Ginsenoside Compound K Protects against Obesity through Pharmacological Targeting of Glucocorticoid Receptor to Activate Lipophagy and Lipid Metabolism
Abstract
:1. Introduction
2. Materials and Methods
2.1. Preparation of Ginsenosides
2.2. Cell Culture
2.3. Animals and Treatments
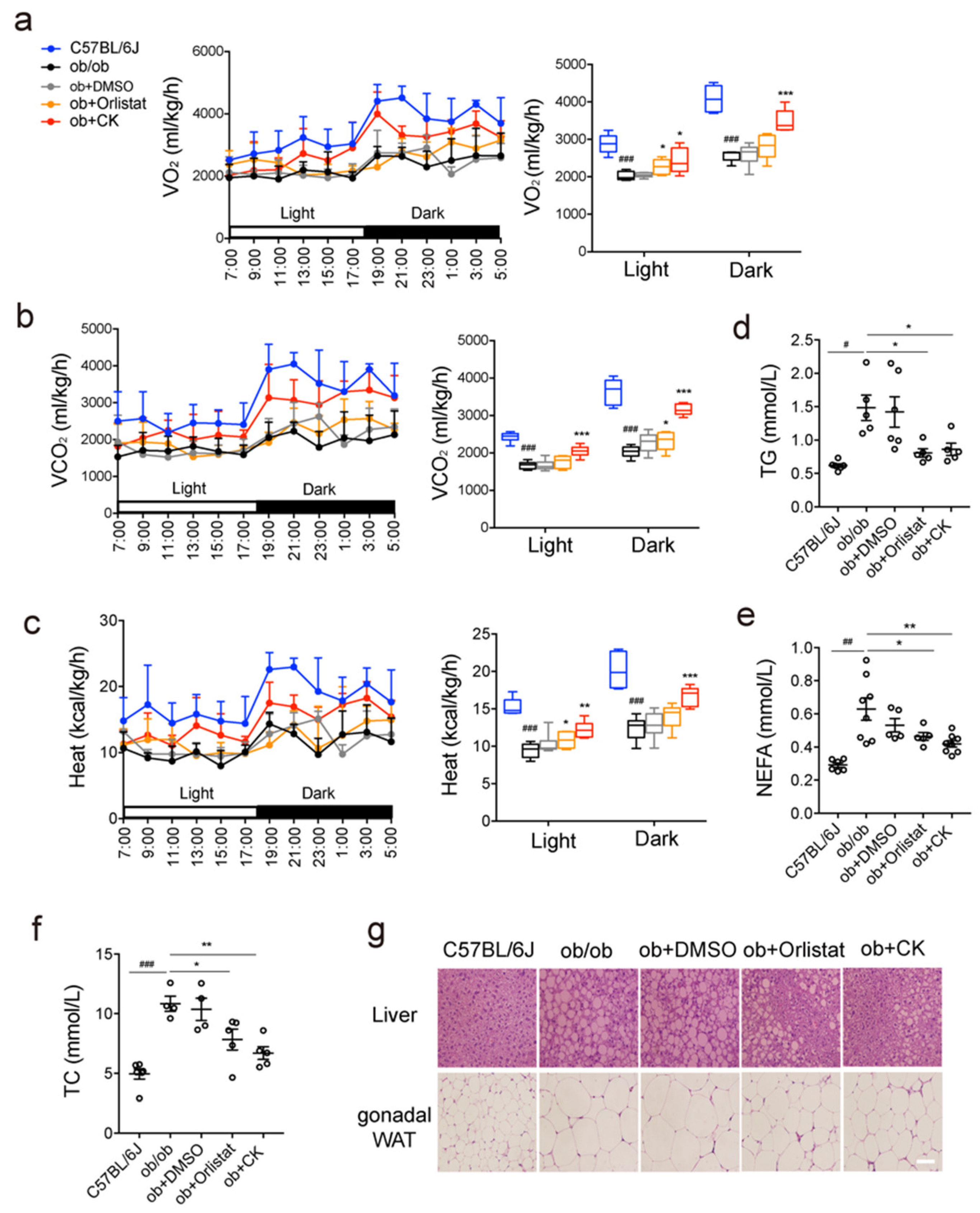
2.4. Whole-Body Energy Homeostasis
2.5. GTT and ITT
2.6. Western Blotting
2.7. Autophagy Analyses
2.8. Glucose Uptake Assay
2.9. UPLC-MS Assay
2.10. GR Competitor Assay
2.11. Proteomics Analysis
2.12. FA Oxidation Assay
2.13. Immunofluorescence
2.14. Pull-Down Assay
2.15. Vector Construction and Dual Luciferase Reporter Assay
2.16. Chromatin Immunoprecipitation (ChIP)
2.17. Statistical Analysis
3. Results
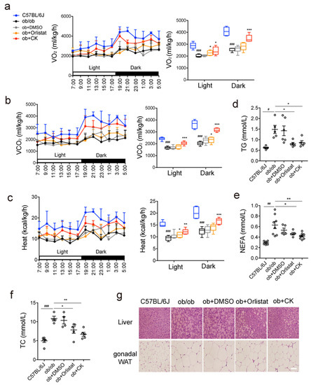
3.1. CK Reduces Body Weight and Blood Glucose in Obese Mice
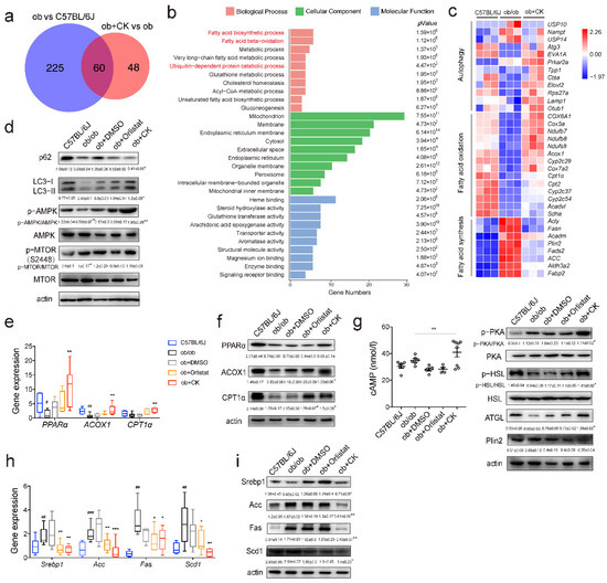
3.2. CK Exerts Hypolipidemic Activity in Obese Mice
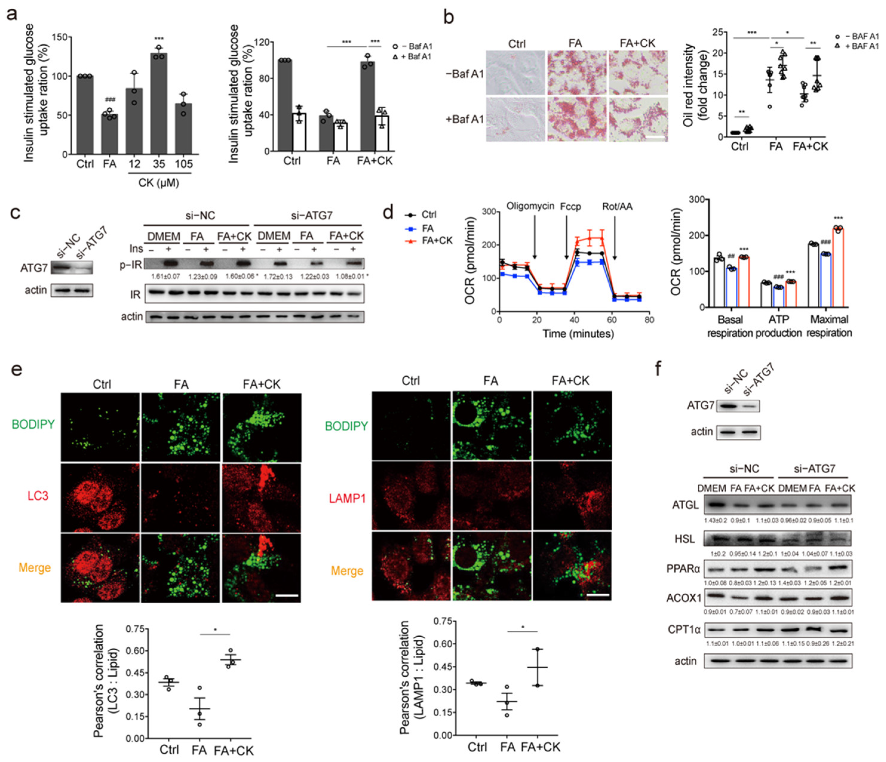
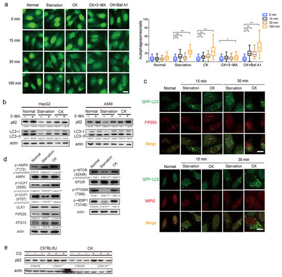
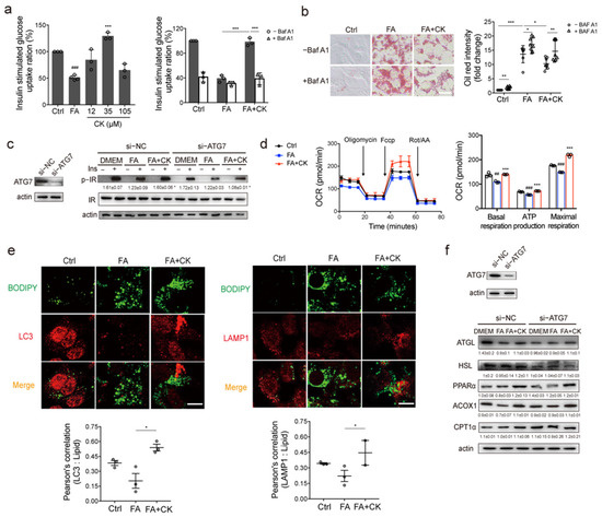
3.3. Ginsenoside CK Enhances Lipase Activity and Autophagy Levels to Stimulate Lipolysis
3.4. CK Activates Autophagy by Activating AMPK/ULK1 Pathway
3.5. Ginsenoside CK-Stimulated Lipophagy and Lipase Activity Are Independent
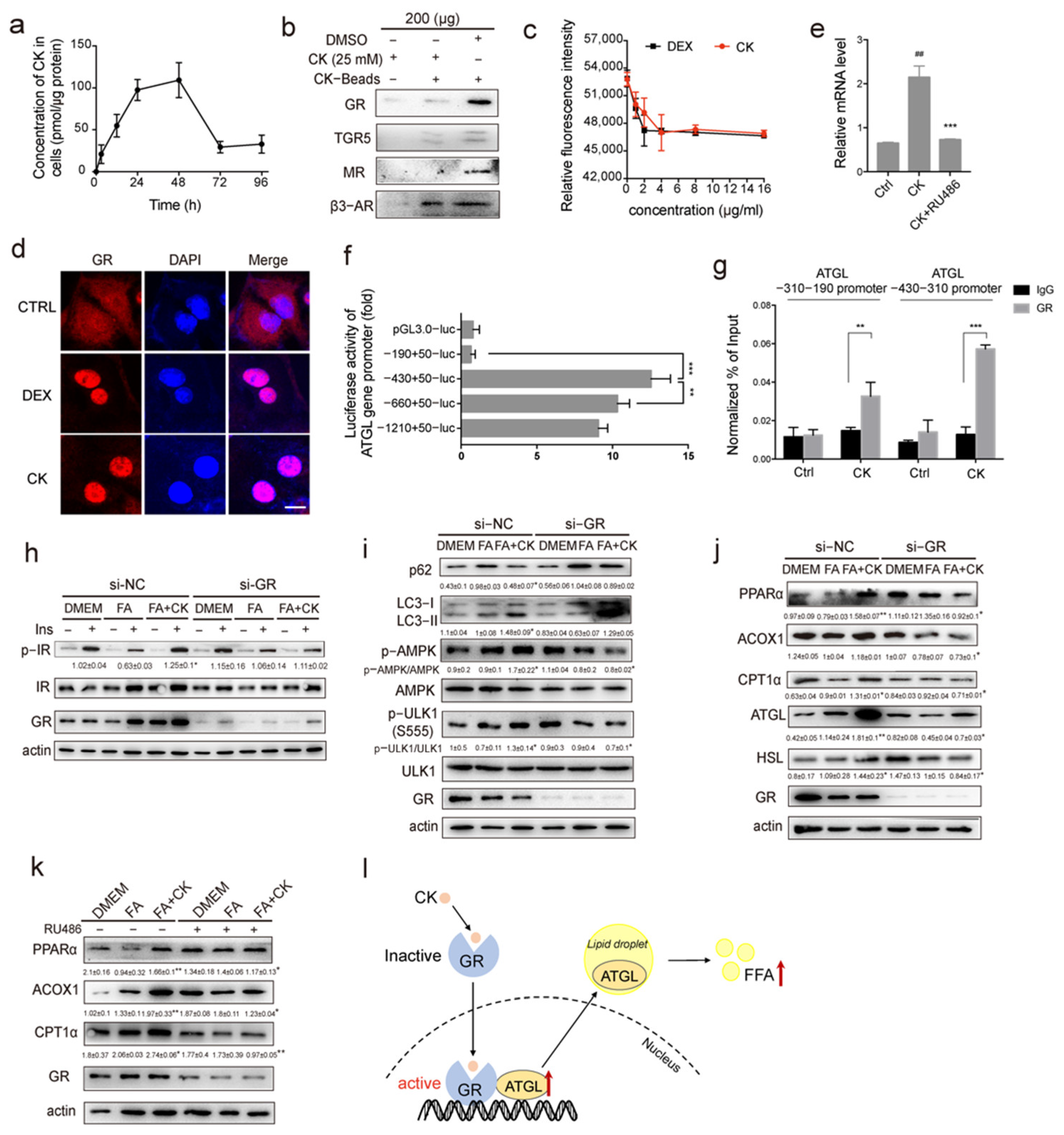
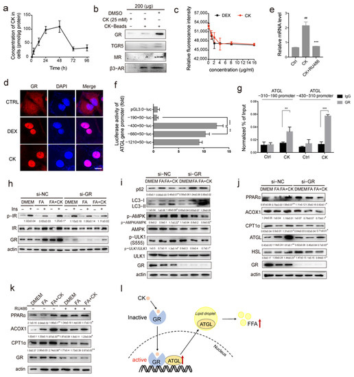
3.6. Ginsenoside CK Acts on the Glucocorticoid Receptor (GR) to Promote Lipolysis
4. Discussion
5. Conclusions
Supplementary Materials
Author Contributions
Funding
Institutional Review Board Statement
Informed Consent Statement
Data Availability Statement
Acknowledgments
Conflicts of Interest
Appendix A
Appendix A.1. Biochemical Analysis
Appendix A.2. Histology
Appendix A.3. Western Blotting
Appendix A.4. Oil Red O Staining
Appendix A.5. RT-qPCR
| Gene Name | Forward (5′-3′) | Reverse (5′-3′) |
|---|---|---|
| ACOX1 | CAGCCAGATTGGTAGAAATTGCT | ACGCCACTTCCTTGCTCTTC |
| CPT1α | CTCAGTGGGAGCGACTCTTCA | GGCCTCTGTGGTACACGACAA |
| PPARα | CTTCAACATGAACAAGGTCAAAGC | AGCCATACACAGTGTCTCCATATC |
| SREBP1 | AACGTCACTTCCAGCTAGAC | CCACTAAGGTGCCTACAGAGC |
| SCD1 | GCGATACACTCTGGTGCTCA | CCCAGGGAAACCAGGATATT |
