Lemierre Syndrome Associated with Streptococcus constellatus and Atypical Vascular Involvement: A Case Report and Review of the Literature
Abstract
1. Introduction
2. Case Description
2.1. First Admission to the Hospital
2.2. Second Admission to the Same Hospital
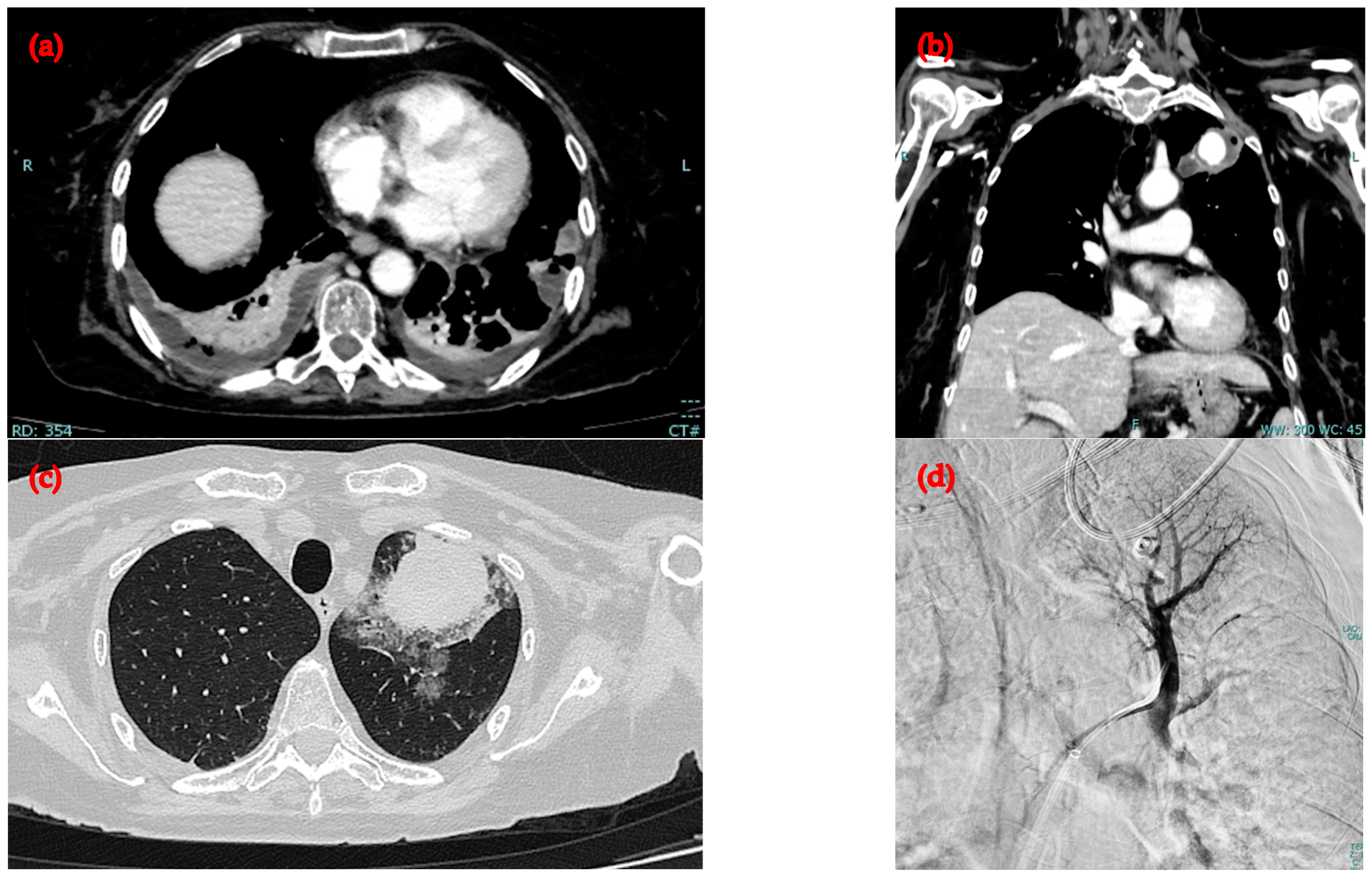
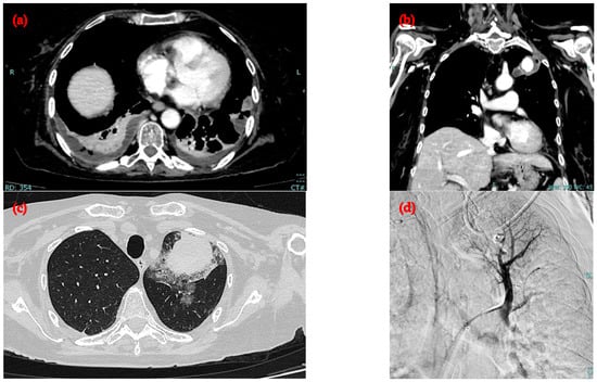
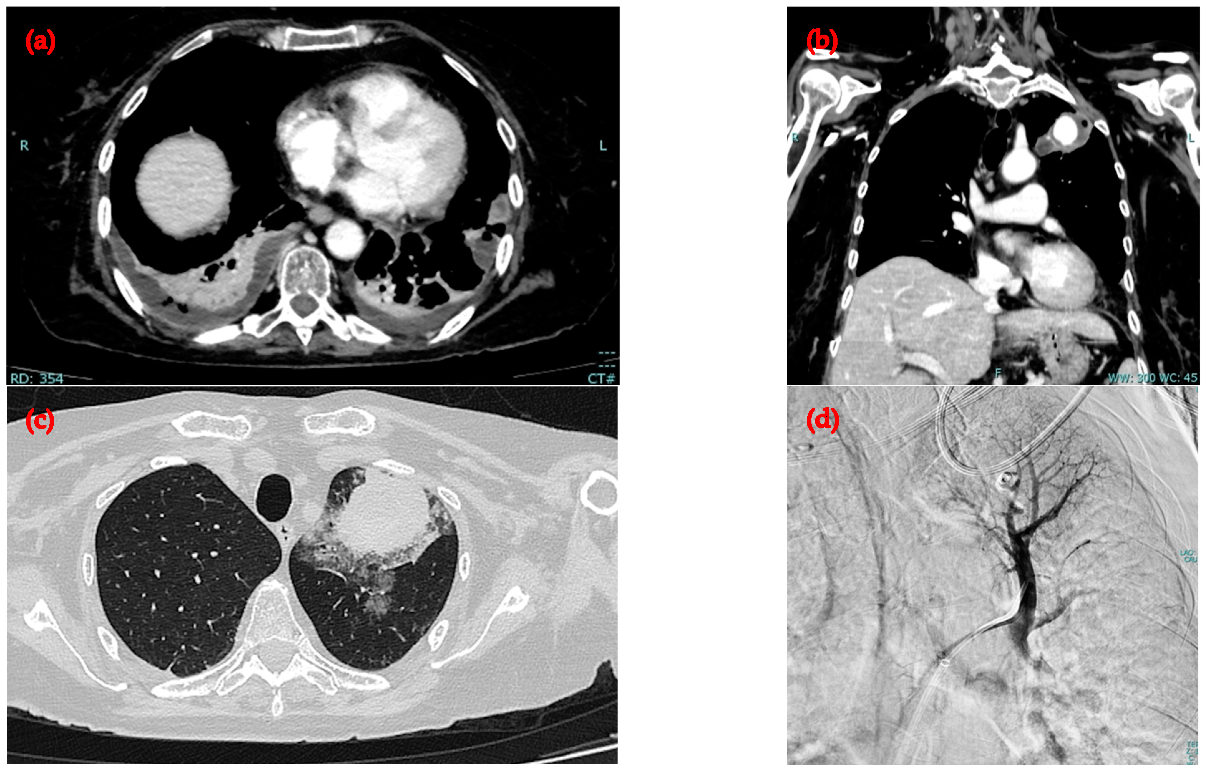
2.3. Admission to the Infectious Diseases Unit of Our University Hospital
3. Materials and Methods
4. Discussion
4.1. Lemierre Syndrome Definition
4.2. Primary Infection
4.3. Clinical Picture
4.4. Venous Thromboses and Other Complications
4.5. Differential Diagnoses
4.6. Treatment
5. Conclusions
Author Contributions
Funding
Institutional Review Board Statement
Informed Consent Statement
Data Availability Statement
Conflicts of Interest
References
- Allen, B.W.; Anjum, F.; Bentley, T.P. Lemierre Syndrome. In StatPearls; StatPearls Publishing: Treasure Island, FL, USA, 2023. [Google Scholar]
- Valerio, L.; Corsi, G.; Sebastian, T.; Barco, S. Lemierre syndrome: Current evidence and rationale of the Bacteria-Associated Thrombosis, Thrombophlebitis and LEmierre syndrome (BATTLE) registry. Thromb. Res. 2020, 196, 494–499. [Google Scholar] [CrossRef] [PubMed]
- Osowicki, J.; Kapur, S.; Phuong, L.K.; Dobson, S. The long shadow of lemierre’s syndrome. J. Infect. 2017, 74 (Suppl. 1), S47–S53. [Google Scholar] [CrossRef] [PubMed]
- Tiwari, A. Lemierre’s Syndrome in the 21st Century: A Literature Review. Cureus 2023, 15, e43685. [Google Scholar] [CrossRef]
- Yamagishi, T.; Hikone, M.; Sugiyama, K.; Tanabe, T.; Wada, Y.; Furugaito, M.; Arai, Y.; Uzawa, Y.; Mizushima, R.; Kamada, K.; et al. Purpura fulminans with Lemierre’s syndrome caused by Gemella bergeri and Eikenella corrodens: A case report. BMC Infect. Dis. 2018, 18, 523. [Google Scholar] [CrossRef]
- Yamaguchi, M.; Nishizawa, H.; Yasumoto, T.; Kimura, T.; Takeuchi, Y.; Takeshita, A.; Takase, T.; Fujimoto, H.; Nakano, M.; Fukunaga, M. Lemierre syndrome with blepharoptosis. Intern. Med. 2010, 49, 753–757. [Google Scholar] [CrossRef] [PubMed]
- Rohowetz, L.J.; Gratton, S.M.; Dansdill, D.; Miller, C.J.; Dubin, S. Cavernous sinus thrombosis caused by Streptococcus constellatus-associated Lemierre syndrome presenting as an isolated abducens nerve palsy. Am. J. Ophthalmol. Case Rep. 2020, 18, 100592. [Google Scholar] [CrossRef]
