First Insights about Antiparasitic and Action Mechanisms of the Antimicrobial Peptide Hepcidin from Salmonids against Caligus rogercresseyi
Abstract
1. Introduction
2. Materials and Methods
2.1. Acquiring Sequences of Peptides Derived from Salmonids with Antiparasitic Potential
2.2. Peptide Modeling Using Bioinformatics Tools
2.3. Synthesis and Determination of Secondary Structure of Potentially Antiparasitic Peptides
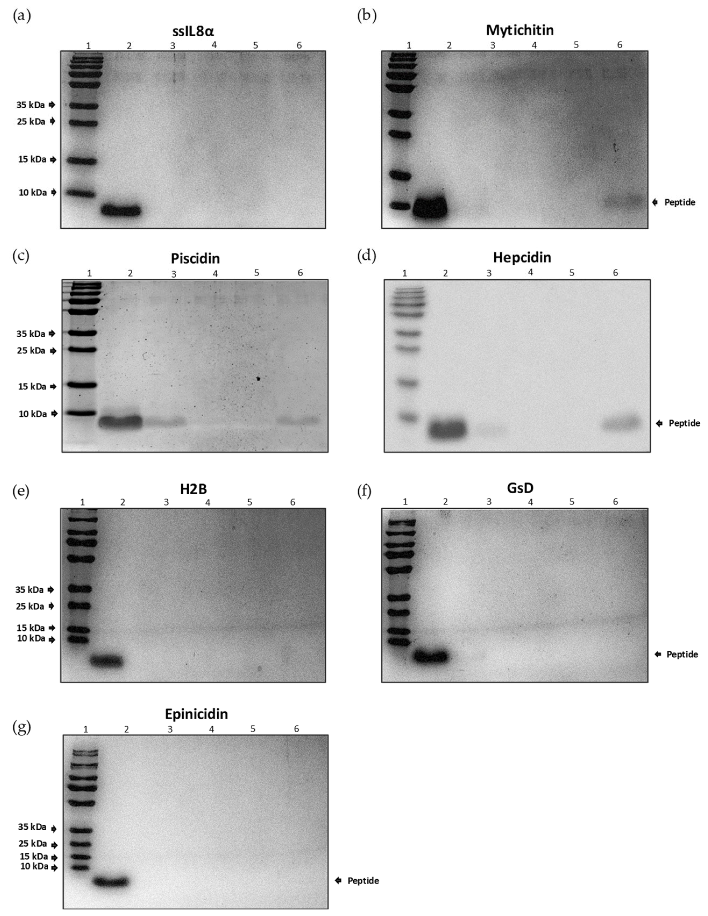
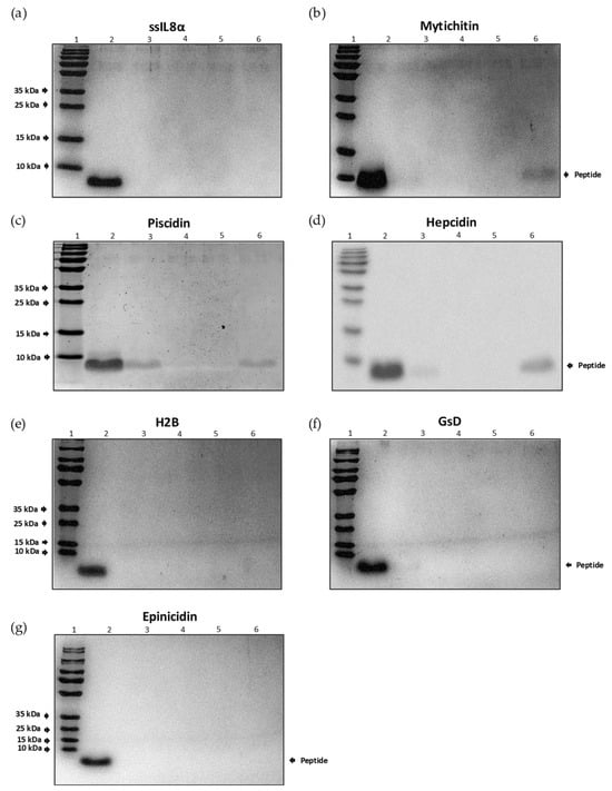
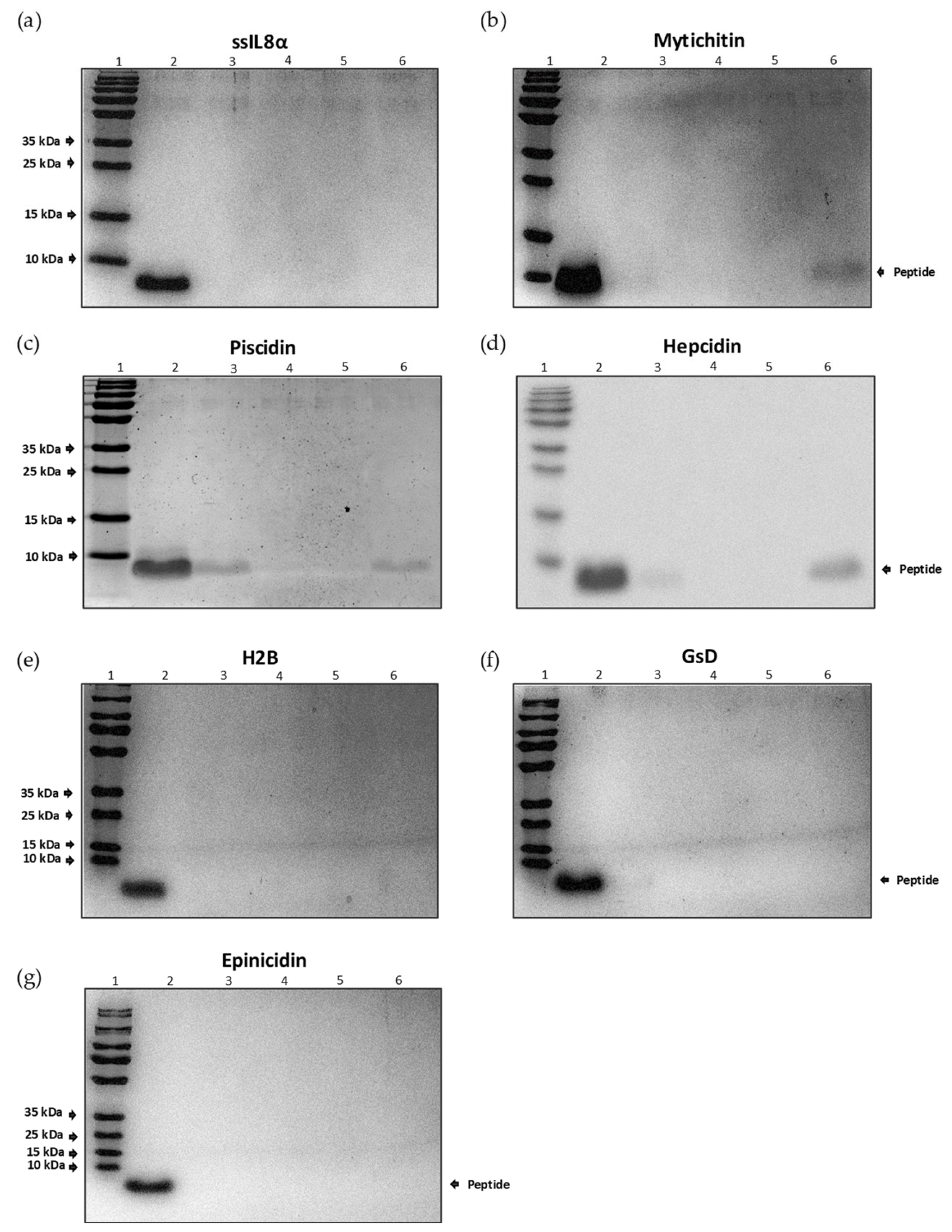
2.4. Chitin Binding Assay
2.5. Determination of Hemolytic and Cytotoxic Activity of Peptides
2.6. Antiparasitic Activity against C. rogercresseyi
2.6.1. Larval Culture of C. rogercresseyi
2.6.2. In Vitro Antiparasitic Activity against C. rogercresseyi
2.7. Fluorescence and Scanning Electron Microscopy
2.8. Statistical Analysis
3. Results
3.1. Synthesis and Characterization of Salmonid AMPs with Potential Antiparasitic Activity
3.2. Evaluation of the Chitin-Binding Capacity of Salmonid AMPs
3.3. Determination of the Cytotoxic Activity of AMPs with Antiparasitic Potential
3.4. Effect of Hepcidin on the Viability of C. rogercresseyi
3.5. Location and Morphological Changes Induced by Hepcidin in C. rogercresseyi Nauplius II Stage
4. Discussion
5. Conclusions
Supplementary Materials
Author Contributions
Funding
Institutional Review Board Statement
Informed Consent Statement
Data Availability Statement
Conflicts of Interest
References
- Dash, S.; Das, S.K.; Samal, J.; Thatoi, H.N. Epidermal mucus, a major determinant in fish health: A review. Iran J. Vet Res. 2018, 19, 72–81. [Google Scholar]
 - Avci, F.G.; Akbulut, B.S.; Ozkirimli, E. Membrane Active Peptides and Their Biophysical Characterization. Biomolecules 2018, 8, 77. [Google Scholar] [CrossRef]
 - Lee, J.; Lee, D.G. Antimicrobial Peptides (AMPs) with Dual Mechanisms: Membrane Disruption and Apoptosis. J. Microbiol. Biotechnol. 2015, 25, 759–764. [Google Scholar] [CrossRef]
 - Chaturvedi, P.; Bhat, R.A.H.; Pande, A. Antimicrobial peptides of fish: Innocuous alternatives to antibiotics. In Reviews in Aquaculture; Wiley-Blackwell: Hoboken, NJ, USA, 2020; Volume 12, pp. 85–106. [Google Scholar]
 - Brunner, S.R.; Varga, J.F.A.; Dixon, B. Antimicrobial Peptides of Salmonid Fish: From Form to Function. Biology 2020, 9, 233. [Google Scholar] [CrossRef]
