Tailoring of Novel Azithromycin-Loaded Zinc Oxide Nanoparticles for Wound Healing
Abstract
:1. Introduction
2. Material and Methods
2.1. Employed Reagents in the Current Investigation
2.2. Methods
2.2.1. Synthesis of ZnONPs
2.2.2. Adsorption of AZM by ZnONPs
2.2.3. X-ray Diffraction, Scanning Electron Microscope, and Fourier Transform-Infrared (FT-IR) Analysis
2.2.4. In Vitro Drug-Release Study
2.2.5. Experimental Design
2.2.6. Preparation of AZM, Plain ZnONPs, and AZM-Loaded ZnONP-Impregnated HPMC Gels
2.2.7. In Vitro Antibacterial Activity
2.2.8. Determination of the Minimal Inhibitory Concentration (MIC)
2.2.9. In Vivo Antibacterial and Wound-Healing Efficacy
2.2.10. Histological Evaluation
3. Results and Discussion
3.1. FT-IR Analysis
3.2. XRD Analysis
3.3. EDAX Analysis
3.4. Microstructural Studies by SEM and TEM Analysis
3.5. Adsorption of AZM by ZnONPs
Adsorption Isotherm Studies
3.6. Drug-Loading Efficiency on ZnONPs (LE%)
3.7. In Vitro Release Study of AZM-ZnONPs
3.8. In Vitro and In Vivo Antibacterial Activities
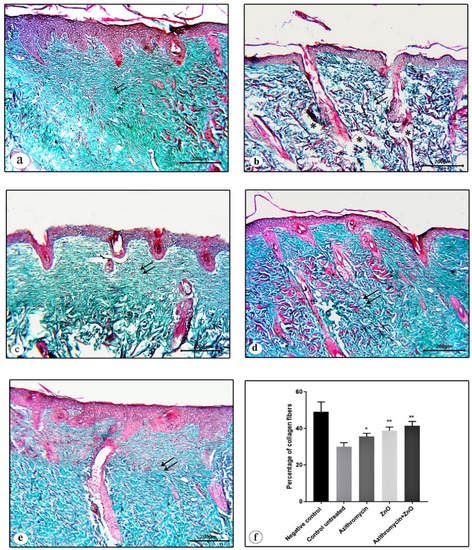
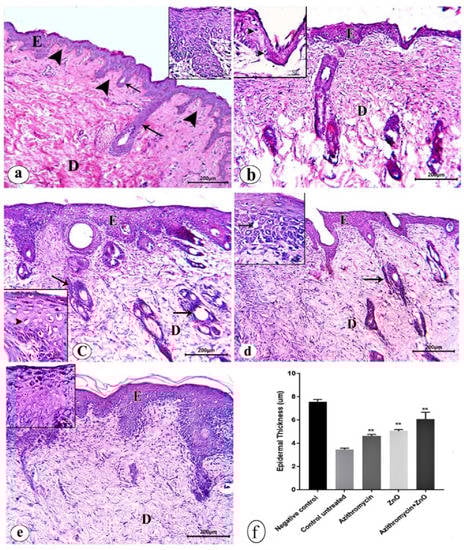
3.9. Histological Analysis of the Skin Layers Treated with the Different Formulations
4. Conclusions
Supplementary Materials
Author Contributions
Funding
Institutional Review Board Statement
Informed Consent Statement
Data Availability Statement
Conflicts of Interest
References
- Velnar, T.; Bailey, T.; Smrkolj, V. The wound healing process: An overview of the cellular and molecular mechanisms. J. Int. Med. Res. 2009, 37, 1528–1542. [Google Scholar] [CrossRef] [PubMed]
- WYNN, M. The impact of infection on the four stages of acute wound healing: An overview. Wounds UK 2021, 17, 26–32. [Google Scholar]
- Teaima, M.H.; Elasaly, M.K.; Omar, S.A.; El-Nabarawi, M.A.; Shoueir, K.R. Wound healing activities of polyurethane modified chitosan nanofibers loaded with different concentrations of linezolid in an experimental model of diabetes. J. Drug Deliv. Sci. Technol. 2021. [Google Scholar] [CrossRef]
- Fathi, H.A.; Abdelkader, A.; AbdelKarim, M.S.; Abdelaziz, A.A.; El-Mokhtar, M.A.; Allam, A.; Fetih, G.; El Badry, M.; Elsabahy, M. Electrospun vancomycin-loaded nanofibers for management of methicillin-resistant Staphylococcus aureus-induced skin infections. Int. J. Pharm. 2020, 586, 119620. [Google Scholar] [CrossRef] [PubMed]
- Al-Hakkani, M.F.; Gouda, G.A.; Hassan, S.H.A. A review of green methods for phytofabrication of hematite (α-Fe2O3) nanoparticles and their characterization, properties, and applications. Heliyon 2021, 7, e05806. [Google Scholar] [CrossRef]
- Al-Hakkani, M.F. Biogenic copper nanoparticles and their applications: A review. SN App. Sci. 2020, 2, 505. [Google Scholar] [CrossRef] [Green Version]
- Mekkawy, A.I.; El-Mokhtar, M.A.; El-Shanawany, S.M.; Ibrahim, E.H. Silver nanoparticles-loaded hydrogels, a potential treatment for resistant bacterial infection and wound healing: A review. J. Pharm. Res. Int. 2016, 14, 1–19. [Google Scholar] [CrossRef]
- Shkodenko, L.; Kassirov, I.; Koshel, E. Metal oxide nanoparticles against bacterial biofilms: Perspectives and limitations. Microorganisms 2020, 8, 1545. [Google Scholar] [CrossRef] [PubMed]
- Lange, A.; Grzenia, A.; Wierzbicki, M.; Strojny-Cieslak, B.; Kalińska, A.; Gołębiewski, M.; Radzikowski, D.; Sawosz, E.; Jaworski, S. Silver and Copper Nanoparticles Inhibit Biofilm Formation by Mastitis Pathogens. Animals 2021, 11, 1884. [Google Scholar] [CrossRef]
