Fulminant Invasive Aspergillosis in a Previously Healthy Woman After Cesarean Section and a Review of the Literature
Abstract
1. Introduction
2. Case Description
2.1. Presentation
2.2. Investigations
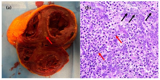
2.3. Autopsy
3. Materials and Methods
4. Discussion
4.1. Invasive Aspergillosis During Pregnancy
4.2. Aspergillus Meningitis Secondary to Spinal Anesthesia
4.3. Postpartum Invasive Aspergillosis
4.4. Our Case
5. Conclusions
Author Contributions
Funding
Institutional Review Board Statement
Informed Consent Statement
Data Availability Statement
Conflicts of Interest
References
- Cadena, J.; Thompson, G.R., III; Patterson, T.F. Aspergillosis: Epidemiology, Diagnosis, and Treatment. Infect. Dis. Clin. North Am. 2021, 35, 415–434. [Google Scholar] [CrossRef] [PubMed]
- Tischler, B.Y.; Hohl, T.M. Menacing Mold: Recent Advances in Aspergillus Pathogenesis and Host Defense. J. Mol. Biol. 2019, 431, 4229–4246. [Google Scholar] [CrossRef] [PubMed]
- Li, Z.; Lu, G.; Meng, G. Pathogenic Fungal Infection in the Lung. Front. Immunol. 2019, 10, 1524. [Google Scholar] [CrossRef] [PubMed]
- Chen, L.; Han, X.; Li, Y.; Zhang, C.; Xing, X. Invasive pulmonary aspergillosis in immunocompetent patients hospitalised with influenza A-related pneumonia: A multicenter retrospective study. BMC Pulm. Med. 2020, 20, 239. [Google Scholar] [CrossRef] [PubMed]
- Duan, Y.; Ou, X.; Chen, Y.; Liang, B.; Ou, X. Severe Influenza with Invasive Pulmonary Aspergillosis in Immunocompetent Hosts: A Retrospective Cohort Study. Front. Med. 2021, 7, 602732. [Google Scholar] [CrossRef]
- Otu, A.; Kosmidis, C.; Mathioudakis, A.G.; Ibe, C.; Denning, D.W. The clinical spectrum of aspergillosis in chronic obstructive pulmonary disease. Infection 2023, 51, 813–829. [Google Scholar] [CrossRef]
- Pasqualotto, A.C.; Denning, D.W. Post-operative aspergillosis. Clin. Microbiol. Infect. 2006, 12, 1060–1076. [Google Scholar] [CrossRef]
- Tartiere, D.; Seguin, P.; Malledant, Y.; Gangneux, J.P. Sepsis may be a new risk factor for invasive aspergillosis in immunocompetent patients. Int. J. Tuberc. Lung Dis. 2012, 16, 1135–1136. [Google Scholar] [CrossRef]
- Huang, S.-F.; Wu, A.Y.-J.; Lee, S.S.-J.; Huang, Y.-S.; Lee, C.-Y.; Yang, T.-L.; Wang, H.-W.; Chen, H.J.; Chen, Y.C.; Ho, T.-S.; et al. COVID-19 associated mold infections: Review of COVID-19 associated pulmonary aspergillosis and mucormycosis. J. Microbiol. Immunol. Infect. 2023, 56, 442–454. [Google Scholar] [CrossRef]
- Li, W.; Chen, G.; Lin, F.; Yang, H.; Cui, Y.; Lu, R.; Song, C.; Li, H.; Li, Y.; Pan, P. A score for predicting invasive pulmonary aspergillosis in immunocompetent critically ill patients. Eur. J. Clin. Investig. 2023, 53, e13985. [Google Scholar] [CrossRef]
- Nulens, E.F.; Bourgeois, M.J.; Reynders, M.B. Post-influenza aspergillosis, do not underestimate influenza B. Infect. Drug Resist. 2017, 10, 61–67. [Google Scholar] [CrossRef]
- Fernández-Trujillo, L.; Eraso, I.; Morales, E.I.; Sua, L.F. Invasive Aspergillosis in a Patient with Diabetes Mellitus as the Only Risk Factor: Case Report and Literature Review. J. Investig. Med. High Impact Case Rep. 2023, 11, 23247096231175443. [Google Scholar] [CrossRef] [PubMed]