 - Shinnar, A.E.; Butler, K.L.; Park, H.J. Cathelicidin family of antimicrobial peptides: Proteolytic processing and protease resistance. Bioorg. Chem. 2003, 31, 425–436. [Google Scholar] [CrossRef]
 - D’Este, F.; Benincasa, M.; Cannone, G.; Furlan, M.; Scarsini, M.; Volpatti, D.; Gennaro, R.; Tossi, A.; Skerlavaj, B.; Scocchi, M. Antimicrobial and host cell-directed activities of Gly/Ser-rich peptides from salmonid cathelicidins. Fish Shellfish Immunol. 2016, 59, 456–468. [Google Scholar] [CrossRef]
 - Cai, S.; Wang, J.; Wang, K.; Chen, D.; Dong, X.; Liu, T.; Zeng, Y.; Wang, X.; Wu, D. Expression, Purification and Antibacterial Activity of NK-Lysin Mature Peptides from the Channel Catfish (Ictalurus punctatus). Appl. Sci. 2016, 6, 240. [Google Scholar] [CrossRef]
 - Fernandes, J.M.O.; Kemp, G.D.; Molle, G.M.; Smith, V.J. Anti-microbial properties of histone H2A from skin secretions of rainbow trout, Oncorhynchus mykiss. Biochem. J. 2002, 368 Pt 2, 611. [Google Scholar] [CrossRef]
 - Fernandes, J.M.O.; Molle, G.; Kemp, G.D.; Smith, V.J. Isolation and characterisation of oncorhyncin II, a histone H1-derived antimicrobial peptide from skin secretions of rainbow trout, Oncorhynchus mykiss. Dev. Comp. Immunol. 2004, 28, 127–138. [Google Scholar] [CrossRef]
 - Yount, N.Y.; Bayer, A.S.; Xiong, Y.Q.; Yeaman, M.R. Advances in antimicrobial peptide immunobiology. Biopolymers 2006, 84, 435–458. [Google Scholar] [CrossRef]
 - Malanovic, N.; Lohner, K. Gram-positive bacterial cell envelopes: The impact on the activity of antimicrobial peptides. Biochim. Biophys. Acta-Biomembr. 2016, 1858, 936–946. [Google Scholar] [CrossRef]
 - Malanovic, N.; Lohner, K. Antimicrobial peptides targeting Gram-positive bacteria. Pharmaceuticals 2016, 9, 59. [Google Scholar] [CrossRef]
 - Matsuzaki, K. Membrane permeabilization mechanisms. Adv. Exp. Med. Biol. 2019, 1117, 9–16. [Google Scholar]
 - Mehta, D.; Anand, P.; Kumar, V.; Joshi, A.; Mathur, D.; Singh, S.; Tuknait, A.; Chaudhary, K.; Gautam, S.K.; Gautam, A.; et al. ParaPep: A Web resource for experimentally validated antiparasitic peptide sequences and their structures. Database 2014, 2014, bau051. [Google Scholar] [CrossRef]
 - La Rocca, P.; Biggin, P.C.; Tieleman, D.P.; Sansom, M.S.P. Simulation studies of the interaction of antimicrobial peptides and lipid bilayers. Biochim. Biophys. Acta-Biomembr. 1999, 1462, 185–200. [Google Scholar] [CrossRef]
