Renal Vein Thrombosis Secondary to Pyelonephritis: Targeting a Thrombo-Inflammatory Entity
Abstract
1. Introduction
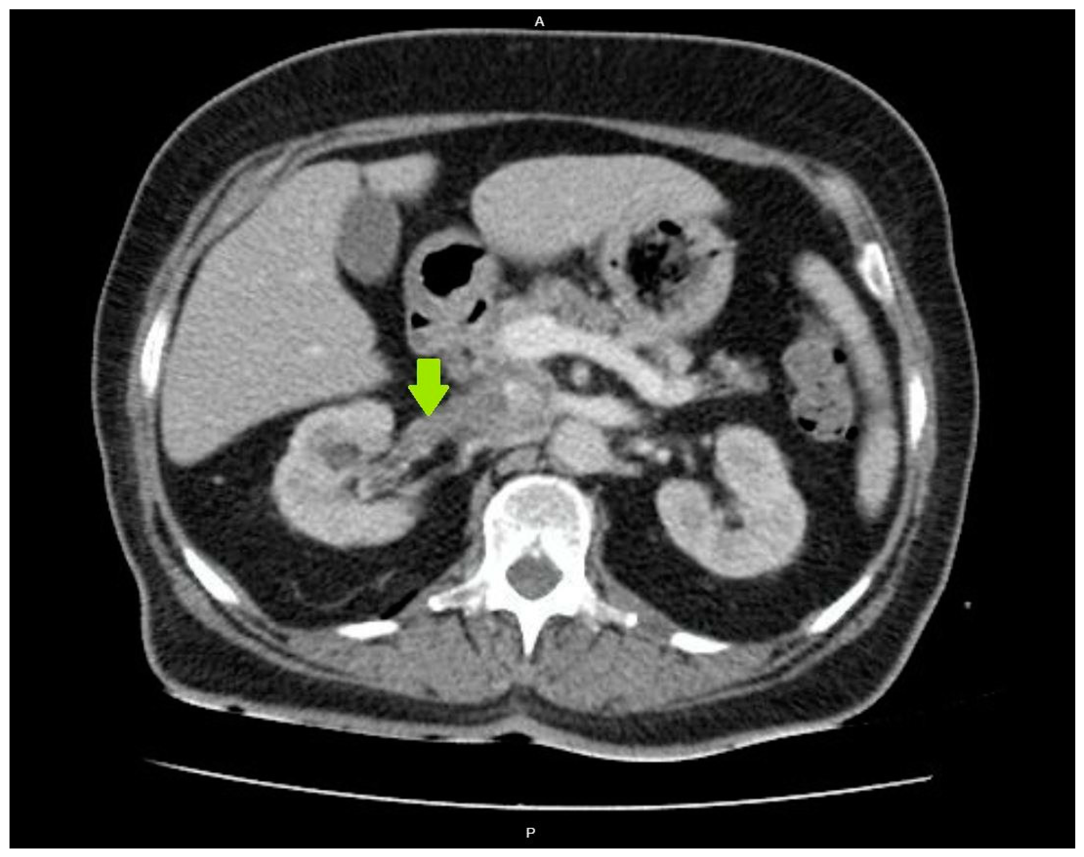
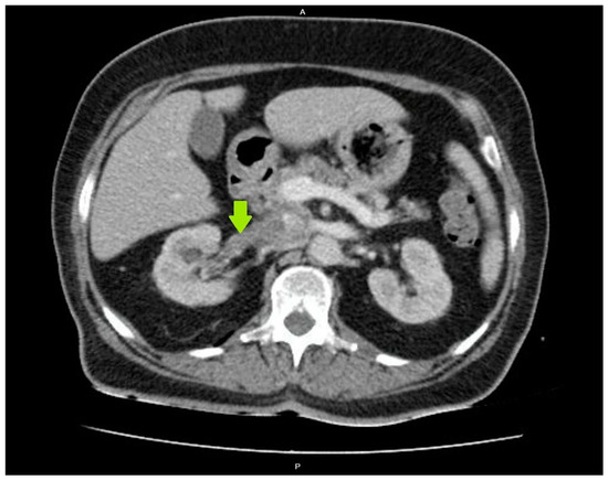
2. Case Presentation
3. Discussion
3.1. Clinical Presentation and Treatment of PN
3.2. Clinical Presentation of RVT
3.3. The Role of Infection in Thrombosis: Thrombo-Inflammation
3.4. Diagnosis and Management of RVT
4. Conclusions
Author Contributions
Funding
Institutional Review Board Statement
Informed Consent Statement
Data Availability Statement
Conflicts of Interest
List of Abbreviations
References
- Asghar, M.; Ahmed, K.; Shah, S.S.; Siddique, M.K.; Dasgupta, P.; Khan, M.S. Renal vein thrombosis. Eur. J. Vasc. Endovasc. Surg. 2007, 34, 217–223. [Google Scholar] [CrossRef] [PubMed]
- Golowa, Y.; Warhit, M.; Matsunaga, F.; Cynamon, J. Catheter directed interventions for inferior vena cava thrombosis. Cardiovasc. Diagn. Ther. 2016, 6, 612–622. [Google Scholar] [CrossRef] [PubMed]
- Colgan, R.; Williams, M.; Johnson, J.R. Diagnosis and treatment of acute pyelonephritis in women. Am. Fam. Physician 2011, 84, 519–526. [Google Scholar] [PubMed]
- Bassetti, M.; Vena, A.; Giacobbe, D.R. The safety of ceftolozane/tazobactam for the treatment of complicated urinary tract infections. Expert. Opin. Drug Saf. 2023, 22, 533–540. [Google Scholar] [CrossRef] [PubMed]
- Carmeli, Y.; Armstrong, J.; Laud, P.J.; Newell, P.; Stone, G.; Wardman, A.; Gasink, L.B. Ceftazidime-avibactam or best available therapy in patients with ceftazidime-resistant Enterobacteriaceae and Pseudomonas aeruginosa complicated urinary tract infections or complicated intra-abdominal infections (REPRISE): A randomized, pathogen-directed, phase 3 study. Lancet Infect. Dis. 2016, 16, 661–673. [Google Scholar] [CrossRef] [PubMed]
- Kaye, K.S.; Bhowmick, T.; Metallidis, S.; Bleasdale, S.C.; Sagan, O.S.; Stus, V.; Vazquez, J.; Zaitsev, V.; Bidair, M.; Chorvat, E.; et al. Effect of Meropenem-Vaborbactam vs. Piperacillin-Tazobactam on Clinical Cure or Improvement and Microbial Eradication in Complicated Urinary Tract Infection: The TANGO I Randomized Clinical Trial. JAMA 2018, 319, 788–799. [Google Scholar] [CrossRef] [PubMed]
- Kerlin, B.A.; Ayoob, R.; Smoyer, W.E. Epidemiology and pathophysiology of nephrotic syndrome-associated thromboembolic disease. Clin. J. Am. Soc. Nephrol. 2012, 7, 513–520. [Google Scholar] [CrossRef]
- Ghaly, P.; Iliopoulos, J.; Ahmad, M. Acute bilateral renal vein thrombosis diagnosis and management: A case report. J. Surg. Case Rep. 2020, 2020, rjaa238. [Google Scholar] [CrossRef]
- Lodhi, O.U.H.; Sohail, S.; Hassan, D. A Rare Case of Paroxysmal Nocturnal Hemoglobinuria With Bilateral Renal Vein Thrombosis. Cureus 2020, 12, e8806. [Google Scholar] [CrossRef]
