Parasitological, Molecular, and Histopathological Investigation of the Potential Activity of Propolis and Wheat Germ Oil against Acute Toxoplasmosis in Mice
Abstract
1. Introduction
2. Materials and Methods
2.1. Materials Preparation and Chemical Characterization
2.2. Animals
2.3. Treatment Protocol
2.4. Parasitological Examination
2.5. Histopathological Examination
2.6. Histopathological Scoring
2.7. Molecular Identification
2.8. Statistical Analysis
3. Results
3.1. Parasitological Estimation of Parasite Load
3.2. Molecular Results
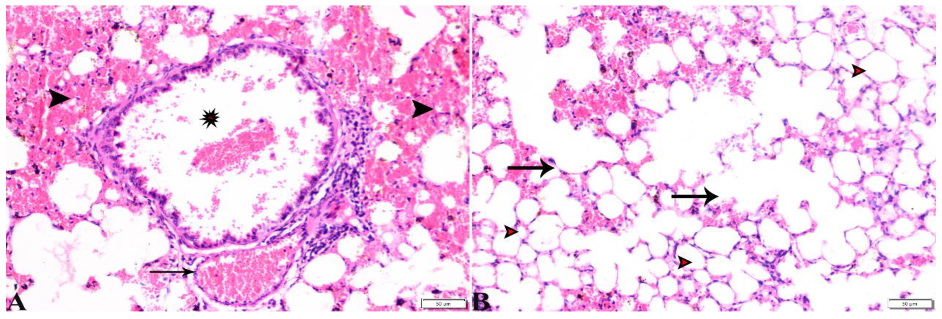
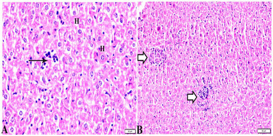
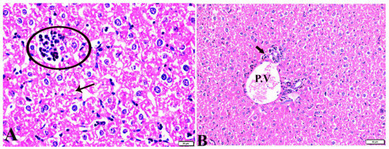
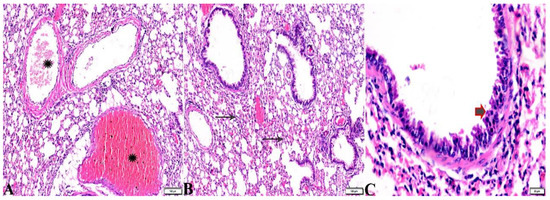
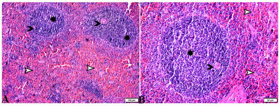
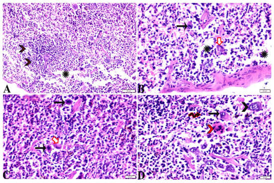
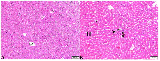
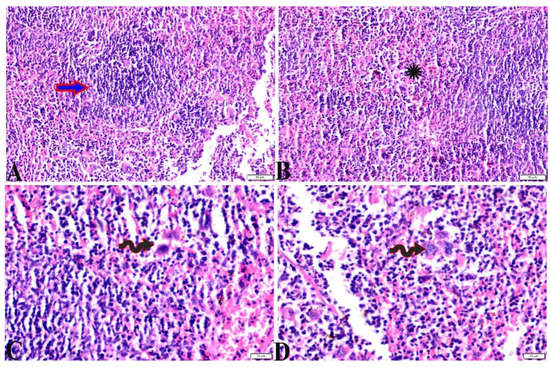
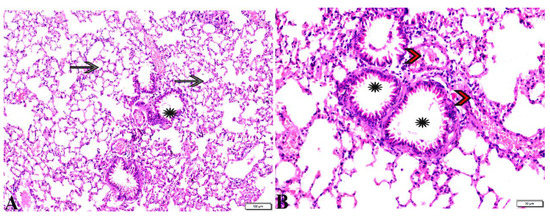
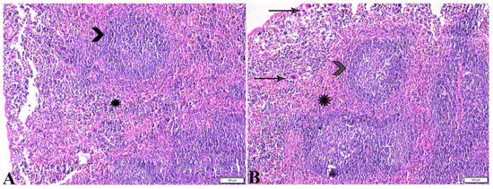
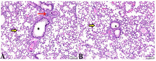
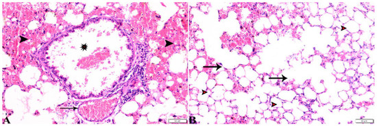
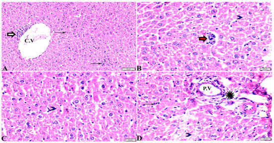
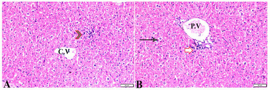
3.3. Histopathological Evaluation
4. Discussion
5. Conclusions
Author Contributions
Funding
Institutional Review Board Statement
Informed Consent Statement
Data Availability Statement
Conflicts of Interest
References
- Ramos, J.M.; Milla, A.; Rodríguez, J.C.; Padilla, S.; Masiá, M.; Gutiérrez, F. Seroprevalence of Toxoplasma gondii infection among immigrant and native pregnant women in Eastern Spain. Parasitol. Res. 2011, 109, 1447–1452. [Google Scholar] [CrossRef] [PubMed]
- Robert-Gangneux, F.; Dardé, M.-L. Epidemiology of and diagnostic strategies for toxoplasmosis. Clin. Microbiol. Rev. 2012, 25, 264–296. [Google Scholar] [CrossRef] [PubMed]
- Montoya, J.G.; Liesenfeld, O. Toxoplasmosis. Lancet 2004, 363, 1965–1976. [Google Scholar] [CrossRef] [PubMed]
- Wohlfert, E.A.; Blader, I.J.; Wilson, E.H. Brains and brawn: Toxoplasma infections of the central nervous system and skeletal muscle. Trends Parasitol. 2017, 33, 519–531. [Google Scholar] [CrossRef]
- Elmore, S.A.; Jones, J.L.; Conrad, P.A.; Patton, S.; Lindsay, D.S.; Dubey, J. Toxoplasma gondii: Epidemiology, feline clinical aspects, and prevention. Trends Parasitol. 2010, 26, 190–196. [Google Scholar] [CrossRef]
- Dubey, J.; Frenkel, J. Cyst-induced toxoplasmosis in cats. J. Protozool. 1972, 19, 155–177. [Google Scholar] [CrossRef]
- Stelzer, S.; Basso, W.; Silván, J.B.; Ortega-Mora, L.M.; Maksimov, P.; Gethmann, J.; Conraths, F.; Schares, G. Toxoplasma gondii infection and toxoplasmosis in farm animals: Risk factors and economic impact. Food Waterborne Parasitol. 2019, 15, e00037. [Google Scholar] [CrossRef]
- Hagras, N.A.; Allam, A.F.; Farag, H.F.; Osman, M.M.; Shalaby, T.I.; Mogahed, N.M.F.H.; Tolba, M.M.; Shehab, A.Y. Successful treatment of acute experimental toxoplasmosis by spiramycin-loaded chitosan nanoparticles. Exp. Parasitol. 2019, 204, 107717. [Google Scholar] [CrossRef]
