There Is No Association between Coeliac Disease and Autoimmune Pancreatitis
Abstract
1. Introduction
2. Patients and Methods
2.1. Study Population
2.2. Screening for Coeliac Disease
2.3. Statistical Analysis
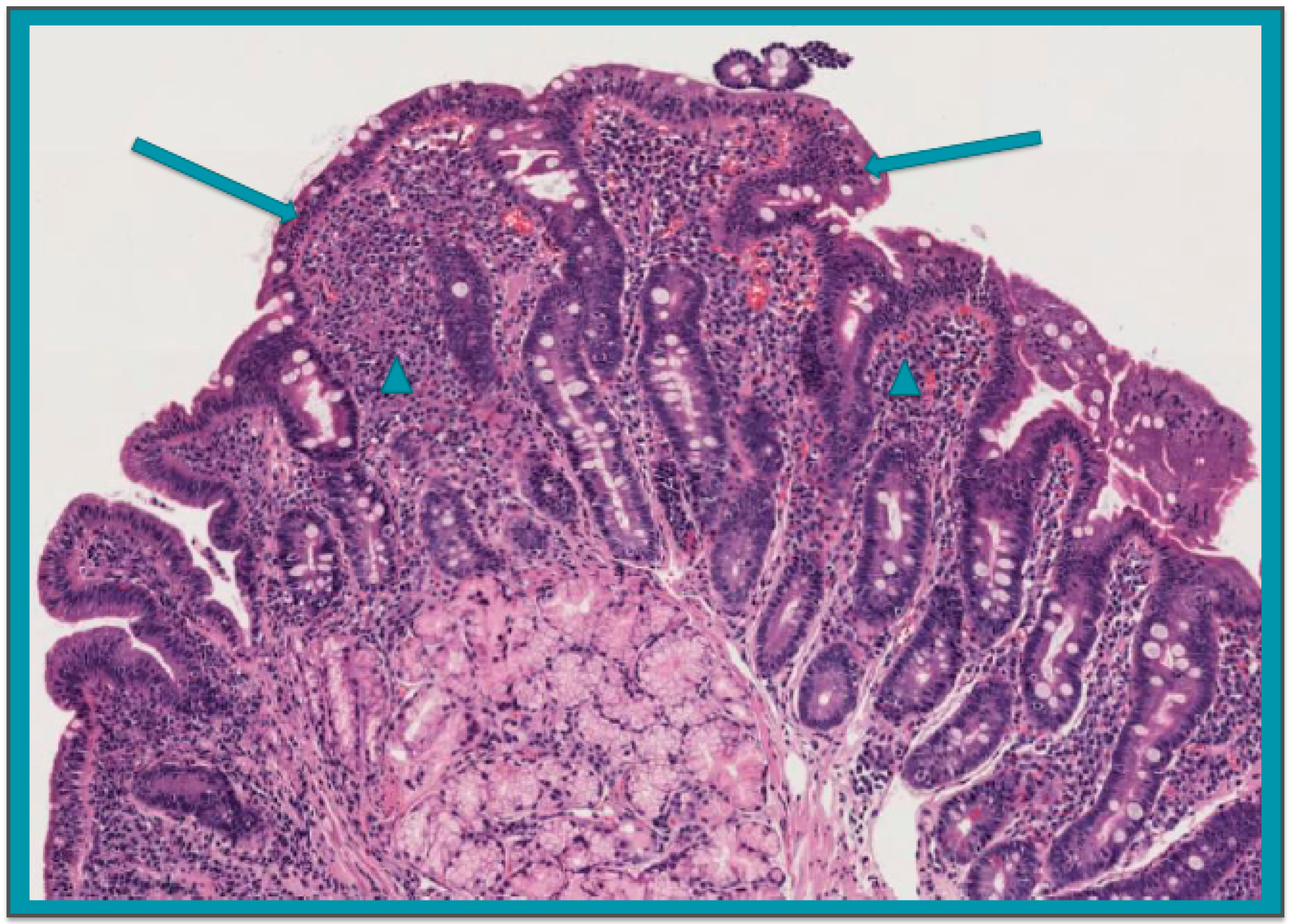
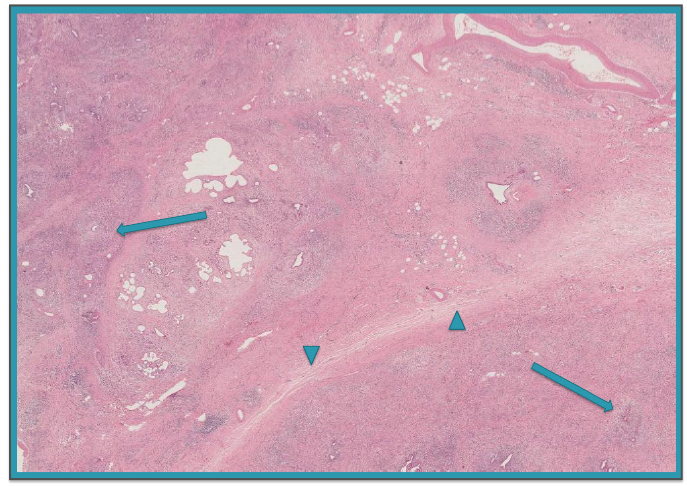
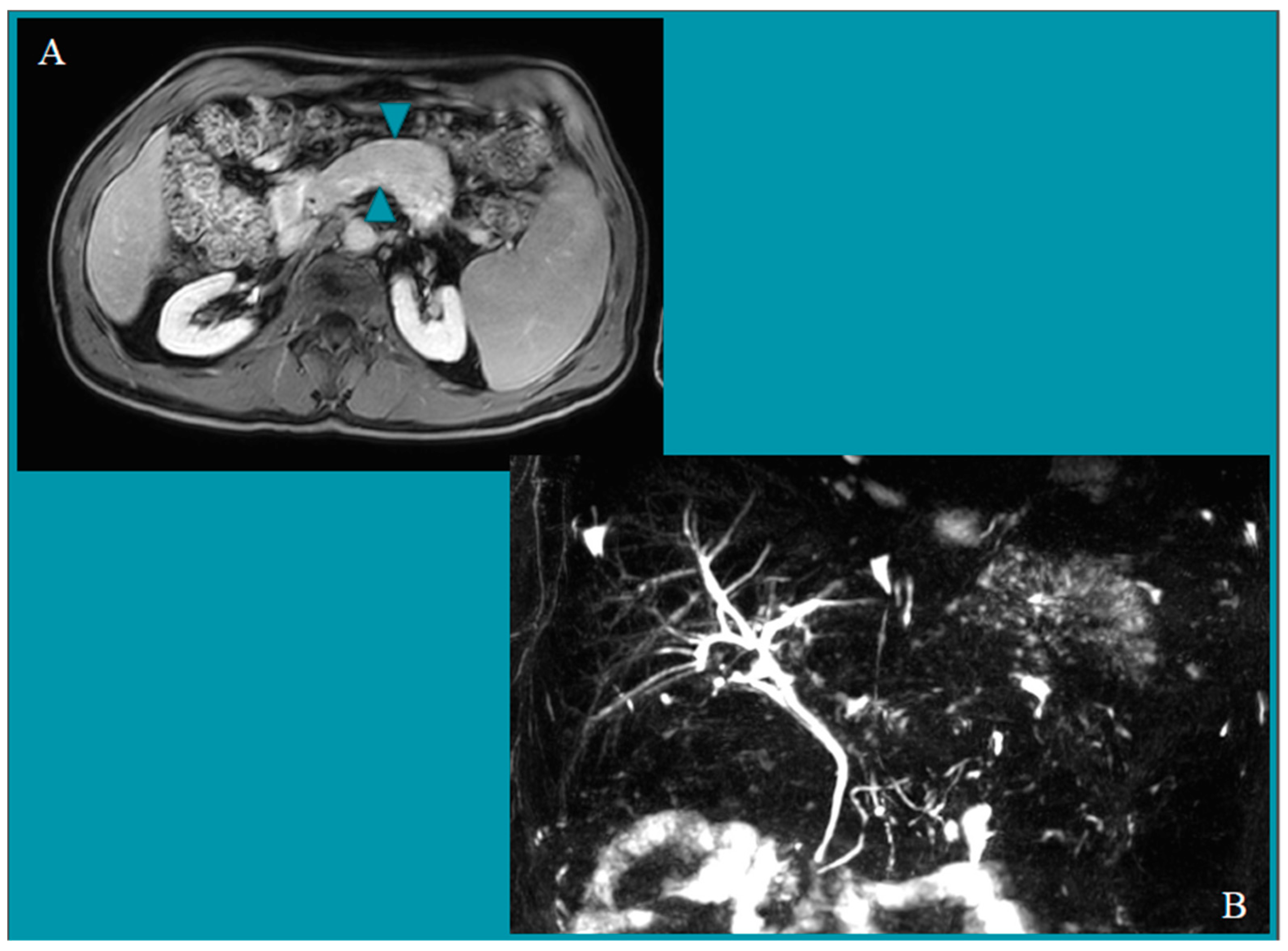
3. Results
4. Discussion
5. Conclusions
Author Contributions
Funding
Conflicts of Interest
Abbreviations
| AIP | autoimmune pancreatitis |
| CD | coeliac disease |
| CAPH | chronic asymptomatic pancreatic hyperenzymemia |
| CI | confidence interval |
| EMA | anti-endomysium antibodies |
| HLA | human leukocyte antigen |
| Ig | immunoglobulin |
| SD | standard deviation |
| tTG | tissue transglutaminase |
References
- Lebwohl, B.; Sanders, D.S.; Green, P.H.R. Coeliac disease. Lancet 2018, 391, 70–81. [Google Scholar] [CrossRef]
- Singh, P.; Arora, A.; Strand, T.A.; Leffler, D.A.; Catassi, C.; Green, P.H.; Kelly, C.P.; Ahuja, V.; Makharia, G.K. Global prevalence of celiac disease: Systematic review and meta-analysis. Clin. Gastroenterol. Hepatol. 2018, 16, 823–836. [Google Scholar] [CrossRef] [PubMed]
- Corazza, G.R.; Villanacci, V.; Zambelli, C.; Milione, M.; Luinetti, O.; Vindigni, C.; Chioda, C.; Albarello, L.; Bartolini, D.; Donato, F. Comparison of the interobserver reproducibility with different histologic criteria used in celiac disease. Clin. Gastroenterol. Hepatol. 2007, 5, 838–843. [Google Scholar] [CrossRef] [PubMed]
- Leffler, D.A.; Green, P.H.R.; Fasano, A. Extraintestinal manifestations of coeliac disease. Nat. Rev. Gastroenterol Hepatol. 2015, 12, 561–571. [Google Scholar] [CrossRef] [PubMed]
- Lundin, K.E.A.; Wijmenga, C. Coeliac disease and autoimmune disease—Genetic overlap and screening. Nat. Rev. Gastroenterol. Hepatol. 2015, 12, 507–515. [Google Scholar] [CrossRef] [PubMed]
- Uchida, K.; Masamune, A.; Shimosegawa, T.; Okazaki, K. Prevalence of IgG4-related disease in Japan based on nationwide survey in 2009. Int. J. Rheumatol. 2012, 2012, 358371. [Google Scholar] [CrossRef] [PubMed]
- Hart, P.A.; Zen, Y.; Chari, S.T. Recent advances in autoimmune pancreatitis. Gastroenterology 2015, 149, 39–51. [Google Scholar] [CrossRef] [PubMed]
