Ginseng (Panax ginseng Meyer) Oligopeptides Protect Against Binge Drinking-Induced Liver Damage through Inhibiting Oxidative Stress and Inflammation in Rats
Abstract
1. Introduction
2. Materials and Methods
2.1. Preparation and Identification of GOPs
2.2. Chemicals and Reagents
2.3. Animals and Experimental Design
2.4. Biochemical Assays and Enzyme-Linked Immunobsorbent Assay
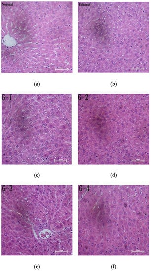
2.5. Histopathological Exanination
2.6. Western Blot Analysis
2.7. Statistical Analysiss
3. Results
3.1. Effects of GOPs on Body Weight and Organ Index
3.2. Effects of GOPs on Serum Biochemical Parameters
3.3. Histopathological Analysis
3.4. Effect of GOPs on Alcohol-Induced Oxidative Stress
3.5. Effects of GOPs on Serum Lipopolysaccharide and Inflammatory Cytokine Levels
3.6. Effect of GOPs on the TLR4, CD14, NF-κB p65 and Iκbα Expression in Liver Tissues
4. Discussion
5. Conclusions
Author Contributions
Funding
Acknowledgments
Conflicts of Interest
References
- Yun, J.W.; Son, M.J.; Abdelmegeed, M.A.; Banerjee, A.; Morgan, T.R.; Yoo, S.H.; Song, B.J. Binge alcohol promotes hypoxic liver injury through a CYP2E1-HIF-1alpha-dependent apoptosis pathway in mice and humans. Free Radic Biol. Med. 2014, 77, 183–194. [Google Scholar] [CrossRef] [PubMed]
- Gao, L.; Zhou, Y.; Zhong, W.; Zhao, X.; Chen, C.; Chen, X.; Gu, Y.; Chen, J.; Lv, Z.; Shen, J. Caveolin-1 is essential for protecting against binge drinking-induced liver damage through inhibiting reactive nitrogen species. Hepatology 2014, 60, 687–699. [Google Scholar] [CrossRef] [PubMed]
- Waszkiewicz, N.; Szajda, S.D.; Zalewska, A.; Konarzewska, B.; Szulc, A.; Kepka, A.; Zwierz, K. Binge drinking-induced liver injury. Hepatology 2009, 50, 1676. [Google Scholar] [CrossRef] [PubMed]
- Asrani, S.K.; Devarbhavi, H.; Eaton, J.; Kamath, P.S. Burden of liver diseases in the world. J. Hepatol. 2018. [Google Scholar] [CrossRef] [PubMed]
- Fuster, D.; Samet, J.H. Alcohol use in patients with chronic liver disease. N. Engl. J. Med. 2018, 379, 1251–1261. [Google Scholar] [CrossRef] [PubMed]
- Xia, T.; Zhang, J.; Yao, J.; Zhang, B.; Duan, W.; Zhao, C.; Du, P.; Song, J.; Zheng, Y.; Wang, M. Shanxi aged vinegar protects against alcohol-induced liver injury via activating nrf2-mediated antioxidant and inhibiting tlr4-induced inflammatory response. Nutrients 2018. [Google Scholar] [CrossRef] [PubMed]
- Han, Y.; Xu, Q.; Hu, J.N.; Han, X.Y.; Li, W.; Zhao, L.C. Maltol, a food flavoring agent, attenuates acute alcohol-induced oxidative damage in mice. Nutrients 2015, 7, 682–696. [Google Scholar] [CrossRef] [PubMed]
- Kim, G.J.; Song, D.H.; Yoo, H.S.; Chung, K.H.; Lee, K.J.; An, J.H. Hederagenin supplementation alleviates the pro-inflammatory and apoptotic response to alcohol in rats. Nutrients 2017. [Google Scholar] [CrossRef] [PubMed]
- Farzaei, M.H.; Zobeiri, M.; Parvizi, F.; El-Senduny, F.F.; Marmouzi, I.; Coy-Barrera, E.; Naseri, R.; Nabavi, S.M.; Rahimi, R.; Abdollahi, M. Curcumin in liver diseases: A systematic review of the cellular mechanisms of oxidative stress and clinical perspective. Nutrients 2018. [Google Scholar] [CrossRef] [PubMed]