- Dubey, J.P. Toxoplasmosis in Animals and Humans, 3rd ed.; CRC Press: Boca Raton, FL, USA, 2022. [Google Scholar] [CrossRef]
- Cohen, S.; Denkers, E. The gut mucosal immune response to Toxoplasma gondii. Parasite Immunol. 2015, 37, 108–117. [Google Scholar] [CrossRef]
- Dubey, J. Toxoplasmosis–a waterborne zoonosis. Vet Parasitol. 2004, 126, 57–72. [Google Scholar] [CrossRef]
- Raeghi, S.; Akaberi, A.; Sedeghi, S. Seroprevalence of Toxoplasma gondii in sheep, cattle and horses in Urmia North-West of Iran. Iran. J. Parasitol. 2011, 6, 90–94. [Google Scholar] [PubMed]
- Shaapan, R.M.; Toaleb, N.I.; Abdel-Rahman, E.H. Significance of a common 65 kDa antigen in the experimental fasciolosis and toxoplasmosis. J. Parasit. Dis. 2015, 39, 550–556. [Google Scholar] [CrossRef]
- Remington, J.S.; Klein, J.O. Infectious Diseases of the Fetus and Newborn Infant; WB Saunders: Philadelphia, PA, USA, 2001. [Google Scholar]
- Lin, M.H.; Chen, T.C.; Kuo, T.T.; Tseng, C.C.; Tseng, C.P. Real-time PCR for quantitative detection of Toxoplasma gondii. J. Clin. Microbiol. 2000, 38, 4121–4125. [Google Scholar] [CrossRef]
- Barakat, A.M.; Elfadaly, H.A.M.; Selem, R.F.; Madboli, A.E.-N.A.; El-Razik, A.; Abd El-Hamid, K.; Hassan, E.A.; Alghamdi, A.H.; Elmahallawy, E.K. Tamoxifen increased the parasite burden and induced a series of histopathological and immunohistocehmical changes during chronic toxoplasmosis in experimentally infected Mice. Front. Microbiol. 2022, 13, 902855. [Google Scholar] [CrossRef] [PubMed]
- Barakat, A.M.; El Fadaly, H.A.M.; Gareh, G.; Abd El-Razik, K.A.; Ali, F.A.Z.; Saleh, A.S.; Sadek, S.A.A.; Dahran, N.; El-Gendy, A.E.-N.G.; El-Khadragy, M.F.; et al. Wheat Germ and Propolis Decrease Parasite Burden and Restore Marked Histopathological Changes in Liver and Lung in Mice with Chronic Toxoplasmosis. Animals 2022, 12, 3069. [Google Scholar] [CrossRef] [PubMed]
- Elmahallawy, E.K.; El Fadaly, H.A.M.; Soror, A.H.; Ali, F.A.Z.; Abd El-Razik, K.A.; Soliman, Y.A.; Alkhaldi, A.A.M.; Albezrah, N.K.A.; Barakat, A.M. Novel insights on the potential activity of propolis and wheat germ oil against chronic toxoplasmosis in experimentally infected mice. Biomed. Pharmacother. 2022, 156, 113811. [Google Scholar] [CrossRef]
- Dunay, I.R.; Gajurel, K.; Dhakal, R.; Liesenfeld, O.; Montoya, J.G. Treatment of toxoplasmosis: Historical perspective, animal models, and current clinical practice. Clin. Microbiol. Rev. 2018, 31, e00057-17. [Google Scholar] [CrossRef]
- Konstantinovic, N.; Guegan, H.; Stäjner, T.; Belaz, S.; Robert-Gangneux, F. Treatment of toxoplasmosis: Current options and future perspectives. Food Waterborne Parasitol. 2019, 15, e00036. [Google Scholar] [CrossRef]
- McFadden, D.C.; Camps, M.; Boothroyd, J.C. Resistance as a tool in the study of old and new drug targets in Toxoplasma. Drug Resist. Updat. 2001, 4, 79–84. [Google Scholar] [CrossRef]