- Shimosegawa, T.; Chari, S.T.; Frulloni, L.; Kamisawa, T.; Kawa, S.; Mino-Kenudson, M.; Kim, M.H.; Kloppel, G.; Lerch, M.M.; Lohr, M.; et al. International consensus diagnostic criteria for autoimmune pancreatitis: Guidelines of the International Association of Pancreatology. Pancreas 2011, 40, 352–358. [Google Scholar] [CrossRef] [PubMed]
- Ludvigsson, J.F.; Montgomery, S.M.; Ekbom, A. Risk of pancreatitis in 14,000 individuals with celiac disease. Clin. Gastroenterol. Hepatol. 2007, 5, 1347–1353. [Google Scholar] [CrossRef] [PubMed]
- Sadr-Azodi, O.; Sanders, D.S.; Murray, J.A.; Ludvigsson, J.F. Patients with celiac disease have an increased risk for pancreatitis. Clin. Gastroenterol. Hepatol. 2012, 10, 1136–1142. [Google Scholar] [CrossRef] [PubMed]
- Walkowiak, J.; Herzig, K.H. Fecal elastase-1 is decreased in villous atrophy regardless of the underlying disease. Eur. J. Clin. Investig. 2001, 31, 425–430. [Google Scholar] [CrossRef]
- Carroccio, A.; Di Prima, L.; Scalici, C.; Soresi, M.; Cefalù, A.B.; Noto, D.; Averna, M.R.; Montalto, G.; Iacono, G. Unexplained elevated serum pancreatic enzymes: A reason to suspect celiac disease. Clin. Gastroenterol. Hepatol. 2006, 4, 455–459. [Google Scholar] [CrossRef] [PubMed]
- Rajvanshi, P.; Chowdhury, J.R.; Gupta, S. Celiac sprue and macroamylasaemia: Potential clinical and pathophysiological implications. Case study. J. Clin. Gastroenterol. 1995, 20, 304–306. [Google Scholar] [CrossRef] [PubMed]
- Duggan, S.N.; Nì Chonchubhair, H.M.; Lawal, O.; O’Connor, D.B.; Conlon, K.C. Chronic pancreatitis: A diagnostic dilemma. World J. Gastroenterol. 2016, 22, 2304–2313. [Google Scholar] [CrossRef] [PubMed]
- Amodio, A.; Manfredi, R.; Katsotourchi, A.M.; Gabbrielli, A.; Benini, L.; Mucelli, R.P.; Vantini, I.; Frulloni, L. Prospective evaluation of subjects with chronic asymptomatic pancreatic hyperenzymemia. Am. J. Gastroenterol. 2012, 107, 1089–1095. [Google Scholar] [CrossRef] [PubMed]
- Longstreth, G.F.; Thompson, W.G.; Chey, W.D.; Houghton, L.A.; Mearin, F.; Spiller, R.C. Functional bowel disorders. Gastroenterology 2006, 130, 1480–1491. [Google Scholar] [CrossRef] [PubMed]