- Ben Hassine, M.; Ben Hadj Alouane, H.; Oueslati, M.A.; Fassi Fihri, E.M.; Chammakhi, C.; Ben Rhouma, S. Segmental renal vein thrombosis: An unusual complication of acute pyelonephritis. Urol. Case Rep. 2023, 49, 102444. [Google Scholar] [CrossRef]
- Cedeira, F.; Cedeira, F.; Martinez Pagano, E.; Castañeda, G.; Rivadera, R. Bilateral nephrectomy as an extreme measure management for methicillin-resistant Staphylococcus Aureus (MRSA): A case report. Urol. Case Rep. 2020, 33, 101373. [Google Scholar] [CrossRef] [PubMed]
- Jain, A.; Mehra, K.; Manikandan, R.; Dorairajan, L.N. Renal vein and vena caval thrombus: A rare presentation of emphysematous pyelonephritis. BMJ Case Rep. 2019, 12, e231455. [Google Scholar] [CrossRef] [PubMed]
- Assimakopoulos, S.F.; Kraniotis, P.; Gogos, C.; Marangos, M. Renal vein thrombosis complicating severe acute pyelonephritis with renal abscesses and associated bacteraemia caused by extended-spectrum beta-lactamase producing Escherichia coli. CEN Case Rep. 2018, 7, 90–93. [Google Scholar] [CrossRef] [PubMed]
- Lurz, K.L.; Hanna, D.N.; McGreen, B.H.; Schanne, F.J. A rare case of renal vein thrombosis secondary to Klebsiella pneumoniae pyelonephritis. Urol. Ann. 2018, 10, 103–105. [Google Scholar] [CrossRef] [PubMed]
- Yildiz, H.; Van Nieuwenhove, S.; Doyen, M.; Yombi, J.C. Acute pyelonephritis and renal vein thrombosis: A case report and review of the literature. J. Infect. Chemother. 2016, 22, 759–761. [Google Scholar] [CrossRef] [PubMed]
- Harris, L.A.; Van Every, M.J.; Fundell, L.J. Acute bilateral renal vein thrombosis secondary to sepsis from pyelonephritis. Int. Braz. J. Urol. 2012, 38, 132–134. [Google Scholar] [CrossRef] [PubMed]
- Kumar, S.; Singh, S.K.; Mavuduru, R.S.; Acharya, N.C.; Agarwal, M.M.; Jha, V.K.; Mandal, A.K. Acute pyelonephritis with renal vein and inferior vena cava thrombosis in a case of hyperhomocysteinemia. Int. Urol. Nephrol. 2009, 41, 185–188. [Google Scholar] [CrossRef] [PubMed]
- Novelli, L.; Raynaud, A.; Pellerin, O.; Carreres, T.; Sapoval, M. Percutaneous manual aspiration embolectomy of renal vein thrombosis due to acute pyelonephritis. Cardiovasc. Interv. Radiol. 2007, 30, 1075–1078. [Google Scholar] [CrossRef] [PubMed]
- Bassilios, N.; Tassart, M.; Restoux, A.; Bigot, J.M.; Rondeau, E.; Sraer, J.D. Inferior vena cava thrombosis due to acute pyelonephritis. Nephrol. Dial. Transplant. 2004, 19, 981–983. [Google Scholar] [CrossRef]
- Eijsten, A.; Leisinger, H.J.; Jucker, A. Unilateral pyonephrosis with septic thrombosis of the renal vein and vena cava. Urol. Int. 1986, 41, 77–79. [Google Scholar] [CrossRef]
- Daily, A.M.; Donahue, R.P.; Olgac, S.; Kuhr, C.S.; Kozlowski, P.M. Incidentally found focal xanthogranulomatous pyelonephritis with extensive venous thrombus. Can. J. Urol. 2022, 29, 11187–11189. [Google Scholar] [PubMed]
