Topical Micro-Emulsion of 5-Fluorouracil by a Twin Screw Processor-Based Novel Continuous Manufacturing Process for the Treatment of Skin Cancer: Preparation and In Vitro and In Vivo Evaluations
Abstract
:1. Introduction
2. Methodology
2.1. Materials
2.2. Methods
2.2.1. Preparation of 5-FU@ME Using TSP
2.2.2. Droplet Size, Polydispersity Index and Zeta Potential
2.2.3. Thermodynamic Stability Studies
2.2.4. Fourier Transform Infrared Spectroscopy (FTIR)
2.2.5. Transmission Electron Microscopy (TEM)
2.2.6. Rheological and pH Measurements
2.2.7. Estimation of 5-FU in 5-FU@MEs Using HPLC
2.2.8. Determination of Drug Content
2.2.9. In Vitro Drug Release Study
2.2.10. Ex Vivo Skin Permeation Studies
2.2.11. In Vitro Cytotoxicity Studies
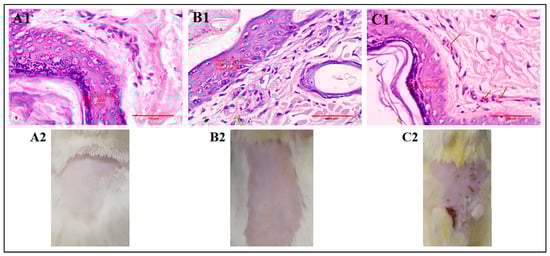
2.2.12. Skin Irritation and Histopathological Studies
- Group I: Treated with 0.5 g of Blank formulation (no drug)
- Group II: Treated with 0.5 g of Optimized formulation (5-FU@ME-2)
- Group III: Treated with Formalin (0.8% v/v)
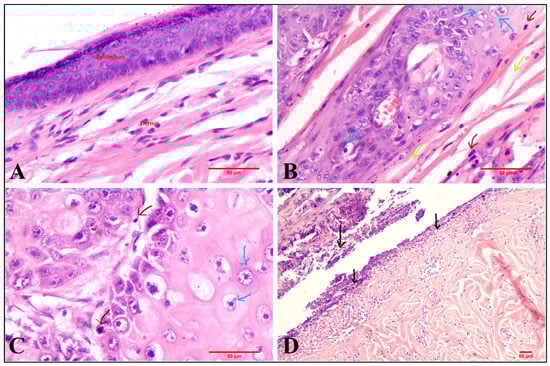
2.2.13. In Vivo Pharmacodynamics Studies
- Group 1: Normal Control (no disease induced, no drug treatment)
- Group 2: Positive control (disease induced, no treatment)
- Group 3: Marketed formulation (Flonida 1% w/w)
- Group 4: Optimised Formulation (5-FU@ME-2)
3. Results and Discussion
3.1. Preparation of MEs Using TSP
3.2. Polydispersity Index and Droplet Size
3.3. Thermodynamic Stability Studies
3.4. Fourier Transform Infrared Spectroscopy
3.5. Transmission Electron Microscopy
3.6. Rheology, pH and Drug Content
3.7. In Vitro Drug Release Study
3.8. Ex Vivo Skin Permeation Studies
3.9. In Vitro Cytotoxicity Studies
3.10. Skin Irritation Studies
3.11. In Vivo Pharmacodynamic Studies
4. Conclusions
Supplementary Materials
Author Contributions
Funding
Institutional Review Board Statement
Data Availability Statement
Acknowledgments
Conflicts of Interest
References
- Kumar, S.; Ranjan Sinha, V. Design, Development and Characterization of Topical Microemulsions of 5-Fluorouracil for the Treatment of Non Melanoma Skin Cancer and Its Precursor Lesions. Anti-Cancer Agents Med. Chem. 2015, 16, 259–268. [Google Scholar] [CrossRef] [PubMed]
- Linares, M.A.; Zakaria, A.; Nizran, P. Skin Cancer. Prim. Care Clin. Off. Pract. 2015, 42, 645–659. [Google Scholar] [CrossRef] [PubMed]
- Heistein, J.B.; Acharya, U. Malignant Melanoma. In StatPearls; StatPearls Publishing: Treasure Island, FL, USA, 2022. [Google Scholar]
- Orthaber, K.; Pristovnik, M.; Skok, K.; Perić, B.; Maver, U. Skin Cancer and Its Treatment: Novel Treatment Approaches with Emphasis on Nanotechnology. J. Nanomater. 2017, 2017, 2606271. [Google Scholar] [CrossRef]
