Intraductal Papillary Neoplasms of the Bile Duct: Clinical Case Insights and Literature Review
Abstract
1. Introduction
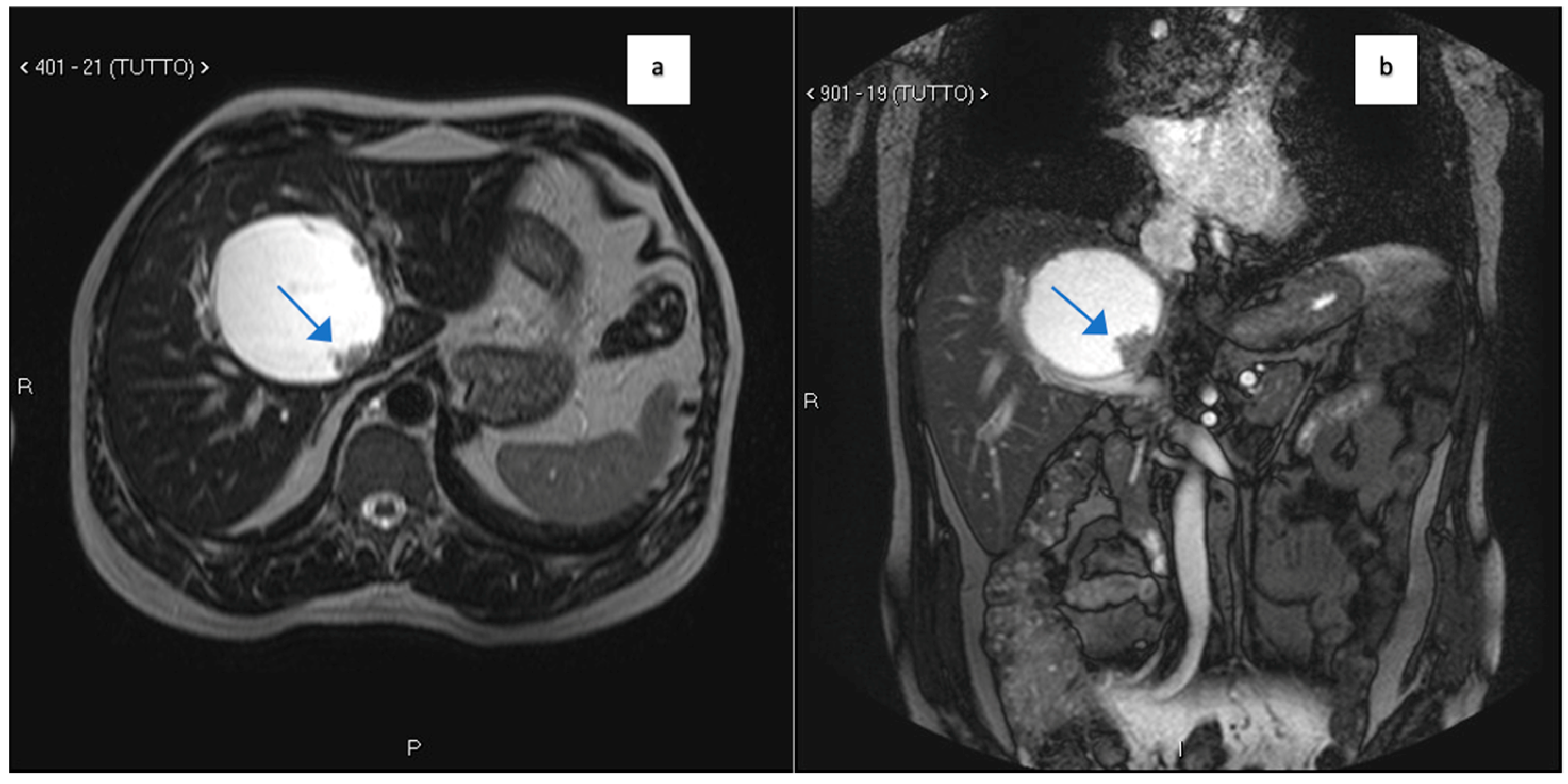
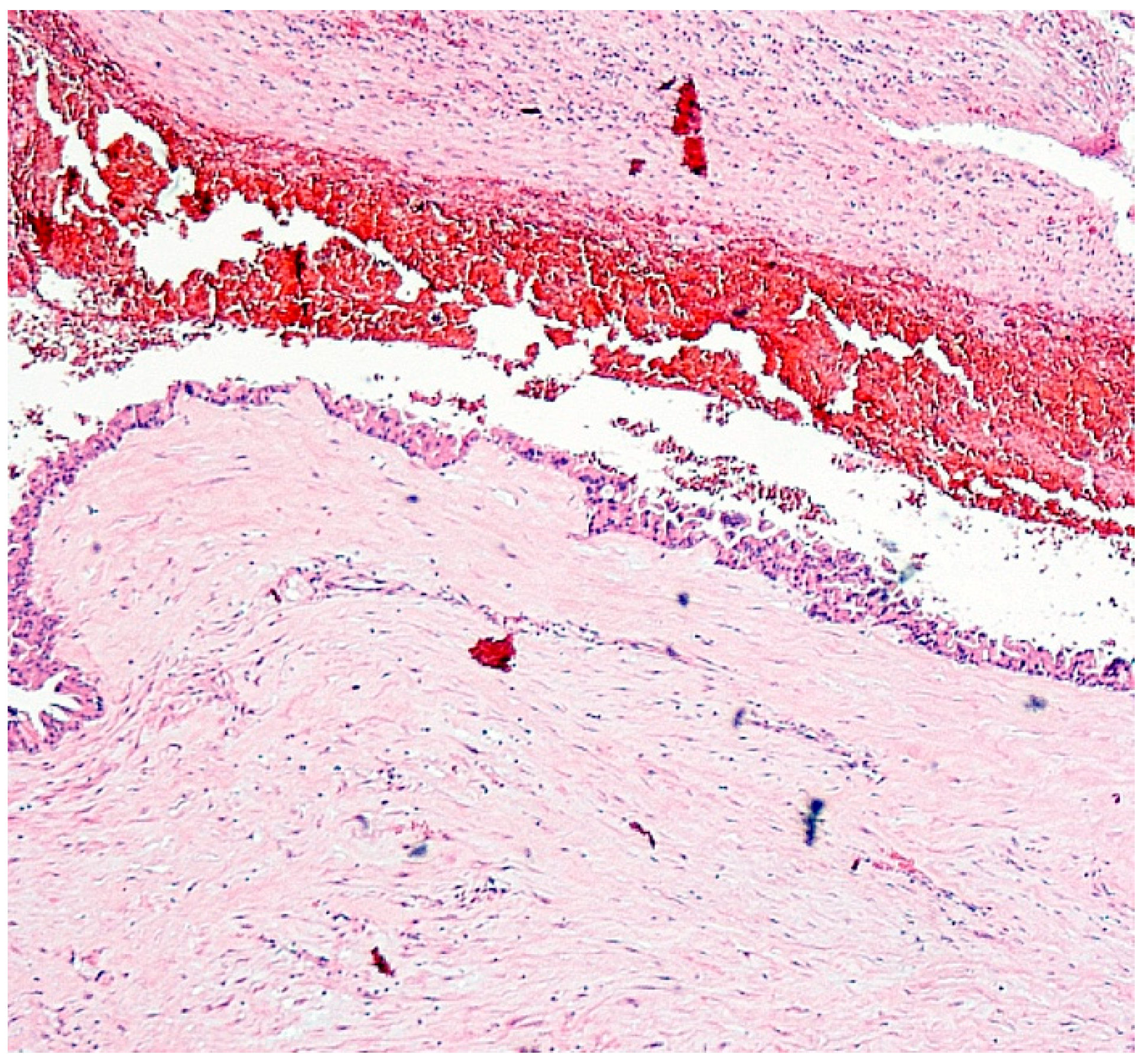
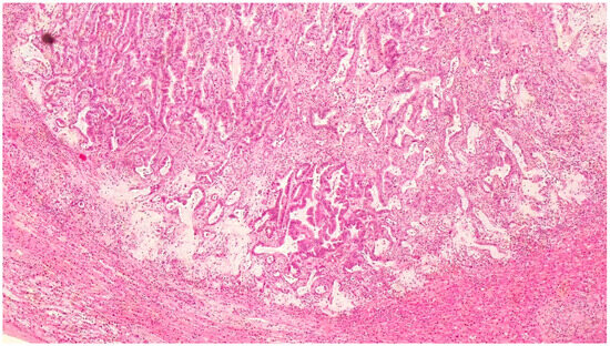
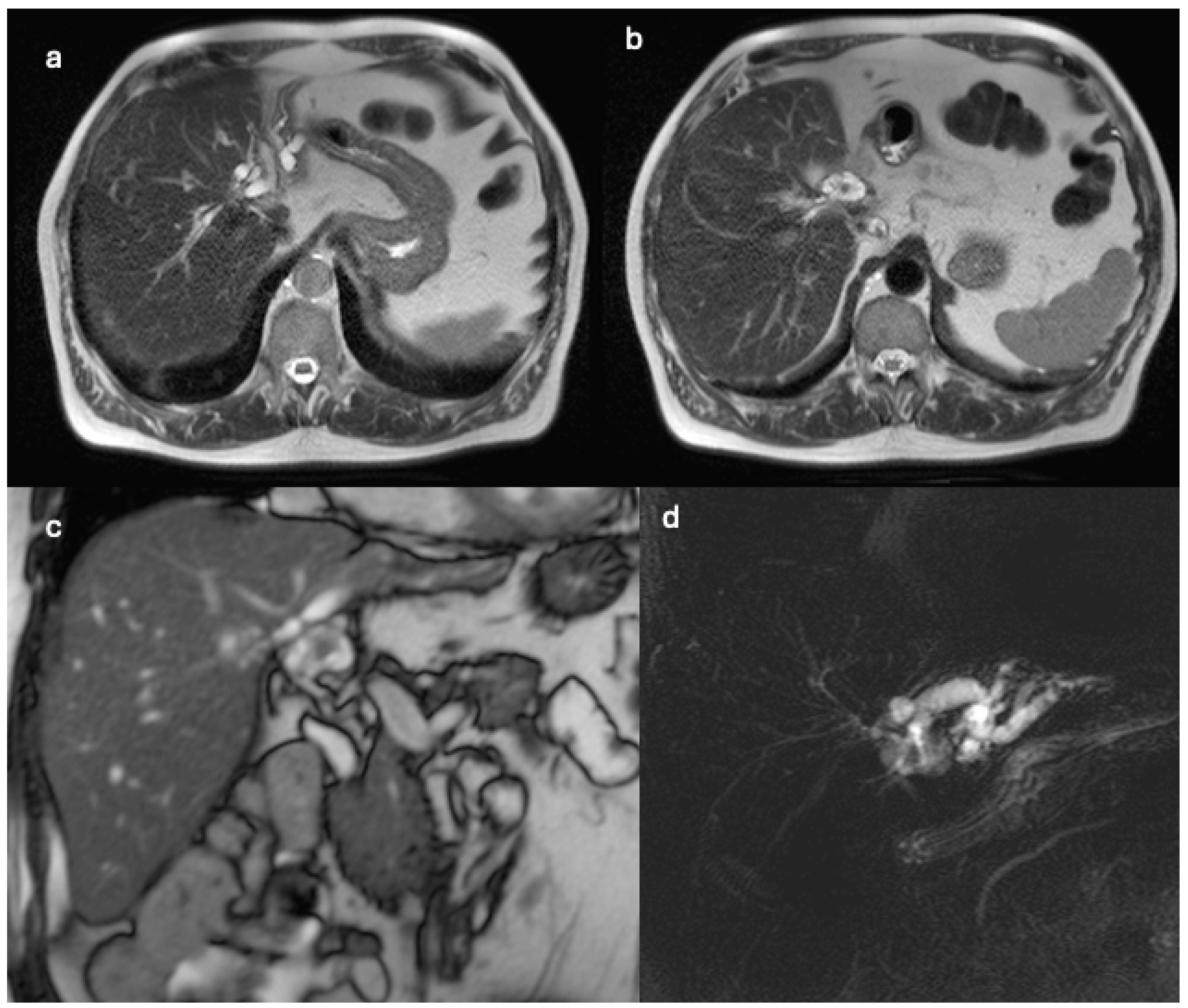
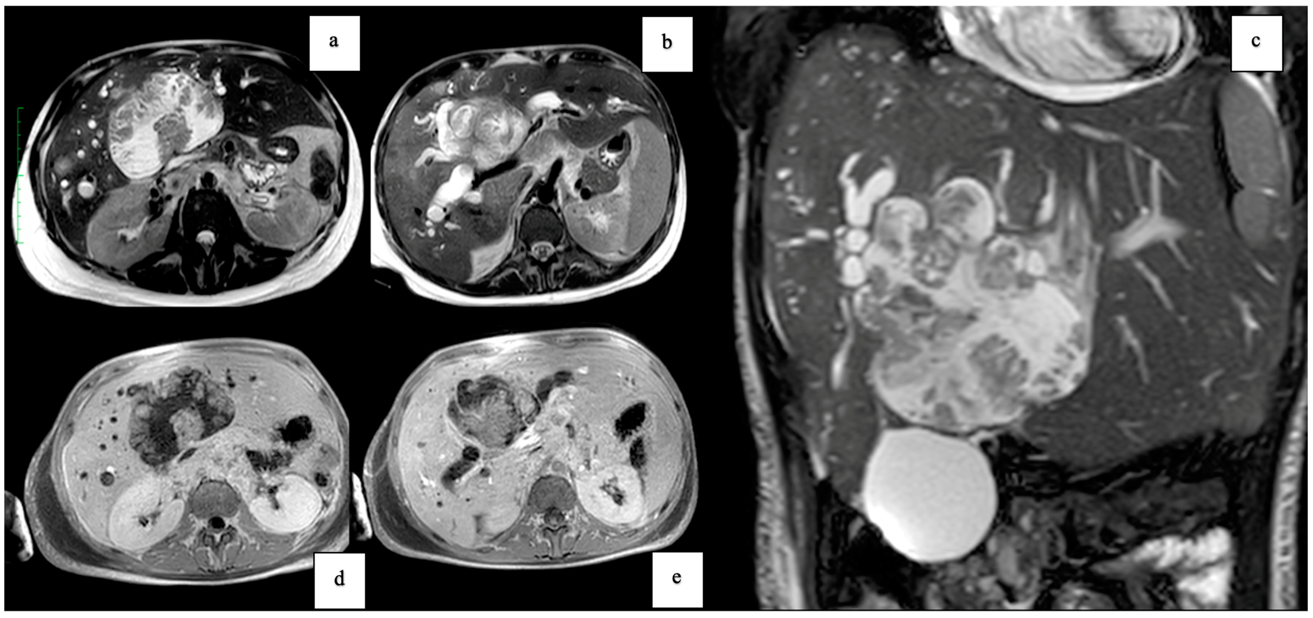
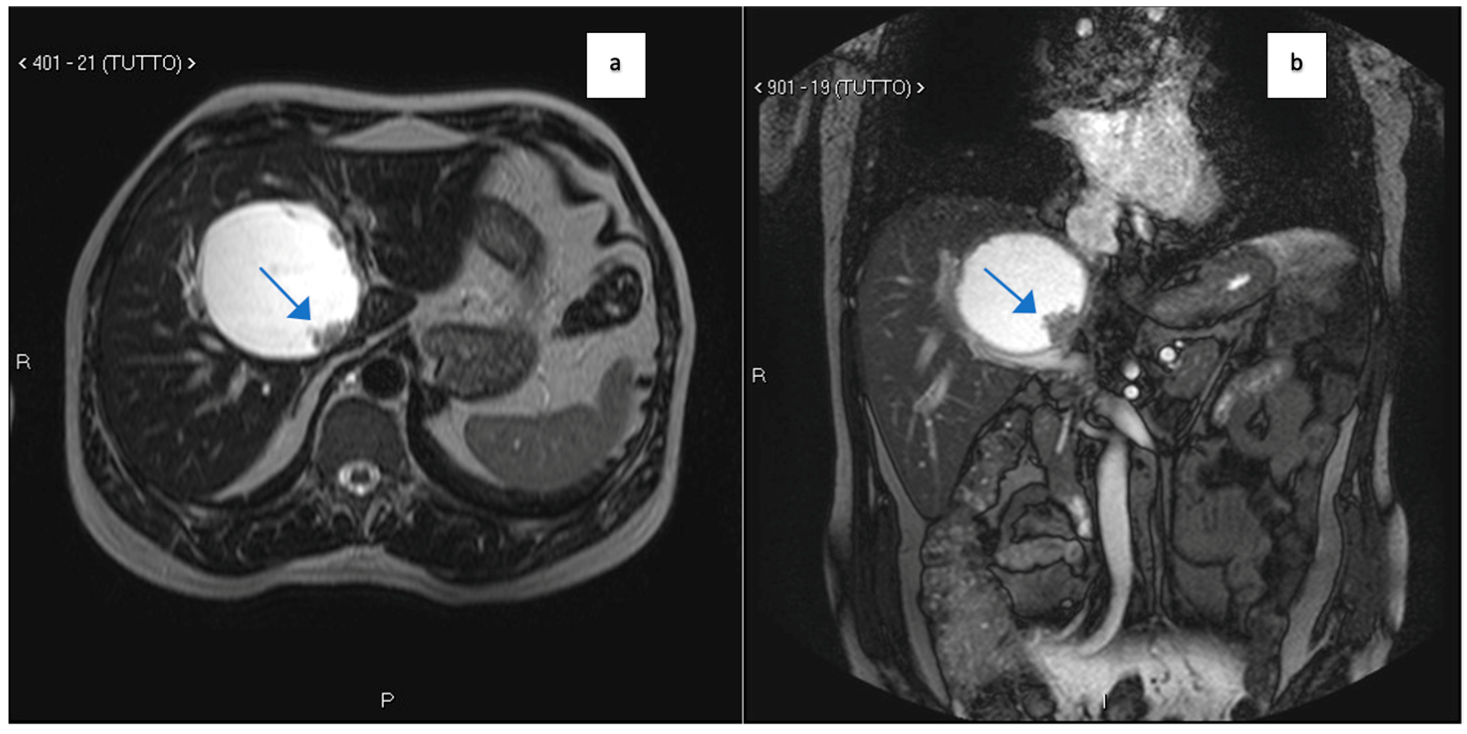
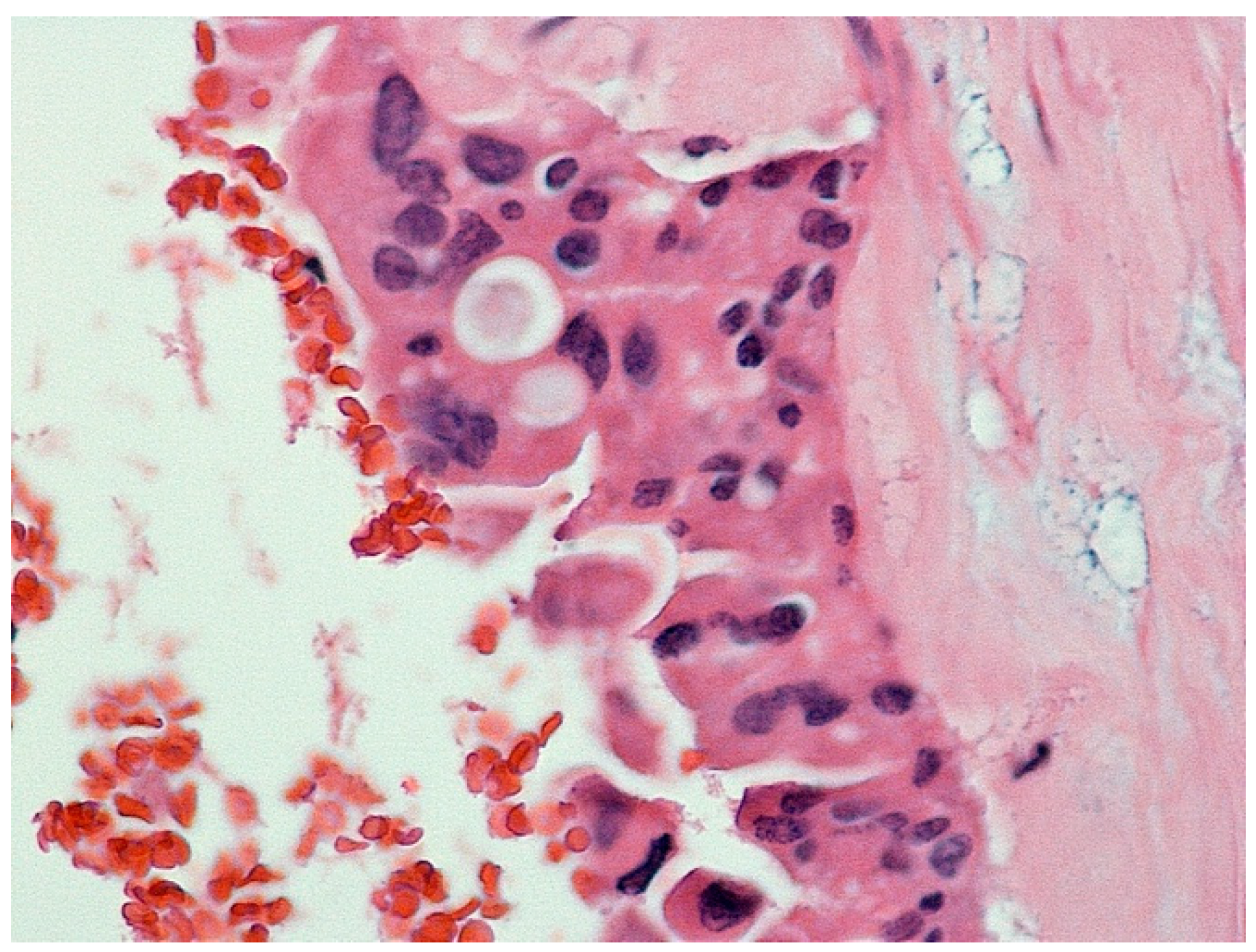
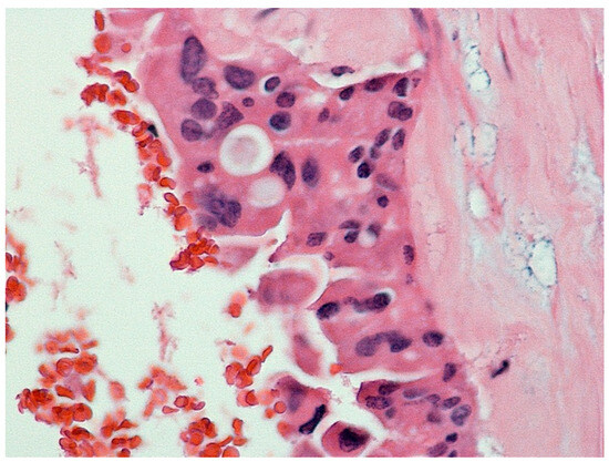
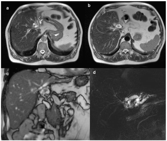
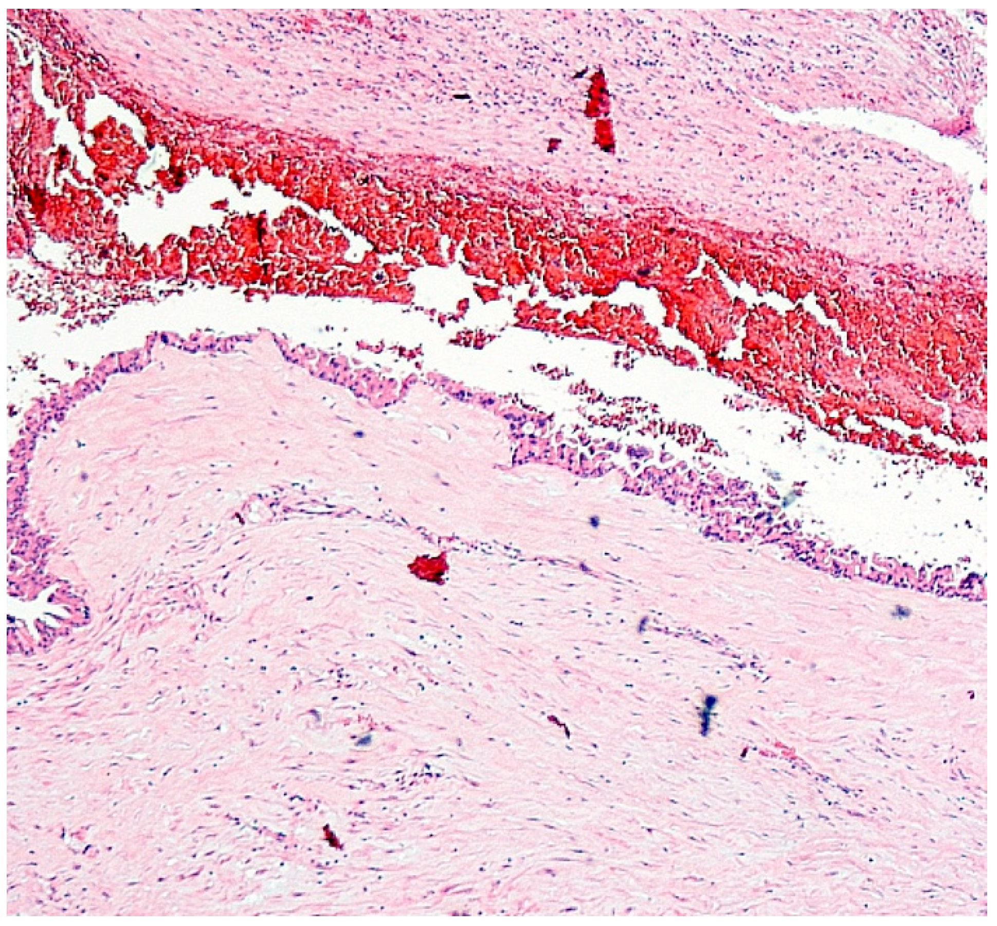
2. Case Report 1
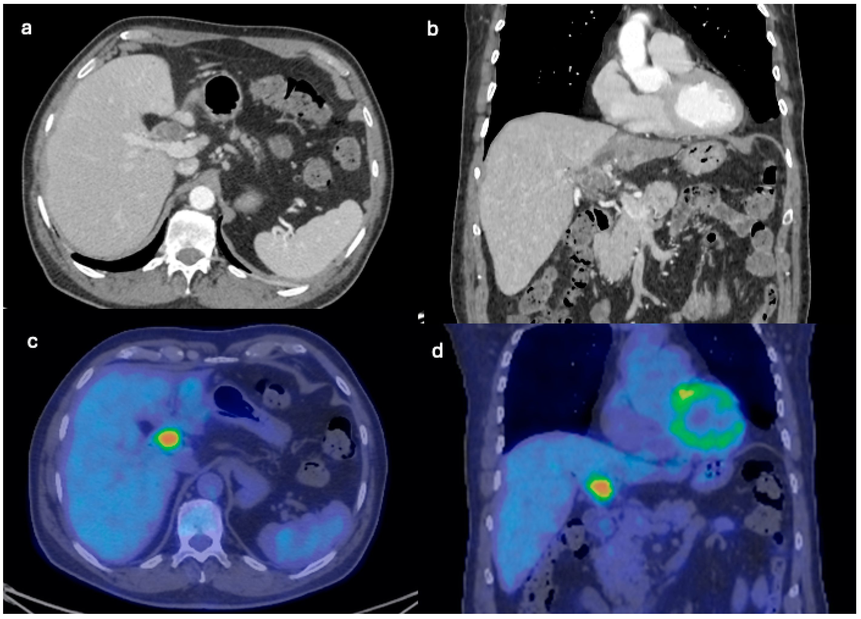
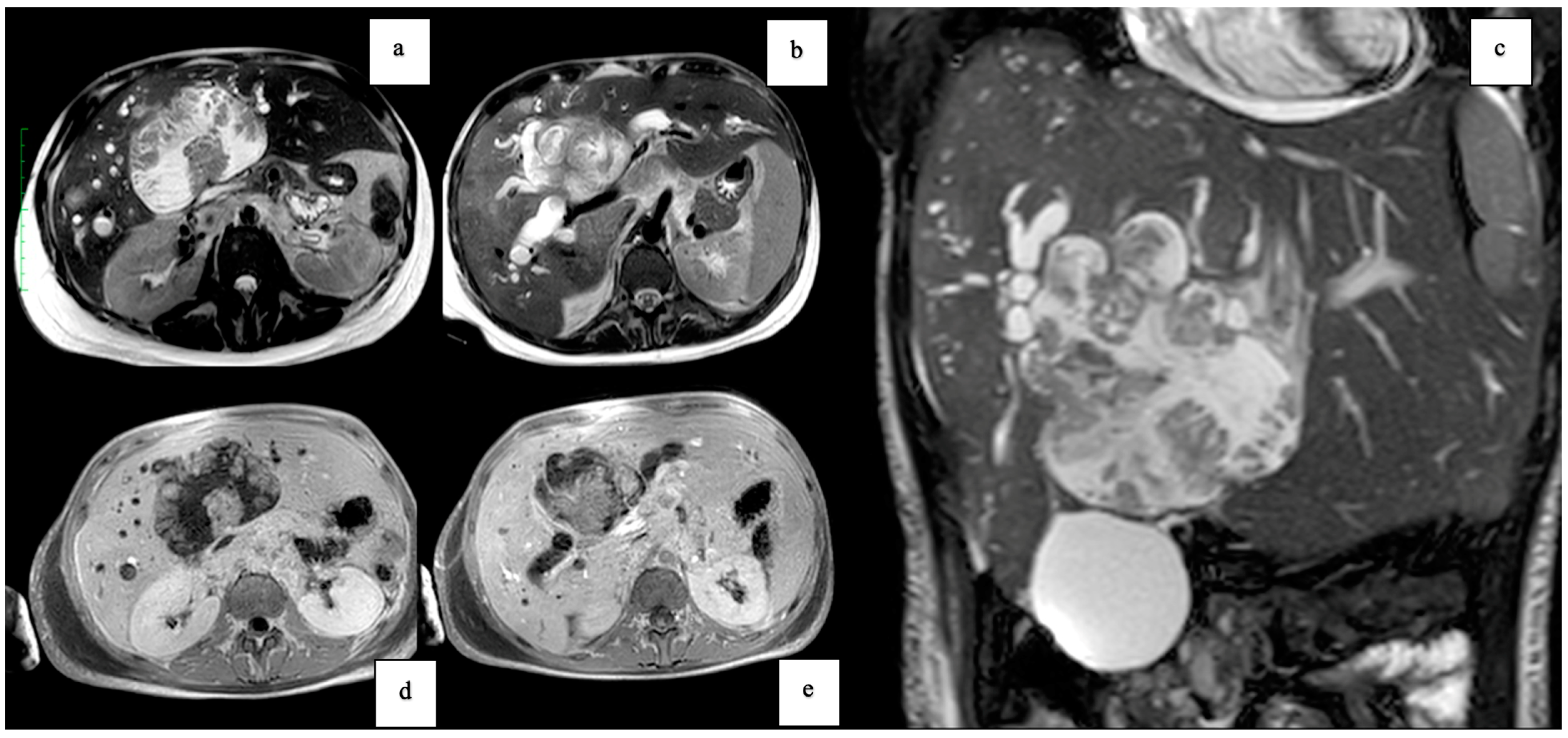
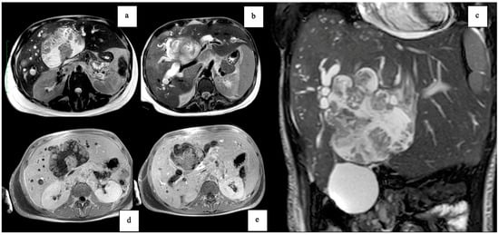
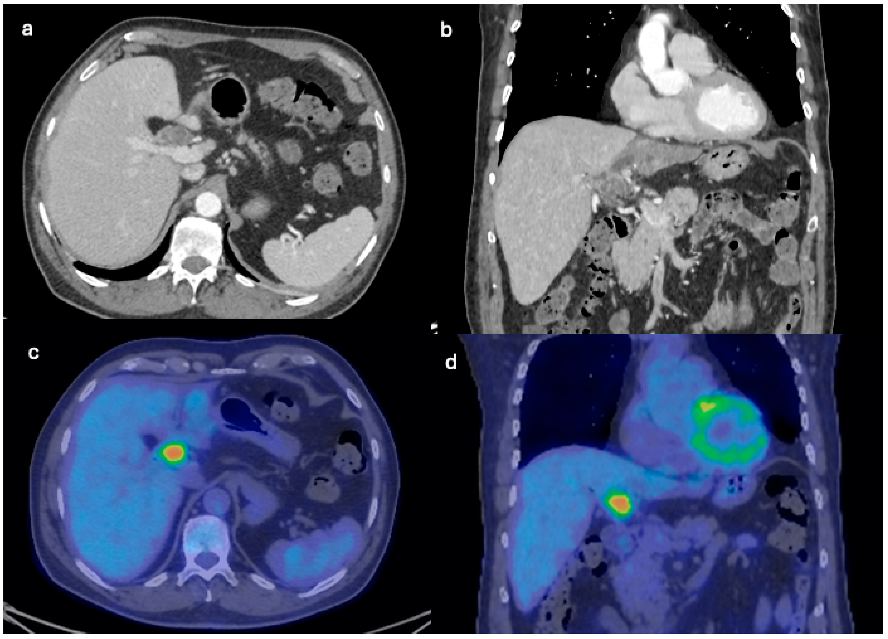
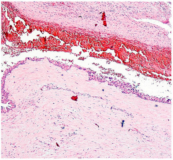
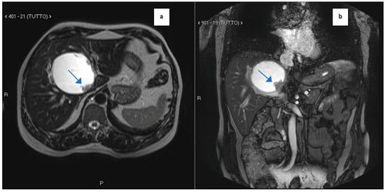
3. Case Report 2
4. Discussion
5. Conclusions
Author Contributions
Funding
Institutional Review Board Statement
Informed Consent Statement
Data Availability Statement
Conflicts of Interest
References
- Zen, Y.; Sasaki, M.; Fujii, T.; Chen, T.C.; Chen, M.F.; Yeh, T.S.; Jan, Y.Y.; Huang, S.F.; Nimura, Y.; Nakanuma, Y. Different expression patterns of mucin core proteins and cytokeratins during intrahepatic cholangiocarcinogenesis from biliary intraepithelial neoplasia and intraductal papillary neoplasm of the bile duct—An immunohistochemical study of 110 cases of hepatolithiasis. J. Hepatol. 2006, 44, 350–358. [Google Scholar] [CrossRef] [PubMed]
- Nanashima, A.; Imamura, N.; Hiyoshi, M.; Hamada, T.; Yano, K.; Wada, T.; Kawakami, H.; Ban, T.; Kubota, Y.; Sato, Y.; et al. Planned limited resection of the extrahepatic bile duct in a case of intraductal papillary neoplasm of the bile duct based on preoperative examinations. Clin. J. Gastroenterol. 2020, 13, 233–239. [Google Scholar] [CrossRef] [PubMed]
