Effects of the Silica Dust on the Nasal Mucosa of Ceramic Workers
Abstract
1. Background
2. Materials and Methods
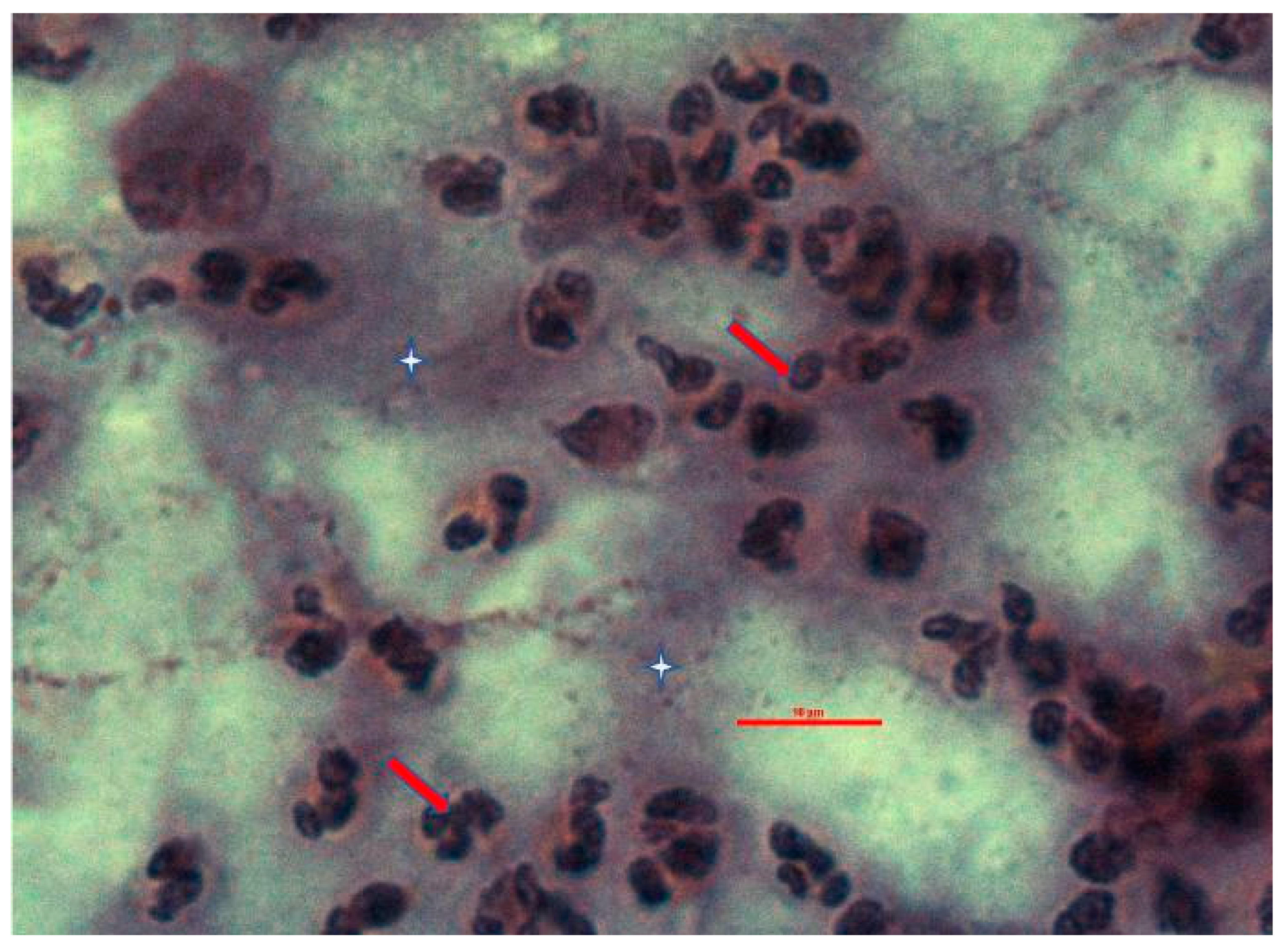
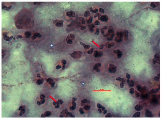
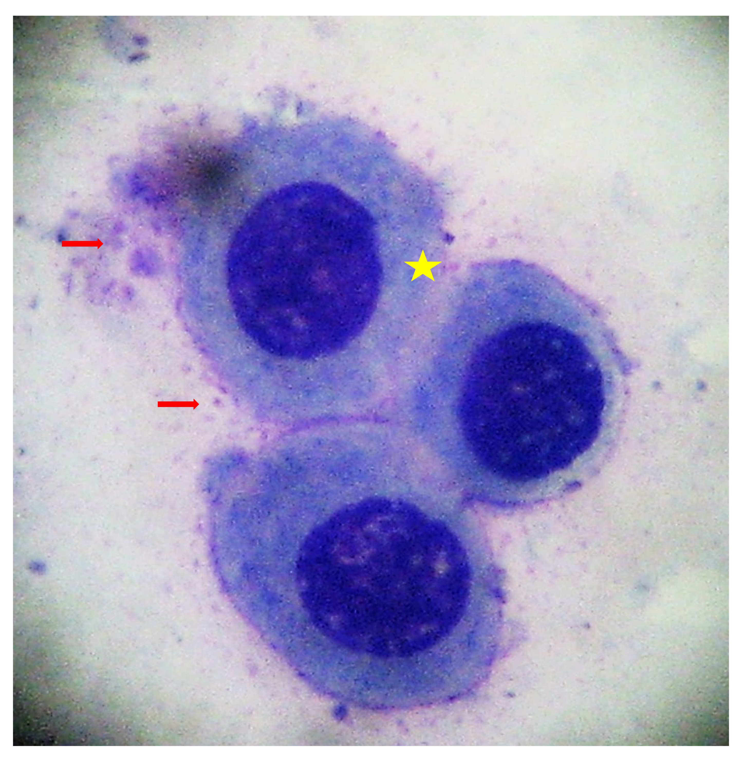
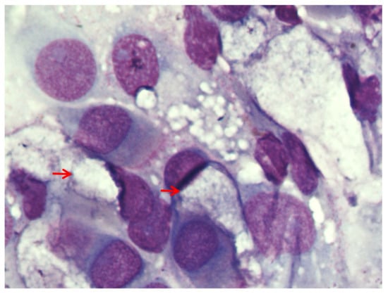
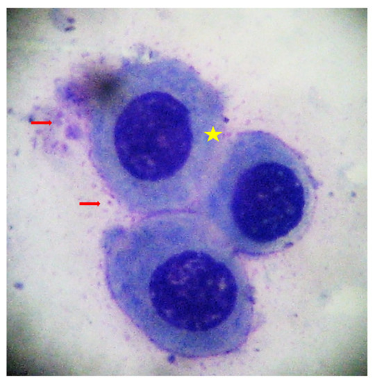
3. Results
4. Discussion
5. Conclusions
Author Contributions
Funding
Institutional Review Board Statement
Informed Consent Statement
Data Availability Statement
Conflicts of Interest
References
- Fuortes, L.J. Health hazards of working with ceramics. Postgrad. Med. 1989, 85, 133–136. [Google Scholar] [CrossRef] [PubMed]
- Matsushima, T.; Ubuno, T.; Ito, H.; Yoshino, S.; Ochiai, M.; Hasegawa, S.; Kito, S. Silicosis and silicotuberculosis among pottery workers. Jpn. J. Ind. Health 1965, 7, 507–510, (In Japanese with English abstract). [Google Scholar]
- Hasegawa, S. Studies on the silicosis in Seto ceramics plants in Aichi prefecture, comparison of their roentogenological classification with results by pulmonary function tests. Jpn. J. Ind. Health 1963, 5, 45–59, (In Japanese with English abstract). [Google Scholar]
- Chen, W.; Liu, Y.; Wang, H.; Hnizdo, E.; Sun, Y.; Su, L.; Zhang, X.; Weng, S.; Bochmann, F.; Hearl, F.J.; et al. Long-Term Exposure to Silica Dust and Risk of Total and Cause-Specific Mortality in Chinese Workers: A Cohort Study. PLoS Med. 2012, 9, e1001206. [Google Scholar] [CrossRef] [PubMed]
- Brown, T.P.; Rushton, L. Mortality in the UK industrial silica sand industry: First assessment of exposure to respirable crystalline silica. Occup. Environ. Med. 2015, 62, 442–445. [Google Scholar] [CrossRef]
- Steenland, K. One agent, many diseases: Exposure-response data and comparative risks of different outcomes following silica exposure. Am. J. Ind. Med. 2005, 48, 16–23. [Google Scholar] [CrossRef]
- NIOSH. Health Effects of Occupational Exposure to Respirable Crystalline Silica; Department of Health and Human Services, Centers for Disease Control and Prevention, National Institute for Occupational Safety and Health: Washington, DC, USA, 2002; pp. 21–80. Available online: https://www.cdc.gov/niosh/docs/2002–129/ (accessed on 2 May 2022).
