Abstract
The operative management of complex abdominal wall hernias in nonagenarians entails significant risk, with emergent repair associated with mortality rates approaching 40%. We report the case of a functionally independent 90-year-old male presenting with a 48 h history of abdominal pain, obstipation, and emesis, consistent with an acute-on-chronic incarcerated ventral hernia. Despite advanced age and elevated perioperative risk, multidisciplinary evaluation supported surgical intervention. Laparotomy revealed a 22 × 18 cm hernia sac harboring an elongated sigmoid and approximately 150 cm of small intestine with signs of compromised perfusion secondary to an internal constriction band. Following adhesiolysis and decompression, bowel viability was restored, and a mesh repair was performed. The postoperative course was notable for transient respiratory failure necessitating reintubation and ICU management; however, full recovery was achieved by one-month follow-up. This case demonstrates that comprehensive assessment, rather than chronological age, should guide operative decision-making in nonagenarians and underscores the feasibility of complex abdominal wall reconstruction in this cohort when supported by multidisciplinary care and perioperative resources.
1. Introduction
Global aging trends project a threefold increase in the population aged ≥80 years, reaching an estimated 426 million by 2050 [1]. As a result, surgeons are increasingly encountering nonagenarians requiring complex abdominal wall reconstruction, including repair of giant ventral hernias [2,3]. Advances in perioperative management, imaging modalities, and collaborative care models have expanded the scope of safe operative intervention in this population [4].
Recent data indicate that carefully selected elderly patients can achieve favorable surgical outcomes. Elective surgical intervention, in particular, yields significantly lower 30-day mortality compared to emergent procedures among nonagenarians (6.6% vs. 39.3%) [5]. Similar trends have been observed in colorectal surgery and vascular procedures [6,7].
Despite these advancements, a substantial knowledge gap persists regarding the optimal management of giant incarcerated ventral hernias in nonagenarians. These cases pose unique challenges including loss of domain, extensive adhesions, and adaptive mechanisms for chronic symptoms, all of which complicate surgical decision-making [8,9,10]. Current literature lacks clear guidance on patient selection criteria, operative techniques, and perioperative management protocols specific to this high-risk population. This case report aims to address these gaps by documenting a successful multidisciplinary approach to managing an incarcerated giant chronic incisional hernia in a 90-year-old patient.
2. Case Report
A 90-year-old cognitively intact male with a 20-year history of a chronic incisional ventral hernia originating from a prior trocar site after robotic prostatectomy. The patient maintained a high degree of functional independence, attending exercise sessions and social activities thrice weekly, was independent in all activities of daily living, and required minimal caregiver support. His Frailty Index was 0.25 (“prefrail”), ASA class III, with a background of chronic obstructive pulmonary disease (100 pack-years) but without recent exacerbations or supplemental oxygen use.
The patient presented with a 48 h history of progressive abdominal pain, constipation, and vomiting. Physical examination revealed a massive ventral hernia (approximately 22 × 18 cm) extending 4.5 cm lateral to the rectus muscle and traversing the semilunar line in an oblique caudal-to-rostral direction toward the spine, with attenuated overlying skin (Figure 1, Figure 2 and Figure 3). A ‘squash sign’, was detected, indicating the presence of fluid-filled, obstructed bowel within the hernia sac. Initial management involved the placement of a nasogastric tube and urinary catheterization for decompression, resulting in the evacuation of 1 L of coffee-ground and bilious gastric contents and 300 mL of urine. Laboratory tests were largely unremarkable, except for mild acidemia. Radiographic imaging revealed multiple air-fluid levels indicative of bowel obstruction. Computed tomography confirmed mechanical obstruction with alarming signs of bowel hypoperfusion and evidence of internal compartmentalization within the hernia sac.
