Guided Biofilm Therapy for Management of “Desquamative Gingivitis”—Clinical Cases
Abstract
1. Introduction
2. Materials and Methods
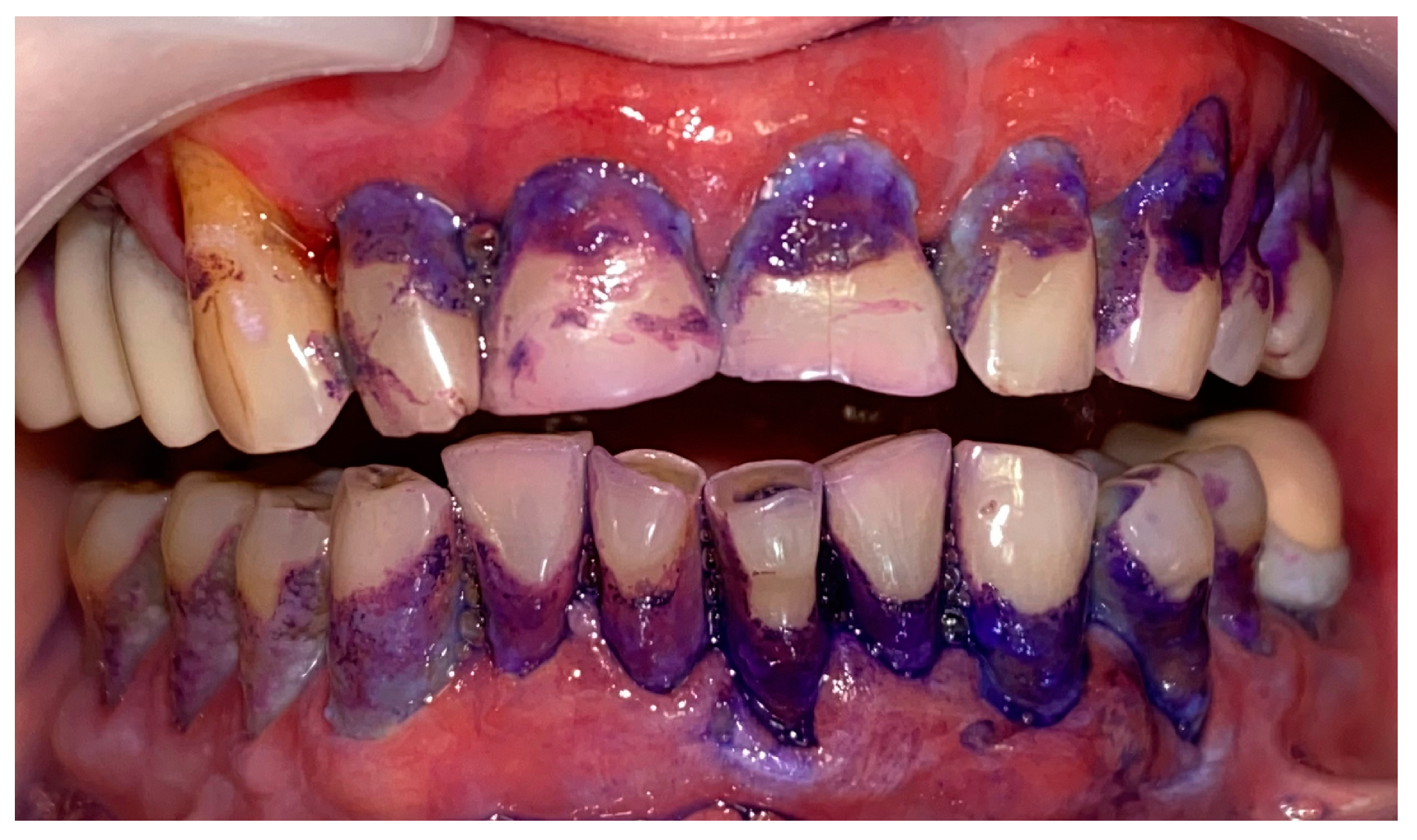
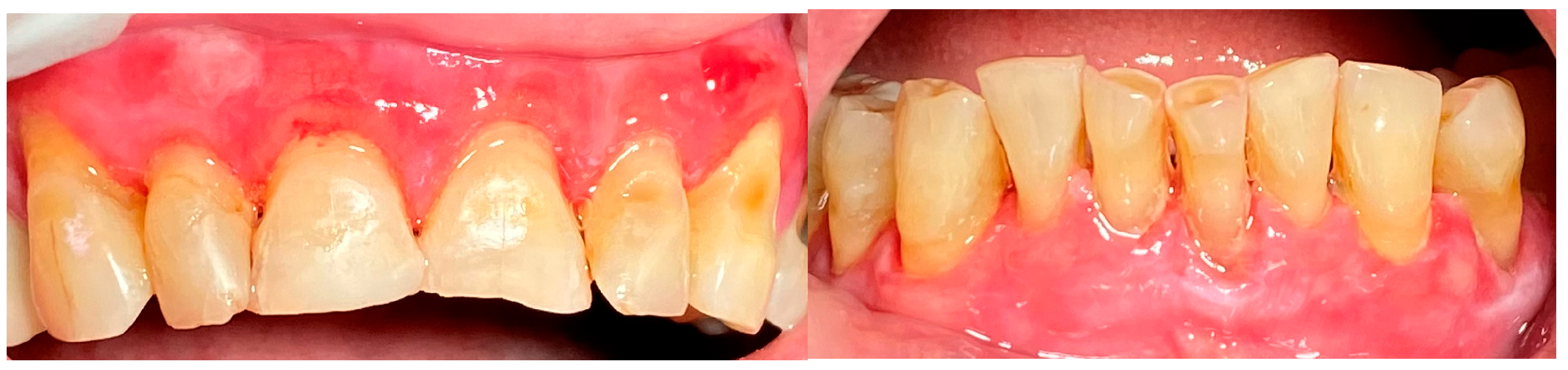
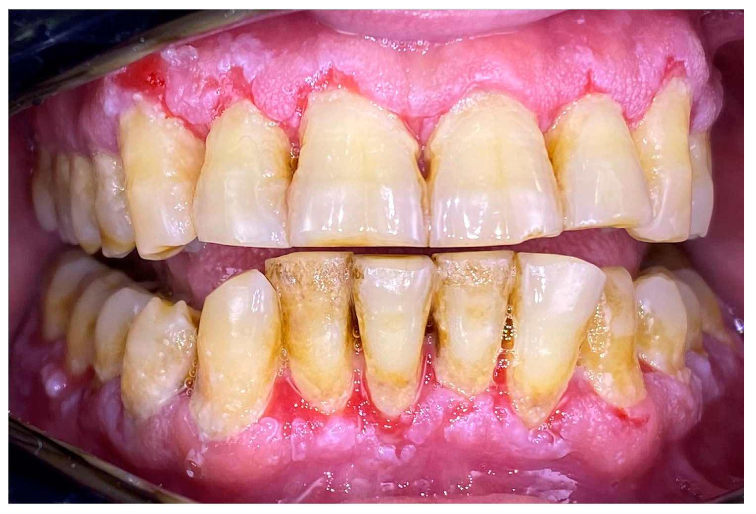
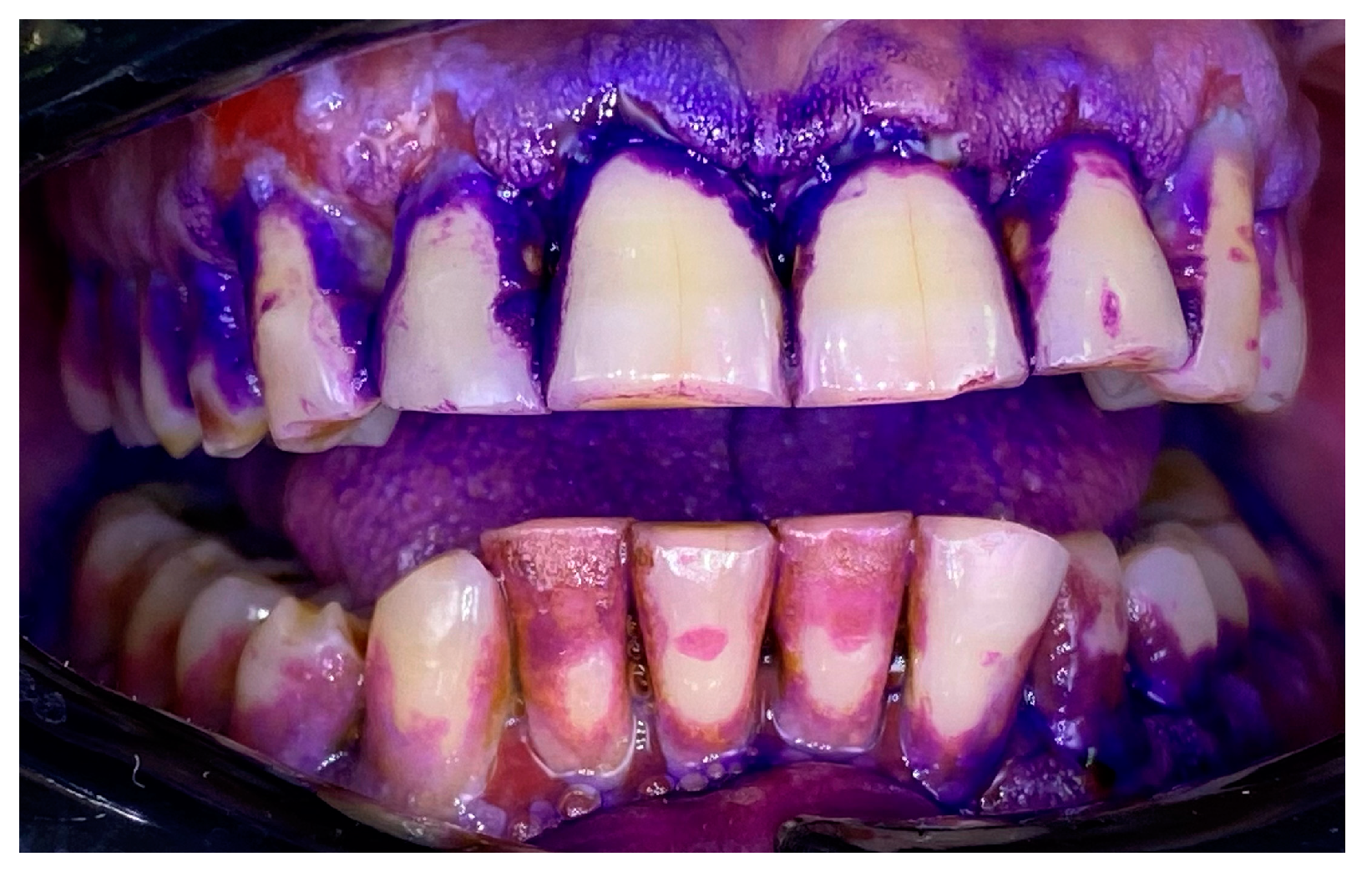
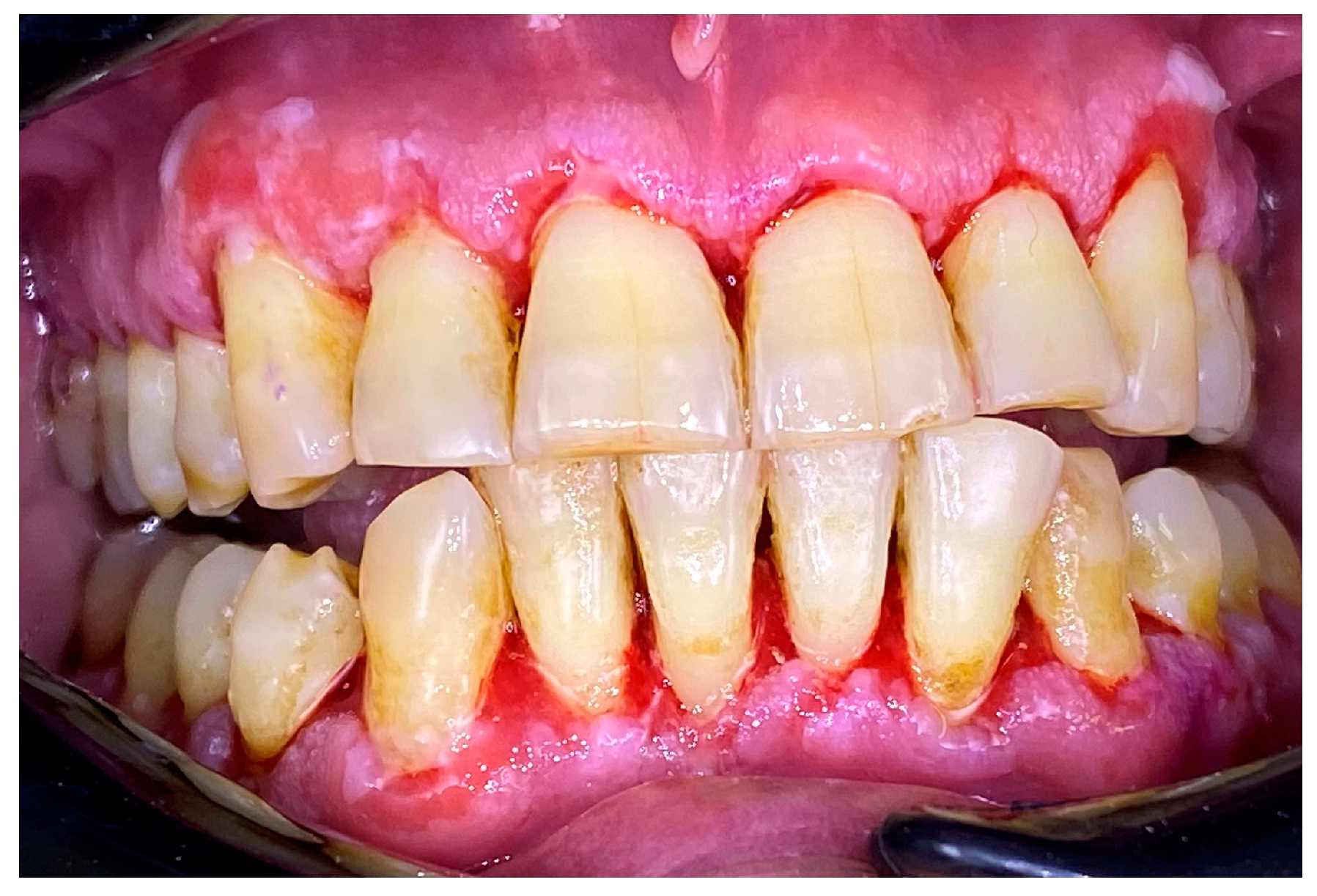
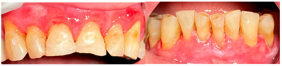
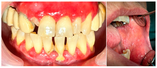
2.1. Clinical Case 1—Mucous Membrane Pemphigoid (MMP)
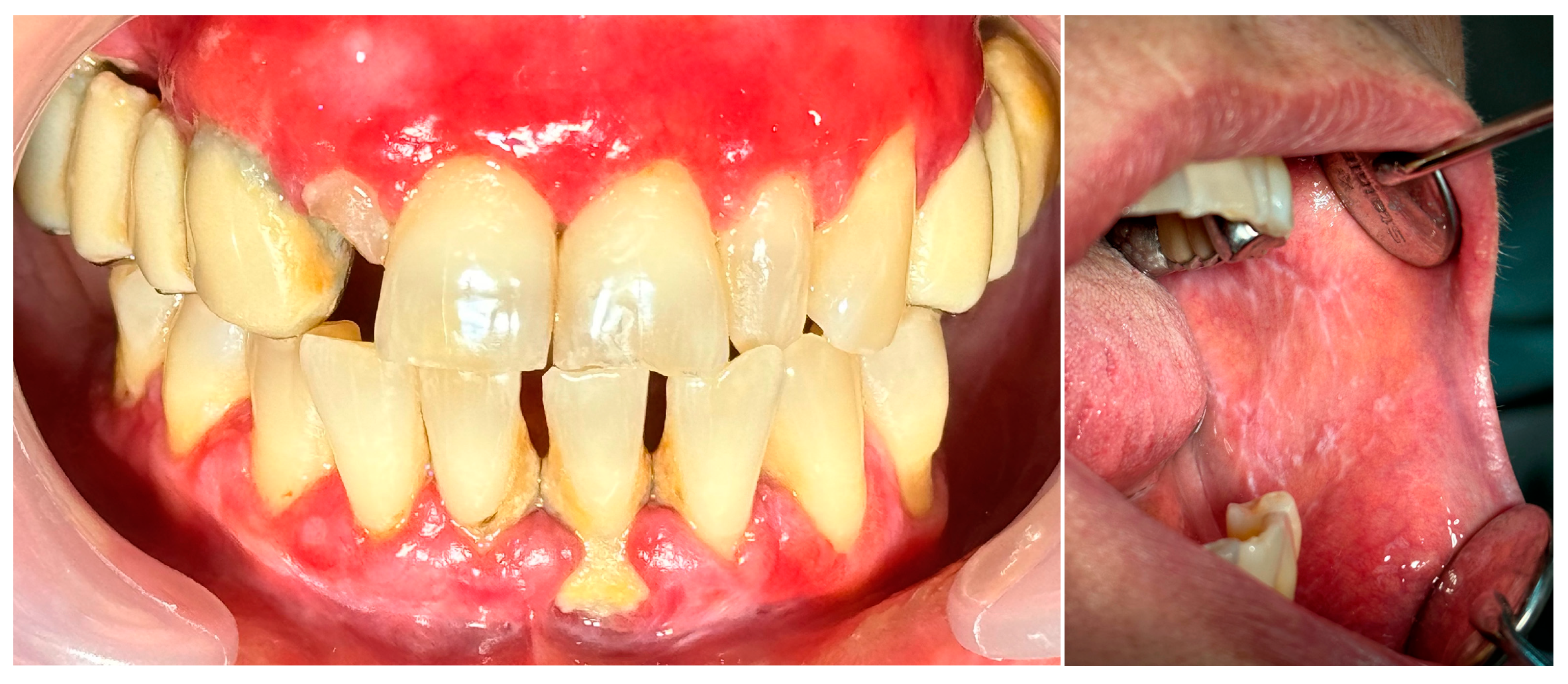
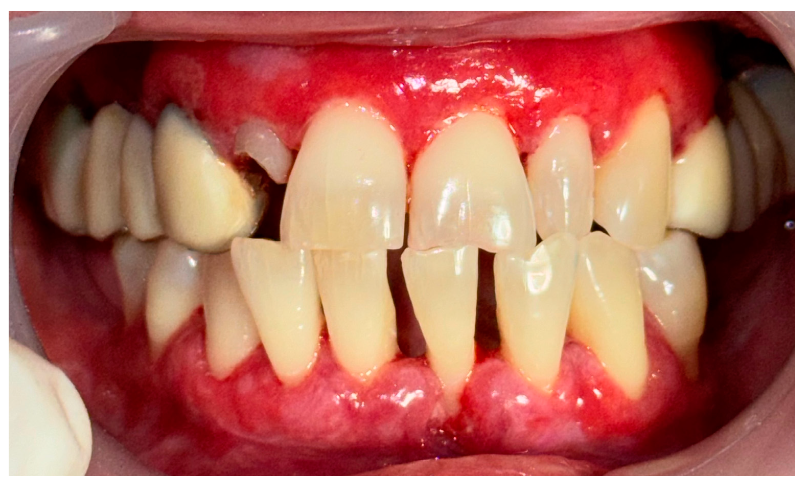
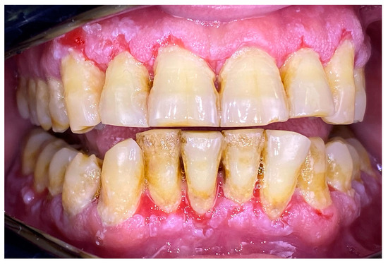
2.2. Clinical Case 2—Pemphigus Vulgaris (PV)
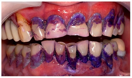
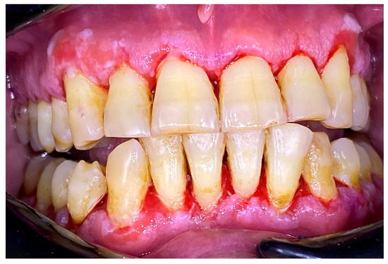
2.3. Clinical Case 3—Oral Lichen Planus (OLP)
3. Discussion
4. Conclusions
Author Contributions
Funding
Informed Consent Statement
Data Availability Statement
Conflicts of Interest
References
- Robinson, N.; Wray, D. Desquamative Gingivitis: A Sign of Mucocutaneous Disorders—A Review. Aust. Dent. J. 2003, 48, 206–211. [Google Scholar] [CrossRef] [PubMed]