- Lopes, F.M.R.; Gonçalves, D.D.; Mitsuka-Breganó, R.; Freire, R.L.; Navarro, I.T. Toxoplasma gondii infection in pregnancy. Braz. J. Infect. Dis. 2007, 11, 496–506. [Google Scholar] [CrossRef]
- Cheraghipour, K.; Masoori, L.; Ezzatpour, B.; Roozbehani, M.; Sheikhian, A.; Malekara, V.; Niazi, M.; Mardanshah, O.; Moradpour, K.; Mahmoudvand, H. The experimental role of medicinal plants in treatment of Toxoplasma gondii infection: A systematic review. Acta Parasitol. 2021, 66, 303–328. [Google Scholar] [CrossRef] [PubMed]
- Otoguro, K.; Iwatsuki, M.; Ishiyama, A.; Namatame, M.; Nishihara-Tsukashima, A.; Kiyohara, H.; Hashimoto, T.; Asakawa, Y.; Ōmura, S.; Yamada, H. In vitro antitrypanosomal activity of some phenolic compounds from propolis and lactones from Fijian Kawa (Piper methysticum). J. Nat. Med. 2012, 66, 558–561. [Google Scholar] [CrossRef] [PubMed]
- da Silveira Regueira-Neto, M.; Tintino, S.R.; Rolón, M.; Coronal, C.; Vega, M.C.; de Queiroz Balbino, V.; de Melo Coutinho, H.D. Antitrypanosomal, antileishmanial and cytotoxic activities of Brazilian red propolis and plant resin of Dalbergia ecastaphyllum (L) Taub. Food Chem. Toxicol. 2018, 119, 215–221. [Google Scholar] [CrossRef]
- Choi, W.; Jiang, M.; Chu, J. Antiparasitic effects of Zingiber officinale (Ginger) extract against Toxoplasma gondii. J. Appl. Biomed. 2013, 11, 15–26. [Google Scholar] [CrossRef]
- Kavitha, N.; Noordin, R.; Chan, K.-L.; Sasidharan, S. In vitro anti-Toxoplasma gondii activity of root extract/fractions of Eurycoma longifolia Jack. BMC Complement. Altern. Med. 2012, 12, 91. [Google Scholar] [CrossRef] [PubMed]
- Hagras, N.A.-E.; Mogahed, N.M.F.H.; Sheta, E.; Darwish, A.A.-e.; El-Hawary, M.A.; Hamed, M.T.; Elwakil, B.H. The powerful synergistic effect of spiramycin/propolis loaded chitosan/alginate nanoparticles on acute murine toxoplasmosis. PLoS Negl. Trop. Dis. 2022, 16, e0010268. [Google Scholar] [CrossRef]
- Wagh, V.D. Propolis: A wonder bees product and its pharmacological potentials. Adv. Pharmacol. Sci. 2013, 2013, 308249. [Google Scholar] [CrossRef]
- Clifford, M.N. Chlorogenic acids and other cinnamates–nature, occurrence and dietary burden. J. Sci. Food Agric. 1999, 79, 362–372. [Google Scholar] [CrossRef]
- Freitas, S.; Shinohara, L.; Sforcin, J.; Guimarães, S. In vitro effects of propolis on Giardia duodenalis trophozoites. Phytomedicine 2006, 13, 170–175. [Google Scholar] [CrossRef]
- Monzote Fidalgo, L.; Ra-mos, S.I.; García Parra, M.; Cuesta-Rubio, O.; Márquez Hernández, I.; Campo Fernández, M.; Piccinelli, A.L.; Rastrelli, L. Activity of Cuban propolis extracts on Leishmania amazonensis and Trichomonas vaginalis. Nat. Prod. Commun. 2011, 6, 973–976. [Google Scholar] [CrossRef]
- Hegazi, A.G.; Al Guthami, F.M.; Al Gethami, A.; Barakat, A.M. Egyptian propolis 12: Influence of Propolis on Cytokines of Toxoplasma gondii Infected Rats. Int. J. Curr. Microbiol. App. Sci. 2017, 6, 202–211. [Google Scholar] [CrossRef]
