Anti-Calcitonin Gene-Related Peptide Monoclonal Antibody Is Effective for Preventing Migraine Aura Without Headache
Abstract
1. Introduction
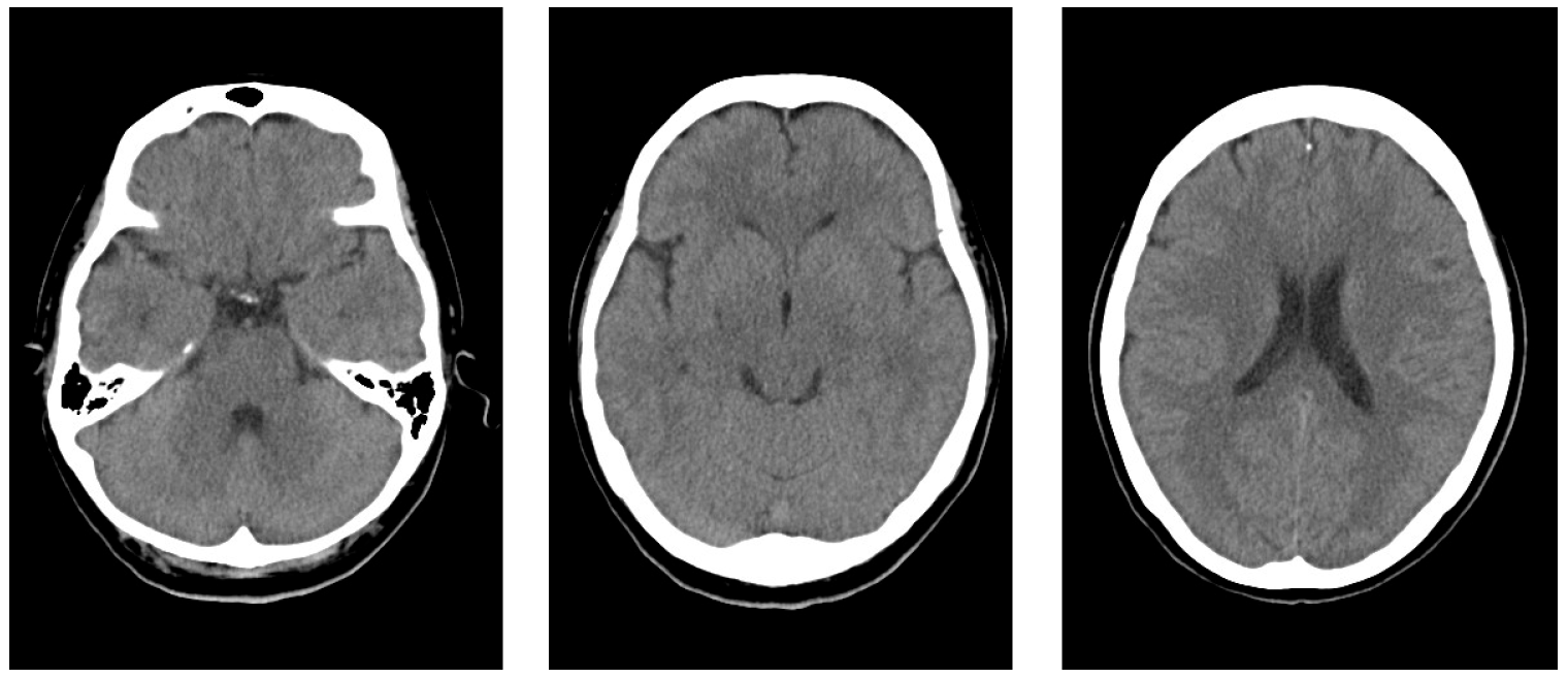
2. Case Report
3. Discussion
4. Conclusions
Funding
Institutional Review Board Statement
Informed Consent Statement
Data Availability Statement
Conflicts of Interest
References
- Close, L.N.; Eftekhari, S.; Wang, M.; Charles, A.C.; Russo, A.F. Cortical spreading depression as a site of origin for migraine: Role of CGRP. Cephalalgia 2018, 39, 428–434. [Google Scholar] [CrossRef] [PubMed]
- Headache Classification Committee of the International Headache Society (IHS) The International Classification of Headache Disorders, 3rd edition. Cephalalgia 2018, 38, 1–211. [CrossRef] [PubMed]
- Whitty, C.W.M. Migraine Without Headache. Lancet 1967, 290, 283–285. [Google Scholar] [CrossRef]
- He, Y.; Li, Y.; Nie, Z. Typical aura without headache: A case report and review of the literature. J. Med. Case Rep. 2015, 9, 40. [Google Scholar] [CrossRef]
- Russell, M.B.; Olesen, J. A nosographic analysis of the migraine aura in a general population. Brain 1996, 119, 355–361. [Google Scholar] [CrossRef]
- Fleming, J.B.; Amos, A.J.; Desmond, R.A. Migraine aura without headache: Prevalence and risk factors in a primary eye care population. Optometry 2000, 71, 381–389. [Google Scholar]
- Aiba, S.; Tatsumoto, M.; Saisu, A.; Iwanami, H.; Chiba, K.; Senoo, T.; Hirata, K. Prevalence of typical migraine aura without headache in Japanese ophthalmology clinics. Cephalalgia 2010, 30, 962–967. [Google Scholar] [CrossRef]
- Sakai, F.; Igarashi, H. Prevalence of migraine in Japan: A nationwide survey. Cephalalgia 1997, 17, 15–22. [Google Scholar] [CrossRef]
- Shah, D.R.; Dilwali, S.; Friedman, D.I. Current Aura Without Headache. Curr. Pain Headache Rep. 2018, 22, 77. [Google Scholar] [CrossRef]
- Fisher, C.M. Late-life migraine accompaniments--further experience. Stroke 1986, 17, 1033–1042. [Google Scholar] [CrossRef]
- Alpuente, A.; Torre-Sune, A.; Caronna, E.; Gine-Cipres, E.; Torres-Ferrús, M.; Pozo-Rosich, P. Impact of anti-CGRP monoclonal antibodies on migraine attack accompanying symptoms: A real-world evidence study. Cephalalgia 2023, 43, 03331024231177636. [Google Scholar] [CrossRef] [PubMed]
- Albanese, M.; Mercuri, N.B. Could the New Anti-CGRP Monoclonal Antibodies Be Effective in Migraine Aura? Case Reports and Literature Review. J. Clin. Med. 2022, 11, 1228. [Google Scholar] [CrossRef] [PubMed]
- Pilati, L.; Torrente, A.; Di Marco, S.; Ferlisi, S.; Notaro, G.; Romano, M.; Alonge, P.; Vassallo, L.; Ferraù, L.; Autunno, M.; et al. Erenumab and Possible CGRP Effect on Chronotype in Chronic Migraine: A Real-Life Study of 12 Months Treatment. J. Clin. Med. 2023, 12, 3585. [Google Scholar] [CrossRef]
