Green Synthesis of Chitosan/Silver Nanoparticles Using Citrus paradisi Extract and Its Potential Anti-Cryptosporidiosis Effect
Abstract
1. Introduction
2. Materials and Methods
2.1. The Parasite
2.2. Experimental Animals and Grouping
2.2.1. Immunosuppression Induction
2.2.2. Induction of Cryptosporidium Infection
2.3. Preparation of Drugs
2.3.1. Extraction of Citrus Paradisi Peels
2.3.2. Preparation of Chitosan/Silver Nanoparticles (Cs/Ag NPs)
2.3.3. Green Synthesis of C. paradisi Cs/Ag NPs
2.3.4. Preparation of Nitazoxanide Cs/Ag NPs and Nitazoxanide and C. paradisi Cs/Ag NPs
2.4. Characterization of Nanoparticles
2.5. Drug Assessment
2.5.1. Parasitological Examination
2.5.2. Histopathological Examination
2.5.3. Immunohistochemical Examination Assessment of NFkB
2.5.4. Immunological Analysis of Serum Levels of Interleukin 10 and TNF Alpha Cytokines
2.6. Statistical Analysis
3. Results
3.1. Encapsulation Efficiency
3.2. Characterization of Silver Nanoparticles
3.2.1. Color Change and Visual Observation
3.2.2. UV-Vis Spectroscopy
3.2.3. Transmission Electron Microscopy (TEM)
3.2.4. Fourier Transform Infrared Spectroscopy (FTIR)
3.3. Oocyst Shedding
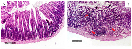
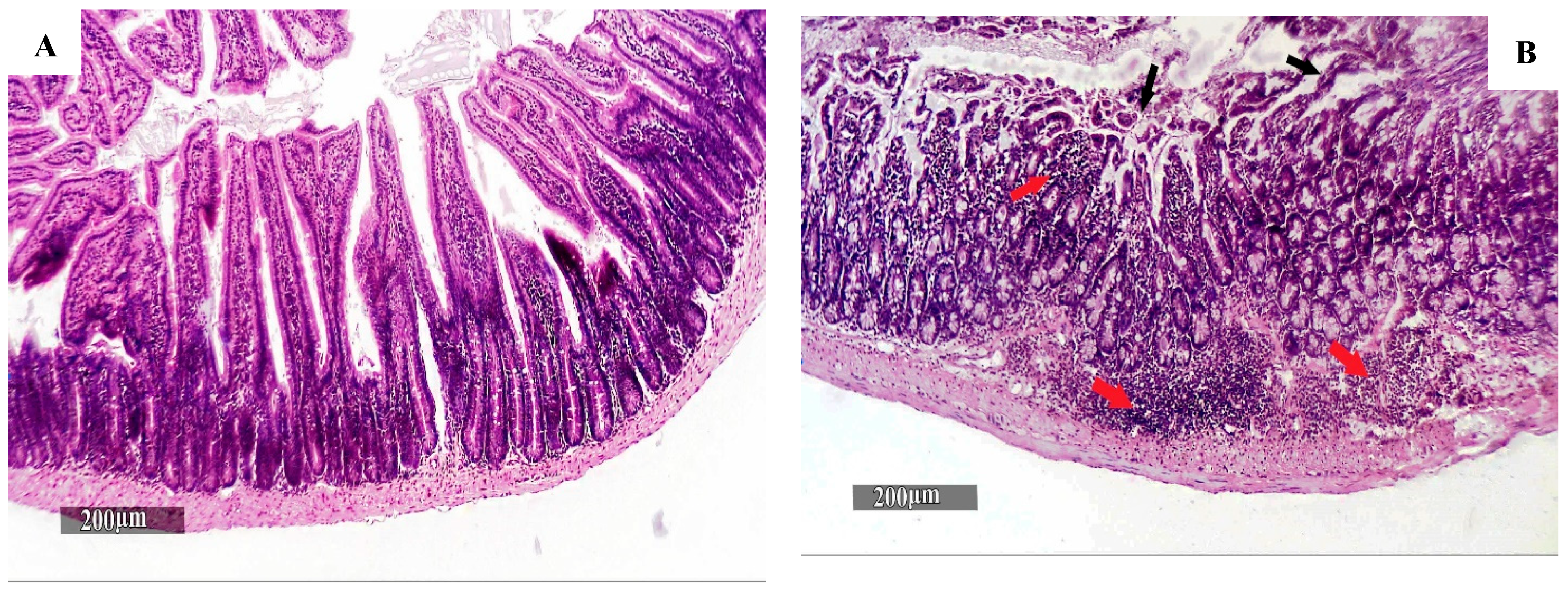
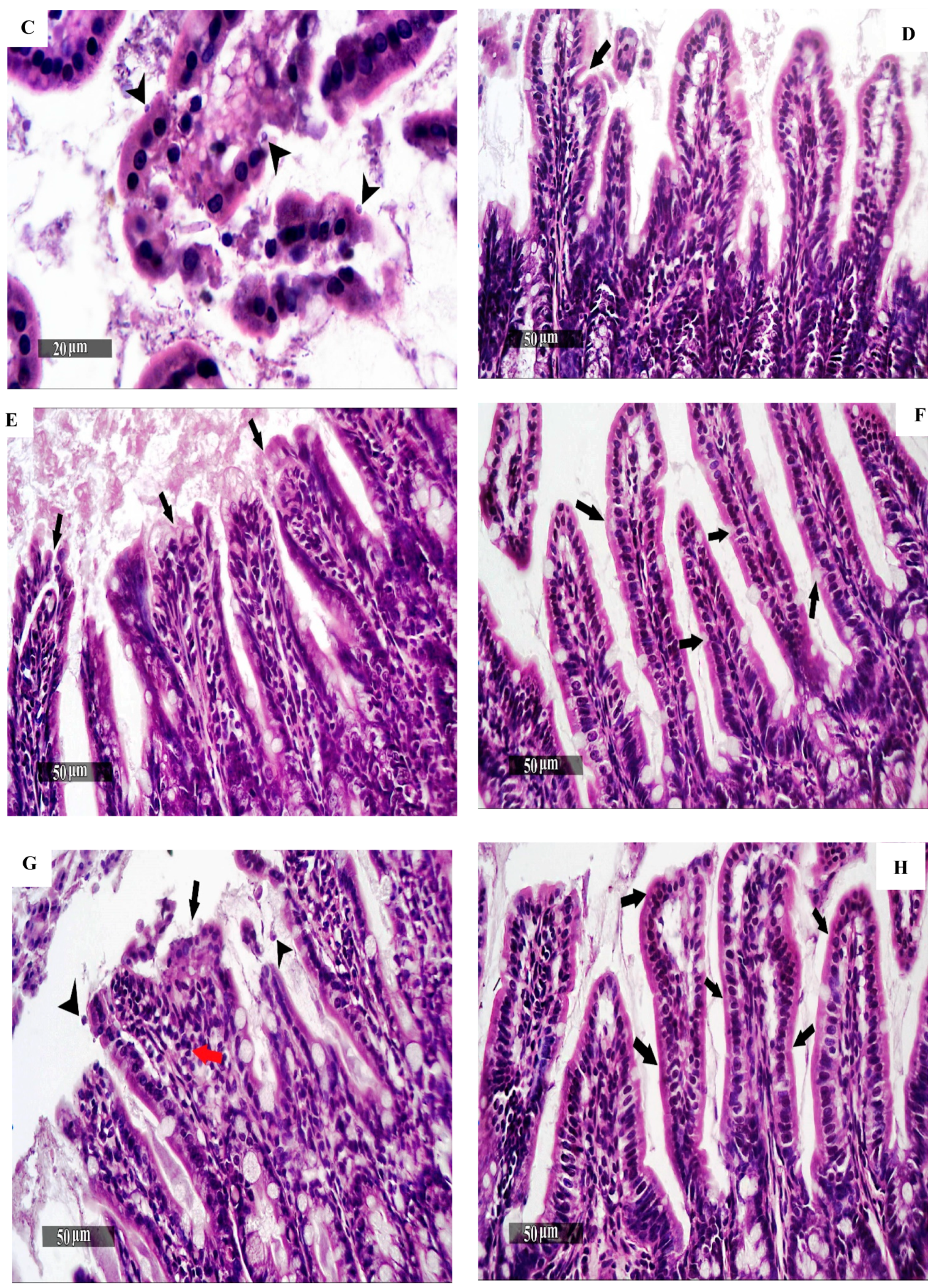
3.4. Histopathological Findings
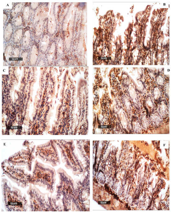
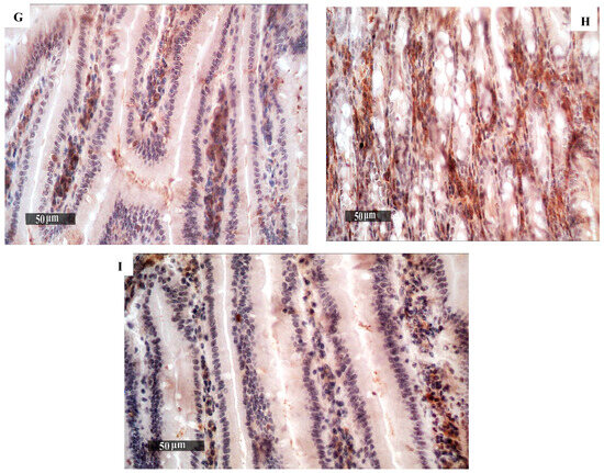
3.5. Immunohistochemical Studies
3.6. Immunological Analysis of Serum Levels of TNF Alpha and Interleukin 10 Cytokines
4. Discussion
5. Conclusions
Supplementary Materials
Author Contributions
Funding
Institutional Review Board Statement
Informed Consent Statement
Data Availability Statement
Acknowledgments
Conflicts of Interest
References
- Khan, S.M.; Witola, W.H. Past, current, and potential treatments for cryptosporidiosis in humans and farm animals: A comprehensive review. Front. Cell. Infect. Microbiol. 2023, 13, 1115522. [Google Scholar] [CrossRef] [PubMed]
- Helmy, Y.A.; Hafez, H.M. Cryptosporidiosis: From Prevention to Treatment, a Narrative Review. Microorganisms 2022, 10, 2456. [Google Scholar] [CrossRef]