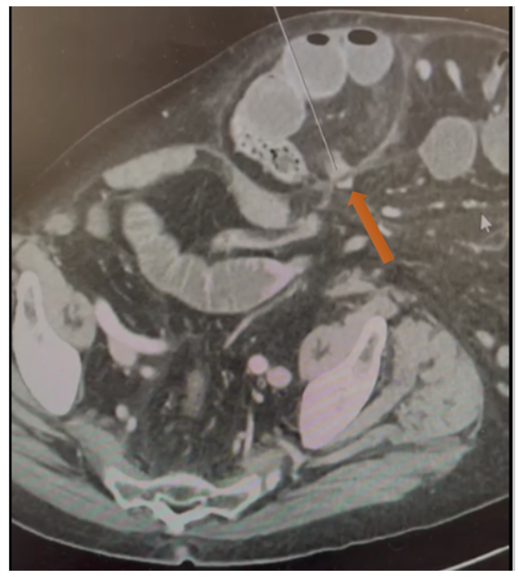
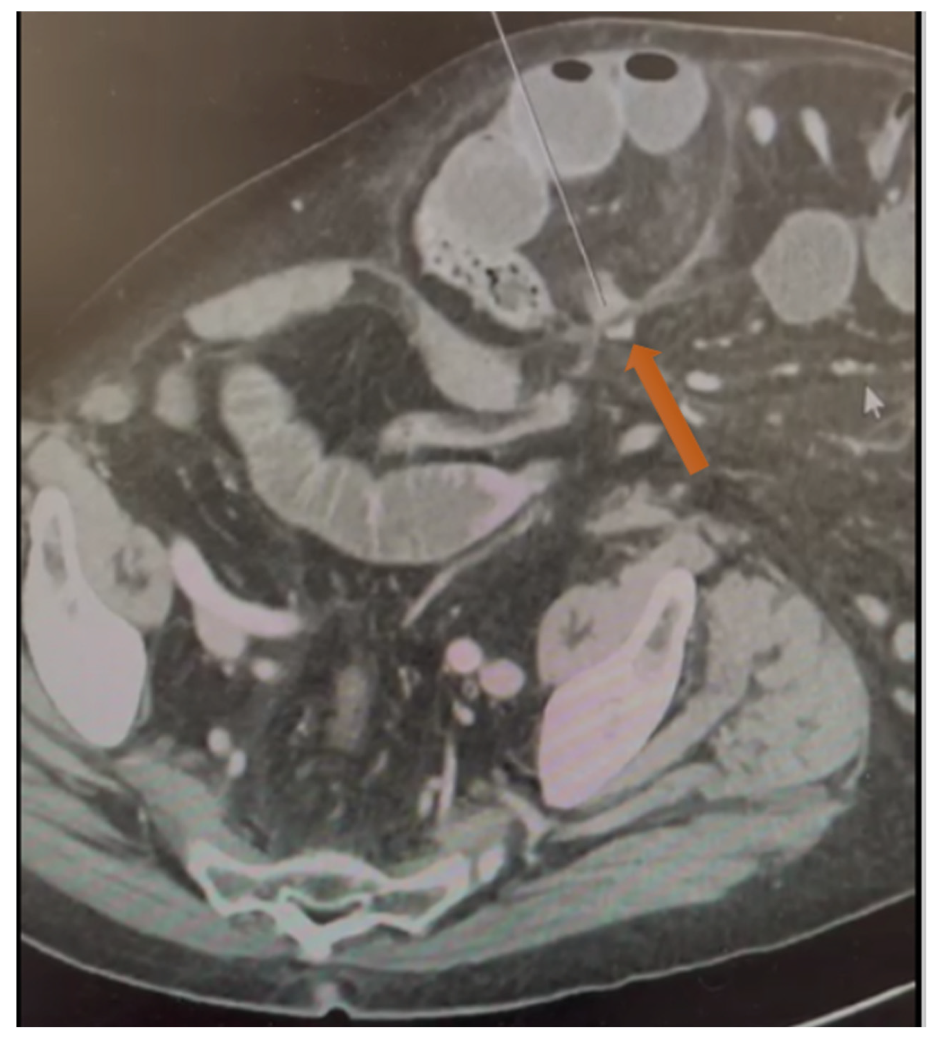
Figure 1.
Axial CT scan showing the neck of the hernia defect in the lateral abdominal wall at the level of the iliac spine see the orange arrow indicates the neck of the hernia.