- Meyers, J.L.; Davis, K.L.; Lenz, R.A.; Sakai, F.; Xue, F. Treatment patterns and characteristics of patients with migraine in Japan: A retrospective analysis of health insurance claims data. Cephalalgia 2019, 39, 1518–1534. [Google Scholar] [CrossRef]
- Karatas, H.; Erdener, S.E.; Gursoy-Ozdemir, Y.; Lule, S.; Eren-Koçak, E.; Sen, Z.D.; Dalkara, T. Spreading Depression Triggers Headache by Activating Neuronal Panx1 Channels. Science 2013, 339, 1092–1095. [Google Scholar] [CrossRef]
- Noseda, R.; Burstein, R. Migraine pathophysiology: Anatomy of the trigeminovascular pathway and associated neurological symptoms, cortical spreading depression, sensitization, and modulation of pain. Pain 2013, 154, S44–S53. [Google Scholar] [CrossRef]
- Thomsen, A.V.; Puonti, O.; Gaist, D.; Kyvik, K.O.; Madsen, K.; Thielscher, A.; Siebner, H.R.; Ashina, M.; Hougaard, A. Investigations of the subarachnoid space as a potential link between aura and headache in migraine: A case-control MRI study. Cephalalgia 2023, 43, 03331024231170541. [Google Scholar] [CrossRef]
- Wang, Y.; Tye, A.E.; Zhao, J.; Ma, D.; Raddant, A.C.; Bu, F.; Spector, B.L.; Winslow, N.K.; Wang, M.; Russo, A.F. Induction of calcitonin gene-related peptide expression in rats by cortical spreading depression. Cephalalgia 2016, 39, 333–341. [Google Scholar] [CrossRef]
- Ayata, C. Cortical Spreading Depression Triggers Migraine Attack: Pro. Headache J. Head Face Pain 2010, 50, 725–730. [Google Scholar] [CrossRef]
- Hadjikhani, N.; Sanchez del Rio, M.; Wu, O.; Schwartz, D.; Bakker, D.; Fischl, B.; Kwong, K.K.; Cutrer, F.M.; Rosen, B.R.; Tootell RB, H.; et al. Mechanisms of migraine aura revealed by functional MRI in human visual cortex. Proc. Natl. Acad. Sci. USA 2001, 98, 4687–4692. [Google Scholar] [CrossRef]
- Kawahara, N.; Croll, S.D.; Wiegand, S.J.; Klatzo, I. Cortical spreading depression induces long-term alterations of BDNF levels in cortex and hippocampus distinct from lesion effects: Implications for ischemic tolerance. Neurosci. Res. 1997, 29, 37–47. [Google Scholar] [CrossRef] [PubMed]
- Tozzi, A.; de Iure, A.; Di Filippo, M.; Costa, C.; Caproni, S.; Pisani, A.; Bonsi, P.; Picconi, B.; Cupini, L.M.; Materazzi, S.; et al. Critical role of calcitonin gene-related peptide receptors in cortical spreading depression. Proc. Natl. Acad. Sci. USA 2012, 109, 18985–18990. [Google Scholar] [CrossRef] [PubMed]
- Barolin, G.S. Migraines and Epilepsies—A relationship? Epilepsia 1966, 7, 53–66. [Google Scholar] [CrossRef] [PubMed]
- Basser, L.S. The relation of migraine and epilepsy. Brain 1969, 92, 285–300. [Google Scholar] [CrossRef]
- Nye, B.L.; Thadani, V.M. Migraine and Epilepsy: Review of the Literature. Headache J. Head Face Pain 2015, 55, 359–380. [Google Scholar] [CrossRef]
