Laparoscopic-Assisted Percutaneous Cryoablation of Abdominal Wall Desmoid Fibromatosis: Case Series and Local Experience
Abstract
1. Introduction
2. Case Presentation
2.1. Patient Details
2.2. Procedure and Technique
2.3. Follow-Up
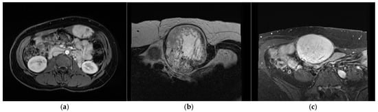
2.4. Clinical Outcomes
3. Discussion
4. Conclusions
Author Contributions
Funding
Institutional Review Board Statement
Informed Consent Statement
Data Availability Statement
Conflicts of Interest
Abbreviations
| DTs | desmoid tumors |
| PFS | progression-free survival |
| MDT | multidisciplinary tumor board |
| US | ultrasound |
| CT | computed tomography |
| CTNNB1 | beta-catenin |
| MRI | magnetic resonance imaging |
| CO2 | carbon dioxide |
| TV | tumor volume |
References
- Kasper, B.; Ströbel, P.; Hohenberger, P. Desmoid tumors: Clinical features and treatment options for advanced disease. Oncologist 2011, 16, 682–693. [Google Scholar] [CrossRef] [PubMed]
- Huss, S.; Nehles, J.; Binot, E.; Wardelmann, E.; Mittler, J.; Kleine, M.A.; Künstlinger, H.; Hartmann, W.; Hohenberger, P.; Merkelbach-Bruse, S.; et al. β-catenin (CTNNB1) mutations and clinicopathological features of mesenteric desmoid-type fibromatosis. Histopathology 2013, 62, 294–304. [Google Scholar] [CrossRef] [PubMed]
- Righetti, A.E.M.; Jacomini, C.; Parra, R.S.; de Almeida, A.L.N.R.; Rocha, J.J.R.; Féres, O. Familial adenomatous polyposis and desmoid tumors. Clinics 2011, 66, 1839–1842. [Google Scholar] [CrossRef]
- Fiore, M.; Colombo, C.; Radaelli, S.; Callegaro, D.; Palassini, E.; Barisella, M.; Morosi, C.; Baldi, G.G.; Stacchiotti, S.; Casali, P.G.; et al. Hormonal manipulation with toremifene in sporadic desmoid-type fibromatosis. Eur. J. Cancer 2015, 51, 2800–2807. [Google Scholar] [CrossRef]
- Husson, O.; Younger, E.; Dunlop, A.; Dean, L.; Strauss, D.C.; Benson, C.; Hayes, A.J.; Miah, A.; van Houdt, W.; Zaidi, S.; et al. Desmoid fibromatosis through the patients’ eyes: Time to change the focus and organisation of care? Support. Care Cancer 2019, 27, 965–980. [Google Scholar] [CrossRef]
- Francis, W.P.; Zippel, D.; Mack, L.A.; DiFrancesco, L.M.; Kurien, E.; Schachar, N.S.; Temple, W.J. Desmoids: A Revelation in Biology and Treatment. Ann. Surg. Oncol. 2009, 16, 1650–1654. [Google Scholar] [CrossRef]
- Bonvalot, S.; Cozic, N.; Le Cesne, A.; Blay, J.Y.; Penel, N.; Fau, M.; Chevreau, C.; Anract, P.; Waast, D.; Laurence, V.; et al. Initial Active Surveillance Strategy for Patients with Peripheral Sporadic Primary Desmoid-Type Fibromatosis: A Multicentric Phase II Observational Trial. Ann. Surg. Oncol. 2023, 30, 8653–8659. [Google Scholar] [CrossRef]
- Colombo, C.; Fiore, M.; Grignani, G.; Tolomeo, F.; Merlini, A.; Palassini, E.; Collini, P.; Stacchiotti, S.; Casali, P.G.; Perrone, F.; et al. A Prospective Observational Study of Active Surveillance in Primary Desmoid Fibromatosis. Clin. Cancer Res. 2022, 28, 4027–4032. [Google Scholar] [CrossRef]