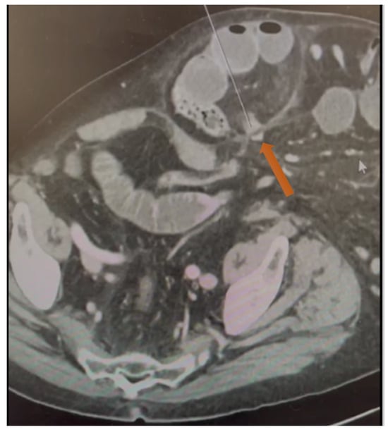
Figure 2.
Axial CT scan demonstrating intrasaccular septation (see the orange arrow) that explains the internal compartmentalization and strangulation within this chronic irreducible incisional hernia.
Figure 3.
Clinical photograph of the external appearance of the hernial sac with attenuated overlying skin.
A multidisciplinary team, including an abdominal wall reconstruction surgeon, a senior radiologist, an anesthesiologist, and an intensivist, recommended operative repair based on the patient’s preserved physiological reserve and personal preference.
2.1. Operative Approach
Following adequate fluid resuscitation, open repair was performed under general anesthesia. The choice of general anesthesia over regional techniques was carefully considered. Recent evidence demonstrates that regional anesthesia in nonagenarians results in lower cardiac complications (3.6% vs. 10.8%) and pulmonary complications (14.4% vs. 23%) compared to general anesthesia [11,12,13]. However, our decision was influenced by several factors: the anticipated need for extensive bowel manipulation, potential for prolonged operative time exceeding 2 h (associated with 33.4% pulmonary complication rate under GA) [13,14], and requirement for complete muscle relaxation to prevent bowel injury during reduction. While neuraxial techniques have shown lower 30-day mortality in elderly emergency surgery [14,15], the complex nature of this repair with potential need for bowel resection favored general anesthesia for optimal surgical conditions. However, as suggested by recent studies [15], preoperative frailty assessment should inform anesthetic choices [16,17,18], and we acknowledge that a combined approach with epidural analgesia supplementing light general anesthesia might have offered respiratory advantages. Key operative findings and management are detailed in Table 1 (Figure 4, Figure 5, Figure 6, Figure 7 and Figure 8).
Table 1.
Operative findings and surgical management.
Figure 4.
Alternative perspective of the hernia demonstrating its size and anatomical relationship to surrounding structures.
Figure 5.
Intraoperative image showing the septation (see the orange-black arrow) dividing the hernia sac into two compartments after initial incision.
Figure 6.
Surgical technique preserving the hernia sac after opening and enlarging the neck to improve bowel perfusion.
Figure 7.
Placement of the IPOM dual mesh adhered to the abdominal wall after primary hernia closure, achieving a 5 cm lateral overlap without requiring extensive incisions.
Figure 8.
Final surgical result after successful salvage of the ischemic bowel, tension-free hernia repair, and resection of attenuated overlying skin.
A hybrid open–laparoscopic technique was selected based on intraoperative findings and patient-specific considerations. Following open reduction in the compromised bowel and primary fascial closure, pneumoperitoneum was established to facilitate mesh placement. This approach conferred several advantages:
Exact positioning of the Intraperitoneal Onlay Mesh with minimal soft-tissue trauma, critical for limiting wound morbidity in the context of diminished pulmonary reserve. Adequate circumferential mesh overlap (7 cm) without wide lateral release decreases seroma and infection risk. Reduced operative duration relative to component separation or retrorectus placement. Dynamic intra-abdominal pressure assessment during mesh deployment, ensuring postoperative abdominal domain restoration without precipitating compartment syndrome. This tailored approach aligns with recent literature suggesting that hybrid techniques may offer particular advantages in high-risk patients by combining the benefits of both open and minimally invasive approaches [18].
