A Push to Consider Mantle Cell Lymphoma in Adults with Leukemia/Lymphoma with Blastoid Morphology
Abstract
:1. Introduction
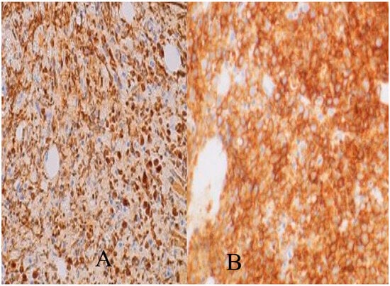
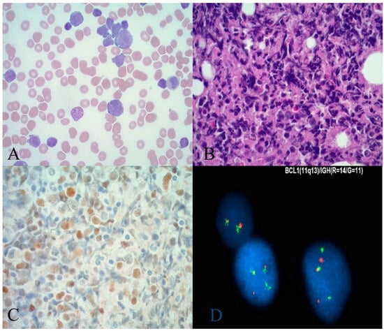
2. Clinical Case Presentation
3. Discussion
4. Conclusions
Author Contributions
Funding
Institutional Review Board Statement
Informed Consent Statement
Data Availability Statement
Conflicts of Interest
References
- Zhou, Y.; Wang, H.; Fang, W.; Romaguer, J.E.; Zhang, Y.; Delasalle, K.B.; Kwak, L.; Yi, Q.; Du, X.L.; Wang, M. Incidence trends of mantle cell lymphoma in the United States between 1992 and 2004. Cancer 2008, 113, 791–798. [Google Scholar] [CrossRef] [PubMed]
- Jain, P.; Wang, M.L. Mantle cell lymphoma in 2022—A comprehensive update on molecular pathogenesis, risk stratification, clinical approach, and current and novel treatments. Am. J. Hematol. 2022, 97, 638–656. [Google Scholar] [CrossRef] [PubMed]
- Yamamoto, N.; Maeshima, A.M.; Taniguchi, H.; Makita, S.; Fukuhara, S.; Munakata, W.; Suzuki, T.; Maruyama, D.; Izutsu, K. CD5-negative blastoid variant mantle cell lymphoma: A diagnostic dilemma. Hum. Pathol. 2021, 111, 84–91. [Google Scholar] [CrossRef] [PubMed]
- Khoury, J.D.; Solary, E.; Abla, O.; Akkari, Y.; Alaggio, R.; Apperley, J.F.; Bejar, R.; Berti, E.; Busque, L.; Chan, J.K.; et al. The 5th edition of the World Health Organization Classification of Haematolymphoid Tumours: Myeloid and Histiocytic/Dendritic Neoplasms. Leukemia 2022, 36, 1703–1719. [Google Scholar] [CrossRef] [PubMed]
- Dreyling, M.; Klapper, W.; Rule, S. Blastoid and pleomorphic mantle cell lymphoma: Still a diagnostic and therapeutic challenge! Blood J. Am. Soc. Hematol. 2018, 132, 2722–2729. [Google Scholar] [CrossRef] [PubMed]
- Shrestha, R.; Bhatt, V.R.; Guru Murthy, G.S.; Armitage, J.O. Clinicopathologic features and management of blastoid variant of mantle cell lymphoma. Leuk. Lymphoma 2015, 56, 2759–2767. [Google Scholar] [CrossRef] [PubMed]
- Cheah, C.Y.; George, A.; Giné, E.; Chiappella, A.; Kluin-Nelemans, H.C.; Jurczak, W.; Krawczyk, K.; Mocikova, H.; Klener, P.; Salek, D.; et al. Central nervous system involvement in mantle cell lymphoma: Clinical features, prognostic factors and outcomes from the European Mantle Cell Lymphoma Network. Ann. Oncol. 2013, 24, 2119–2123. [Google Scholar] [CrossRef] [PubMed]
- Miao, Y.; Lin, P.; Saksena, A.; Xu, J.; Wang, M.; Romaguera, J.; Yin, C.C.; Medeiros, L.J.; Li, S. CD5-negative Mantle Cell Lymphoma: Clinicopathologic Correlations and Outcome in 58 Patients. Am. J. Surg. Pathol. 2019, 43, 1052–1060. [Google Scholar] [CrossRef] [PubMed]
- Xu, J.; Medeiros, L.J.; Saksena, A.; Wang, M.; Zhou, J.; Li, J.; Yin, C.C.; Tang, G.; Wang, L.; Lin, P.; et al. CD10-positive mantle cell lymphoma: Clinicopathologic and prognostic study of 30 cases. Oncotarget 2017, 9, 11441–11450. [Google Scholar] [CrossRef]
