Response of Castor Seedling Roots to Combined Pollution of Cd and Zn in Soils
Abstract
:1. Introduction
2. Materials and Methods
2.1. Chemicals and Preparation
2.2. Plant Culture and Experimental Design
2.3. Determination of Soil Properties
2.4. Root Index Determination
2.5. Cd and Zn Content in Roots
2.6. Root Cross-Sectional Morphology
2.7. Antioxidant Enzymes and Physiological Indicators
2.8. Statistical Analysis
3. Results
3.1. Cd and Zn Accumulation in Castor Seedling Roots
3.2. Effects of Cd and Zn on Soil Nutrient Elements
3.3. Morphological Response of Castor Seedling Roots to Cd and Zn
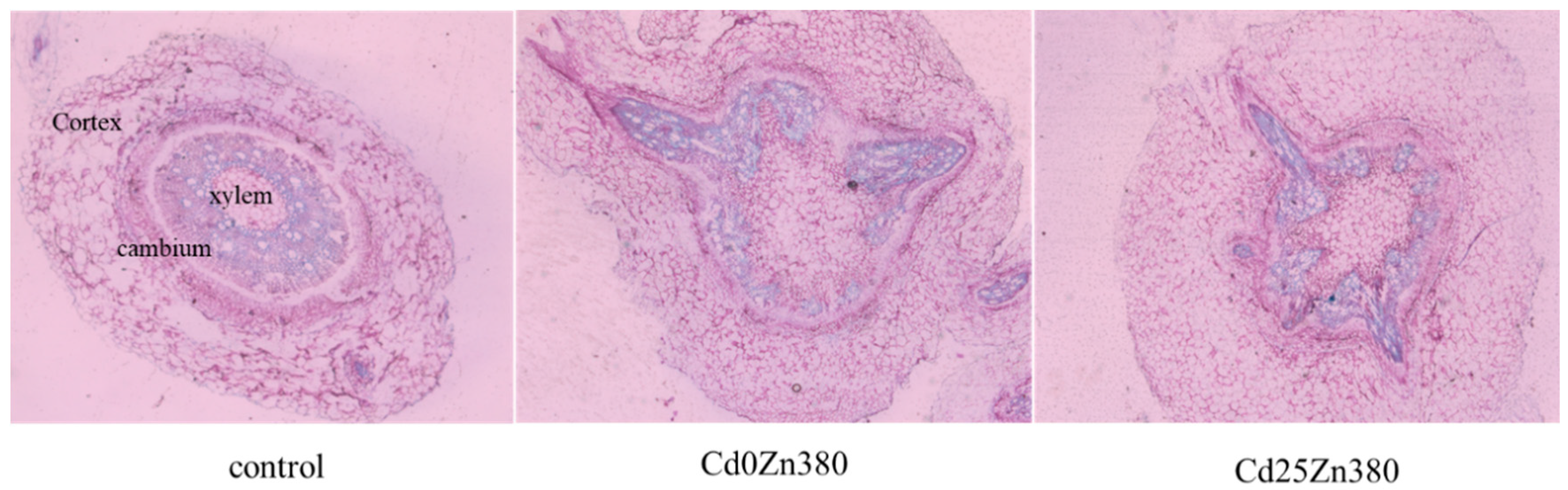
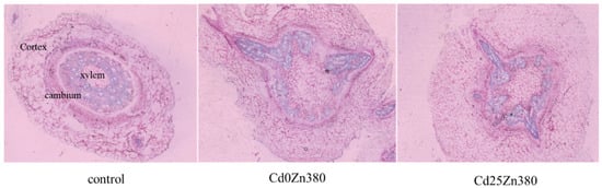
3.4. Micromorphology of Castor Seedling Roots to Cd and Zn
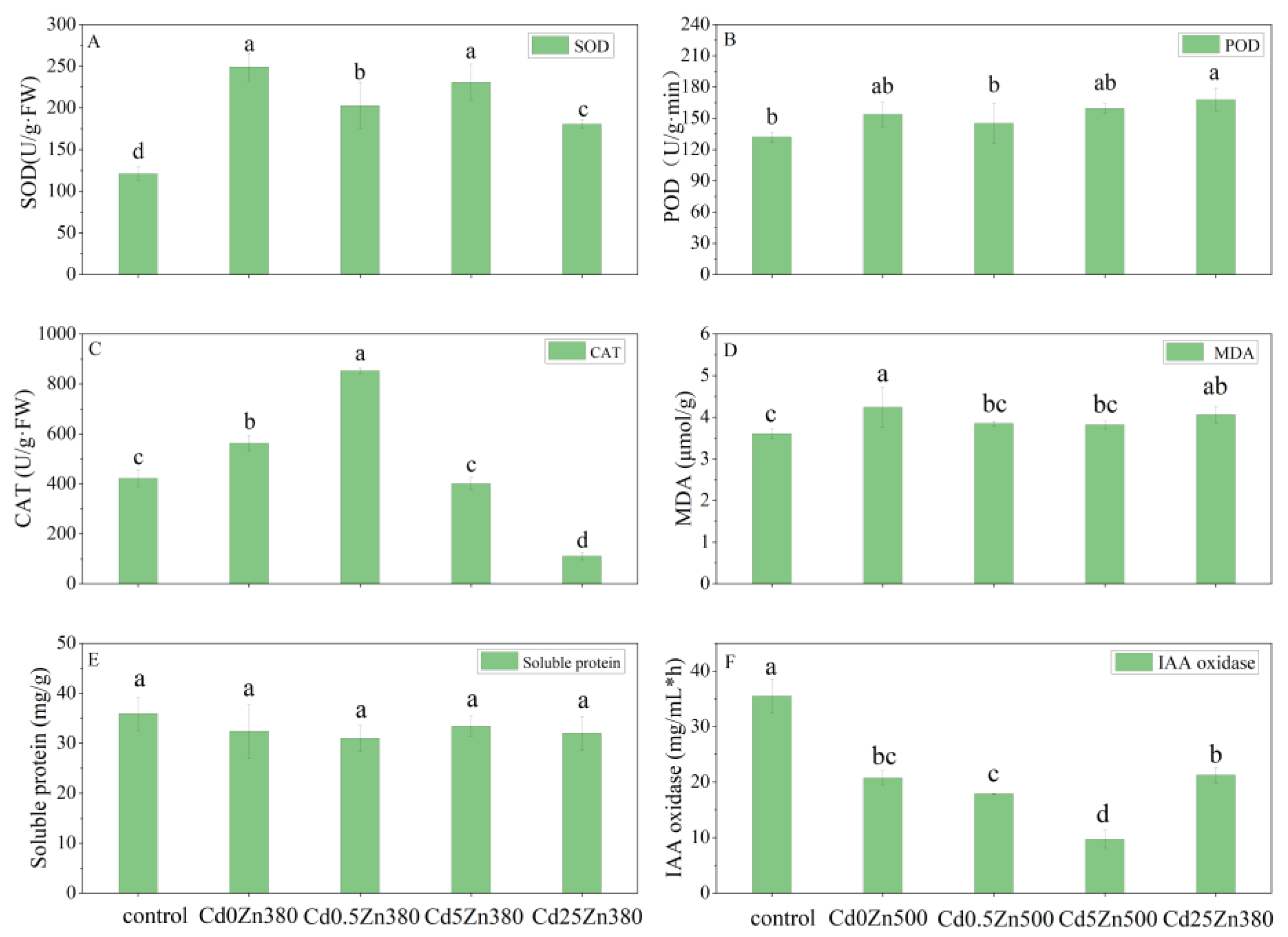
3.5. Physiological Response of Castor Seedling Roots to Cd and Zn
4. Discussion
5. Conclusions
Supplementary Materials
Author Contributions
Funding
Institutional Review Board Statement
Informed Consent Statement
Data Availability Statement
Conflicts of Interest
References
- Xiao, R.; Ali, A.; Wang, P.; Li, R.H.; Tian, X.H.; Zhang, Z.Q. Comparison of the feasibility of different washing solutions for combined soil washing and phytoremediation for the detoxification of cadmium (Cd) and zinc (Zn) in contaminated soil. Chemosphere 2019, 230, 510–518. [Google Scholar] [CrossRef] [PubMed]
- Yang, Q.; Li, Z.; Lu, X.; Duan, Q.; Huang, L.; Bi, J. A review of soil heavy metal pollution from industrial and agricultural regions in China: Pollution and risk assessment. Sci. Total Environ. 2018, 642, 690–700. [Google Scholar] [CrossRef] [PubMed]
- Li, Z.; Ma, Z.; van der Kuijp, T.J.; Yuan, Z.; Huang, L. A review of soil heavy metal pollution from mines in China: Pollution and health risk assessment. Sci. Total Environ. 2014, 468–469, 843–853. [Google Scholar] [CrossRef] [PubMed]
- Ali, H.; Khan, E.; Sajad, M.A. Phytoremediation of heavy metals-Concepts and applications. Chemosphere 2013, 91, 869–881. [Google Scholar] [CrossRef]
- Pandey, V.C.; Bajpai, O.; Singh, N. Energy crops in sustainable phytoremediation. Renew. Sustain. Energy Rev. 2016, 54, 58–73. [Google Scholar] [CrossRef]
- Bauddha, K.; Singh, K.; Singh, B.; Singh, R.P. Ricinus communis: A robust plant for bio-energy and phytoremediation of toxic metals from contaminated soil. Ecol. Eng. 2015, 84, 640–652. [Google Scholar] [CrossRef]
- Andreazza, R.; Bortolon, L.; Pieniz, S.; Camargo, F.A.O. Use of High-Yielding Bioenergy Plant Castor Bean (Ricinus communis L.) as a Potential Phytoremediator for Copper-Contaminated Soils. Pedosphere 2013, 23, 651–661. [Google Scholar] [CrossRef]
