Vestibular Loss in Children Affected by LVAS and IP2 Malformation and Operated with Cochlear Implant
Abstract
:1. Introduction
2. Materials and Methods
2.1. Patients
2.2. Method
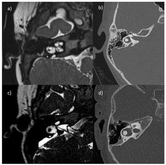
2.2.1. Radiological Exam
2.2.2. Radiological Exam
2.2.3. Vestibular Investigation
- Head impulse test (HIT): HIT tests the integrity of the angular vestibular ocular reflex (aVOR) in stabilizing the gaze during passive jerk head rotations in the latera plan. After locking the child’s attention on a fixation point, the operator observed the child´s gaze during repetitive jerk head rotations. Visible gaze refixations could be reproduced in rotations towards the ear affected by VL. HIT was defined pathological (indicative of VL) when gaze refixations could be reproduced in at least three head turns on the same side.
- Video-Head Impulse Test (vHIT): it is a video-assisted version of the HIT in which the VOR deficit could be quantified in terms of eye/head velocity gain during head jerk rotations under visual fixation in the lateral plan. Using the Synapsys Video Head Impulse Test Unit (Ulmer version 2), a VL was defined when the gain, calculated on at least 3 rotations per side, resulted lower than 0.7 [19].
- The caloric test was conducted according to a modified mini ice-water test technique [20]. VL was defined by the absence of a caloric nystagmus in response to a minimal ice-water ear irrigation (ear canal filled with water at 6–10 °C, for 10 s); caloric nystagmus was defined as two cluster of 3 or more nystagmus beats toward the not irrigated side at videooculoscopy, separated by a short visual fixation interval.
- Cervical Vestibular evoked myogenic potentials (cVEMP): The VEMP was evoked by mastoid bone conducted stimulation. Stimuli were delivered with a Radioear SR71 transducer, 500 Hz tone burst at 50 dB HL (125 dB Pe SPL) and responses recorded at the ipsilateral sternocleidomastoideus with surface electromyography (EMG), by a Interacustic eClipse Averager. One hundred and twenty sweeps were collected for each recording, in the condition of muscle activity steadily maintained between 50–400 μVolts and obtained by the head rotated to the opposite side. A VEMP response was identified as a short latency positive–negative EMG deflection, with a positive peak at 11–17 ms and a negative peak at 19–25 ms after stimuli. The amplitude in μVolts was corrected for background EMG (scaled amplitude), given the linear association between the two. The responses were identified morphologically, based on two principles: the presence of an identifiable P-N deflection and, in case of noisy recordings, a least scaled amplitude of 0.18, according to our previous study [21]. Finally, the absence of identifiable VEMP responses in three consecutive trials was taken as a marker of VL.
2.3. Data Analysis
- (1)
- To ascertain whether the vestibular loss in ears affected by LVAS and operated with CI had a different prevalence than in LVAS affected, but not operated, ears.
- (2)
- To define possible clinical characteristics affecting the incidence of vestibular loss in CI operated vs not operated ears.