- Mellor, A.L.; Munn, D.H. Immunology at the maternal-fetal interface: Lessons for T cell tolerance and suppression. Annu. Rev. Immunol. 2000, 18, 367–391. [Google Scholar] [CrossRef] [PubMed]
- Abu-Raya, B.; Michalski, C.; Sadarangani, M.; Lavoie, P.M. Maternal Immunological Adaptation During Normal Pregnancy. Front. Immunol. 2020, 11, 575197. [Google Scholar] [CrossRef] [PubMed]
- Chai, Y.; Wang, H.; Tang, D.; Wu, Y.; Sun, Z.; Zeng, Y.; Zhang, B.; Niu, B.; Dong, X. Changes of serum cortisol during pregnancy and labor initiation: An onsite cross-sectional study. Front. Endocrinol. 2024, 15, 1379693. [Google Scholar] [CrossRef]
- Aoki, F.; Sando, Y.; Tajima, S.; Imai, K.; Hosono, T.; Maeno, T.; Suga, T.; Sugano, J.; Shitara, Y.; Kurabayashi, M. Invasive pulmonary aspergillosis in a puerperant with drug-induced agranulocytosis. Intern. Med. 2001, 40, 1128–1131. [Google Scholar] [CrossRef]
- Kobayashi, M.; Ito, M.; Hotchi, M. An autopsy case of HELLP syndrome with disseminated aspergillosis. Nihon Ishinkin Gakkai Zasshi. 2000, 41, 103–107. [Google Scholar] [CrossRef][Green Version]
- Vaideeswar, P.; Chaudhari, J.; Goel, N. Fungal fibrosing mediastinitis in pregnancy-Case report with review of literature. J. Postgrad. Med. 2019, 65, 52–55. [Google Scholar] [CrossRef]
- Abd Rahman, N.A.; Ng, B.H.; Nik Abeed, N.N.; Ismail, M.I.; Abdul Hamid, M.F.; Ban Yu-Lin, A. Massive hemoptysis in pregnancy due to invasive pulmonary aspergillosis with pulmonary tuberculosis co-infection. Respirol. Case Rep. 2024, 12, e01315. [Google Scholar] [CrossRef]
- Ray, A.; Suri, J.C.; Sen, M.K.; Chakrabarti, S.; Gupta, A.; Capoor, M. Cavitating lung disease due to concomitant drug resistant tuberculosis and invasive pulmonary Aspergillosis in a post-partum patient: A case report. Indian J. Tuberc. 2015, 62, 50–53. [Google Scholar] [CrossRef] [PubMed]
- Alsulaiman, H.M.; Elkhamary, S.M.; Alrajeh, M.; Al-Alsheikh, O.; Al-Ghadeer, H. Invasive sino-orbital aspergillosis with brain invasion in an immunocompetent pregnant patient. Am. J. Ophthalmol. Case Rep. 2021, 24, 101210. [Google Scholar] [CrossRef] [PubMed]
- Klock, C.; Cerski, M.; Dargel, A.; Goldani, L.Z. Case Report. Disseminated aspergillosis complicating pregnancy. Mycoses 2002, 45, 408–410. [Google Scholar] [CrossRef] [PubMed]
- Pagliano, P.; Attanasio, V.; Fusco, U.; Rossi, M.; Scarano, F.; Faella, F.S. Pulmonary aspergillosis with possible cerebral involvement in a previously healthy pregnant woman. J. Chemother. 2004, 16, 604–607. [Google Scholar] [CrossRef] [PubMed]
- Ben Rejeb, A.; Boubaker, S.; Turki, I.; Massaoudi, L.; Chibani, M.; Khouja, H. L’aspergillose placentaire: Mythe ou réalité? A propos d’une observation avec mort foetale in utero. [Placental aspergillosis: Myth or reality? Apropos of a case with fetal death in utero]. J. Gynecol. Obs. Biol. Reprod. 1993, 22, 85–89. (In French) [Google Scholar]