| ACC | CGCTCAGGTCACCAAAAAGAAT | GTCCCGGCCACACAACTGAT |
| FAS | TTCCAAGACGAAAATGATGC | AATTGTGGGATCAGGAGAGC |
| GAPDH | ATGATTCTACCCACGGCAAG | CTGGAAGATGGTGATGGGTT |
Appendix A.6. Transfection with siRNAs
Appendix A.7. Immunofluorescence
Appendix A.8. Vector Construction and Dual Luciferase Reporter Assay
Appendix A.9. Chromatin Immunoprecipitation (ChIP)
| Gene Name | Forward (5′-3′) | Reverse (5′-3′) |
|---|---|---|
| ATGL (−310–190) | TGCACTTCTCCATGTGCTCGG | GCTTCTCTCTCTCCCCACAGC |
| ATGL (−430–310) | GGGGTACTATCTGCGACTTCGC | TGTACAGATCTGGGTACCAGGA |
References
- Blüher, M. Obesity: Global epidemiology and pathogenesis. Nat. Rev. Endocrinol. 2019, 15, 288–298. [Google Scholar] [CrossRef] [PubMed]
- Kusminski, C.M.; Bickel, P.E.; Scherer, P.E. Targeting adipose tissue in the treatment of obesity-associated diabetes. Nat. Rev. Mol. Cell Biol. 2016, 15, 639–660. [Google Scholar] [CrossRef] [PubMed]
- Sun, K.; Tordjman, J.; Clement, K.; Scherer, P. Fibrosis and adipose tissue dysfunction. Cell Metab. 2013, 18, 470–477. [Google Scholar] [CrossRef] [PubMed] [Green Version]
- Rosen, E.D.; Spiegelman, B.M. What we talk about when we talk about fat. Cell 2014, 156, 20–44. [Google Scholar] [CrossRef] [Green Version]
- Canuto, R.; Garcez, A.; de Souza, R.V.; Kac, G.; Anselmo, M.T. Nutritional intervention strategies for the management of overweight and obesity in primary health care: A systematic review with meta-analysis. Obes. Rev. 2020, 22, e13143. [Google Scholar] [CrossRef]
- Sathyanarayan, A.; Mashek, M.T.; Mashek, D.G. ATGL promotes autophagy/lipophagy via SIRT1 to control hepatic lipid droplet catabolism. Cell Rep. 2017, 19, 1–9. [Google Scholar] [CrossRef] [Green Version]
- Dubland, J.A.; Francis, G.A. Lysosomal acid lipase: At the crossroads of normal and atherogenic cholesterol metabolism. Front. Cell Dev. Biol. 2015, 3, 3. [Google Scholar] [CrossRef] [Green Version]
- Singh, R.; Cuervo, A.M. Lipophagy: Connecting autophagy and lipid metabolism. Int. J. Cell Biol. 2012, 2012, 282041. [Google Scholar] [CrossRef]