- Rocha, F.G.; Lee, H.; Katabi, N.; DeMatteo, R.P.; Fong, Y.; D’Angelica, M.I.; Allen, P.J.; Klimstra, D.S.; Jarnagin, W.R. Intraductal papillary neoplasm of the bile duct: A biliary equivalent to intraductal papillary mucinous neoplasm of the pancreas? Hepatology 2012, 56, 1352–1360. [Google Scholar] [CrossRef] [PubMed]
- Harada, F.; Matsuyama, R.; Mori, R.; Kumamoto, T.; Morioka, D.; Taguri, M.; Yamanaka, S.; Endo, I. Outcomes of surgery for 2010 WHO classification-based intraductal papillary neoplasm of the bile duct: Case-control study of a single Japanese institution’s experience with special attention to mucin expression patterns. Eur. J. Surg. Oncol. 2019, 45, 761–768. [Google Scholar] [CrossRef] [PubMed]
- Nakanuma, Y.; Uesaka, K.; Kakuda, Y.; Sugino, T.; Kubota, K.; Furukawa, T.; Fukumura, Y.; Isayama, H.; Terada, T. Intraductal Papillary Neoplasm of Bile Duct: Updated Clinicopathological Characteristics and Molecular and Genetic Alterations. J. Clin. Med. 2020, 9, 3991. [Google Scholar] [CrossRef] [PubMed] [PubMed Central]
- Nakanuma, Y.; Zen, Y.; Harada, K.; Ikeda, H.; Sato, Y.; Uehara, T.; Sasaki, M. Tumorigenesis and phenotypic characteristics of mucin-producing bile duct tumors: An immunohistochemical approach. J. Hepatobiliary Pancreat Sci. 2010, 17, 211–222. [Google Scholar] [CrossRef] [PubMed]
- Aoki, Y.; Mizuma, M.; Hata, T.; Aoki, T.; Omori, Y.; Ono, Y.; Mizukami, Y.; Unno, M.; Furukawa, T. Intraductal papillary neoplasms of the bile duct consist of two distinct types specifically associated with clinicopathological features and molecular phenotypes. J. Pathol. 2020, 251, 38–48. [Google Scholar] [CrossRef] [PubMed]
- Park, H.J.; Kim, S.Y.; Kim, H.J.; Lee, S.S.; Hong, G.S.; Byun, J.H.; Hong, S.M.; Lee, M.G. Intraductal Papillary Neoplasm of the Bile Duct: Clinical, Imaging, and Pathologic Features. Am. J. Roentgenol. 2018, 211, 67–75. [Google Scholar] [CrossRef] [PubMed]