- Alman, B.; Attia, S.; Baumgarten, C.; Benson, C.; Blay, J.-Y.; Bonvalot, S.; Breuing, J.; Cardona, K.; Casali, P.G.; van Coevorden, F.; et al. The management of desmoid tumours: A joint global consensus-based guideline approach for adult and paediatric patients. Eur. J. Cancer 2020, 127, 96–107. [Google Scholar] [CrossRef]
- Pencavel, T.; Strauss, D.C.; Thomas, J.M.; Hayes, A.J. The Surgical Management of Soft Tissue Tumours Arising in the Abdominal Wall. Eur. J. Surg. Oncol. 2010, 36, 489–495. [Google Scholar] [CrossRef]
- Ascari, F.; Segattini, S.; Varoli, M.; Beghi, M.; Muratori, S.; Scotto, B.; Gasperoni, M. Abdominal Wall Reconstruction for Desmoid Tumour Surgery: Case Report. Int. J. Surg. Case Rep. 2019, 64, 6–9. [Google Scholar] [CrossRef] [PubMed]
- Moore, D.; Burns, L.; Creavin, B.; Ryan, E.; Conlon, K.; Kelly, M.E.; Kavanagh, D. Surgical Management of Abdominal Desmoids: A Systematic Review and Meta-Analysis. Ir. J. Med. Sci. 2023, 192, 549–560. [Google Scholar] [CrossRef] [PubMed]
- Wilkinson, M.J.; Chan, K.E.; Hayes, A.J.; Strauss, D.C. Surgical Outcomes Following Resection for Sporadic Abdominal Wall Fibromatosis. Ann. Surg. Oncol. 2014, 21, 2144–2149. [Google Scholar] [CrossRef] [PubMed]
- Guadagnolo, B.A.; Zagars, G.K.; Ballo, M.T. Long-Term Outcomes for Desmoid Tumors Treated with Radiation Therapy. Int. J. Radiat. Oncol. Biol. Phys. 2008, 71, 441–447. [Google Scholar] [CrossRef]
- Ou, J.; Su, D.; Guan, Y.; Ge, L.; Deng, S.; Yan, Y.; Hao, Y.; Lu, M.; Zhang, S.; Xie, R. Efficacy and Safety of Systemic Treatment for Progressive and Refractory Desmoid Tumor: A Systematic Review and Bayesian Network Meta-Analysis. Discov. Oncol. 2024, 15, 619. [Google Scholar] [CrossRef]
- Napolitano, A.; Provenzano, S.; Colombo, C.; Vitellaro, M.; Brunello, A.; Badalamenti, G.; Nannini, M.; Ibrahim, T.; Hohenberger, P.; Gasperoni, S.; et al. Familial Adenomatosis Polyposis-Related Desmoid Tumours Treated with Low-Dose Chemotherapy: Results from an International, Multi-Institutional, Retrospective Analysis. ESMO Open 2020, 5, e000604. [Google Scholar] [CrossRef]
- Saltiel, S.; Bize, P.E.; Goetti, P.; Gallusser, N.; Cherix, S.; Denys, A.; Becce, F.; Tsoumakidou, G. Cryoablation of extra-abdominal desmoid tumors: A single-center experience with literature review. Diagnostics 2020, 10, 556. [Google Scholar] [CrossRef]
- Yan, Y.Y.; Walsh, J.P.; Munk, P.L.; Mallinson, P.I.; Simmons, C.; Clarkson, P.W.; Jayaram, P.R.; Heran, M.K.S.; Ouellette, H.A. Cryoablation for the management of desmoid tumors: A single-center 10-year retrospective analysis. J. Vasc. Interv. Radiol. 2021, 32, 1277–1287. [Google Scholar] [CrossRef]
- Huang, K.; Hong, R.; Luo, L.; Zhao, H.; Wang, Y.; Li, Y.; Jiang, Y.; Zhou, H.; Li, F. Efficacy and safety of different thermal ablative therapies for desmoid-type fibromatosis: A systematic review and meta-analysis. Quant. Imaging Med. Surg. 2023, 13, 6683–6697. [Google Scholar] [CrossRef]
- Bouhamama, A.; Wdowik, Q.; Grillet, F.; Brahmi, M.; Sunyach, M.P.; Vaz, G.; Meeus, P.; Gouin, F.; Corradini, N.; Dufresne, A.; et al. Prognostic factors for local recurrence after cryoablation of desmoid tumors. J. Vasc. Interv. Radiol. 2023, 34, 1538–1546. [Google Scholar] [CrossRef]
