Extracellular Vesicle-Mediated Delivery of AntimiR-Conjugated Bio-Gold Nanoparticles for In Vivo Tumor Targeting
Abstract
1. Introduction
2. Materials and Methods
2.1. Loading and Characterization of EVs-AuNPs
2.1.1. Biological AuNPs
2.1.2. Cell Viability Test
2.1.3. EV Isolation
2.1.4. Internalization and Exocytosis of the AuNPs
2.1.5. EV Size, Concentration, and Shape
2.1.6. Proteome Analysis of EVs
2.2. In Vitro Uptake of Loaded EVs by the EV-Parental Cell Line
2.3. EVs Tropism Assessment In Vitro
2.4. Application of Loaded EVs In Vivo
2.4.1. Mice Model and Obtaining Tissue Samples
2.4.2. TEM and EDS Analyses
2.4.3. H & E Staining
2.4.4. Flow Cytometry
2.4.5. qPCR Analysis
3. Results and Discussion
3.1. Loading and Characterization of EVs-AuNPs
3.1.1. Cell Viability Test
3.1.2. Internalization and Exocytosis of the AuNPs
3.1.3. EV Size, Concentration, and Shape
3.1.4. Encapsulation of the AuNPs into EVs
3.1.5. Proteome Analysis of EVs
3.2. In Vitro Uptake of Loaded EVs by the EV-Parental Cell Line
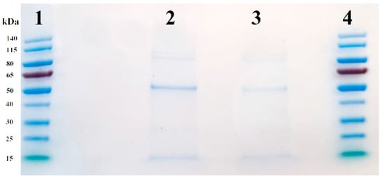
3.2.1. Identification of AuNP-Tf Within EVs
3.2.2. Reduction of miR-135b Revealed by qPCR
3.3. EVs Tropism Assessment In Vitro
3.4. Application of Loaded EVs In Vivo
3.4.1. Tumor Growth Assessment
3.4.2. TEM and EDS Analyses
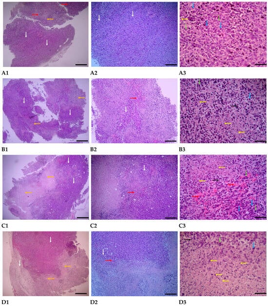
3.4.3. H & E Staining
3.4.4. qPCR Analysis
3.4.5. Flow Cytometry
4. Conclusions
Supplementary Materials
Author Contributions
Funding
Data Availability Statement
Acknowledgments
Conflicts of Interest
Correction Statement
References
- Jeong, M.; Lee, Y.; Park, J.; Jung, H.; Lee, H. Lipid nanoparticles (LNPs) for in vivo RNA delivery and their breakthrough technology for future applications. Adv. Drug Deliv. Rev. 2023, 200, 114990. [Google Scholar] [CrossRef]
- Jia, Y.; Wang, X.; Li, L.; Li, F.; Zhang, J.; Liang, X. Lipid nanoparticles optimized for targeting and release of nucleic acid. Adv. Mater. 2024, 36, 2305300. [Google Scholar] [CrossRef] [PubMed]
- Lu, M.; Shao, W.; Xing, H.; Huang, Y. Extracellular vesicle-based nucleic acid delivery. Interdiscip. Med. 2023, 1, e20220007. [Google Scholar] [CrossRef]
- Jeppesen, D.K.; Zhang, Q.; Franklin, J.L.; Coffey, R.J. Extracellular vesicles and nanoparticles: Emerging complexities. Trends Cell Biol. 2023, 33, 667–681. [Google Scholar] [CrossRef]
- Kim, S.M.; Yang, Y.; Oh, S.J.; Hong, Y.; Seo, M.; Jang, M. Cancer-derived exosomes as a delivery platform of CRISPR/Cas9 confer cancer cell tropism-dependent targeting. J. Control. Release 2017, 266, 8–16. [Google Scholar] [CrossRef]
- Li, Y.-J.; Wu, J.-Y.; Hu, X.-B.; Wang, J.-M.; Xiang, D.-X. Autologous cancer cell-derived extracellular vesicles as drug-delivery systems: A systematic review of preclinical and clinical findings and translational implications. Nanomedicine 2019, 14, 493–509. [Google Scholar] [CrossRef]
