Factor VII Deficiency in Systemic Mastocytosis with an Associated Myeloid Neoplasm
Abstract
1. Introduction
2. Materials and Methods
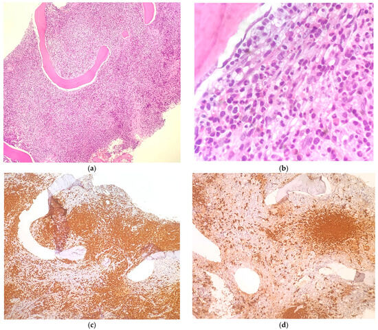
3. Case Presentation
4. Discussion
5. Conclusions
Author Contributions
Funding
Institutional Review Board Statement
Informed Consent Statement
Data Availability Statement
Acknowledgments
Conflicts of Interest
References
- Perry, D.J. Factor Vii Deficiency. Br. J. Haematol. 2002, 118, 689–700. [Google Scholar] [CrossRef]
- Sevenet, P.O.; Kaczor, D.A.; Depasse, F. Factor VII Deficiency: From Basics to Clinical Laboratory Diagnosis and Patient Management. Clin. Appl. Thromb. 2017, 23, 703–710. [Google Scholar] [CrossRef]
- Mulliez, S.M.N.; Devreese, K.M.J. Isolated acquired factor VII deficiency: Review of the literature. Acta Clin. Belg. 2016, 71, 63–70. [Google Scholar] [CrossRef]
- Girolami, A.; Santarossa, C.; Cosi, E.; Ferrari, S.; Lombardi, A.M. Acquired Isolated FVII Deficiency: An Underestimated and Potentially Important Laboratory Finding. Clin. Appl. Thromb. 2016, 22, 705–711. [Google Scholar] [CrossRef]
- Pardanani, A. Systemic mastocytosis in adults: 2023 update on diagnosis, risk stratification and management. Am. J. Hematol. 2023, 98, 1097–1116. [Google Scholar] [CrossRef] [PubMed]
- Arber, D.A.; Orazi, A.; Hasserjian, R.P.; Borowitz, M.J.; Calvo, K.R.; Kvasnicka, H.-M.; Wang, S.A.; Bagg, A.; Barbui, T.; Branford, S.; et al. International Consensus Classification of Myeloid Neoplasms and Acute Leukemias: Integrating morphologic, clinical, and genomic data. Blood 2022, 140, 1200–1228. [Google Scholar] [CrossRef]
- Khoury, J.D.; Solary, E.; Abla, O.; Akkari, Y.; Alaggio, R.; Apperley, J.F.; Bejar, R.; Berti, E.; Busque, L.; Chan, J.K.C.; et al. The 5th edition of the World Health Organization Classification of Haematolymphoid Tumours: Myeloid and Histiocytic/Dendritic Neoplasms. Leukemia 2022, 36, 1703–1719. [Google Scholar] [CrossRef] [PubMed]
- Clinical and Laboratory Standards Institute (Ed.) Determination of Coagulation Factor Activities Using the One-Stage Clotting Assay, CLSI Guidel H48, 2nd ed.; Clinical and Laboratory Standards Institute: Wayne, PA, USA, 2020. [Google Scholar]
- Tiede, A.; Collins, P.; Knoebl, P.; Teitel, J.; Kessler, C.; Shima, M.; Di Minno, G.; D’oiron, R.; Salaj, P.; Jiménez-Yuste, V.; et al. International recommendations on the diagnosis treatment of acquired hemophilia A. Haematologica 2020, 105, 1791–1801. [Google Scholar] [CrossRef]
- Franchini, M.; Mannucci, P.M. Acquired von Willebrand syndrome: Focused for hematologists. Haematologica 2020, 105, 2032–2037. [Google Scholar] [CrossRef] [PubMed]
- Mannucci, P.M.; Duga, S.; Peyvandi, F. Recessively inherited coagulation disorders. Blood 2004, 104, 1243–1252. [Google Scholar] [CrossRef] [PubMed]
- Biron, C.; Bengler, C.; Gris, J.C.; Schved, J.F. Acquired isolated factor VII deficiency during sepsis. Haemostasis 1997, 27, 51–56. [Google Scholar] [CrossRef]