- Dey, A.; Cederbaum, A.I. Alcohol and oxidative liver injury. Hepatology 2006, 43, S63–S74. [Google Scholar] [CrossRef] [PubMed]
- Zhou, Z.X.; Sun, X.H.; Kang, Y.J. Metallothionein protection against alcoholic liver injury through inhibition of oxidative stress. Exp. Biol. Med. 2002, 227, 214–222. [Google Scholar] [CrossRef]
- Bae, S.H.; Sung, S.H.; Cho, E.J.; Lee, S.K.; Lee, H.E.; Woo, H.A.; Yu, D.Y.; Kil, I.S.; Rhee, S.G. Concerted action of sulfiredoxin and peroxiredoxin I protects against alcohol-induced oxidative injury in mouse liver. Hepatology 2011, 53, 945–953. [Google Scholar] [CrossRef] [PubMed]
- Nanji, A.A.; Jokelainen, K.; Tipoe, G.L.; Rahemtulla, A.; Dannenberg, A.J. Dietary saturated fatty acids reverse inflammatory and fibrotic changes in rat liver despite continued ethanol administration. J. Pharmacol. Exp. Ther. 2001, 299, 638–644. [Google Scholar] [PubMed]
- Uesugi, T.; Froh, M.; Arteel, G.E.; Bradford, B.U.; Gabele, E.; Wheeler, M.D.; Thurman, R.G. Delivery of IkappaB superrepressor gene with adenovirus reduces early alcohol-induced liver injury in rats. Hepatology 2001, 34, 1149–1157. [Google Scholar] [CrossRef] [PubMed]
- Hritz, I.; Mandrekar, P.; Velayudham, A.; Catalano, D.; Dolganiuc, A.; Kodys, K.; Kurt-Jones, E.; Szabo, G. The critical role of toll-like receptor (TLR) 4 in alcoholic liver disease is independent of the common TLR adapter MyD88. Hepatology 2008, 48, 1224–1231. [Google Scholar] [CrossRef] [PubMed]
- Jia, L.; Chang, X.; Qian, S.; Liu, C.; Lord, C.C.; Ahmed, N.; Lee, C.E.; Lee, S.; Gautron, L.; Mitchell, M.C.; et al. Hepatocyte toll-like receptor 4 deficiency protects against alcohol-induced fatty liver disease. Mol. Metab. 2018. [Google Scholar] [CrossRef] [PubMed]
- Zhao, Y.Y.; Yang, R.; Xiao, M.; Guan, M.J.; Zhao, N.; Zeng, T. Kupffer cells activation promoted binge drinking-induced fatty liver by activating lipolysis in white adipose tissues. Toxicology 2017, 390, 53–60. [Google Scholar] [CrossRef] [PubMed]
- Lee, F.C.; Ko, J.H.; Park, J.K.; Lee, J.S. Effects of Panax ginseng on blood alcohol clearance in man. Clin. Exp. Pharmacol. Physiol. 1987, 14, 543–546. [Google Scholar] [CrossRef] [PubMed]
- Bao, L.; Cai, X.; Wang, J.; Zhang, Y.; Sun, B.; Li, Y. Anti-fatigue effects of small molecule oligopeptides isolated from panax ginseng c. a. meyer in mice. Nutrients 2016. [Google Scholar] [CrossRef] [PubMed]
- Boonlert, W.; Benya-Aphikul, H.; Umka Welbat, J.; Rodsiri, R. Ginseng extract G115 attenuates ethanol-induced depression in mice by increasing brain BDNF levels. Nutrients 2017. [Google Scholar] [CrossRef] [PubMed]
- Xu, M.; Sun, B.; Li, D.; Mao, R.; Li, H.; Li, Y.; Wang, J. Beneficial effects of small molecule oligopeptides isolated from panax ginseng meyer on pancreatic beta-cell dysfunction and death in diabetic rats. Nutrients 2017. [Google Scholar] [CrossRef] [PubMed]