Statistical Analysis
3. Results
3.1. Clinical Characteristics
3.2. Vestibular Testing
3.2.1. Compliance and Test Concordance
3.2.2. VL and CI
3.2.3. Clinical Characteristics in Operated and Non-Operated Ears
4. Discussion
5. Conclusions
6. Limitations
Author Contributions
Funding
Institutional Review Board Statement
Informed Consent Statement
Data Availability Statement
Acknowledgments
Conflicts of Interest
References
- Zagolski, O. Vestibular system in infants with hereditary nonsyndromic deafness. Otol. Neurotol. 2007, 28, 1053–1055. [Google Scholar] [CrossRef]
- Tribukait, A.; Brantberg, K.; Bergenius, J. Function of semicircular canals, utricles and saccules in deaf children. Acta Oto-Laryngol. 2004, 124, 41–48. [Google Scholar] [CrossRef] [PubMed]
- Verbecque, E.; Marijnissen, T.; De Belder, N.; Van Rompaey, V.; Boudewyns, A.; Van de Heyning, P.; Vereeck, L.; Hallemans, A. Vestibular (dys)function in children with sensorineural hearing loss: A systematic review. Int. J. Audiol. 2017, 56, 361–381. [Google Scholar] [CrossRef] [PubMed]
- Rajendran, V.; Roy, F.G.; Jeevanantham, D. Postural control, motor skills, and health-related quality of life in children with hearing impairment: A systematic review. Eur. Arch. Oto-Rhino-Laryngol. 2012, 269, 1063–1071. [Google Scholar] [CrossRef]
- Sennaroglu, L.; Saatci, I. A new classification for cochleovestibular malformations. Laryngoscope 2002, 112, 2230–2241. [Google Scholar] [CrossRef] [PubMed]
- Mukerji, S.S.; Parmar, H.A.; Ibrahim, M.; Mukherji, S.K. Congenital malformations of the temporal bone. Neuroimaging Clin. N. Am. 2011, 21, 603–619. [Google Scholar] [CrossRef] [PubMed]
- Zalewski, C.K.; Chien, W.W.; King, K.A.; Muskett, J.A.; Baron, R.E.; Butman, J.A.; Griffith, A.J.; Brewer, C.C. Vestibular Dysfunction in Patients with Enlarged Vestibular Aqueduct. Otolaryngol.—Head Neck Surg. 2015, 153, 257–262. [Google Scholar] [CrossRef]
- Mori, T.; Westerberg, B.D.; Atashband, S.; Kozak, F.K. Natural history of hearing loss in children with enlarged vestibular aqueduct syndrome. J. Otolaryngol.—Head Neck Surg. 2008, 37, 112–118. [Google Scholar]
- Cushing, S.L.; Papsin, B.C.; Rutka, J.A.; James, A.L.; Gordon, K.A. Evidence of vestibular and balance dysfunction in children with profound sensorineural hearing loss using cochlear implants. Laryngoscope 2008, 118, 1814–1823. [Google Scholar] [CrossRef] [PubMed]
- Cushing, S.L.; Gordon, K.A.; Rutka, J.A.; James, A.L.; Papsin, B.C. Vestibular end-organ dysfunction in children with sensorineural hearing loss and cochlear implants: An expanded cohort and etiologic assessment. Otol. Neurotol. 2013, 34, 422–428. [Google Scholar] [CrossRef]
- Kimura, Y.; Masuda, T.; Kaga, K. Vestibular Function and Gross Motor Development in 195 Children with Congenital Hearing Loss-Assessment of Inner Ear Malformations. Otol. Neurotol. 2018, 39, 196–205. [Google Scholar] [CrossRef]
