Layered Double Hydroxides (LDH) as Delivery Vehicles of a Chimeric Protein Carrying Epitopes from the Porcine Reproductive and Respiratory Syndrome Virus
Abstract
1. Introduction
2. Materials and Methods
2.1. Gene Design
2.2. LTB–PRRSV Antigen Production
2.3. Protein Extraction and SDS–PAGE Analysis
2.4. Solubilization and Purification of LTB–PRRSV
2.5. Refolding and Concentration of LTB–PRRSV
2.6. Synthesis of LDH Nanoparticles (LDH NP)
2.7. Bioconjugation of LTB–PRRSV with LDH NP
2.8. Immunization
2.9. Antibody Levels by Enzyme Linked Immunosorbent Assay (ELISA)
2.10. Statistical Analysis
3. Results
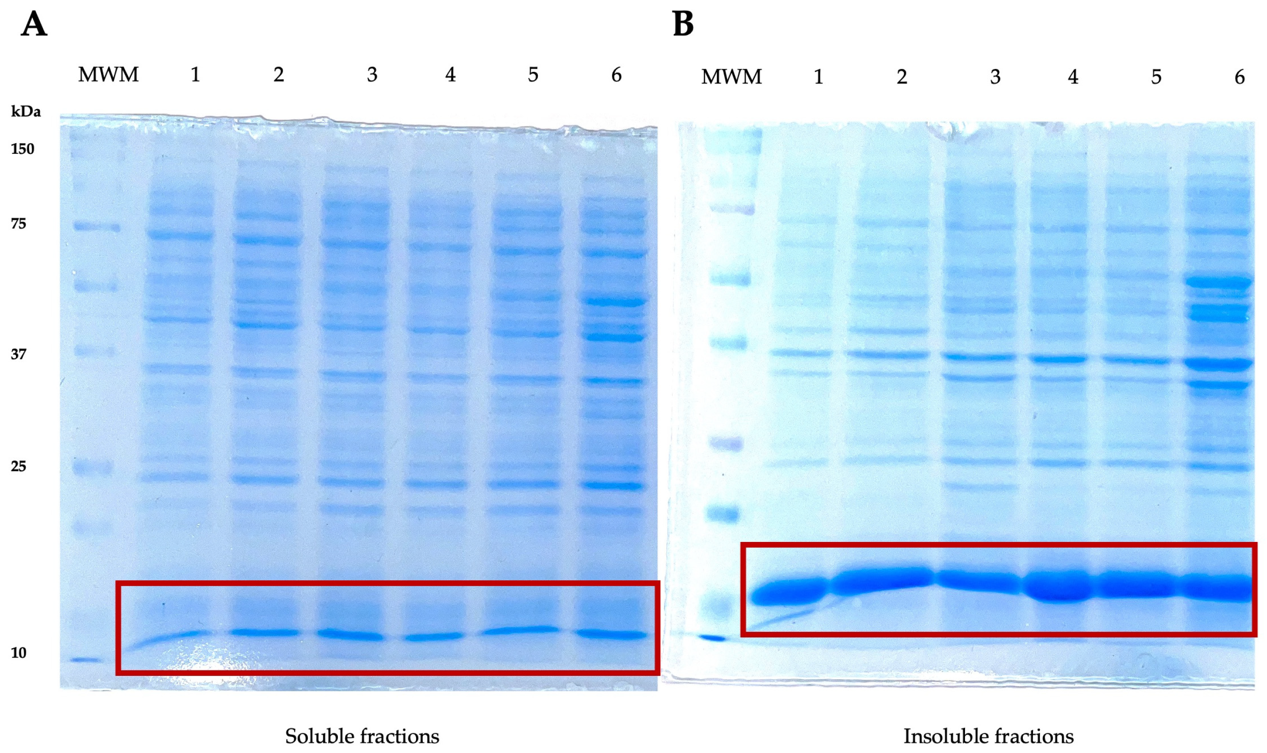
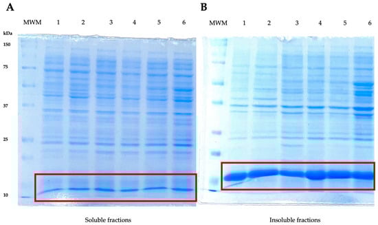
3.1. Production of LTB–PRRSV
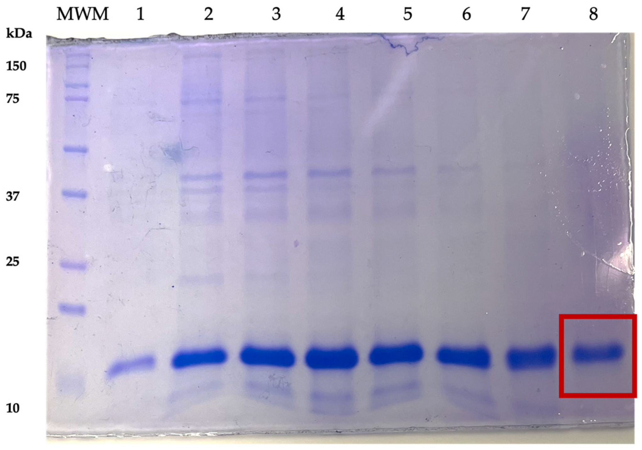
3.2. LTB–PRRSV Solubilization
3.3. LTB–PRRSV Purification
3.4. LTB–PRRSV Refolding
3.5. LDH NP Synthesis and Bioconjugation with LTB–PRRSV
3.6. Immunization Assay
4. Discussion
5. Conclusions
Author Contributions
Funding
Institutional Review Board Statement
Informed Consent Statement
Data Availability Statement
Acknowledgments
Conflicts of Interest
References
- Meulenberg, J.J. PRRSV, the virus. Vet. Res. 2000, 31, 11–21. [Google Scholar] [CrossRef] [PubMed][Green Version]
- Pérdidas de Producción Asocidas el PRRS y Medidas de Erradiacción. 2017. Available online: https://www.portalveterinaria.com/porcino/articulos/13366/perdidas-de-produccion-asociadas-al-prrs-y-medidas-de-erradicacion.html (accessed on 20 January 2024).