- AlGabbani, Q.; Mansour, L.; Elnakady, Y.A.; Al-Quraishy, S.; Alomar, S.; Al-Shaebi, E.M.; Abdel-Baki, A.-A.S. In vivo assessment of the antimalarial and spleen-protective activities of the Saudi propolis methanolic extract. Parasitol. Res. 2017, 116, 539–547. [Google Scholar] [CrossRef] [PubMed]
- Niu, L.-Y.; Jiang, S.-T.; Pan, L.-J.; Pang, M. Characterization of wheat germ oil in terms of volatile compounds, lipid composition, thermal behavior, and structure. Int. J. Food Prop. 2013, 16, 1740–1749. [Google Scholar] [CrossRef]
- Małecka, M. Antioxidant properties of the unsaponifiable matter isolated from tomato seeds, oat grains and wheat germ oil. Food Chem. 2002, 79, 327–330. [Google Scholar] [CrossRef]
- Ge, Y.; Sun, A.; Ni, Y.; Cai, T. Some nutritional and functional properties of defatted wheat germ protein. J. Agric. Food Chem. 2000, 48, 6215–6218. [Google Scholar] [CrossRef]
- Vaher, M.; Matso, K.; Levandi, T.; Helmja, K.; Kaljurand, M. Phenolic compounds and the antioxidant activity of the bran, flour and whole grain of different wheat varieties. Procedia Chem. 2010, 2, 76–82. [Google Scholar] [CrossRef]
- Madhupriya, V.; Shamsudeen, P.; Manohar, G.; Senthilkumar, S.; Soundarapandiyan, V.; Moorthy, M. Phyto feed additives in poultry nutrition: A review. Int. J. Sci. Environ. Technol. 2018, 7, 815–822. [Google Scholar]
- Mansour, A.T.; Espinosa, C.; García-Beltrán, J.M.; Miao, L.; Francisco, D.C.C.; Alsaqufi, A.S.; Esteban, M. Dietary supplementation of drumstick tree, Moringa oleifera, improves mucosal immune response in skin and gills of seabream, Sparus aurata, and attenuates the effect of hydrogen peroxide exposure. Fish Physiol. Biochem. 2020, 46, 981–996. [Google Scholar] [CrossRef]
- Abdelmaksoud, H.F.; Aboushousha, T.S.; El-Ashkar, A.M. Deep glance on the antiparasitic anticancer activities of wheat germ oil in chronically infected immunosuppressed mice with cryptosporidiosis. J. Parasit. Dis. 2022, 46, 785–794. [Google Scholar] [CrossRef]
- Tonkal, A. In vitro antitrichomonal effect of Nigella sativa aqueous extract and wheat germ agglutinin. Med. Sci. 2009, 16, 17–34. [Google Scholar] [CrossRef]
- El Gendy, A.N.G.; Tavarini, S.; Conte, G.; Pistelli, L.; Hendawy, S.F.; Omer, E.A.; Angelini, L.G. Yield and qualitative characterisation of seeds of Amaranthus hypochondriacus L. and Amaranthus cruentus L. grown in central Italy. Ital. J. Agron. 2018, 13, 63–73. [Google Scholar] [CrossRef]
- Farag, M.A.; Mohsen, E.; Abd El Nasser, G. Sensory metabolites profiling in Myristica fragrans (Nutmeg) organs and in response to roasting as analyzed via chemometric tools. Lwt 2018, 97, 684–692. [Google Scholar] [CrossRef]
- Farag, M.A.; Ammar, N.M.; El Gendy, A.N.; Mohsen, E. Effect of grilling as processing method on Zea mays (corn) metabolites composition as analyzed via SPME GC-MS and chemometrics. J. Food Process. Preserv. 2019, 43, e14165. [Google Scholar] [CrossRef]