- Yaita, K.; Sugi, S.; Hayashi, M.; Koga, T.; Ebata, T.; Sakai, Y.; Kaieda, S.; Ida, H.; Watanabe, H. The co-existence of Lemierre’s syndrome and Bezold’s abscesses due to Streptococcus constellatus: A case report. Medicine 2018, 97, e11228. [Google Scholar] [CrossRef]
- Benhayoun, M.; Llor, J.; Van-Den-Abbeele, T.; Elmaleh, M.; Mariani, P.; Beaufils, F.; Dauger, S. Un cas de syndrome de Lemierre avec thrombose veineuse jugulaire bilatérale [Bilateral jugular thrombosis in Lemierre syndrome]. Arch. Pediatr. 2003, 10, 1071–1074. [Google Scholar] [CrossRef]
- Shimada, M.; Morinaga, Y.; Kitazaki, T.; Fukuda, M.; Hashiguchi, K.; Yanagihara, K.; Kohno, S. A severe case of Lemierre Syndrome with Streptococcus constellatus Infection. Jpn. J. Infect. Dis. 2014, 67, 488–489. [Google Scholar] [CrossRef]
- Vulisha, A.K.; Sam, R.; Nur, H.; Bhardwaj, N.; Sirineni, S. Aggressive Presentation of Streptococcus constellatus. Cureus 2021, 13, e14534. [Google Scholar] [CrossRef]
- Thomas, M.; Peterson, C.J.; Mazin, L.N.; Rawlins, J. Lemierre Syndrome with Streptococcus constellatus Bacteremia. Cureus 2023, 15, e50580. [Google Scholar] [CrossRef] [PubMed]
- Kaiho, T.; Nakajima, T.; Yonekura, S.; Hamasaki, S.; Iwata, T.; Yoshino, I. Descending necrotizing mediastinitis with Lemierre’s syndrome. Gen. Thorac. Cardiovasc. Surg. 2017, 65, 661–663. [Google Scholar] [CrossRef]
- Paul, S.P.; Mubashar, T.; James, J.A.; Mubashar, Y.; Turner, P.C. Streptococcus constellatus-associated Lemierre’s syndrome presenting with extensive venous sinus thrombosis in a child. Br. J. Hosp. Med. 2021, 82, 1–4. [Google Scholar] [CrossRef]
- Farias, L.A.B.G.; Firmino, N.N.; Sousa, M.M.; Lira, M.L.; Meireles, L.N.; Stolp, Â.M.; Maia, K.M.; Costa, S.F.; Perdigão, L.V. Streptococcus constellatus causing concomitant extra and intracranial abscesses complicated with sagittal sinus thrombosis. Rev. Inst. Med. Trop. São Paulo 2023, 65, e10. [Google Scholar] [CrossRef] [PubMed]
- Jaramillo-Ángel, N.; Saro-Buendía, M.; Carreres Polo, J.; Mellidez Acosta, R.; Alamar Velázquez, A.; Carceller, M.A. Cavernous Sinus Thrombosis Secondary to Streptococcus Constellatus Pharynges. Indian J. Otolaryngol. Head Neck Surg. 2024, 76, 2824–2827. [Google Scholar] [CrossRef]