- Hachiya, H.; Kita, J.; Shiraki, T.; Iso, Y.; Shimoda, M.; Kubota, K. Intraductal papillary neoplasm of the bile duct developing in a patient with primary sclerosing cholangitis: A case report. World J. Gastroenterol. 2014, 20, 15925–15930. [Google Scholar] [CrossRef] [PubMed] [PubMed Central]
- Jeon, S.K.; Lee, J.M.; Yoo, J.; Park, S.; Joo, I.; Yoon, J.H.; Lee, K.B. Intraductal papillary neoplasm of the bile duct: Diagnostic value of MRI features in differentiating pathologic subclassifications-type 1 versus type 2. Eur. Radiol. 2024, 34, 4674–4685. [Google Scholar] [CrossRef] [PubMed]
- Wu, X.; Li, B.; Zheng, C. Clinicopathologic characteristics and long-term prognosis of intraductal papillary neoplasm of the bile duct: A retrospective study. Eur. J. Med. Res. 2023, 28, 132. [Google Scholar] [CrossRef] [PubMed]
- Nakanuma, Y.; Jang, K.T.; Fukushima, N.; Furukawa, T.; Hong, S.M.; Kim, H.; Lee, K.B.; Zen, Y.; Jang, J.Y.; Kubota, K. A statement by the Japan-Korea expert pathologists for future clinicopathological and molecular analyses toward consensus building of intraductal papillary neoplasm of the bile duct through several opinions at the present stage. J. Hepatobiliary Pancreat. Sci. 2018, 25, 181–187. [Google Scholar] [CrossRef] [PubMed]
- Nakanuma, Y.; Uesaka, K.; Miyayama, S.; Yamaguchi, H.; Ohtsuka, M. Intraductal neoplasms of the bile duct. A new challenge to biliary tract tumor pathology. Histol. Histopathol. 2017, 32, 1001–1015. [Google Scholar] [CrossRef] [PubMed]
- Nakanuma, Y.; Sudo, Y. Biliary tumors with pancreatic counterparts. Semin. Diagn. Pathol. 2017, 34, 167–175. [Google Scholar] [CrossRef] [PubMed]
- Lim, J.H.; Zen, Y.; Jang, K.T.; Kim, Y.K.; Nakanuma, Y. Cyst-forming intraductal papillary neoplasm of the bile ducts: Description of imaging and pathologic aspects. Am. J. Roentgenol. 2011, 197, 1111–1120. [Google Scholar] [CrossRef] [PubMed]