2.2. Postoperative Course
The 2.5 h procedure was completed with stable hemodynamics, adequate ventilation, and no vasopressor requirement. Extubation was achieved after a 40 min T-piece trial, with preserved motor function. Within 12 h, the patient developed respiratory deterioration requiring continuous positive airway pressure (CPAP) support. On postoperative day 4, pneumonia developed, with an APACHE II score of 16 (corresponding to a predicted mortality of ~25% for his age group) and a SOFA score of 6, indicating moderate organ dysfunction. Importantly, these values remained below the thresholds commonly associated with poor outcomes in nonagenarians (APACHE II > 24 and SOFA > 10, which correlate with mortality >70%). Clinical decline necessitated ICU admission and reintubation. The ICU strategy included thrice-daily physiotherapy incorporating incentive spirometry, broad-spectrum antimicrobial therapy, and structured CPAP trials. CT excluded intra-abdominal sepsis. Intra-abdominal pressures remained stable between 7 and 10 mmHg, confirming the absence of abdominal compartment syndrome despite ongoing respiratory compromise.
Following extubation, the patient completed a five-day inpatient rehabilitation program before being discharged with 24 h home support. At one-month follow-up, he arrived independently in a wheelchair, transferred to the examination table without assistance, exhibited no exertional dyspnea, and demonstrated full cognitive function. There was no clinical evidence of hernia recurrence, and abdominal wall integrity was maintained, indicating successful restoration of both respiratory capacity and structural repair despite the significant pulmonary complication.
3. Discussion
The successful management of giant incisional hernias in nonagenarians represents a growing surgical challenge as the global population ages. Our case demonstrates that careful patient selection and methodical surgical approach can achieve favorable outcomes despite the traditionally high risks associated with emergency surgery in this age group. Recent studies report 30-day mortality rates of 39.3% for emergency procedures in nonagenarians, making our successful outcome particularly noteworthy [5].
Our approach deviated from the traditional paradigm of immediate exploration in the setting of acute hernia exacerbation. Instead, we adopted a staged evaluation incorporating thorough history-taking, physical examination, advanced imaging, and targeted preoperative optimization. This approach aligns with recent literature suggesting that preoperative optimization, even in urgent cases, can improve outcomes in elderly patients [6]. A 2023 meta-analysis of 1845 elderly patients demonstrated that even limited preoperative optimization of just 4–6 h reduced respiratory complications by 24% in emergency abdominal procedures [8,10]. Recent ASA guidelines (2025) emphasize comprehensive frailty screening and cognitive assessment as central to perioperative management in elderly patients [19]. Our patient’s Frailty Index of 0.25 placed him in the ‘pre-frail’ category, correlating with significantly better outcomes than frail patients (FI > 0.30) who experience 2.8-fold higher mortality [20]. The perioperative approach incorporated enhanced recovery protocols (ERAS) with multimodal analgesia including TAP blocks, aligning with current recommendations to minimize opioid use and reduce delirium risk [21]. The development of postoperative pneumonia in our patient, despite optimization efforts, aligns with reported GA complication rates of 15–23% in patients over 90 [22]. However, our structured ICU protocol incorporating thrice-daily physiotherapy and careful CPAP trials exemplifies the interdisciplinary approach advocated in current geriatric surgery guidelines [23].
The complexity of chronic hernias often obscures the clinical picture, making it difficult to distinguish between strangulation, adhesive obstruction, and internal compartment formation. We found that detailed history-taking focusing on changes from baseline symptoms was crucial for accurate diagnosis. The patient’s description of pain distinct from his usual hernia-related discomfort provided a key diagnostic clue suggesting acute complication rather than exacerbation of chronic symptoms.
Our surgical strategy focused on gradual, methodical management with continuous reassessment of intra-abdominal pressure and available space. This approach aligns with findings that staged approaches may reduce complications in high-risk elderly patients [7]. The decision to employ a hybrid approach with IPOM placement represents an adaptation of modern techniques to complex pathology, allowing intraoperative assessment of abdominal wall compliance and reducing concerns about compartment syndrome [10,11,12].
This case contributes to the growing body of evidence suggesting that comprehensive geriatric assessment and frailty scoring provide superior risk stratification compared to age-based cutoffs. A large multicenter study of 858 nonagenarians undergoing emergency surgery revealed that frailty indices more accurately predicted outcomes than chronological age, with FI < 0.30 associated with a 2.8-fold reduction in postoperative mortality regardless of age [8,10].
