CT and MR Imaging of Hepatocellular Carcinoma and Liver Cirrhosis
Abstract
1. Introduction
2. CT and MR Examinations of Liver Tumors
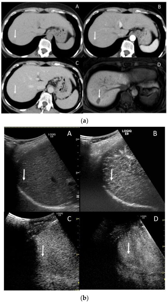
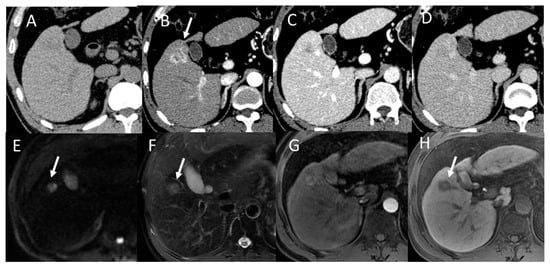
2.1. HCC Imaging on CT
2.2. HCC Imaging on MRI
2.3. Liver Imaging Reporting and Data System (LI-RADS)
2.4. American Association for the Study of Liver Diseases (AASLD)
3. Imaging Evaluation Methods for Cirrhosis and Other Diseases That Cause Liver Dysfunction
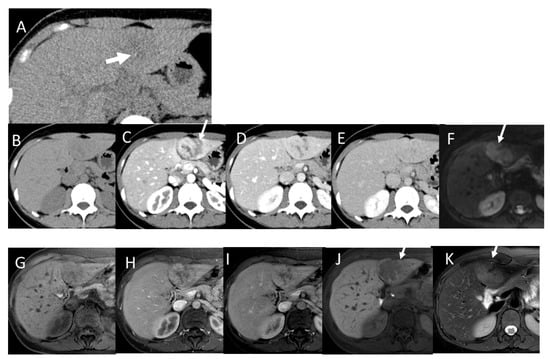
3.1. CT and MR Features of Liver Cirrhosis (LC)
3.2. Ultrasonography (US) and Magnetic Resonance Elastography (MRE)
3.3. Technetium99mgalactosyl-Serum-Albumin (99mTc-GSA) Scintigraphy
3.4. Extracellular Volume Fraction (ECV)
3.5. Extracellular Volume Fraction (ECV)
3.6. Gadoxetic Acid Enhanced MRI (EOB-MRI)
4. Hepatocellular Carcinoma (HCC) Imaging
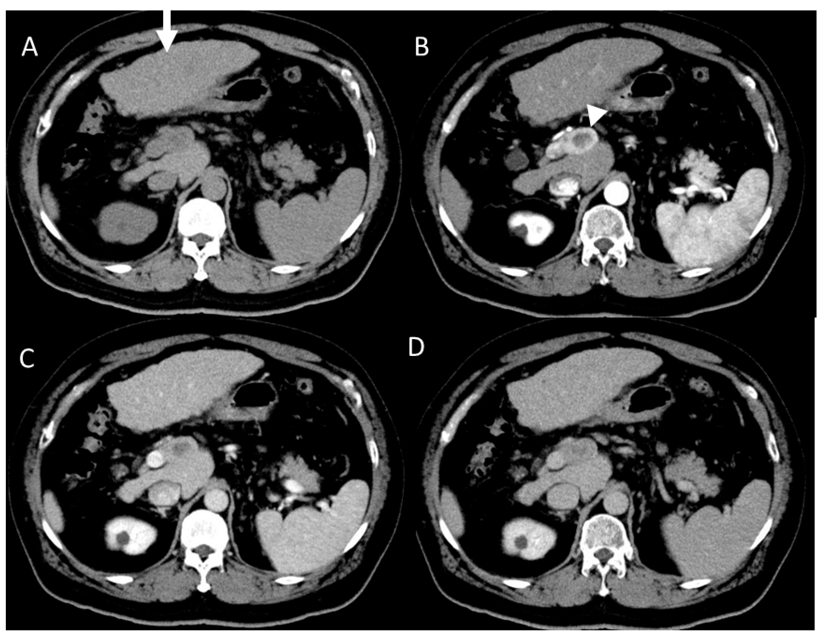
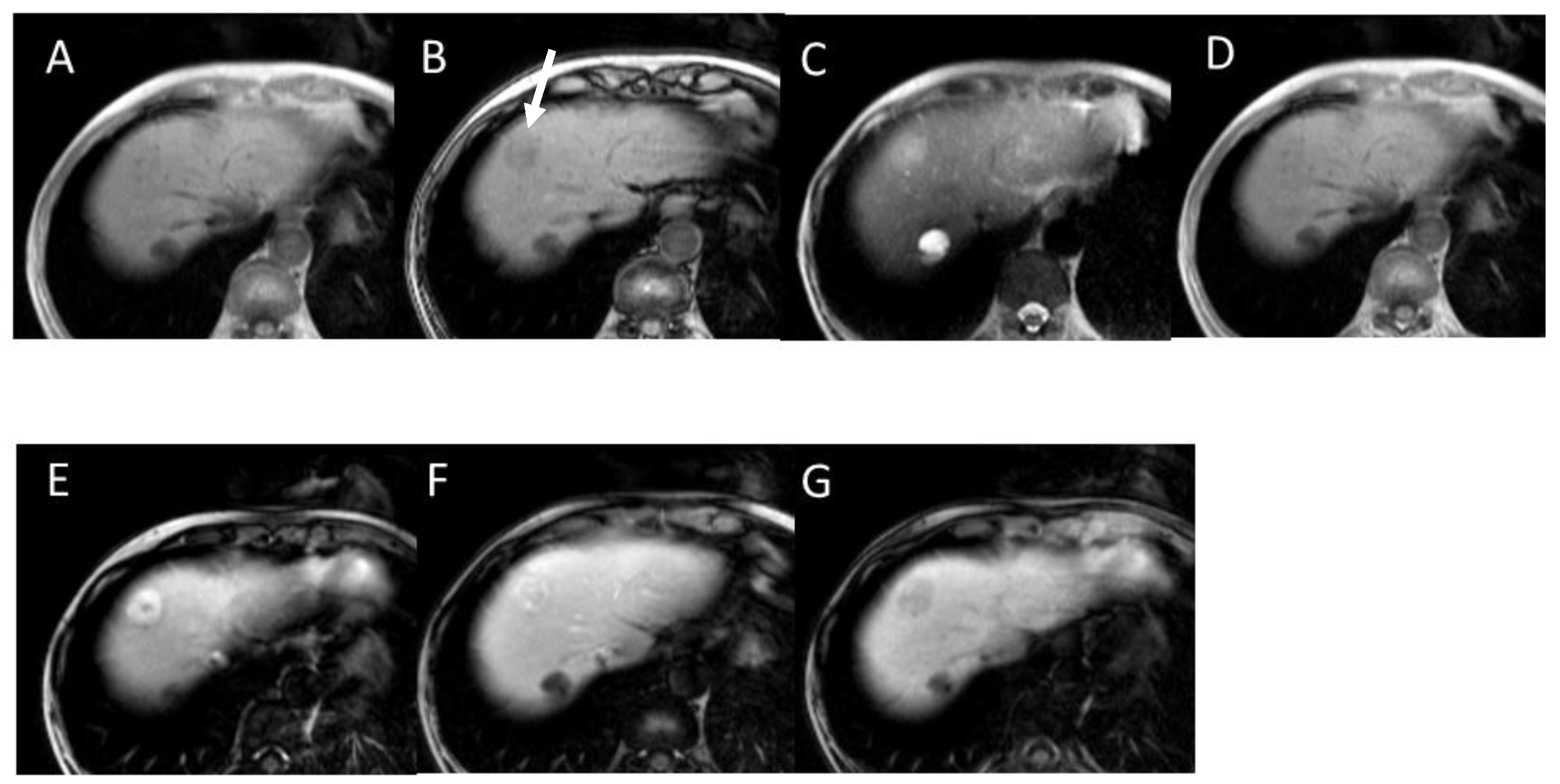
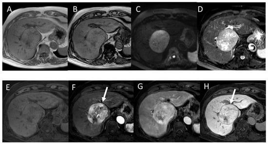
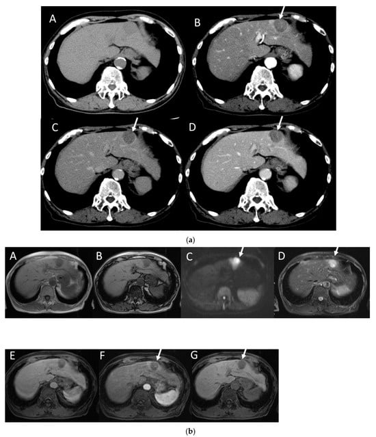
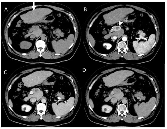
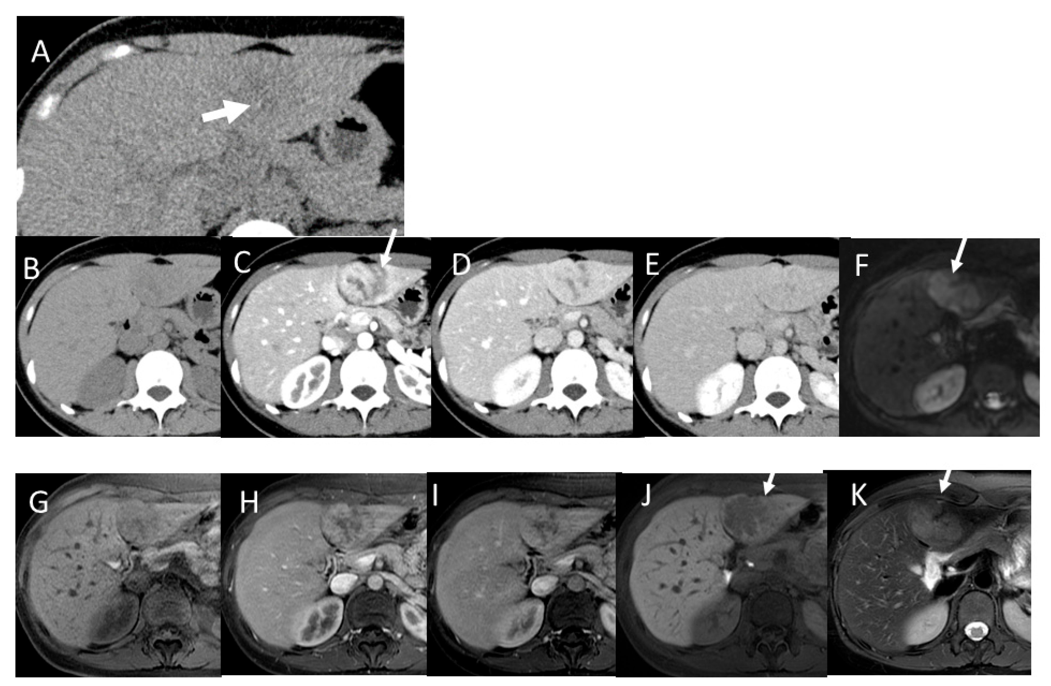
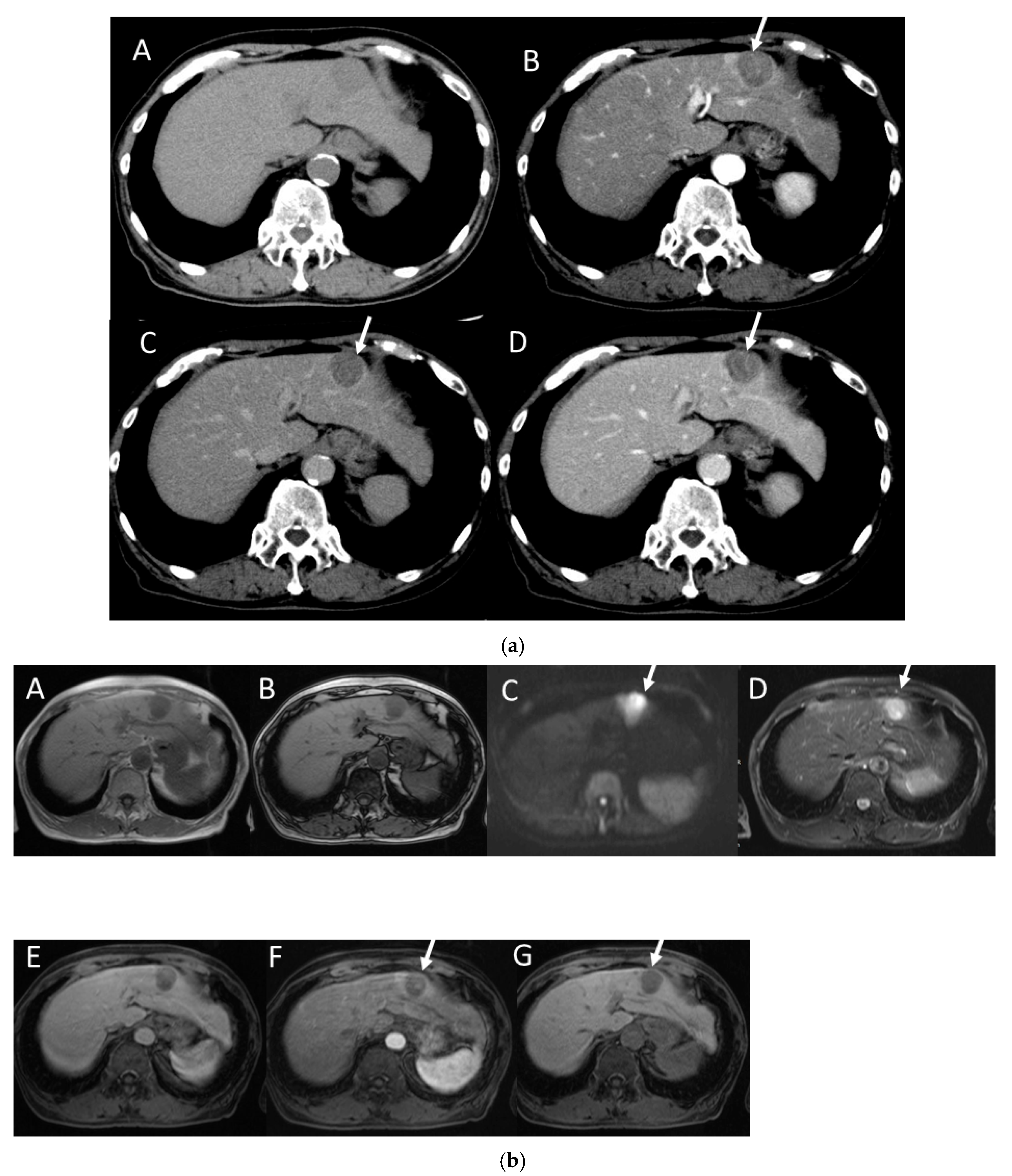
4.1. Hepatocellular Carcinoma (HCC)
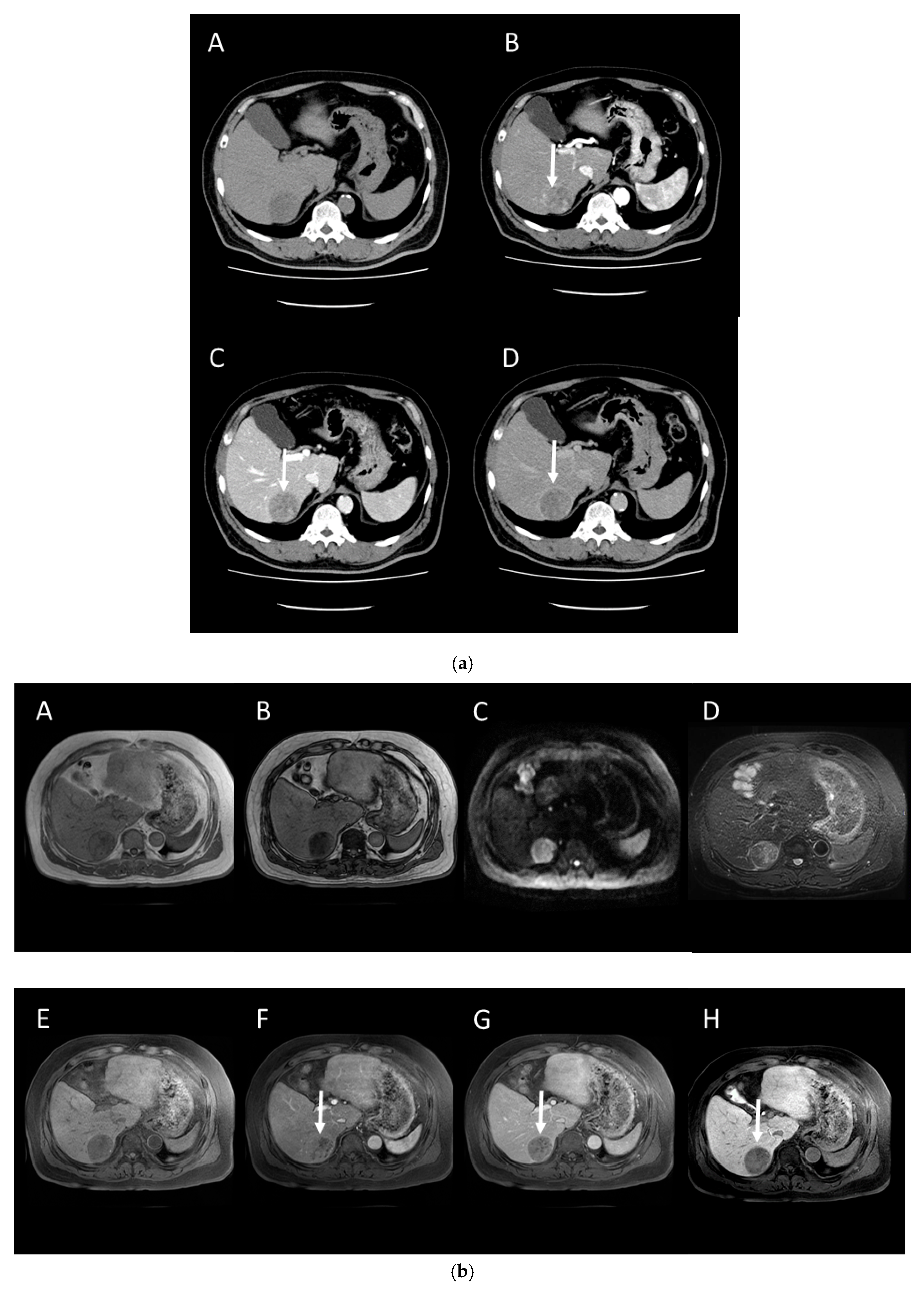
4.2. Early Hepatocellular Carcinoma (Early-HCC)
4.3. Well-Differentiated Hepatocellular Carcinoma (Well-HCC)
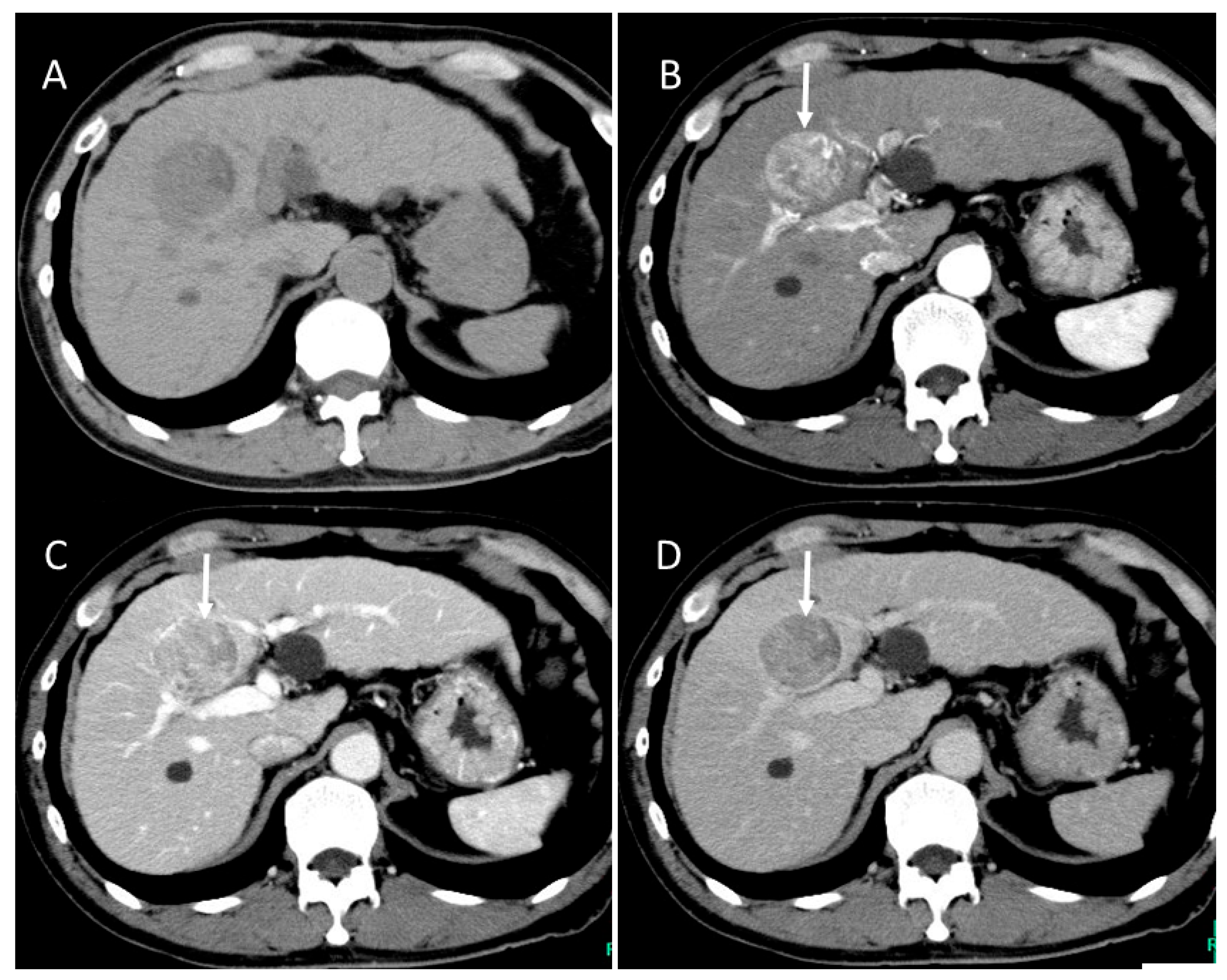
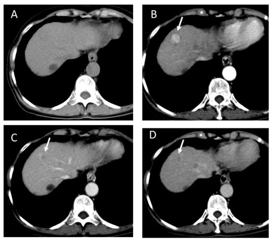
4.4. Moderately Differentiated Hepatocellular Carcinoma (Moderately HCC)
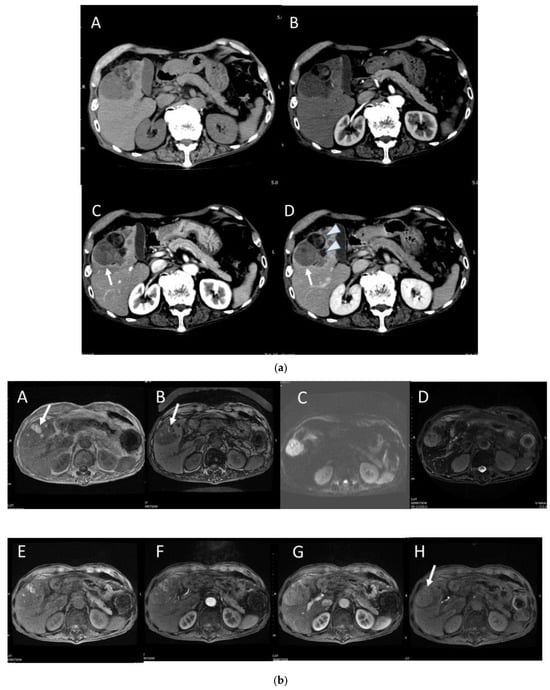
4.5. Poorly Differentiated Hepatocellular Carcinoma (Poorly HCC)
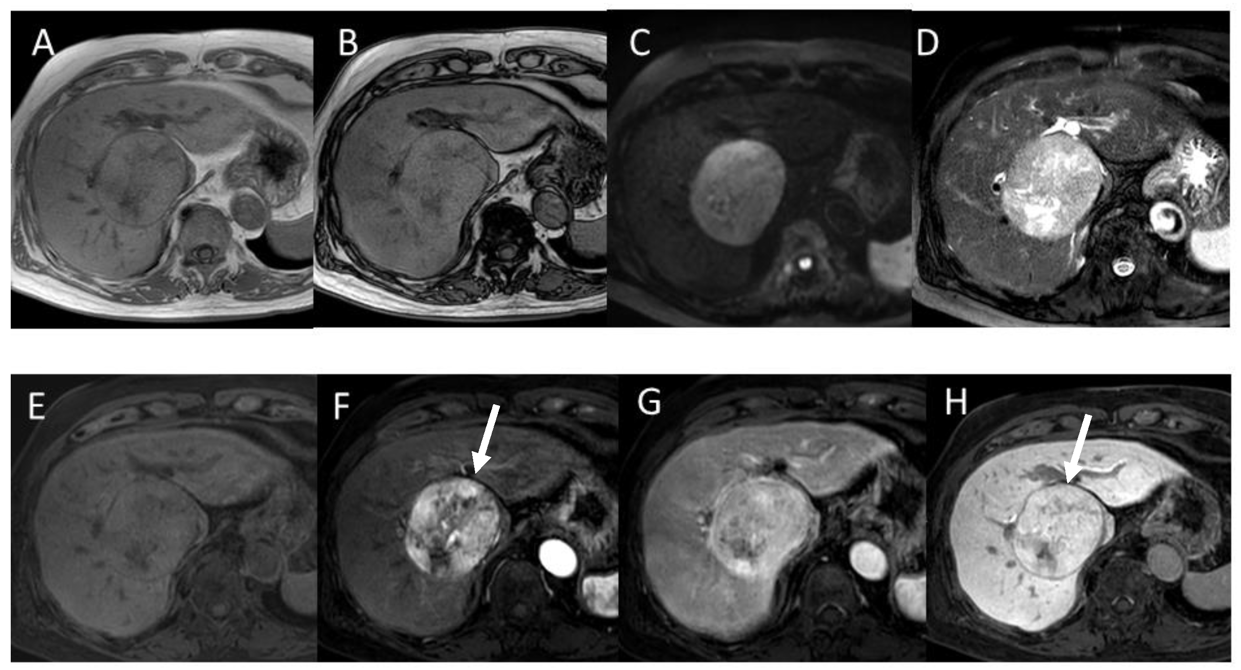
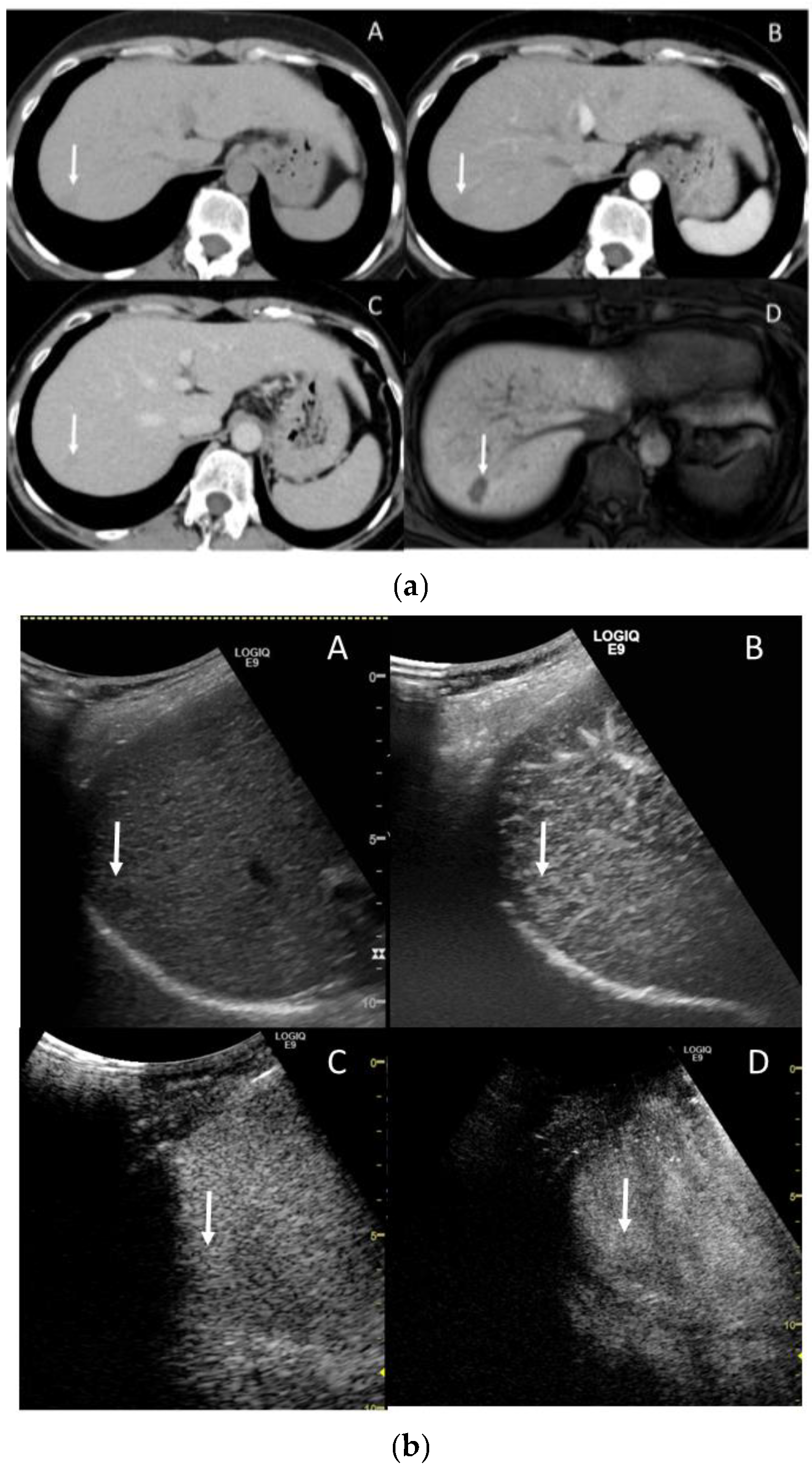
4.6. Fibrolamellar Hepatocellular Carcinoma (FL-HCC)
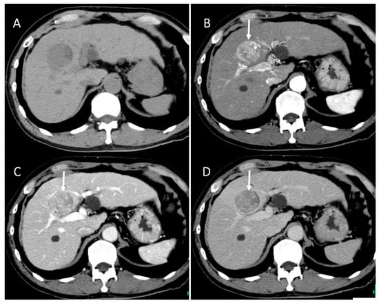
4.7. Combined Hepatocellular and Cholangiocarcinoma (cHCC-CCA)
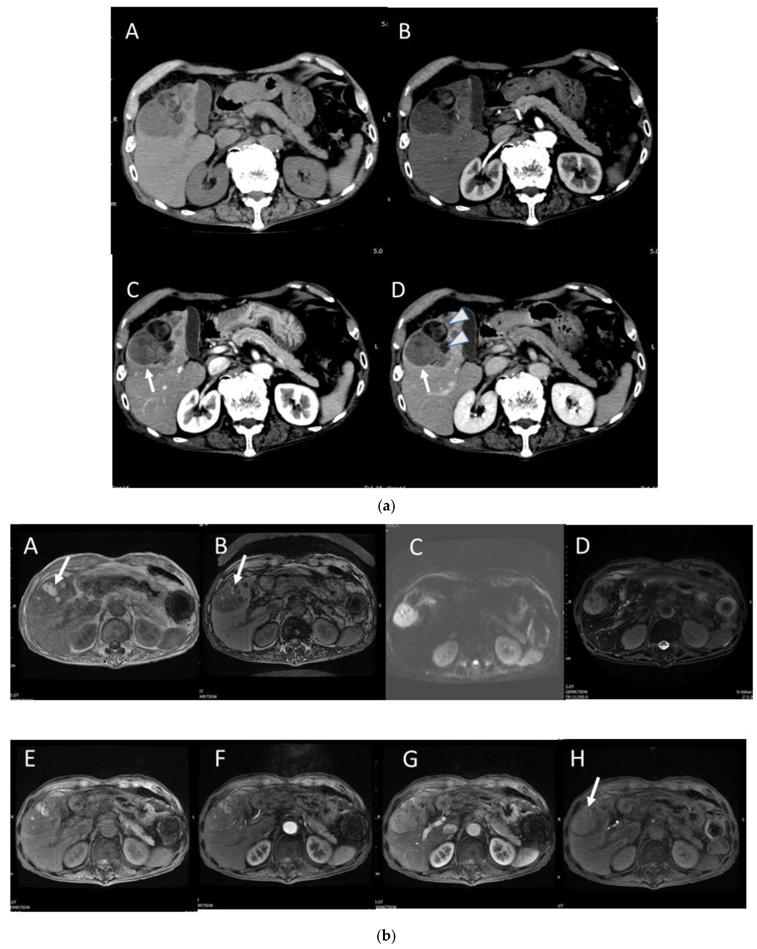
4.8. Steatohepatitic HCC (SH-HCC)
5. Conclusions
Author Contributions
Funding
Institutional Review Board Statement
Informed Consent Statement
Data Availability Statement
Conflicts of Interest
Abbreviations
| ADC | apparent diffusion coefficient |
| APHE | arterial phase hyperenhancement |
| BSA | body surface area |
| CEUS | contrast-enhanced ultrasound |
| CM | contrast media |
| cHCC-CCA | combined hepatocellular and cholangiocarcinoma |
| CT | computed tomography |
| CTV | CT volumetry |
| DN | dysplastic nodule |
| DWI | diffusion weighted image |
| FL-HCC | fibrolamellar hepatocellular carcinoma |
| ECV | extracellular volume fraction |
| EOB | gadoxetic acid |
| HCC | Hepatocellular carcinoma |
| LC | liver cirrhosis |
| LI-RADS | Liver Imaging Reporting & Data System |
| MMP-1 | matrix metalloproteinase-1 |
| Moderately HCC | moderately differentiated HCC |
| MRI | magnetic resonance imaging |
| MRE | MR Elastography |