- Kaga, K.; Kimura, Y.; Minami, S. Development of vestibular ocular reflex and gross motor function in infants with common cavity deformity as a type of inner ear malformation. Acta Oto-Laryngol. 2019, 139, 361–366. [Google Scholar] [CrossRef] [PubMed]
- Jacot, E.; Van Den Abbeele, T.; Debre, H.R.; Wiener-Vacher, S.R. Vestibular impairments pre- and post-cochlear implant in children. Int. J. Pediatr. Otorhinolaryngol. 2009, 73, 209–217. [Google Scholar] [CrossRef] [PubMed]
- De Kegel, A.; Maes, L.; Van Waelvelde, H.; Dhooge, I. Examining the impact of cochlear implantation on the early gross motor development of children with a hearing loss. Ear Hear. 2015, 36, e113–e121. [Google Scholar] [CrossRef] [PubMed]
- Yong, M.; Young, E.; Lea, J.; Foggin, H.; Zaia, E.; Kozak, F.K.; Westerberg, B.D. Subjective and objective vestibular changes that occur following paediatric cochlear implantation: Systematic review and meta-analysis. J. Otolaryngol.—Head Neck Surg. 2019, 48, 22. [Google Scholar] [CrossRef]
- De Kegel, A.; Maes, L.; Baetens, T.; Dhooge, I.; Van Waelvelde, H. The influence of a vestibular dysfunction on the motor development of hearing-impaired children. Laryngoscope 2012, 122, 2837–2843. [Google Scholar] [CrossRef]
- Ajalloueyan, M.; Saeedi, M.; Sadeghi, M.; Zamiri Abdollahi, F. The effects of cochlear implantation on vestibular function in 1–4 years old children. Int. J. Pediatr. Otorhinolaryngol. 2017, 94, 100–103. [Google Scholar] [CrossRef]
- Boston, M.; Halsted, M.; Meinzen-Derr, J.; Bean, J.; Vijayasekaran, S.; Arjmand, E.; Choo, D.; Benton, C.; Greinwald, J. The large vestibular aqueduct: A new definition based on audiologic and computed tomography correlation. Otolaryngol.—Head Neck Surg. 2007, 136, 972–977. [Google Scholar] [CrossRef]
- Verrecchia, L.; Galle Barrett, K.; Karltorp, E. The feasibility, validity and reliability of a child friendly vestibular assessment in infants and children candidates to cochlear implant. Int. J. Pediatr. Otorhinolaryngol. 2020, 135, 110093. [Google Scholar] [CrossRef]
- Wiener-Vacher, S.R.; Wiener, S.I. Video Head Impulse Tests with a Remote Camera System: Normative Values of Semicircular Canal Vestibulo-Ocular Reflex Gain in Infants and Children. Front. Neurol. 2017, 8, 434. [Google Scholar] [CrossRef]
- Shinjo, Y.; Jin, Y.; Kaga, K. Assessment of vestibular function of infants and children with congenital and acquired deafness using the ice-water caloric test, rotational chair test and vestibular-evoked myogenic potential recording. Acta Oto-Laryngol. 2007, 127, 736–747. [Google Scholar] [CrossRef] [PubMed]