- Kauppinen, T.; Toikkanen, J.; Pedersen, D.; Young, R.; Ahrens, W.; Boffetta, P.; Hansen, J.; Kromhout, H.; Blasco, J.M.; Mirabelli, D.; et al. Occupational exposure to carcinogens in the European Union. Occup. Environ. Med. 2000, 57, 10–18. [Google Scholar] [CrossRef]
- Silica, Some Silicates, Coal Dust, and Para-Aramid Fibrils. In IARC Monographs on the Evaluation of Carcinogenic Risks to Humans; WHO: Lyon, UK, 1997; Volume 68, pp. 41–243.
- Steenland, K.; Mannetje, A.; Boffetta, P.; Stayner, L.; Attfield, M.; Chen, J.; Dosemeci, M.; de Klerk, N.; Hnizdo, E.; Koskela, R.; et al. International agency for research on cancer. Pooled exposure-response analyses and risk assessment for lung cancer in 10 cohorts of silica-exposed workers: An IARC multicentre study. Cancer Causes Control 2001, 12, 773–784. [Google Scholar] [CrossRef]
- Mannetje, A.; Steenland, K.; Attfield, M.; Boffetta, P.; Checkoway, H.; de Klerk, N.; Koskela, R.-S. Exposure-response analysis and risk assessment for silica and silicosis mortality in a pooled analysis of six cohorts. Occup. Environ. Med. 2002, 59, 723–728. [Google Scholar] [CrossRef]
- Attfield, M.; Costello, J. Quantitative exposure-response for silica dust and lung cancer in Vermont granite workers. Am. J. Ind. Med. 2004, 45, 129–138. [Google Scholar] [CrossRef]
- Chen, W.; Zhuang, Z.; Attfield, M.; Chen, B.; Gao, P.; Harrison, J.C.; Fu, C.; Chen, J.; Wallace, W.E. Exposure to silica and silicosis among tin miners in China: Exposure-response analyses and risk assessment. Occup. Environ. Med. 2001, 58, 31–37. [Google Scholar] [CrossRef] [PubMed]
- Information Note of International Labour Office (ILO). In Proceedings of the Thirteenth Session of the Joint ILO/WHO Committee on Occupational Health, Geneva, Switzerland, 9–12 December 2003.
- Dement, J.M.; Welch, L.; Bingham, E.; Cameron, B.; Rice, C.; Quinn, P.; Ringen, K. Surveillance of respiratory diseases among construction and trade workers at Department of Energy nuclear sites. Am. J. Ind. Med. 2003, 43, 559–573. [Google Scholar] [CrossRef] [PubMed]
- Welch, L.S.; Dement, J.M.; Cranford, K.; Quinn, P.S.; Madtes, D.K.; Ringen, K. Early detection of lung cancer in a population at high risk due to occupation and smoking. Occup. Environ. Med. 2019, 76, 137–142. [Google Scholar] [CrossRef] [PubMed]
- Health Surveillance for Those Exposed to Respirable Crystalline Silica (RCS). Supplementary Guidance for Occupational Health Professionals (Amended January 2016). Available online: www.britglass.org.uk (accessed on 5 May 2022).