- SENASICA. Panorama Internacional del Síndrome Reproductivo y Respiratorio Porcino SINAGREM. 2021. Available online: https://dj.senasica.gob.mx/Contenido/files/2022/agosto/00011PAIPRRS04012022_e1c3bf38-f35f-4d5e-8b6d-3bd8c6c64063_e1c3bf38-f35f-4d5e-8b6d-3bd8c6c64063.pdf (accessed on 20 January 2024).
- Lunney, J.K.; Fang, Y.; Ladinig, A.; Chen, N.; Li, Y.; Rowland, B.; Renukaradhya, G.J. Porcine reproductive and respiratory syndrome virus (PRRSV): Pathogenesis and interaction with the immune system. Annu. Rev. Anim. Biosci. 2016, 4, 129–154. [Google Scholar] [CrossRef] [PubMed]
- Popescu, L.N.; Trible, B.R.; Chen, N.; Rowland, R.R.R. GP5 of porcine reproductive and respiratory syndrome virus (PRRSV) as a target for homologous and broadly neutralizing antibodies. Vet. Microbiol. 2017, 209, 90–96. [Google Scholar] [CrossRef] [PubMed]
- Thanawongnuwech, R.; Suradhat, S. Taming PRRSV: Revisiting the control strategies and vaccine design. Virus Res. 2010, 154, 133–140. [Google Scholar] [CrossRef]
- Murtaugh, M.P.; Xiao, Z.; Zuckermann, F. Immunological responses of swine to porcine reproductive and respiratory syndrome virus infection. Viral Immunol. 2002, 15, 533–547. [Google Scholar] [CrossRef] [PubMed]
- Nan, Y.; Wu, C.; Gu, G.; Sun, W.; Zhang, Y.-J.; Zhou, E.-M. Improved vaccine against PRRSV: Current progress and future perspective. Front. Microbiol. 2017, 8, 1635. [Google Scholar] [CrossRef] [PubMed]
- Tipos de Vacunas. 2024. Available online: https://www.hhs.gov/es/immunization/basics/types/index.html (accessed on 15 February 2024).