Long-term outcomes following complex hernia repair in nonagenarians remain encouraging when patients are appropriately selected. Current literature reports IPOM recurrence rates between 2 and 20% at 5.5 years across all age groups, with elderly patients demonstrating similar outcomes [24,25]. Specifically for nonagenarians undergoing elective hernia repair, one-year survival reaches 60% for functionally independent patients, with median survival of 29 months post-operatively [25,26]. Quality of life studies demonstrate that even the frailest elderly patients experience significant improvements following ventral hernia repair, with paradoxically greater subjective benefit reported in this cohort [27]. The durability of mesh repairs in elderly populations remains robust, with 5-year recurrence rates of 22% for biosynthetic meshes compared to 40% for all mesh types and 70% for primary suture repair [27,28]. Given our patient’s large defect size, predictors of recurrence include the hernia width, BMI, and presence of infection. However, our achievement of primary fascial closure with adequate mesh overlap (7 cm) and absence of bridging repair are favorable prognostic factors that may reduce recurrence risk to the lower end of reported ranges [19,28].
4. Conclusions
This case of successful management of an incarcerated giant chronic incisional ventral hernia in a nonagenarian demonstrates several important principles applicable to high-risk geriatric surgery. Our findings support the primacy of functional assessment over chronological age in surgical decision-making, as evidenced by the patient’s recovery despite advanced age.
The multidisciplinary approach employed throughout the perioperative journey—from initial evaluation through surgical management and postoperative care—proved essential to the successful outcome. Particularly noteworthy was the effectiveness of the hybrid surgical technique, which facilitated a controlled reduction in hernia contents while minimizing the physiological impact of repair.
The postoperative respiratory complications encountered highlight the importance of anticipating organ-specific vulnerabilities in elderly patients. Despite these challenges, the predetermined respiratory rescue protocols and intensive rehabilitation strategies facilitated complete functional recovery by one-month follow-up.
This case adds to the growing evidence that complex abdominal wall reconstruction can be successfully performed in selected nonagenarians when guided by comprehensive geriatric assessment, appropriate surgical technique selection, and robust perioperative support systems. As global demographics continue to shift toward an aging population, implementation of these principles may help optimize outcomes in this challenging patient population.
Author Contributions
Conceptualization, F.K. and N.M.; methodology, F.K.; software, M.K. and K.A.; validation, F.K., A.I. and N.Z.; formal analysis, F.K.; investigation, F.K., M.K. and K.A.; resources, F.K. and N.M.; data curation, M.K. and K.A.; writing—original draft preparation, F.K.; writing—review and editing, N.M., N.Z. and A.I.; visualization, A.I.; supervision, N.M.; project administration, F.K.; funding acquisition, none. All authors have read and agreed to the published version of the manuscript.
Funding
The authors received no specific funding for this work.
Institutional Review Board Statement
Not applicable.
Informed Consent Statement
Written informed consent was obtained from the patient for publication of this case report and accompanying images.
Data Availability Statement
The original contributions presented in this study are included in the article. Further inquiries can be directed to the corresponding author.
Conflicts of Interest