- He, L.X.; Ren, J.W.; Liu, R.; Chen, Q.H.; Zhao, J.; Wu, X.; Zhang, Z.F.; Wang, J.B.; Pettinato, G.; Li, Y. Ginseng (Panax ginseng Meyer) oligopeptides regulate innate and adaptive immune responses in mice via increased macrophage phagocytosis capacity, NK cell activity and Th cells secretion. Food Funct. 2017, 8, 3523–3532. [Google Scholar] [CrossRef] [PubMed]
- De Souza, L.R.; Jenkins, A.L.; Jovanovski, E.; Rahelic, D.; Vuksan, V. Ethanol extraction preparation of American ginseng (Panax quinquefolius L.) and Korean red ginseng (Panax ginseng C.A. Meyer): Differential effects on postprandial insulinemia in healthy individuals. J. Ethnopharmacol. 2015, 159, 55–61. [Google Scholar] [CrossRef] [PubMed]
- He, L.X.; Wang, J.B.; Sun, B.; Zhao, J.; Li, L.; Xu, T.; Li, H.; Sun, J.Q.; Ren, J.W.; Liu, R.; et al. Suppression of TNF-alpha and free radicals reduces systematic inflammatory and metabolic disorders: Radioprotective effects of ginseng oligopeptides on intestinal barrier function and antioxidant defense. J. Nutr. Biochem. 2017, 40, 53–61. [Google Scholar] [CrossRef] [PubMed]
- Tang, X.; Wei, R.; Deng, A.; Lei, T. Protective effects of ethanolic extracts from artichoke, an edible herbal medicine, against acute alcohol-induced liver injury in mice. Nutrients 2017. [Google Scholar] [CrossRef] [PubMed]
- Massey, V.L.; Arteel, G.E. Acute alcohol-induced liver injury. Front. Physiol. 2012, 3, 193. [Google Scholar] [CrossRef] [PubMed]
- Park, T.Y.; Hong, M.; Sung, H.; Kim, S.; Suk, K.T. Effect of Korean Red Ginseng in chronic liver disease. J. Ginseng. Res. 2017, 41, 450–455. [Google Scholar] [CrossRef] [PubMed]
- Lee, S.R.; Kim, M.R.; Yon, J.M.; Baek, I.J.; Park, C.G.; Lee, B.J.; Yun, Y.W.; Nam, S.Y. Black ginseng inhibits ethanol-induced teratogenesis in cultured mouse embryos through its effects on antioxidant activity. Toxicol. In Vitro 2009, 23, 47–52. [Google Scholar] [CrossRef] [PubMed]
- Lee, M.H.; Kwak, J.H.; Jeon, G.; Lee, J.W.; Seo, J.H.; Lee, H.S.; Lee, J.H. Red ginseng relieves the effects of alcohol consumption and hangover symptoms in healthy men: A randomized crossover study. Food Funct. 2014, 5, 528–534. [Google Scholar] [CrossRef] [PubMed]
- Gao, Y.; Chu, S.; Li, J.; Li, J.; Zhang, Z.; Xia, C.; Heng, Y.; Zhang, M.; Hu, J.; Wei, G.; et al. Anti-inflammatory function of ginsenoside Rg1 on alcoholic hepatitis through glucocorticoid receptor related nuclear factor-kappa B pathway. J. Ethnopharmacol. 2015, 173, 231–240. [Google Scholar] [CrossRef] [PubMed]
- Shukla, S.D.; Pruett, S.B.; Szabo, G.; Arteel, G.E. Binge ethanol and liver: New molecular developments. Alcohol. Clin. Exp. Res. 2013, 37, 550–557. [Google Scholar] [CrossRef] [PubMed]
- Louvet, A.; Mathurin, P. Alcoholic liver disease: Mechanisms of injury and targeted treatment. Nat. Rev. Gastroenterol. Hepatol. 2015, 12, 231–242. [Google Scholar] [CrossRef] [PubMed]
- Carson, E.J.; Pruett, S.B. Development and characterization of a binge drinking model in mice for evaluation of the immunological effects of ethanol. Alcohol. Clin. Exp. Res. 1996, 20, 132–138. [Google Scholar] [CrossRef] [PubMed]