- Yadav, D.; Lowenfels, A.B. The epidemiology of pancreatitis and pancreatic cancer. Gastroenterology 2013, 144, 1252–1261. [Google Scholar] [CrossRef] [PubMed]
- Pezzilli, R. Exocrine pancreas involvement in celiac disease: A review. Recent. Pat. Inflamm. Allergy Drug Discov. 2014, 8, 167–172. [Google Scholar] [CrossRef] [PubMed]
- Weiss, B.; Pinhas-Hamiel, O. Celiac disease and diabetes: When to test and treat. J. Pediatr. Gastroenterol. Nutr. 2017, 64, 175–179. [Google Scholar] [CrossRef] [PubMed]
- Smyth, D.J.; Plagnol, V.; Walker, N.M.; Cooper, J.D.; Downes, K.; Yang, J.H.; Howson, J.M.; Stevens, H.; McManus, R.; Wijmenga, C.; et al. Shared and distinct genetic variants in type 1 diabetes and celiac disease. N. Engl. J. Med. 2008, 359, 2767–2777. [Google Scholar] [CrossRef] [PubMed]
- Bao, F.; Yu, L.; Babu, S.; Wang, T.; Hoffenberg, E.J.; Rewers, M.; Eisenbarth, G.S. One third of HLA DQ2 homozygous patients with type 1 diabetes express celiac disease associated transglutaminase autoantibodies. J. Autoimmun. 1999, 13, 143–148. [Google Scholar] [CrossRef] [PubMed]
- Stamnaes, J.; Sollid, L.M. Celiac disease: Autoimmunity in response to food antigen. Semin. Immunol. 2015, 27, 343–352. [Google Scholar] [CrossRef] [PubMed]
- Nilsen, E.M.; Lundin, K.E.; Krajci, P.; Scott, H.; Sollid, L.M.; Brandtzaeg, P. Gluten specific, HLA-DQ restricted T cells from coeliac mucosa produce cytokines with Th1 or Th0 profile dominated by interferon gamma. Gut 1995, 37, 766–776. [Google Scholar] [CrossRef] [PubMed]
- Fina, D.; Sarra, M.; Caruso, R.; Del Vecchio Blanco, G.; Pallone, F.; MacDonald, T.T.; Monteleone, G. Interleukin-21 contributes to the mucosal T helper cell type 1 response in coeliac disease. Gut 2008, 57, 887–892. [Google Scholar] [CrossRef] [PubMed]
- Troncone, R.; Discepolo, V. Celiac disease and autoimmunity. J. Pediatr. Gastroenterol. Nutr. 2014, 59, S9–S11. [Google Scholar] [CrossRef] [PubMed]
- Marietta, E.V.; Gomez, A.M.; Yeoman, C.; Tilahun, A.Y.; Clark, C.R.; Luckey, D.H.; Murray, J.A.; White, B.A.; Kudva, Y.C.; Rajagopalan, G. Low incidence of spontaneous type 1 diabetes in non-obese diabetic mice raised on gluten-free diets is associated with changes in the intestinal microbiome. PLoS ONE 2013, 8, e78687. [Google Scholar] [CrossRef] [PubMed]