- Mitchell, D.G.; Friedman, A.C.; Druy, E.M.; Swanberg, L.E.; Phillips, M. Xanthogranulomatous perinephritis: Unusual cause of renal vein and vena caval thrombosis. Urol. Radiol. 1985, 7, 35–38. [Google Scholar] [CrossRef] [PubMed]
- Akintewe, T.A.; Dealler, S.; Hutcheon, A.W. Xanthogranulomatous pyelonephritis presenting with unilateral renal vein thrombosis. Postgrad. Med. J. 1980, 56, 280–281. [Google Scholar] [CrossRef] [PubMed][Green Version]
- Pechlivani, N.; Ajjan, R.A. Thrombosis and Vascular Inflammation in Diabetes: Mechanisms and Potential Therapeutic Targets. Front. Cardiovasc. Med. 2018, 5, 1. [Google Scholar] [CrossRef] [PubMed]
- Kohli, S.; Shahzad, K.; Jouppila, A.; Holthöfer, H.; Isermann, B.; Lassila, R. Thrombosis and Inflammation-A Dynamic Interplay and the Role of Glycosaminoglycans and Activated Protein C. Front. Cardiovasc. Med. 2022, 9, 866751. [Google Scholar] [CrossRef] [PubMed]
- Stark, K.; Massberg, S. Interplay between inflammation and thrombosis in cardiovascular pathology. Nat. Rev. Cardiol. 2021, 18, 666–682. [Google Scholar] [CrossRef] [PubMed]
- Huang, J.; Li, X.; Shi, X.; Zhu, M.; Wang, J.; Huang, S.; Huang, X.; Wang, H.; Li, L.; Deng, H.; et al. Platelet integrin αIIbβ3: Signal transduction, regulation, and its therapeutic targeting. J. Hematol. Oncol. 2019, 12, 26. [Google Scholar] [CrossRef] [PubMed]
- Zou, J.; Swieringa, F.; de Laat, B.; de Groot, P.G.; Roest, M.; Heemskerk, J.W.M. Reversible Platelet Integrin αIIbβ3 Activation and Thrombus Instability. Int. J. Mol. Sci. 2022, 23, 12512. [Google Scholar] [CrossRef]
- Fagerholm, S.C. Integrin in health and disease. N. Engl. J. Med. 2022, 387, 1519–1521. [Google Scholar] [CrossRef]
- Zucoloto, A.Z.; Jenne, C.N. Platelet-neutrophil interplay: Insights into neutrophil extracellular trap (NET)-driven coagulation in infection. Front. Cardiovasc. Med. 2019, 6, 85. [Google Scholar] [CrossRef]
- Colicchia, M.; Perrella, G.; Gant, P.; Rayes, J. Novel mechanisms of thrombo-inflammation during infection: Spotlight on neutrophil extracellular trap-mediated platelet activation. Res. Pract. Thromb. Haemost. 2023, 7, 100116. [Google Scholar] [CrossRef]
- Ding, Z.; Du, F.; Averitt, V.R.G.; Jakobsson, G.; Rönnow, C.F.; Rahman, M.; Schiopu, A.; Thorlacius, H. Targeting S100A9 Reduces Neutrophil Recruitment, Inflammation and Lung Damage in Abdominal Sepsis. Int. J. Mol. Sci. 2021, 22, 12923. [Google Scholar] [CrossRef] [PubMed]
- Nicolai, L.; Schiefelbein, K.; Lipsky, S.; Leunig, A.; Hoffknecht, M.; Pekayvaz, K.; Raude, B.; Marx, C.; Ehrlich, A.; Pircher, J.; et al. Vascular surveillance by haptotactic blood platelets in inflammation and infection. Nat. Commun. 2020, 11, 5778. [Google Scholar] [CrossRef] [PubMed]