- Khater, M.; Khater, S.S.; Gholap, H.; Patil, R.; Kulkarni, G. Comparative studies on measurement of membrane potential of bacterial cells treated with ZnO nanoparticles by spectrofluorometry, fluorescence microscopy and flowcytometry. J. Microb. Meth. 2020, 173, 105920. [Google Scholar] [CrossRef]
- Mohapatra, S.S.; Limayem, A. Chitosan Oligomer and Zinc Oxide Nanoparticle Compositions for Treating Drug Resistant Bacteria and Biofilm. U.S. Patent 10,675,301, 9 June 2020. [Google Scholar]
- Holmes, A.M.; Kempson, I.; Turnbull, T.; Paterson, D.; Roberts, M.S. Penetration of zinc into human skin after topical application of nano zinc oxide used in commercial sunscreen formulations. ACS Appl. Bio Mater. 2020, 3, 3640–3647. [Google Scholar] [CrossRef]
- Abebe, B.; Zereffa, E.A.; Tadesse, A.; Murthy, H.A. A review on enhancing the antibacterial activity of ZnO: Mechanisms and microscopic investigation. Nanos. Res. Lett. 2020, 15, 190. [Google Scholar] [CrossRef] [PubMed]
- Parvinzadeh Gashti, M.; Helali, M.; Karimi, S. Biomineralization-Inspired Green Synthesis of Zinc Phosphate-Based Nanosheets in Gelatin Hydrogel. Int. J. Appl. Ceram. Technol. 2016, 13, 1069–1073. [Google Scholar] [CrossRef]
- Vidya, C.; Hiremath, S.; Chandraprabha, M.; Antonyraj, M.L.; Gopal, I.V.; Jain, A.; Bansal, K. Green synthesis of ZnO nanoparticles by Calotropis gigantea. Int. J. Curr. Eng. Technol. 2013, 1, 118–120. [Google Scholar]
- Aladpoosh, R.; Montazer, M. The role of cellulosic chains of cotton in biosynthesis of ZnO nanorods producing multifunctional properties: Mechanism, characterizations and features. Carb. Polym. 2015, 126, 122–129. [Google Scholar] [CrossRef]
- Krupa, A.N.D.; Vimala, R. Evaluation of tetraethoxysilane (TEOS) sol–gel coatings, modified with green synthesized zinc oxide nanoparticles for combating microfouling. Mat. Sci. Engin. C 2016, 61, 728–735. [Google Scholar] [CrossRef]
- Elumalai, K.; Velmurugan, S.; Ravi, S.; Kathiravan, V.; Ashokkumar, S. RETRACTED: Green synthesis of zinc oxide nanoparticles using Moringa oleifera leaf extract and evaluation of its antimicrobial activity. Spectrochim. Acta Part A Mol. Biomol. Spectrosc. 2015, 143, 158–164. [Google Scholar] [CrossRef]
- Imamura, Y.; Higashiyama, Y.; Tomono, K.; Izumikawa, K.; Yanagihara, K.; Ohno, H.; Miyazaki, Y.; Hirakata, Y.; Mizuta, Y.; Kadota, J.-i. Azithromycin exhibits bactericidal effects on Pseudomonas aeruginosa through interaction with the outer membrane. Antimic. Agents Chem. 2005, 49, 1377–1380. [Google Scholar] [CrossRef] [PubMed] [Green Version]
- Saddik, M.S.; Alsharif, F.M.; El-Mokhtar, M.A.; Al-Hakkani, M.F.; El-Mahdy, M.M.; Farghaly, H.S.; Abou-Taleb, H.A. Biosynthesis, characterization, and wound-healing activity of phenytoin-loaded Copper nanoparticles. AAPS PharmSciTech 2020, 21, 175. [Google Scholar] [CrossRef]
- Saddik, M.S.; Elsayed, M.M.A.; Abdelkader, M.S.A.; El-Mokhtar, M.A.; Abdel-Aleem, J.A.; Abu-Dief, A.M.; Al-Hakkani, M.F.; Farghaly, H.S.; Abou-Taleb, H.A. Novel Green Biosynthesis of 5-Fluorouracil Chromium Nanoparticles Using Harpullia pendula Extract for Treatment of Colorectal Cancer. Pharmaceutics 2021, 13, 226. [Google Scholar] [CrossRef]
- Al-Hakkani, M.F. A rapid, developed and validated RP-HPLC method for determination of azithromycin. SN Appl. Sci. 2019, 1, 222. [Google Scholar] [CrossRef]