- Okazaki, K.; Uchida, K.; Ohana, M.; Nakase, H.; Uose, S.; Inai, M.; Matsushima, Y.; Katamura, K.; Ohmori, K.; Chiba, T. Autoimmune-related pancreatitis is associated with autoantibodies and a Th1/Th2-type cellular immune response. Gastroenterology 2000, 118, 573–581. [Google Scholar] [CrossRef]
- Lohr, J.M.; Faissner, R.; Koczan, D.; Bewerunge, P.; Bassi, C.; Brors, B.; Eils, R.; Frulloni, L.; Funk, A.; Halangk, W.; et al. Autoantibodies against the exocrine pancreas in autoimmune pancreatitis: Gene and protein expression profiling and immunoassays identify pancreatic enzymes as a major target of the inflammatory process. Am. J. Gastroenterol. 2010, 105, 2060–2071. [Google Scholar] [CrossRef] [PubMed]
- Brusco, G.; Muzi, P.; Ciccocioppo, R.; Biagi, F.; Cifone, M.G.; Corazza, G.R. Transglutaminase and coeliac disease: Endomysial reactivity and small bowel expression. Clin. Exp. Immunol. 1999, 118, 371–375. [Google Scholar] [CrossRef] [PubMed]
- Martucci, S.; Corazza, G.R. Spreading and focusing of gluten epitopes in celiac disease. Gastroenterology 2002, 122, 2072–2075. [Google Scholar] [CrossRef] [PubMed]
- Moon, S.H.; Kim, J.; Kim, M.Y.; Park, D.H.; Song, T.J.; Kim, S.A.; Lee, S.S.; Seo, D.W.; Lee, S.K.; Kim, M.H. Sensitization to and challenge with gliadin induce pancreatitis and extrapancreatic inflammation in HLA-DQ8 Mice: An animal model of type 1 autoimmune pancreatitis. Gut Liver. 2016, 10, 842–850. [Google Scholar] [CrossRef] [PubMed]
- Leeds, J.S.; Sanders, D.S. Risk of pancreatitis in patients with celiac disease: Is autoimmune pancreatitis a biologically plausible mechanism? Clin. Gastroenterol. Hepatol. 2008, 6, 951. [Google Scholar] [CrossRef] [PubMed]
- Cebe, K.M.; Swanson, P.E.; Upton, M.P.; Westerhoff, M. Increased IgG4+ cells in duodenal biopsies are not specific for autoimmune pancreatitis. Am. J. Clin. Pathol. 2013, 139, 323–329. [Google Scholar] [CrossRef] [PubMed]