- Maneta, E.; Aivalioti, E.; Tual-Chalot, S.; Emini Veseli, B.; Gatsiou, A.; Stamatelopoulos, K.; Stellos, K. Endothelial dysfunction and immunothrombosis in sepsis. Front. Immunol. 2023, 14, 1144229. [Google Scholar] [CrossRef] [PubMed]
- Ryan, T.A.J.; Hooftman, A.; Rehill, A.M.; Johansen, M.D.; Brien, E.C.O.; Toller-Kawahisa, J.E.; Wilk, M.M.; Day, E.A.; Weiss, H.J.; Sarvari, P.; et al. Dimethyl fumarate and 4-octyl itaconate are anticoagulants that suppress Tissue Factor in macrophages via inhibition of Type I Interferon. Nat. Commun. 2023, 14, 3513. [Google Scholar] [CrossRef] [PubMed]
- Musgrave, K.M.; Scott, J.; Sendama, W.; Gardner, A.I.; Dewar, F.; Lake, C.J.; Spronk, H.M.H.; van Oerle, R.; Visser, M.; Ten Cate, H.; et al. Tissue factor expression in monocyte subsets during human immunothrombosis, endotoxemia and sepsis. Thromb. Res. 2023, 228, 10–20. [Google Scholar] [CrossRef] [PubMed]
- Sachetto, A.T.A.; Mackman, N. Monocyte Tissue Factor Expression: Lipopolysaccharide Induction and Roles in Pathological Activation of Coagulation. Thromb. Haemost. 2023, 123, 1017–1033. [Google Scholar] [CrossRef] [PubMed]
- Wu, C.; Lu, W.; Zhang, Y.; Zhang, G.; Shi, X.; Hisada, Y.; Grover, S.P.; Zhang, X.; Li, L.; Xiang, B.; et al. Inflammasome Activation Triggers Blood Clotting and Host Death through Pyroptosis. Immunity 2019, 50, 1401–1411.e4. [Google Scholar] [CrossRef] [PubMed]
- Zhang, L.J.; Wu, X.; Yang, G.F.; Tang, C.X.; Luo, S.; Zhou, C.S.; Ji, X.M.; Lu, G.M. Three-dimensional contrast-enhanced magnetic resonance venography for detection of renal vein thrombosis: Comparison with multidetector CT venography. Acta Radiol. 2013, 54, 1125–1131. [Google Scholar] [CrossRef]
- Platt, J.F.; Ellis, J.H.; Rubin, J.M. Intrarenal arterial Doppler sonography in the detection of renal vein thrombosis of the native kidney. AJR Am. J. Roentgenol. 1994, 162, 1367–1370. [Google Scholar] [CrossRef]
- Hori, S.; Miyamoto, T.; Sakamoto, K.; Shimizu, T.; Ichikawa, K.; Morizawa, Y.; Gotoh, D.; Nakai, Y.; Miyake, M.; Yoneda, T.; et al. Successful salvage of allograft dysfunction triggered by transplant renal vein thrombosis immediately after kidney transplantation: A case report. Int. J. Nephrol. Renovasc. Dis. 2018, 11, 321–327. [Google Scholar] [CrossRef]
- Sarswat, S.; Khan, D.; Sagar, S.; Kumar, R. Role of 18 F-FDG PET/CT in the diagnosis of benign vs. malignant tumor thrombus. Nucl. Med. Commun. 2023, 44, 726–731. [Google Scholar] [CrossRef]
- Zaman, M.U.; Fatima, N.; Zaman, A.; Zaman, U.; Tahseen, R.; Zaman, S. Massive Tumor Thrombus in Left Renal Vein and Inferior Vena Cava in Renal Cell Carcinoma on 18-fluorodeoxyglucose Positron Emission Tomography/computerized Tomography: “Suspension Bridge Sign”. World J. Nucl. Med. 2018, 17, 120–122. [Google Scholar] [CrossRef]