| OATP8 | Organic anion-transporting polypeptide 8 |
| OATP1B3 | Organic anion-transporting polypeptide 1B3 |
| OS | overall survival |
| Poorly HCC | Poorly differentiated HCC |
| RN | regenerative nodule |
| RFS | recurrence-free survival (RFS) |
| SPIO | superparamagnetic iron oxide |
| SH-HCC | steatohepatitic HCC |
| SV | splenic volume |
| T1WI | T1 weighted image |
| T2WI | T2 weighted image |
| US | ultrasonography |
| WHO | World Health Organization |
| 99mTc-GSA | Technetium 99 mg alactosyl-serum-albumin |
References
- Bosch, F.X.; Ribes, J.; Diaz, M.; Cleries, R. Primary liver cancer: Worldwide incidence and trends. Gastroenterology 2004, 127, S5–S16. [Google Scholar] [CrossRef] [PubMed]
- Marrero, J.A.; Welling, T. Modern diagnosis and management of hepatocellular carcinoma. Clin. Liver Dis. 2009, 13, 233–247. [Google Scholar] [CrossRef] [PubMed]
- Dhanasekaran, R.; Bandoh, S.; Roberts, L.R. Molecular pathogenesis of hepatocellular carcinoma and impact of therapeutic advances. F1000Research 2016, 5, 879. [Google Scholar] [CrossRef] [PubMed]
- Numata, K.; Fukuda, H.; Miwa, H.; Ishii, T.; Moriya, S.; Kondo, M.; Nozaki, A.; Morimoto, M.; Okada, M.; Takebayashi, S.; et al. Contrast-enhanced ultrasonography findings using a perflubutane-based contrast agent in patients with early hepatocellular carcinoma. Eur. J. Radiol. 2014, 83, 95–102. [Google Scholar] [CrossRef] [PubMed]
- Yoshiji, H.; Nagoshi, S.; Akahane, T.; Asaoka, Y.; Ueno, Y.; Ogawa, K.; Kawaguchi, T.; Kurosaki, M.; Sakaida, I.; Shimizu, M.; et al. Evidence-based clinical practice guidelines for Liver Cirrhosis 2020. J. Gastroenterol. 2021, 56, 593–619. [Google Scholar] [CrossRef]
- Liang, J.; Ampuero, J.; Castell, J.; Zhang, Q.; Zhang, S.; Chen, Y.; Romeo-Gomez, M. Clinical application of Magnetic resonance elastography in hepatocellular carcinoma: From diagnosis to prognosis. Ann. Hepatol. 2023, 28, 100889. [Google Scholar] [CrossRef]
- Murakami, T.; Kim, T.; Takamura, M.; Hori, M.; Takahashi, S.; Federle, M.P.; Tsuda, K.; Osuga, K.; Kawata, S.; Nakamura, H.; et al. Hypervascular hepatocellular carcinoma: Detection with double arterial phase multi-detector row helical CT. Radiology 2001, 218, 763–767. [Google Scholar] [CrossRef]
- Takahashi, S.; Murakami, T.; Takamura, M.; Kim, T.; Hori, M.; Narumi, Y.; Nakamura, H.; Kudo, M. Multi-detector row helical CT angiography of hepatic vessels: Depiction with dual-arterial phase acquisition during single breath hold. Radiology 2002, 222, 81–88. [Google Scholar] [CrossRef]
- Murakami, T.; Onishi, H.; Mikami, K.; Iannacone, R.; Federle, M.P.; Kim, T.; Hori, M.; Okada, A.; Marukawa, T.; Higashihara, H.; et al. Determining the optimal timing for early arterial phase hepatic CT imaging by measuring abdominal aortic enhancement in variable contrast injection protocols. J. Comput. Assist. Tomogr. 2006, 30, 206–211. [Google Scholar] [CrossRef]
