Development of a Clonal and High-Yield Mammalian Cell Line for the Manufacturing of a Hyperactive Human DNase I with Extended Plasma Half-Life Using PASylation® Technology
Abstract
1. Introduction
2. Materials and Methods
2.1. Construction of the Vector for Recombinase-Mediated Cassette Exchange
2.2. CHO Cell Line Development and Clone Selection
2.3. SDS-PAGE and Western Blotting
2.4. Protein Sequencing by Edman Degradation
2.5. Cell Cultivation in Bioreactors
2.6. DNA-PicoGreen Assay
2.7. Protein Purification
2.8. Size Exclusion Chromatography
2.9. Dynamic Light Scattering
2.10. Circular Dichroism Spectroscopy
2.11. Pharmacokinetic Study in Rats
3. Results
3.1. Protein Design
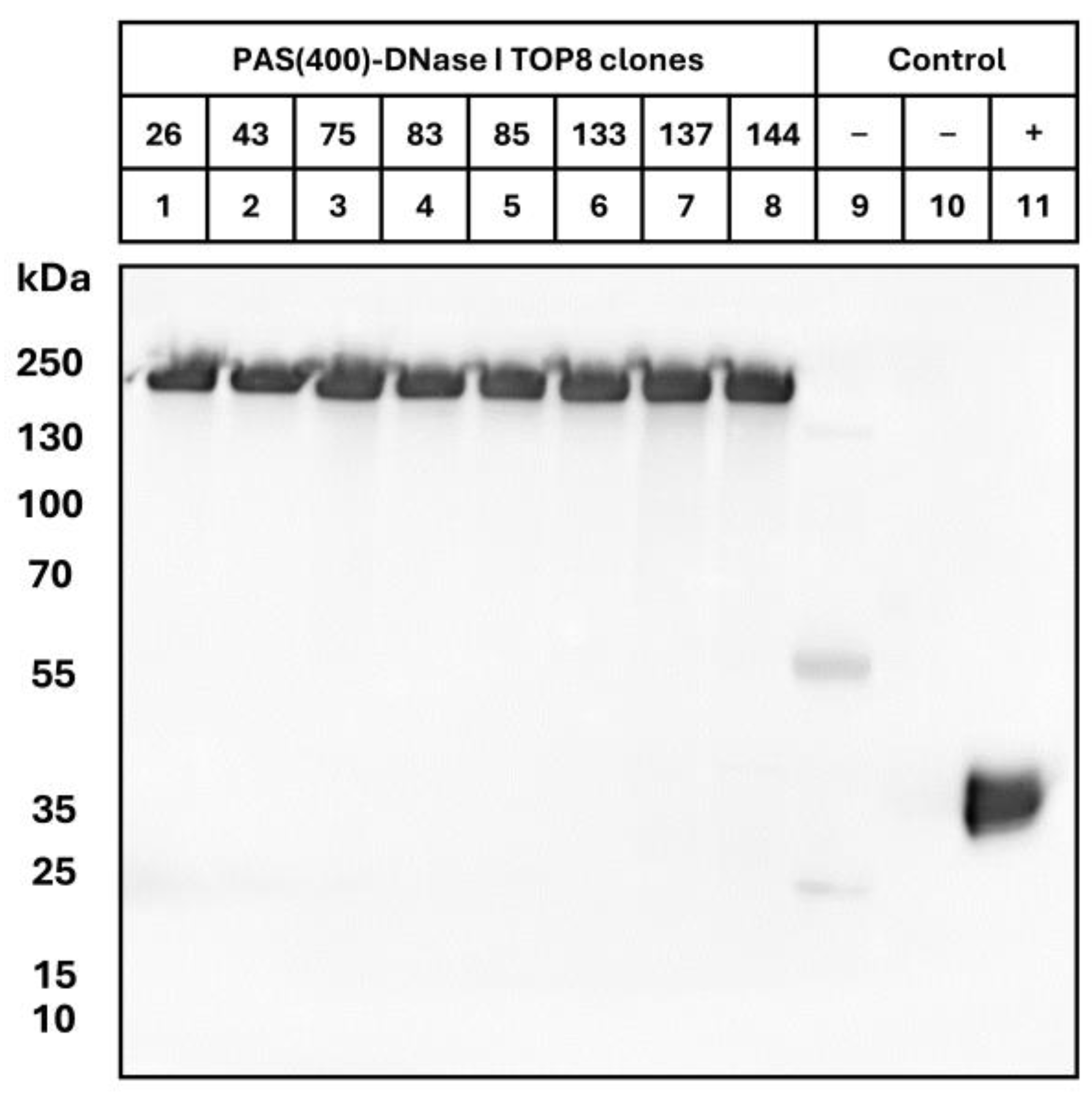
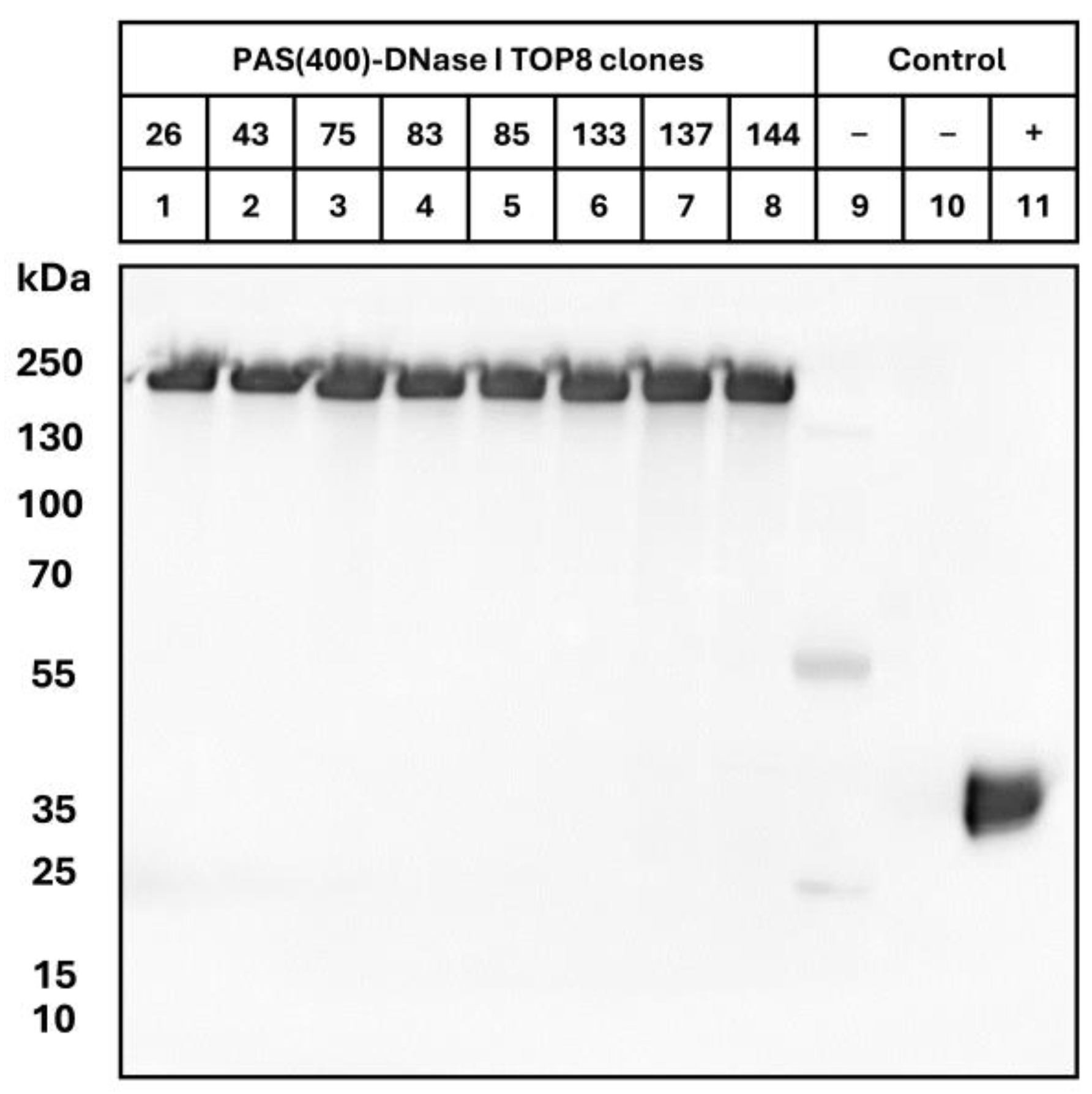
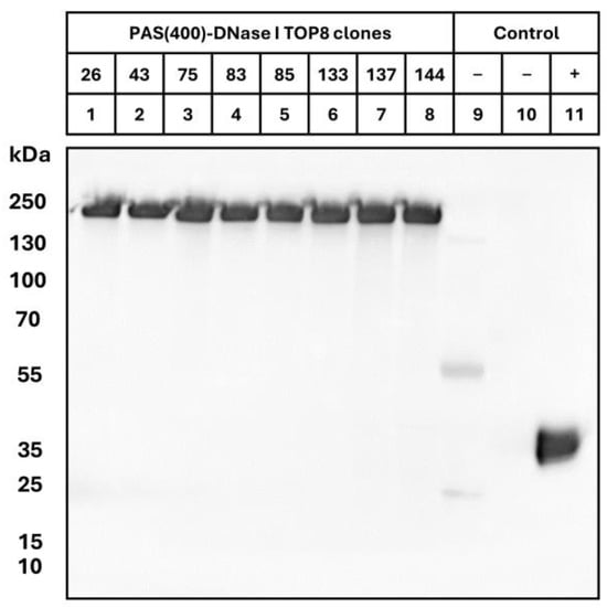
3.2. Cell Line Development
3.3. Controlled Bioreactor Setup for Clone #137
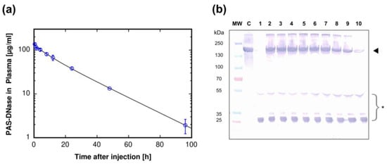
3.4. Recombinant Protein Purification
3.5. Biophysical and Enzymatic Characterization
3.6. Pharmacokinetic Analysis
4. Discussion
5. Conclusions
Supplementary Materials
Author Contributions
Funding
Institutional Review Board Statement
Informed Consent Statement
Data Availability Statement
Acknowledgments
Conflicts of Interest
References
- Carter, P.J. Introduction to current and future protein therapeutics: A protein engineering perspective. Exp. Cell Res. 2011, 317, 1261–1269. [Google Scholar] [CrossRef] [PubMed]
- De Boeck, K. Cystic fibrosis in the year 2020: A disease with a new face. Acta Paediatr. 2020, 109, 893–899. [Google Scholar] [CrossRef] [PubMed]
- Shak, S.; Capon, D.J.; Hellmiss, R.; Marsters, S.A.; Baker, C.L. Recombinant human DNase I reduces the viscosity of cystic fibrosis sputum. Proc. Natl. Acad. Sci. USA 1990, 87, 9188–9192. [Google Scholar] [CrossRef]
- Lazarus, R.A.; Wagener, J.S. Recombinant Human Deoxyribonuclease I. In Pharmaceutical Biotechnology; Springer: Cham, Switzerland, 2019; pp. 471–488. [Google Scholar] [CrossRef]
- Parsiegla, G.; Noguere, C.; Santell, L.; Lazarus, R.A.; Bourne, Y. The structure of human DNase I bound to magnesium and phosphate ions points to a catalytic mechanism common to members of the DNase I-like superfamily. Biochemistry 2012, 51, 10250–10258. [Google Scholar] [CrossRef]
- Frederiksen, B.; Pressler, T.; Hansen, A.; Koch, C.; Hoiby, N. Effect of aerosolized rhDNase (Pulmozyme) on pulmonary colonization in patients with cystic fibrosis. Acta Paediatr. 2006, 95, 1070–1074. [Google Scholar] [CrossRef] [PubMed]
- Brinkmann, V.; Reichard, U.; Goosmann, C.; Fauler, B.; Uhlemann, Y.; Weiss, D.S.; Weinrauch, Y.; Zychlinsky, A. Neutrophil extracellular traps kill bacteria. Science 2004, 303, 1532–1535. [Google Scholar] [CrossRef] [PubMed]
- Papayannopoulos, V. Neutrophil extracellular traps in immunity and disease. Nat. Rev. Immunol. 2018, 18, 134–147. [Google Scholar] [CrossRef]