- Wan, X.S.; Xu, Y.Y.; Qian, J.Y.; Yang, X.B.; Wang, A.Q.; He, L.; Zhao, H.T.; Sang, X.T. Intraductal papillary neoplasm of the bile duct. World J. Gastroenterol. 2013, 19, 8595–8604. [Google Scholar] [CrossRef] [PubMed] [PubMed Central]
- Kim, J.R.; Jang, K.T.; Jang, J.Y. Intraductal papillary neoplasm of the bile duct: Review of updated clinicopathological and imaging characteristics. Br. J. Surg. 2023, 110, 1229–1240. [Google Scholar] [CrossRef]
- Tanaka, M.; Kobayashi, K.; Mizumoto, K.; Yamaguchi, K. Clinical aspects of intraductal papillary mucinous neoplasm of the pancreas. J. Gastroenterol. 2005, 40, 669–675. [Google Scholar] [CrossRef] [PubMed]
- Yang, J.; Wang, W.; Yan, L. The clinicopathological features of intraductal papillary neoplasms of the bile duct in a Chinese population. Dig. Liver Dis. 2012, 44, 251–256. [Google Scholar] [CrossRef] [PubMed]
- Barton, J.G.; Barrett, D.A.; Maricevich, M.A.; Schnelldorfer, T.; Wood, C.M.; Smyrk, T.C.; Baron, T.H.; Sarr, M.G.; Donohue, J.H.; Farnell, M.B.; et al. Intraductal papillary mucinous neoplasm of the biliary tract: A real disease? HPB 2009, 11, 684–691. [Google Scholar] [CrossRef] [PubMed] [PubMed Central]
- Ohtsuka, M.; Kimura, F.; Shimizu, H.; Yoshidome, H.; Kato, A.; Yoshitomi, H.; Furukawa, K.; Takeuchi, D.; Takayashiki, T.; Suda, K.; et al. Similarities and differences between intraductal papillary tumors of the bile duct with and without macroscopically visible mucin secretion. Am. J. Surg. Pathol. 2011, 35, 512–521. [Google Scholar] [CrossRef] [PubMed]
- Onoe, S.; Shimoyama, Y.; Ebata, T.; Yokoyama, Y.; Igami, T.; Sugawara, G.; Nakamura, S.; Nagino, M. Prognostic delineation of papillary cholangiocarcinoma based on the invasive proportion: A single-institution study with 184 patients. Surgery 2014, 155, 280–291. [Google Scholar] [CrossRef] [PubMed]