- Stemmet, F.; Davies, J.Q.; von Oppell, U.O. Postpneumonectomy aortic arch mycotic aneurysm. Ann. Thorac. Surg. 2001, 71, 1030–1032. [Google Scholar] [CrossRef]
- Lokuhetty, M.D.; Wijesinghe, H.D.; Weerasundera, B.; Dayapala, A. Iatrogenic Aspergillus infection of the central nervous system in a pregnant woman. Indian J. Pathol. Microbiol. 2009, 52, 427–429. [Google Scholar] [CrossRef]
- Briones-Claudett, K.H.; Briones-Claudett, M.H.; Murillo Vasconez, R.A.; Alfonzo Pacheco, M.F.; Martinez Armijo, E.A.; Briones Zamora, K.H.; Brionez Marquez, D.C.; Franco Chávez, D.; Grunauer, M. Invasive Subacute Pulmonary Aspergillosis After Puerperal Sepsis: Case Report. J. Investig. Med. High Impact Case Rep. 2020, 8, 2324709620977707. [Google Scholar] [CrossRef]
- Shoai Tehrani, M.; Sicre de Fontbrune, F.; Roth, P.; Allizy, C.; Bougnoux, M.-E.; Hermine, O.; Lecuit, M.; Lortholary, O.; Charlier, C. Case report of exposure to voriconazole in the second and third trimesters of pregnancy. Antimicrob. Agents Chemother. 2013, 57, 1094–1095. [Google Scholar] [CrossRef]
- Shah, M.; Singhal, P. Rare Case: Invasive Pseudomembranous Aspergillus Tracheobronchitis in a Postpartum Patient Presenting with Stridor. J. Bronchol. Interv. Pulmonol. 2015, 22, 248–250. [Google Scholar] [CrossRef]
- Johnson, J.A.; Pearson, J.C.; Kubiak, D.W.; Dionne, B.; Little, S.E.; Wesemann, D.R. Treatment of Chronic Granulomatous Disease-Related Pulmonary Aspergillus Infection in Late Pregnancy. Open Forum Infect. Dis. 2020, 7, ofaa447. [Google Scholar] [CrossRef]
- Gunaratne, P.S.; Wijeyaratne, C.N.; Chandrasiri, P.; Sivakumaran, S.; Sellahewa, K.; Perera, P.; Fernando, R.; Wanigasinghe, J.; Jayasinghe, S.; Ranawala, R.; et al. An outbreak of Aspergillus meningitis following spinal anaesthesia for caesarean section in Sri Lanka: A post-tsunami effect? Ceylon Med. J. 2006, 51, 137–142. [Google Scholar] [CrossRef] [PubMed]
- Rodrigo, N.; Perera, K.N.; Ranwala, R.; Jayasinghe, S.; Warnakulasuriya, A.; Hapuarachchi, S. Aspergillus meningitis following spinal anaesthesia for caesarean section in Colombo, Sri Lanka. Int. J. Obs. Anesth. 2007, 16, 256–260. [Google Scholar] [CrossRef] [PubMed]
- Das, D.; Modaboyina, S.; Bhandari, A.; Agrawal, S. Lower eyelid aspergillosis infection mimicking a pyogenic granuloma in a pregnant lady. BMJ Case Rep. 2020, 13, e238732. [Google Scholar] [CrossRef] [PubMed]
- Sulik-Tyszka, B.; Kacprzyk, P.; Mądry, K.; Ziarkiewicz-Wróblewska, B.; Jędrzejczak, W.; Wróblewska, M. Aspergillosis of the Heart and Lung and Review of Published Reports on Fungal Endocarditis. Mycopathologia 2016, 181, 583–588. [Google Scholar] [CrossRef]
- Akash, M.S.H.; Rehman, K.; Fiayyaz, F.; Sabir, S.; Khurshid, M. Diabetes-associated infections: Development of antimicrobial resistance and possible treatment strategies. Arch. Microbiol. 2020, 202, 953–965. [Google Scholar] [CrossRef]
- Shaikh, S.R.; Beck, M.A.; Alwarawrah, Y.; MacIver, N.J. Emerging mechanisms of obesity-associated immune dysfunction. Nat. Rev. Endocrinol. 2024, 20, 136–148. [Google Scholar] [CrossRef]