- Bauddh, K.; Singh, R.P. Assessment of Metal Uptake Capacity of Castor Bean and Mustard for Phytoremediation of Nickel from Contaminated Soil. Bioremediation J. 2015, 19, 124–138. [Google Scholar] [CrossRef]
- Bamagoos, A.A.; Mallhi, Z.I.; El-Esawi, M.A.; Rizwan, M.; Ahmad, A.; Hussain, A.; Alharby, H.F.; Alharbi, B.M.; Ali, S. Alleviating lead-induced phytotoxicity and enhancing the phytoremediation of castor bean (Ricinus communis L.) by glutathione application: New insights into the mechanisms regulating antioxidants, gas exchange and lead uptake. Int. J. Phytoremediation 2022, 24, 933–944. [Google Scholar] [CrossRef]
- Sharma, R.K.; Agrawal, M.; Marshall, F.M. Heavy metal (Cu, Zn, Cd and Pb) contamination of vegetables in urban India: A case study in Varanasi. Environ. Pollut. 2008, 154, 254–263. [Google Scholar] [CrossRef]
- Gao, M.L.; Yang, Y.J.; Song, Z.G. Toxicity of cadmium to wheat seedling roots in the presence of graphene oxide. Chemosphere 2019, 233, 9–16. [Google Scholar] [CrossRef] [PubMed]
- Colak, N.; Torun, H.; Gruz, J.; Strnad, M.; Ayaz, F.A. Exogenous N-Acetylcysteine alleviates heavy metal stress by promoting phenolic acids to support antioxidant defence systems in wheat roots. Ecotox. Environ. Saf. 2019, 181, 49–59. [Google Scholar] [CrossRef] [PubMed]
- Wang, S.; Zhao, Y.; Guo, J.; Zhou, L. Effects of Cd, Cu and Zn on Ricinus communis L. Growth in single element or co-contaminated soils: Pot experiments. Ecol. Eng. 2016, 90, 347–351. [Google Scholar] [CrossRef]
- Lai, H.Y. Subcellular distribution and chemical forms of cadmium in Impatiens walleriana in relation to its phytoextraction potential. Chemosphere 2015, 138, 370–376. [Google Scholar] [CrossRef] [PubMed]
- Zhou, J.T.; Wan, H.X.; He, J.L.; Lyu, D.G.; Li, H.F. Integration of Cadmium Accumulation, Subcellular Distribution, and Physiological Responses to Understand Cadmium Tolerance in Apple Rootstocks. Front. Plant Sci. 2017, 8, 966. [Google Scholar] [CrossRef]
- Choppala, G.; Saifullah; Bolan, N.; Bibi, S.; Iqbal, M.; Rengel, Z.; Kunhikrishnan, A.; Ashwath, N.; Ok, Y.S. Cellular Mechanisms in Higher Plants Governing Tolerance to Cadmium Toxicity. Crit. Rev. Plant Sci. 2014, 33, 374–391. [Google Scholar] [CrossRef]
- Wang, S.F.; Sun, J.J.; Li, S.T.; Lu, K.; Meng, H.J.; Xiao, Z.C.; Zhang, Z.; Li, J.N.; Luo, F.; Li, N.N. Physiological, genomic and transcriptomic comparison of two Brassica napus cultivars with contrasting cadmium tolerance. Plant Soil 2019, 441, 71–87. [Google Scholar] [CrossRef]