- Noguchi, Y.; Murakami, T.; Kim, T.; Hori, M.; Osuga, K.; Kawata, S.; Kumano, S.; Okada, A.; Sugiura, T.; Nakamura, H. Detection of hepatocellular carcinoma: Comparison of dynamic MR imaging with dy-namic double arterial phase helical CT. AJR Am. J. Roentgenol. 2003, 180, 455–460. [Google Scholar] [CrossRef]
- Racine, D.; Mergen, V.; Viry, A.; Frauenfelder, T.; Alkadhi, H.; Vitzthum, V.; Euler, A. Photon-Counting Detector CT for Liver Lesion Detection-Optimal Virtual Monoenergetic Energy for Different Simulated Patient Sizes and Radiation Doses. Investig. Radiol. 2024, 59, 554–560. [Google Scholar] [CrossRef] [PubMed]
- Schoenbeck, D.; Pauline Haag, N.; Elias Michael, A.; Michael Woeltjen, M.; Boriesosdick, J.; Saeed, S.; Borggrefe, J.; Robert Kroeger, J.; Henning Niehoff, J. Dedicated virtual non-contrast images adapted for liver tissue in clinical photon counting CT improve virtual non-contrast imaging in various organs beyond the liver. Eur. J. Radiol. 2023, 167, 111031. [Google Scholar] [CrossRef] [PubMed]
- Graafen, D.; Stoehr, F.; Halfmann, M.C.; Emrich, T.; Foerster, F.; Yang, Y.; Dueber, C.; Mueller, L.; Kloeckner, R. Quantum iterative reconstruction on a photon-counting detector CT improves the quality of hepatocellular carcinoma imaging. Cancer Imaging 2023, 23, 69. [Google Scholar] [CrossRef] [PubMed]
- Ibrahim, M.A.; Hazhirkarzar, B.; Dublin, A.B. Gadolinium Magnetic Resonance Imaging; StatPearls: Treasure Island, FL, USA, 2018. [Google Scholar]
- Okada, M.; Imai, Y.; Kim, T.; Kogita, S.; Takamura, M.; Kumano, S.; Onishi, H.; Hori, M.; Fukuda, K.; Hayashi, N.; et al. Comparison of enhancement patterns of histologically confirmed hepatocellular carcinoma between gadoxetate- and ferucarbotran-enhanced magnetic resonance imaging. J. Magn. Reson. Imaging 2010, 32, 903–913. [Google Scholar] [CrossRef] [PubMed]
- Reimer, P.; Rummeny, E.J.; Shamsi, K.; Balzer, T.; Daldrup, H.E.; Tombach, B.; Hesse, T.; Berns, T.; Peters, P.E. Phase II clinical evaluation of Gd-EOB-DTPA: Dose, safety aspects, and pulse se-quence. Radiology 1996, 199, 177–183. [Google Scholar] [CrossRef]
- Narita, M.; Hatano, E.; Arizono, S.; Miyagawa-Hayashino, A.; Isoda, H.; Kitamura, K.; Taura, K.; Yasuchika, K.; Nitta, T.; Ikai, I.; et al. Expression of OATP1B3 determines uptake of Gd-EOB-DTPA in hepatocellular carcinoma. J. Gastroenterol. 2009, 44, 793–798. [Google Scholar] [CrossRef]
- Kitao, A.; Matsui, O.; Yoneda, N.; Nozaka, K.; Shinmura, R.; Koda, Y.; Kobayashi, S.; Gabata, T.; Zen, Y.; Yamashita, T.; et al. The uptake transporter OATP8 expression decreases during multistep hepatocarcino-genesis: Correlation with gadoxetic acid enhanced MR imaging. Eur. Radiol. 2011, 21, 2056–2066. [Google Scholar] [CrossRef]
