDS (n = 10) |
|---|---|---|---|
| Tibia, cm | 4.49 ± 0.02 | 4.54 ± 0.04 | 4.53 ± 0.06 |
| HW/T, mg/cm | 263 ± 5 | 285 ± 8 | 271 ± 6 |
| ATW/T, mg/cm | 24.7 ± 1.1 | 25.2 ± 1.1 | 24.0 ± 0.8 |
| LVW/T, mg/cm | 193 ± 5 | 202 ± 5 | 195 ± 4 |
| RVW/T, mg/cm | 48.7 ± 1.1 | 57.8 ± 3.3 * | 52.4 ± 2.0 |
© 2019 by the authors. Licensee MDPI, Basel, Switzerland. This article is an open access article distributed under the terms and conditions of the Creative Commons Attribution (CC BY) license (http://creativecommons.org/licenses/by/4.0/).
Share and Cite
Vileigas, D.F.; Marciano, C.L.d.C.; Mota, G.A.F.; Souza, S.L.B.d.; Sant’Ana, P.G.; Okoshi, K.; Padovani, C.R.; Cicogna, A.C. Temporal Measures in Cardiac Structure and Function During the Development of Obesity Induced by Different Types of Western Diet in a Rat Model. Nutrients 2020, 12, 68. https://doi.org/10.3390/nu12010068
Vileigas DF, Marciano CLdC, Mota GAF, Souza SLBd, Sant’Ana PG, Okoshi K, Padovani CR, Cicogna AC. Temporal Measures in Cardiac Structure and Function During the Development of Obesity Induced by Different Types of Western Diet in a Rat Model. Nutrients. 2020; 12(1):68. https://doi.org/10.3390/nu12010068
Chicago/Turabian StyleVileigas, Danielle Fernandes, Cecília Lume de Carvalho Marciano, Gustavo Augusto Ferreira Mota, Sérgio Luiz Borges de Souza, Paula Grippa Sant’Ana, Katashi Okoshi, Carlos Roberto Padovani, and Antonio Carlos Cicogna. 2020. "Temporal Measures in Cardiac Structure and Function During the Development of Obesity Induced by Different Types of Western Diet in a Rat Model" Nutrients 12, no. 1: 68. https://doi.org/10.3390/nu12010068
APA StyleVileigas, D. F., Marciano, C. L. d. C., Mota, G. A. F., Souza, S. L. B. d., Sant’Ana, P. G., Okoshi, K., Padovani, C. R., & Cicogna, A. C. (2020). Temporal Measures in Cardiac Structure and Function During the Development of Obesity Induced by Different Types of Western Diet in a Rat Model. Nutrients, 12(1), 68. https://doi.org/10.3390/nu12010068