- Al-Hakkani, M.F.; Gouda, G.A.; Hassan, S.H.A.; Farghaly, O.A.; Mohamed, M.M.A. Fully investigation of RP- HPLC analytical method validation parameters for determination of Cefixime traces in the different pharmaceutical dosage forms and urine analysis. Acta Pharm. Sci. 2021, 59, 631–649. [Google Scholar] [CrossRef]
- Al-Hakkani, M.F. HPLC analytical method validation for determination of Cefotaxime in the bulk and finished pharmaceutical dosage form. Sustain. Chem. Eng. 2020, 33–42. [Google Scholar] [CrossRef]
- Al-Hakkani, M.F. Guideline of inductively coupled plasma mass spectrometry “ICP–MS”: Fundamentals, practices, determination of the limits, quality control, and method validation parameters. SN Appl. Sci. 2019, 1, 791. [Google Scholar] [CrossRef] [Green Version]
- Al-Hakkani, M.F. Forced degradation study with a developed and validated RP-HPLC method for determination of cefpodoxime proxetil in the bulk and finished pharmaceutical products. J. Iran. Chem. Soc. 2019, 16, 1571–1578. [Google Scholar] [CrossRef]
- Elkot, M.; Elsayed, M.; Alaaeldin, E.; Sarhan, H.; Shaykoon, M.S.A.; Elsadek, B. Accelerated stability testing of microcapsulated sorafenib-loaded carbon nanotubes prepared by emulsification/internal gelation method. Int. J. Pharm. Pharm. Res. 2019, 16, 126–139. [Google Scholar]
- Husein, D.Z.; Hassanien, R.; Al-Hakkani, M.F. Green-synthesized copper nano-adsorbent for the removal of pharmaceutical pollutants from real wastewater samples. Heliyon 2019, 5, e02339. [Google Scholar] [CrossRef] [Green Version]
- Langmuir, I. The constitution and fundamental properties of solids and liquids. Part I. Solids. J. Am. Chem. Soc. 1916, 38, 2221–2295. [Google Scholar] [CrossRef] [Green Version]
- Freundlich, H. About adsorption in solutions. J. Phys. Chem. 1907, 57, 385–470. [Google Scholar]
- Temkin, M. Kinetics of ammonia synthesis on promoted iron catalysts. Acta Physiochim. 1940, 12, 327–356. [Google Scholar]
- H Auda, S.; M Ahmed, M.; El-Rasoul, A.; I Saleh, K. Formulation and physicochemical characterization of piroxicam containing polymer films. Bull. Pharm. Sci. Assiut 2010, 33, 33–42. [Google Scholar] [CrossRef]
- M Ahmed, M.; H Auda, S.; El-Rasoul, A.; I Saleh, K.; M Zayed, G. Preparation and Evaluation of Diclofenac Sodium–Cellulose Acetate Microcapsules Using Solvent Evaporation Technique. Bull. Pharm. Sci. Assiut 2010, 33, 43–49. [Google Scholar] [CrossRef]
- El-Mahdy, M.; Mohamed, E.-E.M.; Saddik, M.S.; Ali, M.F.; El-Sayed, A.M. Formulation and clinical evaluation of niosomal methylene blue for successful treatment of acne. J. Adv. Biomed. Pharm. Sci. 2020, 3, 116–126. [Google Scholar] [CrossRef]
- Saddik, M.S.; Mohamed, E.; Elmahdy, M.M. Preparation and Characterization of Niosomal Carrier System of Hydrophilic Drug (Methylene Blue) for Photodynamic Therapy. Lat. Am. J. Pharm. 2020, 39, 561–569. [Google Scholar]
- Auda, S.H.; Abd El-Rasoul, S.; Ahmed, M.M.; Osman, S.K.; El-Badry, M. In-vitro release and in-vivo performance of tolmetin from different topical gel formulations. J. Pharm. Innov. 2015, 45, 311–317. [Google Scholar] [CrossRef]
- Abd El Rasoul, S.; Saleh, K. Emulsion solvent evaporation method for preparing Eudragit RS100 microparticles loaded ketorolac tromethamine. Asian J. Pharm. Health Sci. 2013, 3, 627–639. [Google Scholar]
- Ahmed, M.M. Effect of different formulation variables on release characteristics of gastro-floating microspheres of ethyl cellulose/carbopol 934P encapsulating sorafenib. Int. J. Pharm. Pharm. Sci. 2019, 11, 64–70. [Google Scholar] [CrossRef]