- Etewa, S.E.; El-Maaty, D.A.A.; Hamza, R.S.; Metwaly, A.S.; Sarhan, M.H.; Abdel-Rahman, S.A.; Fathy, G.M.; El-Shafey, M.A. Assessment of spiramycin-loaded chitosan nanoparticles treatment on acute and chronic toxoplasmosis in mice. J. Parasit. Dis. 2018, 42, 102–113. [Google Scholar] [CrossRef]
- Mady, R.F.; El-Hadidy, W.; Elachy, S. Effect of Nigella sativa oil on experimental toxoplasmosis. Parasitol. Res. 2016, 115, 379–390. [Google Scholar] [CrossRef] [PubMed]
- El-Shafey, A.A.; Hegab, M.; Seliem, M.M.; Barakat, A.; Mostafa, N.E.; Abdel-Maksoud, H.A.; Abdelhameed, R.M. Curcumin@ metal organic frameworks nano-composite for treatment of chronic toxoplasmosis. J. Mater. Sci. Mater. Med. 2020, 31, 90. [Google Scholar] [CrossRef]
- Garcia, L. Macroscopic and microscopic examination of fecal specimens. In Diagnostic Medical Parasitology; ASM Press: Washington, DC, USA, 1993; pp. 501–535. [Google Scholar]
- Khurana, S.; Sharma, P.; Sharma, A.; Malla, N. Evaluation of Ziehl-Neelsen staining, auramine phenol staining, antigen detection enzyme linked immunosorbent assay and polymerase chain reaction, for the diagnosis of intestinal cryptosporidiosis. Trop. Parasitol. 2012, 2, 20. [Google Scholar] [CrossRef]
- Hegazi, A.; Toaleb, N.; Fadaly, H.; Abdel-Rahman, E.; Barakat, A. In vivo -Cellular and Humoral Immune Response for Evaluation of Propolis Effect on Chronic Toxoplasmosis in Rats. Adv. Anim. Vet Sci. 2021, 9, 1045–1052. [Google Scholar] [CrossRef]
- Karabacak, M.; Kanbur, M.; Eraslan, G.; Sarıca, Z.S. The antioxidant effect of wheat germ oil on subchronic coumaphos exposure in mice. Ecotoxicol. Environ. Saf. 2011, 74, 2119–2125. [Google Scholar] [CrossRef]
- Djurković-Djaković, O.; Milenković, V.; Nikolić, A.; Bobić, B.; Grujić, J. Efficacy of atovaquone combined with clindamycin against murine infection with a cystogenic (Me49) strain of Toxoplasma gondii. J. Antimicrob. Chemother. 2002, 50, 981–987. [Google Scholar] [CrossRef]
- Zhou, J.; Gan, X.; Wang, Y.; Zhang, X.; Ding, X.; Chen, L.; Du, J.; Luo, Q.; Wang, T.; Shen, J. Toxoplasma gondii prevalent in China induce weaker apoptosis of neural stem cells C17. 2 via endoplasmic reticulum stress (ERS) signaling pathways. Parasit Vectors 2015, 8, 73. [Google Scholar] [CrossRef] [PubMed]
- Sina, S.; Mohammad, J.M.; Reza, S.; Anita, M.; Soudabeh, E.; Hadi, M. Determination of parasitic burden in the brain tissue of infected mice in acute toxoplasmosis after treatment by fluconazole combined with sulfadiazine and pyrimethamine. Eur. J. Med. Res. 2021, 26, 65. [Google Scholar] [CrossRef] [PubMed]
- Djurkoviae-Djakoviae, O.; Milenkoviae, V. Murine model of drug-induced reactivation of Toxoplasma gondii. Acta protozool 2001, 40, 99–106. [Google Scholar]
- Bancroft, J.D.; Gamble, M. Theory and Practice of Histological Techniques; Elsevier Health Sciences: Amsterdam, The Netherlands, 2008. [Google Scholar]