- Holmstrup, P.; Plemons, J.; Meyle, J. Non–plaque-induced gingival diseases. J. Periodontol. 2018, 89, 28–43. [Google Scholar] [CrossRef] [PubMed]
- Romano, F.; Citterio, F.; Manavella, V.; Bianco, L.; Aimetti, M. Desquamative Diseases and Periodontal Health/Treatment. Curr. Oral. Health Rep. 2020, 7, 129–138. [Google Scholar] [CrossRef]
- Scribante, A.; Pellegrini, M.; Vigni, G.L.; Pulicari, F.; Spadari, F. Desquamative gingivitis, Oral Hygiene, and Autoimmune Oral Diseases: A Scoping Review. Appl. Sci. 2023, 13, 10535. [Google Scholar] [CrossRef]
- Xu, H.-H.; Werth, V.P.; Parisi, E.; Sollecito, T.P. Mucous membrane pemphigoid. Dent. Clin. N. Am. 2013, 57, 611–630. [Google Scholar] [CrossRef] [PubMed]
- De Farias Morais, H.G.; De Oliveira Costa, C.S.; De Souto Medeiros, M.R.; Carlan, L.M.; Gonzaga, A.K.G.; De Almeida Freitas, R.; Da Silveira, É.J.D.; De Oliveira, P.T. Pemphigus vulgaris and mucous membrane pemphigoid: A systematic review of clinical manifestations, diagnosis, and treatment. J. Stomatol. Oral Maxillofac. Surg. 2024, 101960. [Google Scholar] [CrossRef] [PubMed]