- Ahmed, M.M.; Abd El-Rasoul, S.; Auda, S.H.; Ibrahim, M.A. Emulsification/internal gelation as a method for preparation of diclofenac sodium–sodium alginate microparticles. Saudi Pharm. J. 2013, 21, 61–69. [Google Scholar] [CrossRef] [Green Version]
- Refaat, H.; Naguib, Y.W.; Elsayed, M.; Sarhan, H.A.; Alaaeldin, E. Modified spraying technique and response surface methodology for the preparation and optimization of propolis liposomes of enhanced anti-proliferative activity against human melanoma cell line A375. Pharmaceutics 2019, 11, 558. [Google Scholar] [CrossRef] [PubMed] [Green Version]
- Tawfeek, H.M.; Abdel-Aleem, J.A.; Ahmed, M.M. Development and optimization of itopride hydrochloride fast disintegrating tablets using factorial design and response surface methodology. Intern. J. Pharm. Sci. Res. 2015, 6, 1661. [Google Scholar]
- Elsayed, M. Controlled release alginate-chitosan microspheres of tolmetin sodium prepared by internal gelation technique and characterized by response surface modeling. Braz. J. Pharm. Sci. 2021, 56. [Google Scholar] [CrossRef]
- Elsayed, M.; Okda, T.M.; Atwa, G.M.; Omran, G.A.; Abd Elbaky, A.E. Design and Optimization of Orally Administered Luteolin Nanoethosomes to Enhance Its Anti-Tumor Activity against Hepatocellular Carcinoma. Pharmaceutics 2021, 13, 648. [Google Scholar] [CrossRef]
- Elsayed, M.M.; Abd El Rasoul, S.; Hussein, A.K. Response surface methodology as a useful tool for development and optimization of sustained release ketorolac tromethamine niosomal organogels. J. Pharm. Innov. 2019, 15, 664–677. [Google Scholar] [CrossRef]
- El-Shenawy, A.A.; Ahmed, M.M.; Mansour, H.F.; Abd El Rasoul, S. Torsemide fast dissolving tablets: Development, optimization using Box–Bhenken design and response surface methodology, in vitro characterization, and pharmacokinetic assessment. AAPS PharmSciTech 2017, 18, 2168–2179. [Google Scholar] [CrossRef] [PubMed]
- Allam, A.; El-Mokhtar, M.A.; Elsabahy, M. Vancomycin-loaded niosomes integrated within pH-sensitive in-situ forming gel for treatment of ocular infections while minimizing drug irritation. J. Pharm. Pharm. 2019, 71, 1209–1221. [Google Scholar] [CrossRef]
- Hetta, H.F.; Al-Kadmy, I.M.S.; Khazaal, S.S.; Abbas, S.; Suhail, A.; El-Mokhtar, M.A.; Ellah, N.H.A.; Ahmed, E.A.; Abd-Ellatief, R.B.; El-Masry, E.A.; et al. Antibiofilm and antivirulence potential of silver nanoparticles against multidrug-resistant Acinetobacter baumannii. Sci. Rep. 2021, 11, 10751. [Google Scholar] [CrossRef] [PubMed]
- Aljihani, S.A.; Alehaideb, Z.; Alarfaj, R.E.; Alghoribi, M.F.; Akiel, M.A.; Alenazi, T.H.; Al-Fahad, A.J.; Al Tamimi, S.M.; Albakr, T.M.; Alshehri, A.; et al. Enhancing azithromycin antibacterial activity by encapsulation in liposomes/liposomal-N-acetylcysteine formulations against resistant clinical strains of Escherichia coli. Saudi J. Biol. Sci. 2020, 27, 3065–3071. [Google Scholar] [CrossRef] [PubMed]
- Mekkawy, A.I.; El-Mokhtar, M.A.; Nafady, N.A.; Yousef, N.; Hamad, M.A.; El-Shanawany, S.M.; Ibrahim, E.H.; Elsabahy, M. In vitro and in vivo evaluation of biologically synthesized silver nanoparticles for topical applications: Effect of surface coating and loading into hydrogels. J. Nanomed. 2017, 12, 759. [Google Scholar] [CrossRef] [Green Version]
- Clark, J.D.; Gebhart, G.F.; Gonder, J.C.; Keeling, M.E.; Kohn, D.F. The 1996 guide for the care and use of laboratory animals. J. ILAR J. 1997, 38, 41–48. [Google Scholar] [CrossRef]