- Shirley, D.A.; Moonah, S.N.; Kotloff, K.L. Burden of disease from cryptosporidiosis. Curr. Opin. Infect. Dis. 2012, 25, 555–563. [Google Scholar] [CrossRef] [PubMed]
- Checkley, W.; White, A.C., Jr.; Jaganath, D.; Arrowood, M.J.; Chalmers, R.M.; Chen, X.M.; Fayer, R.; Griffiths, J.K.; Guerrant, R.L.; Hedstrom, L.; et al. A review of the global burden, novel diagnostics, therapeutics, and vaccine targets for cryptosporidium. Lancet. Infect. Dis. 2015, 15, 85–94. [Google Scholar] [CrossRef]
- Mead, J.R. Early immune and host cell responses to Cryptosporidium infection. Front. Parasitol. 2023, 2, 1113950. [Google Scholar] [CrossRef] [PubMed]
- Ghareeb, M.A.; Sobeh, M. Polyphenolic Profile of Herniaria hemistemon Aerial Parts Extract and Assessment of Its Anti-Cryptosporidiosis in a Murine Model: In Silico Supported In Vivo Study. Pharmaceutics 2023, 15, 415. [Google Scholar] [CrossRef]
- Liu, S.; Lou, Y.; Li, Y.; Zhang, J.; Li, P.; Yang, B.; Gu, Q. Review of phytochemical and nutritional characteristics and food applications of Citrus L. fruits. Front. Nutr. 2022, 9, 968604. [Google Scholar] [CrossRef] [PubMed]
- Osama, H.A.; Mohammad Hussein, A.; Ahmed, L.A.; Hasan, N.A. The Antimicrobial and Antioxidant Effects of Grapefruit (Citrus paradise) Peel Extract. Eurasian Med. Res. Period. 2022, 15, 146–151. [Google Scholar]
- de Almeida, C.R.; Bezagio, R.C.; Colli, C.M.; Romera, L.I.L.; Ferrari, A.; Gomes, M.L. Elimination of Giardia duodenalis BIV in vivo using natural extracts in microbiome and dietary supplements. Parasitol. Int. 2022, 86, 102484. [Google Scholar] [CrossRef]
- Oreagba, A.; Aina, O.; Awodele, O.; Olayemi, S.; Mabadeje, A.; Ashorobi, R. Prophylactic Effect of Grapefruit Juice against Plasmodium berghei berghei. Int. J. Pharmacol. 2008, 4, 60–63. [Google Scholar] [CrossRef]
- Pérez-Fonseca, A.; Gutiérrez, L.; Sumano, H.; Salem, A.Z.; Ortega-Cerrilla, M.E.; Villa-Mancera, A.; Alcala-Canto, Y. Effect of dehydrated grapefruit peels on intestinal integrity and Eimeria invasion of caprine epithelial cells in vitro and anticoccidial activity in vivo. Small Rumin. Res. 2022, 210, 106663. [Google Scholar] [CrossRef]