- Czaja, M.J.; Cuervo, A.M. Lipases in lysosomes, what for? Autophagy 2009, 5, 866–867. [Google Scholar] [CrossRef] [Green Version]
- Zechner, R.; Madeo, F.; Kratky, D. Cytosolic lipolysis and lipophagy: Two sides of the same coin. Nat. Rev. Mol. Cell Biol. 2017, 18, 671–684. [Google Scholar] [CrossRef]
- Rambold, A.S.; Cohen, S.J. Lippincott-Schwartz, fatty acid trafficking in starved cells: Regulation by lipid droplet lipolysis, autophagy, and mitochondrial fusion dynamics. Dev. Cell 2015, 32, 678–692. [Google Scholar] [CrossRef] [PubMed] [Green Version]
- Olzmann, J.A.; Carvalho, P. Dynamics and functions of lipid droplets. Nat. Rev. Mol. Cell Biol. 2019, 20, 137–155. [Google Scholar] [CrossRef] [PubMed]
- Kaushik, S.; Cuervo, A.M. Degradation of lipid droplet-associated proteins by chaperone-mediated autophagy facilitates lipolysis. Nat. Cell Biol. 2015, 17, 759–770. [Google Scholar] [CrossRef] [PubMed] [Green Version]
- Tekirdag, K.A.; Cuervo, A.M. Chaperone-mediated autophagy and endosomal microautophagy: Joint by a chaperone. J. Biol. Chem. 2018, 293, 5414–5424. [Google Scholar] [CrossRef] [Green Version]
- Beertsen, P.; Saftig, W.; Eskelinen, E.L. LAMP-2: A control step for phagosome and autophagosome maturation. Autophagy 2008, 4, 510–512. [Google Scholar]
- Kovsan, J.; Ben-Romano, R.; Souza, S.C.; Greenberg, A.S.; Rudich, A. Regulation of adipocyte lipolysis by degradation of the perilipin protein: Nelfinavir enhances lysosome-mediated perilipin proteolysis. J. Biol. Chem. 2007, 282, 21704–21711. [Google Scholar] [CrossRef] [Green Version]
- Kimmel, A.R.; Sztalryd, C. The perilipins: Major cytosolic lipid droplet-associated proteins and their roles in cellular lipid storage, mobilization, and systemic homeostasis. Annu. Rev. Nutr. 2016, 36, 471–509. [Google Scholar] [CrossRef]
- Quach, C.; Song, Y.; Guo, H.R.; Li, S.; Maazi, H.; Fung, M.; Sands, N.; Connell, D.O.; Restrepo-Vassalli, S.; Chai, B.; et al. A truncating mutation in the autophagy gene UVRAG drives inflammation and tumorigenesis in mice. Nat. Commun. 2019, 10, 5681. [Google Scholar] [CrossRef]