- Gibson-Corley, K.N.; Olivier, A.K.; Meyerholz, D.K. Principles for valid histopathologic scoring in research. Vetpathol 2013, 50, 1007–1015. [Google Scholar] [CrossRef]
- Atmaca, H.T.; Gazyagci, A.N.; Terzi, O.S.; Dincel, G.C.; Sumer, T. Tracking acute phase protein response during acute and chronic Toxoplasma gondii infection. Lab. Anim. Res. 2019, 35, 6. [Google Scholar] [CrossRef]
- Ali, F.A.Z.; M Abdel-Maksoud, F.; Abd Elaziz, H.O.; Al-Brakati, A.; Elmahallawy, E.K. Descriptive Histopathological and Ultrastructural Study of Hepatocellular Alterations Induced by Aflatoxin B1 in Rats. Animals 2021, 11, 509. [Google Scholar] [CrossRef]
- Wu, B.; Huang, B.; Chen, Y.; Li, S.; Yan, J.; Zheng, H.; Huang, S.; Shen, J.; Lun, Z.-R.; Wang, Y. Upregulated expression of Tim-3 involved in the process of toxoplasmic encephalitis in mouse model. Parasitol. Res. 2013, 112, 2511–2521. [Google Scholar] [CrossRef]
- Cavalcanti, M.G.; Mesquita, J.S.; Madi, K.; Feijó, D.F.; Assuncao-Miranda, I.; Souza, H.S.; Bozza, M.T. MIF participates in Toxoplasma gondii-induced pathology following oral infection. PLoS ONE 2011, 6, e25259. [Google Scholar] [CrossRef]
- Huang, B.; Huang, S.; Chen, Y.; Zheng, H.; Shen, J.; Lun, Z.-R.; Wang, Y.; Kasper, L.H.; Lu, F. Mast cells modulate acute toxoplasmosis in murine models. PLoS ONE 2013, 8, e77327. [Google Scholar] [CrossRef]
- Shackelford, C.; Long, G.; Wolf, J.; Okerberg, C.; Herbert, R. Qualitative and quantitative analysis of nonneoplastic lesions in toxicology studies. Toxicol. Pathol. 2002, 30, 93–96. [Google Scholar] [CrossRef]
- Mendez-Pfeiffer, P.; Juarez, J.; Hernandez, J.; Taboada, P.; Virues, C.; Valencia, D.; Velazquez, C. Nanocarriers as drug delivery systems for propolis: A therapeutic approach. J. Drug Deliv. Sci. Technol. 2021, 65, 102762. [Google Scholar] [CrossRef]
- Siheri, W.; Ebiloma, G.U.; Igoli, J.O.; Gray, A.I.; Biddau, M.; Akrachalanont, P.; Alenezi, S.; Alwashih, M.A.; Edrada-Ebel, R.; Muller, S. Isolation of a novel flavanonol and an alkylresorcinol with highly potent anti-trypanosomal activity from Libyan propolis. Molecules 2019, 24, 1041. [Google Scholar] [CrossRef] [PubMed]
- Antwi, C.A.; Amisigo, C.M.; Adjimani, J.P.; Gwira, T.M. In vitro activity and mode of action of phenolic compounds on Leishmania donovani. PLoS Negl. Trop. Dis. 2019, 13, e0007206. [Google Scholar] [CrossRef]
- Fuentes-Castro, B.E.; Reyes-García, J.G.; Valenzuela-Vargas, M.T.; Martínez-Gómez, F. Histopathology of murine toxoplasmosis under treatment with dialyzable leukocyte extract. Mem. Inst. Oswaldo. Cruz. 2017, 112, 741–747. [Google Scholar] [CrossRef] [PubMed]
- Unno, A.; Kachi, S.; Batanova, T.A.; Ohno, T.; Elhawary, N.; Kitoh, K.; Takashima, Y. Toxoplasma gondii tachyzoite-infected peripheral blood mononuclear cells are enriched in mouse lungs and liver. Exp. Parasitol. 2013, 134, 160–164. [Google Scholar] [CrossRef] [PubMed]