- Mahmoud, M.; Ebeid, F.; Nosseir, M. Enhanced Role of Grapefruit Juice on the Anti-schistosomal Activity of Artemether on the Liver of Schistosoma haematobium Infected Hamsters. Sci. Pharm. 2006, 74, 59–75. [Google Scholar] [CrossRef]
- Huang, Y.; Guo, X.; Wu, Y.; Chen, X.; Feng, L.; Xie, N. Nanotechnology’s frontier in combatting infectious and inflammatory diseases: Prevention and treatment. Signal Transduct. Target. Ther. 2024, 9, 34. [Google Scholar] [CrossRef] [PubMed]
- Dhaka, A.; Mali, S.C.; Sharma, S.; Trivedi, R. A review on biological synthesis of silver nanoparticles and their potential applications. Results Chem. 2023, 6, 101108. [Google Scholar] [CrossRef]
- Kaur, P.; Choudhary, A.; Thakur, R. Synthesis of chitosan-silver nanocomposites and their antibacterial activity. Int. J. Sci. Eng. Res. 2013, 4, 869. [Google Scholar]
- Castañeda-Aude, J.E.; Morones-Ramírez, J.R. Ultra-Small Silver Nanoparticles: A Sustainable Green Synthesis Approach for Antibacterial Activity. Antibiotics 2023, 12, 574. [Google Scholar] [CrossRef] [PubMed]
- Naseem, K.; Zia Ur Rehman, M.; Ahmad, A.; Dubal, D.; AlGarni, T.S. Plant extract induced biogenic preparation of silver nanoparticles and their potential as catalyst for degradation of toxic dyes. Coatings 2020, 10, 1235. [Google Scholar] [CrossRef]
- AbdElKader, N.A.; Sheta, E.; AbuBakr, H.O.; El-Shamy, O.A.; Oryan, A.; Attia, M.M. Effects of chitosan nanoparticles, ivermectin and their combination in the treatment of Gasterophilus intestinalis (Diptera: Gasterophilidae) larvae in donkeys (Equus asinus). Int. J. Trop. Insect Sci. 2021, 41, 43–54. [Google Scholar] [CrossRef]
- El-Wakil, E.S.; Mohamed, E.A.; El-Wakil, E.A.; AbouShousha, T.S.; Amer, N.M. Anti-cryptosporidial activity of Camellia sinensis (green tea extract) in experimentally infected immunocompromised mice. Acta Protozool. 2022, 61, 23–34. [Google Scholar] [CrossRef]
- Arrowood, M.J.; Donaldson, K. Improved purification methods for calf-derived Cryptosporidium parvum oocysts using discontinuous sucrose and cesium chloride gradients. J. Eukaryot. Microbiol. 1996, 43, 89s. [Google Scholar] [CrossRef]