- Ricker, A.B.; Stone, T.J.; Jagosky, M.H.; Anderson, C.J.; Squires, M.H. Laparoscopic-Assisted, Percutaneous Cryoablation: A Novel Technique for the Treatment of Abdominal Wall Soft Tissue Tumors. Ann. Surg. Oncol. 2025, 32, 566–567. [Google Scholar] [CrossRef] [PubMed]
- Miller, J.P.; Egbulefu, C.; Prior, J.L.; Zhou, M.; Achilefu, S. Gradient-based algorithm for determining tumor volumes in small animals using planar fluorescence imaging platform. Tomography 2016, 2, 17–25. [Google Scholar] [CrossRef] [PubMed]
- Goldberg, D.; Woodhead, G.; Hannallah, J.; Young, S. Role of the Interventional Radiologist in the Treatment of Desmoid Tumors. Life 2023, 13, 645. [Google Scholar] [CrossRef]
- laslan, H.; Schils, J.; Joyce, M.; Marks, K.; Sundaram, M. Radiofrequency ablation: Another treatment option for local control of desmoid tumors. Skelet. Radiol. 2010, 39, 169–173. [Google Scholar] [CrossRef]
- Griffin, M.O.; Kulkarni, N.M.; OʼConnor, S.D.; Sudakoff, G.S.; Lea, W.B.; Tutton, S.M. Magnetic Resonance-Guided Focused Ultrasound: A Brief Review With Emphasis on the Treatment of Extra-abdominal Desmoid Tumors. Ultrasound Q. 2019, 35, 346–354. [Google Scholar] [CrossRef]
- Vora, B.M.K.; Munk, P.L.; Somasundaram, N.; Ouellette, H.A.; Mallinson, P.I.; Sheikh, A.; Abdul Kadir, H.; Tan, T.J.; Yan, Y.Y. Cryotherapy in extra-abdominal desmoid tumors: A systematic review and meta-analysis. PLoS ONE 2021, 16, e0261657. [Google Scholar] [CrossRef]
- Kurtz, J.-E.; Buy, X.; Deschamps, F.; Sauleau, E.; Bouhamama, A.; Toulmonde, M.; Honoré, C.; Bertucci, F.; Brahmi, M.; Chevreau, C.; et al. CRYODESMO-O1: A prospective, open phase II study of cryoablation in desmoid tumour patients progressing after medical treatment. Eur. J. Cancer 2021, 143, 78–87. [Google Scholar] [CrossRef]
- Testa, S.; Bui, N.Q.; Charville, G.W.; Avedian, R.S.; Steffner, R.; Ghanouni, P.; Mohler, D.G.; Ganjoo, K.N. Management of patients with newly diagnosed desmoid tumors in a first-line setting. Cancers 2022, 14, 3907. [Google Scholar] [CrossRef]
- Lum, M.A.; Shah, S.B.; Durack, J.C.; Nikolovski, I. Imaging of small renal masses before and after thermal ablation. Radiographics 2019, 39, 2134–2145. [Google Scholar] [CrossRef]
- Schmitz, J.J.; Schmit, G.D.; Atwell, T.D.; Callstrom, M.R.; Kurup, A.N.; Weisbrod, A.J.; Morris, J.M. Percutaneous cryoablation of extraabdominal desmoid tumors: A 10-year experience. AJR Am. J. Roentgenol. 2016, 207, 190–195. [Google Scholar] [CrossRef]
- Efrima, B.; Ovadia, J.; Drukman, I.; Khoury, A.; Rath, E.; Dadia, S.; Gortzak, Y.; Albagli, A.; Sternheim, A.; Segal, O. Cryo-surgery for symptomatic extra-abdominal desmoids: A proof of concept study. J. Surg. Oncol. 2021, 124, 627–634. [Google Scholar] [CrossRef] [PubMed]
- Segal, O.; Benady, A.; Pickholz, E.; Ovadia, J.E.; Druckmann, I.; Dadia, S.; Rath, E.; Albagli, A.; Efrima, B. MRI-based navigated cryosurgery of extra-abdominal desmoid tumors using skin fiducial markers: A case series of 15 cases. BMC Musculoskelet. Disord. 2023, 24, 969. [Google Scholar] [CrossRef]