- Stepanova, K.; Toman, M.; Sinkorova, J.; Sinkora, S.; Pfeiferova, S.; Skalnikova, H.K.; Abuhajiar, S.; Moutelikova, R.; Salat, J.; Stepanova, H.; et al. Modified live vaccine strains of porcine reproductive and respiratory syndrome virus cause immune system dysregulation similar to wild strains. Front. Immunol. 2023, 14, 1292381. [Google Scholar] [CrossRef] [PubMed]
- Pereda, N.R.; Santiago, C.R.; Sánchez, J.J.C.; Cortés, O.R.; González, P. Vacunas, adyuvantes y bacteriófagos como vectores vacunales. Rev. Biomed. 2020, 31, 159–172. [Google Scholar] [CrossRef]
- Nooraei, S.; Sarkar Lotfabadi, A.; Akbarzadehmoallemkolaei, M.; Rezaei, N. Immunogenicity of Different Types of Adjuvants and Nano-Adjuvants in Veterinary Vaccines: A Comprehensive Review. Vaccines 2023, 11, 453. [Google Scholar] [CrossRef]
- Govea-Alonso, D.O.; García-Soto, M.J.; Betancourt-Mendiola, L.; Padilla-Ortega, E.; Rosales-Mendoza, S.; González-Ortega, O. Nanoclays: Promising Materials for Vaccinology. Vaccines 2022, 10, 1549. [Google Scholar] [CrossRef] [PubMed]
- Karim, A.V.; Hassani, A.; Eghbali, P.; Nidheesh, P. Nanostructured modified layered double hydroxides (LDHs)-based catalysts: A review on synthesis, characterization, and applications in water remediation by advanced oxidation processes. Curr. Solid State Sci. 2022, 26, 100965. [Google Scholar] [CrossRef]
- Xu, Z.P.; Stevenson, G.S.; Lu, C.-Q.; Lu, G.Q.; Bartlett, P.F.; Gray, P.P. Stable suspension of layered double hydroxide nanoparticles in aqueous solution. J. Chem. Soc. 2006, 128, 36–37. [Google Scholar] [CrossRef] [PubMed]
- Marcato, P.D.; Parizotto, N.V.; Martinez, D.S.T.; Paula, A.J.; Ferreira, I.R.; Melo, P.S.; Durán, N.; Alves, O.L. New hybrid material based on layered double hydroxides and biogenic silver nanoparticles: Antimicrobial activity and cytotoxic effect. J. Braz. Chem. Soc. 2013, 24, 266–272. [Google Scholar] [CrossRef]
- Shahabadi, N.; Razlansari, M. Biological application of Layered double hydroxides in drug delivery systems. J. Nanoanal. 2018, 5, 210–226. [Google Scholar] [CrossRef]
- Izbudak, B.; Cecen, B.; Anaya, I.; Miri, A.K.; Bal-Ozturk, A.; Karaoz, E. Layered double hydroxide-based nanocomposite scaffolds in tissue engineering applications. RSC Adv. 2021, 11, 30237–30252. [Google Scholar] [CrossRef] [PubMed]
- Govea-Alonso, D.O.; García-Soto, M.J.; Mendoza-Pérez, E.S.; Farfán-Castro, S.; Fuente, D.; González-Ortega, O.; Rosales-Mendoza, S. Assessing the Adjuvant Effect of Layered Double Hydroxides (LDH) on BALB/c Mice. Materials 2023, 16, 5467. [Google Scholar] [CrossRef] [PubMed]
- Kang, H.R.; da Costa Fernandes, C.J.; da Silva, R.A.; Constantino, V.R.L.; Koh, I.H.J.; Zambuzzi, W.F. Mg–Al and Zn–Al layered double hydroxides promote dynamic expression of marker genes in osteogenic differentiation by Modulating Mitogen-Activated Protein Kinases. Adv. Healthc. Mater. 2018, 7, 1700693. [Google Scholar] [CrossRef] [PubMed]
- Chen, W.; Zuo, H.; Li, B.; Duan, C.; Rolfe, B.; Zhang, B.; Mahony, T.J.; Xu, Z.P. Clay nanoparticles elicit long-term immune responses by forming biodegradable depots for sustained antigen stimulation. Small 2018, 14, 1704465. [Google Scholar] [CrossRef] [PubMed]
- Li, D.; Xu, M.; Li, G.; Zheng, Y.; Zhang, Y.; Xia, D.; Wang, S.; Chen, Y. Mg/Al-LDH as a nano-adjuvant for pertussis vaccine: A evaluation compared with aluminum hydroxide adjuvant. Nanotechnology 2022, 33, 235102. [Google Scholar] [CrossRef] [PubMed]
- IPBLN Udp. Métodos de Tinción de Geles. Available online: https://www.ipb.csic.es/servicios/Proteomica/tincioacuten-de-geles%202.0.html (accessed on 18 January 2024).