- Smith, R.K.; Navaratnam, A.; Vivian, P. Systematic review and meta-analysis of preoperative imaging prediction of renal cell carcinoma tumour thrombus inferior vena cava wall invasion. Clin. Radiol. 2023, 78, 540–547. [Google Scholar] [CrossRef] [PubMed]
- Chedid, A.; Hanouneh, M.; Sperati, C.J. Renal vein thrombosis and pulmonary embolism. Clevel. Clin. J. Med. 2018, 85, 833–834. [Google Scholar] [CrossRef]
- Kelddal, S.; Hvas, A.M.; Grove, E.L.; Birn, H. Safety and effectiveness of direct oral anticoagulants in patients with nephrotic syndrome: A report of 21 cases. BMC Nephrol. 2022, 23, 305. [Google Scholar] [CrossRef] [PubMed]
- Kruger, P.C.; Eikelboom, J.W.; Douketis, J.D.; Hankey, G.J. Deep vein thrombosis: Update on diagnosis and management. Med. J. Aust. 2019, 210, 516–524. [Google Scholar] [CrossRef] [PubMed]
- Kakhktsyan, T.; Mousa, A.; Arshad, H.; Chepenko, K.; Fatima, T. Renal Vein Thrombosis Treated With Apixaban in a Patient With COVID-19: A Case Report. Cureus 2023, 15, e39296. [Google Scholar] [CrossRef]
- Torabi Jahromi, M.; Roozbeh, J.; Masjedi, F.; Mohammadzadeh, S.; Tabei, S.S.; Shafiee, M.; Rasaei, N. Case report: A case of renal arcuate vein thrombosis successfully treated with direct oral anticoagulants. Front. Med. 2023, 10, 1092815. [Google Scholar] [CrossRef]
- Mimier, M.K.; Janczak, D.T.; McBane, R.D.; Houghton, D.E.; Wysokinski, W.E. Thrombosis of atypical location: How to treat patients in the era of direct oral anticoagulants? Pol. Arch. Intern. Med. 2018, 128, 604–608. [Google Scholar] [CrossRef]
- Matta, A.; Elenizi, K.; AlHarthi, R.; Moussallem, N.; Elhajjaji, N.; Lhermusier, T.; Carrié, D. A Case of Isolated Unilateral Right Renal Vein Thrombosis Associated with Bilateral Pulmonary Embolism Treated with Rivaroxaban a Direct-Acting Oral Anticoagulant. Am. J. Case Rep. 2019, 20, 1152–1154. [Google Scholar] [CrossRef] [PubMed]
- Janczak, D.T.; Mimier, M.K.; McBane, R.D.; Kamath, P.S.; Simmons, B.S.; Bott-Kitslaar, D.M.; Lenz, C.J.; Vargas, E.R.; Hodge, D.O.; Wysokinski, W.E. Rivaroxaban and Apixaban for Initial Treatment of Acute Venous Thromboembolism of Atypical Location. Mayo Clin. Proc. 2018, 93, 40–47. [Google Scholar] [CrossRef] [PubMed]
- Liu, L.; Zhang, X.; Huang, M.; Li, J.; Zhao, Z.; Huang, J. The effectiveness of percutaneous mechanical thrombectomy in the treatment of acute thromboembolic occlusions of lower extremity. Vascular 2021, 29, 945–951. [Google Scholar] [CrossRef] [PubMed]
- Zhang, L.; Li, C.; Hua, Z.; Xu, P.; Jiao, Z.; Cao, H.; Liu, S.; Guo, C.; Li, Z. Comparative outcomes of anticoagulation alone versus anticoagulation plus endovascular intervention in adults with isolated renal vein thrombosis. J. Vasc. Surg. Venous Lymphat. Disord. 2023, 11, 816–823. [Google Scholar] [CrossRef] [PubMed]