- Kaplan, M.J.; Radic, M. Neutrophil extracellular traps: Double-edged swords of innate immunity. J. Immunol. 2012, 189, 2689–2695. [Google Scholar] [CrossRef]
- Laridan, E.; Denorme, F.; Desender, L.; Francois, O.; Andersson, T.; Deckmyn, H.; Vanhoorelbeke, K.; De Meyer, S.F. Neutrophil extracellular traps in ischemic stroke thrombi. Ann. Neurol. 2017, 82, 223–232. [Google Scholar] [CrossRef]
- Mangold, A.; Alias, S.; Scherz, T.; Hofbauer, M.; Jakowitsch, J.; Panzenbock, A.; Simon, D.; Laimer, D.; Bangert, C.; Kammerlander, A.; et al. Coronary neutrophil extracellular trap burden and deoxyribonuclease activity in ST-elevation acute coronary syndrome are predictors of ST-segment resolution and infarct size. Circ. Res. 2015, 116, 1182–1192. [Google Scholar] [CrossRef]
- Desilles, J.P.; Solo Nomenjanahary, M.; Consoli, A.; Ollivier, V.; Faille, D.; Bourrienne, M.C.; Hamdani, M.; Dupont, S.; Di Meglio, L.; Escalard, S.; et al. Impact of COVID-19 on thrombus composition and response to thrombolysis: Insights from a monocentric cohort population of COVID-19 patients with acute ischemic stroke. J. Thromb. Haemost. 2022, 20, 919–928. [Google Scholar] [CrossRef] [PubMed]
- Ducroux, C.; Di Meglio, L.; Loyau, S.; Delbosc, S.; Boisseau, W.; Deschildre, C.; Ben Maacha, M.; Blanc, R.; Redjem, H.; Ciccio, G.; et al. Thrombus Neutrophil Extracellular Traps Content Impair tPA-Induced Thrombolysis in Acute Ischemic Stroke. Stroke 2018, 49, 754–757. [Google Scholar] [CrossRef] [PubMed]
- Dwivedi, D.J.; Toltl, L.J.; Swystun, L.L.; Pogue, J.; Liaw, K.L.; Weitz, J.I.; Cook, D.J.; Fox-Robichaud, A.E.; Liaw, P.C.; Canadian Critical Care Translational Biology Group. Prognostic utility and characterization of cell-free DNA in patients with severe sepsis. Crit. Care 2012, 16, R151. [Google Scholar] [CrossRef] [PubMed]
- Rannikko, J.; Seiskari, T.; Huttunen, R.; Tarkiainen, I.; Jylhava, J.; Hurme, M.; Syrjanen, J.; Aittoniemi, J. Plasma cell-free DNA and qSOFA score predict 7-day mortality in 481 emergency department bacteraemia patients. J. Intern. Med. 2018, 284, 418–426. [Google Scholar] [CrossRef] [PubMed]
- Jimenez-Alcazar, M.; Limacher, A.; Panda, R.; Mean, M.; Bitterling, J.; Peine, S.; Renne, T.; Beer, J.H.; Aujesky, D.; Lammle, B.; et al. Circulating extracellular DNA is an independent predictor of mortality in elderly patients with venous thromboembolism. PLoS ONE 2018, 13, e0191150. [Google Scholar] [CrossRef] [PubMed]
- Thalin, C.; Hisada, Y.; Lundstrom, S.; Mackman, N.; Wallen, H. Neutrophil Extracellular Traps: Villains and Targets in Arterial, Venous, and Cancer-Associated Thrombosis. Arterioscler. Thromb. Vasc. Biol. 2019, 39, 1724–1738. [Google Scholar] [CrossRef] [PubMed]