- Singh, R.; Kaushik, S.; Wang, Y.J.; Xiang, Y.Q.; Novak, I.; Komatsu, M.; Tanaka, K.; Cuervo, A.M.; Czaja, M.J. Autophagy regulates lipid metabolism. Nature 2009, 458, 1131–1135. [Google Scholar] [CrossRef] [Green Version]
- Komatsu, M.; Waguri, S.; Ueno, T.; Iwata, J.; Murata, S.; Tanida, I.; Ezaki, J.; Mizushima, N.; Ohsumi, Y.; Uchiyama, Y.; et al. Impairment of starvation-induced and constitutive autophagy in Atg7-deficient mice. J. Cell Biol. 2005, 169, 425–434. [Google Scholar] [CrossRef]
- Li, X.K.; Lu, J.; Xu, Y.X.; Wang, J.Y.; Qiu, X.X.; Fan, L.; Li, B.L.; Liu, W.W.; Mao, F.; Zhu, J.; et al. Discovery of nitazoxanide-based derivatives as autophagy activators for the treatment of Alzheimer’s disease. Acta. Pharm. Sin. B 2020, 10, 646–666. [Google Scholar] [CrossRef] [PubMed]
- Fan, Y.Y.; Wang, N.; Rocchi, A.; Zhang, W.R.; Vassar, R.; Zhou, Y.F.; He, C.C. Identification of natural products with neuronal and metabolic benefits through autophagy induction. Autophagy 2017, 13, 41–56. [Google Scholar] [CrossRef] [PubMed] [Green Version]
- Shon, J.C.; Shin, H.S.; Seo, Y.K.; Yoon, Y.R. Direct infusion MS-based lipid profiling reveals the pharmacological effects of compound K-reinforced ginsenosides in high-fat diet induced obese mice. J. Agric. Food Chem. 2015, 63, 2919–2929. [Google Scholar] [CrossRef] [PubMed]
- Park, D.M.; Yoon, M. Compound K, a novel ginsenoside metabolite, inhibits adipocyte differentiation in 3T3-L1 cells: Involvement of angiogenesis and MMPs. Biochem. Biophys. Res. Commun. 2012, 422, 263–267. [Google Scholar] [CrossRef] [PubMed]
- Chen, L.; Meng, Y.; Sun, Q.; Zhang, Z.Y.; Guo, X.Q.; Sheng, X.T.; Tai, G.H.; Zhou, Y.F. Ginsenoside compound K sensitizes human colon cancer cells to TRAIL-induced apoptosis via autophagy-dependent and -independent DR5 upregulation. Cell Death Dis. 2016, 7, e2334. [Google Scholar] [CrossRef]
- Yuan, Y.; Hu, Y.B.; Hu, C.X.; Leng, J.Y.; Chen, H.L.; Zhao, X.S.; Gao, J.; Zhou, Y.F. Overexpression and characterization of a glycoside hydrolase family 1 enzyme from Chellulosimicrobium cellulans sp. 21 and its application for minor ginsenosides production. J. Mol. Catal. B-Enzym. 2015, 120, 60–67. [Google Scholar] [CrossRef]
