Pneumococcal Sepsis Revealing Pediatric Systemic Lupus Erythematosus with Sjögren’s Syndrome Overlap: A Case Report
Abstract
1. Introduction
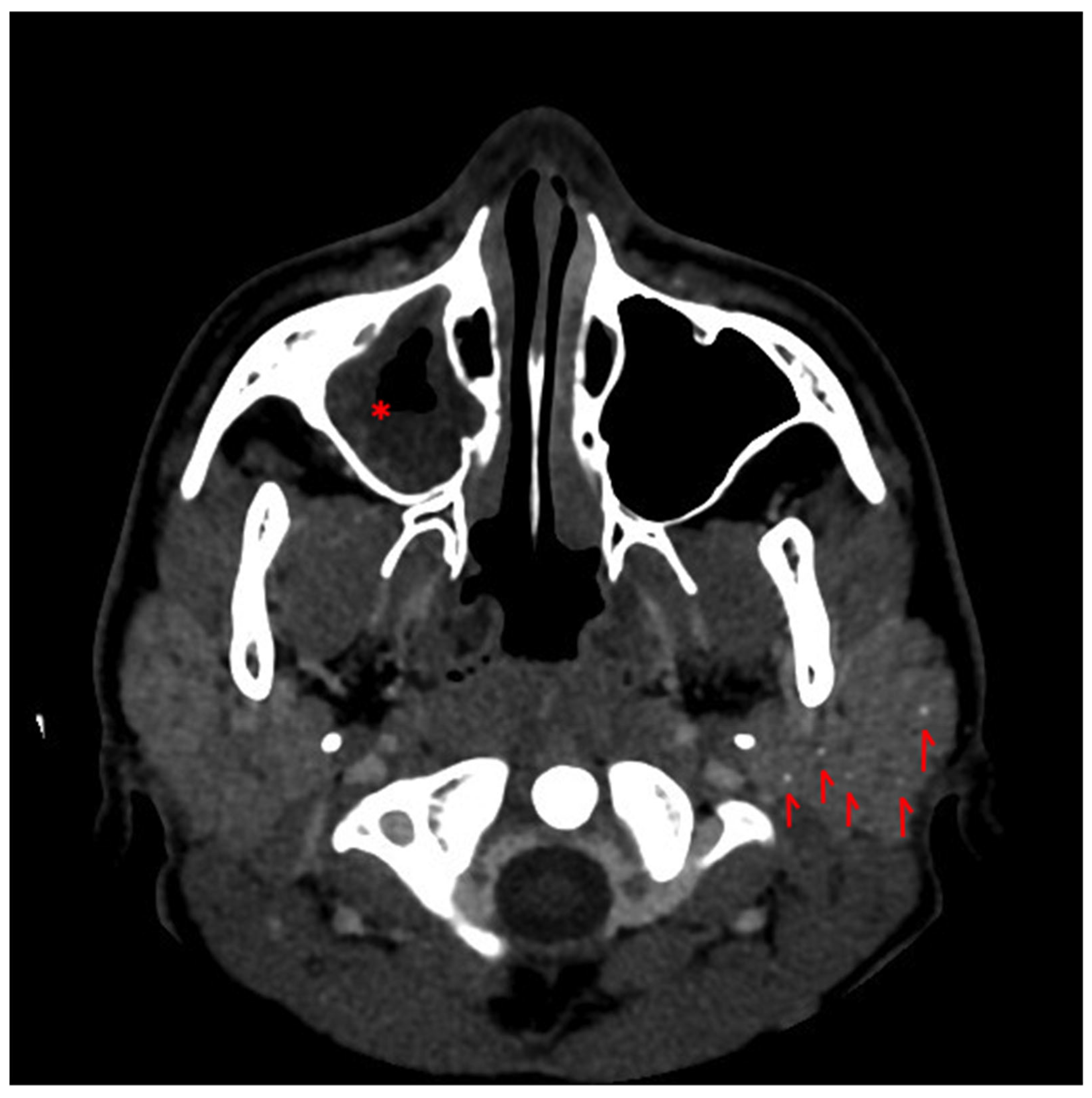
2. Case Report
3. Discussion
Author Contributions
Funding
Institutional Review Board Statement
Informed Consent Statement
Data Availability Statement
Conflicts of Interest
Abbreviations
| SLE | Systemic lupus erythematosus |
| SS | Sjögren’s syndrome |
| CT | Computed tomography |
| FESS | Functional endoscopic sinus surgery |
References
- Hiraki, L.T.; Benseler, S.M.; Tyrrell, P.N.; Hebert, D.; Harvey, E.; Silverman, E.D. Clinical and laboratory characteristics and long-term outcome of pediatric systemic lupus erythematosus: A longitudinal study. J. Pediatr. 2008, 152, 550–556. [Google Scholar] [CrossRef] [PubMed]
- Tarvin, S.E.; O’Neil, K.M. Systemic Lupus Erythematosus, Sjögren Syndrome, and Mixed Connective Tissue Disease in Children and Adolescents. Pediatr. Clin. N. Am. 2018, 65, 711–737. [Google Scholar] [CrossRef] [PubMed]
- Cervera, R.; Khamashta, M.A.; Font, J.; Sebastiani, G.D.; Gil, A.; Lavilla, P.; Mejía, J.C.; Aydintug, A.O.; Chwalinska-Sadowska, H.; de Ramón, E.; et al. Morbidity and mortality in systemic lupus erythematosus during a 10-year period: A comparison of early and late manifestations in a cohort of 1000 patients. Medicine 2003, 82, 299–308. [Google Scholar] [CrossRef] [PubMed]
- Elliott, J.A.; Copeman, A.; Davies, K. Pneumococcal sepsis as the first presentation of systemic lupus erythematosus (SLE) in a six year old boy. Arch. Dis. Child. 2011, 96, A78. [Google Scholar] [CrossRef]
- Erdem, I.; Elbasan Omar, S.; Ali, R.K.; Gunes, H.; Topkaya, A.E. Streptococcus pneumoniae sepsis as the initial presentation of systemic lupus erythematosus. Int. J. Gen. Med. 2016, 9, 315–317. [Google Scholar] [CrossRef] [PubMed]
- Aringer, M.; Costenbader, K.; Daikh, D.; Brinks, R.; Mosca, M.; Ramsey-Goldman, R.; Smolen, J.S.; Wofsy, D.; Boumpas, D.T.; Kamen, D.L.; et al. 2019 European League Against Rheumatism/American College of Rheumatology Classification Criteria for Systemic Lupus Erythematosus. Arthritis Rheumatol. 2019, 71, 1400–1412. [Google Scholar] [CrossRef] [PubMed]