- Shrivastava, D.; Natoli, V.; Srivastava, K.C.; Alzoubi, I.A.; Nagy, A.I.; Hamza, M.O.; Al-Johani, K.; Alam, M.K.; Khurshid, Z. Novel Approach to Dental Biofilm Management through Guided Biofilm Therapy (GBT): A Review. Microorganisms 2021, 9, 1966. [Google Scholar] [CrossRef] [PubMed]
- Kröger, J.; Haribyan, M.; Nergiz, I.; Schmage, P. Air polishing with erythritol powder—In vitro effects on dentin loss. J. Indian. Soc. Periodontol. 2020, 24, 433–440. [Google Scholar] [CrossRef] [PubMed]
- Müller, N.; Moëne, R.; Cancela, J.A.; Mombelli, A. Subgingival air-polishing with erythritol during periodontal maintenance. J. Clin. Periodontol. 2014, 41, 883–889. [Google Scholar] [CrossRef] [PubMed]
- Sinjari, B.; D’Addazio, G.; Bozzi, M.; Santilli, M.; Traini, T.; Murmura, G.; Caputi, S. SEM Analysis of Enamel Abrasion after Air Polishing Treatment with Erythritol, Glycine and Sodium Bicarbonate. Coatings 2019, 9, 549. [Google Scholar] [CrossRef]
- Bühler, J.; Amato, M.; Weiger, R.; Walter, C. A systematic review on the effects of air polishing devices on oral tissues. Int. J. Dent. Hyg. 2015, 14, 15–28. [Google Scholar] [CrossRef] [PubMed]
- Kozlovsky, A.; Artzi, Z.; Nemcovsky, C.E.; Hirshberg, A. Effect of air-polishing devices on the gingiva: Histologic study in the Canine. J. Clin. Periodontol. 2005, 32, 329–334. [Google Scholar] [CrossRef] [PubMed]