- Rizwan, M.; Ali, S.; Adrees, M.; Ibrahim, M.; Tsang, D.C.W.; Zia-Ur-Rehman, M.; Zahir, Z.A.; Rinklebe, J.; Tack, F.M.G.; Ok, Y.S. A critical review on effects, tolerance mechanisms and management of cadmium in vegetables. Chemosphere 2017, 182, 90–105. [Google Scholar] [CrossRef]
- Redovnikovic, I.R.; De Marco, A.; Proietti, C.; Hanousek, K.; Sedak, M.; Bilandzic, N.; Jakovljevic, T. Poplar response to cadmium and lead soil contamination. Ecotox. Environ. Saf. 2017, 144, 482–489. [Google Scholar] [CrossRef]
- He, C.; Zhao, Y.; Wang, F.; Oh, K.; Zhao, Z.; Wu, C.; Zhang, X.; Chen, X.; Liu, X. Phytoremediation of soil heavy metals (Cd and Zn) by castor seedlings: Tolerance, accumulation and subcellular distribution. Chemosphere 2020, 252, 126471. [Google Scholar] [CrossRef]
- Adil, M.F.; Sehar, S.; Chen, G.; Chen, Z.-H.; Jilani, G.; Chaudhry, A.N.; Shamsi, I.H. Cadmium-zinc cross-talk delineates toxicity tolerance in rice via differential genes expression and physiological/ultrastructural adjustments. Ecotoxicol. Environ. Saf. 2019, 190, 110076. [Google Scholar] [CrossRef] [PubMed]
- Demecsova, L.; Tamas, L. Reactive oxygen species, auxin and nitric oxide in metal-stressed roots: Toxicity or defence. Biometals 2019, 32, 717–744. [Google Scholar] [CrossRef] [PubMed]
- Librando, V.; Bracchitta, G.; de Guidi, G.; Minniti, Z.; Perrini, G.; Catalfo, A. Photodegradation of Anthracene and Benzo[a]anthracene in Polar and Apolar Media: New Pathways of Photodegradation. Polycycl. Aromat. Compd. 2014, 34, 263–279. [Google Scholar] [CrossRef]
- Rong, H.; Wang, C.R.; Yu, X.R.; Fan, J.B.; Jiang, P.; Wang, Y.C.; Gan, X.Q.; Wang, Y. Carboxylated multi-walled carbon nanotubes exacerbated oxidative damage in roots of Vicia faba L. seedlings under combined stress of lead and cadmium. Ecotoxicol. Environ. Saf. 2018, 161, 616–623. [Google Scholar] [CrossRef] [PubMed]
- Guo, J.M.; Yang, J.; Yang, J.X.; Chen, T.B.; Guo, L. Subcellular cadmium distribution and antioxidant enzymatic activities in the leaves of four Hylotelephium spectabile populations exhibit differences in phytoextraction potential. Int. J. Phytoremediation 2019, 21, 209–216. [Google Scholar] [CrossRef]
- Markovic, J.; Jovic, M.; Smiciklas, I.; Sljivic-Ivanovic, M.; Onjia, A.; Trivunac, K.; Popovic, A. Cadmium retention and distribution in contaminated soil: Effects and interactions of soil properties, contamination level, aging time and in situ immobilization agents. Ecotoxicol. Environ. Saf. 2019, 174, 305–314. [Google Scholar] [CrossRef]
- Wan, X.; Yang, J.; Song, W. Pollution status of agricultural land in China: Impact of land use and geographical position. Soil Water Res. 2018, 13, 234–242. [Google Scholar] [CrossRef]