 - Brogden, K.A. Antimicrobial peptides: Pore formers or metabolic inhibitors in bacteria? Nat. Rev. Microbiol. 2005, 3, 238–250. [Google Scholar] [CrossRef]
 - Torrent, M.; Pulido, D.; Rivas, L.; Andreu, D. Antimicrobial Peptide Action on Parasites. Curr. Drug Targets 2012, 13, 1138–1147. [Google Scholar] [CrossRef] [PubMed]
 - Cutrona, K.J.; Kaufman, B.A.; Figueroa, D.M.; Elmore, D.E. Role of arginine and lysine in the antimicrobial mechanism of histone-derived antimicrobial peptides. FEBS Lett. 2015, 589 Pt B, 3915–3920. [Google Scholar] [CrossRef]
 - Veerman, E.C.I.; Saugar, J.M.; Rivas, L.; Luque-Ortega, J.R.; Hof, W.V. Human antimicrobial peptide histatin 5 is a cell-penetrating peptide targeting mitochondrial ATP synthesis in Leishmania. FASEB J. 2008, 22, 1817–1828. [Google Scholar]
 - Kulkarni, M.M.; McMaster, W.R.; Kamysz, W.; McGwire, B.S. Antimicrobial peptide-induced apoptotic death of leishmania results from calcium-dependent, caspase-independent mitochondrial toxicity. J. Biol. Chem. 2009, 284, 15496–15504. [Google Scholar] [CrossRef]
 - Valero, Y.; Saraiva-Fraga, M.; Costas, B.; Guardiola, F.A. Antimicrobial peptides from fish: Beyond the fight against pathogens. In Reviews in Aquaculture; Wiley-Blackwell: Hoboken, NJ, USA, 2020; Volume 12, pp. 224–253. [Google Scholar]
 - Lepe-Lopez, M.; Escobar-Dodero, J.; Zimin-Veselkoff, N.; Azat, C.; Mardones, F.O. Assessing the Present and Future Habitat Suitability of Caligus rogercresseyi (Boxshall and Bravo, 2000) for Salmon Farming in Southern Chile. Front. Vet Sci. 2021, 7, 1248. [Google Scholar] [CrossRef] [PubMed]
 - Braden, L.; Michaud, D.; Igboeli, O.O.; Dondrup, M.; Hamre, L.; Dalvin, S.; Purcell, S.L.; Kongshaug, H.; Eichner, C.; Nilsen, F.; et al. Identification of critical enzymes in the salmon louse chitin synthesis pathway as revealed by RNA interference-mediated abrogation of infectivity. Int. J. Parasitol. 2020, 50, 873–889. [Google Scholar] [CrossRef] [PubMed]
 - Harðardóttir, H.M.; Male, R.; Nilsen, F.; Eichner, C.; Dondrup, M.; Dalvin, S. Chitin synthesis and degradation in Lepeophtheirus salmonis: Molecular characterization and gene expression profile during synthesis of a new exoskeleton. Comp. Biochem. Physiol. Part A Mol. Integr. Physiol. 2019, 227, 123–133. [Google Scholar] [CrossRef] [PubMed]