- Yeh, C.N.; Jan, Y.Y.; Yeh, T.S.; Hwang, T.L.; Chen, M.F. Hepatic resection of the intraductal papillary type of peripheral cholangiocarcinoma. Ann. Surg. Oncol. 2004, 11, 606–611. [Google Scholar] [CrossRef] [PubMed]
- Kim, K.M.; Lee, J.K.; Shin, J.U.; Lee, K.H.; Lee, K.T.; Sung, J.Y.; Jang, K.T.; Heo, J.S.; Choi, S.H.; Choi, D.W.; et al. Clinicopathologic features of intraductal papillary neoplasm of the bile duct according to histologic subtype. Am. J. Gastroenterol. 2012, 107, 118–125. [Google Scholar] [CrossRef] [PubMed]
- Jung, G.; Park, K.M.; Lee, S.S.; Yu, E.; Hong, S.M.; Kim, J. Long-term clinical outcome of the surgically resected intraductal papillary neoplasm of the bile duct. J. Hepatol. 2012, 57, 787–793. [Google Scholar] [CrossRef] [PubMed]
- Kraus, M.; Klang, E.; Soffer, S.; Inbar, Y.; Konen, E.; Sobeh, T.; Apter, S. MRI features of intraductal papillary mucinous neoplasm of the bile ducts, “The myth about the cyst”: A systematic review. Eur. J. Radiol. Open 2023, 11, 100515. [Google Scholar] [CrossRef] [PubMed] [PubMed Central]
- Zulfiqar, M.; Chatterjee, D.; Yoneda, N.; Hoegger, M.J.; Ronot, M.; Hecht, E.M.; Bastati, N.; Ba-Ssalamah, A.; Bashir, M.R.; Fowler, K. Imaging Features of Premalignant Biliary Lesions and Predisposing Conditions with Pathologic Correlation. Radiographics 2022, 42, 1320–1337. [Google Scholar] [CrossRef] [PubMed]
- Aparicio Serrano, A.; Gómez Pérez, A.; Zamora Olaya, J.M.; Rodríguez Perálvarez, M.L. Malignancy of intraductal papillary neoplasm of the bile duct. Rev. Esp. Enferm. Dig. 2022, 114, 170–171. [Google Scholar] [CrossRef] [PubMed]
- Aliyev, V.; Yasuchika, K.; Hammad, A.; Tajima, T.; Fukumitsu, K.; Hata, K.; Okajima, H.; Uemoto, S. A huge intraductal papillary neoplasm of the bile duct treated by right trisectionectomy after right portal vein embolization. Ann. Hepatobiliary Pancreat. Surg. 2018, 22, 150–155. [Google Scholar] [CrossRef] [PubMed] [PubMed Central][Green Version]