- D’Argenio, V.; Casaburi, G.; Precone, V.; Pagliuca, C.; Colicchio, R.; Sarnataro, D.; Discepolo, V.; Kim, S.M.; Russo, I.; Del Vecchio Blanco, G.; et al. Metagenomics reveals dysbiosis and a potentially pathogenic N. flavescens strain in duodenum of adult celiac patients. Am. J. Gastroenterol. 2016, 11, 879–890. [Google Scholar] [CrossRef] [PubMed]
- Masoodi, I.; Wani, H.; Alsayari, K.; Sulaiman, T.; Hassan, N.S.; Nazmi Alqutub, A.; Al Omair, A.; H AI-Lehibi, A. Celiac disease and autoimmune pancreatitis: An uncommon association. A case report. Eur. J. Gastroenterol. Hepatol. 2011, 23, 1270–1272. [Google Scholar] [CrossRef] [PubMed]
- Kawa, S.; Ota, M.; Yoshizawa, K.; Horiuchi, A.; Hamano, H.; Ochi, Y.; Nakayama, K.; Tokutake, Y.; Katsuyama, Y.; Saito, S.; et al. HLA DRB10405-DQB10401 haplotype is associated with autoimmune pancreatitis in the Japanese population. Gastroenterology 2002, 122, 1264–1269. [Google Scholar] [CrossRef] [PubMed]
- Zen, Y.; Fujii, T.; Harada, K.; Kawano, M.; Yamada, K.; Takahira, M.; Nakanuma, Y. Th2 and regulatory immune reactions are increased in immunoglobin G4-related sclerosing pancreatitis and cholangitis. Hepatology 2007, 45, 1538–1546. [Google Scholar] [CrossRef] [PubMed]
- Miyoshi, H.; Uchida, K.; Taniguchi, T.; Yazumi, S.; Matsushita, M.; Takaoka, M.; Okazaki, K. Circulating naive and CD4+CD25high regulatory T cells in patients with autoimmune pancreatitis. Pancreas 2008, 36, 133–140. [Google Scholar] [CrossRef] [PubMed]
- Jeannin, P.; Lecoanet, S.; Delneste, Y.; Gauchat, J.F.; Bonnefoy, J.Y. IgE versus IgG4 production can be differentially regulated by IL-10. J. Immunol. 1998, 160, 3555–3561. [Google Scholar] [PubMed]
- Yamamoto, M.; Shimizu, Y.; Takahashi, H.; Yajima, H.; Yokoyama, Y.; Ishigami, K.; Tabeya, T.; Suzuki, C.; Matsui, M.; Naishiro, Y.; et al. CCAAT/enhancer binding protein alpha (C/EBPalpha)(+) M2 macrophages contribute to fibrosis in IgG4-related disease? Mod. Rheumatol. 2015, 25, 484–486. [Google Scholar] [CrossRef] [PubMed]
- Ravi, K.; Chari, S.T.; Vege, S.S.; Sandborn, W.J.; Smyrk, T.C.; Loftus, E.V., Jr. Inflammatory bowel disease in the setting of autoimmune pancreatitis. Inflamm. Bowel Dis. 2009, 15, 1326–1330. [Google Scholar] [CrossRef] [PubMed]