- Zhong, Z.; Lemasters, J.J. A unifying hypothesis linking hepatic adaptations for ethanol metabolism to the proinflammatory and profibrotic events of alcoholic liver disease. Alcohol. Clin. Exp. Res. 2018. [Google Scholar] [CrossRef] [PubMed]
- Gluchowski, N.L.; Becuwe, M.; Walther, T.C.; Farese, R.V., Jr. Lipid droplets and liver disease: From basic biology to clinical implications. Nat. Rev. Gastroenterol. Hepatol. 2017, 14, 343–355. [Google Scholar] [CrossRef] [PubMed]
- Han, J.Y.; Lee, S.; Yang, J.H.; Kim, S.; Sim, J.; Kim, M.G.; Jeong, T.C.; Ku, S.K.; Cho, I.J.; Ki, S.H. Korean Red Ginseng attenuates ethanol-induced steatosis and oxidative stress via AMPK/Sirt1 activation. J. Ginseng Res. 2015, 39, 105–115. [Google Scholar] [CrossRef] [PubMed]
- Ruhl, C.E.; Everhart, J.E. Joint effects of body weight and alcohol on elevated serum alanine aminotransferase in the United States population. Clin. Gastroenterol. Hepatol. 2005, 3, 1260–1268. [Google Scholar] [CrossRef]
- Zhang, F.; Zhang, J.; Li, Y. Corn oligopeptides protect against early alcoholic liver injury in rats. Food Chem. Toxicol. 2012, 50, 2149–2154. [Google Scholar] [CrossRef] [PubMed]
- Chen, P.; Miyamoto, Y.; Mazagova, M.; Lee, K.C.; Eckmann, L.; Schnabl, B. Microbiota protects mice against acute alcohol-induced liver injury. Alcohol. Clin. Exp. Res. 2015, 39, 2313–2323. [Google Scholar] [CrossRef] [PubMed]
- Bukong, T.N.; Iracheta-Vellve, A.; Gyongyosi, B.; Ambade, A.; Catalano, D.; Kodys, K.; Szabo, G. Therapeutic benefits of spleen tyrosine kinase inhibitor administration on binge drinking-induced alcoholic liver injury, steatosis, and inflammation in mice. Alcohol. Clin. Exp. Res. 2016, 40, 1524–1530. [Google Scholar] [CrossRef] [PubMed]
- Chang, B.; Xu, M.J.; Zhou, Z.; Cai, Y.; Li, M.; Wang, W.; Feng, D.; Bertola, A.; Wang, H.; Kunos, G.; et al. Short- or long-term high-fat diet feeding plus acute ethanol binge synergistically induce acute liver injury in mice: An important role for CXCL1. Hepatology 2015, 62, 1070–1085. [Google Scholar] [CrossRef] [PubMed]
- Lee, Y.H.; Kim, S.H.; Lee, S.; Kim, K.M.; Jung, J.C.; Son, T.G.; Ki, S.H.; Seo, W.D.; Kwak, J.H.; Hong, J.T.; et al. Antioxidant effect of barley sprout extract via enhancement of nuclear factor-erythroid 2 related factor 2 activity and glutathione synthesis. Nutrients 2017. [Google Scholar] [CrossRef] [PubMed]
- Tilg, H.; Moschen, A.R.; Szabo, G. Interleukin-1 and inflammasomes in alcoholic liver disease/acute alcoholic hepatitis and nonalcoholic fatty liver disease/nonalcoholic steatohepatitis. Hepatology 2016, 64, 955–965. [Google Scholar] [CrossRef] [PubMed]
- Uesugi, T.; Froh, M.; Arteel, G.E.; Bradford, B.U.; Thurman, R.G. Toll-like receptor 4 is involved in the mechanism of early alcohol-induced liver injury in mice. Hepatology 2001, 34, 101–108. [Google Scholar] [CrossRef] [PubMed]
- Bala, S.; Marcos, M.; Gattu, A.; Catalano, D.; Szabo, G. Acute binge drinking increases serum endotoxin and bacterial DNA levels in healthy individuals. PLoS ONE 2014, 9, e96864. [Google Scholar] [CrossRef] [PubMed]