- Yang, S.W.; Yan, J.M.; Yang, L.L.; Meng, Y.H.; Wang, N.; He, C.C.; Fan, Y.Y.; Zhou, Y.F. Alkali-soluble polysaccharides from mushroom fruiting bodies improve insulin resistance. Int. J. Biol. Macromol. 2019, 126, 466–474. [Google Scholar] [CrossRef]
- Asakawa, A.; Ueno, N.; Katagi, M.; Ijuin, Y.; Morita, Y.; Mizuno, S.; Inui, T.; Sakamaki, R.; Shinfuku, N.; Uemoto, M. Mosapride improves food intake, while not worsening glycemic control and obesity, in ob/ob obese mice with decreased gastric emptying. J. Diabetes Complicat. 2012, 20, 56–58. [Google Scholar] [CrossRef]
- Polson, H.E.J.; Lartigue, J.D.; Rigden, D.J.; Reedijk, M.; Urbe, S.; Clague, M.J.; Tooze, S.A. Mammalian Atg18 (WIPI2) localizes to omegasome-anchored phagophores and positively regulates LC3 lipidation. Autophagy 2010, 6, 506–522. [Google Scholar] [CrossRef] [Green Version]
- Gammoh, N.; Florey, O.; Overholtzer, M.; Jiang, X.J. Interaction between FIP200 and ATG16L1 distinguishes ULK1 complex-dependent and -independent autophagy. Nat. Struct. Mol. Biol. 2013, 20, 144–149. [Google Scholar] [CrossRef] [Green Version]
- Kim, J.; Kundu, M.; Viollet, B.; Guan, K.L. AMPK and mTOR regulate autophagy through direct phosphorylation of Ulk1. Nat. Cell Biol. 2011, 13, 132–141. [Google Scholar] [CrossRef] [PubMed] [Green Version]
- John, K.; Marino, J.S.; Sanchez, E.R.; Hinds, T.D. The glucocorticoid receptor: Cause of or cure for obesity? Am. J. Physiol. Endoc. Metab. 2016, 310, 249–257. [Google Scholar] [CrossRef] [PubMed] [Green Version]
- Velazquez-Villegas, L.A.; Perino, A.; Lemos, V.; Zietak, M.; Nomura, M.; Pols, T.W.H.; Schoonjans, K. TGR5 signalling promotes mitochondrial fission and beige remodelling of white adipose tissue. Nat. Commun. 2018, 9, 245. [Google Scholar] [CrossRef] [PubMed] [Green Version]
- Schott, M.B.; Rasineni, K.; Weller, S.G.; Schulze, R.J.; Sletten, A.C.; Casey, C.A.; Mcniven, M. β-Adrenergic induction of lipolysis in hepatocytes is inhibited by ethanol exposure. J. Biol. Chem. 2017, 292, 11815–11828. [Google Scholar] [CrossRef] [Green Version]