- Verrecchia, L.; Karpeta, N.; Westin, M.; Johansson, A.; Aldenklint, S.; Brantberg, K.; Duan, M. Methodological aspects of testing vestibular evoked myogenic potentials in infants at universal hearing screening program. Sci. Rep. 2019, 9, 17225. [Google Scholar] [CrossRef] [PubMed]
- Janky, K.L.; Thomas, M.; Patterson, J.; Givens, D. Using Functional Outcomes to Predict Vestibular Loss in Children. Otol. Neurotol. 2022, 43, 352–358. [Google Scholar] [CrossRef]
- Ciodaro, F.; Freni, F.; Alberti, G.; Forelli, M.; Gazia, F.; Bruno, R.; Sherdell, E.P.; Galletti, B.; Galletti, F. Application of Cervical Vestibular-Evoked Myogenic Potentials in Adults with Moderate to Profound Sensorineural Hearing Loss: A Preliminary Study. Int. Arch. Otorhinolaryngol. 2020, 24, e5–e10. [Google Scholar] [CrossRef] [PubMed]
- Yang, C.J.; Lavender, V.; Meinzen-Derr, J.K.; Cohen, A.P.; Youssif, M.; Castiglione, M.; Manickam, V.; Bachmann, K.R.; Greinwald, J.H. Vestibular pathology in children with enlarged vestibular aqueduct. Laryngoscope 2016, 126, 2344–2350. [Google Scholar] [CrossRef]
- Zhou, Y.J.; Wu, Y.Z.; Cong, N.; Yu, J.; Gu, J.; Wang, J.; Chi, F.L. Contrasting results of tests of peripheral vestibular function in patients with bilateral large vestibular aqueduct syndrome. Clin. Neurophysiol. 2017, 128, 1513–1518. [Google Scholar] [CrossRef]
- Wang, R.; Chao, X.; Luo, J.; Zhang, D.; Xu, J.; Liu, X.; Fan, Z.; Wang, H.; Xu, L. Objective vestibular function changes in children following cochlear implantation. J. Vestib. Res. 2022, 32, 29–37. [Google Scholar] [CrossRef]
- Singh, A.; Heet, H.; Guggenheim, D.S.; Lim, M.; Garg, B.; Bao, M.; Smith, S.L.; Garrison, D.; Raynor, E.M.; Lee, J.W.; et al. A Systematic Review on the Association between Vestibular Dysfunction and Balance Performance in Children with Hearing Loss. Ear Hear. 2021, 43, 712–721. [Google Scholar] [CrossRef]
- Lai, C.C.; Shiao, A.S. Chronological changes of hearing in pediatric patients with large vestibular aqueduct syndrome. Laryngoscope 2004, 114, 832–838. [Google Scholar] [CrossRef]

| Subject Factors | Disease Factors | Surgical Factors | |||||||||||
|---|---|---|---|---|---|---|---|---|---|---|---|---|---|
| # | Age at Testing | Sex | SLC26A4 | LVAS | IP2 | Other | Op. Side | Age I CI | Age II CI | Access | Gusher | Electrode | Vertigo |
| 1 | 18.6 | ♂ | 1 | 1 | 1 | 0 | right | 2.2 | C | 1 | Lateral | 0 | |
| left | 6.3 | C | 0 | Lateral | 0 | ||||||||
| 2 | 11.8 | ♂ | 1 | 1 | 1 | 0 | right | 2.5 | C | 1 | Lateral | 0 | |
| left | 2.0 | Rw | 1 | Lateral | 0 | ||||||||
| 3 | 4.3 | ♀ | 1 | 1 | 1 | 1 | right | 3.8 | Rw | 1 | Peri | 0 | |
| left | 3.1 | Rw | NR | Lateral | 0 | ||||||||
| 4 | 6.9 | ♀ | 0 | 1 | 0 | NR | - | - | - | - | - | ||
| left | 4.7 | Rw | 0 | Lateral | 0 | ||||||||
| 5 | 12.1 | ♀ | 1 | 1 | 1 | 0 | right | 2.3 | C | NR | Lateral | NR | |
| left | 1.9 | Rw | NR | Lateral | NR | ||||||||