The authors declare no conflicts of interest related to this manuscript.
Abbreviations
| FI | Frailty Index |
| IAP | Intra-abdominal pressure |
| IPOM | Intraperitoneal Onlay Mesh |
| COPD | Chronic obstructive pulmonary disease |
| CPAP | Continuous positive airway pressure |
| ICU | Intensive care unit |
| CT | Computed tomography |
| TAP | Transversus abdominis plane |
References
- Roser, M.; Ortiz-Ospina, E.; Ritchie, H. Life Expectancy; Our World in Data: Oxford, UK, 2019. [Google Scholar]
- World Health Organization. Global Health Observatory Data; World Health Organization: Geneva, Switzerland, 2020. [Google Scholar]
- United Nations. World Population Ageing 2020 Highlights; United Nations: New York, NY, USA, 2020. [Google Scholar]
- Srinivasan, Y.; Briano, J.; Czaja, S.; Lachs, M.S.; Rosen, A.E.; Stewart, M.G.; Rameau, A. Elective Surgery Trends and Outcomes of Nonagenarians and Centenarians in Otolaryngology-Head and Neck Surgery: A NSQIP Study. Laryngoscope 2024, 134, 3989–3996. [Google Scholar] [CrossRef]
- Gefen, R.; Emile, S.H.; Garoufalia, Z.; Horesh, N.; Dourado, J.; Wexner, S.D. Characteristics and Role of Surgery in Nonagenarians with Colorectal Cancer: SEER Database Analysis. Surgery 2025, 181, 109161. [Google Scholar] [CrossRef]
- Ali, A.A.; Hamwi, T.; Fernandez Prendes, C.; Sikman, L.; Konstantinou, N.; Stana, J.; Tsilimparis, N. Outcomes of Nonagenarian Patients in Vascular Surgery Service in a Tertiary Institution. J. Endovasc. Ther. 2024; Online ahead of print. [Google Scholar]
- Oichi, T.; Oshima, Y.; Matsui, H.; Fushimi, K.; Tanaka, S.; Yasunaga, H. Can Elective Spine Surgery Be Performed Safely Among Nonagenarians? Analysis of a National Inpatient Database in Japan. Spine 2019, 44, E273–E281. [Google Scholar] [CrossRef]
- Rosen, M.J.; Krpata, D.M.; Ermlich, B.; Blatnik, J.A. A 5-year clinical experience with single-staged repairs of infected and contaminated abdominal wall defects utilizing biologic mesh. Ann. Surg. 2013, 257, 991–996. [Google Scholar] [CrossRef]
- Bhangu, A.; Nepogodiev, D.; Futaba, K.; West Midlands Research Collaborative. Systematic review and meta-analysis of the incidence of incisional hernia at the site of stoma closure. World J. Surg. 2012, 36, 973–983. [Google Scholar] [CrossRef]
- Petro, C.C.; Raigani, S.; Fayezizadeh, M.; Rowbottom, J.R.; Klick, J.C.; Prabhu, A.S.; Novitsky, Y.W.; Rosen, M.J. Permissive Intraperitoneal Pressure Following Complex Abdominal Wall Reconstruction. Plast. Reconstr. Surg. 2015, 136, 1324–1332. [Google Scholar] [CrossRef]
- Neuman, M.D.; Silber, J.H.; Elkassabany, N.M.; Ludwig, J.M.; Fleisher, L.A. Comparative effectiveness of regional versus general anesthesia for hip fracture surgery in adults. Anesthesiology 2012, 117, 72–92. [Google Scholar] [CrossRef]
- White, S.M.; Moppett, I.K.; Griffiths, R.; Johansen, A.; Wakeman, R.; Boulton, C.; Plant, F.; Williams, A.; Pappenheim, K.; Majeed, A.; et al. Secondary analysis of outcomes after 11,085 hip fracture operations from the prospective UK Anaesthesia Sprint Audit of Practice (ASAP-2). Anaesthesia 2016, 71, 506–514. [Google Scholar] [CrossRef]
- Huang, L.; Zhang, Y. The effect of intravenous and inhalation anesthesia in general on the cognition of el-derly patients undergoing non-cardiac surgery: A systematic review and meta-analysis. Front. Med. 2023, 10, 1280013. [Google Scholar] [CrossRef]
- Patorno, E.; Neuman, M.D.; Schneeweiss, S.; Mogun, H.; Bateman, B.T. Comparative safety of anesthetic type for hip fracture surgery in adults. BMJ 2014, 348, g4022. [Google Scholar] [CrossRef]
- Lin, H.S.; McBride, R.L.; Hubbard, R.E. Frailty and anesthesia—Risks during and post-surgery. Local Reg. Anesth. 2018, 11, 61–73. [Google Scholar] [CrossRef]