- Lin, W.; Cai, X.-D. Current Strategies for Cancer Cell-Derived Extracellular Vesicles for Cancer Therapy. Front. Oncol. 2021, 11, 758884. [Google Scholar] [CrossRef]
- Srivastava, A.; Babu, A.; Filant, J.; Moxley, K.; Ruskin, R.; Dhanasekaran, D.; Sood, A.; McMeekin, S.; Ramesh, R. Exploitation of exosomes as nanocarriers for gene-, chemo-, and immune-therapy of cancer. J. Biomed. Nanotechnol. 2016, 12, 1159–1173. [Google Scholar] [CrossRef] [PubMed]
- Chen, T.S.; Lai, R.C.; Lee, M.M.; Choo, A.B.H.; Lee, C.N.; Lim, S.K. Mesenchymal stem cell secretes microparticles enriched in pre-microRNAs. Nucleic Acids Res. 2010, 38, 215–224. [Google Scholar] [CrossRef] [PubMed]
- Qu, J.-L.; Qu, X.-J.; Zhao, M.-F.; Teng, Y.-E.; Zhang, Y.; Hou, K.-Z.; Jiang, Y.-H.; Yang, X.-H.; Liu, Y.-P. Gastric cancer exosomes promote tumour cell proliferation through PI3K/Akt and MAPK/ERK activation. Dig. Liver Dis. 2009, 41, 875–880. [Google Scholar] [CrossRef]
- Greening, D.W.; Gopal, S.K.; Xu, R.; Simpson, R.J.; Chen, W. Exosomes and their roles in immune regulation and cancer. Semin. Cell Dev. Biol. 2015, 40, 72–81. [Google Scholar] [CrossRef] [PubMed]
- Steinbichler, T.B.; Dudás, J.; Riechelmann, H.; Skvortsova, I.I. The role of exosomes in cancer metastasis. Semin. Cancer Biol. 2017, 44, 170–181. [Google Scholar] [CrossRef] [PubMed]
- Saari, H.; Lázaro-Ibáñez, E.; Viitala, T.; Vuorimaa-Laukkanen, E.; Siljander, P.; Yliperttula, M. Microvesicle-and exosome-mediated drug delivery enhances the cytotoxicity of Paclitaxel in autologous prostate cancer cells. J. Control. Release 2015, 220, 727–737. [Google Scholar] [CrossRef]
- Shtam, T.A.; Kovalev, R.A.; Varfolomeeva, E.Y.; Makarov, E.M.; Kil, Y.V.; Filatov, M.V. Exosomes are natural carriers of exogenous siRNA to human cells in vitro. Cell Commun. Signal. 2013, 11, 88. [Google Scholar] [CrossRef]
- O’bRien, K.; Lowry, M.C.; Corcoran, C.; Martinez, V.G.; Daly, M.; Rani, S.; Gallagher, W.M.; Radomski, M.W.; MacLeod, R.A.; O’dRiscoll, L. miR-134 in extracellular vesicles reduces triple-negative breast cancer aggression and increases drug sensitivity. Oncotarget 2015, 6, 32774. [Google Scholar] [CrossRef]
- Han, Y.; Jones, T.W.; Dutta, S.; Zhu, Y.; Wang, X.; Narayanan, S.P.; Fagan, S.C.; Zhang, D. Overview and update on methods for cargo loading into extracellular vesicles. Processes 2021, 9, 356. [Google Scholar] [CrossRef] [PubMed]
- Kooijmans, S.A.A.; Stremersch, S.; Braeckmans, K.; De Smedt, S.C.; Hendrix, A.; Wood, M.J.A.; Schiffelers, R.M.; Raemdonck, K.; Vader, P. Electroporation-induced siRNA precipitation obscures the efficiency of siRNA loading into extracellular vesicles. J. Control. Release 2013, 172, 229–238. [Google Scholar] [CrossRef]
- Lamichhane, T.N.; Jeyaram, A.; Patel, D.B.; Parajuli, B.; Livingston, N.K.; Arumugasaamy, N.; Schardt, J.S.; Jay, S.M. Oncogene knockdown via active loading of small RNAs into extracellular vesicles by sonication. Cell. Mol. Bioeng. 2016, 9, 315–324. [Google Scholar] [CrossRef]