- Watanabe, A.; Suzuki, H.; Kubo, N.; Araki, K.; Kobayashi, T.; Sasaki, S.; Wada, W.; Arai, H.; Sakamoto, K.; Sakurai, S.; et al. An Oncocytic Variant of Intraductal Papillary Neoplasm of the Bile Duct that Formed a Giant Hepatic Cyst. Rare Tumors 2013, 5, 106–108. [Google Scholar] [CrossRef] [PubMed] [PubMed Central]
- Canepa, M.; Yao, R.; Nam, G.H.; Patel, N.R.; Pisharodi, L. Cytomorphology of intraductal papillary neoplasm of the biliary tract. Diagn. Cytopathol. 2019, 47, 922–926. [Google Scholar] [CrossRef] [PubMed]
- Goeppert, B.; Stichel, D.; Toth, R.; Fritzsche, S.; Loeffler, M.A.; Schlitter, A.M.; Neumann, O.; Assenov, Y.; Vogel, M.N.; Mehrabi, A.; et al. Integrative analysis reveals early and distinct genetic and epigenetic changes in intraductal papillary and tubulopapillary cholangiocarcinogenesis. Gut 2022, 71, 391–401. [Google Scholar] [CrossRef] [PubMed] [PubMed Central]
- Koiwai, A.; Hirota, M.; Murakami, K.; Katayama, T.; Kin, R.; Endo, K.; Kogure, T.; Takasu, A.; Sakurai, H.; Kondo, N.; et al. Direct peroral cholangioscopy with red dichromatic imaging 3 detected the perihilar margin of superficial papillary extension in a patient with intraductal papillary neoplasm of the bile duct. DEN Open 2023, 27, e228. [Google Scholar] [CrossRef] [PubMed] [PubMed Central]
- Manne, A.; Woods, E.; Tsung, A.; Mittra, A. Biliary Tract Cancers: Treatment Updates and Future Directions in the Era of Precision Medicine and Immuno-Oncology. Front. Oncol. 2021, 15, 768009. [Google Scholar] [CrossRef] [PubMed] [PubMed Central]
- Ye, C.; Dong, C.; Lin, Y.; Shi, H.; Zhou, W. Interplay between the Human Microbiome and Biliary Tract Cancer: Implications for Pathogenesis and Therapy. Microorganisms 2023, 11, 2598. [Google Scholar] [CrossRef] [PubMed] [PubMed Central]