- Zheng, Z.G.; Zhu, S.T.; Cheng, H.M.; Zhang, X.; Cheng, G.; Thu, P.M.; Wang, S.P.; Li, H.J.; Ding, M.; Qiang, L.; et al. Discovery of a potent SCAP degrader that ameliorates HFD-induced obesity, hyperlipidemia and insulin resistance via an autophagy-independent lysosomal pathway. Autophagy 2020, 17, 1592–1613. [Google Scholar] [CrossRef]
- Deng, J.L.; Guo, Y.J.; Yuan, F.X.; Chen, S.H.; Yin, H.R.; Jiang, X.X.; Jiao, F.X.; Wang, F.F.; Ji, H.B.; Hu, G.H.; et al. Autophagy inhibition prevents glucocorticoid-increased adiposity via suppressing BAT whitening. Autophagy 2020, 3, 451–465. [Google Scholar] [CrossRef]
- Ouchi, N.; Parker, J.L.; Lugus, J.J.; Walsh, K. Adipokines in inflammation and metabolic disease. Nat. Rev. Immunol. 2011, 11, 85–97. [Google Scholar] [CrossRef]
- Steppan, C.M.; Bailey, S.T.; Bhat, S.; Brown, E.J.; Banerjee, R.R.; Wright, C.M.; Patel, H.R.; Ahima, R.S.; Lazar, M.A. The hormone resistin links obesity to diabetes. Nature 2001, 409, 307–312. [Google Scholar] [CrossRef]
- Zhang, X.Y.; Evans, T.D.; Jeong, S.J.; Razani, B. Classical and alternative roles for autophagy in lipid metabolism. Curr. Opin. Lipidol. 2018, 29, 203–211. [Google Scholar] [CrossRef]
- Hu, J.; Li, G.; Qu, L.J.; Li, N.; Liu, W.; Xia, D.; Hongdu, B.Q.; Lin, X.; Xu, C.; Lou, Y.X.; et al. TMEM166/EVA1A interacts with ATG16L1 and induces autophagosome formation and cell death. Cell Death Dis. 2016, 7, e2323. [Google Scholar] [CrossRef]
- Liu, J.L.; Xia, H.G.; Kim, M.; Xu, L.; Li, Y.; Zhang, L.; Cai, Y.; Norberg, H.V.; Zhang, T.; Furuya, T. Beclin1 controls the levels of p53 by regulating the deubiquitination activity of USP10 and USP13. Cell 2011, 147, 223–234. [Google Scholar] [CrossRef] [PubMed] [Green Version]
- Xu, H.X.; Ren, D.J. Lysosomal physiology. Annu. Rev. Physiol. 2015, 77, 57–80. [Google Scholar] [CrossRef] [PubMed] [Green Version]
- Schott, M.B.; Weller, S.G.; Schulze, R.J.; Krueger, E.W.; Drizyte-Miller, K.; Casey, C.A.; Mcniven, M.A. Lipid droplet size directs lipolysis and lipophagy catabolism in hepatocytes. J. Cell Biol. 2019, 218, 3320–3335. [Google Scholar] [CrossRef] [PubMed]
- Fuchs, C.D.; Claudel, T.; Trauner, M. Role of metabolic lipases and lipolytic metabolites in the pathogenesis of NAFLD. Trends Endocrin. Met. 2014, 25, 576–585. [Google Scholar] [CrossRef] [PubMed]