- Dasari, S.; Yedjou, C.G.; Brodell, R.T.; Cruse, A.R.; Tchounwou, P.B. Therapeutic Strategies and Potential Implications of Silver Nanoparticles in the Management of Skin Cancer. Nanotechnol Rev. 2020, 9, 1500–1521. [Google Scholar] [CrossRef] [PubMed]
- Hegde, A.R.; Rewatkar, P.V.; Manikkath, J.; Tupally, K.; Parekh, H.S.; Mutalik, S. Peptide Dendrimer-Conjugates of Ketoprofen: Synthesis and Ex Vivo and In Vivo Evaluations of Passive Diffusion, Sonophoresis and Iontophoresis for Skin Delivery. Eur. J. Pharm. Sci. 2017, 102, 237–249. [Google Scholar] [CrossRef] [PubMed]
- Mutalik, S.; Shetty, P.K.; Kumar, A.; Kalra, R.; Parekh, H.S. Enhancement in Deposition and Permeation of 5-Fluorouracil through Human Epidermis Assisted by Peptide Dendrimers. Drug Deliv. 2014, 21, 44–54. [Google Scholar] [CrossRef]
- Bhowmik, D.; Gopinath, H.; Kumar, B.P.; Duraivel, S.; Kumar, K.P.S. Recent Advances In Novel Topical Drug Delivery System. Pharma Innov. 2012, 1, 20. [Google Scholar]
- Bani, K.S.; Bhardwaj, K. Topical Drug Delivery Therapeutics, Drug Absorption and Penetration Enhancement Techniques. J. Drug Deliv. Ther. 2021, 11, 105–110. [Google Scholar] [CrossRef]
- Siddalingam, R.; Chidambaram, K. Topical Nano-Delivery of 5-Fluorouracil: Preparation and Characterization of Water-in-Oil Nanoemulsion. Trop. J. Pharm Res 2016, 15, 2311. [Google Scholar] [CrossRef]
- Gupta, R.R.; Jain, S.K.; Varshney, M. AOT Water-in-Oil Microemulsions as a Penetration Enhancer in Transdermal Drug Delivery of 5-Fluorouracil. Colloids Surf. B Biointerfaces 2005, 41, 25–32. [Google Scholar] [CrossRef]
- Shishu; Kamalpreet; Maheshwari, M. Development and Evaluation of Novel Microemulsion Based Oral Formulations of 5-Fluorouracil Using Non-Everted Rat Intestine Sac Model. Drug Dev. Ind. Pharm. 2012, 38, 294–300. [Google Scholar] [CrossRef] [PubMed]
- Wang, L.-L.; Huang, S.; Guo, H.; Han, Y.; Zheng, W.; Jiang, J. In Situ Delivery of Thermosensitive Gel-Mediated 5-Fluorouracil Microemulsion for the Treatment of Colorectal Cancer. Drug Des. Dev. Ther. 2016, 10, 2855–2867. [Google Scholar] [CrossRef] [PubMed]
- Lu, G.W.; Gao, P. CHAPTER 3-Emulsions and Microemulsions for Topical and Transdermal Drug Delivery. In Handbook of Non-Invasive Drug Delivery Systems; Kulkarni, V.S., Ed.; Personal Care & Cosmetic Technology; William Andrew Publishing: Boston, MA, USA, 2010; pp. 59–94. ISBN 978-0-8155-2025-2. [Google Scholar]
- Sharma, H.; Kumar Sahu, G.; Kaur, C.D. Development of Ionic Liquid Microemulsion for Transdermal Delivery of a Chemotherapeutic Agent. SN Appl. Sci. 2021, 3, 215. [Google Scholar] [CrossRef]