- Ulvik, I.M.; Sæthre, T.; Bunæs, D.F.; Lie, S.A.; Enersen, M.; Leknes, K.N. A 12-month randomized controlled trial evaluating erythritol air-polishing versus curette/ultrasonic debridement of mandibular furcations in supportive periodontal therapy. BMC Oral Health 2021, 21, 1–11. [Google Scholar] [CrossRef] [PubMed]
- Delgado, D.A.; Lambert, B.S.; Boutris, N.; McCulloch, P.C.; Robbins, A.B.; Moreno, M.R.; Harris, J.D. Validation of digital visual analog scale pain scoring with a traditional paper-based visual analog scale in adults. JAAOS Glob. Res. Rev. 2018, 2, e088. [Google Scholar] [CrossRef] [PubMed]
- Warnakulasuriya, S.; Kujan, O.; Aguirre-Urizar, J.M.; Bagan, J.V.; González-Moles, M.Á.; Kerr, A.R.; Lodi, G.; Mello, F.W.; Monteiro, L.; Ogden, G.R.; et al. Oral potentially malignant disorders: A consensus report from an international seminar on nomenclature and classification, convened by the WHO Collaborating Centre for Oral Cancer. Oral Dis. 2020, 27, 1862–1880. [Google Scholar] [CrossRef] [PubMed]