- Zeng, Q.; Xie, H.; Song, H.; Nie, F.; Wang, J.; Chen, D.; Wang, F. In Vivo Wound Healing Activity of Abrus cantoniensis Extract. Evid. Based Complem. Alternat. Med. 2016, 2016, 6568528. [Google Scholar] [CrossRef] [Green Version]
- Kömüves, L.G.; Hanley, K.; Man, M.-Q.; Elias, P.M.; Williams, M.L.; Feingold, K.R. Keratinocyte differentiation in hyperproliferative epidermis: Topical application of PPARα activators restores tissue homeostasis. J. Investig. Dermatol. 2000, 115, 361–367. [Google Scholar] [CrossRef] [Green Version]
- Elsayed, M.M.; Mostafa, M.E.; Alaaeldin, E.; Sarhan, H.A.; Shaykoon, M.S.; Allam, S.; Ahmed, A.R.; Elsadek, B.E. Design and characterisation of novel Sorafenib-loaded carbon nanotubes with distinct tumour-suppressive activity in hepatocellular carcinoma. Intern. J. Nanomed. 2019, 14, 8445. [Google Scholar] [CrossRef] [Green Version]
- Khan, S.B.; Faisal, M.; Rahman, M.M.; Jamal, A. Low-temperature growth of ZnO nanoparticles: Photocatalyst and acetone sensor. Talanta 2011, 85, 943–949. [Google Scholar] [CrossRef] [PubMed]
- Chithra, M.J.; Sathya, M.; Pushpanathan, K. Effect of pH on crystal size and photoluminescence property of ZnO nanoparticles prepared by chemical precipitation method. Acta Metall. Sin. (Engl. Lett.) 2015, 28, 394–404. [Google Scholar] [CrossRef]
- Mesaros, A.; Ghitulica, C.D.; Popa, M.; Mereu, R.; Popa, A.; Petrisor Jr, T.; Gabor, M.; Cadis, A.I.; Vasile, B.S. Synthesis, structural and morphological characteristics, magnetic and optical properties of Co doped ZnO nanoparticles. Ceram. Int. 2014, 40, 2835–2846. [Google Scholar] [CrossRef]
- Al-Hakkani, M.F.; Hassan, S.H.A.; Saddik, M.S.; El-Mokhtar, M.A.; Al-Shelkamy, S.A. Bioengineering, characterization, and biological activities of C@Cu2O@Cu nanocomposite based-mediated the Vicia faba seeds aqueous extract. J. Mater. Res. Technol. 2021, 14, 1998–2016. [Google Scholar] [CrossRef]
- Al-Hakkani, M.F.; Gouda, G.A.; Hassan, S.H.A.; Nagiub, A.M. Echinacea purpurea mediated hematite nanoparticles (α-HNPs) biofabrication, characterization, physicochemical properties, and its in-vitro biocompatibility evaluation. Surf. Interf. 2021, 24, 101113. [Google Scholar] [CrossRef]
- Robaina, N.F.; de Paula, C.E.R.; Brum, D.M.; de la Guardia, M.; Garrigues, S.; Cassella, R.J. Novel approach for the determination of azithromycin in pharmaceutical formulations by Fourier transform infrared spectroscopy in film-through transmission mode. Microchem. J. 2013, 110, 301–307. [Google Scholar] [CrossRef]
- Abu-Dief, A.M.; Abdelbaky, M.S.; Martínez-Blanco, D.; Amghouz, Z.; García-Granda, S. Effect of chromium substitution on the structural and magnetic properties of nanocrystalline zinc ferrite. Mater. Chem. Phys. 2016, 174, 164–171. [Google Scholar] [CrossRef]
- Ali, M.A.E.A.A.; Abu-Dief, A.M. CuFe2O4 nanoparticles: An efficient heterogeneous magnetically separable catalyst for synthesis of some novel propynyl-1H-imidazoles derivatives. Tetrahedron 2015, 71, 2579–2584. [Google Scholar]
- Abdel-Rahman, L.H.; Abu-Dief, A.M.; El-Khatib, R.M.; Abdel-Fatah, S.M. Some new nano-sized Fe (II), Cd (II) and Zn (II) Schiff base complexes as precursor for metal oxides: Sonochemical synthesis, characterization, DNA interaction, in vitro antimicrobial and anticancer activities. Bioorg. Chem. 2016, 69, 140–152. [Google Scholar] [CrossRef]
- Abdel-Rahman, L.H.; Abu-Dief, A.M.; El-Khatib, R.M.; Abdel-Fatah, S.M. Sonochemical synthesis, DNA binding, antimicrobial evaluation and in vitro anticancer activity of three new nano-sized Cu (II), Co (II) and Ni (II) chelates based on tri-dentate NOO imine ligands as precursors for metal oxides. J. Photochem. Photobiol. B Biol. 2016, 162, 298–308. [Google Scholar] [CrossRef] [PubMed]