- Pascucci, L.; Coccè, V.; Bonomi, A.; Ami, D.; Ceccarelli, P.; Ciusani, E.; Viganò, L.; Locatelli, A.; Sisto, F.; Doglia, S.M.; et al. Paclitaxel is incorporated by mesenchymal stromal cells and released in exosomes that inhibit in vitro tumor growth: A new approach for drug delivery. J. Control. Release 2014, 192, 262–270. [Google Scholar] [CrossRef]
- Pourali, P.; Dzmitruk, V.; Benada, O.; Svoboda, M.; Benson, V. Conjugation of microbial-derived gold nanoparticles to different types of nucleic acids: Evaluation of transfection efficiency. Sci. Rep. 2023, 13, 14669. [Google Scholar] [CrossRef]
- Nikbakht, M.; Yahyaei, B.; Pourali, P. Green synthesis, characterization and antibacterial activity of silver nanoparticles using fruit aqueous and methanolic extracts of Berberis vulgaris and Ziziphus vulgaris. J. Pure Appl. Microbiol. 2015, 9, 349–355. [Google Scholar]
- Pourali, P.; Benada, O.; Pátek, M.; Neuhöferová, E.; Dzmitruk, V.; Benson, V. Response of Biological Gold Nanoparticles to Different pH Values: Is It Possible to Prepare Both Negatively and Positively Charged Nanoparticles? Appl. Sci. 2021, 11, 11559. [Google Scholar] [CrossRef]
- Pourali, P.; Svoboda, M.; Neuhöferová, E.; Dzmitruk, V.; Benson, V. Accumulation and toxicity of biologically produced gold nanoparticles in different types of specialized mammalian cells. Biotechnol. Appl. Biochem. 2024, 71, 766–778. [Google Scholar] [CrossRef] [PubMed]
- Pourali, P.; Dzmitruk, V.; Pátek, M.; Neuhöferová, E.; Svoboda, M.; Benson, V. Fate of the capping agent of biologically produced gold nanoparticles and adsorption of enzymes onto their surface. Sci. Rep. 2023, 13, 4916. [Google Scholar] [CrossRef]
- Pourali, P.; Nouri, M.; Heidari, T.; Kheirkhahan, N.; Yahyaei, B. Comparison between the Nature and Activity of Silver Nanoparticles Produced by Active and Inactive Fungal Biomass Forms on Cervical Cancer Cells. Nanomanufacturing 2023, 3, 248–262. [Google Scholar] [CrossRef]
- Pourali, P.; Svoboda, M.; Benada, O.; Dzmitruk, V.; Benson, V. Biological Production of Gold Nanoparticles at Different Temperatures: Efficiency Assessment. Part. Part. Syst. Charact. 2023, 40, 2200182. [Google Scholar] [CrossRef]
- Pourali, P.; Neuhöferová, E.; Dzmitruk, V.; Benson, V. Investigation of Protein Corona Formed around Biologically Produced Gold Nanoparticles. Materials 2022, 15, 4615. [Google Scholar] [CrossRef]
- Yahyaei, B.; Pourali, P.; Hassani, M. Morphological Change of Kidney after Injection of the Biological Gold Nanoparticles in Wistar Rats. J. Anim. Biol. 2020, 13, 109–119. [Google Scholar]
- Lara, P.; Palma-Florez, S.; Salas-Huenuleo, E.; Polakovicova, I.; Guerrero, S.; Lobos-Gonzalez, L.; Campos, A.; Muñoz, L.; Jorquera-Cordero, C.; Varas-Godoy, M.; et al. Gold nanoparticle based double-labeling of melanoma extracellular vesicles to determine the specificity of uptake by cells and preferential accumulation in small metastatic lung tumors. J. Nanobiotechnol. 2020, 18, 20. [Google Scholar] [CrossRef]