- Corrêa, G.; de Almeida Lindenberg, C.; de Abreu Moreira-Souza, A.C.; Savio, L.E.B.; Takiya, C.M.; Marques-da-Silva, C.; Vommaro, R.C.; Coutinho-Silva, R. Inflammatory early events associated to the role of P2X7 receptor in acute murine toxoplasmosis. Immunobiology 2017, 222, 676–683. [Google Scholar] [CrossRef]
- Mossalayi, M.; Rambert, J.; Renouf, E.; Micouleau, M.; Mérillon, J. Grape polyphenols and propolis mixture inhibits inflammatory mediator release from human leukocytes and reduces clinical scores in experimental arthritis. Phytomedicine 2014, 21, 290–297. [Google Scholar] [CrossRef]
- Mueller, T.; Jordan, K.; Voigt, W. Promising cytotoxic activity profile of fermented wheat germ extract (Avemar®) in human cancer cell lines. J. Exp. Clin. Cancer Res. 2011, 30, 42–47. [Google Scholar] [CrossRef]
- Hawrelak, J. Giardiasis: Pathophysiology and management. Altern. Med. Rev. 2003, 8, 129–142. [Google Scholar]
- Ortega-Barria, E.; Ward, H.D.; Keusch, G.T.; Pereira, M. Growth inhibition of the intestinal parasite Giardia lamblia by a dietary lectin is associated with arrest of the cell cycle. J. Clin. Investig. 1994, 94, 2283–2288. [Google Scholar] [CrossRef]
















| Group Order | Treatment Strategy |
|---|---|
| Group 1 (G1) | Negative control group (non-infected and non-treated) |
| Group 2 (G2) | Positive control group (infected non-treated group) |
| Group 3 (G3) | Infected mice treated with 0.1 mL propolis extract/day [17,18,51] |
| Group 4 (G4) | Infected mice treated with WGO at a dose of 0.2 mg/1.5 mL/kg bw/day [17,18,52]. |
| Group 5 (G5) | Infected mice treated with a combination of propolis and WGO at the same mentioned doses. |
| P29 Q-f | CAGCATGGATAAGGCATCTG |
| P29 Q-r | GTTGCTCCTCTGTTAGTTCC |
| Experiment | Group | Group Type | Ct (dRn) | Quantity (Copies) |
|---|---|---|---|---|
| NTC | G1 | NTC (non-infected- non treated) | No Ct | No Ct |
| Positive Control (G2) | G2-a | Standard infected non treated | 21.69 | 6.40 × 10−0 |
| G2-b | Standard infected non treated | 21.63 | 6.50 × 10−0 | |
| G2-c | Standard infected non treated | 25.06 | 6.50 × 10−0 | |
| G2-d | Standard infected non treated | 22.1 | 6.40 × 10−0 | |
| G2-e | Standard infected non treated | 21.53 | 6.40 × 10−0 | |
| Treated Groups | G3-a | Infected Treated with Propolis | 24.7 | 5.61 × 10−1 |
| G3-b | Infected Treated with Propolis | 26.54 | 5.23 × 10−1 | |
| G3-c | Infected Treated with Propolis | 26.02 | 6.21 × 10−1 | |
| G3-d | Infected Treated with Propolis | 25.21 | 5.62 × 10−1 | |
| G3-e | Infected Treated with Propolis | 23.98 | 5.71 × 10−1 | |
| G4-a | Infected Treated with Wheat germ oil | 31.89 | 3.71 × 10−2 | |
| G4-b | Infected Treated with Wheat germ oil | 29.39 | 4.43 × 10−1 | |
| G4-c | Infected Treated with Wheat germ oil | 30.4 | 5.13 × 10−1 | |
| G4-d | Infected Treated with Wheat germ oil | 29.01 | 6.42 × 10−2 | |
| G4-e | Infected Treated with Wheat germ oil | 29.68 | 4.36 × 10−2 | |
| G5-a | Infected Treated with combination of Wheat germ oil and Propolis. | 34.74 | 3.05 × 10−3 | |