| Patient Number | Patient 1 | Patient 2 | Patient 3 |
|---|---|---|---|
| Age (years) | 32 | 28 | 26 |
| Sex | Female | Female | Female |
| Tumor location | Rectus abdominis | Rectus abdominis | Rectus abdominis |
| Tumor size at diagnosis (cm) 1 | 5.5 | 4.7 | 6.2 |
| Tumor size pre-cryotherapy (cm) 1 | 7.5 | 7.6 | 7.1 |
| Tumor volume pre-cryotherapy (cm3) | 60 | 194.2 | 111 |
| Prior treatment | Active surveillance | Active surveillance | Active surveillance |
| Patient Number | Patient 1 | Patient 2 | Patient 3 |
|---|---|---|---|
| Indication | Pain, growth | Pain, growth | Pain, growth |
| Procedure duration (minutes) | 202 | 103 | 173 |
| Number of probes | 10 | 19 | 13 |
| Length of stay (days) | 1 | 1 | 6 |
| Complications | Skin blistering | Cellulitis | Bleeding |
| Patient Number | Patient 1 | Patient 2 | Patient 3 * |
|---|---|---|---|
| Follow-up (days) | 82 | 96 | 98 |
| Mass size on follow-up (cm) 1 | 6.0 | 7.6 | 13.8 |
| Total volume on follow-up (cm3) | 28.9 | 157.8 | 230.7 |
| Size change | −20% | 0% | +94.4% |
| Volume change | −51.7% | −18.74% | +107.8% |
| Characteristics change | Hypo-enhancement with central necrosis | Hypo-enhancement | Hypo-enhancement |
| Symptom change | Resolution of pain | Resolution of pain | Resolution of pain |
Disclaimer/Publisher’s Note: The statements, opinions and data contained in all publications are solely those of the individual author(s) and contributor(s) and not of MDPI and/or the editor(s). MDPI and/or the editor(s) disclaim responsibility for any injury to people or property resulting from any ideas, methods, instructions or products referred to in the content. |
© 2025 by the authors. Licensee MDPI, Basel, Switzerland. This article is an open access article distributed under the terms and conditions of the Creative Commons Attribution (CC BY) license (https://creativecommons.org/licenses/by/4.0/).
Share and Cite
Taqi, K.; Walker, J.; Stockley, C.; Bouchard-Fortier, A.; Przybojewski, S.; Mack, L. Laparoscopic-Assisted Percutaneous Cryoablation of Abdominal Wall Desmoid Fibromatosis: Case Series and Local Experience. Surg. Tech. Dev. 2025, 14, 20. https://doi.org/10.3390/std14030020
Taqi K, Walker J, Stockley C, Bouchard-Fortier A, Przybojewski S, Mack L. Laparoscopic-Assisted Percutaneous Cryoablation of Abdominal Wall Desmoid Fibromatosis: Case Series and Local Experience. Surgical Techniques Development. 2025; 14(3):20. https://doi.org/10.3390/std14030020
Chicago/Turabian StyleTaqi, Kadhim, Jaymie Walker, Cecily Stockley, Antoine Bouchard-Fortier, Stefan Przybojewski, and Lloyd Mack. 2025. "Laparoscopic-Assisted Percutaneous Cryoablation of Abdominal Wall Desmoid Fibromatosis: Case Series and Local Experience" Surgical Techniques Development 14, no. 3: 20. https://doi.org/10.3390/std14030020
APA StyleTaqi, K., Walker, J., Stockley, C., Bouchard-Fortier, A., Przybojewski, S., & Mack, L. (2025). Laparoscopic-Assisted Percutaneous Cryoablation of Abdominal Wall Desmoid Fibromatosis: Case Series and Local Experience. Surgical Techniques Development, 14(3), 20. https://doi.org/10.3390/std14030020