- Yanyu, X.; Fang, L.; Qineng, P.; Hao, C. The Influence of the Structure and the Composition of Water/AOT-Tween 85/IPM Microemulsion System on Transdermal Delivery of 5-Fluorouracil. Drug Dev. Ind. Pharm. 2012, 38, 1521–1529. [Google Scholar] [CrossRef]
- Patil, H.; Tiwari, R.V.; Repka, M.A. Hot-Melt Extrusion: From Theory to Application in Pharmaceutical Formulation. AAPS PharmSciTech 2016, 17, 20–42. [Google Scholar] [CrossRef]
- Plumb, K. Continuous Processing in the Pharmaceutical Industry: Changing the Mind Set. Chem. Eng. Res. Des. 2005, 83, 730–738. [Google Scholar] [CrossRef]
- Lee, S.L.; O’Connor, T.F.; Yang, X.; Cruz, C.N.; Chatterjee, S.; Madurawe, R.D.; Moore, C.M.V.; Yu, L.X.; Woodcock, J. Modernizing Pharmaceutical Manufacturing: From Batch to Continuous Production. J. Pharm. Innov. 2015, 10, 191–199. [Google Scholar] [CrossRef]
- Burcham, C.L.; Florence, A.J.; Johnson, M.D. Continuous Manufacturing in Pharmaceutical Process Development and Manufacturing. Annu. Rev. Chem. Biomol. Eng. 2018, 9, 253–281. [Google Scholar] [CrossRef]
- Goindi, S.; Arora, P.; Kumar, N.; Puri, A. Development of Novel Ionic Liquid-Based Microemulsion Formulation for Dermal Delivery of 5-Fluorouracil. AAPS PharmSciTech 2014, 15, 810–821. [Google Scholar] [CrossRef]
- Halde, B.R.; Darekar, A.B.; Saudagar, R.B. Design Development and Evaluation of Agomelatine Microemulsion for Intranasal Delivery. J. Drug Deliv. Ther. 2019, 9, 132–138. [Google Scholar] [CrossRef]
- Patel, D.; Patel, C.; Jani, R. Design and Evaluation of Colon Targeted Modified Pulsincap Delivery of 5-Fluorouracil According to Circadian Rhythm. Int. J. Pharma Investig. 2011, 1, 172. [Google Scholar] [CrossRef] [PubMed]
- Olukman, M.; Şanlı, O.; Solak, E.K. Release of Anti-cancer Drug 5-Fluorouracil from Different Ionically Crosslinked Alginate Beads. J. Biomater. Nanobiotechnol. 2012, 3, 469–479. [Google Scholar] [CrossRef]
- Kulkarni, S.; Pandey, A.; Nikam, A.N.; Nannuri, S.H.; George, S.D.; Fayaz, S.M.A.; Vincent, A.P.; Mutalik, S. ZIF-8 Nano Confined Protein-Titanocene Complex Core-Shell MOFs for Efficient Therapy of Neuroblastoma: Optimization, Molecular Dynamics and Toxicity Studies. Int. J. Biol. Macromol. 2021, 178, 444–463. [Google Scholar] [CrossRef] [PubMed]
- Nikam, A.N.; Pandey, A.; Nannuri, S.H.; Fernandes, G.; Kulkarni, S.; Padya, B.S.; Birangal, S.; Shenoy, G.G.; George, S.D.; Mutalik, S. Hyaluronic Acid-Protein Conjugate Modified Iron-Based MOFs (MIL-101 (Fe)) for Efficient Therapy of Neuroblastoma: Molecular Simulation, Stability and Toxicity Studies. Crystals 2022, 12, 1484. [Google Scholar] [CrossRef]