| 6 | 14.3 | ♂ | 1 | 1 | 1 | 0 | right | 2.5 | C | 1 | Lateral | 0 | |
| left | 11 | Rw | NR | Lateral | 1 | ||||||||
| 7 | 2.2 | ♀ | 1 | 1 | 1 | 1 | right | 1.0 | Rw | 1 | Lateral | 0 | |
| - | - | - | - | - | |||||||||
| 8 | 8.7 | ♂ | 1 | 1 | 1 | 0 | right | 1.4 | Rw | 1 | Lateral | 0 | |
| left | 0.8 | Rw | 1 | Lateral | 0 | ||||||||
| 9 | 15.3 | ♀ | 1 | 1 | 1 | 0 | right | 2.4 | C | 1 | Lateral | 0 | |
| left | 3.6 | C | 0 | Lateral | 0 | ||||||||
| 10 | 9.4 | ♀ | 0 | 1 | 1 | 0 | right | 5.2 | Rw | 0 | Lateral | 0 | |
| - | - | - | - | - | |||||||||
| 11 | 22.9 | ♂ | 1 | 1 | 1 | 0 | right | 3.8 | C | 1 | Lateral | 1 | |
| - | - | - | - | - | |||||||||
| 12 | 2.8 | ♂ | 0 | 1 | 0 | 1 | right | 2.2 | Rw | 0 | Lateral | 0 | |
| left | 1.1 | Rw | NR | Lateral | - | ||||||||
| 13 | 15.3 | ♀ | NR | 1 | 1 | 0 | right | 5.1 | Rw | NR | Lateral | 0 | |
| left | 13.3 | Rw | NR | Lateral | 1 | ||||||||
| 14 | 6.1 | ♀ | NR | 1 | 1 | 0 | right | 0.8 | Rw | NR | Lateral | 0 | |
| left | 1.5 | Rw | NR | Lateral | 0 | ||||||||
| 15 | 10.9 | ♀ | 1 | 1 | 1 | 0 | right | 8.3 | Rw | 1 | Lateral | 0 | |
| left | 6.1 | Rw | 1 | Lateral | 0 | ||||||||
| 16 | 3.1 | ♀ | 1 | 1 | 1 | 0 | right | 0.4 | Rw | 1 | Lateral | 0 | |
| left | 0.7 | Rw | 1 | Lateral | 0 | ||||||||
| 17 | 10.2 | ♂ | 1 | 1 | 1 | 0 | - | - | - | - | - | ||
| left | 7.5 | C | 0 | NR | 0 | ||||||||
| 18 | 10.8 | ♂ | 1 | 1 | 1 | 0 | right | 1.8 | NR | NR | Peri | NR | |
| left | 10.7 | C | 0 | Peri | 0 | ||||||||
| 19 | 11.9 | ♂ | 1 | 1 | 1 | NR | - | - | - | - | - | ||
| left | 5.8 | C | 1 | Lateral | 0 | ||||||||
| 20 | 4.4 | ♂ | 1 | 1 | 1 | 0 | right | 1.6 | Rw | 1 | Lateral | 0 | |
| left | 1.9 | Rw | 0 | Lateral | 0 | ||||||||
| 21 | 7.8 | ♂ | 1 | 1 | 1 | 0 | - | - | - | - | - | ||
| left | 4.9 | Rw | 1 | Lateral | 0 | ||||||||
| 22 | 3.9 | ♀ | NR | 1 | 1 | 0 | - | - | - | - | - | ||
| left | 3.3 | Rw | 1 | Lateral | - | ||||||||
| 23 | 1.8 | ♂ | NR | 1 | 1 | 1 | right | 1.2 | Rw | 1 | Peri | 0 | |
| left | 0.9 | Rw | NR | Peri | 0 | ||||||||
| 24 | 25.2 | ♀ | 1 | 1 | 1 | 0 | right | 2.2 | C | 1 | NR | 0 | |
| left | - | - | NR | - | |||||||||
| 25 | 13.0 | ♀ | 0 | 1 | 1 | 1 | right | 12.6 | Rw | NR | Peri | 1 | |
| - | - | - | - | - | |||||||||
| 26 | 6.3 | ♂ | 0 | left | 0 | 0 | - | - | - | - | - | ||
| left | 1.1 | Rw | 0 | Lateral | 0 | ||||||||
| 27 | 6.4 | ♀ | 0 | 1 | 1 | NR | right | 5.8 | Rw | NR | Lateral | 0 | |
| - | - | NR | Lateral | - | |||||||||
| Sum | 9.8(6.1) | ♀ 14 ♂ 13 | 17/23 | 26.5 †/27 | 24/27 | 5/24 | L22 R20 | 1.9 (1.6) | 4.7 (4.1) | Rw 29 C 41 | 20/29 | Lat 36 Peri 41 | 4/37 |
| # Subject | Side | Non-Operated Ears | Operated Ears | ||||||||
|---|---|---|---|---|---|---|---|---|---|---|---|
| HIT | vHIT | Caloric | VEMP | Vest | HIT | vHIT | Caloric | VEMP | Vest | ||