- Lee, J.H.; Heo, H.J.; Kim, K.M.; Lee, H.G.; Baek, S.M.; Jung, D.W. Herpes zoster in the ophthalmic branch of the trigeminal ganglia obscuring cavernous sinus thrombosis due to Streptococcus constellatus subsp. constellatus—A case report. Anesth. Pain Med. 2020, 15, 205–208. [Google Scholar] [CrossRef] [PubMed]
- Takada, K.; Nakamura, M.; Samura, M.; Inoue, J.; Hirose, N.; Kurata, T.; Nagumo, H.; Ishii, J.; Koshioka, S.; Tanikawa, K.; et al. Suppurative thrombophlebitis of the posterior neck caused by Streptococcus constellatus: A case report and literature review. Yakugaku Zasshi 2022, 142, 189–193. [Google Scholar] [CrossRef]
- Mears, C.J.; DeFlorio, P.; Murray, B. Concurrent Pansinusitis and Orbital Cellulitis Complicated by Extensive Head and Neck Venous Thrombosis in an Unvaccinated Adolescent Patient with COVID-19: A Case Report. J. Emerg. Med. 2023, 65, e31–e35. [Google Scholar] [CrossRef] [PubMed]
- Chang, W.N.; Chen, S.D.; Lui, C.C.; Huang, C.R.; Lu, C.H. Septic cavernous sinus thrombosis due to Streptococcus constellatus infection. J. Formos. Med. Assoc. 2003, 102, 733–736. [Google Scholar] [PubMed]
- Allegrini, D.; Reposi, S.; Nocerino, E.; Pece, A. Odontogenic orbital cellulitis associated with cavernous sinus thrombosis and pulmonary embolism: A case report. J. Med. Case Rep. 2017, 11, 164. [Google Scholar] [CrossRef]
- Young, K.S.; Kiam, J.S.; Metcalf, K.; Nassif, R. Sphenoid sinusitis: A rare cause of ischaemic stroke. BMJ Case Rep. 2021, 14, e242943. [Google Scholar] [CrossRef] [PubMed]
- Pinilla-Monsalve, G.D.; Torres-Cutiva, D.F.; Fernández-Cubillos, J.P. Atypical Streptococcal Meningitis with Fatal Cerebrovascular Complications: A Case Report. Infect. Dis. Rep. 2020, 12, 87–96. [Google Scholar] [CrossRef]
- Jones, R.G.; Arnold, B. Sudden onset proptosis secondary to cavernous sinus thrombosis from underlying mandibular dental infection. BMJ Case Rep. 2009, 2009, bcr03.2009.1671. [Google Scholar] [CrossRef] [PubMed]
- Hoshino, C.; Satoh, N.; Sugawara, S.; Kuriyama, C.; Kikuchi, A.; Ohta, M. Septic cavernous sinus thrombosis complicated by narrowing of the internal carotid artery, subarachnoid abscess and multiple pulmonary septic emboli. Intern. Med. 2007, 46, 317–323. [Google Scholar] [CrossRef]
- Baudouin, R.; Guichard, J.P.; Herman, P.; Verillaud, B. Sphenoid sinusitis complicated by extensive septic thrombosis after coiling of a ruptured intracranial aneurism. BMJ Case Rep. 2020, 13, e238273. [Google Scholar] [CrossRef] [PubMed]