- Padya, B.S.; Hegde, A.R.; Mutalik, S.P.; Biswas, S.; Mutalik, S. Analytical and Bioanalytical HPLC Method for Simultaneous Estimation of 5-Fluorouracil and Sonidegib. Bioanalysis 2022, 14, 29–45. [Google Scholar] [CrossRef]
- Sabale, V.; Vora, S. Formulation and Evaluation of Microemulsion-Based Hydrogel for Topical Delivery. Int. J. Pharma Investig. 2012, 2, 140. [Google Scholar] [CrossRef]
- Chen, P.; He, M.; Chen, B.; Hu, B. Size- and Dose-Dependent Cytotoxicity of ZIF-8 Based on Single Cell Analysis. Ecotoxicol. Environ. Saf. 2020, 205, 111110. [Google Scholar] [CrossRef]
- Karakaş, D.; Ari, F.; Ulukaya, E. The MTT Viability Assay Yields Strikingly False-Positive Viabilities although the Cells Are Killed by Some Plant Extracts. Turk. J. Biol. 2017, 41, 919–925. [Google Scholar] [CrossRef]
- Rajmani, R.S.; Doley, J.; Singh, P.K.; Kumar, R.; Singh, R.; Barathidasan, R.; Kumar, P.; Verma, P.C.; Tiwari, A.K. Induction of Skin Tumour Using DMBA in Wistar Rat and Histopathological Evaluation. Int. J. Vet. Pathol. 2011, 35, 217–220. [Google Scholar]
- Moghimipour, E.; Salimi, A.; Leis, F. Preparation and Evaluation of Tretinoin Microemulsion Based on Pseudo-Ternary Phase Diagram. Adv. Pharm. Bull. 2012, 2, 141–147. [Google Scholar] [CrossRef]
- Ren, W.; Tian, G.; Jian, S.; Gu, Z.; Zhou, L.; Yan, L.; Jin, S.; Yin, W.; Zhao, Y. TWEEN Coated NaYF4:Yb,Er/NaYF4 Core/Shell Upconversion Nanoparticles for Bioimaging and Drug Delivery. RSC Adv. 2012, 2, 7037. [Google Scholar] [CrossRef]
- Li, Q.; Dang, L.; Li, S.; Liu, X.; Guo, Y.; Lu, C.; Kou, X.; Wang, Z. Preparation of α-Linolenic-Acid-Loaded Water-in-Oil-in-Water Microemulsion and Its Potential as a Fluorescent Delivery Carrier with a Free Label. J. Agric. Food Chem. 2018, 66, 13020–13030. [Google Scholar] [CrossRef] [PubMed]
- Khan, T.A.; Azad, A.K.; Fuloria, S.; Nawaz, A.; Subramaniyan, V.; Akhlaq, M.; Safdar, M.; Sathasivam, K.V.; Sekar, M.; Porwal, O.; et al. Chitosan-Coated 5-Fluorouracil Incorporated Emulsions as Transdermal Drug Delivery Matrices. Polymers 2021, 13, 3345. [Google Scholar] [CrossRef] [PubMed]
- Chen, X.; Liu, Z. Dual Responsive Mesoporous Silica Nanoparticles for Targeted Co-Delivery of Hydrophobic and Hydrophilic Anti-cancer Drugs to Tumor Cells. J. Mater. Chem. B 2016, 4, 4382–4388. [Google Scholar] [CrossRef]
- Singh, P.; Singh, H.; Castro-Aceituno, V.; Ahn, S.; Kim, Y.J.; Yang, D.C. Bovine Serum Albumin as a Nanocarrier for the Efficient Delivery of Ginsenoside Compound K: Preparation, Physicochemical Characterizations and in Vitro Biological Studies. RSC Adv. 2017, 7, 15397–15407. [Google Scholar] [CrossRef]