- Bajema, I.M.; Wilhelmus, S.; Alpers, C.E.; Bruijn, J.A.; Colvin, R.B.; Cook, H.T.; D’Agati, V.D.; Ferrario, F.; Haas, M.; Jennette, J.C.; et al. Revision of the International Society of Nephrology/Renal Pathology Society classification for lupus nephritis: Clarification of definitions, and modified National Institutes of Health activity and chronicity indices. Kidney Int. 2018, 93, 789–796. [Google Scholar] [CrossRef] [PubMed]
- Brown, E.J.; Joiner, K.A.; Cole, R.M.; Berger, M. Localization of complement component 3 on Streptococcus pneumoniae: Anti-capsular antibody causes complement deposition on the pneumococcal capsule. Infect. Immun. 1983, 39, 403–409. [Google Scholar] [CrossRef] [PubMed]
- Piliero, P.; Furie, R. Functional asplenia in systemic lupus erythematosus. Semin. Arthritis Rheum. 1990, 20, 185–189. [Google Scholar] [CrossRef] [PubMed]
- Jansen, M.H.; Rondaan, C.; Legger, G.E.; Minden, K.; Uziel, Y.; Toplak, N.; Maritsi, D.; van den Berg, L.; Berbers, G.A.; Bruijning, P.; et al. EULAR/PRES recommendations for vaccination of paediatric patients with autoimmune inflammatory rheumatic diseases: Update 2021. Ann. Rheum. Dis. 2023, 82, 35–47. [Google Scholar] [CrossRef] [PubMed]
- Sun, Z.; Zhang, Z.; Fu, K.; Zhao, Y.; Liu, D.; Ma, X. Diagnostic accuracy of parotid CT for identifying Sjögren’s syndrome. Eur. J. Radiol. 2012, 81, 2702–2709. [Google Scholar] [CrossRef] [PubMed]

| Autoantibody | Result | Reference Range/Cut-Off |
|---|---|---|
| Antinuclear antibodies (ANA, IFA) | Positive, 1:640 (speckled) | Negative; significant ≥ 1:160 |
| Anti–double-stranded DNA (EIA) | 15.0 kUI/L | Negative < 10; doubtful 10–15; positive > 15 |
| Anti–ds DNA (Crithidia luciliae IFA) | Negative | Negative |
| Anti-Ro52 (SSA) | >240 kUI/L | Negative < 7; positive > 10 |
| Anti-Ro60 (SSA) | >240 kUI/L | Negative < 7; positive > 10 |
| Anti-La (SSB) | 20.0 kUI/L | Negative < 7; positive > 10 |
| Anti-SmD | 330.0 kUI/L | Negative < 7; positive > 10 |
| Anti-U1-RNP | 166.0 kUI/L | Negative < 5; positive > 10 |
| Anti-Scl-70 | 0.6 kUI/L | Negative < 7 |
| Anti-Jo-1 | 0.2 kUI/L | Negative < 7 |
| Anti-cardiolipin IgG | 2.7 GPL U/mL | Negative < 10 |
| Anti-cardiolipin IgM | 1.6 MPL U/mL | Negative < 10 |
| Anti-β2-glycoprotein I IgG | 2.6 U/mL | Negative < 7 |
| Anti-β2-glycoprotein I IgM | 1.1 U/mL | Negative < 7 |