- Abdel-Rahman, L.H.; Abu-Dief, A.M.; Adam, M.S.S.; Hamdan, S.K. Some new nano-sized mononuclear Cu (II) Schiff base complexes: Design, characterization, molecular modeling and catalytic potentials in benzyl alcohol oxidation. Catal. Lett. 2016, 146, 1373–1396. [Google Scholar] [CrossRef]
- Aleem Ali El-Remaily, M.A.E.; Abu-Dief, A.M.; El-Khatib, R.M. A robust synthesis and characterization of superparamagnetic CoFe2O4 nanoparticles as an efficient and reusable catalyst for green synthesis of some heterocyclic rings. Appl. Organ. Chem. 2016, 30, 1022–1029. [Google Scholar] [CrossRef]
- Esmaeili Bidhendi, M.; Poursorkh, Z.; Sereshti, H.; Rashidi Nodeh, H.; Rezania, S.; Afzal Kamboh, M. Nano-Size Biomass Derived from Pomegranate Peel for Enhanced Removal of Cefixime Antibiotic from Aqueous Media: Kinetic, Equilibrium and Thermodynamic Study. Int. J. Environ. Res. Public Health 2020, 17, 4223. [Google Scholar] [CrossRef] [PubMed]
- Rukavina, Z.; Klarić, M.Š.; Filipović-Grčić, J.; Lovrić, J.; Vanić, Ž. Azithromycin-loaded liposomes for enhanced topical treatment of methicillin-resistant Staphyloccocus aureus (MRSA) infections. Int. J Pharm. 2018, 553, 109–119. [Google Scholar] [CrossRef]
- El-Rasoul, A.; Ahmed, M.M. Chitosan polymer as a coat of calcium alginate microcapsules loaded by non-steroidal antiinflammatory drug. Bull. Pharm. Sci. Assiut 2010, 33, 179–186. [Google Scholar] [CrossRef] [Green Version]
- Elsayed, M. Design and optimization of tolmetin sodium microspheres prepared by emulsification-internal gelation using response surface methodology. Al-Azh J. Pharm. Sci. 2012, 45, 383–398. [Google Scholar] [CrossRef]
- Azhdarzadeh, M.; Lotfipour, F.; Zakeri-Milani, P.; Mohammadi, G.; Valizadeh, H. Anti-bacterial performance of azithromycin nanoparticles as colloidal drug delivery system against different gram-negative and gram-positive bacteria. J. Adv. Pharm. Bull. 2012, 2, 17. [Google Scholar]
- Khan, F.A.; Zahoor, M.; Islam, N.U.; Hameed, R. Synthesis of cefixime and azithromycin nanoparticles: An attempt to enhance their antimicrobial activity and dissolution rate. J. Nanomater. 2016, 2016, 6909085. [Google Scholar] [CrossRef] [Green Version]
- Mohammadi, G.; Valizadeh, H.; Barzegar-Jalali, M.; Lotfipour, F.; Adibkia, K.; Milani, M.; Azhdarzadeh, M.; Kiafar, F.; Nokhodchi, A. Development of azithromycin–PLGA nanoparticles: Physicochemical characterization and antibacterial effect against Salmonella typhi. J. Coll. Surf. B Biointerf. 2010, 80, 34–39. [Google Scholar] [CrossRef] [PubMed]
- Abo-Shama, U.H.; El-Gendy, H.; Mousa, W.S.; Hamouda, R.A.; Yousuf, W.E.; Hetta, H.F.; Abdeen, E.E. Synergistic and antagonistic effects of metal nanoparticles in combination with antibiotics against some reference strains of pathogenic microorganisms. J. Infect. Drug Resist. 2020, 13, 351. [Google Scholar] [CrossRef] [PubMed] [Green Version]
- Sirelkhatim, A.; Mahmud, S.; Seeni, A.; Kaus, N.H.M.; Ann, L.C.; Bakhori, S.K.M.; Hasan, H.; Mohamad, D. Review on Zinc Oxide Nanoparticles: Antibacterial Activity and Toxicity Mechanism. Nanomicro. Lett. 2015, 7, 219–242. [Google Scholar] [CrossRef] [Green Version]
- Zhang, L.; Jiang, Y.; Ding, Y.; Povey, M.; York, D. Investigation into the antibacterial behaviour of suspensions of ZnO nanoparticles (ZnO nanofluids). J. Nanopart. Res. 2007, 9, 479–489. [Google Scholar] [CrossRef]