- Goawalla, A.; Mansell, N.; Pearson, A. Septic cavernous sinus thrombosis with bilateral secondary orbital infection. Orbit 2007, 26, 113–116. [Google Scholar] [CrossRef] [PubMed]
- Valerio, L.; Zane, F.; Sacco, C.; Granziera, S.; Nicoletti, T.; Russo, M.; Corsi, G.; Holm, K.; Hotz, M.A.; Righini, C.; et al. Patients with Lemierre syndrome have a high risk of new thromboembolic complications, clinical sequelae and death: An analysis of 712 cases. J. Intern. Med. 2021, 289, 325–339. [Google Scholar] [CrossRef]
- Fumagalli, R.M.; Gloor, E.; Kaufmann, P.A.; Frehner, M.; Voci, D.; Konstantinides, S.V.; Kucher, N.; Nicoletti, T.F.; Pecci, A.; Valerio, L.; et al. Common laboratory tests and their correlation with the clinical presentation and prognosis of Lemierre syndrome. Anaerobe 2023, 83, 102773. [Google Scholar] [CrossRef]
- Willcox, M.D. Potential pathogenic properties of members of the “Streptococcus milleri” group in relation to the production of endocarditis and abscesses. J. Med. Microbiol. 1995, 43, 405–410. [Google Scholar] [CrossRef]
- Pleming, W.; Barco, S.; Voci, D.; Sacco, C.; Zane, F.; Granziera, S.; Corsi, G.; Konstantinides, S.V.; Kucher, N.; Pecci, A.; et al. Cardiac and Cerebral Arterial Complications of Lemierre Syndrome: Results from a Systematic Review and Individual Patient Data Meta-analysis. Hamostaseologie 2022, 42, 261–267. [Google Scholar] [CrossRef]
- Schulman, S. Lemierre syndrome—Treat with antibiotics, anticoagulants or both? J. Intern. Med. 2021, 289, 437–438. [Google Scholar] [CrossRef] [PubMed]
- Hill, U.G.; Vallis, M.P.; Cotter, T.; Hegarty, M.A. Has Lemierre’s syndrome become a bacteriological diagnosis? Br. J. Hosp. Med. 2010, 71, 169. [Google Scholar] [CrossRef] [PubMed]




| Laboratory Analysis | Patient’s Result | Reference Range |
|---|---|---|
| WBC (cells/μL) | 4870 | 4000–11,000 |
| Neutrophils (cells/μL) | 4270 | 4000–7400 |
| Lymphocytes (cells/μL) | 520 | 2000–4800 |
| Monocytes (cells/μL) | 70 | 160–1000 |
| PLT (n/μL) | 75,000 | 150,000–450,000 |
| Hb (g/dL) | 7.6 | 12–16 |
| ALP (U/L) | 98 | 35–104 |
| ALT (U/L) | 21 | 0–35 |
| AST (U/L) | 8 | 0–35 |
| GGT (U/L) | 43 | 5–36 |
| Bilirubin (mg/dL) | 0.31 | <1.2 |