- Li, X.; Brasseur, P.; Agnamey, P.; Leméteil, D.; Favennec, L.; Ballet, J.J.; Rossignol, J.F. Long-lasting anticryptosporidial activity of nitazoxanide in an immunosuppressed rat model. Folia Parasitol. 2003, 50, 19–22. [Google Scholar] [CrossRef] [PubMed]
- Said, D.E.; Elsamad, L.M.; Gohar, Y.M. Validity of silver, chitosan, and curcumin nanoparticles as anti-Giardia agents. Parasitol. Res. 2012, 111, 545–554. [Google Scholar] [CrossRef] [PubMed]
- Rehg, J.E.; Hancock, M.L.; Woodmansee, D.B. Characterization of a dexamethasone-treated rat model of cryptosporidial infection. J. Infect. Dis. 1988, 158, 1406–1407. [Google Scholar] [CrossRef]
- Khalifa, A.M.; El Temsahy, M.M.; Abou El Naga, I.F. Effect of ozone on the viability of some protozoa in drinking water. J. Egypt. Soc. Parasitol. 2001, 31, 603–616. [Google Scholar]
- Love, M.S.; Beasley, F.C.; Jumani, R.S.; Wright, T.M.; Chatterjee, A.K.; Huston, C.D.; Schultz, P.G.; McNamara, C.W. A high-throughput phenotypic screen identifies clofazimine as a potential treatment for cryptosporidiosis. PLoS Neglected Trop. Dis. 2017, 11, e0005373. [Google Scholar] [CrossRef] [PubMed]
- Mohammed, H.S.; Ibrahim, M.H.; Abdel-Aziz, M.M.; Ghareeb, M.A. Anti-Helicobacter pylori, anti-biofilm activity, and molecular docking study of citropten, bergapten, and its positional isomer isolated from Citrus sinensis L. leaves. Heliyon 2024, 10, e25232. [Google Scholar] [CrossRef]
- Rajeshkumar, S. Citrus lemon juice mediated preparation of AgNPs/chitosan-based bionanocomposites and its antimicrobial and antioxidant activity. J. Nanomater. 2021, 2021, 7527250. [Google Scholar] [CrossRef]
- Garcia, L. Intestinal Protozoa (Coccidia), Microsporidia, and Algae. In Diagnostic Medical Parasitology; ASM Press: Washington, DC, USA, 2016; pp. 612–666. [Google Scholar] [CrossRef]
- Benamrouz, S.; Conseil, V.; Chabé, M.; Praet, M.; Audebert, C.; Blervaque, R.; Guyot, K.; Gazzola, S.; Mouray, A.; Chassat, T.; et al. Cryptosporidium parvum-induced ileo-caecal adenocarcinoma and Wnt signaling in a mouse model. Dis. Models Mech. 2014, 7, 693–700. [Google Scholar] [CrossRef]
- Hosking, B.C.; Watson, T.G.; Leathwick, D.M. Multigeneric resistance to oxfendazole by nematodes in cattle. Vet. Rec. 1996, 138, 67–68. [Google Scholar] [CrossRef]