| 1 | right | - | - | - | - | - | 1 | 1 | 1 | 1 | 1 |
| left | - | - | - | - | - | 1 | 1 | 1 | NC | 1 | |
| 2 | right | - | - | - | - | - | 1 | 1 | 1 | 1 | 1 |
| left | - | - | - | - | - | 1 | 1 | 1 | 1 | 1 | |
| 3 | right | 1 | 1 | 1 | 1 | 1 | 1 | 1 | 1 | 1 | 1 |
| left | 1 | 1 | 1 | 1 | 1 | 1 | 1 | 1 | 1 | 1 | |
| 4 | right | 1 | NC | NC | NC | 1 | - | - | - | - | - |
| left | 1 | NC | NC | NC | 1 | 1 | 1 | 1 | 1 | 1 | |
| 5 | right | - | - | - | - | - | 1 | 1 | 0 | 1 | 1 |
| left | - | - | - | - | - | 1 | 1 | 1 | 1 | 1 | |
| 6 | right | - | - | - | - | - | 1 | 1 | 1 | 1 | 1 |
| left | - | - | - | - | - | 1 | 1 | 1 | 1 | 1 | |
| 7 | right | - | - | - | - | - | 1 | 1 | 1 | NC | 1 |
| left | 1 | 1 | NC | NC | 1 | - | - | - | - | - | |
| 8 | right | - | - | - | - | - | 1 | 1 | 1 | 1 | 1 |
| left | - | - | - | - | - | 1 | 0 | 0 | 0 | 0 | |
| 9 | right | - | - | - | - | - | 1 | 1 | 1 | 1 | 1 |
| left | - | - | - | - | - | 1 | 1 | 1 | 0 | 1 | |
| 10 | right | - | - | - | - | - | 1 | 1 | 1 | 1 | 1 |
| left | 1 | 1 | 1 | 1 | 1 | - | - | - | - | - | |
| 11 | right | - | - | - | - | - | 0 | 0 | 0 | 1 | 1 |
| left | 1 | 1 | 1 | 1 | 1 | - | - | - | - | - | |
| 12 | right | 0 | 1 | 1 | 1 | 1 | 1 | 1 | NC | NC | 1 |
| left | 0 | 1 | 0 | 1 | 1 | NC | 0 | NC | 0 | 0 | |
| 13 | right | - | - | - | - | - | 1 | 1 | 1 | 1 | 1 |
| left | - | - | - | - | - | 1 | 1 | 1 | 1 | 1 | |
| 14 | right | - | - | - | - | - | 1 | 1 | 1 | 1 | 1 |
| left | - | - | - | - | - | 0 | 0 | 0 | 0 | 0 | |
| 15 | right | - | - | - | - | - | 1 | 1 | 1 | 1 | 1 |
| left | - | - | - | - | - | 1 | 1 | 1 | 1 | 1 | |
| 16 | right | - | - | - | - | - | 0 | NC | 0 | NC | 0 |
| left | - | - | - | - | - | 1 | 1 | 1 | NC | 1 | |
| 17 | right | 1 | 1 | 1 | 1 | 1 | |||||
| left | - | - | - | - | - | 0 | 0 | 0 | 0 | 0 | |
| 18 | right | - | - | - | - | - | 1 | 1 | NC | NC | 1 |
| left | - | - | - | - | - | 1 | 1 | NC | NC | 1 | |
| 19 | right | 1 | 1 | NC | NC | 1 | - | - | - | - | - |
| left | - | - | - | - | - | 1 | 1 | NC | NC | 1 | |
| 20 | right | 1 | NC | NC | 1 | 1 | 1 | 1 | 1 | 1 | 1 |
| left | 1 | NC | NC | 1 | 1 | 1 | 1 | 1 | 1 | 1 | |
| 21 | right | 1 | 1 | 1 | 1 | 1 | - | - | - | - | - |
| left | 0 | 0 | NC | NC | 0 | 1 | NC | 1 | 1 | 1 | |
| 22 | right | 1 | 1 | NC | 1 | 1 | - | - | - | - | - |
| left | 1 | 1 | NC | NC | 1 | 1 | 1 | NC | 1 | 1 | |
| 23 | right | - | - | - | - | - | 0 | 0 | 0 | 0 | 0 |
| left | - | - | - | - | - | 0 | 0 | 0 | 0 | 0 | |
| 24 | right | - | - | - | - | - | 1 | 1 | 0 | 0 | 1 |
| left | 0 | 0 | 0 | 0 | 0 | - | - | - | - | - | |
| 25 | right | - | - | - | - | - | 0 | 0 | 0 | NC | 0 |
| left | 1 | 1 | 1 | NC | 1 | - | - | - | - | - | |
| 26 | right | 0 | 0 | 0 | 0 | 0 | - | - | - | - | - |
| left | - | - | - | - | - | 1 | 1 | 1 | 1 | 1 | |