- Chernyak, V.; Fowler, K.J.; Kamaya, A.; Kielar, A.Z.; Elsayes, K.M.; Bashir, M.R.; Kono, Y.; Do, R.K.; Mitchell, D.G.; Signal, A.G.; et al. Liver Imaging Reporting and Data System (LI-RADS) Version 2018: Imaging of Hepatocellular Carcinoma in At-Risk Patients. Radiology 2018, 289, 816–830. [Google Scholar] [CrossRef]
- Onishi, H.; Kim, T.; Imai, Y.; Hori, M.; Nagano, H.; Nakaya, Y.; Tsuboyama, T.; Nakamoto, A.; Tatsumi, M.; Kumano, S.; et al. Hypervascular hepatocellular carcinomas: Detection with gadoxetate disodium-enhanced MR imaging and multiphasic multidetector CT. Eur. Radiol. 2012, 22, 845–854. [Google Scholar] [CrossRef]
- Hayashi, M.; Matsui, O.; Ueda, K.; Kawamori, Y.; Kadoya, M.; Yoshikawa, J.; Gabata, T.; Takashima, T.; Nonomura, A.; Nakanuma, Y. Correlation between the blood supply and grade of malignancy of hepatocellular nodules associated with liver cirrhosis: Evaluation by CT during intraarterial injection of contrast medium. AJR Am. J. Roentgenol. 1999, 172, 969–976. [Google Scholar] [CrossRef]
- Bruix, J.; Sherman, M. Management of hepatocellular carcinoma: An update. Hepatology 2005, 53, 1020–1022. [Google Scholar] [CrossRef] [PubMed]
- Sakamoto, M.; Hirohashi, S.; Shimosato, Y. Early stages of multistep hepatocarcinogenesis: Adenomatous hyperplasia and early hepatocellular carcinoma. Hum. Pathol. 1991, 22, 172–178. [Google Scholar] [CrossRef] [PubMed]
- Afdhal, N.H.; Nunes, D. Evaluation of liver fibrosis: A concise review. Am. J. Gastroenterol. 2004, 99, 1160–1174. [Google Scholar] [CrossRef] [PubMed]
- Hashemi, S.A.; Alavian, S.M.; Gholami-Fesharaki, M. Assessment of transient elastography (FibroScan) for diagnosis of fibrosis in non-alcoholic fatty liver disease: A systematic review and meta-analysis. Casp. J. Intern. Med. 2016, 7, 242–252. [Google Scholar]
- Abe, H.; Midorikawa, Y.; Higaki, T.; Yamazaki, S.; Aramaki, O.; Nakayama, H.; Moriguchi, M.; Kanda, T.; Moriyama, M.; Okada, M.; et al. Magnetic resonance elastography-based prediction of hepatocellular carcinoma re-currence after curative resection. Surgery 2021, 170, 167–172. [Google Scholar] [CrossRef]
- Navin, P.J.; Gidener, T.; Allen, A.M.; Takahashi, N.; Michael, N.; Torbenson, S.; Kamath, P.S.; Ehman, R.L.; Venkatesh, S.K. The Role of Magnetic Resonance Elastography in the Diagnosis of Noncirrhotic Portal Hypertension. Clin. Gastroenterol. Hepatol. 2020, 18, 3051–3053.e3052. [Google Scholar] [CrossRef]
- Nakazawa, Y.; Okada, M.; Hyodo, T.; Tago, K.; Shibutani, K.; Mizuno, M.; Yoshikawa, H.; Abe, H.; Higaki, T.; Okamura, Y.; et al. Comparison between CT volumetry, technetium(99m) galactosyl-serum-albumin scintigraphy, and gadoxetic-acid-enhanced MRI to estimate the liver fibrosis stage in preoperative patients. Eur. Radiol. 2024, 34, 2212–2222. [Google Scholar] [CrossRef]