- Bose, S.K.; Hutson, I.; Harris, C.A. Hepatic glucocorticoid receptor plays a greater role than adipose GR in metabolic syndrome despite renal compensation. Endocrinology 2016, 157, 4943–4960. [Google Scholar] [CrossRef]
- Galliher-Beckley, A.J.; Williams, J.G.; Cidlowski, J.A. Ligand-independent phosphorylation of the glucocorticoid receptor integrates cellular stress pathways with nuclear receptor signaling. Mol. Cell Biol. 2011, 31, 4663–4675. [Google Scholar] [CrossRef] [Green Version]
- Cho, K.J.; Shim, J.H.; Cho, M.C.; Choe, Y.K.; Hong, J.T.; Moon, D.C.; Kim, J.W.; Yoon, D.Y. Signaling pathways implicated in alpha-melanocyte stimulating hormone-induced lipolysis in 3T3-L1 adipocytes. J. Cell Biochem. 2005, 96, 866–867. [Google Scholar] [CrossRef]
- Lee, Y.J.; Chung, E.; Lee, K.Y.; Lee, Y.H.; Huh, B.; Lee, S.K. Ginsenoside-Rg1, one of the major active molecules from Panax ginseng, is a functional ligand of glucocorticoid receptor. Mol. Cell. Endocrinol. 1997, 133, 135–140. [Google Scholar] [CrossRef]
- Wu, J.Y.; Pan, Z.F.; Wang, Z.Q.; Zhu, W.J.; Shen, Y.Y.; Cui, R.; Lin, J.Z.; Yao, H.; Wang, Q.Q.; Qian, J.C.; et al. Ginsenoside Rg1 protection against β-amyloid peptide-induced neuronal apoptosis via estrogen receptor α and glucocorticoid receptor-dependent anti-protein nitration pathway. Neuropharmacology 2012, 63, 349–361. [Google Scholar] [CrossRef]
- Shen, Y.; Roh, H.C.; Kumari, M.; Rosen, E.D. Adipocyte glucocorticoid receptor is important in lipolysis and insulin resistance due to exogenous steroids, but not insulin resistance caused by high fat feeding. Mol. Metab. 2017, 6, 1150–1160. [Google Scholar] [CrossRef]
- Gong, H.Q.; Li, X.Z.; Yang, S.W.; Yang, L.L.; Fan, Y.Y.; Zhou, Y.F. Pectic bee pollen polysaccharide from Rosa rugosa alleviates diet-induced hepatic steatosis and insulin resistance via induction of AMPK/mTOR-mediated autophagy. Molecules 2017, 22, 699. [Google Scholar]
- Yang, S.W.; Qu, Y.H.; Zhang, H.; Xue, Z.J.; Liu, T.; Yang, L.L.; Sun, L.; Zhou, Y.F.; Fan, Y.Y. Hypoglycemic effects of polysaccharides from Gomphidiaceae rutilus fruiting bodies and their mechanisms. Food Funct. 2020, 11, 424–434. [Google Scholar] [CrossRef] [PubMed]