- Wong-Arce, A.; Gonzalez-Ortega, O.; Romero-Maldonado, A.; Miranda-López, A.; García-Soto, M.; Farfán-Castro, S.; Betancourt-Mendiola, L.; Teeravechyan, S.; Srisutthisamphan, K.; Comas-García, M.; et al. Production and Immunogenicity Assessment of LTp50: An Escherichia coli-Made Chimeric Antigen Targeting S1-and S2-Epitopes from the SARS-CoV-2/BA. 5 Spike Protein. Pharmaceuticals 2024, 17, 302. [Google Scholar] [CrossRef] [PubMed]
- Wilson, O., Jr.; Olorunyolemi, T.; Jaworski, A.; Borum, L.; Young, D.; Siriwat, A.; Dickens, E.; Oriakhi, C.; Lerner, M. Surface and interfacial properties of polymer-intercalated layered double hydroxide nanocomposites. Appl. Clay Sci. 1999, 15, 265–279. [Google Scholar] [CrossRef]
- Moreno-González, P.A.; Diaz, G.J.; Ramírez-Hernández, M.H. Producción y purificación de anticuerpos aviares (IgYs) a partir de cuerpos de inclusión de una proteína recombinante central en el metabolismo del NAD+. Rev. Colomb. Quim. 2013, 42, 12–20. [Google Scholar]
- Malla, A.; Rosales-Mendoza, S.; Phoolcharoen, W.; Vimolmangkang, S. Efficient transient expression of recombinant proteins using DNA viral vectors in freshwater microalgal species. Front. Plant Sci. 2021, 12, 650820. [Google Scholar] [CrossRef] [PubMed]
- Macauley-Patrick, S.; Fazenda, M.L.; McNeil, B.; Harvey, L.M. Heterologous protein production using the Pichia pastoris expression system. Yeast 2005, 22, 249–270. [Google Scholar] [CrossRef] [PubMed]
- Köppl, C.; Lingg, N.; Fischer, A.; Kröß, C.; Loibl, J.; Buchinger, W.; Schneider, R.; Jungbauer, A.; Striedner, G.; Cserjan-Puschmann, M. Fusion Tag Design Influences Soluble Recombinant Protein Production in Escherichia coli. Int. J. Mol. Sci. 2022, 23, 7678. [Google Scholar] [CrossRef] [PubMed]
- Elizondo-Quiroga, D.; Zapata-Cuellar, L.; Uribe-Flores, J.A.; Gaona-Bernal, J.; Camacho-Villegas, T.A.; Manuel-Cabrera, C.A.; Trujillo-Ortega, M.E.; Ramírez-Hernández, G.; Herradora-Lozano, M.A.; Mercado-García, M.D.C.; et al. An Escherichia coli-expressed porcine reproductive and respiratory syndrome virus chimeric protein induces a specific immunoglobulin G response in immunized piglets. Viral Immunol. 2019, 32, 370–382. [Google Scholar] [CrossRef] [PubMed]
- Lakshmanappa, Y.S. Development and Evaluation of Efficacy of Novel Porcine Reproductive and Respiratory Syndrome (PRRS) Virus Vaccine Candidates in Pigs. Ph.D. Thesis, The Ohio State University, Columbus, OH, USA, 2018. [Google Scholar]
- Yan, S.; Gu, W.; Zhang, B.; Rolfe, B.E.; Xu, Z.P. High adjuvant activity of layered double hydroxide nanoparticles and nanosheets in anti-tumour vaccine formulations. Dalton Trans. 2018, 47, 2956–2964. [Google Scholar] [CrossRef] [PubMed]
- Gu, Z.; Zuo, H.; Li, L.; Wu, A.; Xu, Z.P. Pre-coating layered double hydroxide nanoparticles with albumin to improve colloidal stability and cellular uptake. J. Mat. Chem. 2015, 3, 3331–3339. [Google Scholar] [CrossRef] [PubMed]