- Bae, J.S.; Lee, D.H.; Yoo, J.; Yi, N.J.; Lee, K.W.; Suh, K.S.; Kim, H.; Le, K.B. Association between spleen volume and the post-hepatectomy liver failure and overall survival of patients with hepatocellular carcinoma after resection. Eur. Radiol. 2021, 31, 2461–2471. [Google Scholar] [CrossRef]
- Obmann, V.C.; Marx, C.; Hrycyk, J.; Berzigotti, A.; Ebner, L.; Mertineit, N.; Gräni, C.H.; Heverhagen, J.T.; Christe, A.; Huber, A.T. Liver segmental volume and attenuation ratio (LSVAR) on portal venous CT scans improves the detection of clinically significant liver fibrosis compared to liver segmental volume ratio (LSVR). Abdom. Radiol. 2021, 46, 1912–1921. [Google Scholar] [CrossRef]
- Chow, K.U.; Luxembourg, B.; Seifried, E.; Bonig, H. Spleen Size Is Significantly Influenced by Body Height and Sex: Establishment of Normal Values for Spleen Size at US with a Cohort of 1200 Healthy Individuals. Radiology 2016, 279, 306–313. [Google Scholar] [CrossRef]
- Lotan, E.; Raskin, S.P.; Amitai, M.M.; Kleinbaum, Y.; Veitsman, E.; Weiss, P.; Cohen-Ezra, O.; Berdichevski, T.; Ben-Ari, Z. The Role of Liver Segment-to-Spleen Volume Ratio in the Staging of Hepatic Fibrosis in Patients with Hepatitis C Virus Infection. Isr. Med. Assoc. J. 2017, 19, 251–256. [Google Scholar] [PubMed]
- Tago, K.; Tsukada, J.; Sudo, N.; Shibutani, K.; Okada, M.; Abe, H.; Ibukuro, K.; Higaki, T.; Takayama, T. Comparison between CT volumetry and extracellular volume fraction using liver dynamic CT for the predictive ability of liver fibrosis in patients with hepatocellular carcinoma. Eur. Radiol. 2022, 32, 7555–7565. [Google Scholar] [CrossRef] [PubMed]
- Shinagawa, Y.; Sakamoto, K.; Sato, K.; Ito, E.; Urakawa, H.; Yoshimitsu, K. Usefulness of new subtraction algorithm in estimating degree of liver fibrosis by calculating extracellular volume fraction obtained from routine liver CT protocol equilibrium phase data: Preliminary experience. Eur. J. Radiol. 2018, 103, 99–104. [Google Scholar] [CrossRef] [PubMed]
- Tarao, K.; Hoshino, H.; Motohashi, I.; Iimori, K.; Tamai, S.; Ito, Y.; Takagi, S.; Oikawa, Y.; Unayama, S.; Fujiwara, T.; et al. Changes in liver and spleen volume in alcoholic liver fibrosis of man. Hepatology 1989, 9, 589–593. [Google Scholar] [CrossRef] [PubMed]
- Okada, M.; Nakamura, Y.; Kuwatsuru, R.; Nakamura, Y.; Isoda, Y.; Goshima, S.; Hanaoka, R.; Haradome, H.; Shinagawa, Y.; Kitao, A.; et al. Biochemical and Clinical Predictive Approach and Time Point Analysis of Hepatobiliary Phase Liver Enhancement on Gd-EOB-DTPA–enhanced MR Images: A multicenter study. Radiology 2016, 281, 474–483. [Google Scholar] [CrossRef]
- Katsube, T.; Okada, M.; Kumano, S.; Hori, M.; Imaoka, I.; Ishii, K.; Kudo, M.; Kitagaki, H.; Murakami, T. Estimation of liver function using T1 mapping on Gd-EOB-DTPA-enhanced magnetic resonance imaging. Investig. Radiol. 2011, 46, 277–283. [Google Scholar] [CrossRef]