 - Poley, J.D.; Braden, L.M.; Messmer, A.M.; Igboeli, O.O.; Whyte, S.K.; Macdonald, A.; Rodriguez, J.; Gameiro, M.; Rufener, L.; Bouvier, J.; et al. High level efficacy of lufenuron against sea lice (Lepeophtheirus salmonis) linked to rapid impact on moulting processes. Int. J. Parasitol. Drugs Drug Resist. 2018, 8, 174–188. [Google Scholar] [CrossRef] [PubMed]
 - Álvarez, C.A.; Guzmán, F.; Cárdenas, C.; Marshall, S.H.; Mercado, L. Antimicrobial activity of trout hepcidin. Fish Shellfish Immunol. 2014, 41, 93–101. [Google Scholar] [CrossRef] [PubMed]
 - Guzmán, F.; Gauna, A.; Roman, T.; Luna, O.; Álvarez, C.; Pareja-Barrueto, C.; Mercado, L.; Albericio, F.; Cárdenas, C. Tea Bags for Fmoc Solid-Phase Peptide Synthesis: An Example of Circular Economy. Molecules 2021, 26, 5035. [Google Scholar] [CrossRef]
 - Guzmán, F.; Aróstica, M.; Román, T.; Beltrán, D.; Gauna, A.; Albericio, F.; Cárdenas, C. Peptides, solid-phase synthesis and characterization: Tailor-made methodologies. Electron. J. Biotechnol. 2023, 64, 27–33. [Google Scholar] [CrossRef]
 - Cadoret, F.; Ball, G.; Douzi, B.; Voulhoux, R. Txc, a new type II secretion system of Pseudomonas aeruginosa strain PA7, is regulated by the TtsS/TtsR two-component system and directs specific secretion of the CbpE chitin-binding protein. J. Bacteriol. 2014, 196, 2376–2386. [Google Scholar] [CrossRef]
 - Loo, S.; Tay, S.V.; Kam, A.; Tang, F.; Fan, J.-S.; Yang, D.; Tam, J.P. Anti-Fungal Hevein-like Peptides Biosynthesized from Quinoa Cleavable Hololectins. Molecules 2021, 26, 5909. [Google Scholar] [CrossRef]
 - Kini, S.G.; Nguyen, P.Q.; Weissbach, S.; Mallagaray, A.; Shin, J.; Yoon, H.S.; Tam, J.P. Studies on the chitin binding property of novel cysteine-rich peptides from Alternanthera sessilis. Biochemistry 2015, 54, 6639–6649. [Google Scholar] [CrossRef]
 - Qin, C.L.; Huang, W.; Zhou, S.Q.; Wang, X.C.; Liu, H.H.; Fan, M.H.; Wang, R.; Gao, P.; Liao, Z. Characterization of a novel antimicrobial peptide with chitin-biding domain from Mytilus coruscus. Fish Shellfish Immunol. 2014, 41, 362–370. [Google Scholar] [CrossRef] [PubMed]
 - Santana, P.A.; Salinas, N.; Álvarez, C.A.; Mercado, L.A.; Guzmán, F. Alpha-helical domain from IL-8 of salmonids: Mechanism of action and identification of a novel antimicrobial function. Biochem. Biophys. Res. Commun. 2018, 498, 803–809. [Google Scholar] [CrossRef]