- Hnizdo, E.; Vallyathan, V. Chronic obstructive pulmonary disease due to occupational exposure to silica dust: A review of epidemiological and pathological evidence. Occup. Environ. Med. 2003, 60, 237–243. [Google Scholar] [CrossRef] [PubMed]
- Moscato, G.; Pala, G.; Perfetti, L.; Frascaroli, M.; Pignatti, P. Clinical and inflammatory features of occupational asthma caused by persulphate salts in comparison with asthma associated with occupational rhinitis. Allergy 2010, 65, 784–790. [Google Scholar] [CrossRef]
- Suojalehto, H.; Karvala, K.; Haramo, J.; Korhonen, M.; Saarinen, M.; Lindström, I. Medical surveillance for occupational asthma—How are cases detected? Occup. Med. 2017, 67, 159–162. [Google Scholar] [CrossRef]
- Miedinger, D.; Gautrin, D.; Castano, R. Upper airway symptoms among workers with work-related respiratory complaints. Occup. Med. 2012, 62, 427–434. [Google Scholar] [CrossRef]
- Cantone, E.; Cavaliere, M.; Begvarfaj, E.; Motta, S.; Iengo, M. New therapeutic strategies for the treatment of recurrent respiratory tract infections in children. J. Biol. Regul. Homeost. Agents 2020, 34, 1185–1191. [Google Scholar]
- Falchi, M.; Paoletti, L.; Mariotta, S.; Giosue, S.; Guidi, L.; Biondo, L.; Scavalli, P.; Bisetti, A. Non-fibrous inorganic particles in bronchoalveolar lavage fluid of pottery workers. Occup. Environ. Med. 1996, 53, 762–766. [Google Scholar] [CrossRef]
- Ehrlich, R.; Akugizibwe, P.; Siegfried, N.; Rees, D. The association between silica exposure, silicosis and tuberculosis: A systematic review and meta-analysis. BMC Public Health 2021, 21, 953. [Google Scholar] [CrossRef]
- Yarahmadi, A.; Zahmatkesh, M.M.; Ghaffari, M.; Mohammadi, S.; Labbafinejad, Y.; Seyedmehdi, S.M.; Nojomi, M.; Attarchi, M. Correlation between silica exposure and risk of tuberculosis in Lorestan Province of Iran. Tanaffos 2013, 12, 34–40. [Google Scholar] [PubMed]
- WHO. Expert Committee on Identification and Control of Work-Related Diseases; World Health Organization: Geneva, Switzerland, 1985; pp. 46–62. [Google Scholar]
- Cirla, A.M. Effetti di ipersensibilità nelle attività di verniciatura. In Atti “Attività di Verniciatura: Salute e Sicurezza”; Ed. Cimal: Milano, Italy, 2009; pp. 54–68. [Google Scholar]
- Regulation (EC) No 1272/2008 of the European Parliament and of the Council of 16 December 2008 on Classification, Labelling and Packaging of Substances and Mixtures, Amending and Repealing Directives 67/548/EEC and 1999/45/EC, and Amending Regulation (EC) No 1907/2006, OJ L 353, 31.12.2008, p. 1–1355. Available online: http://data.europa.eu/eli/reg/2008/1272/oj (accessed on 5 May 2022).
- Huang, J.; Shibata, E.; Takeuchi, Y.; Okutani, H. Comprehensive health evaluation of workers in the ceramics industry. Br. J. Ind. Med. 1993, 50, 112–116. [Google Scholar] [CrossRef] [PubMed][Green Version]
- Fielding, J.E.; Piserchia, P.V. Frequency of worksite health promotion activities. Am. J. Public Health 1989, 79, 16–20. [Google Scholar] [CrossRef] [PubMed]
- Wise, S.K.; Lin, S.Y.; Toskala, E.; Orlandi, R.R.; Akdis, C.A.; Alt, J.A.; Azar, A.; Baroody, F.M.; Bachert, C.; Canonica, G.W.; et al. International Consensus Statement on Allergy and Rhinology: Allergic Rhinitis. Int. Forum Allergy Rhinol. 2018, 8, 108–352. [Google Scholar] [CrossRef]
- Heffler, E.; Landi, M.; Caruso, C.; Fichera, S.; Gani, F.; Guida, G.; Liuzzo, M.T.; Pistorio, M.P.; Pizzimenti, S.; Riccio, A.M.; et al. Nasal cytology: Methodology with application to clinical practice and research. Clin. Exp. Allergy 2018, 48, 1092–1106. [Google Scholar] [CrossRef]
- McDougall, C.M.; Blaylock, M.G.; Douglas, J.G.; Brooker, R.J.; Helms, P.J.; Walsh, G.M. Nasal epithelial cells as surrogates for bronchial epithelial cells in airway inflammation studies. Am. J. Respir. Cell Mol. Biol. 2008, 39, 560–568. [Google Scholar] [CrossRef]
- Peluso, M.E.; Munnia, A.; Giese, R.W.; Chellini, E.; Ceppi, M.; Capacci, F. Oxidatively damaged DNA in the nasal epithelium of workers occupationally exposed to silica dust in Tuscany region, Italy. Mutagenesis 2015, 30, 519–525. [Google Scholar] [CrossRef]