- Lapostolle, A.; Loyer, C.; Elhorany, M.; Chaigneau, T.; Bielle, F.; Alamowitch, S.; Clarençon, F.; Elbim, C. Neutrophil Extracellular Traps in Ischemic Stroke Thrombi Are Associated Wth Poor Clinical Outcome. Stroke Vasc. Interv. Neurol. 2023, 3, e000639. [Google Scholar] [CrossRef]
- Vaibhav, K.; Braun, M.; Alverson, K.; Khodadadi, H.; Kutiyanawalla, A.; Ward, A.; Banerjee, C.; Sparks, T.; Malik, A.; Rashid, M.H.; et al. Neutrophil extracellular traps exacerbate neurological deficits after traumatic brain injury. Sci. Adv. 2020, 6, eaax8847. [Google Scholar] [CrossRef] [PubMed]
- Hazeldine, J.; Dinsdale, R.J.; Naumann, D.N.; Acharjee, A.; Bishop, J.R.B.; Lord, J.M.; Harrison, P. Traumatic injury is associated with reduced deoxyribonuclease activity and dysregulation of the actin scavenging system. Burn. Trauma 2021, 9, tkab001. [Google Scholar] [CrossRef]
- Antonatos, D.; Patsilinakos, S.; Spanodimos, S.; Korkonikitas, P.; Tsigas, D. Cell-free DNA levels as a prognostic marker in acute myocardial infarction. Ann. N. Y. Acad. Sci. 2006, 1075, 278–281. [Google Scholar] [CrossRef]
- Veras, F.P.; Pontelli, M.C.; Silva, C.M.; Toller-Kawahisa, J.E.; de Lima, M.; Nascimento, D.C.; Schneider, A.H.; Caetite, D.; Tavares, L.A.; Paiva, I.M.; et al. SARS-CoV-2-triggered neutrophil extracellular traps mediate COVID-19 pathology. J. Exp. Med. 2020, 217, e20201129. [Google Scholar] [CrossRef] [PubMed]
- Aramburu, I.V.; Hoving, D.; Vernardis, S.I.; Tin, M.C.F.; Ioannou, M.; Temkin, M.I.; De Vasconcelos, N.M.; Demichev, V.; Helbig, E.T.; Lippert, L.; et al. Functional proteomic profiling links deficient DNA clearance with increased mortality in individuals with severe COVID-19 pneumonia. Immunity 2022, 55, 2436–2453.E5. [Google Scholar] [CrossRef]
- Gould, T.J.; Lysov, Z.; Liaw, P.C. Extracellular DNA and histones: Double-edged swords in immunothrombosis. J. Thromb. Haemost. 2015, 13 (Suppl. S1), S82–S91. [Google Scholar] [CrossRef] [PubMed]
- Jimenez-Alcazar, M.; Rangaswamy, C.; Panda, R.; Bitterling, J.; Simsek, Y.J.; Long, A.T.; Bilyy, R.; Krenn, V.; Renne, C.; Renne, T.; et al. Host DNases prevent vascular occlusion by neutrophil extracellular traps. Science 2017, 358, 1202–1206. [Google Scholar] [CrossRef]
- Grosse, G.M.; Blume, N.; Abu-Fares, O.; Gotz, F.; Ernst, J.; Leotescu, A.; Gabriel, M.M.; van Gemmeren, T.; Worthmann, H.; Lichtinghagen, R.; et al. Endogenous Deoxyribonuclease Activity and Cell-Free Deoxyribonucleic Acid in Acute Ischemic Stroke: A Cohort Study. Stroke 2022, 53, 1235–1244. [Google Scholar] [CrossRef]
- Hakkim, A.; Furnrohr, B.G.; Amann, K.; Laube, B.; Abed, U.A.; Brinkmann, V.; Herrmann, M.; Voll, R.E.; Zychlinsky, A. Impairment of neutrophil extracellular trap degradation is associated with lupus nephritis. Proc. Natl. Acad. Sci. USA 2010, 107, 9813–9818. [Google Scholar] [CrossRef]