- Jin, G.; Fang, W.; Shafi, M.; Wu, D.; Li, Y.; Zhong, B.; Ma, J.; Liu, D. Source apportionment of heavy metals in farmland soil with application of APCS-MLR model: A pilot study for restoration of farmland in Shaoxing City Zhejiang, China. Ecotoxicol. Environ. Saf. 2019, 184, 109495. [Google Scholar] [CrossRef]
- Xue, C.; He, C.Q.; Shi, Z.; Chen, X.; Oh, K.; Liang, X.; Liu, X.; Xiong, P.; Qiong, M.O. Effect of spent mushroom substrate on strengthening the phytoremediation potential of Ricinus communis to Cd- and Zn-polluted soil. Int. J. Phytoremediation 2018, 20, 1389–1399. [Google Scholar] [CrossRef]
- Wu, C.L.; He, C.Q. Interaction effects of oxytetracycline and copper at different ratios on marine microalgae Isochrysis galbana. Chemosphere 2019, 225, 775–784. [Google Scholar] [CrossRef]
- Gregory, P.J.; Crawford, D.V.; McGowan, M. Nutrient relations of winter wheat: 2. Movement of nutrients to the root and their uptake. J. Agric. Sci. 2009, 93, 495–504. [Google Scholar] [CrossRef]
- Sato, M.; Akai, H.; Saito, Y.; Takase, T.; Kikunaga, H.; Sekiya, N.; Ohtsuki, T.; Yamaguchi, K. Use of different surface covering materials to enhance removal of radiocaesium in plants and upper soil from orchards in Fukushima prefecture. J. Environ. Radioact. 2019, 196, 204–211. [Google Scholar] [CrossRef] [PubMed]
- Loeppmann, S.; Forbush, K.; Cheng, W.X.; Pausch, J. Subsoil biogeochemical properties induce shifts in carbon allocation pattern and soil C dynamics in wheat. Plant Soil 2019, 442, 369–383. [Google Scholar] [CrossRef]
- Nakayama, M.; Imamura, S.; Taniguchi, T.; Tateno, R. Does conversion from natural forest to plantation affect fungal and bacterial biodiversity, community structure, and co-occurrence networks in the organic horizon and mineral soil? For. Ecol. Manag. 2019, 446, 238–250. [Google Scholar] [CrossRef]
- Palm, E.; Nissim, W.G.; Giordano, C.; Mancuso, S.; Azzarello, E. Root potassium and hydrogen flux rates as potential indicators of plant response to zinc, copper and nickel stress. Environ. Exp. Bot. 2017, 143, 38–50. [Google Scholar] [CrossRef]
- Pittarello, M.; Busato, J.G.; Carletti, P.; Zanetti, L.V.; da Silva, J.; Dobbss, L.B. Effects of different humic substances concentrations on root anatomy and Cd accumulation in seedlings of Avicennia germinans (black mangrove). Mar. Pollut. Bull. 2018, 130, 113–122. [Google Scholar] [CrossRef]
- Shi, G.L.; Lu, H.Y.; Liu, J.Z.; Lou, L.Q.; Tang, X.J.; Wu, Y.H.; Ma, H.X. Periphyton growth reduces cadmium but enhances arsenic accumulation in rice (Oryza sativa) seedlings from contaminated soil. Plant Soil 2017, 421, 137–146. [Google Scholar] [CrossRef]