| Creatinine (mg/dL) | 0.38 | 0.51–0.95 |
| CRP (mg/L) | 143 | <5 |
| Total cholesterol (mg/dL) | 273 | <200 |
| Triglycerides (mg/dL) | 491 | <150 |
| Fibrinogen (mg/dL) | 1032 | 150–450 |
Disclaimer/Publisher’s Note: The statements, opinions and data contained in all publications are solely those of the individual author(s) and contributor(s) and not of MDPI and/or the editor(s). MDPI and/or the editor(s) disclaim responsibility for any injury to people or property resulting from any ideas, methods, instructions or products referred to in the content. |
© 2024 by the authors. Licensee MDPI, Basel, Switzerland. This article is an open access article distributed under the terms and conditions of the Creative Commons Attribution (CC BY) license (https://creativecommons.org/licenses/by/4.0/).
Share and Cite
Pipitò, L.; Anastasia, A.; Passalacqua, F.; D’Agati, G.; Di Figlia, F.; Romanin, B.; Bonura, S.; Rubino, R.; Inzerillo, A.; Sarno, C.; et al. Lemierre Syndrome Associated with Streptococcus constellatus and Atypical Vascular Involvement: A Case Report and Review of the Literature. Infect. Dis. Rep. 2024, 16, 1064-1074. https://doi.org/10.3390/idr16060086
Pipitò L, Anastasia A, Passalacqua F, D’Agati G, Di Figlia F, Romanin B, Bonura S, Rubino R, Inzerillo A, Sarno C, et al. Lemierre Syndrome Associated with Streptococcus constellatus and Atypical Vascular Involvement: A Case Report and Review of the Literature. Infectious Disease Reports. 2024; 16(6):1064-1074. https://doi.org/10.3390/idr16060086
Chicago/Turabian StylePipitò, Luca, Antonio Anastasia, Fabrizio Passalacqua, Giulio D’Agati, Floriana Di Figlia, Benedetta Romanin, Silvia Bonura, Raffaella Rubino, Agostino Inzerillo, Caterina Sarno, and et al. 2024. "Lemierre Syndrome Associated with Streptococcus constellatus and Atypical Vascular Involvement: A Case Report and Review of the Literature" Infectious Disease Reports 16, no. 6: 1064-1074. https://doi.org/10.3390/idr16060086
APA StylePipitò, L., Anastasia, A., Passalacqua, F., D’Agati, G., Di Figlia, F., Romanin, B., Bonura, S., Rubino, R., Inzerillo, A., Sarno, C., & Cascio, A. (2024). Lemierre Syndrome Associated with Streptococcus constellatus and Atypical Vascular Involvement: A Case Report and Review of the Literature. Infectious Disease Reports, 16(6), 1064-1074. https://doi.org/10.3390/idr16060086