- Hao, F.; Ku, T.; Yang, X.; Liu, Q.S.; Zhao, X.; Faiola, F.; Zhou, Q.; Jiang, G. Gold nanoparticles change small extracellular vesicle attributes of mouse embryonic stem cells. Nanoscale 2020, 12, 15631–15637. [Google Scholar] [CrossRef]
- Ho, L.W.C.; Chan, C.K.W.; Han, R.; Lau, Y.F.Y.; Li, H.; Ho, Y.-P.; Zhuang, X.; Choi, C.H.J. Mammalian cells exocytose alkylated gold nanoparticles via extracellular vesicles. ACS Nano 2022, 16, 2032–2045. [Google Scholar] [CrossRef] [PubMed]
- Wu, X.A.; Choi, C.H.J.; Zhang, C.; Hao, L.; Mirkin, C.A. Intracellular fate of spherical nucleic acid nanoparticle conjugates. J. Am. Chem. Soc. 2014, 136, 7726–7733. [Google Scholar] [CrossRef]
- Pourali, P.; Neuhöferová, E.; Dzmitruk, V.; Svoboda, M.; Stodůlková, E.; Flieger, M.; Yahyaei, B.; Benson, V. Bioproduced Nanoparticles Deliver Multiple Cargoes via Targeted Tumor Therapy In Vivo. ACS Omega 2024, 9, 33789–33804. [Google Scholar] [CrossRef] [PubMed]
- Wu, J.-Y.; Li, Y.-J.; Hu, X.-B.; Huang, S.; Xiang, D.-X. Preservation of small extracellular vesicles for functional analysis and therapeutic applications: A comparative evaluation of storage conditions. Drug Deliv. 2021, 28, 162–170. [Google Scholar] [CrossRef] [PubMed]
- Rikkert, L.G.; Nieuwland, R.; Terstappen, L.W.M.M.; Coumans, F.A.W. Quality of extracellular vesicle images by transmission electron microscopy is operator and protocol dependent. J. Extracell. Vesicles 2019, 8, 1555419. [Google Scholar] [CrossRef]
- Tsuji, T.; Yoshitomi, H.; Usukura, J. Endocytic mechanism of transferrin-conjugated nanoparticles and the effects of their size and ligand number on the efficiency of drug delivery. Microscopy 2013, 62, 341–352. [Google Scholar] [CrossRef]
- Yahyaei, B.; Manafi, S.; Fahimi, B.; Arabzadeh, S.; Pourali, P. Production of electrospun polyvinyl alcohol/microbial synthesized silver nanoparticles scaffold for the treatment of fungating wounds. Appl. Nanosci. 2018, 8, 417–426. [Google Scholar] [CrossRef]
- Bi, Y.; Chen, J.; Li, Q.; Li, Y.; Zhang, L.; Zhida, L.; Yuan, F.; Zhang, R. Tumor-derived extracellular vesicle drug delivery system for chemo-photothermal-immune combination cancer treatment. iScience 2024, 27, 108833. [Google Scholar] [CrossRef]
- Kang, M.; Jordan, V.; Blenkiron, C.; Chamley, L.W. Biodistribution of extracellular vesicles following administration into animals: A systematic review. J. Extracell. Vesicles 2021, 10, e12085. [Google Scholar] [CrossRef]
- Fathi, P.; Rao, L.; Chen, X. Extracellular vesicle-coated nanoparticles. View 2021, 2, 20200187. [Google Scholar] [CrossRef]
- Rao, L.; Tian, R.; Chen, X. Cell-Membrane-Mimicking Nanodecoys against Infectious Diseases. ACS Nano 2020, 14, 2569–2574. [Google Scholar] [CrossRef]
- Hanson, P.I.; Cashikar, A. Multivesicular body morphogenesis. Annu. Rev. Cell Dev. Biol. 2012, 28, 337–362. [Google Scholar] [CrossRef] [PubMed]