- Bruschi, M.; Bonanni, A.; Petretto, A.; Vaglio, A.; Pratesi, F.; Santucci, L.; Migliorini, P.; Bertelli, R.; Galetti, M.; Belletti, S.; et al. Neutrophil Extracellular Traps Profiles in Patients with Incident Systemic Lupus Erythematosus and Lupus Nephritis. J. Rheumatol. 2020, 47, 377–386. [Google Scholar] [CrossRef] [PubMed]
- Cruz, D.B.D.; Helms, J.; Aquino, L.R.; Stiel, L.; Cougourdan, L.; Broussard, C.; Chafey, P.; Ries-Kautt, M.; Meziani, F.; Toti, F.; et al. DNA-bound elastase of neutrophil extracellular traps degrades plasminogen, reduces plasmin formation, and decreases fibrinolysis: Proof of concept in septic shock plasma. FASEB J. 2019, 33, 14270–14280. [Google Scholar] [CrossRef] [PubMed]
- Napirei, M.; Wulf, S.; Mannherz, H.G. Chromatin breakdown during necrosis by serum Dnase1 and the plasminogen system. Arthritis Rheum. 2004, 50, 1873–1883. [Google Scholar] [CrossRef]
- Thieblemont, N.; Wright, H.L.; Edwards, S.W.; Witko-Sarsat, V. Human neutrophils in auto-immunity. Semin. Immunol. 2016, 28, 159–173. [Google Scholar] [CrossRef]
- Wigerblad, G.; Kaplan, M.J. Neutrophil extracellular traps in systemic autoimmune and autoinflammatory diseases. Nat. Rev. Immunol. 2023, 23, 274–288. [Google Scholar] [CrossRef] [PubMed]
- Genentech. Pulmozyme Prescribing Information. 2014. Available online: http://www.gene.com/download/pdf/pulmozyme_prescribing.pdf (accessed on 4 March 2024).
- Davis, J.C., Jr.; Manzi, S.; Yarboro, C.; Rairie, J.; McInnes, I.; Averthelyi, D.; Sinicropi, D.; Hale, V.G.; Balow, J.; Austin, H.; et al. Recombinant human Dnase I (rhDNase) in patients with lupus nephritis. Lupus 1999, 8, 68–76. [Google Scholar] [CrossRef] [PubMed]
- Schlapschy, M.; Binder, U.; Borger, C.; Theobald, I.; Wachinger, K.; Kisling, S.; Haller, D.; Skerra, A. PASylation: A biological alternative to PEGylation for extending the plasma half-life of pharmaceutically active proteins. Protein Eng. Des. Sel. 2013, 26, 489–501. [Google Scholar] [CrossRef]
- Povoski, S.P.; Davis, P.D.; Colcher, D.; Martin, E.W., Jr. Single molecular weight discrete PEG compounds: Emerging roles in molecular diagnostics, imaging and therapeutics. Expert Rev. Mol. Diagn. 2013, 13, 315–319. [Google Scholar] [CrossRef] [PubMed]
- Shi, D.; Beasock, D.; Fessler, A.; Szebeni, J.; Ljubimova, J.Y.; Afonin, K.A.; Dobrovolskaia, M.A. To PEGylate or not to PEGylate: Immunological properties of nanomedicine’s most popular component, polyethylene glycol and its alternatives. Adv. Drug Deliv. Rev. 2022, 180, 114079. [Google Scholar] [CrossRef] [PubMed]
- Gebauer, M.; Skerra, A. Prospects of PASylation® for the design of protein and peptide therapeutics with extended half-life and enhanced action. Bioorg. Med. Chem. 2018, 26, 2882–2887. [Google Scholar] [CrossRef]
- Rehberger, B.; Wodarczyk, C.; Reichenbächer, B.; Köhler, J.; Weber, R.; Müller, D. Accelerating stable recombinant cell line development by targeted integration. BMC Proc. 2013, 7, P111. [Google Scholar] [CrossRef]