| 27 | right | 1 | 1 | NC | 1 | 1 | 1 | 1 | 1 | 1 | 1 |
| left | 1 | 1 | NC | 1 | 1 | - | - | - | - | - | |
| Non-Operated Ears | Operated Ears | Mann–Whitney (p Value) | ||
|---|---|---|---|---|
| vHIT | GAIN | 0.89 (0.11) | 0.84 (0.32) | 271 (p = 0.134) |
| VEMP | Corr. amplitude | 0.52 (0.60) | 0.26 (0.26) | 182 (p = 0.143) |
| P1 latency (ms) | 14.2 (1.1) | 13.5 (1.4) | 103 (p = 0.069) | |
| N1 latency (ms) | 21.5 (2.2) | 22.4 (2.0) | 112 (p = 0.119) | |
| vHIT | VEMP | |||
|---|---|---|---|---|
| Ears | gain | Corr. amplitude | ||
| Non-operated | 0.84 (0.32) | 0.27 (0.27) | ||
| Operated | 0.89 (0.11) | 0.52 (0.60) | ||
| Operated ears: | ||||
| SLC26A4 | Positive | 0.93 (0.23) | 0.31 (0.30) | |
| Negative | 0.80 (0.34) | 0.26 (0.24) | ||
| Anomalies | Present | 0.63 (0.43) | 0.13 (0.19) | |
| Absent | 0.93 (0.22) | 0.28 (0.27) | ||
| Access | Round w. | 0.86 (0.29) | 0.28 (0.26) | |
| Cochleost. | 0.90 (0.30) | 0.23 (0.28) | ||
| Gusher | Negative | 0.94 (0.16) | 0.14 (0.12) | |
| Positive | 0.88 (0.35) | 0.30 (0.28) | ||
| Electrode | Lateral wall | 0.98 (0.15) | ] * | 0.28 (0.25) |
| Perimodiolar | 0.73 (0.40) | 0.10 (0.09) | ||
| Postop | Vertigo | 0.54 (0.56) | 0.29 (0.08) | |
| No vertigo | 0.90 (0.24) | 0.25 (0.29) | ||
Disclaimer/Publisher’s Note: The statements, opinions and data contained in all publications are solely those of the individual author(s) and contributor(s) and not of MDPI and/or the editor(s). MDPI and/or the editor(s) disclaim responsibility for any injury to people or property resulting from any ideas, methods, instructions or products referred to in the content. |
© 2023 by the authors. Licensee MDPI, Basel, Switzerland. This article is an open access article distributed under the terms and conditions of the Creative Commons Attribution (CC BY) license (https://creativecommons.org/licenses/by/4.0/).
Share and Cite
Bonnard, Å.; Karltorp, E.; Verrecchia, L. Vestibular Loss in Children Affected by LVAS and IP2 Malformation and Operated with Cochlear Implant. Audiol. Res. 2023, 13, 130-142. https://doi.org/10.3390/audiolres13010013
Bonnard Å, Karltorp E, Verrecchia L. Vestibular Loss in Children Affected by LVAS and IP2 Malformation and Operated with Cochlear Implant. Audiology Research. 2023; 13(1):130-142. https://doi.org/10.3390/audiolres13010013
Chicago/Turabian StyleBonnard, Åsa, Eva Karltorp, and Luca Verrecchia. 2023. "Vestibular Loss in Children Affected by LVAS and IP2 Malformation and Operated with Cochlear Implant" Audiology Research 13, no. 1: 130-142. https://doi.org/10.3390/audiolres13010013
APA StyleBonnard, Å., Karltorp, E., & Verrecchia, L. (2023). Vestibular Loss in Children Affected by LVAS and IP2 Malformation and Operated with Cochlear Implant. Audiology Research, 13(1), 130-142. https://doi.org/10.3390/audiolres13010013