- Wheatley, R.C.; Kilgour, E.; Jacobs, T.; Lamarca, A.; Hubner, R.A.; Valle, J.W.; McNamara, M.G. Potential influence of the microbiome environment in patients with biliary tract cancer and implications for therapy. Br. J. Cancer 2022, 126, 693–705. [Google Scholar] [CrossRef] [PubMed] [PubMed Central]









| Feature | Case 1 | Case 2 |
|---|---|---|
| Patient Demographics | 60-year-old Caucasian male | 28-year-old Caucasian female |
| Clinical Presentation | Incidental discovery of an 8 × 8 × 9 cm hepatic cyst | Presented with dyspnea, vomiting, jaundice, fever |
| Initial Diagnosis | Suspected hydatid cyst | Simple cyst, later adenocarcinoma with metastases |
| Diagnostic Methods | MRI, MRCP, ERCP, histopathological examination | CT, MRI, laparoscopic liver biopsy, histopathological examination |
| Tumor Characteristics | Large cystic mass, thin walls, internal septa, papillary projections, enhancing solid components | Large lesion in left hepatic lobe, hyperintensity in T2-weighted images, restricted diffusion, contrast enhancement |
| Treatment | Cyst resection, cholecystectomy | Thrombectomy, chemotherapy, supportive care |
| Surgical Findings | Partially exophytic floating soft mass | Extensive intrahepatic metastases, vascular involvement |
| Histopathological Findings | IPNB with foci of adenocarcinoma, oncocytic appearance, varying degrees of dysplasia, mucus within cyst | Adenocarcinoma with papillary clear cell and mucinous appearance, gland ectasis, cystic or pseudocystic aspects |
| Follow-up and Outcome | Initial recurrence-free survival for 8 years, recurrence treated with left hepatectomy, patient alive at 33 months post-second surgery | Disease progression despite aggressive management, patient died from hepatic failure |