- Lee, Y.H.; Kim, J.H.; Kim, S.H.; Oh, J.Y.; Seo, W.D.; Kim, K.M.; Jung, J.C.; Jung, Y.S. Barley sprouts extract attenuates alcoholic fatty liver injury in mice by reducing inflammatory response. Nutrients 2016, 8. [Google Scholar] [CrossRef] [PubMed]
- Bang, C.S.; Hong, S.H.; Suk, K.T.; Kim, J.B.; Han, S.H.; Sung, H.; Kim, E.J.; Kim, M.J.; Kim, M.Y.; Baik, S.K.; et al. Effects of Korean Red Ginseng (Panax ginseng), urushiol (Rhus vernicifera Stokes), and probiotics (Lactobacillus rhamnosus R0011 and Lactobacillus acidophilus R0052) on the gut-liver axis of alcoholic liver disease. J. Ginseng Res. 2014, 38, 167–172. [Google Scholar] [CrossRef] [PubMed]
- Dunn, W.; Shah, V.H. Pathogenesis of alcoholic liver disease. Clin. Liver Dis. 2016, 20, 445–456. [Google Scholar] [CrossRef] [PubMed]
- Cai, X.; Bao, L.; Wang, N.; Ren, J.; Chen, Q.; Xu, M.; Li, D.; Mao, R.; Li, Y. Dietary nucleotides protect against alcoholic liver injury by attenuating inflammation and regulating gut microbiota in rats. Food Funct. 2016, 7, 2898–2908. [Google Scholar] [CrossRef] [PubMed]







| Amino Acid | Amino Acid Composition of GOPs (g/100 g) |
|---|---|
| Asp | 0.19 |
| Glu | 0.12 |
| Ser | 0.02 |
| His | 0.06 |
| Gly | 0.02 |
| Thr | 0.05 |
| Arg | 2.26 |
| Ala | 0.13 |
| Tyr | 0.09 |
| Cys | 0.01 |
| Val | 0.06 |
| Met | 0.02 |
| Phe | 0.09 |
| Ile | 0.04 |
| Leu | 0.08 |
| Lys | 0.06 |
| Pro | 0.65 |
| The Extent of Hepatic Fat Accumulation | Level |
|---|---|
| Lipid droplets in liver cells scattered, scarce and normal | 0 |
| Hepatocytes with lipid droplets do not exceed 1/4 of the entire picture | I |
| Hepatocytes with lipid droplets do not exceed 1/2 of the entire picture | II |
| Hepatocytes with lipid droplets do not exceed 3/4 of the entire picture | III |
| Lipid droplets affected almost the entire liver tissue | IV |
| Groups | Dosage (g/kg BW) | Body Weight (g) | Liver Index (%) | Kidney Index (%) | |
|---|---|---|---|---|---|
| Initial | Final | ||||
| Normal | 175.47 ± 9.97 | 397.47 ± 13.57 | 2.63 ± 0.22 | 0.61 ± 0.03 | |
| Alcohol | 172.25 ± 7.03 | 391.30 ± 16.97 | 2.93 ± 0.24 * | 0.61 ± 0.03 | |
| GOPs 1 | 0.0625 | 172.60 ± 7.54 | 392.93 ± 17.24 | 3.03 ± 0.31 * | 0.63 ± 0.06 |
| GOPs 2 | 0.1250 | 174.13 ± 9.72 | 387.65 ± 15.60 | 3.00 ± 0.25 * | 0.65 ± 0.06 |
| GOPs 3 | 0.2500 | 173.33 ± 7.83 | 392.20 ± 13.39 | 2.96 ± 0.30 * | 0.63 ± 0.06 |
| GOPs 4 | 0.5000 | 170.93 ± 7.15 | 398.07 ± 17.30 | 2.99 ± 0.27 * | 0.63 ± 0.04 |
| Parameters | Normal | Alcohol | GOPs 1 | GOPs 2 | GOPs 3 | GOPs 4 |
|---|---|---|---|---|---|---|
| ALT (U/L) | 52.50 ± 9.76 | 74.40 ± 15.24 ** | 58.00 ± 12.36 ## | 54.70 ± 7.85 ## | 60.00 ± 9.17 ## | 57.80 ± 9.04 ## |
| AST (U/L) | 211.50 ± 37.21 | 285.50 ± 47.17 ** | 230.60 ± 24.64 ## | 213.50 ± 27.46 ## | 238.00 ± 41.19 ## | 232.40 ± 32.10 ## |
| TC (mmol/L) | 1.65 ± 0.28 | 1.29 ± 0.12 * | 1.54 ± 0.49 | 1.44 ± 0.18 | 1.43 ± 0.26 | 1.45 ± 0.30 |
| TG (mmol/L) | 0.56 ± 0.14 | 1.24 ± 0.20 ** | 1.02 ± 0.4 | 1.04 ± 0.58 | 0.64 ± 0.19 ## | 0.73 ± 0.16 ## |
| HDL-C (mmol/L) | 1.58 ± 0.17 | 1.12 ± 0.11 ** | 1.13 ± 0.40 | 1.25 ± 0.17 * | 1.18 ± 0.31 * | 1.23 ± 0.19 * |