- Tokorodani, R.; Kume, T.; Daisaki, H.; Hayashi, N.; Iwasa, H.; Yamagami, T. Combining 99mTc-GSA single-photon emis-sion-computed tomography and Gd-EOB-DTPA-enhanced magnetic resonance imaging for staging liver fibrosis. Medicine 2023, 102, e32975. [Google Scholar] [CrossRef]
- Sano, K.; Ichikawa, T.; Motosugi, U.; Sou, H.; Muhi, A.M.; Matsuda, M.; Nakano, M.; Sakamoto, M.; Nakazawa, T.; Asakawa, M.; et al. Imaging study of early hepatocellular ccinoma: Usefulness of gadoxetic acid-enhanced MR imaging. Radiology 2011, 261, 834–844. [Google Scholar] [CrossRef]
- Okazaki, I.; Wada, N.; Nakano, M.; Saito, A.; Takasaki, K.; Doi, M.; Kameyama, K.; Otani, Y.; Kubochi, K.; Niioka, M.; et al. Difference in gene expression for matrix metalloproteinase-1 between early and ad-vanced hepatocellular carcinomas. Hepatology 1997, 25, 580–584. [Google Scholar] [CrossRef]
- Park, Y.N.; Kojiro, M.; Di Tommaso, L.; Dhillon, A.P.; Kondo, F.; Nakano, M.; Sakamoto, M.; Theise, N.D.; Roncalli, M. Ductular reaction is helpful in defining early stromal invasion, small hepatocellular carcinomas, and dysplastic nodules. Cancer 2007, 109, 915–923. [Google Scholar] [CrossRef]
- Llovet, J.M.; Schwartz, M.; Mazzaferro, V. Resection and liver transplantation for hepatocellular carcinoma. Semin. Liver. Dis. 2005, 25, 181–200. [Google Scholar] [CrossRef] [PubMed]
- Llovet, J.M.; Burroughs, A.; Bruix, J. Hepatocellular carcinoma. Lancet 2003, 362, 1907–1917. [Google Scholar] [CrossRef] [PubMed]
- Sugihara, S.; Nakashima, O.; Kojiro, M.; Majima, Y.; Tanaka, M.; Tanikawa, K. The morphologic transition in hepatocellular carcinoma. A comparison of the individual histologic features disclosed by ultrasound-guided fine-needle biopsy with those of autopsy. Cancer 1992, 70, 1488–1492. [Google Scholar] [CrossRef] [PubMed]
- Pathologic diagnosis of early hepatocellular carcinoma: A report of the international consensus group for hepatocellular neo-plasia. Hepatology 2009, 49, 658–664. [CrossRef] [PubMed]
- Kim, M.J.; Choi, J.Y.; Chung, Y.E.; Choi, S.Y. Magnetic resonance imaging of hepatocellular carcinoma using contrast media. Oncology 2008, 75 (Suppl. S1), 72–82. [Google Scholar] [CrossRef]
- Imai, Y.; Murakami, T.; Yoshida, S.; Nishikawa, M.; Ohsawa, M.; Tokunaga, K.; Murata, M.; Shibata, K.; Zushi, S.; Kurokawa, M.; et al. Superparamagnetic iron oxide-enhanced magnetic resonance images of hepatocellular carcinoma: Correlation with histological grading. Hepatology 2000, 32, 205–212. [Google Scholar] [CrossRef]
- Asayama, Y.; Yoshimitsu, K.; Nishihara, Y.; Irie, H.; Aishima, S.; Taketomi, A.; Honda, H. Arterial blood supply of hepatocellular carcinoma and histologic grading: Radi-ologic-pathologic correlation. AJR Am. J. Roentgenol. 2008, 190, W28–W34. [Google Scholar] [CrossRef]