- Peluso, M.E.; Munnia, A. DNA adducts and the total sum of at-risk DNA repair alleles in the nasal epithelium, a target tissue of tobacco smoking-associated carcinogenesi. Toxicol. Res. 2014, 3, 42–49. [Google Scholar] [CrossRef]
- Lovato, A.; Staffieri, C.; Ottaviano, G.; Cappellesso, R.; Giacomelli, L.; Bartolucci, G.B.; Scapellato, M.L.; Marioni, G. Woodworkers and the inflammatory effects of softwood/hardwood dust: Evidence from nasal cytology. Eur. Arch. Otorhinolaryngol. 2016, 273, 3195–3200. [Google Scholar] [CrossRef]
- Bachert, C.; Marple, B.; Schlosser, R.J.; Hopkins, C.; Schleimer, R.P.; Lambrecht, B.N.; Bröker, B.M.; Laidlaw, T.; Song, W.-J. Adult chronic rhinosinusitis. Nat. Rev. Dis. Prim. 2020, 6, 86. [Google Scholar] [CrossRef]
- Vandenplas, O.; Suarthana, E.; Rifflart, C.; Lemière, C.; Le Moual, N.; Bousquet, J. The Impact of Work-Related Rhinitis on Quality of Life and Work Productivity: A General Workforce-Based Survey. J. Allergy Clin. Immunol. Pract. 2020, 8, 1583–1591.e5. [Google Scholar] [CrossRef] [PubMed]
- Keil, A.; Richardson, D.; Westreich, D.; Steenland, K. Estimating the impact of changes to occupational standards for silica exposure on lung cancer mortality. Occup. Environ. Med. 2019, 76, 24. [Google Scholar] [CrossRef]
- Bruno, E.; Somma, G.; Russo, C.; Porozaj, D.; Pietroiusti, A.; Alessandrini, M.; Magrini, A. Nasal cytology as a screening tool in formaldehyde-exposed workers. Occup. Med. 2018, 68, 307–313. [Google Scholar] [CrossRef] [PubMed]




| Characteristics | N (%) |
|---|---|
| Male:Female | 24 (85): 4 (15) |
| Mean Age (years) (range) | 46.28 (19–64) |
| Years of exposure (range) | 27.28 (4–35) |
| Smoking status, current:ex:never | 9 (32.14):5 (17.85):14 (50) |
| Allergics | 8 (28.57) |
| Mites | 1 (3.57) |
| Grass | 3 (10.71) |
| Parietaria | 2 (7.14) |
| Alternaria | 1 (3.57) |
| Mites and Grass | 1 (3.57) |
| Previous upper airways surgeries: | 3 (10.71) |
| Adenoidectomy | 2 (7.14) |
| Septoplasty | 1 (3.57) |
| Nasal congestion | 28 (100) |
| Sneezing | 17 (60.7) |
| Itching | 10 (35.7) |
| Type of Cells | N of Subjects (%) |
|---|---|
| Thick mucus | 26 (92.85) |
| Ciliated | 2 (7.14) |
| Muciparous hyperplasia and metaplasia | 25 (89.28) |
| Ratio Ciliated/Muciparous < 5 | 28 (100) |
| Polynucleated ciliated cell | 20 (71.42) |
| Dust (precipitation) | 10 (35.7) |
| Bacteria/fungi | 0 (0) |
| Neutrophils | 10 (35.7) |
| Eosinophils | 1 (3.57) |
| Lymphocytes | 1 (3.57) |
| Mast cells | 0 (0) |
Publisher’s Note: MDPI stays neutral with regard to jurisdictional claims in published maps and institutional affiliations. |
© 2022 by the authors. Licensee MDPI, Basel, Switzerland. This article is an open access article distributed under the terms and conditions of the Creative Commons Attribution (CC BY) license (https://creativecommons.org/licenses/by/4.0/).
Share and Cite
Begvarfaj, E.; Greco, E.; Armone Caruso, A.; Masieri, S.; Ciofalo, A.; Velardita, C.; Cavaliere, C. Effects of the Silica Dust on the Nasal Mucosa of Ceramic Workers. Sustainability 2022, 14, 12556. https://doi.org/10.3390/su141912556
Begvarfaj E, Greco E, Armone Caruso A, Masieri S, Ciofalo A, Velardita C, Cavaliere C. Effects of the Silica Dust on the Nasal Mucosa of Ceramic Workers. Sustainability. 2022; 14(19):12556. https://doi.org/10.3390/su141912556
Chicago/Turabian StyleBegvarfaj, Elona, Emilio Greco, Arturo Armone Caruso, Simonetta Masieri, Andrea Ciofalo, Carmelita Velardita, and Carlo Cavaliere. 2022. "Effects of the Silica Dust on the Nasal Mucosa of Ceramic Workers" Sustainability 14, no. 19: 12556. https://doi.org/10.3390/su141912556
APA StyleBegvarfaj, E., Greco, E., Armone Caruso, A., Masieri, S., Ciofalo, A., Velardita, C., & Cavaliere, C. (2022). Effects of the Silica Dust on the Nasal Mucosa of Ceramic Workers. Sustainability, 14(19), 12556. https://doi.org/10.3390/su141912556