- Culling, C.F.A. Handbook of Histopathological and Histochemical Techniques: Including Museum Techniques; Elsevier Ltd. Butterworth-Heinemann: Oxford, UK, 2013. [Google Scholar]
- El Gazzar, W.B.; Sliem, R.E.; Bayoumi, H.; Nasr, H.E.; Shabanah, M.; Elalfy, A.; Radwaan, S.E.; Gebba, M.A.; Mansour, H.M.; Badr, A.M. Melatonin Alleviates Intestinal Barrier Damaging Effects Induced by Polyethylene Microplastics in Albino Rats. Int. J. Mol. Sci. 2023, 24, 13619. [Google Scholar] [CrossRef]
- Gerace, E.; Lo Presti, V.D.M.; Biondo, C. Cryptosporidium Infection: Epidemiology, Pathogenesis, and Differential Diagnosis. Eur. J. Microbiol. Immunol. 2019, 9, 119–123. [Google Scholar] [CrossRef] [PubMed]
- Ryan, U.; Zahedi, A. An Update on Zoonotic Cryptosporidium Species and Genotypes in Humans. Animals 2021, 11, 3307. [Google Scholar] [CrossRef] [PubMed]
- Abou Elez, R.M.; Attia, A.S.; Tolba, H.M.; Anter, R.G.; Elsohaby, I. Molecular identification and antiprotozoal activity of silver nanoparticles on viability of Cryptosporidium parvum isolated from pigeons, pigeon fanciers and water. Sci. Rep. 2023, 13, 3109. [Google Scholar] [CrossRef] [PubMed]
- Kredy, H.M. The effect of pH, temperature on the green synthesis and biochemical activities of silver nanoparticles from Lawsonia inermis extract. J. Pharm. Sci. Res. 2018, 10, 2022–2026. [Google Scholar]
- Singh, J.; Kumar, A.; Nayal, A.S.; Vikal, S.; Shukla, G.; Singh, A.; Singh, A.; Goswami, S.; Kumar, A.; Gautam, Y.K.; et al. Comprehensive antifungal investigation of green synthesized silver nanoformulation against four agriculturally significant fungi and its cytotoxic applications. Sci. Rep. 2024, 14, 5934. [Google Scholar] [CrossRef] [PubMed]
- Ale, Y.; Rana, S.; Nainwal, N.; Rawat, S.; Butola, M.; Zainul, R.; Jakhmola, V. Phytochemical Screening and Green Synthesis of Antibacterial Silver Nanoparticles of Sapindus mukorossi Fruit Extracts. Res. J. Pharm. Technol. 2023, 16, 5643–5649. [Google Scholar] [CrossRef]