- Zhang, G.W.; Yang, C.Q.; Liu, R.X.; Ni, W.C. Effects of three phenolic compounds on mitochondrial function and root vigor of cotton (Gossypium hirsutum L.) seedling roots. Acta Physiol. Plant. 2019, 41, 60. [Google Scholar] [CrossRef]
- Liu, Y.; Ma, W.C.; Zhang, W.; Zeng, C.C.; Chen, J.P.; Wei, H. Effect of cadmium stress on root vigor and accumulation of elements Ca, Mg, Mn, Zn, Fe in Salix variegate. Ying yong sheng tai xue bao J. Appl. Ecol. 2016, 27, 1109–1115. [Google Scholar] [CrossRef]
- Feller, U.; Anders, I.; Wei, S.H. Distribution and Redistribution of Cd-109 and Zn-65 in the Heavy Metal Hyperaccumulator Solanum nigrum L.: Influence of Cadmium and Zinc Concentrations in the Root Medium. Plants 2019, 8, 340. [Google Scholar] [CrossRef] [Green Version]
- Hrkic Ilic, Z.; Pajevic, S.; Borisev, M.; Lukovic, J. Assessment of phytostabilization potential of two Salix L. clones based on the effects of heavy metals on the root anatomical traits. Environ. Sci. Pollut. Res. Int. 2020, 27, 29361–29383. [Google Scholar] [CrossRef] [PubMed]
- Tian, S.K.; Xie, R.H.; Wang, H.X.; Hu, Y.; Hou, D.D.; Liao, X.C.; Brown, P.H.; Yang, H.X.; Lin, X.Y.; Labavitch, J.M.; et al. Uptake, sequestration and tolerance of cadmium at cellular levels in the hyperaccumulator plant species Sedum alfredii. J. Exp. Bot. 2017, 68, 2387–2398. [Google Scholar] [CrossRef] [PubMed]
- Xu, S.J.; Hu, C.X.; Tan, Q.L.; Qin, S.Y.; Sun, X.C. Subcellular distribution of molybdenum, ultrastructural and antioxidative responses in soybean seedlings under excess molybdenum stress. Plant Physiol. Biochem. 2018, 123, 75–80. [Google Scholar] [CrossRef] [PubMed]
- Shamshad, S.; Shahid, M.; Rafiq, M.; Khalid, S.; Dumat, C.; Sabir, M.; Murtaza, B.; Farooq, A.U.; Shah, N.S. Effect of organic amendments on cadmium stress to pea: A multivariate comparison of germinating vs young seedlings and younger vs older leaves. Ecotoxicol. Environ. Saf. 2018, 151, 91–97. [Google Scholar] [CrossRef]
- Kopyra, M.; Gwozdz, E.A. Nitric oxide stimulates seed germination and counteracts the inhibitory effect of heavy metals and salinity on root growth of Lupinus luteus. Plant Physiol. Biochem. 2003, 41, 1011–1017. [Google Scholar] [CrossRef]
- Yang, L.P.; Zhu, J.; Wang, P.; Zeng, J.; Tan, R.; Yang, Y.Z.; Liu, Z.M. Effect of Cd on growth, physiological response, Cd subcellular distribution and chemical forms of Koelreuteria paniculata. Ecotox. Environ. Saf. 2018, 160, 10–18. [Google Scholar] [CrossRef]