- Chignard, M.; Balloy, V.; Sallenave, J.M.; Si-Tahar, M. Role of Toll-like receptors in lung innate defense against invasive aspergillosis. Distinct impact in immunocompetent and immunocompromized hosts. Clin. Immunol. 2007, 124, 238–243. [Google Scholar] [CrossRef]
- Sainz, J.; Salas-Alvarado, I.; López-Fernández, E.; Olmedo, C.; Comino, A.; Blanco, A.; Carcia, F.; Gomez-Lopera, S.; Oyonarte, S.; Bueno, P.; et al. TNFR1 mRNA expression level and TNFR1 gene polymorphisms are predictive markers for susceptibility to develop invasive pulmonary aspergillosis. Int. J. Immunopathol. Pharmacol. 2010, 23, 423–436. [Google Scholar] [CrossRef]
- Koldehoff, M.; Beelen, D.W.; Elmaagacli, A.H. Increased susceptibility for aspergillosis and post-transplant immune deficiency in patients with gene variants of TLR4 after stem cell transplantation. Transpl. Infect. Dis. 2013, 15, 533–539. [Google Scholar] [CrossRef]
- Zaas, A.K.; Liao, G.; Chien, J.W.; Weinberg, C.; Shore, D.; Giles, S.S.; Maarr, K.A.; Usuka, J.; Burch, L.H.; Perera, L.; et al. Plasminogen alleles influence susceptibility to invasive aspergillosis. PLoS Genet. 2008, 4, e1000101. [Google Scholar] [CrossRef]
- Gonçalves, S.M.; Antunes, D.; Leite, L.; Mercier, T.; ter Horst, R.; Vieira, J.; Espada, E.; Vaz, C.P.; Branca, R.; Campilho, F.; et al. Genetic Variation in PFKFB3 Impairs Antifungal Immunometabolic Responses and Predisposes to Invasive Pulmonary Aspergillosis. mBio 2021, 12, e0036921. [Google Scholar] [CrossRef]
- White, P.L.; Parr, C.; Barnes, R.A. Predicting Invasive Aspergillosis in Hematology Patients by Combining Clinical and Genetic Risk Factors with Early Diagnostic Biomarkers. J. Clin. Microbiol. 2017, 56, e01122–e01217. [Google Scholar] [CrossRef]





| Laboratory Analysis | Patient’s Result | Reference Range |
|---|---|---|
| WBC (cells/μL) | 1290 | 4000–10,000 |
| Neutrophils (%) | 85 | 50–70 |
| Lymphocytes (%) | 12.4 | 20–40 |
| Monocytes (%) | 1.2 | 3–12 |
| PLT (n/μL) | 213,000 | 120,000–450,000 |
| Hematocrit (%) | 41.5 | 36–54 |
| Hb (g/dL) | 14.2 | 11.5–16 |
| ALT (U/L) | 23 | 0–35 |
| AST (U/L) | 9 | 0–35 |
| GGT (U/L) | 3 | 12–64 |
| Bilirubin (mg/dL) | 0.56 | <1.2 |
| Creatinine (mg/dL) | 2.9 | 0.57–1.11 |
| LDH (mg/dL) | 428 | 125–220 |
| CRP (mg/L) | 320 | <5 |
| PCT (mg/mL) | 48.24 | <0.5 |
| Fibrinogen (mg/dL) | 715 | 140–450 |
| Authors | Gestational Period | Risk Factors or Complication | Organ Involvement | Aspergillus Species | Outcome |
|---|---|---|---|---|---|
| Aoki et al. [16] | Postpartum | Drug-induced neutropenia | Lungs | A. fumigatus | Dead |
| Kobayashi et al. [17] | Postpartum | HELLP syndrome, hysterectomy for uterine hemorrhage | Lungs, brain, heart, stomach, esophagus, trachea, thyroid | Not available | Dead |
| Vaideeswar et al. [18] | Third trimester | Eclampsia, Tuberculosis | Brain, fibrosing mediastinitis | Not available | Dead |
| Abd Rahman et al. [19] | Third trimester | Tuberculosis, systemic lupus erythematosus | Lungs | Not available | Maternal recovery and preterm birth |
| Ray et al. [20] | Postpartum | Tuberculosis | Lungs | A. fumigatus | Dead |