- Pan, C.Q.; Lazarus, R.A. Engineering hyperactive variants of human deoxyribonuclease I by altering its functional mechanism. Biochemistry 1997, 36, 6624–6632. [Google Scholar] [CrossRef]
- Gerster, A.; Wodarczyk, C.; Reichenbacher, B.; Kohler, J.; Schulze, A.; Krause, F.; Muller, D. A simple method to determine IgG light chain to heavy chain polypeptide ratios expressed by CHO cells. Biotechnol. Lett. 2016, 38, 2043–2049. [Google Scholar] [CrossRef]
- Schilz, J.; Binder, U.; Friedrich, L.; Gebauer, M.; Lutz, C.; Schlapschy, M.; Schiefner, A.; Skerra, A. Molecular recognition of structurally disordered Pro/Ala-rich sequences (PAS) by antibodies involves an Ala residue at the hot spot of the epitope. J. Mol. Biol. 2021, 433, 167113. [Google Scholar] [CrossRef]
- Choi, S.J.; Szoka, F.C. Fluorometric determination of deoxyribonuclease I activity with PicoGreen. Anal. Biochem. 2000, 281, 95–97. [Google Scholar] [CrossRef] [PubMed]
- Lang, W.; Zander, R. Physiological HEPES buffer proposed as a calibrator for pH measurement in human blood. Clin. Chem. Lab. Med. 1999, 37, 563–571. [Google Scholar] [CrossRef] [PubMed]
- Shire, S.J. Stability characterization and formulation development of recombinant human deoxyribonuclease I [Pulmozyme, (dornase alpha)]. Pharm. Biotechnol. 1996, 9, 393–426. [Google Scholar] [CrossRef] [PubMed]
- Gasteiger, E.; Gattiker, A.; Hoogland, C.; Ivanyi, I.; Appel, R.D.; Bairoch, A. ExPASy: The proteomics server for in-depth protein knowledge and analysis. Nucleic Acids Res. 2003, 31, 3784–3788. [Google Scholar] [CrossRef] [PubMed]
- Schlehuber, S.; Skerra, A. Tuning ligand affinity, specificity, and folding stability of an engineered lipocalin variant—A so-called ‘anticalin’—Using a molecular random approach. Biophys. Chem. 2002, 96, 213–228. [Google Scholar] [CrossRef] [PubMed]
- Morath, V.; Bolze, F.; Schlapschy, M.; Schneider, S.; Sedlmayer, F.; Seyfarth, K.; Klingenspor, M.; Skerra, A. PASylation of Murine Leptin Leads to Extended Plasma Half-Life and Enhanced in Vivo Efficacy. Mol. Pharm. 2015, 12, 1431–1442. [Google Scholar] [CrossRef] [PubMed]
- Pan, C.Q.; Lazarus, R.A. Hyperactivity of human DNase I variants. Dependence on the number of positively charged residues and concentration, length, and environment of DNA. J. Biol. Chem. 1998, 273, 11701–11708. [Google Scholar] [CrossRef] [PubMed]
- Lam, C.; Santell, L.; Wilson, B.; Yim, M.; Louie, S.; Tang, D.; Shaw, D.; Chan, P.; Lazarus, R.A.; Snedecor, B.; et al. Taming hyperactive hDNase I: Stable inducible expression of a hyperactive salt- and actin-resistant variant of human deoxyribonuclease I in CHO cells. Biotechnol. Prog. 2017, 33, 523–533. [Google Scholar] [CrossRef]
- Lazarides, E.; Lindberg, U. Actin is the naturally occurring inhibitor of deoxyribonuclease I. Proc. Natl. Acad. Sci. USA 1974, 71, 4742–4746. [Google Scholar] [CrossRef]