- Okamoto, D.; Yoshimitsu, K.; Nishie, A.; Tajima, T.; Asayama, Y.; Ishigami, K.; Hirakawa, M.; Ushijima, Y.; Kakihara, D.; Nakayama, T.; et al. Enhancement pattern analysis of hypervascular hepatocellular carcinoma on dy-namic MR imaging with histopathological correlation: Validity of portal phase imaging for predicting tumor grade. Eur. J. Radiol. 2012, 81, 1116–1121. [Google Scholar] [CrossRef]
- Asayama, Y.; Nishie, A.; Ishigami, K.; Ushijima, Y.; Takayama, Y.; Okamoto, D.; Fujita, N.; Kubo, Y.; Aishima, S.; Yoshizumi, T.; et al. Fatty change in moderately and poorly differentiated hepatocellular carcinoma on MRI: A possible mechanism related to decreased arterial flow. Clin. Radiol. 2016, 71, 1277–1283. [Google Scholar] [CrossRef]
- El-Serag, H.B.; Davila, J.A. Is fibrolamellar carcinoma different from hepatocellular carcinoma? A US population-based study. Hepatology 2004, 39, 798–803. [Google Scholar] [CrossRef]
- Alshareefy, Y.; Shen, C.Y.; Prekash, R.J. Exploring the molecular pathogenesis, diagnosis and treatment of fibrolamellar hepato-cellular carcinoma: A state of art review of the current literature. Pathol. Res. Pract. 2023, 248, 154655. [Google Scholar] [CrossRef] [PubMed]
- Lee, W.S.; Lee, K.W.; Heo, J.S.; Kim, S.J.; Choi, S.H.; Kim, Y.I.; Joh, J.W. Comparison of combined hepatocellular and cholangiocarcinoma with hepatocellular carci-noma and intrahepatic cholangiocarcinoma. Surg. Today 2006, 36, 892–897. [Google Scholar] [CrossRef]
- Tang, D.; Nagano, H.; Nakamura, M.; Wada, H.; Marubashi, S.; Miyamoto, A.; Takeda, Y.; Umeshita, K.; Dono, K.; Monden, M. Clinical and pathological features of Allen’s type C classification of resected combined hepatocellular and cholangiocarcinoma: A comparative study with hepatocellular carcinoma and cholangiocellular carcinoma. J. Gastrointest. Surg. 2006, 10, 987–998. [Google Scholar] [CrossRef] [PubMed]
- Kim, T.H.; Kim, H.; Joo, I.; Lee, J.M. Combined Hepatocellular-Cholangiocarcinoma: Changes in the 2019 World Health Organiza-tion Histological Classification System and Potential Impact on Imaging-Based Diagnosis. Korean J. Radiol. 2020, 21, 1115–1125. [Google Scholar] [CrossRef] [PubMed]
- Wang, X.; Wang, W.; Ma, X.; Lu, X.; Li, S.; Zeng, M.; Xu, K.; Yang, C. Combined hepatocellular-cholangiocarcinoma: Which preoperative clinical data and conven-tional MRI characteristics have value for the prediction of microvascular invasion and clinical significance? Eur. Radiol. 2020, 30, 5337–5347. [Google Scholar] [CrossRef]
- Inui, S.; Kondo, H.; Tanahashi, Y.; Fukukura, Y.; Sano, K.; Morisaka, H.; Saito, K.; Kondo, F.; Fukusato, T.; Furui, S.; et al. Steatohepatitic hepatocellular carcinoma: Imaging findings with clinicopathological cor-relation. Clin. Radiol. 2021, 76, 160.e15–160.e25. [Google Scholar] [CrossRef]