- Park, S.H.; Kim, D.; Ye, B.D.; Yang, S.-K.; Kim, J.-H.; Yang, D.-H.; Jung, K.W.; Kim, K.-J.; Byeon, J.-S.; Myung, S.-J.; et al. The characteristics of ulcerative colitis associated with autoimmune pancreatitis. J. Clin. Gastroenterol. 2013, 47, 520–525. [Google Scholar] [CrossRef] [PubMed]
- Chari, S.T. Diagnosis of autoimmune pancreatitis using its five cardinal features: Introducing the Mayo Clinic’s HISORt criteria. J. Gastroenterol. 2007, 42, 39–41. [Google Scholar] [CrossRef] [PubMed]
- Otsuki, M.; Chung, J.B.; Okazaki, K.; Kim, M.H.; Kamisawa, T.; Kawa, S.; Park, S.W.; Shimosegawa, T.; Lee, K.; Ito, T.; et al. Asian diagnostic criteria for autoimmune pancreatitis: Consensus of the Japan-Korea Symposium on Autoimmune Pancreatitis. J. Gastroenterol. 2008, 43, 403–408. [Google Scholar] [CrossRef] [PubMed]
- Berkson, J. Limitations of the application of fourfold tables to hospital data. Biometr. Bull. 1946, 2, 47–53. [Google Scholar] [CrossRef] [PubMed]
- Nousia-Arvanitakis, S.; Fotoulaki, M.; Tendzidou, K.; Vassilaki, C.; Agguridaki, C.; Karamouzis, M. Subclinical exocrine pancreatic dysfunction resulting from decreased cholecystokinin secretion in the presence of intestinal villous atrophy. J. Pediatr. Gastroenterol. Nutr. 2006, 43, 307–312. [Google Scholar] [CrossRef] [PubMed]
- Hart, P.A.; Kamisawa, T.; Brugge, W.R.; Chung, J.B.; Culver, E.L.; Czakó, L.; Frulloni, L.; Go, V.L.; Gress, T.M.; Kim, M.H.; et al. Long-term outcomes of autoimmune pancreatitis: A multicentre, international analysis. Gut 2013, 62, 1771–1776. [Google Scholar] [CrossRef] [PubMed]



| Autoimmune Pancreatitis | Chronic Pancreatitis | Chronic Pancreatic Hyperenzymemia | Control Subjects | |
|---|---|---|---|---|
| Number of cases | 72 | 71 | 32 | 92 |
| Male/female ratio | 55/17 | 57/14 | 18/14 | 48/44 |
| Mean age in years (SD) | 56.5 (16.9) | 55.1 (13.2) | 52.7 (14.6) | 45.7 (18.3) |
| Body mass index: kg/m2 (mean ± SD) | 25.1 ± 4.1 | 23.2 ± 5.7 | 24.9 ± 4.4 | 22.7 ± 5.2 |
| Time from diagnosis in months (mean ± SD) | 25.4 ± 29.3 | 81 ± 37.5 | n.a. | n.a. |
| Concomitant autoimmune disorders: IBD | 13 (10 UC) | 1 (Crohn) | 0 | 1 (UC) |