- Salaverria, I.; Royo, C.; Carvajal-Cuenca, A.; Clot, G.; Navarro, A.; Valera, A.; Song, J.Y.; Woroniecka, R.; Rymkiewicz, G.; Klapper, W.; et al. CCND2 rearrangements are the most frequent genetic events in cyclin D1(-) mantle cell lymphoma. Blood J. Am. Soc. Hematol. 2013, 121, 1394–1402. [Google Scholar] [CrossRef]
- Oh, T.S.; Burkart, M.; Behdad, A.; Savas, H.; Karmali, R. Ibrutinib Plus R-ICE Induces Remission in Blastoid Variant Mantle Cell Lymphoma with CNS Relapse. Case Rep. Hematol. 2022, 2022, 1930546. [Google Scholar] [CrossRef]
- Zhao, S.; Kanagal-Shamanna, R.; Navsaria, L.; Ok, C.Y.; Zhang, S.; Nomie, K.; Han, G.; Hao, D.; Hill, H.A.; Jiang, C.; et al. Efficacy of venetoclax in high risk relapsed mantle cell lymphoma (MCL)—Outcomes and mutation profile from venetoclax resistant MCL patients. Am. J. Hematol. 2020, 95, 623–629. [Google Scholar] [CrossRef] [PubMed]
- Wang, Y.H.; Hsieh, C.Y.; Hsiao, L.T.; Lin, T.L.; Liu, Y.C.; Yao, M.; Tan, T.D.; Ko, B.S. Stem cell transplant for mantle cell lymphoma in Taiwan. Sci. Rep. 2022, 12, 5662. [Google Scholar] [CrossRef] [PubMed]
- Jain, P.; Wang, M. Blastoid Mantle Cell Lymphoma. Hematol. Oncol. Clin. N. Am. 2020, 34, 941–956. [Google Scholar] [CrossRef]


Disclaimer/Publisher’s Note: The statements, opinions and data contained in all publications are solely those of the individual author(s) and contributor(s) and not of MDPI and/or the editor(s). MDPI and/or the editor(s) disclaim responsibility for any injury to people or property resulting from any ideas, methods, instructions or products referred to in the content. |
© 2023 by the authors. Licensee MDPI, Basel, Switzerland. This article is an open access article distributed under the terms and conditions of the Creative Commons Attribution (CC BY) license (https://creativecommons.org/licenses/by/4.0/).
Share and Cite
Arinze, N.; Omar, N.; Keruakous, A.; Kolhe, R.; Savage, N. A Push to Consider Mantle Cell Lymphoma in Adults with Leukemia/Lymphoma with Blastoid Morphology. Hematol. Rep. 2023, 15, 592-596. https://doi.org/10.3390/hematolrep15040061
Arinze N, Omar N, Keruakous A, Kolhe R, Savage N. A Push to Consider Mantle Cell Lymphoma in Adults with Leukemia/Lymphoma with Blastoid Morphology. Hematology Reports. 2023; 15(4):592-596. https://doi.org/10.3390/hematolrep15040061
Chicago/Turabian StyleArinze, Nkechi, Nivin Omar, Amany Keruakous, Ravindra Kolhe, and Natasha Savage. 2023. "A Push to Consider Mantle Cell Lymphoma in Adults with Leukemia/Lymphoma with Blastoid Morphology" Hematology Reports 15, no. 4: 592-596. https://doi.org/10.3390/hematolrep15040061
APA StyleArinze, N., Omar, N., Keruakous, A., Kolhe, R., & Savage, N. (2023). A Push to Consider Mantle Cell Lymphoma in Adults with Leukemia/Lymphoma with Blastoid Morphology. Hematology Reports, 15(4), 592-596. https://doi.org/10.3390/hematolrep15040061