| G5-b | Infected Treated with combination of Wheat germ oil and Propolis. | 32.7 | 3.62 × 10−1 | |
| G5-c | Infected Treated with combination of Wheat germ oil and Propolis. | 36.85 | 3.42 × 10−1 | |
| G5-d | Infected Treated with combination of Wheat germ oil and Propolis. | 37.03 | 2.51 × 10−1 | |
| G5-e | Infected Treated with combination of Wheat germ oil and Propolis. | 37.42 | 2.33 × 10−2 |
| Sample ID | Quantity |
|---|---|
| C-(G2;Infected untreated) sample | 0.00 × 10 + 00 |
| S1 (G3; Treated with Propolis) | 5.84 × 10−1 |
| S2 (G4; Treated with Wheat germ oil) | 4.78 × 10−2 |
| S3 (G5:Treated with combination of Wheat germ oil and Propolis) | 2.97 × 10−2 |
Disclaimer/Publisher’s Note: The statements, opinions and data contained in all publications are solely those of the individual author(s) and contributor(s) and not of MDPI and/or the editor(s). MDPI and/or the editor(s) disclaim responsibility for any injury to people or property resulting from any ideas, methods, instructions or products referred to in the content. |
© 2023 by the authors. Licensee MDPI, Basel, Switzerland. This article is an open access article distributed under the terms and conditions of the Creative Commons Attribution (CC BY) license (https://creativecommons.org/licenses/by/4.0/).
Share and Cite
Barakat, A.M.; El-Razik, K.A.A.; El Fadaly, H.A.M.; Saleh, W.M.; Ali, F.A.Z.; Gouda, A.A.; Sadek, S.A.S.; Dahran, N.; El-khadragy, M.F.; Elmahallawy, E.K. Parasitological, Molecular, and Histopathological Investigation of the Potential Activity of Propolis and Wheat Germ Oil against Acute Toxoplasmosis in Mice. Pharmaceutics 2023, 15, 478. https://doi.org/10.3390/pharmaceutics15020478
Barakat AM, El-Razik KAA, El Fadaly HAM, Saleh WM, Ali FAZ, Gouda AA, Sadek SAS, Dahran N, El-khadragy MF, Elmahallawy EK. Parasitological, Molecular, and Histopathological Investigation of the Potential Activity of Propolis and Wheat Germ Oil against Acute Toxoplasmosis in Mice. Pharmaceutics. 2023; 15(2):478. https://doi.org/10.3390/pharmaceutics15020478
Chicago/Turabian StyleBarakat, Ashraf Mohamed, Khaled A. Abd El-Razik, Hassan Ali Mohamed El Fadaly, Walaa M. Saleh, Fatma Abo Zakaib Ali, Asmaa Aboelabbas Gouda, Sabry A. S. Sadek, Naief Dahran, Manal F. El-khadragy, and Ehab Kotb Elmahallawy. 2023. "Parasitological, Molecular, and Histopathological Investigation of the Potential Activity of Propolis and Wheat Germ Oil against Acute Toxoplasmosis in Mice" Pharmaceutics 15, no. 2: 478. https://doi.org/10.3390/pharmaceutics15020478
APA StyleBarakat, A. M., El-Razik, K. A. A., El Fadaly, H. A. M., Saleh, W. M., Ali, F. A. Z., Gouda, A. A., Sadek, S. A. S., Dahran, N., El-khadragy, M. F., & Elmahallawy, E. K. (2023). Parasitological, Molecular, and Histopathological Investigation of the Potential Activity of Propolis and Wheat Germ Oil against Acute Toxoplasmosis in Mice. Pharmaceutics, 15(2), 478. https://doi.org/10.3390/pharmaceutics15020478