- Eulitz, D.; Mannherz, H.G. Inhibition of deoxyribonuclease I by actin is to protect cells from premature cell death. Apoptosis 2007, 12, 1511–1521. [Google Scholar] [CrossRef]
- Mi, X.; Fuks, P.; Wang, S.C.; Winters, M.A.; Carta, G. Protein Adsorption on Core-shell Particles: Comparison of Capto Core 400 and 700 Resins. J. Chromatogr. A 2021, 1651, 462314. [Google Scholar] [CrossRef] [PubMed]
- Zvonova, E.A.; Ershov, A.V.; Ershova, O.A.; Sudomoina, M.A.; Degterev, M.B.; Poroshin, G.N.; Eremeev, A.V.; Karpov, A.P.; Vishnevsky, A.Y.; Goldenkova-Pavlova, I.V.; et al. PASylation technology improves recombinant interferon-beta1b solubility, stability, and biological activity. Appl. Microbiol. Biotechnol. 2017, 101, 1975–1987. [Google Scholar] [CrossRef] [PubMed]
- Kuhn, N.; Schmidt, C.Q.; Schlapschy, M.; Skerra, A. PASylated Coversin, a C5-Specific Complement Inhibitor with Extended Pharmacokinetics, Shows Enhanced Anti-Hemolytic Activity in Vitro. Bioconjug. Chem. 2016, 27, 2359–2371. [Google Scholar] [CrossRef] [PubMed]
- Mohler, M.; Cook, J.; Lewis, D.; Moore, J.; Sinicropi, D.; Championsmith, A.; Ferraiolo, B.; Mordenti, J. Altered pharmacokinetics of recombinant human deoxyribonuclease in rats due to the presence of a binding protein. Drug Metab. Dispos. 1993, 21, 71–75. [Google Scholar] [PubMed]
- Mendler, C.T.; Friedrich, L.; Laitinen, I.; Schlapschy, M.; Schwaiger, M.; Wester, H.J.; Skerra, A. High contrast tumor imaging with radio-labeled antibody Fab fragments tailored for optimized pharmacokinetics via PASylation. MAbs 2015, 7, 96–109. [Google Scholar] [CrossRef] [PubMed]
- Bolze, F.; Morath, V.; Bast, A.; Rink, N.; Schlapschy, M.; Mocek, S.; Skerra, A.; Klingenspor, M. Long-Acting PASylated Leptin Ameliorates Obesity by Promoting Satiety and Preventing Hypometabolism in Leptin-Deficient Lep(ob/ob) Mice. Endocrinology 2016, 157, 233–244. [Google Scholar] [CrossRef] [PubMed]
- Powers, N.E.; Swartzwelter, B.; Marchetti, C.; de Graaf, D.M.; Lerchner, A.; Schlapschy, M.; Datar, R.; Binder, U.; Edwards, C.K., III; Skerra, A.; et al. PASylation of IL-1 receptor antagonist (IL-1Ra) retains IL-1 blockade and extends its duration in mouse urate crystal-induced peritonitis. J. Biol. Chem. 2020, 295, 868–882. [Google Scholar] [CrossRef]
- Koshimura, Y.; Matev, M.; Sonoda, H. Method for Producing Recombinant Human DNase I. U.S. Patent US20170233704A1, 8 December 2020. [Google Scholar]
- Chen, B.; Costantino, H.R.; Liu, J.; Hsu, C.C.; Shire, S.J. Influence of calcium ions on the structure and stability of recombinant human deoxyribonuclease I in the aqueous and lyophilized states. J. Pharm. Sci. 1999, 88, 477–482. [Google Scholar] [CrossRef] [PubMed]