| Alsulaiman et al. [21] | Second trimester | Prior history of surgery | Brain, invasive sinusitis with intracranial extension | Not available | Maternal recovery and spontaneous abortion |
| Klock et al. [22] | Second trimester | None | Lungs, brain, liver | Not available | Maternal and fetal death |
| Pagliano et al. [23] | Third trimester | None | Lungs, brain | A. fumigatus | Maternal recovery |
| Ben Rejeb et al. [24] | Trimester was not specified | None | Placenta | A. niger | Fetal death |
| Stemmet et al. [25] | Postpartum | Tuberculosis, preeclampsia, aspiration pneumonia, cesarean section | Lungs, mycotic aneurysm of the aortic arch | A. fumigatus | Dead |
| Lokuhetty et al. [26] | Postpartum | Inoculation during spinal anesthesia | Brain | A. fumigatus | Dead |
| Briones-Claudett et al. [27] | Postpartum | Puerperal sepsis, partial hysterectomy | Lungs | A. fumigatus | Maternal recovery |
| Shoai et al. [28] | Second trimester | Aplastic anemia | Lungs, maxillary sinusitis with periorbital cellulitis | A. flavus | Maternal recovery |
| Shah et al. [29] | Postpartum | None | Pseudomembranous aspergillus tracheobronchitis | A. fumigatus | Lost to follow-up |
| Johnson et al. [30] | First trimester | Chronic granulomatous disease | Lungs | A. fumigatus | Maternal recovery |
Disclaimer/Publisher’s Note: The statements, opinions and data contained in all publications are solely those of the individual author(s) and contributor(s) and not of MDPI and/or the editor(s). MDPI and/or the editor(s) disclaim responsibility for any injury to people or property resulting from any ideas, methods, instructions or products referred to in the content. |
© 2024 by the authors. Licensee MDPI, Basel, Switzerland. This article is an open access article distributed under the terms and conditions of the Creative Commons Attribution (CC BY) license (https://creativecommons.org/licenses/by/4.0/).
Share and Cite
Pipitò, L.; Baldino, G.; Bartoloni, G.; Sanguinetti, M.; Ventura Spagnolo, E.; Cascio, A. Fulminant Invasive Aspergillosis in a Previously Healthy Woman After Cesarean Section and a Review of the Literature. Infect. Dis. Rep. 2024, 16, 1263-1273. https://doi.org/10.3390/idr16060100
Pipitò L, Baldino G, Bartoloni G, Sanguinetti M, Ventura Spagnolo E, Cascio A. Fulminant Invasive Aspergillosis in a Previously Healthy Woman After Cesarean Section and a Review of the Literature. Infectious Disease Reports. 2024; 16(6):1263-1273. https://doi.org/10.3390/idr16060100
Chicago/Turabian StylePipitò, Luca, Gennaro Baldino, Giovanni Bartoloni, Maurizio Sanguinetti, Elvira Ventura Spagnolo, and Antonio Cascio. 2024. "Fulminant Invasive Aspergillosis in a Previously Healthy Woman After Cesarean Section and a Review of the Literature" Infectious Disease Reports 16, no. 6: 1263-1273. https://doi.org/10.3390/idr16060100
APA StylePipitò, L., Baldino, G., Bartoloni, G., Sanguinetti, M., Ventura Spagnolo, E., & Cascio, A. (2024). Fulminant Invasive Aspergillosis in a Previously Healthy Woman After Cesarean Section and a Review of the Literature. Infectious Disease Reports, 16(6), 1263-1273. https://doi.org/10.3390/idr16060100