- Govindan, B.; Swarna Latha, B.; Nagamony, P.; Ahmed, F.; Saifi, M.A.; Harrath, A.H.; Alwasel, S.; Mansour, L.; Alsharaeh, E.H. Designed Synthesis of Nanostructured Magnetic Hydroxyapatite Based Drug Nanocarrier for Anti-Cancer Drug Delivery toward the Treatment of Human Epidermoid Carcinoma. Nanomaterials 2017, 7, 138. [Google Scholar] [CrossRef]
- Gong, M.; Zhang, Q.; Zhao, Q.; Zheng, J.; Li, Y.; Wang, S.; Yuan, Y. Development of Synthetic High-Density Lipoprotein-Based ApoA-I Mimetic Peptide-Loaded Docetaxel as a Drug Delivery Nanocarrier for Breast Cancer Chemotherapy. Drug Deliv. 2019, 26, 708–716. [Google Scholar] [CrossRef]
- Palai, P.K.; Mondal, A.; Chakraborti, C.K.; Banerjee, I.; Pal, K. Green Synthesized Amino-PEGylated Silver Decorated Graphene Nanoplatform as a Tumor-Targeted Controlled Drug Delivery System. SN Appl. Sci. 2019, 1, 269. [Google Scholar] [CrossRef]
- Lin, Y.-K.; Huang, Z.-R.; Zhuo, R.-Z.; Fang, J.-Y. Combination of Calcipotriol and Methotrexate in Nanostructured Lipid Carriers for Topical Delivery. Int. J. Nanomed. 2010, 5, 117–128. [Google Scholar] [CrossRef]
- Iqubal, M.K.; Iqubal, A.; Imtiyaz, K.; Rizvi, M.M.A.; Gupta, M.M.; Ali, J.; Baboota, S. Combinatorial Lipid-Nanosystem for Dermal Delivery of 5-Fluorouracil and Resveratrol against Skin Cancer: Delineation of Improved Dermatokinetics and Epidermal Drug Deposition Enhancement Analysis. Eur. J. Pharm. Biopharm. 2021, 163, 223–239. [Google Scholar] [CrossRef]










| Batch Code | Percent Quantity of Each Component | |||||
|---|---|---|---|---|---|---|
| Inner Phase | Outer Phase | Total | ||||
| 5-FU | Water | AOT | IPM | Tween 80 | ||
| 5-FU@ME-1 | 0.50 | 25 | 18.5 | 50 | 6 | 100.00 |
| 5-FU@ME-2 | 0.50 | 20 | 18.5 | 55 | 6 | 100.00 |
| 5-FU@ME-3 | 0.50 | 15 | 18.5 | 60 | 6 | 100.00 |
| 5-FU@ME-4 | 0.50 | 10 | 18.5 | 65 | 6 | 100.00 |
| RPM in TSP | Droplet Size (nm) | PDI | Zeta Potential (mV) |
|---|---|---|---|
| 100 RPM | 178.7 ± 3.22 | 0.247 ± 0.03 | −1.011 ± 0.21 |
| 150 RPM | 978.1 ± 5.56 | 1.000 ± 0.00 | −18.05 ± 1.09 |
| 200 RPM | 1601.6 ± 8.76 | 0.977 ± 0.08 | −4.65 ± 0.34 |
| 250 RPM | 2795.6 ± 9.65 | 1.000 ± 0.00 | −8.54 ± 0.92 |
| Systems | Flux (µg/cm2/h) | Q24 (µg) | Drug Content in Skin (µg/cm2) |
|---|---|---|---|
| 5-FU solution | 5.63 ± 0.11 | 132.93 ± 5.11 | 58.32 ± 0.09 |
| 5-FU@ME2 | 19.63 ± 0.12 | 940.93 ± 5.53 | 294.46 ± 1.12 |
| Sr. No. | Sample Code | IC50 (µg/mL) | |
|---|---|---|---|
| HaCat | A431 | ||
| 1 | Blank ME | 4.5 | 1.59 |
| 2 | Pure Drug | 1.3 | 1.08 |
| 3 | 5-FU@ME-2 | 2.42 | 0.79 |
| Formulations | Reaction Grade Observed | Primary Irritation Index | |
|---|---|---|---|
| Erythema | Oedema | ||
| Positive Control | 2.33 ± 0.33 | 2.17 ± 0.31 | 2.25 ± 0.25 |