| LDL-C (mmol/L) | 0.40 ± 0.07 | 0.23 ± 0.04 ** | 0.22 ± 0.08 ** | 0.20 ± 0.05 ** | 0.21 ± 0.05 ** | 0.19 ± 0.03 ** |
| VLDL (μg/mL) | 130.10 ± 13.02 | 203.38 ± 15.66 ** | 153.06 ± 13.29 **## | 89.00 ± 13.63 **## | 107.53 ± 16.57 **## | 124.35 ± 19.88 ## |
| TP (g/L) | 67.64 ± 3.58 | 57.34 ± 4.93 ** | 54.99 ± 6.44 ** | 59.35 ± 7.65 ** | 54.22 ± 7.63 ** | 56.92 ± 5.49 ** |
| ALB (g/L) | 38.21 ± 1.99 | 34.02 ± 2.29 ** | 33.33 ± 3.01 ** | 34.28 ± 3.59 ** | 32.05 ± 3.27 ** | 33.68 ± 2.45 ** |
| GLB (g/L) | 29.43 ± 1.99 | 23.31 ± 2.85 ** | 21.66 ± 3.51 ** | 25.07 ± 4.17 ** | 22.17 ± 4.48 ** | 23.25 ± 3.13 ** |
| A:G ratio | 1.30 ± 0.07 | 1.47 ± 0.12 ** | 1.56 ± 0.13 ** | 1.38 ± 0.11 # | 1.47 ± 0.15 ** | 1.46 ± 0.10 ** |
| ALP (U/L) | 114.66 ± 22.14 | 176.07 ± 37.57 ** | 213.01 ± 92.34 ** | 203.89 ± 72.39 ** | 237.45 ± 63.19 **## | 185.08 ± 38.53 ** |
| CR (umol/L) | 35.00 ± 2.51 | 31.66 ± 3.05 * | 29.70 ± 3.82 ** | 29.36 ± 3.75 ** | 29.40 ± 2.60 ** | 30.85 ± 4.83 ** |
| BUN (mmol/L) | 4.70 ± 0.68 | 4.69 ± 0.97 | 5.33 ± 0.61 | 4.74 ± 0.82 | 4.88 ± 1.07 | 4.88 ± 0.54 |
| Groups | Dosage (g/kg BW) | Steatosis Grade | Average Rank | ||||
|---|---|---|---|---|---|---|---|
| 0 | I | II | III | IV | |||
| Normal | 5 | 1 | 0 | 0 | 0 | 6.42 | |
| Alcohol | 0 | 0 | 1 | 3 | 2 | 30.42 * | |
| GOPs 1 | 0.0625 | 0 | 1 | 3 | 2 | 0 | 23.00 |
| GOPs 2 | 0.1250 | 1 | 2 | 2 | 1 | 0 | 17.50 |
| GOPs 3 | 0.2500 | 1 | 2 | 1 | 2 | 0 | 18.92 |
| GOPs 4 | 0.5000 | 2 | 2 | 1 | 1 | 0 | 14.75 |
© 2018 by the authors. Licensee MDPI, Basel, Switzerland. This article is an open access article distributed under the terms and conditions of the Creative Commons Attribution (CC BY) license (http://creativecommons.org/licenses/by/4.0/).
Share and Cite
Liu, R.; Chen, Q.-H.; Ren, J.-W.; Sun, B.; Cai, X.-X.; Li, D.; Mao, R.-X.; Wu, X.; Li, Y. Ginseng (Panax ginseng Meyer) Oligopeptides Protect Against Binge Drinking-Induced Liver Damage through Inhibiting Oxidative Stress and Inflammation in Rats. Nutrients 2018, 10, 1665. https://doi.org/10.3390/nu10111665
Liu R, Chen Q-H, Ren J-W, Sun B, Cai X-X, Li D, Mao R-X, Wu X, Li Y. Ginseng (Panax ginseng Meyer) Oligopeptides Protect Against Binge Drinking-Induced Liver Damage through Inhibiting Oxidative Stress and Inflammation in Rats. Nutrients. 2018; 10(11):1665. https://doi.org/10.3390/nu10111665
Chicago/Turabian StyleLiu, Rui, Qi-He Chen, Jin-Wei Ren, Bin Sun, Xia-Xia Cai, Di Li, Rui-Xue Mao, Xin Wu, and Yong Li. 2018. "Ginseng (Panax ginseng Meyer) Oligopeptides Protect Against Binge Drinking-Induced Liver Damage through Inhibiting Oxidative Stress and Inflammation in Rats" Nutrients 10, no. 11: 1665. https://doi.org/10.3390/nu10111665
APA StyleLiu, R., Chen, Q.-H., Ren, J.-W., Sun, B., Cai, X.-X., Li, D., Mao, R.-X., Wu, X., & Li, Y. (2018). Ginseng (Panax ginseng Meyer) Oligopeptides Protect Against Binge Drinking-Induced Liver Damage through Inhibiting Oxidative Stress and Inflammation in Rats. Nutrients, 10(11), 1665. https://doi.org/10.3390/nu10111665