 - Santana, P.A.; Jara-Gutiérrez, C.; Mellado, M.; Forero, J.C.; Guzmán, F.; Barriga, A.; Albericio, F.; Álvarez, C.A. Effects of elderflower extract enriched with polyphenols on antioxidant defense of salmon leukocytes. Electron. J. Biotechnol. 2021, 52, 13–20. [Google Scholar] [CrossRef]
 - Kawano, A.; Haiduk, C.; Schirmer, K.; Hanner, R.; Lee, L.; Dixon, B.; Bols, N. Development of a rainbow trout intestinal epithelial cell line and its response to lipopolysaccharide. Aquac. Nutr. 2011, 17, e241–e252. [Google Scholar] [CrossRef]
 - Ganassin, R.C.; Bols, N.C. Development of a monocyte/macrophage-like cell line, RTS11, from rainbow trout spleen. Fish Shellfish Immunol. 1998, 8, 457–476. [Google Scholar] [CrossRef]
 - Montory, J.A.; Chaparro, O.R.; Averbuj, A.; Salas-Yanquin, L.P.; Büchner-Miranda, J.A.; Gebauer, P.; Cumillaf, J.P.; Cruces, E. The filter-feeding bivalve Mytilus chilensis capture pelagic stages of Caligus rogercresseyi: A potential controller of the sea lice fish parasites. J. Fish Dis. 2020, 43, 475–484. [Google Scholar] [CrossRef] [PubMed]
 - Gomez, D.; Sunyer, J.O.; Salinas, I. The mucosal immune system of fish: The evolution of tolerating commensals while fighting pathogens. Fish Shellfish. Immunol. 2013, 35, 1729–1739. [Google Scholar] [CrossRef]
 - Salinas, I.; Magadán, S. Omics in fish mucosal immunity. Dev. Comp. Immunol. 2017, 75, 99–108. [Google Scholar] [CrossRef]
 - Fekih-Zaghbib, S.; Ksouri, A.; Bouhaouala-Zahar, B. Differences in fish mucus proteomes identify potential antimicrobial peptide biomarkers. Dev. Comp. Immunol. 2023, 145, 104730. [Google Scholar] [CrossRef]
 - Rakers, S.; Niklasson, L.; Steinhagen, D.; Kruse, C.; Schauber, J.; Sundell, K.; Paus, R. Antimicrobial peptides (AMPs) from fish epidermis: Perspectives for investigative dermatology. J. Investig. Dermatol. 2013, 133, 1140–1149. [Google Scholar] [CrossRef]
 - Slavokhotova, A.A.; Shelenkov, A.A.; Andreev, Y.A.; Odintsova, T.I. Hevein-like antimicrobial peptides of plants. Biochemistry 2017, 82, 1659–1674. [Google Scholar] [CrossRef] [PubMed]
 - Kini, S.G.; Wong, K.H.; Tan, W.L.; Xiao, T.; Tam, J.P. Morintides: Cargo-free chitin-binding peptides from Moringa oleifera. BMC Plant Biol. 2017, 17, 68. [Google Scholar] [CrossRef] [PubMed]