- Zomer, A.; Maynard, C.; Verweij, F.J.; Kamermans, A.; Schäfer, R.; Beerling, E.; Schiffelers, R.M.; de Wit, E.; Berenguer, J.; Ellenbroek, S.I.J.; et al. In Vivo imaging reveals extracellular vesicle-mediated phenocopying of metastatic behavior. Cell 2015, 161, 1046–1057. [Google Scholar] [CrossRef]
- Cruz, L.; Romero, J.A.A.; Prado, M.B.; Santos, T.G.; Lopes, M.H. Evidence of extracellular vesicles biogenesis and release in mouse embryonic stem cells. Stem Cell Rev. Rep. 2018, 14, 262–276. [Google Scholar] [CrossRef]
- Bhat, A.; Yadav, J.; Thakur, K.; Aggarwal, N.; Tripathi, T.; Chhokar, A.; Singh, T.; Jadli, M.; Bharti, A.C. Exosomes from cervical cancer cells facilitate pro-angiogenic endothelial reconditioning through transfer of Hedgehog–GLI signaling components. Cancer Cell Int. 2021, 21, 319. [Google Scholar] [CrossRef]
- Hofmann, D.; Tenzer, S.; Bannwarth, M.B.; Messerschmidt, C.; Glaser, S.-F.; Schild, H.; Landfester, K.; Mailänder, V. Mass spectrometry and imaging analysis of nanoparticle-containing vesicles provide a mechanistic insight into cellular trafficking. ACS Nano 2014, 8, 10077–10088. [Google Scholar] [CrossRef]
- Mayle, K.M.; Le, A.M.; Kamei, D.T. The intracellular trafficking pathway of transferrin. Biochim. Biophys. Acta (BBA)-Gen. Subj. 2012, 1820, 264–281. [Google Scholar] [CrossRef]
- Tang, K.; Zhang, Y.; Zhang, H.; Xu, P.; Liu, J.; Ma, J.; Lv, M.; Li, D.; Katirai, F.; Shen, G.-X.; et al. Delivery of chemotherapeutic drugs in tumour cell-derived microparticles. Nat. Commun. 2012, 3, 1282. [Google Scholar] [CrossRef]
- Ma, J.; Zhang, Y.; Tang, K.; Zhang, H.; Yin, X.; Li, Y.; Xu, P.; Sun, Y.; Ma, R.; Ji, T.; et al. Reversing drug resistance of soft tumor-repopulating cells by tumor cell-derived chemotherapeutic microparticles. Cell Res. 2016, 26, 713–727. [Google Scholar] [CrossRef] [PubMed]
- Křivohlavá, R.; Neuhöferová, E.; Jakobsen, K.Q.; Benson, V. Knockdown of microRNA-135b in Mammary Carcinoma by Targeted Nanodiamonds: Potentials and Pitfalls of In Vivo Applications. Nanomaterials 2019, 9, 866. [Google Scholar] [CrossRef] [PubMed]














| Name of the Sample | Set 1 (µg) | Set 2 (µg) | Set 3 (µg) | Mean ± SD |
|---|---|---|---|---|
| AuNPs initial amount | 58.70 | 58.70 | 58.70 | |
| AuNPs amounts remained outside the cells (after 5 h incubation) | 5.23 | 6.82 | 6.02 | 6.02 ± 0.65 |
| AuNPs internalized by cells | 53.47 | 51.88 | 52.68 | 52.68 ± 0.65 |
| AuNPs amounts remained inside the cells (after overnight incubation) | 15.20 | 13.20 | 13.70 | 14.03 ± 0.85 |
| Exocytosed AuNPs inside the EVs | 38.27 | 38.68 | 38.98 | 38.64 ± 0.29 |
| Z-Average (nm) | PI | Peak 1 (nm) | Peak 1 Intensity (%) | Peak 2 (nm) | Peak 2 Intensity (%) | |
|---|---|---|---|---|---|---|
| Control EVs | 188.75 ± 1.5 | 0.37 | 262.7 ± 14 | 86.5 ± 0.3 | 41.48 ± 0.3 | 9.75 ± 0.8 |
| EV-AuNPs | 209.05 ± 19 | 0.27 | 268.2 ± 76 | 91.9 ± 1.4 | 58.96 ± 7.7 | 6.31 ± 1.0 |
