Neurocysticercosis in Low- and Middle-Income Countries, a Diagnostic Challenge from Oyam District, Uganda
Abstract
:1. Introduction
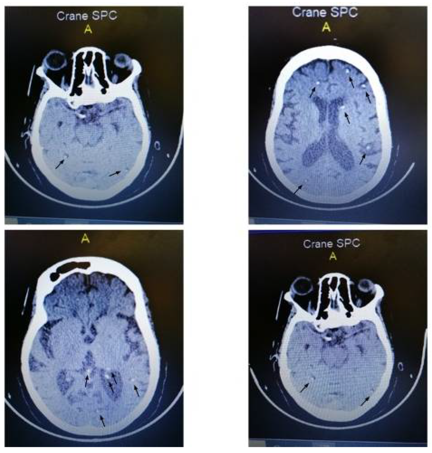
2. Case Presentation
3. Discussion
4. Conclusions
Author Contributions
Funding
Institutional Review Board Statement
Informed Consent Statement
Data Availability Statement
Acknowledgments
Conflicts of Interest
References
- World Health Organization (WHO). Working to Overcome the Global Impact of Neglected Tropical Diseases: First WHO Report on Neglected Tropical Diseases. Trab Para Superar O Impacto Glob Doenças Trop Neglig Prim Relatório OMS Sobre Doenças Trop Neglig. 2010. Available online: https://apps.who.int/iris/handle/10665/44440 (accessed on 16 May 2022).
- World Health Organization (WHO). Taeniasis/Cysticercosis. Key Facts. 2022. Available online: https://www.who.int/news-room/fact-sheets/detail/taeniasis-cysticercosis (accessed on 26 June 2022).
- Garcia, H.H.; Nash, T.E.; Del Brutto, O.H. Clinical symptoms, diagnosis, and treatment of neurocysticercosis. Lancet Neurol. 2014, 13, 1202–1215. [Google Scholar] [CrossRef]
- Torgerson, P.R.; Devleesschauwer, B.; Praet, N.; Speybroeck, N.; Willingham, A.L.; Kasuga, F.; Rokni, M.B.; Zhou, X.-N.; Fevre, E.M.; Sripa, B.; et al. World Health Organization Estimates of the Global and Regional Disease Burden of 11 Foodborne Parasitic Diseases, 2010: A Data Synthesis. PLoS Med. 2015, 12, e1001920. [Google Scholar] [CrossRef] [PubMed] [Green Version]
- Phiri, I.K.; Ngowi, H.; Afonso, S.; Matenga, E.; Boa, M.; Mukaratirwa, S.; Githigia, S.; Saimo, M.; Sikasunge, C.; Maingi, N.; et al. The emergence of Taenia solium cysticercosis in Eastern and Southern Africa as a serious agricultural problem and public health risk. Acta Trop. 2003, 87, 13–23. [Google Scholar] [CrossRef] [Green Version]
- Minister of Agriculture, Animal Industry and Fisheries. Policy Statement for The Ministry of Agriculture, Animal Industry and Fisheries. Available online: https://www.csbag.org/download/ministerial-policy-statement-for-the-ministry-of-agriculture-animal-industry-and-fisheries-for-the-fy-2016-17/# (accessed on 16 May 2022).
- Waiswa, C.; Fèvre, E.M.; Nsadha, Z.; Sikasunge, C.S.; Willingham, A.L. Porcine Cysticercosis in Southeast Uganda: Seroprevalence in Kamuli and Kaliro Districts. J. Parasitol. Res. 2009, 2009, 375493. [Google Scholar] [CrossRef] [PubMed]
- John, C.C.; Carabin, H.; Montano, S.M.; Bangirana, P.; Zunt, J.R.; Peterson, P.K. Global research priorities for infections that affect the nervous system. Nature 2015, 527, S178–S186. [Google Scholar] [CrossRef] [PubMed]
- Dupont, F.; Trevisan, C.; Kaducu, J.M.; Ovuga, E.; Schmidt, V.; Winkler, A.S.; Devleesschauwer, B. Human health and economic impact of neurocysticercosis in Uganda. Trop. Med. Int. Health 2022, 27, 99–109. [Google Scholar] [CrossRef] [PubMed]
- García, H.H.; Del Brutto, O.H. Imaging findings in neurocysticercosis. Acta Trop. 2003, 87, 71–78. [Google Scholar] [CrossRef]
- Citow, J.S.; Johnson, J.P.; McBride, D.Q.; Ammirati, M. Imaging features and surgery-related outcomes in intraventricular neurocysticercosis. Neurosurg. Focus 2002, 12, e6. [Google Scholar] [CrossRef] [PubMed]
- Del Brutto, O.H.; Lama, J.; Zambrano, M.; García, H.H.; Del Brutto, V.J.; Campos, X.; Salgado, P. Calcified Neurocysticercosis Associates with Hippocampal Atrophy: A Population-Based Study. Am. J. Trop. Med. Hyg. 2015, 92, 64–68. [Google Scholar] [CrossRef] [PubMed] [Green Version]
- World Health Organization (WHO). WHO Guidelines on Management of Taenia solium Neurocysticercosis; World Health Organization: Geneva, Switzerland, 2021; Available online: https://apps.who.int/iris/handle/10665/344802 (accessed on 16 May 2022).