- Rogawski, M.A. Common Pathophysiologic Mechanisms in Migraine and Epilepsy. Arch. Neurol. 2008, 65, 709–714. [Google Scholar] [CrossRef]
- Bigal, M.E.; Lipton, R.B.; Cohen, J.; Silberstein, S.D. Epilepsy and migraine. Epilepsy Behav. 2003, 4 (Suppl. S2), S13–S24. [Google Scholar] [CrossRef]
- Milligan, T.A.; Bromfield, E. A case of “migralepsy”. Epilepsia 2005, 46 (Suppl. S10), 2–6. [Google Scholar] [CrossRef]
- Verrotti, A.; Striano, P.; Belcastro, V.; Matricardi, S.; Villa, M.P.; Parisi, P. Migralepsy and related conditions: Advances in pathophysiology and classification. Seizure 2011, 20, 271–275. [Google Scholar] [CrossRef]
- Verrotti, A.; Coppola, G.; Di Fonzo, A.; Tozzi, E.; Spalice, A.; Aloisi, P.; Bruschi, R.; Iannetti, P.; Villa, M.P.; Parisi, P. Should “migralepsy” be considered an obsolete concept? A multicenter retrospective clinical/EEG study and review of the literature. Epilepsy Behav. 2011, 21, 52–59. [Google Scholar] [CrossRef]
- Sances, G.; Guaschino, E.; Perucca, P.; Allena, M.; Ghiotto, N.; Manni, R. Migralepsy: A call for a revision of the definition. Epilepsia 2009, 50, 2487–2496. [Google Scholar] [CrossRef]
- Shibata, Y.; Muroi, A.; Matsushita, A.; Tsunoda, T.; Kobayashi, E.; Matsumura, A. Our clinical experience with migraine-triggered seizure. Jpn. J. Headache 2009, 35, 76–78. [Google Scholar]

Disclaimer/Publisher’s Note: The statements, opinions and data contained in all publications are solely those of the individual author(s) and contributor(s) and not of MDPI and/or the editor(s). MDPI and/or the editor(s) disclaim responsibility for any injury to people or property resulting from any ideas, methods, instructions or products referred to in the content. |
© 2024 by the author. Licensee MDPI, Basel, Switzerland. This article is an open access article distributed under the terms and conditions of the Creative Commons Attribution (CC BY) license (https://creativecommons.org/licenses/by/4.0/).
Share and Cite
Shibata, Y. Anti-Calcitonin Gene-Related Peptide Monoclonal Antibody Is Effective for Preventing Migraine Aura Without Headache. Neurol. Int. 2024, 16, 1279-1284. https://doi.org/10.3390/neurolint16060097
Shibata Y. Anti-Calcitonin Gene-Related Peptide Monoclonal Antibody Is Effective for Preventing Migraine Aura Without Headache. Neurology International. 2024; 16(6):1279-1284. https://doi.org/10.3390/neurolint16060097
Chicago/Turabian StyleShibata, Yasushi. 2024. "Anti-Calcitonin Gene-Related Peptide Monoclonal Antibody Is Effective for Preventing Migraine Aura Without Headache" Neurology International 16, no. 6: 1279-1284. https://doi.org/10.3390/neurolint16060097
APA StyleShibata, Y. (2024). Anti-Calcitonin Gene-Related Peptide Monoclonal Antibody Is Effective for Preventing Migraine Aura Without Headache. Neurology International, 16(6), 1279-1284. https://doi.org/10.3390/neurolint16060097