| Thyroiditis | 5 | 1 | 1 | 2 |
| Psoriasis | 3 | 0 | 0 | 1 |
| Asthma | 1 | 2 | 0 | 2 |
| Coeliac disease | 1 * | 0 | 0 | 0 |
| Rheumatic diseases | 2 | 1 | 0 | 3 |
| Thrombocytopenia | 1 | 0 | 0 | 0 |
| N | tTG IgA | tTg IgG | EMA | Histology § | Prevalence (95% CI) | |
|---|---|---|---|---|---|---|
| Group 1 | 72 | 0 | 0 | 0 | Grade A lesions * | 1.4% (0.0–7.5) |
| Group 2 | 71 | 1 | 0 | 1 | Grade B1 lesions | 2.4% (0.0–7.6) |
| Group 3 | 32 | 0 | 0 | 0 | Not performed | 0% (0.0–10.9) |
| Group 4 | 92 | 1 + 2 borderline | 0 | 1 | Grade B2 lesions | 1.1% (0.0–5.9) |
| Pancreatic disorders | 175 | 1 | 0 | 1 | − | 1.1% (0.1–4.1) |
| Total | 267 | 2 | 0 | 2 | 3 | 1.1% (0.2–3.2) |
© 2018 by the authors. Licensee MDPI, Basel, Switzerland. This article is an open access article distributed under the terms and conditions of the Creative Commons Attribution (CC BY) license (http://creativecommons.org/licenses/by/4.0/).
Share and Cite
De Marchi, G.; Zanoni, G.; Conti Bellocchi, M.C.; Betti, E.; Brentegani, M.; Capelli, P.; Zuliani, V.; Frulloni, L.; Klersy, C.; Ciccocioppo, R. There Is No Association between Coeliac Disease and Autoimmune Pancreatitis. Nutrients 2018, 10, 1157. https://doi.org/10.3390/nu10091157
De Marchi G, Zanoni G, Conti Bellocchi MC, Betti E, Brentegani M, Capelli P, Zuliani V, Frulloni L, Klersy C, Ciccocioppo R. There Is No Association between Coeliac Disease and Autoimmune Pancreatitis. Nutrients. 2018; 10(9):1157. https://doi.org/10.3390/nu10091157
Chicago/Turabian StyleDe Marchi, Giulia, Giovanna Zanoni, Maria Cristina Conti Bellocchi, Elena Betti, Monica Brentegani, Paola Capelli, Valeria Zuliani, Luca Frulloni, Catherine Klersy, and Rachele Ciccocioppo. 2018. "There Is No Association between Coeliac Disease and Autoimmune Pancreatitis" Nutrients 10, no. 9: 1157. https://doi.org/10.3390/nu10091157
APA StyleDe Marchi, G., Zanoni, G., Conti Bellocchi, M. C., Betti, E., Brentegani, M., Capelli, P., Zuliani, V., Frulloni, L., Klersy, C., & Ciccocioppo, R. (2018). There Is No Association between Coeliac Disease and Autoimmune Pancreatitis. Nutrients, 10(9), 1157. https://doi.org/10.3390/nu10091157