- Sanadi, R.; Khandekar, P.; Chaudhari, S.; Javali, M.; Gurav, N. Association of periodontal disease with oral lichen planus: A systematic review and meta analysis. J. Oral Maxillofac. Pathol. 2023, 27, 173. [Google Scholar] [CrossRef] [PubMed]
- Albaghli, F.; Zhou, Y.; Hsu, C.C.; Nibali, L. The effect of plaque control in the treatment of Oral Lichen Planus with gingival manifestations: A Systematic Review. Community Dent. Health 2021, 38, 112–118. [Google Scholar] [PubMed]
- Usatine, R.P.; Tinitigan, M. Diagnosis and treatment of lichen planus. Am. Fam. Physician 2011, 84, 53–60. [Google Scholar] [PubMed]
- Petersilka, G.J.; Schenck, U.; Flemmig, T.F. Powder emission rates of four air polishing devices. J. Clin. Periodontol. 2002, 29, 694–698. [Google Scholar] [CrossRef] [PubMed]
- Hägi, T.T.; Hofmänner, P.; Salvi, G.; Ramseier, C.A.; Sculean, A. Clinical outcomes following subgingival application of a novel erythritol powder by means of air polishing in supportive periodontal therapy: A randomized, controlled clinical study. Quintessence Int. 2013, 44, 753–761. [Google Scholar] [PubMed]










| Case 1 | Case 2 | Case 3 | |
|---|---|---|---|