- Ecker, B.L.; Kuo, L.E.; Simmons, K.D.; Fischer, J.P.; Morris, J.B.; Kelz, R.R. Laparoscopic versus open ventral hernia repair: Longitudinal outcomes and cost analysis using statewide claims data. Surg. Endosc. 2016, 30, 906–915. [Google Scholar] [CrossRef] [PubMed]
- Meng, T.; Zhong, Z.; Meng, L. Impact of spinal anaesthesia vs. general anaesthesia on peri-operative outcome in lumbar spine surgery: A systematic review and meta-analysis of randomised, controlled trials. Anaesthesia 2017, 72, 391–401. [Google Scholar] [CrossRef] [PubMed]
- Sarakatsianou, C.; Georgopoulou, S.; Baloyiannis, I.; Chatzimichail, M.; Vretzakis, G.; Zacharoulis, D.; Tzovaras, G. Spinal versus general anesthesia for transabdominal preperitoneal (TAPP) repair of inguinal hernia: Interim analysis of a controlled randomized trial. Am. J. Surg. 2017, 214, 239–245. [Google Scholar] [CrossRef] [PubMed]
- American Society of Anesthesiologists. Practice Guidelines for Perioperative Brain Health. Anesthesiology 2025, 142, 1–24. [Google Scholar]
- Hewitt, J.; Carter, B.; McCarthy, K.; Pearce, L.; Law, J.; Wilson, F.V.; Tay, H.S.; McCormack, C.; Stechman, M.J.; Moug, S.J.; et al. Frailty predicts mortality in all emergency surgical admissions regardless of age. Age Ageing 2019, 48, 388–394. [Google Scholar] [CrossRef]
- Ljungqvist, O.; Scott, M.; Fearon, K.C. Enhanced recovery after surgery: A review. JAMA Surg. 2017, 152, 292–298. [Google Scholar]
- Griffiths, R.; Babu, S.; Dixon, P.; Freeman, N.; Hurford, D.; Kelleher, E.; Moppett, I.; Ray, D.; Sahota, O.; Shields, M.; et al. Guideline for the management of hip fractures 2020. Anaesthesia 2021, 76, 225–237. [Google Scholar] [CrossRef]
- Chow, W.B.; Rosenthal, R.A.; Merkow, R.P.; Ko, C.Y.; Esnaola, N.F.; American College of Surgeons National Surgical Quality Improvement Program; American Geriatrics Society. Optimal preoperative assessment of the geriatric surgical patient. J. Am. Coll. Surg. 2012, 215, 453–466. [Google Scholar] [CrossRef]
- Kokotovic, D.; Bisgaard, T.; Helgstrand, F. Long-term recurrence and complications associated with elective incisional hernia repair. JAMA 2016, 316, 1575–1582. [Google Scholar] [CrossRef]
- Tecos, M.E.; Kern, B.S.; Foje, N.A.; Leif, M.L.; Schmidt, M.; Steinberger, A.; Bajinting, A.; Buesing, K.L. Perioperative considerations in nonagenarians. Surg Open Sci. 2020, 2, 45–49. [Google Scholar] [CrossRef] [PubMed] [PubMed Central]
- Cherla, D.V.; Moses, M.L.; Viso, C.P.; Holihan, J.L.; Flores-Gonzalez, J.R.; Kao, L.S.; Ko, T.C.; Liang, M.K. Impact of Abdominal Wall Hernias and Repair on Patient Quality of Life. World J Surg. 2018, 42, 19–25. [Google Scholar] [CrossRef] [PubMed]
- Rosen, M.J.; Bauer, J.J.; Harmaty, M.; Carbonell, A.M.; Cobb, W.S.; Matthews, B.; Goldblatt, M.I.; Selzer, D.J.; Poulose, B.K.; Hansson, B.M.; et al. Multicenter, prospective, longitudinal study of the recurrence, surgical site infection, and quality of life after contaminated ventral hernia repair. Ann. Surg. 2017, 265, 205–211. [Google Scholar] [CrossRef]
- Holihan, J.L.; Nguyen, D.H.; Nguyen, M.T.; Mo, J.; Kao, L.S.; Liang, M.K. Mesh location in open ventral hernia repair: A systematic review and network meta-analysis. World J. Surg. 2016, 40, 89–99. [Google Scholar] [CrossRef]
Disclaimer/Publisher’s Note: The statements, opinions and data contained in all publications are solely those of the individual author(s) and contributor(s) and not of MDPI and/or the editor(s). MDPI and/or the editor(s) disclaim responsibility for any injury to people or property resulting from any ideas, methods, instructions or products referred to in the content. |
© 2025 by the authors. Licensee MDPI, Basel, Switzerland. This article is an open access article distributed under the terms and conditions of the Creative Commons Attribution (CC BY) license (https://creativecommons.org/licenses/by/4.0/).