- Chen, W.; Zhang, B.; Mahony, T.; Gu, W.; Rolfe, B.; Xu, Z.P. Efficient and durable vaccine against intimin β of diarrheagenic, E. coli induced by clay nanoparticles. Small 2016, 12, 1627–1639. [Google Scholar] [CrossRef] [PubMed]
- Yan, S.; Rolfe, B.E.; Zhang, B.; Mohammed, Y.H.; Gu, W.; Xu, Z.P. Polarized immune responses modulated by layered double hydroxides nanoparticle conjugated with CpG. Biomaterials 2014, 35, 9508–9516. [Google Scholar] [CrossRef] [PubMed]
- Chen, W.; Zuo, H.; Rolfe, B.; Schembri, M.A.; Cobbold, R.N.; Zhang, B.; Mahony, T.J.; Xu, Z.P. Clay nanoparticles co-deliver three antigens to promote potent immune responses against pathogenic Escherichia coli. J. Control. Release 2018, 292, 196–209. [Google Scholar] [CrossRef] [PubMed]
- Hatfield, G.W.; Roth, D.A. Optimizing scaleup yield for protein production: Computationally Optimized DNA Assembly (CODA) and Translation Engineering. Biotechnol. Annu. Rev. 2007, 13, 27–42. [Google Scholar] [CrossRef] [PubMed]
- Wang, S.H.; Yang, G.H.; Nie, J.W.; Wang, J.; Wang, Y.X.; Du, M.Z.; Guo, L.; Yang, R.J.; Zhu, Y.H. Immunization with recombinant E(rns)-LTB fusion protein elicits protective immune responses against bovine viral diarrhea virus. Vet. Microbiol. 2021, 259, 109084. [Google Scholar] [CrossRef] [PubMed]
- Arevalo-Villalobos, J.I.; Alonso, D.O.G.; Rosales-Mendoza, S. Using carrot cells as biofactories and oral delivery vehicles of LTB-Syn: A low-cost vaccine candidate against synucleinopathies. J. Biotechnol. 2020, 309, 75–80. [Google Scholar] [CrossRef] [PubMed]
- Guel, M.L.A.; Jiménez, L.D.; Hernández, D.C. Materiales nanoestructurados céramicos como vehículo para la liberación de principios activos. Av. Quim. 2013, 8, 171–177. [Google Scholar]
- Zhang, L.-X.; Hu, J.; Jia, Y.-B.; Liu, R.-T.; Cai, T.; Xu, Z.P. Two-dimensional layered double hydroxide nanoadjuvant: Recent progress and future direction. Nanoscale 2021, 13, 7533–7549. [Google Scholar] [CrossRef] [PubMed]
- Yan, S.; Xu, K.; Li, L.; Gu, W.; Rolfe, B.E.; Xu, Z.P. The pathways for layered double hydroxide nanoparticles to enhance antigen (cross)-presentation on immune cells as adjuvants for protein vaccines. Front. Pharmacol. 2018, 9, 1060. [Google Scholar] [CrossRef]
- Li, A.; Qin, L.; Zhu, D.; Zhu, R.; Sun, J.; Wang, S. Signalling pathways involved in the activation of dendritic cells by layered double hydroxide nanoparticles. Biomaterials 2010, 31, 748–756. [Google Scholar] [CrossRef]
- Navarro-Tovar, G.; Rocha-García, D.; Wong-Arce, A.; Palestino, G.; Rosales-Mendoza, S. Mesoporous silicon particles favor the induction of long-lived humoral responses in mice to a peptide-based vaccine. Materials 2018, 11, 1083. [Google Scholar] [CrossRef] [PubMed]
- Cunha, V.R.R.; de Souza, R.B.; da Fonseca Martins, A.M.C.R.P.; Koh, I.H.J.; Constantino, V.R.L. Accessing the biocompatibility of layered double hydroxide by intramuscular implantation: Histological and microcirculation evaluation. Sci. Rep. 2016, 6, 30547. [Google Scholar] [CrossRef] [PubMed]