| Diagnosis | Mucous membrane pemphigoid (MMP) | Pemphigus vulgaris (PV) | Oral lichen planus (OLP) |
| Gender | Female | Male | Female |
| Age | 74 | 67 | 56 |
| Oral lesions medication | 0.05% Clobetasol propionate tissue adhesive gel Prednisolone 5 mg/day Azathiorpine 50 mg/day | 0.05% Clobetasol propionate tissue adhesive gel Prednisolone 5 mg twice/day Azathiorpine 50 mg twice/day | 0.05% Clobetasol propionate tissue adhesive gel for 4 weeks |
| Other comorbidities | Essential hypertension One-angle glaucoma (OAG) | No | Past colon cancer (colostomy) Essential hypertension |
| Other drugs intake | Bisoprolol 5 mg/day Latanoprost 50 mcg/mL Eye drops one a day | No | no |
| Allergies | Not reported | Not reported | Not reported |
Disclaimer/Publisher’s Note: The statements, opinions and data contained in all publications are solely those of the individual author(s) and contributor(s) and not of MDPI and/or the editor(s). MDPI and/or the editor(s) disclaim responsibility for any injury to people or property resulting from any ideas, methods, instructions or products referred to in the content. |
© 2024 by the authors. Licensee MDPI, Basel, Switzerland. This article is an open access article distributed under the terms and conditions of the Creative Commons Attribution (CC BY) license (https://creativecommons.org/licenses/by/4.0/).
Share and Cite
Yaneva, B.; Mutafchieva, M.; Shentov, P.; Tomov, G. Guided Biofilm Therapy for Management of “Desquamative Gingivitis”—Clinical Cases. Clin. Pract. 2024, 14, 1931-1939. https://doi.org/10.3390/clinpract14050153
Yaneva B, Mutafchieva M, Shentov P, Tomov G. Guided Biofilm Therapy for Management of “Desquamative Gingivitis”—Clinical Cases. Clinics and Practice. 2024; 14(5):1931-1939. https://doi.org/10.3390/clinpract14050153
Chicago/Turabian StyleYaneva, Blagovesta, Maria Mutafchieva, Petar Shentov, and Georgi Tomov. 2024. "Guided Biofilm Therapy for Management of “Desquamative Gingivitis”—Clinical Cases" Clinics and Practice 14, no. 5: 1931-1939. https://doi.org/10.3390/clinpract14050153
APA StyleYaneva, B., Mutafchieva, M., Shentov, P., & Tomov, G. (2024). Guided Biofilm Therapy for Management of “Desquamative Gingivitis”—Clinical Cases. Clinics and Practice, 14(5), 1931-1939. https://doi.org/10.3390/clinpract14050153