- Scherer, T.; Geller, D.E.; Owyang, L.; Tservistas, M.; Keller, M.; Boden, N.; Kesser, K.C.; Shire, S.J. A technical feasibility study of dornase alfa delivery with eFlow® vibrating membrane nebulizers: Aerosol characteristics and physicochemical stability. J. Pharm. Sci. 2011, 100, 98–109. [Google Scholar] [CrossRef]
- Pan, C.Q.; Ulmer, J.S.; Herzka, A.; Lazarus, R.A. Mutational analysis of human DNase I at the DNA binding interface: Implications for DNA recognition, catalysis, and metal ion dependence. Protein Sci. 1998, 7, 628–636. [Google Scholar] [CrossRef]
- Chan, H.K.; Au-Yeung, K.L.; Gonda, I. Effects of additives on heat denaturation of rhDNase in solutions. Pharm. Res. 1996, 13, 756–761. [Google Scholar] [CrossRef]
- Svilenov, H.L.; Kulakova, A.; Zalar, M.; Golovanov, A.P.; Harris, P.; Winter, G. Orthogonal Techniques to Study the Effect of pH, Sucrose, and Arginine Salts on Monoclonal Antibody Physical Stability and Aggregation during Long-Term Storage. J. Pharm. Sci. 2020, 109, 584–594. [Google Scholar] [CrossRef]
- Moussa, E.M.; Panchal, J.P.; Moorthy, B.S.; Blum, J.S.; Joubert, M.K.; Narhi, L.O.; Topp, E.M. Immunogenicity of Therapeutic Protein Aggregates. J. Pharm. Sci. 2016, 105, 417–430. [Google Scholar] [CrossRef]
- Haraldsson, B.; Nystrom, J.; Deen, W.M. Properties of the glomerular barrier and mechanisms of proteinuria. Physiol. Rev. 2008, 88, 451–487. [Google Scholar] [CrossRef]
- Choi, H.S.; Liu, W.; Misra, P.; Tanaka, E.; Zimmer, J.P.; Itty Ipe, B.; Bawendi, M.G.; Frangioni, J.V. Renal clearance of quantum dots. Nat. Biotechnol. 2007, 25, 1165–1170. [Google Scholar] [CrossRef]
- Prince, W.S.; Baker, D.L.; Dodge, A.H.; Ahmed, A.E.; Chestnut, R.W.; Sinicropi, D.V. Pharmacodynamics of recombinant human DNase I in serum. Clin. Exp. Immunol. 1998, 113, 289–296. [Google Scholar] [CrossRef] [PubMed]
- Caldwell, G.W.; Masucci, J.A.; Yan, Z.; Hageman, W. Allometric scaling of pharmacokinetic parameters in drug discovery: Can human CL, Vss and t1/2 be predicted from in-vivo rat data? Eur. J. Drug Metab. Pharmacokinet. 2004, 29, 133–143. [Google Scholar] [CrossRef] [PubMed]
- Macanovic, M.; Sinicropi, D.; Shak, S.; Baughman, S.; Thiru, S.; Lachmann, P.J. The treatment of systemic lupus erythematosus (SLE) in NZB/W F1 hybrid mice; studies with recombinant murine DNase and with dexamethasone. Clin. Exp. Immunol. 1996, 106, 243–252. [Google Scholar] [CrossRef] [PubMed]
- Brill, A.; Fuchs, T.A.; Savchenko, A.S.; Thomas, G.M.; Martinod, K.; De Meyer, S.F.; Bhandari, A.A.; Wagner, D.D. Neutrophil extracellular traps promote deep vein thrombosis in mice. J. Thromb. Haemost. 2012, 10, 136–144. [Google Scholar] [CrossRef]
- Fuchs, T.A.; Brill, A.; Duerschmied, D.; Schatzberg, D.; Monestier, M.; Myers, D.D., Jr.; Wrobleski, S.K.; Wakefield, T.W.; Hartwig, J.H.; Wagner, D.D. Extracellular DNA traps promote thrombosis. Proc. Natl. Acad. Sci. USA 2010, 107, 15880–15885. [Google Scholar] [CrossRef]