Disclaimer/Publisher’s Note: The statements, opinions and data contained in all publications are solely those of the individual author(s) and contributor(s) and not of MDPI and/or the editor(s). MDPI and/or the editor(s) disclaim responsibility for any injury to people or property resulting from any ideas, methods, instructions or products referred to in the content. |
© 2024 by the authors. Licensee MDPI, Basel, Switzerland. This article is an open access article distributed under the terms and conditions of the Creative Commons Attribution (CC BY) license (https://creativecommons.org/licenses/by/4.0/).
Share and Cite
Toti, L.; Manzia, T.M.; Di Giuliano, F.; Picchi, E.; Tariciotti, L.; Pedini, D.; Savino, L.; Tisone, G.; Angelico, R. Intraductal Papillary Neoplasms of the Bile Duct: Clinical Case Insights and Literature Review. Clin. Pract. 2024, 14, 1669-1681. https://doi.org/10.3390/clinpract14050133
Toti L, Manzia TM, Di Giuliano F, Picchi E, Tariciotti L, Pedini D, Savino L, Tisone G, Angelico R. Intraductal Papillary Neoplasms of the Bile Duct: Clinical Case Insights and Literature Review. Clinics and Practice. 2024; 14(5):1669-1681. https://doi.org/10.3390/clinpract14050133
Chicago/Turabian StyleToti, Luca, Tommaso Maria Manzia, Francesca Di Giuliano, Eliseo Picchi, Laura Tariciotti, Domiziana Pedini, Luca Savino, Giuseppe Tisone, and Roberta Angelico. 2024. "Intraductal Papillary Neoplasms of the Bile Duct: Clinical Case Insights and Literature Review" Clinics and Practice 14, no. 5: 1669-1681. https://doi.org/10.3390/clinpract14050133
APA StyleToti, L., Manzia, T. M., Di Giuliano, F., Picchi, E., Tariciotti, L., Pedini, D., Savino, L., Tisone, G., & Angelico, R. (2024). Intraductal Papillary Neoplasms of the Bile Duct: Clinical Case Insights and Literature Review. Clinics and Practice, 14(5), 1669-1681. https://doi.org/10.3390/clinpract14050133