 - Odintsova, T.; Shcherbakova, L.; Slezina, M.; Pasechnik, T.; Kartabaeva, B.; Istomina, E.; Dzhavakhiya, V. Hevein-Like Antimicrobial Peptides Wamps: Structure–Function Relationship in Antifungal Activity and Sensitization of Plant Pathogenic Fungi to Tebuconazole by WAMP-2-Derived Peptides. Int. J. Mol. Sci. 2020, 21, 7912. [Google Scholar] [CrossRef] [PubMed]
 - Liao, S.M.; Du, Q.S.; Meng, J.Z.; Pang, Z.W.; Huang, R.B. The multiple roles of histidine in protein interactions. Chem. Cent. J. 2013, 7, 44. [Google Scholar] [CrossRef] [PubMed]
 - Petutschnig, E.K.; Jones, A.M.; Serazetdinova, L.; Lipka, U.; Lipka, V. The lysin motif receptor-like kinase (LysM-RLK) CERK1 is a major chitin-binding protein in Arabidopsis thaliana and subject to chitin-induced phosphorylation. J. Biol. Chem. 2010, 285, 28902–28911. [Google Scholar] [CrossRef] [PubMed]
 - Li, M.; Tang, J.; Huang, B.; Liu, Y.; Wei, L.; Han, Y.; Wang, X.; Sang, X.; Yuan, M.; Fan, N.; et al. A chitin-binding protein ultra-highly expressed in the outer fold of mantle is related to shell colour in pacific oyster Crassostrea gigas. bioRxiv 2022. [Google Scholar] [CrossRef]
 - Hong, I.; Kim, Y.S.; Choi, S.G. Simple purification of human antimicrobial peptide dermcidin (MDCD-1L) by intein-mediated expression in E. Coli. J. Microbiol. Biotechnol. 2010, 20, 350–355. [Google Scholar] [CrossRef]
 - Harðardóttir, H.M.; Male, R.; Nilsen, F.; Dalvin, S. Effects of chitin synthesis inhibitor treatment on Lepeophtheirus salmonis (Copepoda, Caligidae) larvae. PLoS ONE 2019, 14, e0222520. [Google Scholar] [CrossRef]
 - Nylund, A.; Økland, S.; Bjørknes, B. Anatomy and Ultrastructure of the Alimentary Canal in Lepeophtheirus Salmonis (Copepoda: Siphonostomatoida). J. Crustac. Biol. 1992, 12, 423–437. [Google Scholar] [CrossRef]
 - Harðardóttir, H.M.; Male, R.; Nilsen, F.; Dalvin, S. Chitin Synthases Are Critical for Reproduction, Molting, and Digestion in the Salmon Louse (Lepeophtheirus salmonis). Life 2021, 11, 47. [Google Scholar] [CrossRef]
 - Greco, I.; Molchanova, N.; Holmedal, E.; Jenssen, H.; Hummel, B.D.; Watts, J.L.; Håkansson, J.; Hansen, P.R.; Svenson, J. Correlation between hemolytic activity, cytotoxicity and systemic in vivo toxicity of synthetic antimicrobial peptides. Sci. Rep. 2020, 10, 13206. [Google Scholar] [CrossRef] [PubMed]