- Morgado, C.; Gomes, L.B.; de Campos, J.G. Neurocysticercosis. An imaging analysis of 35 cases. Acta Med. Port 1994, 7, 269–275. [Google Scholar] [PubMed]
- Yadav, H.; Shah, D.; Sayed, S.; Horton, S.; Schroeder, L.F. Availability of essential diagnostics in ten low-income and middle-income countries: Results from national health facility surveys. Lancet Glob. Health 2021, 9, e1553–e1560. [Google Scholar] [CrossRef]
- Valtis, Y.K.; Cochran, M.F.; Martineau, L.; Lamour, B.; Mendel, J.B.; Berkowitz, A.L. Head CT findings at a public hospital in rural Haiti. J. Neurol. Sci. 2017, 379, 327–330. [Google Scholar] [CrossRef] [PubMed]
- Corda, M.; Sciurba, J.; Blaha, J.; Mahanty, S.; Paredes, A.; Garcia, H.H.; Nash, T.E.; Nutman, T.B.; O’Connell, E.M. A recombinant monoclonal-based Taenia antigen assay that reflects disease activity in extra-parenchymal neurocysticercosis. PLoS Negl. Trop. Dis. 2022, 16, e0010442. [Google Scholar] [CrossRef]

Publisher’s Note: MDPI stays neutral with regard to jurisdictional claims in published maps and institutional affiliations. |
© 2022 by the authors. Licensee MDPI, Basel, Switzerland. This article is an open access article distributed under the terms and conditions of the Creative Commons Attribution (CC BY) license (https://creativecommons.org/licenses/by/4.0/).
Share and Cite
Segala, F.V.; De Vita, E.; Amone, J.; Ongaro, D.; Nassali, R.; Oceng, B.; Okori, S.; Putoto, G.; Lochoro, P.; Ictho, J.; et al. Neurocysticercosis in Low- and Middle-Income Countries, a Diagnostic Challenge from Oyam District, Uganda. Infect. Dis. Rep. 2022, 14, 505-508. https://doi.org/10.3390/idr14040054
Segala FV, De Vita E, Amone J, Ongaro D, Nassali R, Oceng B, Okori S, Putoto G, Lochoro P, Ictho J, et al. Neurocysticercosis in Low- and Middle-Income Countries, a Diagnostic Challenge from Oyam District, Uganda. Infectious Disease Reports. 2022; 14(4):505-508. https://doi.org/10.3390/idr14040054
Chicago/Turabian StyleSegala, Francesco Vladimiro, Elda De Vita, James Amone, Daniel Ongaro, Ritah Nassali, Bonny Oceng, Samuel Okori, Giovanni Putoto, Peter Lochoro, Jerry Ictho, and et al. 2022. "Neurocysticercosis in Low- and Middle-Income Countries, a Diagnostic Challenge from Oyam District, Uganda" Infectious Disease Reports 14, no. 4: 505-508. https://doi.org/10.3390/idr14040054
APA StyleSegala, F. V., De Vita, E., Amone, J., Ongaro, D., Nassali, R., Oceng, B., Okori, S., Putoto, G., Lochoro, P., Ictho, J., Fantoni, M., Saracino, A., & Di Gennaro, F. (2022). Neurocysticercosis in Low- and Middle-Income Countries, a Diagnostic Challenge from Oyam District, Uganda. Infectious Disease Reports, 14(4), 505-508. https://doi.org/10.3390/idr14040054