| Majority Protein IDs | Protein Names |
|---|---|
| Upregulated in EV-AuNPs | |
| O43707 | Alpha-actinin-4 |
| P00450 | Ceruloplasmin |
| P07942 | Laminin subunit beta-1 |
| P08572 | Collagen alpha-2(IV) chain; Canstatin |
| P13497 | Bone morphogenetic protein 1 |
| Q92743 | Serine protease HTRA1 |
| P16870 | Carboxypeptidase E |
| Q9BRK5 | 45 kDa calcium-binding protein |
| P31948 | Stress-induced-phosphoprotein 1 |
| Downregulated in EV-AuNPs | |
| P14678 | Small nuclear ribonucleoprotein-associated proteins B |
| P63162 | Small nuclear ribonucleoprotein-associated protein N |
| P62826 | GTP-binding nuclear protein Ran |
| Protein Group | Protein ID | Accession | Coverage (%) | Avg. Mass | Description |
|---|---|---|---|---|---|
| 34 | 10133 | P02787|TRFE_HUMAN | 11 | 77064 | Serotransferrin OS = Homo sapiens OX = 9606 GN = TF PE = 1 SV = 3 |
| Increased Inflammatory Cells | Increased Hyperemia | Expansion of Necrotic and Apoptotic Areas | Expansion of Neoplastic Areas | Groups |
|---|---|---|---|---|
| 0 | 2 | 1 | 3 | PBS |
| 1 | 2 | 2 | 2 | AuNPs-Tf- antimiR |
| 1 | 2 | 1 | 2 | Empty EVs |
| 1 | 1 | 2 | 2 | EVs-AuNPs-Tf antimiR |
Disclaimer/Publisher’s Note: The statements, opinions and data contained in all publications are solely those of the individual author(s) and contributor(s) and not of MDPI and/or the editor(s). MDPI and/or the editor(s) disclaim responsibility for any injury to people or property resulting from any ideas, methods, instructions or products referred to in the content. |
© 2025 by the authors. Licensee MDPI, Basel, Switzerland. This article is an open access article distributed under the terms and conditions of the Creative Commons Attribution (CC BY) license (https://creativecommons.org/licenses/by/4.0/).
Share and Cite
Pourali, P.; Neuhöferová, E.; Yahyaei, B.; Svoboda, M.; Buchnarová, A.; Benson, V. Extracellular Vesicle-Mediated Delivery of AntimiR-Conjugated Bio-Gold Nanoparticles for In Vivo Tumor Targeting. Pharmaceutics 2025, 17, 1015. https://doi.org/10.3390/pharmaceutics17081015
Pourali P, Neuhöferová E, Yahyaei B, Svoboda M, Buchnarová A, Benson V. Extracellular Vesicle-Mediated Delivery of AntimiR-Conjugated Bio-Gold Nanoparticles for In Vivo Tumor Targeting. Pharmaceutics. 2025; 17(8):1015. https://doi.org/10.3390/pharmaceutics17081015
Chicago/Turabian StylePourali, Parastoo, Eva Neuhöferová, Behrooz Yahyaei, Milan Svoboda, Adéla Buchnarová, and Veronika Benson. 2025. "Extracellular Vesicle-Mediated Delivery of AntimiR-Conjugated Bio-Gold Nanoparticles for In Vivo Tumor Targeting" Pharmaceutics 17, no. 8: 1015. https://doi.org/10.3390/pharmaceutics17081015
APA StylePourali, P., Neuhöferová, E., Yahyaei, B., Svoboda, M., Buchnarová, A., & Benson, V. (2025). Extracellular Vesicle-Mediated Delivery of AntimiR-Conjugated Bio-Gold Nanoparticles for In Vivo Tumor Targeting. Pharmaceutics, 17(8), 1015. https://doi.org/10.3390/pharmaceutics17081015