 - Oddo, A.; Hansen, P.R. Hemolytic Activity of Antimicrobial Peptides. Methods Mol. Biol. 2017, 1548, 427–435. [Google Scholar] [PubMed]
 - Dathe, M.; Wieprecht, T. Structural features of helical antimicrobial peptides: Their potential to modulate activity on model membranes and biological cells. Biochim. Biophys. Acta 1999, 1462, 71–87. [Google Scholar] [CrossRef] [PubMed]
 





| Peptide | MW | Retention Time (min) | CD Spectrum | |
|---|---|---|---|---|
| Theorical | Obtained (M + H) | |||
| GsD | 1543.9 | 1543.6 | 4.930 | ![]()  | 
| H2B | 1593.8 | 1593.2 | 1.720 | ![]()  | 
| Epinecidin | 2334.3 | 2334.3 | 8.563 | ![]()  | 
| Piscidin | 2542.4 | 2542.2 | 8.473 | ![]()  | 
| Hepcidin | 2326.7 | 2327.4 | 13.205 | β-sheet conformation (oxidized form) α-helix conformation (reduced form) [31]  | 
| Peptide | Sequence | Fish Specie  | Antiparasitic Activity | Mucosa | MW (g/mol) | pI | Net Charge (pH 7)  | Hydrofobicity (Kcal/mol)  | Genbank N° | 
|---|---|---|---|---|---|---|---|---|---|
| GsD | FIGGIISFFKRLF | Grammistes sexlineatus | Not evaluated | Skin | 1543.89 | 11.53 | +2 | +3.82 | P69840.1 | 
| H2B | VSEGTKAVTKYTSSK | Oncorhyn-chus mykiss | Saprolegnia spp. | Gill/skin | 1593.80 | 9.69 | +1 | +21.61 | XP_036804284.1 | 
| Epineci-din | GFIFHIIKGLFHAGKMIHGLV | Epinephelus coioides | Trichomonas vaginalis | Gill/skin | 2334.31 | 10.65 | +2 | +12.35 | APM86638.1 | 
| Piscidin | FFHHIFRGIVHVGKTIHRLVTG | Morone saxatilis | Cryptocaryon irritans. Trichodina sp. Amyloodinium ocellatum. Chthyophthirius multifiliis  | Gill/skin | 2542.44 | 11.69 | +3 | +17.46 | XP_035533992.1 | 
| Hepci-din | LCRWCCNCCHNKGCGFCCKF | Oncorhyn-chus mykiss | Not evaluated | Intestine/ skin  | 2326.86 | 8.08 | +3 | +14.72 | XP_021450828.1 | 
| Peptide | Sequence | Fish specie  | Antiparasitic activity | Mucosa | MW (g/mol) | pI | Net charge (pH 7)  | Hydrofobicity (Kcal/mol)  | Genbank N° | 
| GsD | FIGGIISFFKRLF | Grammistes sexlineatus | Not evaluated | Skin | 1543.89 | 11.53 | +2 | +3.82 | P69840.1 | 
| H2B | VSEGTKAVTKYTSSK | Oncorhyn-chus mykiss | Saprolegnia spp. | Gill/skin | 1593.80 | 9.69 | +1 | +21.61 | XP_036804284.1 | 
| Epineci-din | GFIFHIIKGLFHAGKMIHGLV | Epinephelus coioides | Trichomonas vaginalis | Gill/skin | 2334.31 | 10.65 | +2 | +12.35 | APM86638.1 | 