- Li, M.; Zhu, L.; Lin, D. Toxicity of ZnO nanoparticles to Escherichia coli: Mechanism and the influence of medium components. Environ. Sci. Technol. 2011, 45, 1977–1983. [Google Scholar] [CrossRef]
- Sawai, J.; Shoji, S.; Igarashi, H.; Hashimoto, A.; Kokugan, T.; Shimizu, M.; Kojima, H. Hydrogen peroxide as an antibacterial factor in zinc oxide powder slurry. J. Ferment. Bioeng. 1998, 86, 521–522. [Google Scholar] [CrossRef]
- Kairyte, K.; Kadys, A.; Luksiene, Z. Antibacterial and antifungal activity of photoactivated ZnO nanoparticles in suspension. J. Photochem. Photobiol. B 2013, 128, 78–84. [Google Scholar] [CrossRef]
- Lipovsky, A.; Nitzan, Y.; Gedanken, A.; Lubart, R. Antifungal activity of ZnO nanoparticles--the role of ROS mediated cell injury. Nanotechnology 2011, 22, 105101. [Google Scholar] [CrossRef]
- Yamamoto, O. Influence of particle size on the antibacterial activity of zinc oxide. Int. J. Inorg. Mat. 2001, 3, 643–646. [Google Scholar] [CrossRef]
- Hwang, I.-s.; Hwang, J.H.; Choi, H.; Kim, K.-J.; Lee, D.G. Synergistic effects between silver nanoparticles and antibiotics and the mechanisms involved. J. Med. Microb. 2012, 61, 1719–1726. [Google Scholar] [CrossRef] [Green Version]
- Venubabu Thati, A.; Roy, S.; Prasad, M.A.; Shivannavar, C.; Gaddad, S. Nanostructured zinc oxide enhances the activity of antibiotics against Staphylococcus aureus. J. Biosci. Technol. 2010, 1, 64–69. [Google Scholar]
- Elnaggar, Y.S.; El-Refaie, W.M.; El-Massik, M.A.; Abdallah, O.Y. Lecithin-based nanostructured gels for skin delivery: An update on state of art and recent applications. J. Control. Release 2014, 180, 10–24. [Google Scholar] [CrossRef] [PubMed]













| Equation | No. | Parameter Indications |
|---|---|---|
| AZM adsorbed amount [28] | qe: adsorbed amount of AZM (mg/g) C0: initial concentrations of AZM (mg/L) Ce: equilibrium concentration of AZM (mg/L) V: volume of the AZM (mL) M: ZnONPs mass (mg) | |
| qe = (C0 − Ce)V/M | (1) | |
| AZM adsorption percentage [28] | ||
| P (%) = (C0 − Ce)/C0 × 100 | (2) | |
| Langmuir [29] | qL: monolayer adsorption capacity of ZnONPs (mg/g) KL: Langmuir energy of adsorption constant (L/mg) RL: sensitive equilibrium parameter or separation factor Cmax: Highest initial drug concentration in the solution (mg/L) | |
| Ce/qe = (1/qLKL) + (1/qL)Ce RL = 1/(1 + KLCmax) | (3) (4) | |
| Freundlich [30] | KF: Freundlich adsorption capacity of ZnONPs (mg/g) n: Freundlich constant characteristics of the system, indicating the adsorption intensity | |
| log qe = log KF + (1/n) log Ce | (5) | |
| Temkin [31] | AT: binding constant (L/mg), related to the maximum binding energy BT: Temkin adsorption constant (KJ/mol), related to the sorption heat R: gas constant (8.314 J/mol K) T: absolute temperature at 298 K bT: adsorption process constant | |
| qe = BT ln AT + BT ln Ce bT = RT/BT | (6) (7) | |
| D-R [28] | qm: D-R adsorption capacity of ZnONPs (mg/g) β: coefficient related to the mean free energy (mol2 KJ−2) ε: Polanyi potential ED: adsorption energy per molecule of the AZM adsorbate when it is transferred to the surface of the solid ZnONPs from infinity in the solution (kJ/mol) | |
| ln qe = ln qm − βε2 ε = RT (1+ 1/Ce) ED = (−2β)−1/2 | (8) (9) (10) |
| ZnONPs | AZM | AZM-ZnO Nanoparticles | Band Assignment |
|---|---|---|---|
| 3462 | 3424 | 3415 | Stretching of OH/H2O |
| 3247 | 3268 | Stretching of NH | |
| 2966 | 2985 | Stretching of aliphatic CH | |