- Zaidi, M.H.; Stanley, A.; Khan, M. Acquired Factor VII deficiency—A rare but important consideration. Scott. Med. J. 2019, 64, 119–122. [Google Scholar] [CrossRef]
- Meaudre, E.; Kenane, N.; Kaiser, E.; Gaillard, P.; Saillol, A.; Cantais, E.; Palmier, B. Isolated acquired factor VII deficiency in patient with severe head trauma: Use of factor VII (factor VII-LFB). Ann. Françaises Anesth Reanim. 2005, 24, 1383–1386. [Google Scholar] [CrossRef]
- Toor, A.A.; Slungaard, A.; Hedner, U.; Weisdorf, D.J.; Key, N.S. Acquired factor VII deficiency in hematopoietic stem cell transplant recipients. Bone Marrow Transplant. 2002, 29, 403–408. [Google Scholar] [CrossRef] [PubMed]
- de Raucourt, E.; Dumont, M.D.; Tourani, J.M.; Hubsch, J.P.; Riquet, M.; Fischer, A.M. Acquired factor VII deficiency associated with pleural liposarcoma. Blood Coagul. Fibrinolysis 1994, 5, 833–836. [Google Scholar] [CrossRef]
- Granger, J.; Gidvani, V.K. Acquired factor VII deficiency associated with Wilms tumor. Pediatr. Blood Cancer 2009, 52, 394–395. [Google Scholar] [CrossRef]
- Fatimi, S.H.; Deedar-Ali-Khawaja, R.; Kiani, S.K. Imaging and intervention of paraneoplastic effect of a right atrial myxoma on factor VII activity levels. Ann. Thorac. Surg. 2011, 91, 278–281. [Google Scholar] [CrossRef] [PubMed]
- Anoun, S.; Lamchahab, M.; Oukkache, B.; Qachouh, M.; Benchekroun, S.; Quessar, A. Acquired factor VII deficiency associated with acute myeloid leukemia. Blood Coagul. Fibrinolysis 2015, 26, 331–333. [Google Scholar] [CrossRef] [PubMed]
- Hammami, E.; Borgi, W.E.; Lakhal, F.B.; Salem, S.F.; Neji, H.B.; Gouider, E. Acquired FVII Deficiency and Acute Myeloid Leukemia: A Case Report and Literature Review. Lab. Med. 2022, 53, e120–e122. [Google Scholar] [CrossRef] [PubMed]
- Naismith, K.; Allevato, P.A.; Hamm, C. A Rare Case of Factor VII Inhibitor in a Patient Presenting with Primary Splenic Marginal Zone Lymphoma. Am. J. Case Rep. 2021, 22, e932704-1–e932704-5. [Google Scholar] [CrossRef] [PubMed]
- Goyal, V.; Salmasi, G.; Leavitt, A.D.; Rubenstein, J.L.; Banerjee, R. Acquired factor VII inhibitor associated with primary central nervous system Lymphoma: A case report. eJHaem 2022, 3, 1000–1002. [Google Scholar] [CrossRef] [PubMed]
- Carvalhosa, A.B.; Aouba, A.; Damaj, G.; Canioni, D.; Brouzes, C.; Gyan, E.; Durupt, S.; Durieu, I.; Cathebras, P.; Costédoat-Chalumeau, N.; et al. A French National Survey on Clotting Disorders in Mastocytosis. Medicine 2015, 94, e1414. [Google Scholar] [CrossRef] [PubMed]
- Seidel, H.; Hertfelder, H.J.; Oldenburg, J.; Kruppenbacher, J.P.; Afrin, L.B.; Molderings, G.J. Effects of Primary Mast Cell Disease on Hemostasis and Erythropoiesis. Int. J. Mol. Sci. 2021, 22, 8960. [Google Scholar] [CrossRef] [PubMed]
- Mital, A.; Prejzner, W.; Hellmann, A. Acquired von Willebrand syndrome during systemic mastocytosis: An analysis of 21 cases. Pol. Arch. Intern. Med. 2018, 128, 491–493. [Google Scholar] [CrossRef] [PubMed]