- Liao, Y.; Jiang, Q.; Huo, X.; Yu, L.; Yang, J.; Zhao, H.; Li, D.; Xu, X.; Jiang, G.; Zhang, C.; et al. Preclinical safety evaluation of a bivalent inactivated EV71-CA16 vaccine in mice immunized intradermally. Hum. Vaccines Immunother. 2023, 19, 2209472. [Google Scholar] [CrossRef]





| Buffer | Composition |
|---|---|
| 1 | 6 M Urea, 20 mM Tris-base, 1 mM 2-mercaptoethanol, and 0.01% Tween 20. |
| 2 | 4 M Urea, 20 mM Tris-base, 1 mM 2-mercaptoethanol, 1 mM cysteine, 0.01% Tween 20, and PBS 1× |
| 3 | 2 M Urea, 20 mM Tris-base, 1 mM 2-mercaptoethanol, and 0.01% Tween 20. |
| 4 | 20 mM Tris-base, 1 mM 2-mercaptoethanol, and 0.01% Tween 20. |
| 5 | 10% sucrose and 0.01% Tween 20. |
Disclaimer/Publisher’s Note: The statements, opinions and data contained in all publications are solely those of the individual author(s) and contributor(s) and not of MDPI and/or the editor(s). MDPI and/or the editor(s) disclaim responsibility for any injury to people or property resulting from any ideas, methods, instructions or products referred to in the content. |
© 2024 by the authors. Licensee MDPI, Basel, Switzerland. This article is an open access article distributed under the terms and conditions of the Creative Commons Attribution (CC BY) license (https://creativecommons.org/licenses/by/4.0/).
Share and Cite
Alonso-Cerda, M.J.; García-Soto, M.J.; Miranda-López, A.; Segura-Velázquez, R.; Sánchez-Betancourt, J.I.; González-Ortega, O.; Rosales-Mendoza, S. Layered Double Hydroxides (LDH) as Delivery Vehicles of a Chimeric Protein Carrying Epitopes from the Porcine Reproductive and Respiratory Syndrome Virus. Pharmaceutics 2024, 16, 841. https://doi.org/10.3390/pharmaceutics16070841
Alonso-Cerda MJ, García-Soto MJ, Miranda-López A, Segura-Velázquez R, Sánchez-Betancourt JI, González-Ortega O, Rosales-Mendoza S. Layered Double Hydroxides (LDH) as Delivery Vehicles of a Chimeric Protein Carrying Epitopes from the Porcine Reproductive and Respiratory Syndrome Virus. Pharmaceutics. 2024; 16(7):841. https://doi.org/10.3390/pharmaceutics16070841
Chicago/Turabian StyleAlonso-Cerda, María José, Mariano J. García-Soto, Arleth Miranda-López, René Segura-Velázquez, José Ivan Sánchez-Betancourt, Omar González-Ortega, and Sergio Rosales-Mendoza. 2024. "Layered Double Hydroxides (LDH) as Delivery Vehicles of a Chimeric Protein Carrying Epitopes from the Porcine Reproductive and Respiratory Syndrome Virus" Pharmaceutics 16, no. 7: 841. https://doi.org/10.3390/pharmaceutics16070841
APA StyleAlonso-Cerda, M. J., García-Soto, M. J., Miranda-López, A., Segura-Velázquez, R., Sánchez-Betancourt, J. I., González-Ortega, O., & Rosales-Mendoza, S. (2024). Layered Double Hydroxides (LDH) as Delivery Vehicles of a Chimeric Protein Carrying Epitopes from the Porcine Reproductive and Respiratory Syndrome Virus. Pharmaceutics, 16(7), 841. https://doi.org/10.3390/pharmaceutics16070841