| Rank | Clone Number | Product Titer [mg L−1] | Cell-Specific Productivity [pg d−1] |
|---|---|---|---|
| 1 | 137 | 438 | 9.3 |
| 2 | 133 | 429 | 9.2 |
| 3 | 75 | 402 | 7.1 |
| 4 | 144 | 311 | 5.3 |
| 5 | 26 | 238 | 4.3 |
| 6 | 85 | 238 | 4.7 |
| 7 | 83 | 237 | 4.8 |
| 8 | 43 | 211 | 4.6 |
| Molecular Size | ||
|---|---|---|
| Dornase Alfa | PASylated DNase I | |
| Amino acid residues | 260 | 662 |
| Protein mass [kDa], calculated | 29.254 | 62.447 |
| SEC apparent size [kDa] 1 | 38 | 581 |
| DLS estimated MW [kDa] | 39 ± 1.31 | 494 ± 10.6 |
| DLS Z-average mean size [nm] | 5.7 ± 0.11 | 16.9 ± 0.78 |
| Parameter 1 | Unit | Value | SE 2 | CV% 3 |
|---|---|---|---|---|
| AUC0→∞ | h µg mL−1 | 2616 | 47 | 1.78 |
| h | 5.9 | 2.3 | 39.50 | |
| h | 17.2 | 0.7 | 4.02 | |
| Cmax | µg mL−1 | 130.0 | 4.2 | 3.21 |
| VSS | mL kg−1 | 46.4 | 1.0 | 2.23 |
| CL | mL h kg−1 | 2.04 | 0.04 | 1.78 |
| MRT | h | 22.8 | 0.31 | 1.36 |
Disclaimer/Publisher’s Note: The statements, opinions and data contained in all publications are solely those of the individual author(s) and contributor(s) and not of MDPI and/or the editor(s). MDPI and/or the editor(s) disclaim responsibility for any injury to people or property resulting from any ideas, methods, instructions or products referred to in the content. |
© 2024 by the authors. Licensee MDPI, Basel, Switzerland. This article is an open access article distributed under the terms and conditions of the Creative Commons Attribution (CC BY) license (https://creativecommons.org/licenses/by/4.0/).
Share and Cite
Stamm, S.M.; Wagner, R.; Lang, D.A.; Skerra, A.; Gebauer, M. Development of a Clonal and High-Yield Mammalian Cell Line for the Manufacturing of a Hyperactive Human DNase I with Extended Plasma Half-Life Using PASylation® Technology. Pharmaceutics 2024, 16, 967. https://doi.org/10.3390/pharmaceutics16070967
Stamm SM, Wagner R, Lang DA, Skerra A, Gebauer M. Development of a Clonal and High-Yield Mammalian Cell Line for the Manufacturing of a Hyperactive Human DNase I with Extended Plasma Half-Life Using PASylation® Technology. Pharmaceutics. 2024; 16(7):967. https://doi.org/10.3390/pharmaceutics16070967
Chicago/Turabian StyleStamm, Serge M., Roland Wagner, Dietmar A. Lang, Arne Skerra, and Michaela Gebauer. 2024. "Development of a Clonal and High-Yield Mammalian Cell Line for the Manufacturing of a Hyperactive Human DNase I with Extended Plasma Half-Life Using PASylation® Technology" Pharmaceutics 16, no. 7: 967. https://doi.org/10.3390/pharmaceutics16070967
APA StyleStamm, S. M., Wagner, R., Lang, D. A., Skerra, A., & Gebauer, M. (2024). Development of a Clonal and High-Yield Mammalian Cell Line for the Manufacturing of a Hyperactive Human DNase I with Extended Plasma Half-Life Using PASylation® Technology. Pharmaceutics, 16(7), 967. https://doi.org/10.3390/pharmaceutics16070967