- Fernando, K.M.; Gunathilake, C.A.; Yalegama, C.; Samarakoon, U.K.; Fernando, C.A.; Weerasinghe, G.; Pamunuwa, G.K.; Soliman, I.; Ghulamullah, N.; Rajapaksha, S.M. Synthesis of Silver Nanoparticles Using Green Reducing Agent: Ceylon Olive (Elaeocarpus serratus): Characterization and Investigating Their Antimicrobial Properties. J. Compos. Sci. 2024, 8, 43. [Google Scholar] [CrossRef]
- Mariadoss, A.V.A.; Ramachandran, V.; Shalini, V.; Agilan, B.; Franklin, J.H.; Sanjay, K.; Alaa, Y.G.; Tawfiq, M.A.; Ernest, D. Green synthesis, characterization and antibacterial activity of silver nanoparticles by Malus domestica and its cytotoxic effect on (MCF-7) cell line. Microb. Pathog. 2019, 135, 103609. [Google Scholar] [CrossRef] [PubMed]
- Bąska, P.; Norbury, L.J. The Role of Nuclear Factor Kappa B (NF-κB) in the Immune Response against Parasites. Pathogens 2022, 11, 310. [Google Scholar] [CrossRef]
- Aboelsoued, D.; Toaleb, N.I. A Cryptosporidium parvum vaccine candidate effect on immunohistochemical profiling of CD4(+), CD8(+), Caspase-3 and NF-κB in mice. BMC Veter-Res. 2023, 19, 216. [Google Scholar] [CrossRef]
- Abdelgelil, N.; Sanadeki, M.; Abdel-Fatah, M.; Abd Rabou, R.A. The efficacy of natural ginger (Zingiber officinale) on experimentally infected mice with Cryptosporidium parvum. Minia J. Med. Res. 2023, 34, 132–142. [Google Scholar] [CrossRef]









| Group | 7th Day PI | 10th Day PI | 12th Day PI | 15th Day PI | 20th Day PI | ||||
|---|---|---|---|---|---|---|---|---|---|
| Mean ± SE | Mean ± SE | PR% | Mean ± SE | PR% | Mean ± SE | PR% | Mean ± SE | PR% | |
| GII | 475.6 ± 4.6 aA | 477.9 ± 5.9 aA | - | 478.9 ± 5.8 aA | - | 480.1 ± 5.9 aA | - | 481.2 ± 6.0 aA | - |
| GIII | 477.9 ± 4.0 aA | 108.2 ± 2.1 bB | 77% | 103 ± 1.7 bB | 79% | 102.3 ±1.4 bB | 79% | 100.9 ± 1.2 bB | 79% |
| GIV | 479.4 ± 2.5 aA | 197.9 ± 3.4 bC | 59% | 189.1 ± 3.6 bC | 61% | 189 ± 3.2 bC | 61% | 186 ± 2.0 bC | 61% |
| GV | 475.8 ± 4.2 aA | 81.7 ± 1.6 bD | 83% | 73.7 ± 1.9 bD | 85% | 73.6 ± 1.7 bD | 85% | 73.1 ± 1.9 bD | 85% |
| GVI | 477.1 ± 4.3 aA | 443.6 ± 1.9 bE | 7% | 440 ± 1.7 bE | 8% | 438.9 ± 1.0 bE | 9% | 437.1 ± 1.7 bE | 9% |
| GVII | 476.7 ± 5.9 aA | 51.1 ± 1.5 bF | 89% | 49.5 ± 2.1 bF | 90% | 48.2 ± 1.1 bF | 90% | 44 ± 1.2 bF | 91% |