- Joyce, E.; Haymart, B.; Kong, X.; Ali, M.A.; Carrigan, M.; Kaatz, S.; Shah, V.; Kline-Rogers, E.; Kozlowski, J.; Froehlich, J.B.; et al. Length of Anticoagulation in Provoked Venous Thromboembolism: A Multicenter Study of How Real-World Practice Mirrors Guideline Recommendations. J. Am. Heart Assoc. 2022, 11, e025471. [Google Scholar] [CrossRef] [PubMed]
- Hasan, R.A.; Koh, A.Y.; Zia, A. The gut microbiome and thromboembolism. Thromb. Res. 2020, 189, 77–87. [Google Scholar] [CrossRef]
- Preston, R.J.S.; O’Sullivan, J.M.; O’Donnell, J.S. Advances in understanding the molecular mechanisms of venous thrombosis. Br. J. Haematol. 2019, 186, 13–23. [Google Scholar] [CrossRef]



| Laboratory Parameter | Normal Range | Upon Admission | Upon Discharge |
|---|---|---|---|
| WBC | 4000–11,000/mL | 10,480/mL | 5000/mL |
| Hb | 12–18 g/dL | 10 g/dL | 11.1 g/dL |
| PLTs | 150,000-400,000/mm3 | 413,000/mm3 | 392,000/mm3 |
| APTT | 27–35 s | 27 s | 26.5 s |
| Fibrinogen | 200–400 mg/dL | 506 mg/dL | 393 mg/dL |
| D-dimers | <500 μg/L | 4254 μg/L | 1654 μg/L |
| HbA1c | <6.5% | 13.1% | - |
| Serum glucose | 80–130 mg/dL | 174 mg/dL | 104 mg/dL |
| Serum urea | 18–55 mg/dL | 63 mg/dL | 42 mg/dL |
| Serum creatinine | 0.72–1.25 mg/dL | 1.5 mg/dL | 1.0 mg/dL |
| Serum sodium | 136–145 mmol/L | 136–145 mmol/L | 143 mmol/L |
| Serum potassium | 3.5–5.1 mmol/L | 5.5 mmol/L | 4.5 mmol/L |
| SGOT | 5–34 U/L | 17 U/L | 27 U/L |
| SGPT | 0–55 U/L | 23 U/L | 24 U/L |
| ALP | 40–150 U/L | 33 U/L | 32 U/L |
| g-GT | 12–64 U/L | 28 U/L | 34 U/L |
| Total bilirubin | 0.20–1.20 mg/dL | 0.60 mg/dL | 0.30 mg/dL |
| Serum albumin | 3.5–5 g/dL | 3.5 g/dL | 3.5 g/dL |
| CRP | <5 mg/L | 116 mg/L | 19 mg/L |
| Case | Author/ Year | Gender/ Age (Years Old) | DM/ Thrombophilia | Culture | Site of Thrombosis | IVC/ PE | Treatment | Follow-Up/ Resolution of Thrombosis |
|---|---|---|---|---|---|---|---|---|
| 1 | Ben Hassine/ 2023 | Female/ 29 | Yes/ No | Klebsiella pneumoniae | Left | No/ No | Antibiotics, LMWH, warfarin | 6 months/ Yes |
| 2 | Cedeira/ 2020 | Female/ 38 | No/ No | MRSA | Left | Yes/ Yes (Septic Emboli) | Antibiotics, LMWH, warfarin, bilateral nephrectomy | NS/ yes |
| 3 | Jain/ 2019 | Female/ 32 | No/ No | Escherichia coli | Right | Yes/ NS | Antibiotics, heparin, nephrectomy | 3 months/ yes |
| 4 | Assimakopoulos/ 2018 | Male/ 71 | Yes/ No | Escherichia coli | Right | Yes/ NS | Antibiotics, LMWH, acenocoumarol | 3 months/ yes |
| 5 | Lurz/ 2018 | Female/ 35 | No/ No | Klebsiella pneumoniae | Right | Yes/ NS | Antibiotics, LMWH, warfarin | 6 months/ yes |