- Seidel, H.; Oldenburg, J.; Meis, K.; Kolck, U.W.; Homann, J.; Hertfelder, H.-J.; Molderings, G.J. Bleeding diathesis in patients with mast cell activation disease. Thromb. Haemost. 2011, 106, 987–989. [Google Scholar] [CrossRef]
- Sucker, C.; Mansmann, G.; Steiner, S.; Gattermann, N.; Schmitt-Graeff, A.; Loncar, R.; Scharf, R.E.; Stockschlader, M. Fatal Bleeding Due to a Heparin-Like Anticoagulant in a 37-Year-Old Woman Suffering From Systemic Mastocytosis. Clin. Appl. Thromb. 2008, 14, 360–364. [Google Scholar] [CrossRef]
- Koenig, M.; Morel, J.; Reynaud, J.; Varvat, C.; Cathébras, P. An unusual cause of spontaneous bleeding in the intensive care unit—Mastocytosis: A case report. Cases J. 2008, 1, 100. [Google Scholar] [CrossRef][Green Version]

| March 2020 (Diagnosis of PV) | November 2022 (Diagnosis of SM) | 6th Month from Diagnosis of SM | |
|---|---|---|---|
| WBC × 103/μL | 6.46 | 6.03 | 5.20 |
| Hb (g/dL) | 17.3 | 12.1 | 12.7 |
| Hct (%) | 55.7 | 39.1 | 40.5 |
| PLTs × 103/μL | 700 | 114 | 203 |
| PT ratio | 1.06 | 1.80 | 1.16 |
| PTT ratio | 0.99 | 1.16 | 1.13 |
| Fibrinogen (mg/dL) | 330 | 440 | 436 |
| AST (U/L) | 28 | 19 | 27 |
| ALT (U/L) | 21 | 9 | 19 |
| GGT (U/L) | 46 | 175 | 37 |
| ALP (U/L) | 107 | 640 | 110 |
| Total bilirubin (mg/dL) | 0.70 | 1.10 | 0.80 |
| Tryptase (μg/L) | – | 772 | 165 |
| Factor VII activity (%) | – | 38 | 70 |
| Spleen diameter (cm) | 12.5 | 20 | 19 |
| Bone marrow |
|
|
|
Disclaimer/Publisher’s Note: The statements, opinions and data contained in all publications are solely those of the individual author(s) and contributor(s) and not of MDPI and/or the editor(s). MDPI and/or the editor(s) disclaim responsibility for any injury to people or property resulting from any ideas, methods, instructions or products referred to in the content. |
© 2024 by the authors. Licensee MDPI, Basel, Switzerland. This article is an open access article distributed under the terms and conditions of the Creative Commons Attribution (CC BY) license (https://creativecommons.org/licenses/by/4.0/).
Share and Cite
Rosati, G.; Camerlo, S.; Fornari, A.; Marci, V.; Montaruli, B.; Morotti, A. Factor VII Deficiency in Systemic Mastocytosis with an Associated Myeloid Neoplasm. Hematol. Rep. 2024, 16, 132-139. https://doi.org/10.3390/hematolrep16010014
Rosati G, Camerlo S, Fornari A, Marci V, Montaruli B, Morotti A. Factor VII Deficiency in Systemic Mastocytosis with an Associated Myeloid Neoplasm. Hematology Reports. 2024; 16(1):132-139. https://doi.org/10.3390/hematolrep16010014
Chicago/Turabian StyleRosati, Giorgio, Sofia Camerlo, Alessandro Fornari, Valerio Marci, Barbara Montaruli, and Alessandro Morotti. 2024. "Factor VII Deficiency in Systemic Mastocytosis with an Associated Myeloid Neoplasm" Hematology Reports 16, no. 1: 132-139. https://doi.org/10.3390/hematolrep16010014
APA StyleRosati, G., Camerlo, S., Fornari, A., Marci, V., Montaruli, B., & Morotti, A. (2024). Factor VII Deficiency in Systemic Mastocytosis with an Associated Myeloid Neoplasm. Hematology Reports, 16(1), 132-139. https://doi.org/10.3390/hematolrep16010014