| Lupus anticoagulant (DRVVT) | Positive | Negative |
| Parameter | Admission | Day 4 | Second Febrile Episode | At SLE Diagnosis |
|---|---|---|---|---|
| Hemoglobin (g/dL) | 10.7 | 10.3 | 11.4 | 8.5 |
| Platelets (/mm3) | 80,000 | 96,000 | 156,000 | 173,000 |
| Leukocytes (/mm3) | 8670 | 2410 | 2250 | 2180 |
| CRP (mg/L) | 135.9 | 29 | 7.6 | 2.6 |
| ESR (mm/h) | 71 | NA | 89 | 37 |
| C3 (g/L) | 0.64 | NA | 0.7 | 0.69 |
| C4 (g/L) | 0.08 | NA | 0.12 | 0.17 |
| Proteinuria (g/24 h) | NA | NA | NA | 0.68 |
Disclaimer/Publisher’s Note: The statements, opinions and data contained in all publications are solely those of the individual author(s) and contributor(s) and not of MDPI and/or the editor(s). MDPI and/or the editor(s) disclaim responsibility for any injury to people or property resulting from any ideas, methods, instructions or products referred to in the content. |
© 2026 by the authors. Licensee MDPI, Basel, Switzerland. This article is an open access article distributed under the terms and conditions of the Creative Commons Attribution (CC BY) license.
Share and Cite
Accomando, F.; Albertazzi, V.; Girelli, F.; Biscarini, M.; Aricò, M.O.; Valletta, E. Pneumococcal Sepsis Revealing Pediatric Systemic Lupus Erythematosus with Sjögren’s Syndrome Overlap: A Case Report. Pediatr. Rep. 2026, 18, 51. https://doi.org/10.3390/pediatric18020051
Accomando F, Albertazzi V, Girelli F, Biscarini M, Aricò MO, Valletta E. Pneumococcal Sepsis Revealing Pediatric Systemic Lupus Erythematosus with Sjögren’s Syndrome Overlap: A Case Report. Pediatric Reports. 2026; 18(2):51. https://doi.org/10.3390/pediatric18020051
Chicago/Turabian StyleAccomando, Francesco, Vittorio Albertazzi, Francesco Girelli, Michela Biscarini, Melodie O. Aricò, and Enrico Valletta. 2026. "Pneumococcal Sepsis Revealing Pediatric Systemic Lupus Erythematosus with Sjögren’s Syndrome Overlap: A Case Report" Pediatric Reports 18, no. 2: 51. https://doi.org/10.3390/pediatric18020051
APA StyleAccomando, F., Albertazzi, V., Girelli, F., Biscarini, M., Aricò, M. O., & Valletta, E. (2026). Pneumococcal Sepsis Revealing Pediatric Systemic Lupus Erythematosus with Sjögren’s Syndrome Overlap: A Case Report. Pediatric Reports, 18(2), 51. https://doi.org/10.3390/pediatric18020051