| Blank ME | 0.00 ± 0.00 | 0.00 ± 0.00 | 0.00 ± 0.00 |
| 5-FU@ME-2 | 0.10 ± 0.10 | 0.09 ± 0.05 | 0.07 ± 0.06 |
| Treatment Groups | Degree of Keratinisation | Nuclear Pleomorphism | Mitosis | Inflammatory Infiltration |
|---|---|---|---|---|
| Group 1 | − | − | − | − |
| Group 2 | +++ | ++++ | +++ | +++ |
| Group 3 | + | ++ | ++ | +++ |
| Group 4 | − | − | − | ++ |
Disclaimer/Publisher’s Note: The statements, opinions and data contained in all publications are solely those of the individual author(s) and contributor(s) and not of MDPI and/or the editor(s). MDPI and/or the editor(s) disclaim responsibility for any injury to people or property resulting from any ideas, methods, instructions or products referred to in the content. |
© 2023 by the authors. Licensee MDPI, Basel, Switzerland. This article is an open access article distributed under the terms and conditions of the Creative Commons Attribution (CC BY) license (https://creativecommons.org/licenses/by/4.0/).
Share and Cite
Nikam, A.N.; Jacob, A.; Raychaudhuri, R.; Fernandes, G.; Pandey, A.; Rao, V.; Ahmad, S.F.; Pannala, A.S.; Mutalik, S. Topical Micro-Emulsion of 5-Fluorouracil by a Twin Screw Processor-Based Novel Continuous Manufacturing Process for the Treatment of Skin Cancer: Preparation and In Vitro and In Vivo Evaluations. Pharmaceutics 2023, 15, 2175. https://doi.org/10.3390/pharmaceutics15092175
Nikam AN, Jacob A, Raychaudhuri R, Fernandes G, Pandey A, Rao V, Ahmad SF, Pannala AS, Mutalik S. Topical Micro-Emulsion of 5-Fluorouracil by a Twin Screw Processor-Based Novel Continuous Manufacturing Process for the Treatment of Skin Cancer: Preparation and In Vitro and In Vivo Evaluations. Pharmaceutics. 2023; 15(9):2175. https://doi.org/10.3390/pharmaceutics15092175
Chicago/Turabian StyleNikam, Ajinkya Nitin, Angela Jacob, Ruchira Raychaudhuri, Gasper Fernandes, Abhijeet Pandey, Vinay Rao, Sheikh F. Ahmad, Ananth S. Pannala, and Srinivas Mutalik. 2023. "Topical Micro-Emulsion of 5-Fluorouracil by a Twin Screw Processor-Based Novel Continuous Manufacturing Process for the Treatment of Skin Cancer: Preparation and In Vitro and In Vivo Evaluations" Pharmaceutics 15, no. 9: 2175. https://doi.org/10.3390/pharmaceutics15092175
APA StyleNikam, A. N., Jacob, A., Raychaudhuri, R., Fernandes, G., Pandey, A., Rao, V., Ahmad, S. F., Pannala, A. S., & Mutalik, S. (2023). Topical Micro-Emulsion of 5-Fluorouracil by a Twin Screw Processor-Based Novel Continuous Manufacturing Process for the Treatment of Skin Cancer: Preparation and In Vitro and In Vivo Evaluations. Pharmaceutics, 15(9), 2175. https://doi.org/10.3390/pharmaceutics15092175