| Piscidin | FFHHIFRGIVHVGKTIHRLVTG | Morone saxatilis | Cryptocaryon irritans. Trichodina sp. Amyloodinium ocellatum. Chthyophthirius multifiliis  | Gill/skin | 2542.44 | 11.69 | +3 | +17.46 | XP_035533992.1 | 
| Hepci-din | LCRWCCNCCHNKGCGFCCKF | Oncorhyn-chus mykiss | Not evaluated | Intestine/ skin  | 2326.86 | 8.08 | +3 | +14.72 | XP_021450828.1 | 
Disclaimer/Publisher’s Note: The statements, opinions and data contained in all publications are solely those of the individual author(s) and contributor(s) and not of MDPI and/or the editor(s). MDPI and/or the editor(s) disclaim responsibility for any injury to people or property resulting from any ideas, methods, instructions or products referred to in the content.  | 
© 2024 by the authors. Licensee MDPI, Basel, Switzerland. This article is an open access article distributed under the terms and conditions of the Creative Commons Attribution (CC BY) license (https://creativecommons.org/licenses/by/4.0/).
Share and Cite
Santana, P.A.; Arancibia, C.; Tamayo, L.; Cumillaf, J.P.; Roman, T.; Cárdenas, C.; Paillan Suarez, C.; Álvarez, C.A.; Guzman, F. First Insights about Antiparasitic and Action Mechanisms of the Antimicrobial Peptide Hepcidin from Salmonids against Caligus rogercresseyi. Pharmaceutics 2024, 16, 378. https://doi.org/10.3390/pharmaceutics16030378
Santana PA, Arancibia C, Tamayo L, Cumillaf JP, Roman T, Cárdenas C, Paillan Suarez C, Álvarez CA, Guzman F. First Insights about Antiparasitic and Action Mechanisms of the Antimicrobial Peptide Hepcidin from Salmonids against Caligus rogercresseyi. Pharmaceutics. 2024; 16(3):378. https://doi.org/10.3390/pharmaceutics16030378
Chicago/Turabian StyleSantana, Paula A., Camila Arancibia, Laura Tamayo, Juan Pablo Cumillaf, Tanya Roman, Constanza Cárdenas, Cinthya Paillan Suarez, Claudio A. Álvarez, and Fanny Guzman. 2024. "First Insights about Antiparasitic and Action Mechanisms of the Antimicrobial Peptide Hepcidin from Salmonids against Caligus rogercresseyi" Pharmaceutics 16, no. 3: 378. https://doi.org/10.3390/pharmaceutics16030378
APA StyleSantana, P. A., Arancibia, C., Tamayo, L., Cumillaf, J. P., Roman, T., Cárdenas, C., Paillan Suarez, C., Álvarez, C. A., & Guzman, F. (2024). First Insights about Antiparasitic and Action Mechanisms of the Antimicrobial Peptide Hepcidin from Salmonids against Caligus rogercresseyi. Pharmaceutics, 16(3), 378. https://doi.org/10.3390/pharmaceutics16030378
        

       