| 6 | Yildiz/ 2016 | Female/ 68 | No/ No | Escherichia coli | Right | No/ NS | Antibiotics, LMWH, warfarin | 6 weeks/ yes |
| 7 | Harris/ 2012 | Female/ 62 | Yes/ No | Klebsiella pneumoniae | Bilateral | No/ Yes (Septic Emboli) | Antibiotics, LMWH, warfarin | 4 weeks/ resolution of the right thrombosis |
| 8 | Kumar/ 2009 | Male/ 59 | No/ Yes | Escherichia coli | Left | Yes/ No | Antibiotics, LMWH, warfarin | 3 months/ yes |
| 9 | Novelli/ 2007 | Male/ 50 | NS/ NS | MSSA | Right | Yes/ | Antibiotics, percutaneous embolectomy | 6 months/ yes |
| 10 | Bassilios/ 2004 | Female/ 45 | Yes/ No | Klebsiella pneumoniae | Right | Yes/ NS | Antibiotics, LMWH, warfarin | 6 months/ yes |
| 11 | Eijsten/ 1986 | Male/ 58 | NS/ NS | Klebsiella pneumoniae | Right | Yes/ NS | Antibiotics, nephrectomy | NS/ NS |
Disclaimer/Publisher’s Note: The statements, opinions and data contained in all publications are solely those of the individual author(s) and contributor(s) and not of MDPI and/or the editor(s). MDPI and/or the editor(s) disclaim responsibility for any injury to people or property resulting from any ideas, methods, instructions or products referred to in the content. |
© 2024 by the authors. Licensee MDPI, Basel, Switzerland. This article is an open access article distributed under the terms and conditions of the Creative Commons Attribution (CC BY) license (https://creativecommons.org/licenses/by/4.0/).
Share and Cite
Kounatidis, D.; Papadimitropoulos, V.; Vallianou, N.; Poulaki, A.; Dimitriou, K.; Tsiara, I.; Avramidis, K.; Alexopoulou, A.; Vassilopoulos, D. Renal Vein Thrombosis Secondary to Pyelonephritis: Targeting a Thrombo-Inflammatory Entity. Clin. Pract. 2024, 14, 1110-1122. https://doi.org/10.3390/clinpract14030088
Kounatidis D, Papadimitropoulos V, Vallianou N, Poulaki A, Dimitriou K, Tsiara I, Avramidis K, Alexopoulou A, Vassilopoulos D. Renal Vein Thrombosis Secondary to Pyelonephritis: Targeting a Thrombo-Inflammatory Entity. Clinics and Practice. 2024; 14(3):1110-1122. https://doi.org/10.3390/clinpract14030088
Chicago/Turabian StyleKounatidis, Dimitris, Vasileios Papadimitropoulos, Natalia Vallianou, Aikaterini Poulaki, Krystalia Dimitriou, Ioanna Tsiara, Konstantinos Avramidis, Alexandra Alexopoulou, and Dimitrios Vassilopoulos. 2024. "Renal Vein Thrombosis Secondary to Pyelonephritis: Targeting a Thrombo-Inflammatory Entity" Clinics and Practice 14, no. 3: 1110-1122. https://doi.org/10.3390/clinpract14030088
APA StyleKounatidis, D., Papadimitropoulos, V., Vallianou, N., Poulaki, A., Dimitriou, K., Tsiara, I., Avramidis, K., Alexopoulou, A., & Vassilopoulos, D. (2024). Renal Vein Thrombosis Secondary to Pyelonephritis: Targeting a Thrombo-Inflammatory Entity. Clinics and Practice, 14(3), 1110-1122. https://doi.org/10.3390/clinpract14030088