- Yang, S.W.; Qu, Y.H.; Chen, J.Y.; Chen, S.; Sun, L.; Zhou, Y.F.; Fan, Y.Y. Bee pollen polysaccharide from Rosa rugosa Thunb. (Rosaceae) promotes pancreatic β-Cell proliferation and insulin secretion. Front. Pharmacol. 2021, 12, 688073. [Google Scholar] [CrossRef] [PubMed]






Publisher’s Note: MDPI stays neutral with regard to jurisdictional claims in published maps and institutional affiliations. |
© 2022 by the authors. Licensee MDPI, Basel, Switzerland. This article is an open access article distributed under the terms and conditions of the Creative Commons Attribution (CC BY) license (https://creativecommons.org/licenses/by/4.0/).
Share and Cite
Yang, S.; Liu, T.; Hu, C.; Li, W.; Meng, Y.; Li, H.; Song, C.; He, C.; Zhou, Y.; Fan, Y. Ginsenoside Compound K Protects against Obesity through Pharmacological Targeting of Glucocorticoid Receptor to Activate Lipophagy and Lipid Metabolism. Pharmaceutics 2022, 14, 1192. https://doi.org/10.3390/pharmaceutics14061192
Yang S, Liu T, Hu C, Li W, Meng Y, Li H, Song C, He C, Zhou Y, Fan Y. Ginsenoside Compound K Protects against Obesity through Pharmacological Targeting of Glucocorticoid Receptor to Activate Lipophagy and Lipid Metabolism. Pharmaceutics. 2022; 14(6):1192. https://doi.org/10.3390/pharmaceutics14061192
Chicago/Turabian StyleYang, Siwen, Ting Liu, Chenxing Hu, Weili Li, Yuhan Meng, Haiyang Li, Chengcheng Song, Congcong He, Yifa Zhou, and Yuying Fan. 2022. "Ginsenoside Compound K Protects against Obesity through Pharmacological Targeting of Glucocorticoid Receptor to Activate Lipophagy and Lipid Metabolism" Pharmaceutics 14, no. 6: 1192. https://doi.org/10.3390/pharmaceutics14061192
APA StyleYang, S., Liu, T., Hu, C., Li, W., Meng, Y., Li, H., Song, C., He, C., Zhou, Y., & Fan, Y. (2022). Ginsenoside Compound K Protects against Obesity through Pharmacological Targeting of Glucocorticoid Receptor to Activate Lipophagy and Lipid Metabolism. Pharmaceutics, 14(6), 1192. https://doi.org/10.3390/pharmaceutics14061192