- Celekli, A.; Kapi, M.; Bozkurt, H. Effect of Cadmium on Biomass, Pigmentation, Malondialdehyde, and Proline of Scenedesmus quadricauda var. longispina. Bull. Environ. Contam. Toxicol. 2013, 91, 571–576. [Google Scholar] [CrossRef]
- Qiao, X.Q.; Zheng, Z.Z.; Zhang, L.F.; Wang, J.H.; Shi, G.X.; Xu, X.Y. Lead tolerance mechanism in sterilized seedlings of Potamogeton crispus L.: Subcellular distribution, polyamines and proline. Chemosphere 2015, 120, 179–187. [Google Scholar] [CrossRef]
- Li, S.W.; Zeng, X.Y.; Leng, Y.; Feng, L.; Kang, X.H. Indole-3-butyric acid mediates antioxidative defense systems to promote adventitious rooting in mung bean seedlings under cadmium and drought stresses. Ecotox. Environ. Saf. 2018, 161, 332–341. [Google Scholar] [CrossRef]
- Xu, J.; Wang, W.Y.; Yin, H.X.; Liu, X.J.; Sun, H.; Mi, Q. Exogenous nitric oxide improves antioxidative capacity and reduces auxin degradation in roots of Medicago truncatula seedlings under cadmium stress. Plant Soil 2010, 326, 321–330. [Google Scholar] [CrossRef]





| Physical or Chemical Parameters | Soil Background | Amount of Heavy Metals Added (mg/kg of Soil) | After Adding Heavy Metals |
|---|---|---|---|
| Cd | 0.18 mg/kg | 25 | 23.54 mg/kg |
| 5 | 5.4 mg/kg | ||
| 0.5 | 0.46 mg/kg | ||
| 0 | 0.2 mg/kg | ||
| Zn | 73.25 Mg/kg | 380 | 448.1 mg/kg |
| 0 | 93 mg/kg |
Publisher’s Note: MDPI stays neutral with regard to jurisdictional claims in published maps and institutional affiliations. |
© 2022 by the authors. Licensee MDPI, Basel, Switzerland. This article is an open access article distributed under the terms and conditions of the Creative Commons Attribution (CC BY) license (https://creativecommons.org/licenses/by/4.0/).
Share and Cite
Wang, F.; Yang, L.; Zhao, Y.; Zhao, Z.; Oh, K.; He, C. Response of Castor Seedling Roots to Combined Pollution of Cd and Zn in Soils. Sustainability 2022, 14, 10702. https://doi.org/10.3390/su141710702
Wang F, Yang L, Zhao Y, Zhao Z, Oh K, He C. Response of Castor Seedling Roots to Combined Pollution of Cd and Zn in Soils. Sustainability. 2022; 14(17):10702. https://doi.org/10.3390/su141710702
Chicago/Turabian StyleWang, Feifei, Linlin Yang, Yanping Zhao, Zhenzhen Zhao, Kokyo Oh, and Chiquan He. 2022. "Response of Castor Seedling Roots to Combined Pollution of Cd and Zn in Soils" Sustainability 14, no. 17: 10702. https://doi.org/10.3390/su141710702
APA StyleWang, F., Yang, L., Zhao, Y., Zhao, Z., Oh, K., & He, C. (2022). Response of Castor Seedling Roots to Combined Pollution of Cd and Zn in Soils. Sustainability, 14(17), 10702. https://doi.org/10.3390/su141710702