| 1710 | 1722 | Stretching C=O | |
| 1625 | 1655 | 1664 | O-H-O bending vibration modes |
| 1367 | 1374 | Bending aliphatic -CH | |
| 445 | 435 | Vibrational Zn-O |
| Item | Isothermal Models | |||
|---|---|---|---|---|
| Langmuir | Freundlich | Temkin | D-R | |
| R2 | 0.8918 | 0.9869 | 0.9114 | 0.7595 |
| Model parameter | qL = 160.44 | n = 1.847 | AT = 0.095 | qm = 82.9 |
| kL = 0.008 | 1/n = 0.541 | BT = 32.9 | β = −8.39 × 10−5 | |
| RL = 0.196 | kF = 5.6 | bT = 74.06 | ED = 77.2 | |
| Formula No. | Variable Level in a Coded Form | LE% | Cumulative Percentage Released | |||
|---|---|---|---|---|---|---|
| X1 AZMConc. | X2 ZnONP Weight | X3 Temperature | Y1 LE % | Y2 Rel 1 h | Y3 Rel 3 h | |
| D1 | −1 | −1 | 0 | 50.07 ± 1.93 | 15.46 ± 1.38 | 47.53 ± 1.66 |
| D2 | 0 | −1 | −1 | 70.44 ± 2.98 | 22.42 ± 2.03 | 65.44 ± 2.71 |
| D3 | 0 | −1 | 1 | 62.31 ± 1.73 | 19.75 ± 1.97 | 54.65 ± 1.92 |
| D4 | 1 | −1 | 0 | 69.72 ± 2.78 | 21.47 ± 1.85 | 64.20 ± 2.33 |
| D5 | −1 | 0 | −1 | 75.25 ± 2.21 | 20.67 ± 1.58 | 61.19 ± 2.94 |
| D6 | −1 | 0 | 1 | 62.42 ± 3.15 | 18.43 ± 1.74 | 53.54 ± 1.86 |
| D7 | 0 | 0 | 0 | 69.13 ± 2.26 | 28.90 ± 1.95 | 72.87 ± 2.65 |
| D8 | 0 | 0 | 0 | 78.54 ± 3.12 | 23.50 ± 1.34 | 69.15 ± 2.84 |
| D9 | 0 | 0 | 0 | 75.99 ± 2.11 | 30.89 ± 1.73 | 77.16 ± 2.96 |
| D10 | 1 | 0 | −1 | 87.11 ± 3.53 | 28.17 ± 1.33 | 76.76 ± 2.34 |
| D11 | 1 | 0 | 1 | 76.81 ± 3.57 | 26.68 ± 1.87 | 70.40 ± 2.33 |
| D12 | −1 | 1 | 0 | 69.33 ± 2.39 | 20.01 ± 1.56 | 56.24 ± 1.93 |
| D13 | 0 | 1 | −1 | 81.89 ± 2.81 | 27.97 ± 1.24 | 75.23 ± 2.75 |
| D14 | 0 | 1 | 1 | 71.98 ± 3.23 | 17.59 ± 1.96 | 54.05 ± 2.54 |
| D15 | 1 | 1 | 0 | 82.34 ± 2.52 | 19.17 ± 1.49 | 60.35 ± 2.63 |
Publisher’s Note: MDPI stays neutral with regard to jurisdictional claims in published maps and institutional affiliations. |
© 2022 by the authors. Licensee MDPI, Basel, Switzerland. This article is an open access article distributed under the terms and conditions of the Creative Commons Attribution (CC BY) license (https://creativecommons.org/licenses/by/4.0/).
Share and Cite
Saddik, M.S.; Elsayed, M.M.A.; El-Mokhtar, M.A.; Sedky, H.; Abdel-Aleem, J.A.; Abu-Dief, A.M.; Al-Hakkani, M.F.; Hussein, H.L.; Al-Shelkamy, S.A.; Meligy, F.Y.; et al. Tailoring of Novel Azithromycin-Loaded Zinc Oxide Nanoparticles for Wound Healing. Pharmaceutics 2022, 14, 111. https://doi.org/10.3390/pharmaceutics14010111
Saddik MS, Elsayed MMA, El-Mokhtar MA, Sedky H, Abdel-Aleem JA, Abu-Dief AM, Al-Hakkani MF, Hussein HL, Al-Shelkamy SA, Meligy FY, et al. Tailoring of Novel Azithromycin-Loaded Zinc Oxide Nanoparticles for Wound Healing. Pharmaceutics. 2022; 14(1):111. https://doi.org/10.3390/pharmaceutics14010111
Chicago/Turabian StyleSaddik, Mohammed S., Mahmoud M. A. Elsayed, Mohamed A. El-Mokhtar, Haitham Sedky, Jelan A. Abdel-Aleem, Ahmed M. Abu-Dief, Mostafa F. Al-Hakkani, Hazem L. Hussein, Samah A. Al-Shelkamy, Fatma Y. Meligy, and et al. 2022. "Tailoring of Novel Azithromycin-Loaded Zinc Oxide Nanoparticles for Wound Healing" Pharmaceutics 14, no. 1: 111. https://doi.org/10.3390/pharmaceutics14010111
APA StyleSaddik, M. S., Elsayed, M. M. A., El-Mokhtar, M. A., Sedky, H., Abdel-Aleem, J. A., Abu-Dief, A. M., Al-Hakkani, M. F., Hussein, H. L., Al-Shelkamy, S. A., Meligy, F. Y., Khames, A., & Abou-Taleb, H. A. (2022). Tailoring of Novel Azithromycin-Loaded Zinc Oxide Nanoparticles for Wound Healing. Pharmaceutics, 14(1), 111. https://doi.org/10.3390/pharmaceutics14010111