| GVIII | 478.2 ± 4.6 aA | 118 ± 3.1 bB | 75% | 112.3 ± 2.2 bB | 77% | 111.9 ± 3.3 bB | 77% | 107.6 ± 4.4 bB | 78% |
| GIX | 475.6 ± 3.3 aA | 30.4 ± 2.5 bG | 94% | 26.5 ± 2.0 bG | 95% | 25.5 ± 1.5 bG | 95% | 20.8 ± 1.9 bG | 96% |
| Groups | Area % of Immunohistochemical Expression of NFkB | |
|---|---|---|
| Mean ± SE | ANOVA p-Value | |
| GI | 2.9 ± 0.2 | 0.001 ** |
| GII | 34.2 ± 1.3 | |
| GIII | 8.7 ± 0.4 | |
| GIV | 17 ± 1 | |
| GV | 3.8 ± 0.2 | |
| GVI | 19 ± 1 | |
| GVII | 3.5 ± 0.2 | |
| GVIII | 10 ± 0.7 | |
| GIX | 3 ± 0.5 | |
Disclaimer/Publisher’s Note: The statements, opinions and data contained in all publications are solely those of the individual author(s) and contributor(s) and not of MDPI and/or the editor(s). MDPI and/or the editor(s) disclaim responsibility for any injury to people or property resulting from any ideas, methods, instructions or products referred to in the content. |
© 2024 by the authors. Licensee MDPI, Basel, Switzerland. This article is an open access article distributed under the terms and conditions of the Creative Commons Attribution (CC BY) license (https://creativecommons.org/licenses/by/4.0/).
Share and Cite
Alsulami, M.N.; El-Wakil, E.S. Green Synthesis of Chitosan/Silver Nanoparticles Using Citrus paradisi Extract and Its Potential Anti-Cryptosporidiosis Effect. Pharmaceutics 2024, 16, 968. https://doi.org/10.3390/pharmaceutics16070968
Alsulami MN, El-Wakil ES. Green Synthesis of Chitosan/Silver Nanoparticles Using Citrus paradisi Extract and Its Potential Anti-Cryptosporidiosis Effect. Pharmaceutics. 2024; 16(7):968. https://doi.org/10.3390/pharmaceutics16070968
Chicago/Turabian StyleAlsulami, Muslimah N., and Eman S. El-Wakil. 2024. "Green Synthesis of Chitosan/Silver Nanoparticles Using Citrus paradisi Extract and Its Potential Anti-Cryptosporidiosis Effect" Pharmaceutics 16, no. 7: 968. https://doi.org/10.3390/pharmaceutics16070968
APA StyleAlsulami, M. N., & El-Wakil, E. S. (2024). Green Synthesis of Chitosan/Silver Nanoparticles Using Citrus paradisi Extract and Its Potential Anti-Cryptosporidiosis Effect. Pharmaceutics, 16(7), 968. https://doi.org/10.3390/pharmaceutics16070968