- Trapani, L.; Beaufrère, A.; Hobeika, C.; Codjia, T.; Albuquerque, M.; Bouattour, M.; Lesurtel, M.; Cauchy, F.; Paradis, V. Pathological overview of steatohepatitic hepatocellular carcinoma in a surgical series. Histopathology 2023, 83, 526–537. [Google Scholar] [CrossRef]
- Mizuno, M.; Tago, K.; Okada, M.; Nakazawa, Y.; Arakane, T.; Yoshikawa, H.; Abe, H.; Matsumoto, N.; Higaki, T.; Okamura, Y.; et al. Extracellular volume by dual energy CT, hepatic reserve capacity scoring, CT. volumetry and Transient-elastographyfor estimating liver fibrosis. Sci. Rep. 2023, 13, 22038. [Google Scholar] [CrossRef]
- Arakane, T.; Okada, M.; Nakazawa, Y.; Tago, K.; Yoshikawa, H.; Mizuno, M.; Abe, H.; Higaki, H.; Okamura, Y.; Takayama, T. Comparison between intravoxel incoherent motion and splenic volumetry to predict hepatic fibrosis staging in preoperative patients. Diagnostics 2023, 13, 3200. [Google Scholar] [CrossRef]
- Nakazawa, Y.; Okada, M.; Tago, K.; Kuwabara, N.; Mizuno, M.; Abe, H.; Higaki, T.; Okamura, Y.; Takayama, T. Comparison between MR elastography and combination of CT, Gd-EOB-DTPAenhanced MRI and type IV collagen 7S for estimation of severe liver fibrosis in preoperative patients with hepatobiliary tumors. Eur. Radiol. 2024; Online ahead of print. [Google Scholar] [CrossRef]
















Disclaimer/Publisher’s Note: The statements, opinions and data contained in all publications are solely those of the individual author(s) and contributor(s) and not of MDPI and/or the editor(s). MDPI and/or the editor(s) disclaim responsibility for any injury to people or property resulting from any ideas, methods, instructions or products referred to in the content. |
© 2024 by the authors. Licensee MDPI, Basel, Switzerland. This article is an open access article distributed under the terms and conditions of the Creative Commons Attribution (CC BY) license (https://creativecommons.org/licenses/by/4.0/).
Share and Cite
Okada, M.; Aoki, R.; Nakazawa, Y.; Tago, K.; Numata, K. CT and MR Imaging of Hepatocellular Carcinoma and Liver Cirrhosis. Gastroenterol. Insights 2024, 15, 976-997. https://doi.org/10.3390/gastroent15040068
Okada M, Aoki R, Nakazawa Y, Tago K, Numata K. CT and MR Imaging of Hepatocellular Carcinoma and Liver Cirrhosis. Gastroenterology Insights. 2024; 15(4):976-997. https://doi.org/10.3390/gastroent15040068
Chicago/Turabian StyleOkada, Masahiro, Ryoji Aoki, Yujiro Nakazawa, Kenichiro Tago, and Kazushi Numata. 2024. "CT and MR Imaging of Hepatocellular Carcinoma and Liver Cirrhosis" Gastroenterology Insights 15, no. 4: 976-997. https://doi.org/10.3390/gastroent15040068
APA StyleOkada, M., Aoki, R., Nakazawa, Y., Tago, K., & Numata, K. (2024). CT and MR Imaging of Hepatocellular Carcinoma and Liver Cirrhosis. Gastroenterology Insights, 15(4), 976-997. https://doi.org/10.3390/gastroent15040068

